Complementary Role of CEUS and CT/MR LI-RADS for Diagnosis of Recurrent HCC
Abstract
:Simple Summary
Abstract
1. Introduction
2. Materials and Methods
2.1. Patients
2.2. Image Archiving and Scanning Parameters of CEUS, CT and MRI
2.3. Imaging Analysis
2.4. Reference Standard
2.5. Statistical Analysis
3. Results
3.1. Patient Characteristics
3.2. CEUS LI-RADS Features between Different Nodule Characteristics and Liver Background
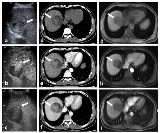
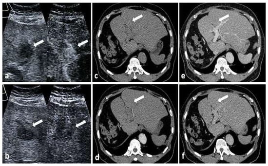
3.3. Comparison between CEUS and CT/MRI on LI-RADS Major Features for Recurrent HCC
3.4. Optimal Diagnosis Algorithms on CEUS, CT and MRI for Diagnosing Recurrent HCC
3.5. Diagnostic Performance of Different Algorithms on CEUS and CT LI-RADS
3.6. Diagnostic Performance of Different Algorithms on CEUS and MRI LI-RADS
| TP * | TN * | FP * | FN * | Sensitivity | Specificity | Accuracy | PPV | NPV | AUC | |
|---|---|---|---|---|---|---|---|---|---|---|
| n = 377 | ||||||||||
| CEUS (LR-4/5/M) | 183 | 180 | 12 | 2 | 98.9 (183/185) [96.2, 99.9] | 93.8 (180/192) [89.3, 96.7] | 96.3 (363/377) [94.4, 98.2] | 93.8 (183/195) [89.5, 96.8] | 98.9 (180/182) [96.1, 99.9] | 0.981 [0.962, 0.992] |
| CT (LR-4/5/M) | 167 | 173 | 19 | 18 | 90.3 (167/185) [85.1, 94.1] | 90.1 (173/192) [85.0, 93.9] | 90.2 (340/377) [87.2, 93.2] | 89.8 (167/186) [84.5, 93.7] | 90.6 (173/191) [85.5, 94.3] | 0.958 [0.932, 0.976] |
| p value | 0.000 | 0.189 | 0.000 | 0.189 | 0.000 | 0.024 | ||||
| n = 91 | ||||||||||
| CEUS (LR-4/5/M) | 60 | 26 | 4 | 1 | 98.4 (60/61) [91.2, 100] | 86.7 (26/30) [69.3, 96.2] | 94.5 (86/91) [89.8, 99.2] | 93.8 (60/64) [84.8, 98.3] | 96.3 (26/27) [81.0, 99.9] | 0.952 [0.886, 0.986] |
| MRI (LR-5/M) | 52 | 28 | 2 | 9 | 85.2 (52/61) [73.8, 93.0] | 93.3 (28/30) [77.9, 99.2] | 87.9 (80/91) [81.2, 94.6] | 96.3 (52/54) [87.3, 99.6] | 75.7 (28/37) [58.8, 88.2] | 0.933 [0.860, 0.974] |
| p value | 0.008 | 0.500 | 0.109 | 0.686 | 0.035 | 0.598 |
3.7. Comparison of Diagnostic Performance of CEUS, CT and MRI LI-RADS
3.8. Inter-Reader Agreement on LI-RADS Categories
3.9. The Detection Rate of Recurrent HCC on CEUS, CT and MRI
4. Discussion
5. Conclusions
Supplementary Materials
Author Contributions
Funding
Institutional Review Board Statement
Informed Consent Statement
Data Availability Statement
Conflicts of Interest
Abbreviation
| HCC | hepatocellular carcinoma |
| LI-RADS | Liver Imaging Reporting and Data System |
| ACR | American College of Radiology |
| CEUS | contrast-enhanced ultrasonography |
| CT | computer tomography |
| MRI | magnetic resonance imaging |
| APHE | arterial phase hyperenhancement |
| PPV | positive predictive value |
| NPV | negative predictive value |
| PVP | portal venous phase |
| TP | transitional phase |
| HBP | hepatobiliary phase |
| AP | arterial phase |
| AUC | area under the curve |
| US | ultrasound |
References
- Siegel, R.L.; Miller, K.D.; Fuchs, H.E.; Jemal, A. Cancer Statistics, 2021. CA Cancer J. Clin. 2021, 71, 7–33. [Google Scholar] [CrossRef] [PubMed]
- Forner, A.; Llovet, J.M.; Bruix, J. Hepatocellular carcinoma. Lancet 2012, 379, 1245–1255. [Google Scholar] [CrossRef] [PubMed]
- Wu, J.Y.; Bai, X.M.; Wang, H.; Xu, Q.; Wang, S.; Wu, W.; Yan, K.; Yang, W. The Perfusion Features of Recurrent Hepatocellular Carcinoma after Radiofrequency Ablation Using Contrast-Enhanced Ultrasound and Pathological Stemness Evaluation: Compared to Initial Tumors. Front. Oncol. 2020, 10, 1464. [Google Scholar] [CrossRef] [PubMed]
- Kono, Y.; Lyshchik, A.; Cosgrove, D.; Dietrich, C.F.; Jang, H.J.; Kim, T.K.; Piscaglia, F.; Willmann, J.K.; Wilson, S.R.; Santillan, C.; et al. Contrast Enhanced Ultrasound (CEUS) Liver Imaging Reporting and Data System (LI-RADS®): The official version by the American College of Radiology (ACR). Ultraschall Med. 2017, 38, 85–86. [Google Scholar] [CrossRef]
- American College of Radiology CT/MRI Liver Imaging Reporting and Data System Version 2018. Available online: https://www.acr.org/Clinical-Resources/Reporting-and-Data-Systems/LI-RADS/CT-MRI-LI-RADS-v2018 (accessed on 15 April 2022).
