Testicular Germ Cell Tumours—The Role of Conventional Ultrasound
Abstract
Simple Summary
Abstract
1. Introduction
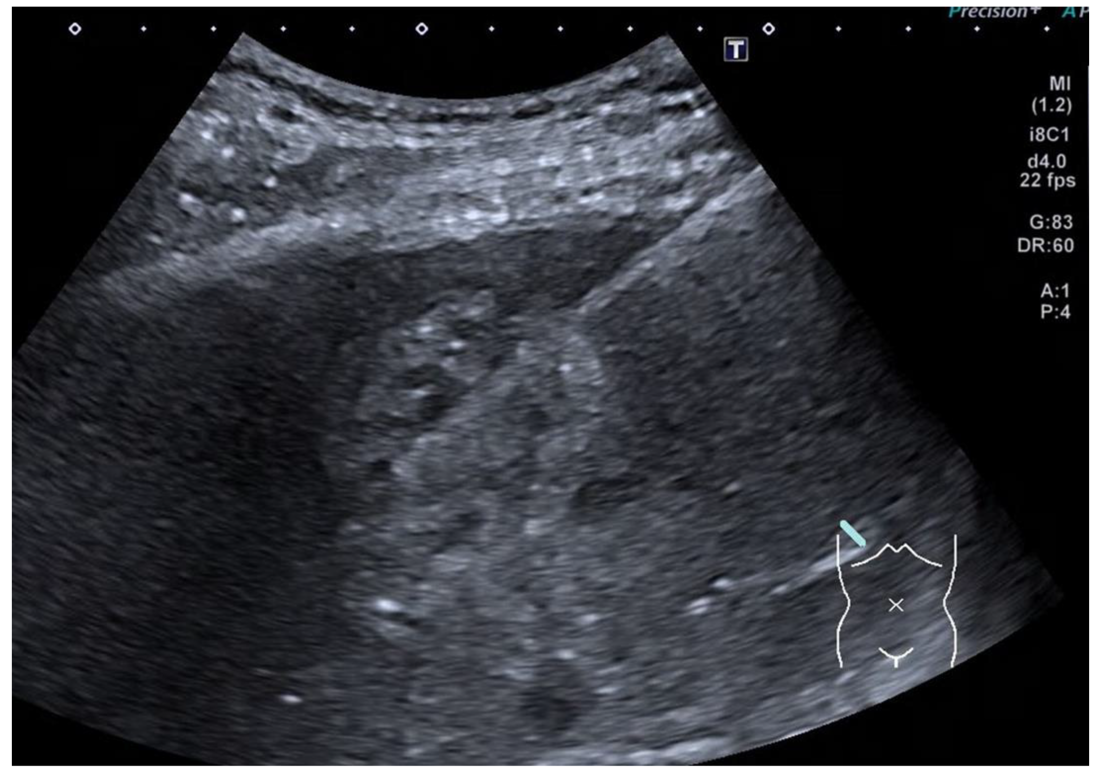
2. How to Perform Ultrasound
3. Classification of Germ Cell Tumours
4. Imaging Features of Germ Cell Tumours
4.1. Seminomatous Germ Cell Tumour
4.2. Non-Seminomatous Germ Cell Tumour (NSGCTs)
4.3. Embryonal Cell Carcinoma
4.4. Teratoma
4.5. Yolk Sac Tumour
4.6. Choriocarcinoma
5. Difficulties and Pitfalls
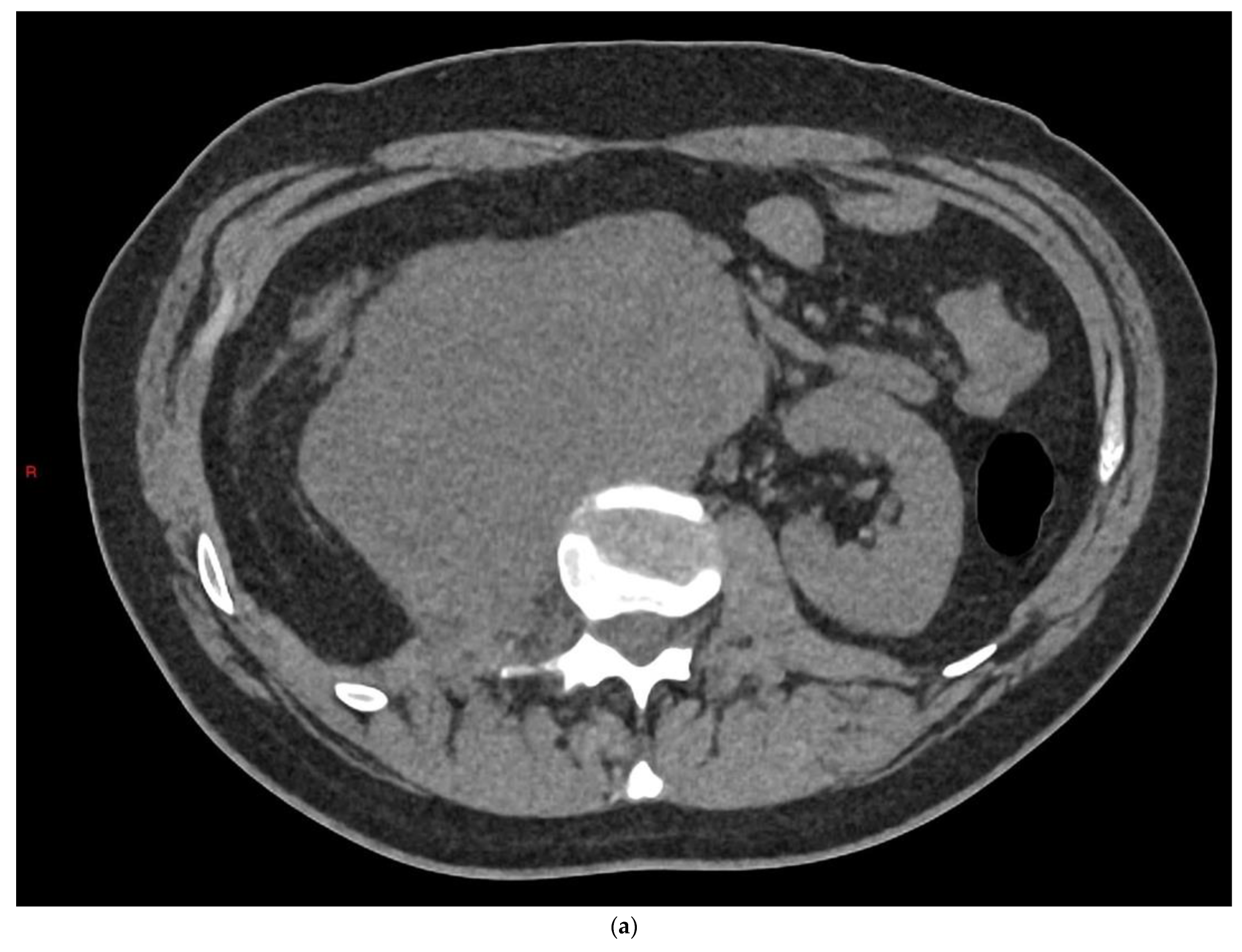
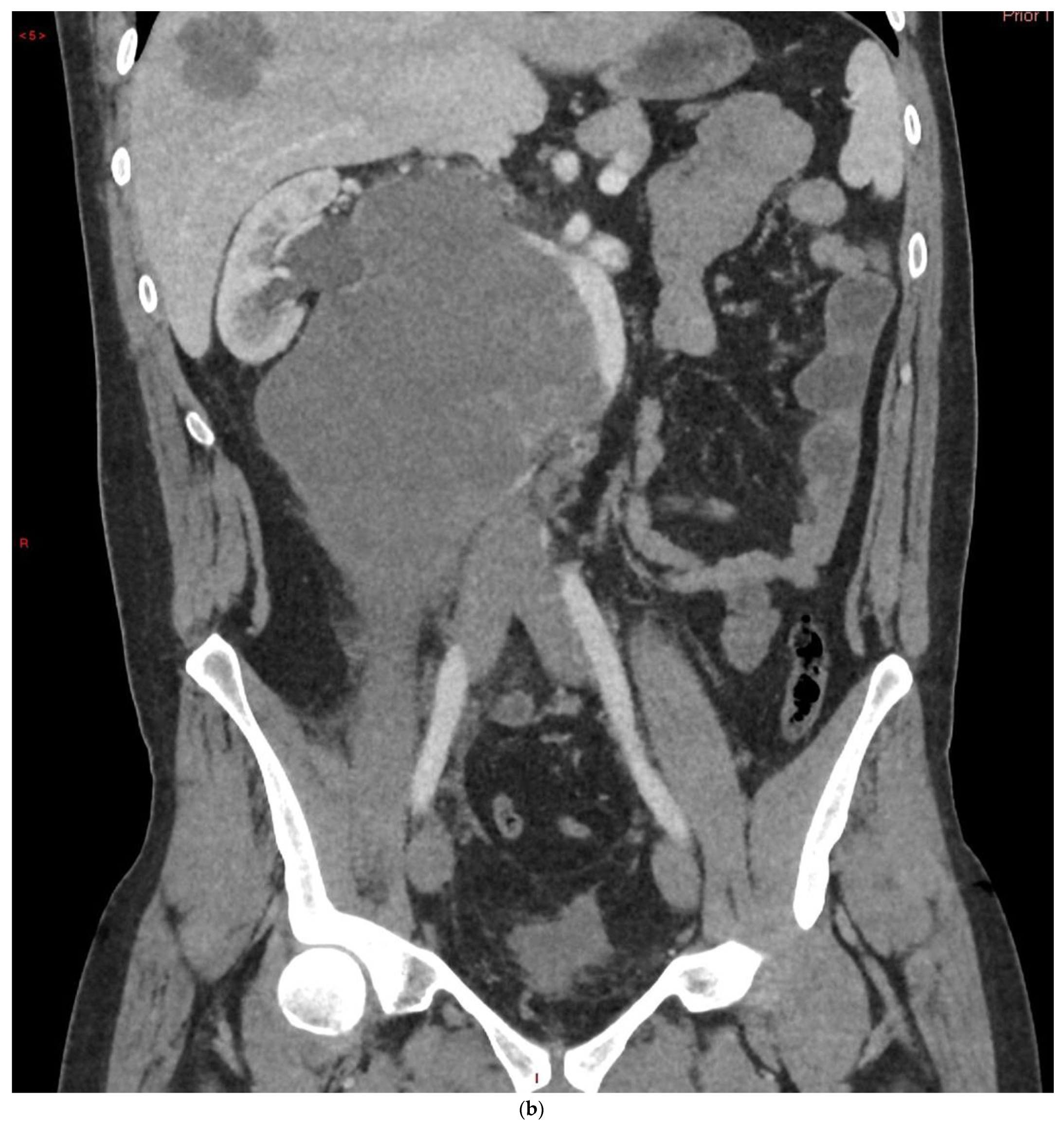
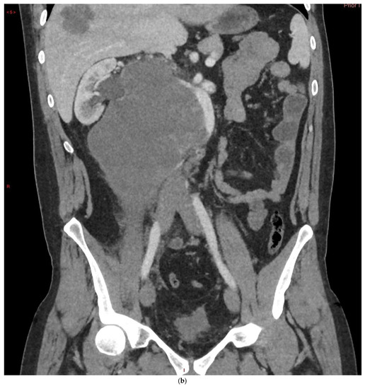
6. Other Uses of Ultrasound
7. Discussion
8. Conclusions
Author Contributions
Funding
Conflicts of Interest
References
- National Cancer Institute. Surveillance, Epidemiology and End Results Program. SEER Stat Fact Sheets: Testicular Cancer. Available online: http://seer.cancer.gov/statfacts/html/testos.html (accessed on 3 May 2022).
- Mittal, P.K.; Abdalla, A.S.; Chatterjee, A.; Baumgarten, D.A.; Harri, P.A.; Patel, J.; Moreno, C.C.; Gabriel, H.; Miller, F.H. Spectrum of Extratesticular and Testicular Pathologic Conditions at Scrotal MR Imaging. Radiographics 2018, 38, 806–830. [Google Scholar] [CrossRef] [PubMed]
- Ghazarian, A.A.; Trabert, B.; Devesa, S.S.; McGlynn, K.A. Recent trends in the incidence of testicular germ cell tumors in the United States. Andrology 2015, 3, 13–18. [Google Scholar] [CrossRef] [PubMed]
- Petterson, A.; Richiardi, L.; Nordenskjold, A.; Kaijser, M.; Akre, O. Age at surgery for undescended testis and risk of testicular cancer. N. Engl. J. Med. 2007, 356, 1835–1841. [Google Scholar] [CrossRef] [PubMed]
- La Vignera, L.; Calogero, A.E.; Condorelli, R.; Marziani, A.; Cannizzaro, M.A.; Lanzafame, F.; Vicari, E. Cryptorchidism and its long-term complications. Eur. Rev. Pharmacol. Sci. 2009, 13, 351–356. [Google Scholar]
- Richenberg, J.; Belfield, J.; Ramchandani, P.; Rocher, L.; Freeman, S.; Tsili, A.C.; Cuthbert, F.; Studniarek, M.; Bertolotto, M.; Turgut, A.T.; et al. Testicular microlithiasis imaging and follow-up: Guidelines of the ESUR scrotal imaging subcommittee. Eur. Radiol. 2015, 25, 323–330. [Google Scholar] [CrossRef]
