Imaging of Peritoneal Carcinomatosis in Advanced Ovarian Cancer: CT, MRI, Radiomic Features and Resectability Criteria
Abstract
:Simple Summary
Abstract
1. Introduction
2. Materials and Methods
3. Surgical Staging and Treatment
- Diffuse deep infiltration of the root of small bowel mesentery
- Diffuse carcinomatosis of the small bowel involving such large parts that resection would lead to a short bowel syndrome (remaining bowel < 1.5 m)
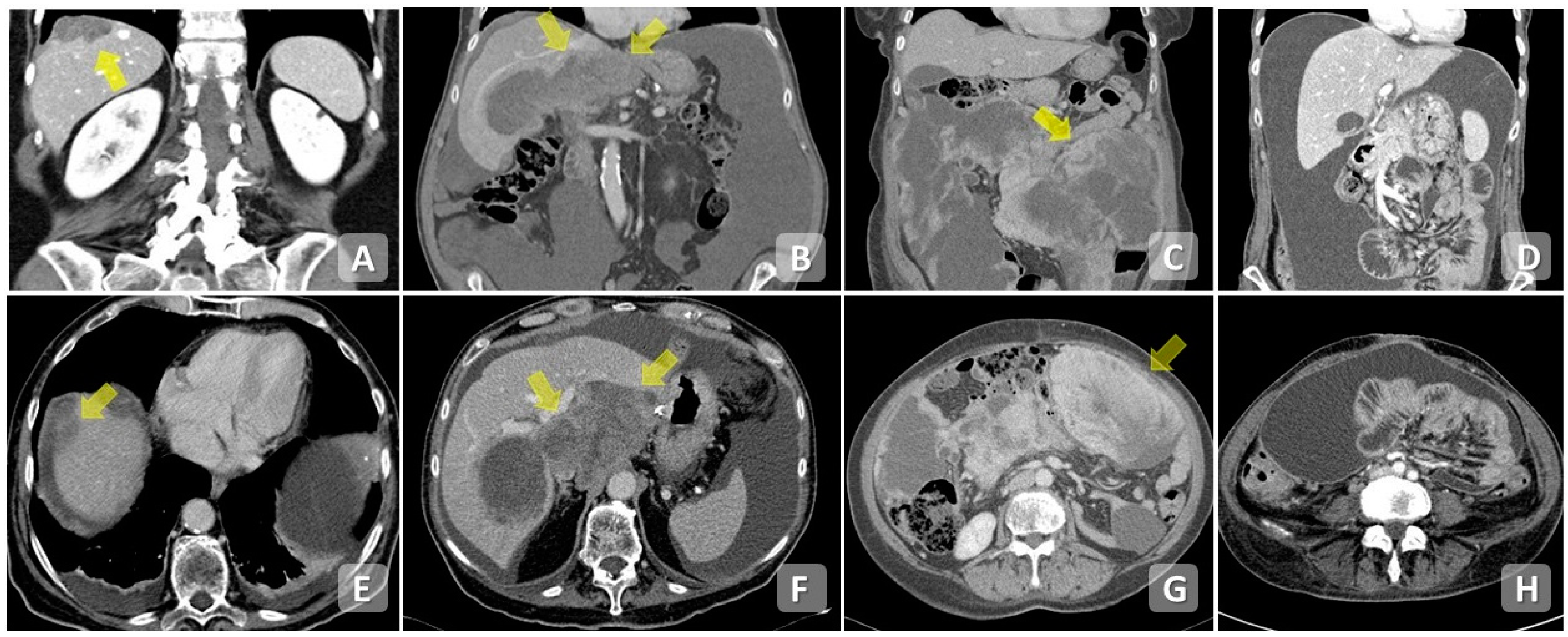
- Diffuse involvement/deep infiltration of:
- ➢
- stomach/duodenum;
- ➢
- head or middle part of pancreas
- Involvement of coeliac trunk, hepatic arteries, left gastric artery, Hepatic hilum infiltration or hepatic metastases
- Multiple parenchymal lung metastases (preferably histologically proven)
- Non-resectable lymph nodes
- Brain metastases
4. Imaging
4.1. Computed Tomography
4.2. Magnetic Resonance Imaging
4.3. PET-CT
4.4. PET-MRI
5. Diffusion Pathways
6. Disease Patterns
7. Scoring System in Diagnostic Imaging
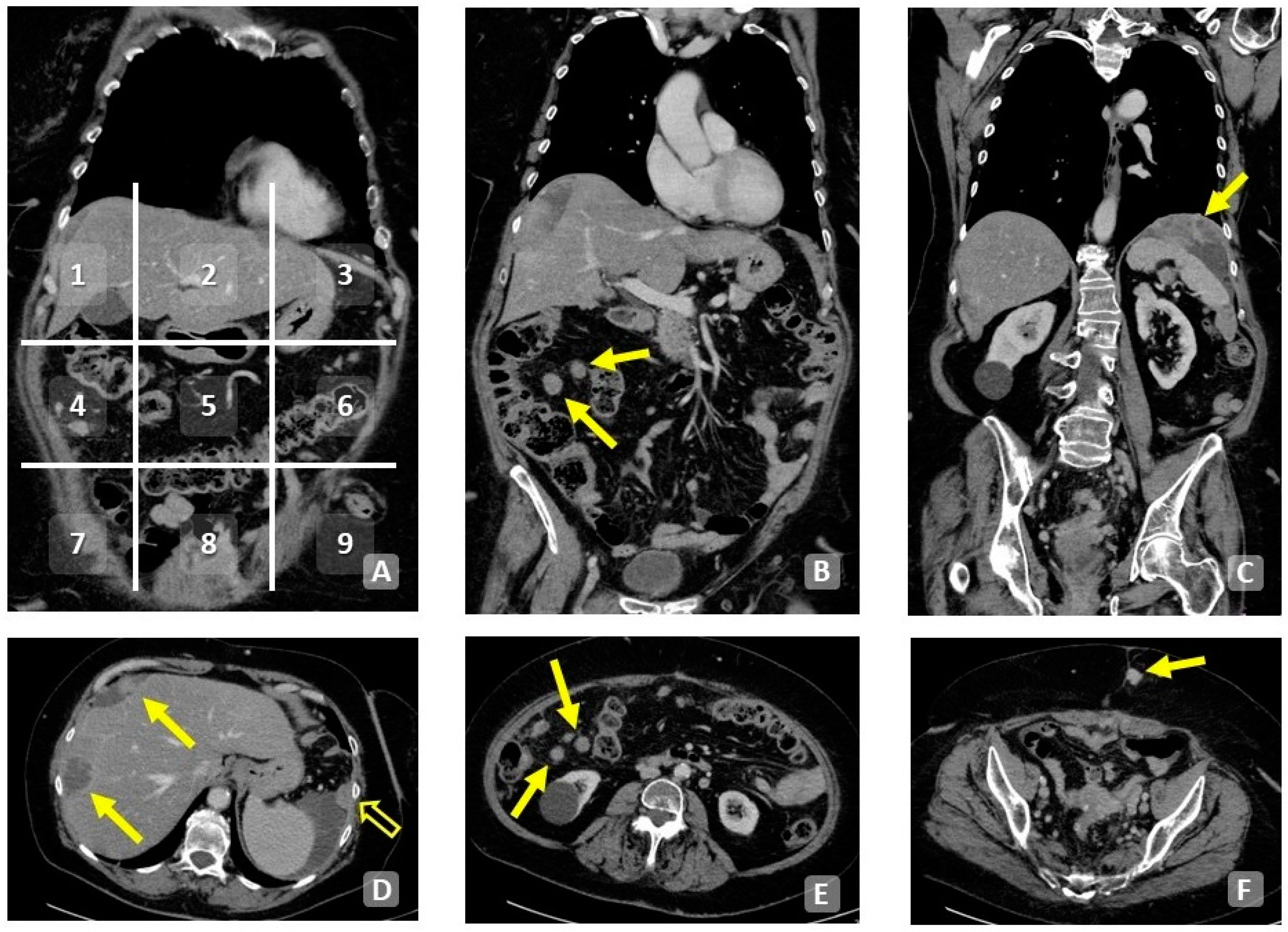
7.1. Peritoneal Cancer Index (PCI)
7.2. Bowel, Upper Abdomen, Mesentery in Peritoneal Metastasis (BUMPY)
8. Radiomics
9. Conclusions
Author Contributions
Funding
Conflicts of Interest
Abbreviations
References
- Jemal, A.; Tiwari, R.; Murray, T.; Ghafoor, A.; Samuels, A.; Ward, E.; Feuer, E.; Feuer, M. Cancer statistics, 2004. CA Cancer J. Clin. 2004, 54, 8–29. [Google Scholar] [CrossRef] [PubMed]
- Munkarah, A.R.; Coleman, R.L. Critical evaluation of secondary cytoreduction in recurrent ovarian cancer. Gynecol. Oncol. 2004, 95, 273–280. [Google Scholar] [CrossRef] [PubMed]
- Lheureux, S.; Braunstein, M.; Oza, A. Epithelial ovarian cancer: Evolution of management in the era of precision medicine. CA Cancer J. Clin. 2019, 69, 280–304. [Google Scholar] [CrossRef]
- Iafrate, F.; Ciolina, M.; Sammartino, P.; Baldassari, P.; Rengo, M.; Lucchesi, P.; Sibio, S.; Accarpio, F.; Di Giorgio, A.; Laghi, A. Peritoneal carcinomatosis: Imaging with 64-MDCT and 3T MRI with diffusion-weighted imaging. Abdom. Imaging 2012, 37, 616–627. [Google Scholar] [CrossRef] [PubMed]
- Fagotti, A.; Gallotta, V.; Romano, F.; Fanfani, F.; Rossitto, C.; Naldini, A.; Vigliotta, M.; Scambia, G. Peritoneal carcinosis of ovarian origin. World J. Gastrointest. Oncol. 2010, 2, 102–108. [Google Scholar] [CrossRef] [PubMed]
- Winter, W.E.; Maxwell, G.L.; Tian, C.; Carlson, J.W.; Ozols, R.F.; Rose, P.G.; Markman, M.; Armstrong, D.K.; Muggia, F. Gynecologic Oncology Group Study. Prognostic factors for stage III epithelial ovarian cancer: A Gynecologic Oncology Group Study. J. Clin. Oncol. Off. J. Am. Soc. Clin. Oncol. 2007, 25, 3621–3627. [Google Scholar] [CrossRef] [PubMed]
- Nougaret, S.; Sadowski, E.; Lakhman, Y.; Rousset, P.; Lahaye, M.; Worley, M.; Sgarbura, O.; Shinagare, A.B. The BUMPy road of peritoneal metastases in ovarian cancer. Diagn. Interv. Imaging 2022, 103, 448–459. [Google Scholar] [CrossRef] [PubMed]
- Armstrong, D.K.; Bundy, B.; Wenzel, L.; Huang, H.Q.; Baergen, R.; Lele, S.; Copeland, L.J.; Walker, J.L.; Burger, R.A.; Gynecologic Oncology Group. Intraperitoneal cisplatin and paclitaxel in ovarian cancer. N. Engl. J. Med. 2006, 354, 34–43. [Google Scholar] [CrossRef]
- Reginelli, A.; Giacobbe, G.; Del Canto, M.T.; Alessandrella, M.; Balestrucci, G.; Urraro, F.; Russo, G.M.; Gallo, L.; Danti, G.; Miele, V. Peritoneal Carcinosis: What the Radiologist Needs to Know. Diagnostics 2023, 13, 1974. [Google Scholar] [CrossRef]
- Rodolfino, E.; Devicienti, E.; Miccò, M.; Del Ciello, A.; Di Giovanni, S.E.; Giuliani, M.; Conte, C.; Gui, B.; Valentini, A.L.; Bonomo, L. Diagnostic accuracy of MDCT in the evaluation of patients with peritoneal carcinomatosis from ovarian cancer: Is delayed enhanced phase really effective? Eur. Rev. Med. Pharmacol. Sci. 2016, 20, 4426–4434. [Google Scholar]
- Forstner, R.; Hricak, H.; Occhipinti, K.A.; Powell, C.B.; Frankel, S.D.; Stern, J.L. Ovarian cancer: Staging with CT and MR imaging. Radiology 1995, 197, 619–626. [Google Scholar] [CrossRef] [PubMed]
- Coakley, F.V.; Choi, P.H.; Gougoutas, C.A.; Pothuri, B.; Venkatraman, E.; Chi, D.; Bergman, A.; Hricak, H. Peritoneal metastases: Detection with spiral CT in patients with ovarian cancer. Radiology 2002, 223, 495–499. [Google Scholar] [CrossRef] [PubMed]
- Funicelli, L.; Travaini, L.L.; Landoni, F.; Trifirò, G.; Bonello, L.; Bellomi, M. Peritoneal carcinomatosis from ovarian cancer: The role of CT and [18F]FDG-PET/CT. Abdom. Imaging 2010, 35, 701–707. [Google Scholar] [CrossRef] [PubMed]
- Colombo, N.; Sessa, C.; du Bois, A.; Ledermann, J.; McCluggage, W.G.; McNeish, I.; Morice, P.; Pignata, S.; Ray-Coquard, I.; ESMO-ESGO Ovarian Cancer Consensus Conference Working Group. ESMO-ESGO consensus conference recommendations on ovarian cancer: Pathology and molecular biology, early and advanced stages, borderline tumours and recurrent disease†. Ann. Oncol. Off. J. Eur. Soc. Med. Oncol. 2019, 30, 672–705. [Google Scholar] [CrossRef]