- Terzi, E.; Iavarone, M.; Pompili, M.; Veronese, L.; Cabibbo, G.; Fraquelli, M.; Riccardi, L.; De Bonis, L.; Sangiovanni, A.; Leoni, S.; et al. Contrast ultrasound LI-RADS LR-5 identifies hepatocellular carcinoma in cirrhosis in a multicenter restropective study of 1006 nodules. J. Hepatol. 2018, 68, 485–492. [Google Scholar] [CrossRef]
- Kim, Y.; Lee, S.; Shin, J.; Son, W.J.; Shin, H.; Lee, J.E.; Hwang, J.A.; Chung, Y.E.; Choi, J.; Park, M. Diagnostic Performance of Liver Imaging Reporting and Data System Version 2017 Versus Version 2018 for Hepatocellular Carcinoma: A Systematic Review and Meta-Analysis of Comparative Studies. J. Magn. Reson. Imaging 2021, 54, 1912–1919. [Google Scholar] [CrossRef]
- Wang, W.; Yang, C.; Zhu, K.; Yang, L.; Ding, Y.; Luo, R.; Zhu, S.; Chen, C.; Sun, W.; Zeng, M.; et al. Recurrence After Curative Resection of Hepatitis B Virus-Related Hepatocellular Carcinoma: Diagnostic Algorithms on Gadoxetic Acid-Enhanced Magnetic Resonance Imaging. Liver Transpl. 2020, 26, 751–763. [Google Scholar] [CrossRef]
- Leoni, S.; Piscaglia, F.; Granito, A.; Borghi, A.; Galassi, M.; Marinelli, S.; Terzi, E.; Bolondi, L. Characterization of primary and recurrent nodules in liver cirrhosis using contrast-enhanced ultrasound: Which vascular criteria should be adopted? Ultraschall Med. 2013, 34, 280–287. [Google Scholar] [CrossRef]
- Mikami, S.; Tateishi, R.; Akahane, M.; Asaoka, Y.; Kondo, Y.; Goto, T.; Shiina, S.; Yoshida, H.; Koike, K. Computed tomography follow-up for the detection of hepatocellular carcinoma recurrence after initial radiofrequency ablation: A single-center experience. J. Vasc. Interv. Radiol. 2012, 23, 1269–1275. [Google Scholar] [CrossRef]
- Vernuccio, F.; Cannella, R.; Meyer, M. Gadoxetic acid-enhanced magnetic resonance imaging characteristics of hepatocellular carcinoma occurring in liver transplants. Eur. Radiol. 2017, 27, 3117–3127. [Google Scholar]
- Bansal, S.; Lu, F.; Frehlich, L.; Wong, J.K.; Burak, K.W.; Wilson, S.R. A new proposal for secondary surveillance following potentially curative therapy of HCC: Alternating MRI and CEUS. Abdom. Radiol. 2022, 47, 618–629. [Google Scholar] [CrossRef]
- Kim, K.A.; Kim, M.J.; Choi, J.Y.; Park, M.S.; Lim, J.S.; Chung, Y.E.; Kim, K.W. Detection of recurrent hepatocellular carcinoma on post-operative surveillance: Comparison of MDCT and gadoxetic acid-enhanced MRI. Abdom. Imaging 2014, 39, 291–299. [Google Scholar] [CrossRef] [PubMed]
- Atri, M.; Jang, H.J.; Kim, T.K.; Khalili, K. Contrast-enhanced US of the Liver and Kidney: A Problem-solving Modality. Radiology 2022, 303, 11–25. [Google Scholar] [CrossRef] [PubMed]
- Lyshchik, A.; Kono, Y.; Dietrich, C.F.; Jang, H.J.; Kim, T.K.; Piscaglia, F.; Vezeridis, A.; Willmann, J.K.; Wilson, S.R. Contrast-enhanced ultrasound of the liver: Technical and lexicon recommendations from the ACR CEUS LI-RADS working group. Abdom. Radiol. 2018, 43, 861–879. [Google Scholar] [CrossRef] [PubMed]
- American College of Radiology. Liver Reporting & Data System. Available online: https://www.acr.org/Clinical-Resources/Reporting-and-Data-Systems/LI-RADS/Ultrasound-LI-RADS-v2017 (accessed on 11 November 2018).