- Kreydin, E.I.; Barrisford, G.W.; Feldman, A.S.; Preston, M.A. Testicular Cancer: What the radiologist needs to know. Am. J. Roentgenol. 2013, 200, 1215–1225. [Google Scholar] [CrossRef]
- Marko, J.; Wolfman, D.J.; Aubin, A.L.; Sesterhenn, I.A. Testicular seminoma and its mimics: From the Radiologic Pathology Archives. Radiographics 2017, 37, 1085–1098. [Google Scholar] [CrossRef]
- Davis, J.E.; Silverman, M. Scrotal emergencies. Emerg. Med. Clin. N. Am. 2011, 29, 469–484. [Google Scholar] [CrossRef]
- Novara, G.; Iafrate, M.; Ficarra, V. Painless Scrotal Lumps: Classification and Clinics. In Scrotal Pathology; Springer: Berlin/Heidelberg, Germany, 2011; pp. 139–149. [Google Scholar]
- AlGhamdi, M.; AlYami, M.; Faqeeh, S.; AlKubeyyer, B.; AlShabyli, N.; AlAyed, A. Beyond germ cell tumors, unusual testicular and extra-testicular masses and mass-like lesions: MRI and Us pictorial review. Clin. Imaging 2021, 74, 106–122. [Google Scholar] [CrossRef]
- Mirochnik, B.; Bhargava, P.; Dighe, M.K.; Kanth, N. Ultrasound evaluation of scrotal pathology. Radiol. Clin. N. Am. 2012, 50, 317–332. [Google Scholar] [CrossRef]
- Necas, M.; Mbch, M.M.; Barnard, C. Ultrasound morphological patterns of testicular tumours, correlation with histopathology. J. Med. Radiat. Sci. 2021, 68, 21–27. [Google Scholar] [CrossRef]
- Tyloch, J.F.; Wieczorek, A.P. Standards for scrotal ultrasonography. J. Ultrason. 2016, 16, 391–403. [Google Scholar] [CrossRef] [PubMed]
- Vijayraghavan, S. Sonography of Testis. Ultrasound Clin. 2014, 9, 429–456. [Google Scholar] [CrossRef]
- Dalal, P.U.; Sohaib, S.A.; Huddart, R. Imaging of testicular germ cell tumours. Cancer Imaging 2006, 6, 124–134. [Google Scholar] [CrossRef][Green Version]
- Tabernero, J.; Paz-Ares, L.; Salazar, R.; Lianes, P.; Guerra, J.A.; Borrás, J.; Villavicencio, H.; Leiva, O.; Cortés-Funes, H. Incidence of contralateral germ cell testicular tumors in South Europe: Report of the experience at 2 Spanish university hospitals and review of the literature. J. Urol. 2004, 171, 164–167. [Google Scholar] [CrossRef] [PubMed]
