Limited Additional Value of a Chest CT in Whole-Body Staging with PET-MRI: A Retrospective Cohort Study
Abstract
Simple Summary
Abstract
1. Introduction
2. Materials and Methods
2.1. PET-MRI Protocol
2.2. CT Protocol
2.3. Image Analysis
2.4. Quantitative and Qualitative Analysis
2.5. Statistics
2.5.1. Interobserver Variability and Agreement
2.5.2. Correlation Analysis and Proportional Bias
2.5.3. Between-Group Comparisons
2.5.4. Sensitivity and Specificity
2.5.5. Statistical Software
3. Results
3.1. General Characteristics
3.2. Inter-Observer Variability
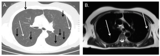
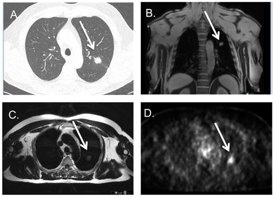
3.3. Indeterminate Lung Nodule Detection
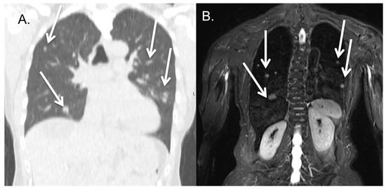
3.4. Lung Metastases
4. Discussion
5. Conclusions
Supplementary Materials
Author Contributions
Funding
Institutional Review Board Statement
Informed Consent Statement
Data Availability Statement
Acknowledgments
Conflicts of Interest
References
- Kandathil, A.; Kay, F.U.; Butt, Y.M.; Wachsmann, J.W.; Subramaniam, R.M. Role of FDG PET/CT in the Eighth Edition of TNM Staging of Non-Small Cell Lung Cancer. Radiographics 2018, 38, 2134–2149. [Google Scholar] [CrossRef]
- Gallamini, A.; Zwarthoed, C.; Borra, A. Positron Emission Tomography (PET) in Oncology. Cancers 2014, 6, 1821–1889. [Google Scholar] [CrossRef]
- Mongula, J.E.; Bakers, F.C.H.; Voo, S.; Lutgens, L.; van Gorp, T.; Kruitwagen, R.; Slangen, B.F.M. Positron emission tomography-magnetic resonance imaging (PET-MRI) for response assessment after radiation therapy of cervical carcinoma: A pilot study. EJNMMI Res. 2018, 8, 1. [Google Scholar] [CrossRef]
- Seifert, R.; Kersting, D.; Rischpler, C.; Opitz, M.; Kirchner, J.; Pabst, K.M.; Mavroeidi, I.A.; Laschinsky, C.; Grueneisen, J.; Schaarschmidt, B.; et al. Clinical Use of PET/MR in Oncology: An Update. Semin. Nucl. Med. 2022, 52, 356–364. [Google Scholar] [CrossRef]
- Mayerhoefer, M.E.; Prosch, H.; Beer, L.; Tamandl, D.; Beyer, T.; Hoeller, C.; Berzaczy, D.; Raderer, M.; Preusser, M.; Hochmair, M.; et al. PET/MRI versus PET/CT in oncology: A prospective single-center study of 330 examinations focusing on implications for patient management and cost considerations. Eur. J. Nucl. Med. Mol. Imaging 2020, 47, 51–60. [Google Scholar] [CrossRef]
- Schaarschmidt, B.M.; Grueneisen, J.; Metzenmacher, M.; Gomez, B.; Gauler, T.; Roesel, C.; Heusch, P.; Ruhlmann, V.; Umutlu, L.; Antoch, G.; et al. Thoracic staging with (18)F-FDG PET/MR in non-small cell lung cancer—Does it change therapeutic decisions in comparison to (18)F-FDG PET/CT? Eur. Radiol. 2017, 27, 681–688. [Google Scholar] [CrossRef]
- Martin, O.; Schaarschmidt, B.M.; Kirchner, J.; Suntharalingam, S.; Grueneisen, J.; Demircioglu, A.; Heusch, P.; Quick, H.H.; Forsting, M.; Antoch, G.; et al. PET/MRI Versus PET/CT for Whole-Body Staging: Results from a Single-Center Observational Study on 1,003 Sequential Examinations. J. Nucl. Med. 2020, 61, 1131–1136. [Google Scholar] [CrossRef]