- Shashikant, L.; Kesterson Joshua, P. In Pursuit of Optimal Cytoreduction in Ovarian Cancer Patients: The Role of Surgery and Surgeon. J. Obstet. Gynaecol. India 2009, 59, 209–216. [Google Scholar]
- du Bois, A.; Reuss, A.; Pujade-Lauraine, E.; Harter, P.; Ray-Coquard, I.; Pfisterer, J. Role of surgical outcome as prognostic factor in advanced epithelial ovarian cancer: A combined exploratory analysis of 3 prospectively randomized phase 3 multicenter trials: By the Arbeitsgemeinschaft Gynaekologische Onkologie Studiengruppe Ovarialkarzinom (AGO-OVAR) and the Groupe d’Investigateurs Nationaux Pour les Etudes des Cancers de l’Ovaire (GINECO). Cancer 2009, 115, 1234–1244. [Google Scholar] [CrossRef]
- Bristow, R.; Tomacruz, R.; Armstrong, D.; Trimble, E.; Montz, F. Survival Effect of Maximal Cytoreductive Surgery for Advanced Ovarian Carcinoma During the Platinum Era: A Meta-Analysis. J. Clin. Oncol. Off. J. Am. Soc. Clin. Oncol. 2023, 41, 4065–4076. [Google Scholar] [CrossRef]
- Vergote, I.; Tropé, C.G.; Amant, F.; Kristensen, G.B.; Ehlen, T.; Johnson, N.; Verheijen, R.H.M.; Burg, M.E.L.; van der Lacave, A.J.; NCIC Clinical Trials Group. Neoadjuvant chemotherapy or primary surgery in stage IIIC or IV ovarian cancer. N. Engl. J. Med. 2010, 363, 943–953. [Google Scholar] [CrossRef]
- Kehoe, S.; Hook, J.; Nankivell, M.; Jayson, G.C.; Kitchener, H.; Lopes, T.; Luesley, D.; Perren, T.; Bannoo, S.; Swart, A.M. Primary chemotherapy versus primary surgery for newly diagnosed advanced ovarian cancer (CHORUS): An open-label, randomised, controlled, non-inferiority trial. Lancet 2015, 386, 249–257. [Google Scholar] [CrossRef]
- Fagotti, A.; Ferrandina, G.; Fanfani, F.; Ercoli, A.; Lorusso, D.; Rossi, M.; Scambia, G. A laparoscopy-based score to predict surgical outcome in patients with advanced ovarian carcinoma: A pilot study. Ann. Surg. Oncol. 2006, 13, 1156–1161. [Google Scholar] [CrossRef]
- Fagotti, A.; Ferrandina, G.; Fanfani, F.; Garganese, G.; Vizzielli, G.; Carone, V.; Salerno, M.G.; Scambia, G. Prospective validation of a laparoscopic predictive model for optimal cytoreduction in advanced ovarian carcinoma. Am. J. Obstet. Gynecol. 2008, 199, e1–e6. [Google Scholar] [CrossRef] [PubMed]
- Vizzielli, G.; Costantini, B.; Tortorella, L.; Petrillo, M.; Fanfani, F.; Chiantera, V.; Ercoli, A.; Iodice, R.; Scambia, G.; Fagotti, A. Influence of intraperitoneal dissemination assessed by laparoscopy on prognosis of advanced ovarian cancer: An exploratory analysis of a single-institution experience. Ann. Surg. Oncol. 2014, 21, 3970–3977. [Google Scholar] [CrossRef] [PubMed]
- Fagotti, A.; Vizzielli, G.; De Iaco, P.; Surico, D.; Buda, A.; Mandato, V.D.; Petruzzelli, F.; Ghezzi, F.; Garzarelli, S.; Scambia, G. A multicentric trial (Olympia-MITO 13) on the accuracy of laparoscopy to assess peritoneal spread in ovarian cancer. Am. J. Obstet. Gynecol. 2013, 209, 462.e1–462.e11. [Google Scholar] [CrossRef] [PubMed]
- Fagotti, A.; Ferrandina, G.; Vizzielli, G.; Fanfani, F.; Gallotta, V.; Chiantera, V.; Costantini, B.; Margariti, P.A.; Gueli Alletti, S.; Scambia, G. Phase III randomised clinical trial comparing primary surgery versus neoadjuvant chemotherapy in advanced epithelial ovarian cancer with high tumour load (SCORPION trial): Final analysis of peri-operative outcome. Eur. J. Cancer 2016, 59, 22–33. [Google Scholar] [CrossRef] [PubMed]
- El-Agwany, A.S. Laparoscopy and Computed Tomography Imaging in Advanced Ovarian Tumors: A Roadmap for Prediction of Optimal Cytoreductive Surgery. Gynecol. Minim. Invasive Ther. 2018, 7, 66–69. [Google Scholar] [CrossRef] [PubMed]
- Hanna, D.N.; Ghani, M.O.; Hermina, A.; Mina, A.; Bailey, C.E.; Idrees, K.; Magge, D. Diagnostic Laparoscopy in Patients with Peritoneal Carcinomatosis Is Safe and Does Not Delay Cytoreductive Surgery with Hyperthermic Intraperitoneal Chemotherapy. Am. Surg. 2022, 88, 698–703. [Google Scholar] [CrossRef]
- Bristow, R.E.; Duska, L.R.; Lambrou, N.C.; Fishman, E.K.; O’Neill, M.J.; Trimble, E.L.; Montz, F.J. A model for predicting surgical outcome in patients with advanced ovarian carcinoma using computed tomography. Cancer 2000, 89, 1532–1540. [Google Scholar] [CrossRef]
- Gerestein, C.G.; Eijkemans, M.J.; Bakker, J.; Elgersma, O.E.; Burg, M.E.L.V.D.; Kooi, G.S.; Burger, C.W. Nomogram for Suboptimal Cytoreduction at Primary Surgery for Advanced Stage Ovarian Cancer. Anticancer Res. 2011, 31, 4043–4049. [Google Scholar]
- Pinto, P.; Burgetova, A.; Cibula, D.; Haldorsen, I.S.; Indrielle-Kelly, T.; Fischerova, D. Prediction of Surgical Outcome in Advanced Ovarian Cancer by Imaging and Laparoscopy: A Narrative Review. Cancers 2023, 15, 1904. [Google Scholar] [CrossRef]