- Moreno, C.; Small, W.; Camacho, J.; Master, V.; Kokabi, N.; Lewis, M.; Hartman, M.; Mittal, P. Testicular Tumors: What Radiologists Need to Know—Differential Diagnosis, Staging and Management. Radiographics 2005, 35, 400–415. [Google Scholar] [CrossRef] [PubMed]
- Thomas, K.L.; Jeong, D.; Montilla-Soler, J.; Feuerlein, S. The role of diagnostic imaging in the primary testicular cancer: Initial staging, response assessment and surveillance. Transl. Androl. Urol. 2020, 9, S3–S13. [Google Scholar] [CrossRef]
- Katabathina, V.S.; Vargas-Zapata, D.; Monge, R.A.; Nazarullah, A.; Ganeshan, D.; Tammisetti, V.; Prasad, S.R. Testicular Germ Cell Tumors: Classification, Pathologic Features, Imaging Findings and Management. Radiographics 2021, 41, 1698–1716. [Google Scholar] [CrossRef]
- Shticker, A.; Silver, D.; Sorin, E.; Schreiber, L.; Katlowitz, N.; Tsivian, A.; Katlowitz, K.; Benjamin, S.; Sidi, A. The value of testicular ultrasound in the prediction of the type and size of testicular tumours. Int. Braz. J. Urol. 2015, 41, 655–660. [Google Scholar] [CrossRef]
- Ro, J.Y.; Kim, K.R.; Ayala, A.G. Tumors of the male genital tract. In Diagnostic Histopathology of Tumors; Fletcher, C.D.M., Ed.; Elsevier: Amsterdam, The Netherlands, 2007; pp. 749–879. [Google Scholar]
- Woodward, P.J.; Sohaey, R.; O’Donoghue, M.J.; Green, D.E. Tumors and tumor-like lesions of the testis: Radiologic-pathologic correlation. Radiographics 2002, 22, 189–216. [Google Scholar] [CrossRef]
- Sidhu, P.; Sriprasad, S.; Bushby, L.; Sellars, M.; Muir, G. Impalpable testis cancer. Br. J. Urol. 2004, 93, 888. [Google Scholar] [CrossRef] [PubMed]
- Lung, P.; Sidu, P. Role of ultrasound in the diagnosis of testicular lesions. Imaging Med. 2011, 3, 587–595. [Google Scholar] [CrossRef]
- Dogra, V.; Bhatt, S. Acute painful scrotum. Radiol. Clin. N. Am. 2004, 42, 349–363. [Google Scholar] [CrossRef] [PubMed]
