DNA Karyometry for Automated Detection of Cancer Cells
Abstract
Simple Summary
Abstract
1. Introduction
1.1. Prostate Cancer Grading
1.2. Screening Effusions
1.3. Oral Smears
2. Materials and Methods
2.1. Preparation of Specimens
2.2. Scanning Devices
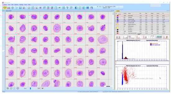
2.2.1. MotiCyte-Auto
2.2.2. EasyScan-AI
2.3. Opportunistic Oral Cancer Screening (New Results)
2.4. Grading Prostate Cancer, Reviewed from [6]
2.5. Screening Effusions, Reviewed from [4]
3. Results
3.1. Performance Standards
3.2. Oral Cancer Screening, New Results
3.3. Prostate Cancer Grading, Reviewed from [6]
3.4. Screening Serous Effusions, Reviewed from [4]
4. Discussion
4.1. Microscope-Based Scanners
4.2. Screening Oral Smears for Cancer Cells
4.3. Grading the Malignancy of Prostate Cancer
4.4. Screening Effusions for Cancer Cells
4.5. Remote Applications
4.6. Future Applications
5. Conclusions
Author Contributions
Funding
Data Availability Statement
Conflicts of Interest
References
- Remmerbach, T.W.; Meyer-Ebrecht, D.; Aach, T.; Würflinger, T.; Bell, A.; Schneider, T.; Nietzke, N.; Frerich, B.; Böcking, A. Toward a mutimodal cell analysis of brush-biopsies for the early detection of oral cancer. Cancer Cytopathol. 2009, 117, 228–235. [Google Scholar]
- Böcking, A.; Nguyen, V.Q.H. Diagnostic and prognostic use of DNA image cytometry in cervical squamous intraepithelial lesions and invasive carcinoma. Cancer Cytopathol. 2004, 102, 41–54. [Google Scholar]
- Grote, H.J.; Nguyen, H.V.; Leick, A.G.; Böcking, A. Identification of progressive cervical epithelial cell abnormalities using DNA-image cytometry. Cancer Cytopathol. 2004, 202, 373–379. [Google Scholar]
- Böcking, A.; Friedrich, D.; Meyer-Ebrecht, D.; Zhu, C.; Feider, A.; Biesterfeld, S. Automated detection of cancer cells in effusion specimens by DNA karyometry. Cancer Cytopathol. 2019, 127, 18–25. [Google Scholar]
- Velleuer, E.; Dietrich, R.; Pomjanski, N.; de Santara Almeida Araujo, I.; Silva de Araujo, B.E.; Sroka, I.; Biesterfeld, S.; Böcking, A.; Schramm, M. Diagnostic accuracy of brush biopsy-based cytology for the early detection of oral smears and precursors in Fanconi Anemia. Cancer Cytopathol. 2020, 128, 403–413. [Google Scholar]
- Böcking, A.; Friedrich, D.; Börgermann, C.; Biesterfeld, S.; Engers, R.; Dietz, J. Prediction of non-progression in prostate cancer patients under Active Surveillance by DNA karyometry. SM J. Urol. 2017, 3, 1030–1036. [Google Scholar]
- Thrall, M.J. Automated screening of Papanicolaou tests: A review of the literature. Diagn. Cytopathol. 2019, 47, 20–27. [Google Scholar]
- Anderson, G.; Macaulay, C.; Matisic, J.; Garner, D.; Palcic, B. The use of an automated image cytometer for screening and quantitative assessment of cervical lesions for screening. Cytopathology 1997, 8, 298–312. [Google Scholar]
- Sun, X.R.; Wang, J.; Garner, D.; Palcic, B. Detection of cervical cancer and high grade neoplastic lesions by a combination of liquid-based sampling preparation and DNA measurements using automated image cytometry. Cell Oncol. 2005, 27, 33–41. [Google Scholar]