- Feng, Z.; Wen, H.; Jiang, Z.; Liu, S.; Ju, X.; Chen, X.; Xia, L.; Xu, J.; Bi, R.; Wu, X. A triage strategy in advanced ovarian cancer management based on multiple predictive models for R0 resection: A prospective cohort study. J. Gynecol. Oncol. 2018, 29, e65. [Google Scholar] [CrossRef]
- Avesani Arshad, M.; Lu, H.; Fotopoulou, C.; Cannone, F.; Melotti, R.; Aboagye, E.; Rockall, A. Radiological assessment of Peritoneal Cancer Index on preoperative CT in ovarian cancer is related to surgical outcome and survival. La Radiol. Med. 2020, 125, 770–776. [Google Scholar] [CrossRef] [PubMed]
- Elsherif, S.B.; Zheng, S.; Ganeshan, D.; Iyer, R.; Wei, W.; Bhosale, P.R. Does dual-energy CT differentiate benign and malignant ovarian tumours? Clin. Radiol. 2020, 75, 606–614. [Google Scholar] [CrossRef] [PubMed]
- Benveniste, A.P.; de Castro Faria, S.; Broering, G.; Ganeshan, D.M.; Tamm, E.P.; Iyer, R.B.; Bhosale, P. Potential Application of Dual-Energy CT in Gynecologic Cancer: Initial Experience. Am. J. Roentgenol. 2017, 208, 695–705. [Google Scholar] [CrossRef] [PubMed]
- Lorusso, D.; Sarno, I.; Di Donato, V.; Palazzo, A.; Torrisi, E.; Pala, L.; Marchiano, A.; Raspagliesi, F. Is postoperative computed tomography evaluation a prognostic indicator in patients with optimally debulked advanced ovarian cancer? Oncology 2014, 87, 293–299. [Google Scholar] [CrossRef]
- Heitz, F.; Harter, P.; Åvall-Lundqvist, E.; Reuss, A.; Pautier, P.; Cormio, G.; Colombo, N.; Reinthaller, A.; Vergote, I.; de Bois, A. Early tumor regrowth is a contributor to impaired survival in patients with completely resected advanced ovarian cancer. An exploratory analysis of the Intergroup trial AGO-OVAR 12. Gynecol. Oncol. 2019, 152, 235–242. [Google Scholar] [CrossRef]
- Kang, S.; Reinhold, C.; Atri, M.; Benson, C.; Bhosale, P.; Jhingran, A.; Lakhman, Y.; Maturen, K.; Nicola, R.P.G. ACR Appropriateness Criteria® Staging and Follow-Up of Ovarian Cancer. J. Am. Coll. Radiol. JACR 2018, 15, S198–S207. [Google Scholar] [CrossRef]
- Kose, S. Role of Computed Tomography in the Evaluation of Peritoneal Carcinomatosis. J. Belg. Soc. Radiol. 2023, 107, 1–27. [Google Scholar] [CrossRef] [PubMed]
- Nougaret, S.; Addley, H.; Colombo, P.; Fujii, S.; Ss, S.; Tirumani, S.; Jardon, K.; Sala, E.; Reinhold, R. Ovarian carcinomatosis: How the radiologist can help plan the surgical approach. Radiogr. A Rev. Publ. Radiol. Soc. N. Am. Inc. 2012, 32, 775–800. [Google Scholar] [CrossRef]
- Tempany, C.; Zou, K.; Silverman, S.; Brown, D.; Kurtz, A.; McNeil, B. Staging of advanced ovarian cancer: Comparison of imaging modalities--report from the Radiological Diagnostic Oncology Group. Radiology 2000, 215, 761–767. [Google Scholar] [CrossRef]
- Pfannenberg, C.; Königsrainer, I.; Aschoff, P.; Oksüz, M.; Zieker, D.; Beckert, S.; Symons, S.; Nieselt, K.; Glatzle, J.; Königsrainer, A. (18)F-FDG-PET/CT to select patients with peritoneal carcinomatosis for cytoreductive surgery and hyperthermic intraperitoneal chemotherapy. Ann. Surg. Oncol. 2009, 16, 1295–1303. [Google Scholar] [CrossRef]
- Qayyum, A.; Coakley, F.V.; Westphalen, A.C.; Hricak, H.; Okuno, W.T.; Powell, B. Role of CT and MR imaging in predicting optimal cytoreduction of newly diagnosed primary epithelial ovarian cancer. Gynecol. Oncol. 2005, 96, 301–306. [Google Scholar] [CrossRef] [PubMed]
- de Bree, E.; Koops, W.; Kröger, R.; van Ruth, S.; Witkamp, A.J.; Zoetmulder, F. Peritoneal carcinomatosis from colorectal or appendiceal origin: Correlation of preoperative CT with intraoperative findings and evaluation of interobserver agreement. J. Surg. Oncol. 2004, 86, 64–73. [Google Scholar] [CrossRef] [PubMed]
- Mazzei, M.A.; Khader, L.; Cirigliano, A.; Cioffi Squitieri, N.; Guerrini, S.; Forzoni, B.; Marrelli, D.; Roviello, F.; Mazzei, F.G.; Volterrani, L. Accuracy of MDCT in the preoperative definition of Peritoneal Cancer Index (PCI) in patients with advanced ovarian cancer who underwent peritonectomy and hyperthermic intraperitoneal chemotherapy (HIPEC). Abdom. Imaging 2013, 38, 1422–1430. [Google Scholar] [CrossRef] [PubMed]
- Choi, H.J.; Lim, M.C.; Bae, J.; Cho, K.S.; Jung, D.C.; Kang, S.; Yoo, C.W.; Seo, S.S.; Park, S.Y. Region-based diagnostic performance of multidetector CT for detecting peritoneal seeding in ovarian cancer patients. Arch. Gynecol. Obstet. 2011, 283, 353–360. [Google Scholar] [CrossRef]
- Low, R.N. Diffusion-Weighted MR Imaging for Whole Body Metastatic Disease and Lymphadenopathy. Magn. Reson. Imaging Clin. N. Am. 2009, 17, 245–261. [Google Scholar] [CrossRef] [PubMed]
- Fujii, S.; Matsusue, E.; Kanasaki, Y.; Kanamori, Y.; Nakanishi, J.; Sugihara, S.; Kigawa, J.; Terakawa, N.; Ogawa, T. Detection of peritoneal dissemination in gynecological malignancy: Evaluation by diffusion-weighted MR imaging. Eur. Radiol. 2008, 18, 18–23. [Google Scholar] [CrossRef]