- Tsochatzis, E.A.; Bosch, J.; Burroughs, A.K. Liver cirrhosis. Lancet 2014, 383, 1749–1761. [Google Scholar] [CrossRef]
- Ji, X.; Zhou, S.; Yang, P.; Liu, F.; Li, Y.; Li, H. Value of ultrasound combined with MRI in the diagnosis of primary and recurrent hepatocellular carcinoma. Oncol. Lett. 2019, 18, 6180–6186. [Google Scholar] [CrossRef] [PubMed]
- Yim, J.H.; Kim, Y.K.; Min, J.H.; Lee, J.; Kang, T.W.; Lee, S.J. Diagnosis of recurrent HCC: Intraindividual comparison of gadoxetic acid MRI and extracellular contrast-enhanced MRI. Abdom. Radiol. 2019, 44, 2366–2376. [Google Scholar] [CrossRef] [PubMed]
- Greis, C. Technical aspects of contrast-enhanced ultrasound (CEUS) examinations: Tips and tricks. Clin. Hemorheol. Microcirc. 2014, 58, 89–95. [Google Scholar] [CrossRef]
- Shagdarsuren, B.; Tamai, H.; Shingaki, N.; Mori, Y.; Maeshima, S.; Nuta, J.; Maeda, Y.; Moribata, K.; Niwa, T.; Deguchi, H.; et al. Contribution of Contrast-Enhanced Sonography With Perfluorobutane Microbubbles for Diagnosis of Recurrent Hepatocellular Carcinoma. J. Ultrasound Med. 2016, 35, 1383–1391. [Google Scholar] [CrossRef]
- Xu, H.X.; Xie, X.Y.; Lu, M.D.; Liu, G.J.; Xu, Z.F.; Zheng, Y.L.; Liang, J.Y.; Chen, L.D. Contrast-enhanced sonography in the diagnosis of small hepatocellular carcinoma < or =2 cm. J. Clin. Ultrasound 2008, 36, 257–266. [Google Scholar]
- Ikegami, T.; Sugiura, N.; Ebara, M.; Saisho, H.; Ohto, M. Development and predictive factors of hepatocellular carcinoma in patients with chronic liver disease over a long follow-up period. Nihon Shokakibyo Gakkai Zasshi 1994, 91, 1290–1300. [Google Scholar] [PubMed]
- Simmons, O.; Fetzer, D.T.; Yokoo, T.; Marrero, J.A.; Yopp, A.; Kono, Y.; Parikh, N.D.; Browning, T.; Singal, A.G. Predictors of adequate ultrasound quality for hepatocellular carcinoma surveillance in patients with cirrhosis. Aliment. Pharmacol. Ther. 2017, 45, 169–177. [Google Scholar] [CrossRef] [PubMed]
- Schoenberger, H.; Chong, N.; Fetzer, D.T.; Rich, N.E.; Yokoo, T.; Khatri, G.; Olivares, J.; Parikh, N.D.; Yopp, A.C.; Marrero, J.A.; et al. Dynamic Changes in Ultrasound Quality for Hepatocellular Carcinoma Screening in Patients with Cirrhosis. Clin. Gastroenterol. Hepatol. 2022, 20, 1561–1569.e1564. [Google Scholar] [CrossRef] [PubMed]
- European Association for the Study of the Liver. EASL Clinical Practice Guidelines: Management of hepatocellular carcinoma. J. Hepatol. 2018, 69, 182–236. [Google Scholar] [CrossRef]
- Marrero, J.A.; Kulik, L.M.; Sirlin, C.B.; Zhu, A.X.; Finn, R.S.; Abecassis, M.M.; Roberts, L.R.; Heimbach, J.K. Diagnosis, Staging, and Management of Hepatocellular Carcinoma: 2018 Practice Guidance by the American Association for the Study of Liver Diseases. Hepatology 2018, 68, 723–750. [Google Scholar] [CrossRef]



