Multimodal Approach of Optical Coherence Tomography and Raman Spectroscopy Can Improve Differentiating Benign and Malignant Skin Tumors in Animal Patients
Abstract
:Simple Summary
Abstract
1. Introduction
2. Materials and Methods
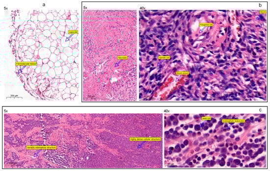
3. Results and Discussion
3.1. OCT
3.2. Raman Spectroscopy
3.3. Classification
4. Conclusions
Supplementary Materials
Author Contributions
Funding
Institutional Review Board Statement
Informed Consent Statement
Data Availability Statement
Acknowledgments
Conflicts of Interest
Abbreviations
References
- Withrow, S. Introduction: Why Worry About Cancer in Pets? In Withrow & MacEwen’s Small Animal Clinical Oncology; Elsevier: Amsterdam, The Netherlands, 2007. [Google Scholar]
- Vail, D. Tumors of the Skin and Subcutaneous Tissues. In Withrow & MacEwen’s Small Animal Clinical Oncology; Elsevier: Amsterdam, The Netherlands, 2007; pp. 375–401. [Google Scholar]
- Graf, R.; Pospischil, A.; Guscetti, F.; Meier, D.; Welle, M.; Dettwiler, B. Cutaneous Tumors in Swiss Dogs: Retrospective Data From the Swiss Canine Cancer Registry, 2008–2013. Vet. Pathol. 2018, 55, 809–820. [Google Scholar] [CrossRef] [PubMed]
- Ghisleni, G.; Roccabianca, P.; Ceruti, R.; Stefanello, D.; Bertazzolo, W.; Bonfanti, U.; Caniatti, M. Correlation between fine-needle aspiration cytology and histopathology in the evaluation of cutaneous and subcutaneous masses from dogs and cats. Vet. Clin. Pathol. 2006, 35, 24–30. [Google Scholar] [CrossRef] [PubMed]
- Ho, N.T.; Smith, K.C.; Dobromylskyj, M.J. Retrospective study of more than 9000 feline cutaneous tumours in the UK: 2006–2013. J. Feline Med. Surg. 2018, 20, 128–134. [Google Scholar] [CrossRef] [PubMed]
- Graf, R.; Grüntzig, K.; Boo, G.; Hässig, M.; Axhausen, K.W.; Fabrikant, S.; Welle, M.; Meier, D.; Guscetti, F.; Folkers, G.; et al. Swiss Feline Cancer Registry 1965–2008: The Influence of Sex, Breed and Age on Tumour Types and Tumour Locations. J. Comp. Pathol. 2016, 154, 195–210. [Google Scholar] [CrossRef] [Green Version]
- Zabielska-Koczywąs, K.; Wojtalewicz, A.; Lechowski, R. Current knowledge on feline injection-site sarcoma treatment. Acta Vet. Scand. 2017, 59, 47. [Google Scholar] [CrossRef] [PubMed] [Green Version]
- Wang, S.L.; Lee, J.J.; Liao, A.T. Comparison of Cytological and Histopathological Validation on Fine Needle Aspiration of Superficial Masses. Taiwan Vet. J. 2014, 40, 191–198. [Google Scholar] [CrossRef]
- Chalita, M.C.; Matera, J.M.; Alves, M.T.; Filho, L.A. Nonaspiration fine needle cytology and its histologic correlation in canine skin and soft tissue tumors. Anal. Quant. Cytol. Histol. 2001, 23, 395–399. [Google Scholar] [PubMed]
- Carvalho, M.I.; Silva-Carvalho, R.; Pires, I.; Prada, J.; Bianchini, R.; Jensen-Jarolim, E.; Queiroga, F.L. A Comparative Approach of Tumor-Associated Inflammation in Mammary Cancer between Humans and Dogs. BioMed Res. Int. 2016, 2016, 4917387. [Google Scholar] [CrossRef]
- Cohen, M.; Bohling, M.W.; Wright, J.C.; Welles, E.A.; Spano, J.S. Evaluation of sensitivity and specificity of cytologic examination: 269 cases (1999–2000). J. Am. Vet. Med. Assoc. 2003, 222, 964–967. [Google Scholar] [CrossRef]
- Kellogg, J.A.; Seiple, J.W.; Klinedinst, J.L.; Stroll, E. Diff-Quik stain as a simplified alternative to Papanicolaou stain for determination of quality of endocervical specimens submitted for PCR detection of Chlamydia trachomatis. J. Clin. Microbiol. 1996, 34, 2590–2592. [Google Scholar] [CrossRef] [Green Version]