- Yu, X.; Lee, E.Y.P.; Lai, V.; Chan, Q. Correlation between tissue metabolism and cellularity assessed by standardized uptake value and apparent diffusion coefficient in peritoneal metastasis. J. Magn. Reson. Imaging JMRI 2014, 40, 99–105. [Google Scholar] [CrossRef]
- Low, R.N.; Barone, R.M.; Lucero, J. Comparison of MRI and CT for predicting the Peritoneal Cancer Index (PCI) preoperatively in patients being considered for cytoreductive surgical procedures. Ann. Surg. Oncol. 2015, 22, 1708–1715. [Google Scholar] [CrossRef]
- Bozkurt, M.; Doganay, S.; Kantarci, M.; Yalcin, A.; Eren, S.; Atamanalp, S.S.; Yuce, I.; Yildirgan, M.I. Comparison of peritoneal tumor imaging using conventional MR imaging and diffusion-weighted MR imaging with different b values. Eur. J. Radiol. 2011, 80, 224–228. [Google Scholar] [CrossRef]
- Low, R.N.; Barone, R.M.; Lacey, C.; Sigeti, J.S.; Alzate, G.D.; Sebrechts, C.P. Peritoneal tumor: MR imaging with dilute oral barium and intravenous gadolinium-containing contrast agents compared with unenhanced MR imaging and CT. Radiology 1997, 204, 513–520. [Google Scholar] [CrossRef]
- Ricke, J.; Sehouli, J.; Hach, C.; Hänninen, E.L.; Lichtenegger, W.; Felix, R. Prospective evaluation of contrast-enhanced MRI in the depiction of peritoneal spread in primary or recurrent ovarian cancer. Eur. Radiol. 2003, 13, 943–949. [Google Scholar] [CrossRef]
- Rizzo, S.; De Piano, F.; Buscarino, V.; Pagan, E.; Bagnardi, V.; Zanagnolo, V.; Colombo, N.; Maggioni, A.; Del Grande, M.; Aletti, G. Pre-operative evaluation of epithelial ovarian cancer patients: Role of whole body diffusion weighted imaging MR and CT scans in the selection of patients suitable for primary debulking surgery. A single-centre study. Eur. J. Radiol. 2020, 123, 108786. [Google Scholar] [CrossRef] [PubMed]
- Michielsen, K.; Vergote, I.; Op de Beeck, K.; Amant, F.; Leunen, K.; Moerman, P.; Deroose, C.; Souverijns, G.; Dymarkowski, S.; Vandecaveye, V. Whole-body MRI with diffusion-weighted sequence for staging of patients with suspected ovarian cancer: A clinical feasibility study in comparison to CT and FDG-PET/CT. Eur. Radiol. 2014, 24, 889–901. [Google Scholar] [CrossRef] [PubMed]
- Fischerova, D.; Pinto, P.; Burgetova, A.; Masek, M.; Slama, J.; Kocian, R.; Frühauf, F.; Zikan, M.; Dusek, L.; Cibula, D. Preoperative staging of ovarian cancer: Comparison between ultrasound, CT and whole-body diffusion-weighted MRI (ISAAC study). Ultrasound Obstet. Gynecol. 2022, 59, 248–262. [Google Scholar] [CrossRef] [PubMed]
- Ledermann, J.A.; Raja, F.A.; Fotopoulou, C.; Gonzalez-Martin, A.; Colombo, N.; Sessa, C. ESMO Guidelines Working Group. Newly diagnosed and relapsed epithelial ovarian carcinoma: ESMO Clinical Practice Guidelines for diagnosis, treatment and follow-up. Ann. Oncol. Off. J. Eur. Soc. Med. Oncol. 2013, 24 (Suppl. S6), vi24–vi32. [Google Scholar] [CrossRef]
- Pannu, H.K.; Bristow, R.E.; Cohade, C.; Fishman, E.K.; Wahl, R.L. PET-CT in recurrent ovarian cancer: Initial observations. Radiogr. A Rev. Publ. Radiol. Soc. N. Am. Inc. 2004, 24, 209–223. [Google Scholar] [CrossRef] [PubMed]
- Anthony, M.P.; Khong, P.L.; Zhang, J. Spectrum of (18)F-FDG PET/CT appearances in peritoneal disease. AJR. Am. J. Roentgenol. 2009, 193, W523–W529. [Google Scholar] [CrossRef]
- Kim, H.W.; Won, K.S.; Zeon, S.K.; Ahn, B.C.; Gayed, I.W. Peritoneal carcinomatosis in patients with ovarian cancer: Enhanced CT versus 18F-FDG PET/CT. Clin. Nucl. Med. 2013, 38, 93–97. [Google Scholar] [CrossRef]
- Lopez-Lopez, V.; Cascales-Campos, P.A.; Gil, J.; Frutos, L.; Andrade, R.J.; Fuster-Quiñonero, M.; Feliciangeli, E.; Gil, E.; Parrilla, P. Use of (18)F-FDG PET/CT in the preoperative evaluation of patients diagnosed with peritoneal carcinomatosis of ovarian origin, candidates to cytoreduction and hipec. A pending issue. Eur. J. Radiol. 2016, 85, 1824–1828. [Google Scholar] [CrossRef]
- Jónsdóttir, B.; Ripoll, M.A.; Bergman, A.; Silins, I.; Poromaa, I.S.; Ahlström, H.; Stålberg, K. Validation of 18F-FDG PET/MRI and diffusion-weighted MRI for estimating the extent of peritoneal carcinomatosis in ovarian and endometrial cancer -a pilot study. Cancer Imaging Off. Publ. Int. Cancer Imaging Soc. 2021, 21, 34. [Google Scholar] [CrossRef]
- Fiaschetti, V.; Calabria, F.; Crusco, S.; Meschini, A.; Nucera, F.; Schillaci, O.; Simonetti, G. MR-PET fusion imaging in evaluating adnexal lesions: A preliminary study. La Radiol. Med. 2011, 116, 1288–1302. [Google Scholar] [CrossRef] [PubMed]
- Forstner, R. Radiological staging of ovarian cancer: Imaging findings and contribution of CT and MRI. Eur. Radiol. 2007, 17, 3223–3235. [Google Scholar] [CrossRef] [PubMed]