- Gould, M.K.; Tang, T.; Liu, I.L.; Lee, J.; Zheng, C.; Danforth, K.N.; Kosco, A.E.; Di Fiore, J.L.; Suh, D.E. Recent Trends in the Identification of Incidental Pulmonary Nodules. Am. J. Respir. Crit. Care Med. 2015, 192, 1208–1214. [Google Scholar] [CrossRef]
- Chandarana, H.; Heacock, L.; Rakheja, R.; DeMello, L.R.; Bonavita, J.; Block, T.K.; Geppert, C.; Babb, J.S.; Friedman, K.P. Pulmonary nodules in patients with primary malignancy: Comparison of hybrid PET/MR and PET/CT imaging. Radiology 2013, 268, 874–881. [Google Scholar] [CrossRef]
- Stolzmann, P.; Veit-Haibach, P.; Chuck, N.; Rossi, C.; Frauenfelder, T.; Alkadhi, H.; von Schulthess, G.; Boss, A. Detection rate, location, and size of pulmonary nodules in trimodality PET/CT-MR: Comparison of low-dose CT and Dixon-based MR imaging. Investig. Radiol. 2013, 48, 241–246. [Google Scholar] [CrossRef]
- Sawicki, L.M.; Grueneisen, J.; Buchbender, C.; Schaarschmidt, B.M.; Gomez, B.; Ruhlmann, V.; Wetter, A.; Umutlu, L.; Antoch, G.; Heusch, P. Comparative Performance of (1)(8)F-FDG PET/MRI and (1)(8)F-FDG PET/CT in Detection and Characterization of Pulmonary Lesions in 121 Oncologic Patients. J. Nucl. Med. 2016, 57, 582–586. [Google Scholar] [CrossRef]
- Sawicki, L.M.; Grueneisen, J.; Buchbender, C.; Schaarschmidt, B.M.; Gomez, B.; Ruhlmann, V.; Umutlu, L.; Antoch, G.; Heusch, P. Evaluation of the Outcome of Lung Nodules Missed on 18F-FDG PET/MRI Compared with 18F-FDG PET/CT in Patients with Known Malignancies. J. Nucl. Med. 2016, 57, 15–20. [Google Scholar] [CrossRef]
- Raad, R.A.; Friedman, K.P.; Heacock, L.; Ponzo, F.; Melsaether, A.; Chandarana, H. Outcome of small lung nodules missed on hybrid PET/MRI in patients with primary malignancy. J. Magn. Reson. Imaging 2016, 43, 504–511. [Google Scholar] [CrossRef]
- Chang, C.Y.; Lee, T.H.; Liu, R.S.; Li, C.Y.; Yang, B.H.; Chang, W.Y.; Lin, T.P.; Chang, C.W.; Yao, S.F.; Wei, T.C.; et al. Fractionated deep-inspiration breath-hold ZTE Compared with Free-breathing four-dimensional ZTE for detecting pulmonary nodules in oncological patients underwent PET/MRI. Sci. Rep. 2021, 11, 17636. [Google Scholar] [CrossRef]
- Zeng, F.; Nogami, M.; Ueno, Y.R.; Kanda, T.; Sofue, K.; Kubo, K.; Kurimoto, T.; Murakami, T. Diagnostic performance of zero-TE lung MR imaging in FDG PET/MRI for pulmonary malignancies. Eur. Radiol. 2020, 30, 4995–5003. [Google Scholar] [CrossRef]
- Vermersch, M.; Emsen, B.; Monnet, A.; Chalaye, J.; Galletto Pregliasco, A.; Baranes, L.; Rahmouni, A.; Luciani, A.; Itti, E.; Mule, S. Chest PET/MRI in Solid Cancers: Comparing the Diagnostic Performance of a Free-Breathing 3D-T1-GRE Stack-of-Stars Volume Interpolated Breath-Hold Examination (StarVIBE) Acquisition With That of a 3D-T1-GRE Volume Interpolated Breath-Hold Examination (VIBE) for Chest Staging During Whole-Body PET/MRI. J. Magn. Reson. Imaging 2022, 55, 1683–1693. [Google Scholar] [CrossRef]