- Cugmas, B.; Plavec, T.; Bregar, M.; Naglič, P.; Pernuš, F.; Likar, B.; Bürmen, M. Detection of canine skin and subcutaneous tumors by visible and near-infrared diffuse reflectance spectroscopy. J. Biomed. Opt. 2015, 20, 037003. [Google Scholar] [CrossRef]
- Dantas, D.; Soares, L.; Novais, S.; Vilarinho, R.; Moreira, J.A.; Silva, S.; Frazão, O.; Oliveira, T.; Leal, N.; Faísca, P.; et al. Discrimination of Benign and Malignant Lesions in Canine Mammary Tissue Samples Using Raman Spectroscopy: A Pilot Study. Animals 2020, 10, 1652. [Google Scholar] [CrossRef]
- Birtoiu, A.; Rizea, C.; Dorin, T.; Munteanu, R.M.; Micsa, C.; Rusu, M.; Tautan, M.; Braic, L.; Scoicaru, L.; Parau, A.; et al. Diagnosing Clean Margins through Raman Spectroscopy in Human and Animal Mammary Tumour Surgery—A short review. Interface Focus 2016, 6, 1–11. [Google Scholar] [CrossRef]
- Cugmas, B.; Viškere, D.; Čiževskis, O.; Melderis, M.; Rubins, U.; Tamosiunas, M. Optical coherence tomography and Raman spectroscopy for ex vivo characterization of canine skin and subcutaneous tumors: Preliminary results. In Optical Biopsy XIX: Toward Real-Time Spectroscopic Imaging and Diagnosis; Society of Photo-Optical Instrumentation Engineers (SPIE): Bellingham, WA, USA, 2021. [Google Scholar] [CrossRef]
- Munteanu, R.M.; Scoicaru, L.O.; Militaru, M.; Gagniuc, E.; Micşa, C.; Țogoe, D.; Viţălaru, A.; Rusu, M.; Tautan, M.; Chiricuta, B.; et al. Comparison of benign and malignant mammary tumors in dogs through Raman spectroscopy: Two clinical cases. Agrolife Sci. J. 2017, 63, 85–90. [Google Scholar]
- Mesa, K.J.; Selmic, L.E.; Pande, P.; Monroy, G.L.; Reagan, J.; Samuelson, J.; Driskell, E.; Li, J.; Marjanovic, M.; Chaney, E.J.; et al. Intraoperative optical coherence tomography for soft tissue sarcoma differentiation and margin identification. Lasers Surg. Med. 2017, 49, 240–248. [Google Scholar] [CrossRef] [Green Version]
- Selmic, L.E.; Samuelson, J.; Reagan, J.K.; Mesa, K.J.; Driskell, E.; Li, J.; Marjanovic, M.; Boppart, S.A. Intra-operative im-aging of surgical margins of canine soft tissue sarcoma using optical coherence tomography. Vet. Comp. Oncol. 2019, 1, 80–88. [Google Scholar] [CrossRef] [Green Version]
- Dornbusch, J.A.; Selmic, L.E.; Huang, P.-C.; Samuelson, J.P.; McLaughlin, E.M.; Wavreille, V.A.; Ogden, J.A.; Abrams, B.; Kalamaras, A.; Green, E.; et al. Diagnostic accuracy of optical coherence tomography for assessing surgical margins of canine soft tissue sarcomas in observers of different specialties. Vet. Surg. 2021, 50, 111–120. [Google Scholar] [CrossRef] [PubMed]
- Dornbusch, J.A.; Cocca, C.; Jennings, R.; Samuelson, J.; Vieson, M.; Huang, P.-C.; Boppart, S.A.; Wavreille, V.A.; Selmic, L.E. The feasibility and utility of optical coherence tomography directed histopathology for surgical margin as-sessment of canine mast cell tumours. Vet. Comp. Oncol. 2021, 19, 616–623. [Google Scholar] [CrossRef] [PubMed]
- Dornbusch, J.A.; Selmic, L.E.; Huang, P.-C.; Samuelson, J.P.; Cocca, C.; Wavreille, V.A.; Boppart, S.A. Optical coherence tomography imaging of excised canine apocrine gland anal sac adenocarcinoma tumours. Vet. Comp. Oncol. 2021, 19, 759–762. [Google Scholar] [CrossRef]