- Purbadi, S.; Anggraeni, T.; Vitria, A. Early stage epithelial ovarian cancer metastasis through peritoneal fluid circulation. J. Ovarian Res. 2021, 14, 1–5. [Google Scholar] [CrossRef] [PubMed]
- Le, O. Patterns of peritoneal spread of tumor in the abdomen and pelvis. World J. Radiol. 2013, 5, 106–112. [Google Scholar] [CrossRef] [PubMed]
- Bailly, C.; Bailly-Glatre, A.; Alfidja, A.; Vincent, C.; Dauplat, J.; Pomel, C. Peritoneal carcinosis in ovarian cancer: Conventional imaging (CT-scan and MRI. Bull. Du Cancer 2009, 96, 1155–1162. [Google Scholar] [CrossRef]
- Agarwal, A.; Yeh, B.; Breiman, R.; Qayyum, A.; Coakley, F. Peritoneal calcification: Causes and distinguishing features on CT. AJR. Am. J. Roentgenol. 2004, 182, 441–445. [Google Scholar] [CrossRef]
- Kawamoto, S.; Urban, B.; Fishman, E. CT of epithelial ovarian tumors. Radiogr. A Rev. Publ. Radiol. Soc. N. Am. Inc. 1999, 19, S85–S102. [Google Scholar] [CrossRef] [PubMed]
- Pannu, H.K.; Bristow, R.E.; Montz, F.J.; Fishman, E.K. Multidetector CT of peritoneal carcinomatosis from ovarian cancer. Radiogr. A Rev. Publ. Radiol. Soc. N. Am. Inc. 2003, 23, 687–701. [Google Scholar] [CrossRef]
- Brasanac, D.; Boricic, I.; Todorovic, V.; Basta-Jovanovic, G. Umbilical metastasis (Sister Joseph’s nodule) as a first sign of a disseminated ovarian carcinoma: Comparative immunohistochemical analysis of primary tumor and its metastases. Int. J. Gynecol. Cancer Off. J. Int. Gynecol. Cancer Soc. 2005, 15, 377–381. [Google Scholar] [CrossRef]
- Jacquet, P.; Sugarbaker, P. Clinical research methodologies in diagnosis and staging of patients with peritoneal carcinomatosis. Cancer Treat. Res. 1996, 82, 359–374. [Google Scholar] [CrossRef]
- Tentes, A.A.K.; Tripsiannis, G.; Markakidis, S.K.; Karanikiotis, C.N.; Tzegas, G.; Georgiadis, G.; Avgidou, K. Peritoneal cancer index: A prognostic indicator of survival in advanced ovarian cancer. Eur. J. Surg. Oncol. J. Eur. Soc. Surg. Oncol. Br. Assoc. Surg. Oncol. 2003, 29, 69–73. [Google Scholar] [CrossRef] [PubMed]
- Rosendahl, M.; Harter, P.; Bjørn, S.F.; Høgdall, C. Specific Regions, Rather than the Entire Peritoneal Carcinosis Index, are Predictive of Complete Resection and Survival in Advanced Epithelial Ovarian Cancer. Int. J. Gynecol. Cancer Off. J. Int. Gynecol. Cancer Soc. 2018, 28, 316–322. [Google Scholar] [CrossRef] [PubMed]
- Iavazzo, C.; Fotiou, A.; Psomiadou, V.; Lekka, S.; Katsanos, D.; Spiliotis, J. Small Bowel PCI Score as a Prognostic Factor of Ovarian Cancer Patients Undergoing Cytoreductive Surgery (CRS) with Hyperthermic Intraperitoneal Chemotherapy (HIPEC), a Retrospective Analysis of 130 Patients. Indian J. Surg. Oncol. 2021, 12, 258–265. [Google Scholar] [CrossRef] [PubMed]
- Goswami, G.; Kammar, P.; Mangal, R.; Shaikh, S.; Patel, M.D.; Bhatt, A. Accuracy of CT Scan in Predicting the Surgical PCI in Patients Undergoing Cytoreductive Surgery with/without HIPEC-a Prospective Single Institution Study. Indian J. Surg. Oncol. 2019, 10, 296–302. [Google Scholar] [CrossRef] [PubMed]
- Mikkelsen, M.S.; Petersen, L.K.; Blaakaer, J.; Marinovskij, E.; Rosenkilde, M.; Andersen, G.; Bouchelouche, K.; Iversen, L.H. Assessment of peritoneal metastases with DW-MRI, CT, and FDG PET/CT before cytoreductive surgery for advanced stage epithelial ovarian cancer. Eur. J. Surg. Oncol. J. Eur. Soc. Surg. Oncol. Br. Assoc. Surg. Oncol. 2021, 47, 2134–2141. [Google Scholar] [CrossRef] [PubMed]
- Lomnytska, M.; Karlsson, E.; Jonsdottir, B.; Lejon, A.M.; Stålberg, K.; Poromaa, I.S.; Silins, I.; Graf, W. Peritoneal cancer index predicts severe complications after ovarian cancer surgery. Eur. J. Surg. Oncol. J. Eur. Soc. Surg. Oncol. Br. Assoc. Surg. Oncol. 2021, 47, 2915–2924. [Google Scholar] [CrossRef] [PubMed]
- Rizzo, S.; Botta, F.; Raimondi, S.; Origgi, D.; Fanciullo, C.; Morganti, A.G.; Bellomi, M. Radiomics: The facts and the challenges of image analysis. Eur. Radiol. Exp. 2018, 2, 36. [Google Scholar] [CrossRef] [PubMed]
- Jong, E.E.C.; de Elmpt, W.; van Rizzo, S.; Colarieti, A.; Spitaleri, G.; Leijenaar, R.T.H.; Jochems, A.; Hendriks, L.E.L.; Troost, E.G.C.; Lambin, P. Applicability of a prognostic CT-based radiomic signature model trained on stage I-III non-small cell lung cancer in stage IV non-small cell lung cancer. Lung Cancer 2018, 124, 6–11. [Google Scholar] [CrossRef]
- Chianca, V.; Albano, D.; Messina, C.; Vincenzo, G.; Rizzo, S.; Del Grande, F.; Sconfienza, L.M. An update in musculoskeletal tumors: From quantitative imaging to radiomics. La Radiol. Med. 2021, 126, 1095–1105. [Google Scholar] [CrossRef]
- Nougaret, S.; McCague, C.; Tibermacine, H.; Vargas, H.A.; Rizzo, S.; Sala, E. Radiomics and radiogenomics in ovarian cancer: A literature review. Abdom. Radiol. 2021, 46, 2308–2322. [Google Scholar] [CrossRef]