| Characteristic | Recurrent HCC | Benign Lesions | p-Value |
|---|---|---|---|
| Per-patient | |||
| Total | 174/303 (57.4) | 147/303 (48.5) | 0.034 |
| Sex | 0.467 | ||
| Male | 158/174 (90.8) | 129/147 (87.8) | |
| Female | 16/174 (9.2) | 18/147 (12.2) | |
| Age, median § | 56 (18–90) | 58 (18–84) | 0.122 |
| Per-lesion | 218/421 (51.8) | 203/421 (48.2) | |
| Size (mm), median § | 25.5 (8–96) | 14.0 (5–42) | 0.000 |
| Image modality | |||
| CEUS and CT | 185/377 (49.1) | 192/377 (50.9) | |
| CEUS and MRI | 61/91 (67.0) | 30/91 (33.0) | 0.002 |
| Reference standard | |||
| Needle biopsy | 55/218 (25.2) | 10/203 (4.9) | 0.000 |
| Surgery | 163/218 (74.8) | 7/203 (3.4) | 0.000 |
| Clinically confirmed | 0/218 (0) | 186/203 (91.6) | 0.000 |
| APHE | Washout | Rim Enhancement | |
|---|---|---|---|
| Size | |||
| ≥2 cm | 93.4 (141/151) | 96.7 (146/151) | 2.6 (4/151) |
| <2 cm | 97.0 (65/67) | 92.5 (62/67) | 1.5 (1/67) |
| Depth | |||
| ≥8 cm | 95.7 (45/47) | 89.4 (42/47) * | 2.1 (1/47) |
| <8 cm | 94.2 (161/171) | 97.1 (166/171) * | 2.3 (4/171) |
| Location Incisal margin | 93.5 (29/31) | 100 (31/31) | 3.2 (1/31) |
| Intrahepatic | 94.7 (177/187) | 94.7 (177/187) | 2.1 (4/187) |
| Cirrhosis | |||
| Cirrhosis | 91.7 (66/72) | 91.7 (66/72) | 2.8 (2/72) |
| Non-cirrhosis | 95.9 (140/146) | 97.3 (142/146) | 2.1 (3/146) |
| Visualization score | |||
| A + B | 96.3 (183/190) * | 96.3 (183/190) | 2.1 (4/190) |
| C | 82.1 (23/28) * | 89.3 (25/28) | 3.6 (1/28) |
| CEUS | CT | p Value | |
|---|---|---|---|
| APHE | 94.6 (175/185) | 73.0 (135/185) | 0.000 |
| ≥2 cm | 93.5 (115/123) | 73.2 (90/123) | 0.000 |
| <2 cm | 96.8 (60/62) | 72.6 (45/62) | 0.000 |
| Washout | 95.1 (176/185) | 76.2 (141/185) | 0.000 |
| ≥2 cm | 96.7 (119/123) | 80.5 (99/123) | 0.000 |
| <2 cm | 91.9 (57/62) | 67.7 (42/62) | 0.001 |
| Rim enhancement | 2.2 (4/185) | 2.7 (5/185) | 1.000 |
| ≥2 cm | 2.4 (3/123) | 4.1 (5/123) | 0.722 |
| <2 cm | 1.6 (1/62) | 0 (0/62) | 1.000 |
| Threshold growth | —— | 10.8 (20/185) | —— |
| ≥2 cm | —— | 12.2 (15/123) | —— |
| <2 cm | —— | 8.1 (5/62) | —— |
| Enhancing capsule | —— | 5.4 (10/185) | —— |
| ≥2 cm | —— | 8.1 (10/123) | —— |
| <2 cm | —— | 0 (0/62) | —— |
| CEUS | MRI | p Value | |
|---|---|---|---|
| APHE | 95.1 (58/61) | 80.3 (49/61) | 0.025 |
| ≥2 cm | 95.7 (44/46) | 80.4 (37/46) | 0.050 |
| <2 cm | 93.3 (14/15) | 80.0 (12/15) | 0.598 |
| Washout | 95.1 (58/61) | 83.6 (51/61) | 0.075 |
| ≥2 cm | 97.8 (45/46) | 84.8 (39/46) | 0.059 |
| <2 cm | 86.7 (13/15) | 80.0 (12/15) | 1.000 |
| Rim enhancement | 1.6 (1/61) | 8.2 (5/61) | 0.207 |
| ≥2 cm | 2.2 (1/46) | 8.7 (4/46) | 0.361 |
| <2 cm | 0 (0/15) | 6.7 (1/15) | 1.000 |
| Threshold growth | —— | 11.5 (7/61) | —— |