- Wong, O.G.; Ho, M.W.; Tsun, O.K.; NG, A.K.; Tsui, E.Y.; Chow, J.N.; Ip, P.P.; Cheung, A.N. An automated quantitative DNA-image-cytometry system detects abnormal cells in cervical cytology with high senbsitivity. Cytopathology 2018, 29, 267–274. [Google Scholar]
- Ploem, J.; Verwoerd, N.; Bonnet, J.; Koper, G. An automated microscope for quantitative cytology combining television image analysis and stage scanning microphotometry. J. Histochem. Cytochem. 1979, 27, 136–143. [Google Scholar] [PubMed]
- Koss, L.G.; Liu, E.; Schreiber, K.; Elgert, P.; Mango, L. Evaluation of the PAPNET cytologic screening system for quality control of cervical smears. Am. J. Clin. Pathol. 1994, 101, 220–229. [Google Scholar]
- Tanaka, N.; Ueno, T.; Ishikawa, A.; Yamuchi, A.; Okamoto, Y.; Hosoi, S. CYBEST model 4. Automated cytologic screening system for uterine cancer utilizing image analysis processing. Anal. Quant. Cytol. Histol. 1987, 9, 449–454. [Google Scholar] [PubMed]
- Böcking, A. Comparability of tumor cytogenetics and DNA-cytometry. Letter to the editor. Mol. Cytogen. 2015, 8, 28. [Google Scholar]
- Berger, B. Verbesserung der Messpräzision der Diagnostischen DNA-Bildzytometrie. Ph.D. Thesis, University Düsseldorf, Düsseldorf, Germany, 16 November 2018. [Google Scholar]
- Remmerbach, T.; Weidenbach, H.; Hemprich, A.; Böcking, A. Earliest detection of oral cancer using non-invasive brush-biopsy including DNA-image-cytometry. Report on four cases. Anal. Cell Pathol. 2003, 25, 159–166. [Google Scholar] [PubMed][Green Version]
- Klotz, L.; Zhang, L.; Nam, A.; Mamedov, A.; Loblaw, A. Clinical results of long term follow-up of a large Active Surveillance cohort with localized prostate cancer. J. Clin. Oncol. 2010, 28, 126–131. [Google Scholar] [PubMed]
- Böcking, A.; Tils, M.; Schramm, M.; Dietz, J.; Biesterfeld, S. DNA-cytometric grading of prostate cancer systematic review with descriptive data analysis. Pathol. Discov. 2014, 2, 7. [Google Scholar]
- Available online: https://ods-cytometry.com (accessed on 24 August 2022).
- Feulgen, R.; Rossenbeck, H. Mikroskopisch-chemischer Nachweis einer Nukleinsäure vom Typus der Thymonukleinsäure und die darauf beruhende elektive Färbung von Zellkernen in mikroskoischen Präparaten. Hoppe-Seylers Z. Phyiol. Chem. 1924, 135, 203–248. [Google Scholar]
- Friedrich, D. Effective Improvement of Cancer Diagnostics and Prognostics by Computer-Assisted Cell Image. Ph.D. Thesis, RWTH-Aachen University, Aachen, Germany, 2015. [Google Scholar]
- Böcking, A.; Friedrich, D.; Palcic, B.; Meyer-Ebrecht, D.; Jin, C. Diagnostic and prognostic DNA-karyometry for cancer diagnostics. J. Cancer Res. Updates 2020, 9, 25–36. [Google Scholar]
- Würflinger, T.; Stockhausen, J.; Meyer-Ebrecht, D.; Böcking, A. Robust automatic coregistration, segmentation, and classification of cell nuclei in multimodal cytopathological microscope images. Comput. Med. Imaging Graph. 2004, 28, 87–98. [Google Scholar]