- Vargas, H.A.; Huang, E.P.; Lakhman, Y.; Ippolito, J.E.; Bhosale, P.; Mellnick, V.; Shinagare, A.B.; Anello, M.; Kirby, J.; Sala, E. Radiogenomics of High-Grade Serous Ovarian Cancer: Multireader Multi-Institutional Study from the Cancer Genome Atlas Ovarian Cancer Imaging Research Group. Radiology 2017, 285, 482–492. [Google Scholar] [CrossRef] [PubMed]
- Vargas, H.A.; Veeraraghavan, H.; Micco, M.; Nougaret, S.; Lakhman, Y.; Meier, A.A.; Sosa, R.; Soslow, R.A.; Levine, D.A.; Sala, E. A novel representation of inter-site tumour heterogeneity from pre-treatment computed tomography textures classifies ovarian cancers by clinical outcome. Eur. Radiol. 2017, 27, 3991–4001. [Google Scholar] [CrossRef] [PubMed]
- Rizzo, S.; Botta, F.; Raimondi, S.; Origgi, D.; Buscarino, V.; Colarieti, A.; Tomao, F.; Aletti, G.; Zanagnolo, V.; Bellomi, M. Radiomics of high-grade serous ovarian cancer: Association between quantitative CT features, residual tumour and disease progression within 12 months. Eur. Radiol. 2018, 28, 4849–4859. [Google Scholar] [CrossRef] [PubMed]
- Meier, A.; Veeraraghavan, H.; Nougaret, S.; Lakhman, Y.; Sosa, R.; Soslow, R.A.; Sutton, E.J.; Hricak, H.; Sala, E.; Vargas, H.A. Association between CT-texture-derived tumor heterogeneity, outcomes, and BRCA mutation status in patients with high-grade serous ovarian cancer. Abdom. Radiol. 2019, 44, 2040–2047. [Google Scholar] [CrossRef] [PubMed]
- Yu, X.Y.; Ren, J.; Jia, Y.; Wu, H.; Niu, G.; Liu, A.; Gao, Y.; Hao, F.; Xie, L. Multiparameter MRI Radiomics Model Predicts Preoperative Peritoneal Carcinomatosis in Ovarian Cancer. Front. Oncol. 2021, 11, 765652. [Google Scholar] [CrossRef]
- Song, X.L.; Ren, J.L.; Yao, T.Y.; Zhao, D.; Niu, J. Radiomics based on multisequence magnetic resonance imaging for the preoperative prediction of peritoneal metastasis in ovarian cancer. Eur. Radiol. 2021, 31, 8438–8446. [Google Scholar] [CrossRef]
- Hatamikia, S.; Nougaret, S.; Panico, C.; Avesani, G.; Nero, C.; Boldrini, L.; Sala, E.; Woitek, R. Ovarian cancer beyond imaging: Integration of AI and multiomics biomarkers. Eur. Radiol. Exp. 2023, 7, 50. [Google Scholar] [CrossRef]







| FIGO staging of ovary cancer | Stage | Description |
| I | Tumor confined to the ovaries or fallopian tube(s) IA: Limited to one ovary (capsule intact) or fallopian tube IB: Limited to both ovaries (capsule intact) or fallopian tubes IC: Limited to one or both ovaries or fallopian tubes, with any of the following: IC1: Surgical spill intraoperatively IC2: Capsule ruptured before surgery, or tumor on ovarian or fallopian tube surface IC3: Malignant cells present in the ascites or peritoneal washing | |
| II | Tumor involves one or both ovaries or fallopian tubes or is primary peritoneal cancer and involves other pelvic organs IIA: Extension and/or implants on the uterus and/or fallopian tubes and/or ovaries IIB: Extension to the other pelvic intraperitoneal tissue | |
| III | Tumor involves one or both ovaries or fallopian tubes or primary peritoneal cancer and spreads beyond the pelvis but not outside the abdominal cavity IIIA: Cancer involves the pelvic structures and the retroperitoneal lymph nodes, without macroscopic visible tumor outside of the pelvis IIIB: Cancer involves structures outside of the pelvis (<2 cm) IIIC: Cancer involves structures outside of the pelvis (>2 cm). This included surface implants along abdominal solid organs, without parenchymal involvement. | |
| IV | Distant metastasis excluding peritoneal metastases IVA: Metastatic pleural effusion IVB: Parenchymal metastatic lesion and/or metastases to extra-abdominal organs (including inguinal and thoracic lymph nodes) |
| Modality | Authors | Title | Patients | Aim of Study | Sensitivity (%) | Specificity (%) | |
|---|---|---|---|---|---|---|---|
| 1 | CT | Choi H.J. et al., 2010 [44] | Region-based diagnostic performance of multidetector CT for detecting peritoneal seeding in OC patients | 57 | To determine the accuracy of CT compared with the surgical findings (peritoneal seeding, metastatic lymph nodes) in OC patients | 45 | 72 |
| 2 | CT MRI | Tempany C.M.C. et al., 2000 [39] | Staging of advanced OC: comparison of imaging modalities-report from the radiological diagnostic oncology group | 118 | To compare multiple imaging modalities for diagnosing and staging advanced OC | 92 95 | 82 80 |
| 3 | CT | Mazzei M.A. et al., 2013 [43] | Accuracy of MDCT in the preoperative definition of peritoneal cancer index (PCI) in patients with advanced OC who underwent peritonectomy and hyperthermic intraperitoneal chemotherapy | 43 | To assess MDCT accuracy in preoperatively defining the peritoneal cancer index (PCI) in individuals with advanced ovarian cancer | 100 | 40 |