- Bertolotto, M.; Cantisani, V.; Valentino, M.; Pavlica, P.; Derchi, L.E. Pitfalls in imaging for acute scrotal pathology. Semin. Roentgenol. 2016, 51, 60–69. [Google Scholar] [CrossRef] [PubMed]
- Ramanathan, S.; Bertolotto, M.; Freeman, S.; Belfield, J.; Derchi, L.E.; Huang, D.Y.; Lotti, F.; Markiet, K.; Nikolic, O.; Ramchandani, P.; et al. Imaging in scrotal trauma: A European Society of Urogenital Radiology Scrotal and Penile Imaging Working Group (ESUR-SPIWG) position statement. Eur. Radiol. 2021, 31, 4918–4928. [Google Scholar] [CrossRef] [PubMed]
- Lunawat, R.; Cracium, M.; Omorphos, S.; Weston, P.; Biyani, S. Seminoma presented as testicular rupture: Case report and literature review. Can. Urol. Assoc. J. 2014, 8, E749–E751. [Google Scholar] [CrossRef][Green Version]
- Vaidyanathan, S.; Hughes, P.L.; Mansour, P.; Soni, B.M. Seminoma of testis masquerading as orchitis in an adult with paraplegia: Proposed measures to avoid delay in diagnosing testicular tumours in spinal cord injury patients. Sci. World J. 2008, 8, 149–156. [Google Scholar] [CrossRef]
- Kapoor, R.; Ansari, M.; Mandhani, A.; Gulia, A. Clinical presentation and diagnostic approach in cases of genitourinary tuberculosis. Indian J. Urol. 2008, 24, 401–405. [Google Scholar] [CrossRef]
- Shenoy, V.P.; Vishwanath, S.; D’Souza, A.; Bairy, I.; Thomas, J. Isolated tuberculous epididymo-orchitis: An unusual presentation of tuberculosis. J. Infect. Dev. Ctries. 2012, 6, 92–94. [Google Scholar] [CrossRef]
- Badmos, K. Tuberculous epididymo-orchitis mimicking a testicular tumour: A case report. Afr. Health Sci. 2012, 12, 396–398. [Google Scholar] [CrossRef][Green Version]
- Orakwe, J.; Okafor, P. Genitourinary tuberculosis in Nigeria: A review of thiry one cases. Niger. J. Clin. Pract. 2005, 8, 69–73. [Google Scholar] [PubMed]
- Rocher, L.; Ramchandani, P.; Belfield, J.; Bertolotto, M.; Derchi, L.E.; Correas, J.M.; Oyen, R.; Tsili, A.C.; Turgut, A.T.; Dogra, V.; et al. Incidentally detected non-palpable testicular tumours in adults at scrotal ultrasound: Impact of radiological findings on management. Radiologic review and recommendations of the ESUR scrotal imaging subcommittee. Eur. Radiol. 2016, 26, 2268–2278. [Google Scholar] [CrossRef] [PubMed]