- Breiman, L. Random forests. Mach Learn. 2001, 45, 5–32. [Google Scholar]
- Haroske, G.; Giroud, F.; Reith, A.; Böcking, A. 1997 ESACP consensus report on diagnostic DNA image cytometry. Part I: Basic considerations and recommendations for preparation, measurement and interpretation. Anal. Cell Pathol. 1998, 17, 189–200. [Google Scholar] [PubMed]
- Haroske, G.; Baak, J.P.A.; Danielsen, H.; Giroud, F.; Gschwendtner, A.; Oberholzer, M.; Reith, A.; Spieler, P.; Böcking, A. Fourth updated ESACP consensus report on DNA-image cytometry. Anal. Cell Pathol. 2001, 23, 89–95. [Google Scholar]
- Friedrich, D.; Chen, J.; Zhang, Y.; Berynski, L.; Biesterfeld, S.; Aach, T.; Böcking, A. Identification of prostate cancer cell nuclei for DNA-grading of malignancy. In Bildverarbeitung für die Medizin; Springer: Berlin/Heidelberg, Germany, 2012; pp. 334–339. [Google Scholar]
- Böcking, A.; Giroud, F.; Reith, A. Consensus report of the European Society for Analytical Cellular Pathology task force of diagnostic DNA image cytometry. Anal. Cell Pathol. Histol. 1995, 17, 1–7. [Google Scholar]
- Giroud, F.; Haroske, G.; Reith, A.; Böcking, A. 1997 ESACP consensus report on diagnostic DNA image cytometry. Part II: Specific recommendations for quality assurance. European Society for Analytical Cellular Pathology. Anal. Cell Pathol. 1998, 17, 201–208. [Google Scholar] [PubMed]
- Spriggs, A.I.; Boddington, M.M. Atlas of serous fluids cytopathology. A guide to the cells of pleural, pericardial, peritoneal and lymphocele fluids. In Current Histopathology Series; Gresham, G.A., Ed.; Kluwer Academic Publishers: Dordrecht, Germany, 1989; Volume 14, pp. 1–10. [Google Scholar]
- Arnsrud, R.; Godtman, E.; Homberg, E.; Khatami, A.; Stranne, J.; Hugosson, J. Outcome following Active Surveillance of men with screen detected prostate cancer. Results from the Göteborg randomized population based prostate cancer screening study. Eur. Urol. 2012, 63, 101–107. [Google Scholar]
- Bedrossian, C.W.M. Malignant Effusions. A Multimodal Approach to Cytologic Diagnosis; Igaku-Shoin Medical Publishers: New York, NY, USA, 1994. [Google Scholar]





| (a) | ||||||||
|---|---|---|---|---|---|---|---|---|
| DNA Single-Cell Aneuploidy 9cEE | DNA STL Aneuploidy | DNA Single-Cell and STL Aneuploidy | Abnormals >5% | Abnormals >4% | DNA-Aneuploidy and >5% Abnormals | DNA- Aneuploidy and >4% Abnormals | Cytology | |
| Sensitivity | 4/20 = 20% | 6/20 = 30% | 7/20 = 35% | 10/20 = 50% | 12/20 = 60% | 11/20 = 55% | 13/20 = 65% | 16/20 = 80% |
| Specificity | 69/72 = 95.8% | 70/72 = 97.2% | 68/72 = 94.4% | 67/72 = 93.1% | 66/72 = 91.7% | 67/72 = 93.1% | 66/72 = 91.7% | 54/72 = 75% |
| PPV | 4/7 = 57.1% | 6/8 = 75% | 7/11 = 63.6% | 10/15 = 66.7% | 12/18 = 66.7% | 11/16 = 68.8% | 13/19 = 68.4% | 16/34 = 47.1% |
| NPV | 69/85 = 81.2% | 70/84 = 83.3% | 68/81 = 84% | 67/77 = 87% | 66/74 = 89.2% | 67/76 = 88.2% | 66/73 = 90.4% | 54/58 = 93.1% |
| Overall diagnostic accuracy | 78/92 = 84.8% | 79/92 = 85.9% | 70/92 = 76.1% | |||||