| 4 | CT MRI | Qayyuma A. et al., 2004 [41] | Role of CT and MR imaging in predicting optimal cytoreduction of newly diagnosed primary epithelial OC | 137 | To ascertain the comparative precision of CT and MR imaging in identifying non-surgically manageable tumor sites before cytoreductive surgery in patients with primary ovarian cancer | 79 71 | 99 100 |
| 5 | MRI | Ricke J. et al., 2002 [51] | Prospective evaluation of contrast-enhanced MRI in the depiction of peritoneal spread in primary or recurrent OC | 57 | To evaluate MRI accuracy in the staging of intra-abdominal tumor dissemination in ovarian cancer | 90.9 | 57.1 |
| 6 | PET/CT CT | Kim H.W. et al., 2013 [58] | Peritoneal carcinomatosis in Patients with OC—Enhanced CT Versus 18F-FDG PET/CT | 46 | To conduct a comparative analysis of the diagnostic accuracy between FDG PET/CT and enhanced abdominal CT | 96.2 88.5 | 90 65 |
| 7 | WB-DWI/MRI | Michielsen K. et al., 2014 [53] | Whole-body MRI with diffusion-weighted sequence for staging of patients with suspected ovarian cancer: a clinical feasibility study in comparison to CT and FDG-PET/CT | 32 | To evaluate whole-body DWI/MRI diagnostic effectiveness in staging and determining operability, in contrast to CT and FDG-PET/CT, for individuals with suspected ovarian cancer | 91 | 91 |
| 8 | CT F-FDG PET/CT | Lopez-Lopez V. et al., 2016 [59] | Use of (18)F-FDG PET/CT in the preoperative evaluation of patients diagnosed with peritoneal carcinomatosis of ovarian origin, candidates to cytoreduction and hipec. A pending issue | 59 | To evaluate the clinical usefulness of the results obtained with 18F-FDG PET/CT in relation to CT in the preoperative staging of patients with peritoneal carcinomatosis secondary to primary or recurrent OC | 35 24 | 98 93 |
| Author | Title | Patients | Results | |
|---|---|---|---|---|
| 1 | Rosendahl M, et al. (2018) [72] | Specific regions, rather than the entire Peritoneal Carcinosis Index, are predictive of complete resection and survival in advanced epithelial ovarian cancer | 673 | The predictive value of complete resection and survival is higher when specific PCI regions related to the small intestine and hepatoduodenal ligament are chosen compared to considering the entire PCI. |
| 2 | Tentes A.-A. K, et al. (2003) [71] | Peritoneal Cancer Index: a prognostic indicator of survival in advanced ovarian cancer | 60 | The extent of peritoneal spread in advanced ovarian cancer can be thoroughly evaluated through the peritoneal cancer index. This index plays a crucial role as a prognostic factor for survival and proves valuable in identifying distinct subgroups. |
| 3 | Avesani G, et al. (2020) [31] | Radiological assessment of Peritoneal Cancer Index on preoperative CT in ovarian cancer is related to surgical outcome and survival | 297 | The evaluation of preoperative CT-assessed PCI is linked to the likelihood of residual disease following cytoreductive surgery. Nevertheless, its effectiveness as a primary screening test to consistently pinpoint patients suitable for complete cytoreductive surgery is limited. CT-PCI exhibits a positive correlation with both disease-free survival and overall survival, thus serving as a potentially valuable independent prognostic factor. |
| 4 | Lomnytska M, et al. (2021) [76] | Peritoneal Cancer Index predicts severe complications after ovarian cancer surgery | 256 | Peritoneal cancer index ≥ 21 was an independent predictor of high-grade complications after ovarian cancer surgery. Increased peritoneal cancer index also impacted overall survival negatively, but high-grade complications did not influence overall survival. |
| 5 | Iavazzo C, et al. (2021) [73] | Small Bowel PCI Score as a prognostic factor of ovarian cancer patients undergoing cytoreductive surgery (CRS) with hyperthermic intraperitoneal chemotherapy (HIPEC), a retrospective analysis of 130 patients | 130 | A statistically significant correlation between small bowel-PCI score and overall survival of patients with advanced ovarian cancer was revealed. |
| 6 | Mikkelsen MS, et al. (2021) [75] | Assessment of peritoneal metastases with DW-MRI, CT, and FDG PET/CT before cytoreductive surgery for advanced stage epithelial ovarian cancer | 50 | None of the imaging modalities, including DW-MRI, CT, and FDG PET/CT, demonstrated superiority in the preoperative evaluation of surgical PCI in patients scheduled for upfront CRS for advanced stage EOC. |
| 7 | Goswami G, et al. (2019) [74] | Accuracy of CT scan in predicting the surgical PCI in patients undergoing cytoreductive surgery with/without HIPEC-a prospective single institution study | 50 | CT-PCI shows lower accuracy than surgical PCI in both high- and low-volume patients of disease. The difference in CT-PCI compared to surgical PCI is significant both in patients with ovarian cancer and in patients treated with neoadjuvant chemotherapy for peritoneal disease. |