- Dieckmass, P.; Frey, U.; Lock, G. Contemporary diagnostic work-up of testicular germ cell tumours. Nat. Rev. Urol. 2013, 10, 703–712. [Google Scholar] [CrossRef] [PubMed]
- Kim, W.; Rosen, M.A.; Langer, J.E.; Banner, M.P.; Siegelman, E.S.; Ramchandani, P. US MR imaging correlation in pathologic conditions of the scroum. Radiographics 2007, 27, 1239–1253. [Google Scholar] [CrossRef]
- Tasu, J.; Faye, N.; Eschwege, P.; Rocher, L.; Bléry, M. Imaging of burned-out testis tumor: Five new cases and review of the literature. J. Ultrasound Med. 2003, 22, 515–521. [Google Scholar] [CrossRef]
- Korivi, B.R.; Pagliaro, C. Testicular Germ Cell Tumours. In Oncologic Imaging: A Multidisciplinary Approach, 2nd ed.; Elsevier: Amsterdam, The Netherlands, 2022; pp. 330–351. [Google Scholar]
- Leibovitch, I.; Banial, J.; Foster, R.; Donohue, J. The clinical implications of procedural deviations during orchiectomy for nonseminomatous testis cancer. J. Urol. 1995, 154, 935–939. [Google Scholar] [CrossRef]
- Corby, H.; Lynch, T.; Mch, J.F.; Smith, J. Inguinal lymph node metastases from a testicular tumour. Br. J. Urol. 1996, 77, 923–924. [Google Scholar] [CrossRef]
- Shaida, N.; Berman, L. Percutaneous testicular biopsy for indeterminate testicular lesions. Br. J. Radiol. 2012, 85, S54–S58. [Google Scholar] [CrossRef]
- Huang, D.Y.; Sidhu, P.S. Focal testicular lesions: Colour doppler ultrasound, contrast-enhanced ultrasound and tissue elastography as adjuvants to the diagnosis. Br. J. Radiol. 2012, 85, S41–S53. [Google Scholar] [CrossRef]
- Drudi, F.M.; Valentino, M.; Bertolotto, M.; Malpassini, F.; Maghella, F.; Cantisani, V.; Liberatore, M.; De Felice, C.; D’Ambrosio, F. CEUS time intensity curves in the differentiation between leydig cell carcinoma and seminoma: A multicenter study. Ultraschall Med. 2016, 37, 201–205. [Google Scholar] [CrossRef]