| (b) | ||||||||
| DNA Single-Cell Aneuploidy 9cEE | DNA STL Aneuploidy | DNA Single-Cell and STL-Aneuploidy | Abnormals >5% | Abnormals >4% | DNA-Aneuploidy and >5% Abnormals | DNA- Aneuploidy and >4% Abnormals | Cytology | |
| Sensitivity | 7/25 = 28% | 8/25 = 32% | 11/25 = 44% | 15/25 = 60% | 17/25 = 68% | 16/25 = 64% | 18/25 = 72% | 18/25 = 72% |
| Specificity | 67/67 = 100% | 67/67 = 100% | 67/67 = 100% | 67/67 = 100% | 66/67 = 98.5% | 67/67 = 100% | 66/67 = 98.5% | 51/67 = 76.1% |
| PPV | 7/7 = 100% | 8/8 = 100% | 11/11 = 100% | 15/15 = 100% | 17/18 = 94.4% | 16/16 = 100% | 18/19 = 94.7% | 18/34 = 52.9% |
| NPV | 67/85 = 78.8% | 67/84 = 79.8% | 67/81 = 82.7% | 67/77 = 87% | 66/74 = 89.2% | 67/76 = 88.2% | 66/73 = 90.4% | 51/58 = 87.9% |
| Overall diagnostic accuracy | 83/92 = 90.2% | 84/92 = 91.3% | 69/92 = 75.0% | |||||
| Type of Object | x | sd |
|---|---|---|
| Normal epithelials uncorrected in all smears | 3426.00 | 3396.24 |
| Normal epithelials corrected in all smears | 2970.43 | 3186.11 |
| Abnormal epithelials uncorrected in all smears | 148.41 | 255.05 |
| Abnormal epithelials corrected in all smears | 119.65 | 223.80 |
| Abnormal epithelials in all smears with pos FU uncorrected | 356.96 | 378.58 |
| Abnormal epithelials in all smears with pos FU corrected | 313.64 | 328.89 |
| Abnormal epithelials in all smears with neg FU uncorrected | 118.68 | 93.30 |
| Abnormal epithelials in all smears with neg FU corrected | 43.70 | 93.30 |
| % abnormal epithelials in all smears | 5.25 | 13.30 |
| 9cEE in all smears with pos FU | 6 | - |
| x STL in c in allsmears with pos FU | 3.47 | - |
| >5% abnormal epithelials in all smears with pos FU | 68 | - |
| >4% abnormal epithelials in all smears with pos FU | 76 | - |
| % aneuploid STLs in all smears with pos FU | 56 | - |
Publisher’s Note: MDPI stays neutral with regard to jurisdictional claims in published maps and institutional affiliations. |
© 2022 by the authors. Licensee MDPI, Basel, Switzerland. This article is an open access article distributed under the terms and conditions of the Creative Commons Attribution (CC BY) license (https://creativecommons.org/licenses/by/4.0/).
Share and Cite
Böcking, A.; Friedrich, D.; Schramm, M.; Palcic, B.; Erbeznik, G. DNA Karyometry for Automated Detection of Cancer Cells. Cancers 2022, 14, 4210. https://doi.org/10.3390/cancers14174210
Böcking A, Friedrich D, Schramm M, Palcic B, Erbeznik G. DNA Karyometry for Automated Detection of Cancer Cells. Cancers. 2022; 14(17):4210. https://doi.org/10.3390/cancers14174210
Chicago/Turabian StyleBöcking, Alfred, David Friedrich, Martin Schramm, Branko Palcic, and Gregor Erbeznik. 2022. "DNA Karyometry for Automated Detection of Cancer Cells" Cancers 14, no. 17: 4210. https://doi.org/10.3390/cancers14174210
APA StyleBöcking, A., Friedrich, D., Schramm, M., Palcic, B., & Erbeznik, G. (2022). DNA Karyometry for Automated Detection of Cancer Cells. Cancers, 14(17), 4210. https://doi.org/10.3390/cancers14174210