| Author | Title | Patients | Results | |
|---|---|---|---|---|
| 1 | Vargas HA, et al. (2018) [81] | Radiogenomics of High-Grade Serous Ovarian Cancer: Multireader Multi-Institutional Study from the Cancer Genome Atlas Ovarian Cancer Imaging Research Group | 92 | Combinations of imaging features contained predictive signal for time to progression and CLOVAR profile. Interobserver agreement was strong for some features, but could be improved for others. |
| 2 | Vargas HA, et al. (2017) [82] | A novel representation of inter-site tumour heterogeneity from pre-treatment computed tomography textures classifies ovarian cancers by clinical outcome | 38 | Of the 12 inter-site texture heterogeneity metrics evaluated, those capturing the differences in texture similarities across sites were associated with shorter overall survival and incomplete surgical resection. |
| 3 | Rizzo S et al. (2018) [77] | Radiomics of high-grade serous ovarian cancer: association between quantitative CT features, residual tumour and disease progression within 12 months. | 101 | This study found significant associations between radiomic features and prognostic factors, such as residual tumour and progressive disease at 12 months |
| 4 | Meier A et al. (2019) [84] | Association between CT-texture-derived tumor heterogeneity, outcomes, and BRCA mutation status in patients with high-grade serous ovarian cancer. | 88 | Higher inter-site cluster variance was associated with lower PFS (p = 0.006) and OS (p = 0.003). Higher inter-site cluster prominence was associated with lower PFS (p = 0.02) and higher inter-site cluster entropy (SE) correlated with lower OS (p = 0.01). High values of the three metrics were significantly associated with lower complete surgical resection status in BRCA-negative patients |
| 5 | Yu XY et al. (2021) [85] | Multiparameter MRI Radiomics Model Predicts Preoperative Peritoneal Carcinomatosis in Ovarian Cancer | 88 | The radiomics model from the multiparametric-MRI combined sequence showed a higher area under the curve than the model from FS-T2WI, DWI, and DCE-MRI alone. A radiomics nomogram constructed by combining radiomics features and clinicopathological risk factors showed a better diagnostic effect than the clinical model and the radiomics model. |
| 6 | Song XL et al. (2021) [86] | Radiomics based on multisequence magnetic resonance imaging for the preoperative prediction of peritoneal metastasis in ovarian cancer. | 89 | The radiomics signature generated by 6 selected features showed a favorable discriminatory ability to predict peritoneal metastases. The nomogram, comprising the radiomics signature, pelvic fluid, and CA-125 level, showed more favorable discrimination. |
Disclaimer/Publisher’s Note: The statements, opinions and data contained in all publications are solely those of the individual author(s) and contributor(s) and not of MDPI and/or the editor(s). MDPI and/or the editor(s) disclaim responsibility for any injury to people or property resulting from any ideas, methods, instructions or products referred to in the content. |
© 2023 by the authors. Licensee MDPI, Basel, Switzerland. This article is an open access article distributed under the terms and conditions of the Creative Commons Attribution (CC BY) license (https://creativecommons.org/licenses/by/4.0/).
Share and Cite
Miceli, V.; Gennarini, M.; Tomao, F.; Cupertino, A.; Lombardo, D.; Palaia, I.; Curti, F.; Riccardi, S.; Ninkova, R.; Maccioni, F.; et al. Imaging of Peritoneal Carcinomatosis in Advanced Ovarian Cancer: CT, MRI, Radiomic Features and Resectability Criteria. Cancers 2023, 15, 5827. https://doi.org/10.3390/cancers15245827
Miceli V, Gennarini M, Tomao F, Cupertino A, Lombardo D, Palaia I, Curti F, Riccardi S, Ninkova R, Maccioni F, et al. Imaging of Peritoneal Carcinomatosis in Advanced Ovarian Cancer: CT, MRI, Radiomic Features and Resectability Criteria. Cancers. 2023; 15(24):5827. https://doi.org/10.3390/cancers15245827
Chicago/Turabian StyleMiceli, Valentina, Marco Gennarini, Federica Tomao, Angelica Cupertino, Dario Lombardo, Innocenza Palaia, Federica Curti, Sandrine Riccardi, Roberta Ninkova, Francesca Maccioni, and et al. 2023. "Imaging of Peritoneal Carcinomatosis in Advanced Ovarian Cancer: CT, MRI, Radiomic Features and Resectability Criteria" Cancers 15, no. 24: 5827. https://doi.org/10.3390/cancers15245827
APA StyleMiceli, V., Gennarini, M., Tomao, F., Cupertino, A., Lombardo, D., Palaia, I., Curti, F., Riccardi, S., Ninkova, R., Maccioni, F., Ricci, P., Catalano, C., Rizzo, S. M. R., & Manganaro, L. (2023). Imaging of Peritoneal Carcinomatosis in Advanced Ovarian Cancer: CT, MRI, Radiomic Features and Resectability Criteria. Cancers, 15(24), 5827. https://doi.org/10.3390/cancers15245827