| ≥2 cm | —— | 15.2 (7/46) | —— |
| <2 cm | —— | 0 (0/15) | —— |
| Enhancing capsule | —— | 6.6 (4/61) | —— |
| ≥2 cm | —— | 8.7 (4/46) | —— |
| <2 cm | —— | 0 (0/15) | —— |
| TP * | TN * | FP * | FN * | Sensitivity | Specificity | Accuracy | PPV | NPV | AUC | |
|---|---|---|---|---|---|---|---|---|---|---|
| CEUS (n = 421) | ||||||||||
| LR-4/5/M | 216 | 190 | 13 | 2 | 99.1 (216/218) [96.7, 99.9] | 93.6 (190/203) [89.3, 96.6] | 96.4 (406/421) [94.7, 98.2] | 94.3 (216/229) [90.5, 96.9] | 99.0 (190/192) [96.3, 99.9] | 0.981 [0.963, 0.992] |
| CT (n = 377) | ||||||||||
| LR-4/5/M | 167 | 173 | 19 | 18 | 90.3 (167/185) [85.1, 94.1] | 90.1 (173/192) [85.0, 93.9] | 90.2 (340/377) [87.2, 93.2] | 89.8 (167/186) [84.5, 93.7] | 90.6 (173/191) [85.5, 94.3] | 0.958 [0.932, 0.976] |
| MRI (n = 91) | ||||||||||
| LR-5/M | 52 | 28 | 2 | 9 | 85.2 (52/61) [73.8, 93.0] | 93.3 (28/30) [77.9, 99.2] | 87.9 (80/91) [81.2, 94.6] | 96.3 (52/54) [87.3, 99.6] | 75.7 (28/37) [58.8, 88.2] | 0.933 [0.860, 0.974] |
Disclaimer/Publisher’s Note: The statements, opinions and data contained in all publications are solely those of the individual author(s) and contributor(s) and not of MDPI and/or the editor(s). MDPI and/or the editor(s) disclaim responsibility for any injury to people or property resulting from any ideas, methods, instructions or products referred to in the content. |
© 2023 by the authors. Licensee MDPI, Basel, Switzerland. This article is an open access article distributed under the terms and conditions of the Creative Commons Attribution (CC BY) license (https://creativecommons.org/licenses/by/4.0/).
Share and Cite
Cheng, M.-Q.; Huang, H.; Ruan, S.-M.; Xu, P.; Tong, W.-J.; He, D.-N.; Huang, Y.; Lin, M.-X.; Lu, M.-D.; Kuang, M.; et al. Complementary Role of CEUS and CT/MR LI-RADS for Diagnosis of Recurrent HCC. Cancers 2023, 15, 5743. https://doi.org/10.3390/cancers15245743
Cheng M-Q, Huang H, Ruan S-M, Xu P, Tong W-J, He D-N, Huang Y, Lin M-X, Lu M-D, Kuang M, et al. Complementary Role of CEUS and CT/MR LI-RADS for Diagnosis of Recurrent HCC. Cancers. 2023; 15(24):5743. https://doi.org/10.3390/cancers15245743
Chicago/Turabian StyleCheng, Mei-Qing, Hui Huang, Si-Min Ruan, Ping Xu, Wen-Juan Tong, Dan-Ni He, Yang Huang, Man-Xia Lin, Ming-De Lu, Ming Kuang, and et al. 2023. "Complementary Role of CEUS and CT/MR LI-RADS for Diagnosis of Recurrent HCC" Cancers 15, no. 24: 5743. https://doi.org/10.3390/cancers15245743
APA StyleCheng, M.-Q., Huang, H., Ruan, S.-M., Xu, P., Tong, W.-J., He, D.-N., Huang, Y., Lin, M.-X., Lu, M.-D., Kuang, M., Wang, W., Wu, S.-H., & Chen, L.-D. (2023). Complementary Role of CEUS and CT/MR LI-RADS for Diagnosis of Recurrent HCC. Cancers, 15(24), 5743. https://doi.org/10.3390/cancers15245743