- Bruckmann, N.M.; Kirchner, J.; Morawitz, J.; Umutlu, L.; Fendler, W.P.; Herrmann, K.; Bittner, A.K.; Hoffmann, O.; Fehm, T.; Lindemann, M.E.; et al. Free-breathing 3D Stack of Stars GRE (StarVIBE) sequence for detecting pulmonary nodules in (18)F-FDG PET/MRI. EJNMMI Phys. 2022, 9, 11. [Google Scholar] [CrossRef]
- Mari, A.; Pacini, G.; Murphy, E.; Ludvik, B.; Nolan, J.J. A model-based method for assessing insulin sensitivity from the oral glucose tolerance test. Diabetes Care 2001, 24, 539–548. [Google Scholar] [CrossRef]
- Barter, J.F.; Soong, S.J.; Hatch, K.D.; Orr, J.W.; Shingleton, H.M. Diagnosis and treatment of pulmonary metastases from cervical carcinoma. Gynecol. Oncol. 1990, 38, 347–351. [Google Scholar] [CrossRef]
- Ki, E.Y.; Lee, K.H.; Park, J.S.; Hur, S.Y. A Clinicopathological Review of Pulmonary Metastasis from Uterine Cervical Cancer. Cancer Res. Treat. 2016, 48, 266–272. [Google Scholar] [CrossRef]
- Seki, M.; Nakagawa, K.; Tsuchiya, S.; Matsubara, T.; Kinoshita, I.; Weng, S.Y.; Tsuchiya, E. Surgical treatment of pulmonary metastases from uterine cervical cancer. Operation method by lung tumor size. J. Thorac. Cardiovasc. Surg. 1992, 104, 876–881. [Google Scholar] [CrossRef]
- Fabozzi, S.J.; Schellhammer, P.F.; el-Mahdi, A.M. Pulmonary metastases from prostate cancer. Cancer 1995, 75, 2706–2709. [Google Scholar] [CrossRef]
- Bubendorf, L.; Schopfer, A.; Wagner, U.; Sauter, G.; Moch, H.; Willi, N.; Gasser, T.C.; Mihatsch, M.J. Metastatic patterns of prostate cancer: An autopsy study of 1,589 patients. Hum. Pathol. 2000, 31, 578–583. [Google Scholar] [CrossRef]
- Taylor, R.J.; Morrell, S.L.; Mamoon, H.A.; Wain, G.V. Effects of screening on cervical cancer incidence and mortality in New South Wales implied by influences of period of diagnosis and birth cohort. J. Epidemiol. Community Health 2001, 55, 782–788. [Google Scholar] [CrossRef]
- Liu, H.; Chen, R.; Tong, C.; Liang, X.W. MRI versus CT for the detection of pulmonary nodules: A meta-analysis. Medicine 2021, 100, e27270. [Google Scholar] [CrossRef]
- Crimi, F.; Varotto, A.; Orsatti, G.; Lacognata, C.; Cecchin, D.; Frigo, A.C.; Zucchetta, P.; Stramare, R.; Pomerri, F. Lung visualisation on PET/MRI: Implementing a protocol with a short echo-time and low flip-angle volumetric interpolated breath-hold examination sequence. Clin. Radiol. 2020, 75, 239.e215–239.e221. [Google Scholar] [CrossRef]
- Huang, Y.S.; Niisato, E.; Su, M.M.; Benkert, T.; Chien, N.; Chiang, P.Y.; Lee, W.J.; Chen, J.S.; Chang, Y.C. Applying Compressed Sensing Volumetric Interpolated Breath-Hold Examination and Spiral Ultrashort Echo Time Sequences for Lung Nodule Detection in MRI. Diagnostics 2021, 12, 93. [Google Scholar] [CrossRef]