- Elwagdy, S.; Razmy, S.; Ghoneim, S.; Elhakim, S. Diagnostic performance of three-dimensional ultrasound extended imaging at scrotal mass lesions. Int. J. Urol. 2007, 14, 1025–1033. [Google Scholar] [CrossRef] [PubMed]















| Tumour Type | US Features |
|---|---|
| Seminomas | Homogenous and hypoechoic Well circumscribed Occasionally contain cystic components or calcifications |
| Non-seminomas | Heterogenous Irregular margins Cystic and calcification components seen commonly |
| Pure embryonal | Heterogeneously hypoechoic Ill-defined margins with invasion of the tunica albuginea Can contain haemorrhage and calcifications |
| Teratomas | Complex mass with well-defined borders Predominately cystic but can also contain macroscopic fat and calcifications |
| Yolk sac tumours | Poorly defined solid heterogenous mass Can contain cystic foci, internal haemorrhage, necrosis and calcifications |
| Choriocarcinomas | Hypoechoic and heterogenous solid mass Internal haemorrhagic areas often seen |
Publisher’s Note: MDPI stays neutral with regard to jurisdictional claims in published maps and institutional affiliations. |
© 2022 by the authors. Licensee MDPI, Basel, Switzerland. This article is an open access article distributed under the terms and conditions of the Creative Commons Attribution (CC BY) license (https://creativecommons.org/licenses/by/4.0/).
Share and Cite
Belfield, J.; Findlay-Line, C. Testicular Germ Cell Tumours—The Role of Conventional Ultrasound. Cancers 2022, 14, 3882. https://doi.org/10.3390/cancers14163882
Belfield J, Findlay-Line C. Testicular Germ Cell Tumours—The Role of Conventional Ultrasound. Cancers. 2022; 14(16):3882. https://doi.org/10.3390/cancers14163882
Chicago/Turabian StyleBelfield, Jane, and Charlotte Findlay-Line. 2022. "Testicular Germ Cell Tumours—The Role of Conventional Ultrasound" Cancers 14, no. 16: 3882. https://doi.org/10.3390/cancers14163882
APA StyleBelfield, J., & Findlay-Line, C. (2022). Testicular Germ Cell Tumours—The Role of Conventional Ultrasound. Cancers, 14(16), 3882. https://doi.org/10.3390/cancers14163882