- Renz, D.M.; Herrmann, K.H.; Kraemer, M.; Boettcher, J.; Waginger, M.; Krueger, P.C.; Pfeil, A.; Streitparth, F.; Kentouche, K.; Gruhn, B.; et al. Ultrashort echo time MRI of the lung in children and adolescents: Comparison with non-enhanced computed tomography and standard post-contrast T1w MRI sequences. Eur. Radiol. 2022, 32, 1833–1842. [Google Scholar] [CrossRef]
- Catana, C.; Guimaraes, A.R.; Rosen, B.R. PET and MR imaging: The odd couple or a match made in heaven? J. Nucl. Med. 2013, 54, 815–824. [Google Scholar] [CrossRef]
- Zhu, Y.; Zhu, X. MRI-Driven PET Image Optimization for Neurological Applications. Front. Neurosci. 2019, 13, 782. [Google Scholar] [CrossRef]
- Dziedzic, R.; Rzyman, W. Non-calcified pulmonary nodules detected in low-dose computed tomography lung cancer screening programs can be potential precursors of malignancy. Quant. Imaging Med. Surg. 2020, 10, 1179–1181. [Google Scholar] [CrossRef]
- Pepin, A.; Daouk, J.; Bailly, P.; Hapdey, S.; Meyer, M.E. Management of respiratory motion in PET/computed tomography: The state of the art. Nucl. Med. Commun. 2014, 35, 113–122. [Google Scholar] [CrossRef]
- Rusinek, H.; Naidich, D.P.; McGuinness, G.; Leitman, B.S.; McCauley, D.I.; Krinsky, G.A.; Clayton, K.; Cohen, H. Pulmonary nodule detection: Low-dose versus conventional CT. Radiology 1998, 209, 243–249. [Google Scholar] [CrossRef]
- Goo, J.M. Computer-aided detection of lung nodules on chest CT: Issues to be solved before clinical use. Korean J. Radiol. 2005, 6, 62–63. [Google Scholar] [CrossRef][Green Version]
- Schilham, A.M.; van Ginneken, B.; Loog, M. A computer-aided diagnosis system for detection of lung nodules in chest radiographs with an evaluation on a public database. Med. Image Anal. 2006, 10, 247–258. [Google Scholar] [CrossRef]
- Biondetti, P.; Vangel, M.G.; Lahoud, R.M.; Furtado, F.S.; Rosen, B.R.; Groshar, D.; Canamaque, L.G.; Umutlu, L.; Zhang, E.W.; Mahmood, U.; et al. PET/MRI assessment of lung nodules in primary abdominal malignancies: Sensitivity and outcome analysis. Eur. J. Nucl. Med. Mol. Imaging 2021, 48, 1976–1986. [Google Scholar] [CrossRef]






| Primary Tumor | Number of Patients | Male (n) | Female (n) | Age (Years) |
|---|---|---|---|---|
| Cervix carcinoma | 145 | 0 | 145 | 52.6 ± 16.0 |
| Prostate carcinoma | 91 | 91 | 0 | 73.0 ± 7.1 |
| Other gynecological tumors * | 30 | 0 | 30 | 63.1 ± 12.4 |
| Sarcoma and desmoid tumors | 17 | 3 | 14 | 56.0 ± 17.3 |
| Colorectal carcinoma | 19 | 9 | 10 | 67.1 ± 10.5 |
| Breast cancer | 8 | 0 | 8 | 62.0 ± 9.9 |
| Other ** | 18 | 9 | 9 | 55.3 ± 15.2 |
| Total | 328 | 112 | 216 | 60.8 ± 15.5 |
| CT | ||||
|---|---|---|---|---|
| Indeterminate Lung Nodules | No Lung Nodules | |||
| PET-MRI | Indeterminate lung nodules | 23 | 0 | 23 |
| No Lung Nodules | 77 | 208 | 285 | |
| 100 | 208 | 308 | ||
| Value | 95% CI | |||
| Sensitivity | 23.0% | 15.2–32.5% | ||
| Specificity | 100.0% | 98.2–100.0% | ||
| Positive Likelihood Ratio | - | - | ||
| Negative Likelihood Ratio | 0.77 | 0.69–0.86 | ||
| Disease prevalence | 32.5% | 27.27–38.01% | ||
| Positive Predictive Value | 100.0% | - | ||
| Negative Predictive Value | 73.0% | 70.82–75.04% | ||
| Accuracy | 75.0% | 69.77–79.74% | ||
| CT | ||||
|---|---|---|---|---|
| Metastases | No Metastases | Total | ||
| PET-MRI | Metastases | 17 | 0 | 17 |
| No Metastases | 3 | 308 | 311 | |
| Total | 20 | 308 | 328 | |
| Value | 95% CI | |||
| Sensitivity | 85.0% | 62.1–96.8% | ||
| Specificity | 100.0% | 98.8–100.0% | ||
| Positive Likelihood Ratio | - | - | ||
| Negative Likelihood Ratio | 0.15 | 0.05–0.43 | ||
| Disease prevalence | 6.1% | 3.76–9.26% | ||
| Positive Predictive Value | 100.0% | - | ||
| Negative Predictive Value | 99.0% | 97.31–99.66% | ||
| Accuracy | 99.1% | 97.35–99.81% | ||
Disclaimer/Publisher’s Note: The statements, opinions and data contained in all publications are solely those of the individual author(s) and contributor(s) and not of MDPI and/or the editor(s). MDPI and/or the editor(s) disclaim responsibility for any injury to people or property resulting from any ideas, methods, instructions or products referred to in the content. |
© 2024 by the authors. Licensee MDPI, Basel, Switzerland. This article is an open access article distributed under the terms and conditions of the Creative Commons Attribution (CC BY) license (https://creativecommons.org/licenses/by/4.0/).
Share and Cite
Weijer, T.v.d.; van der Meer, W.L.; Moonen, R.P.M.; van Nijnatten, T.J.A.; Gietema, H.A.; Mitea, C.; van der Pol, J.A.J.; Wildberger, J.E.; Mottaghy, F.M. Limited Additional Value of a Chest CT in Whole-Body Staging with PET-MRI: A Retrospective Cohort Study. Cancers 2024, 16, 2265. https://doi.org/10.3390/cancers16122265
Weijer Tvd, van der Meer WL, Moonen RPM, van Nijnatten TJA, Gietema HA, Mitea C, van der Pol JAJ, Wildberger JE, Mottaghy FM. Limited Additional Value of a Chest CT in Whole-Body Staging with PET-MRI: A Retrospective Cohort Study. Cancers. 2024; 16(12):2265. https://doi.org/10.3390/cancers16122265
Chicago/Turabian StyleWeijer, Tineke van de, Wilhelmina L. van der Meer, Rik P. M. Moonen, Thiemo J. A. van Nijnatten, Hester A. Gietema, Cristina Mitea, Jochem A. J. van der Pol, Joachim E. Wildberger, and Felix M. Mottaghy. 2024. "Limited Additional Value of a Chest CT in Whole-Body Staging with PET-MRI: A Retrospective Cohort Study" Cancers 16, no. 12: 2265. https://doi.org/10.3390/cancers16122265
APA StyleWeijer, T. v. d., van der Meer, W. L., Moonen, R. P. M., van Nijnatten, T. J. A., Gietema, H. A., Mitea, C., van der Pol, J. A. J., Wildberger, J. E., & Mottaghy, F. M. (2024). Limited Additional Value of a Chest CT in Whole-Body Staging with PET-MRI: A Retrospective Cohort Study. Cancers, 16(12), 2265. https://doi.org/10.3390/cancers16122265