- Fabelo, C.; Selmic, L.E.; Huang, P.-C.; Samuelson, J.P.; Reagan, J.K.; Kalamaras, A.; Wavreille, V.; Monroy, G.L.; Marjanovic, M.; Boppart, S.A. Evaluating optical coherence tomography for surgical margin assessment of canine mammary tumours. Vet. Comp. Oncol. 2021, 19, 697–706. [Google Scholar] [CrossRef]
- Changirwa, D.; Schlechte, J.; McDonald, B. A Multi-Modal Toolkit for Studying Neutrophils in Cancer and Beyond. Cancers 2021, 13, 5331. [Google Scholar] [CrossRef] [PubMed]
- Serkova, N.J.; Glunde, K.; Haney, C.R.; Farhoud, M.; De Lille, A.; Redente, E.F.; Simberg, D.; Westerly, D.C.; Griffin, L.; Mason, R.P. Preclinical Applications of Multi-Platform Imaging in Animal Models of Cancer. Cancer Res. 2021, 81, 1189–1200. [Google Scholar] [CrossRef] [PubMed]
- Spigulis, J.; Lukinsone, V.; Oshina, I.; Kviesis-Kipge, E.; Tamošiūnas, M.; Lihachev, A. Riga Group’s recent results on laser applications for skin diagnostics. J. Phys. Conf. Ser. 2021, 1859, 012033. [Google Scholar] [CrossRef]
- McLaughlin, R.A.; Quirk, B.C.; Curatolo, A.; Kirk, R.W.; Scolaro, L.; Lorenser, D.; Robbins, P.D.; Wood, B.; Saunders, C.M.; Sampson, D.D. Imaging of Breast Cancer With Optical Coherence Tomography Needle Probes: Feasibility and Initial Results. IEEE J. Sel. Top. Quantum Electron. 2012, 18, 1184–1191. [Google Scholar] [CrossRef]
- De Freitas, P.M.; Simões, A. Lasers in Dentistry: Guide for Clinical Practice; John Wiley & Sons: Hoboken, NJ, USA, 2015. [Google Scholar]
- Movasaghi, Z.; Rehman, S.; Rehman, I.U. Raman Spectroscopy of Biological Tissues. Appl. Spectrosc. Rev. 2007, 42, 493–541. [Google Scholar] [CrossRef]
- Silveira, L.; Pasqualucci, C.A.; Bodanese, B.; Pacheco, M.T.T.; Zângaro, R.A. Normal-subtracted preprocessing of Raman spectra aiming to discriminate skin actinic keratosis and neoplasias from benign lesions and normal skin tissues. Lasers Med Sci. 2020, 35, 1141–1151. [Google Scholar] [CrossRef]
- Angervell, L.; Bjoerntorp, P.; Stener, B. The Lipid Composition of Hibernoma as Compared with that of Lipoma and of mouse Brown Fat. Cancer Res. 1965, 25, 408–409. [Google Scholar]
- Cheng, W.-T.; Liu, M.-T.; Liu, H.-N.; Lin, S.-Y. Micro-Raman spectroscopy used to identify and grade human skin pilomatrixoma. Microsc. Res. Tech. 2005, 68, 75–79. [Google Scholar] [CrossRef]
- Githaiga, J.I.; Angeyo, H.K.; Kaduki, K.A.; Bulimo, W.D. Chemometrics-Enabled Raman Spectrometric Qualitative Determination and Assessment of Biochemical Alterations during Early Prostate Cancer Proliferation in Model Tissue. J. Spectrosc. 2020, 4, 8879985. [Google Scholar] [CrossRef]
- Malini, R.; Venkatakrishma, K.; Kurien, J.; Pai, K.M.; Rao, L.; Kartha, V.B.; Krishna, C.M. Discrimination of normal, inflammatory, premalignant, and malignant oral tissue: A Raman spectroscopy study. Biopolymers 2006, 81, 179–193. [Google Scholar] [CrossRef]
- Huang, Z.; McWilliams, A.; Lam, S.; English, J.; McLean, D.; Lui, H.; Zeng, H. Effect of formalin fixation on the near-infrared Raman spectroscopy of human bronchial tissues. Int. J. Oncol. 2003, 23, 649–655. [Google Scholar] [CrossRef]
- Bovenkamp, D.; Sentosa, R.; Rank, E.; Erkkilä, M.T.; Placzek, F.; Püls, J.; Drexler, W.; Leitgeb, R.A.; Garstka, N.; Shariat, S.F.; et al. Combination of High-Resolution Optical Coherence Tomography and Raman Spectroscopy for Improved Staging and Grading in Bladder Cancer. Appl. Sci. 2018, 8, 2371. [Google Scholar] [CrossRef] [Green Version]
- Placzek, F.; Cordero Bautista, E.; Kretschmer, S.; Wurster, L.M.; Knorr, F.; González-Cerdas, G.; Erkkilä, M.T.; Stein, P.; Ataman, Ç.; Hermann, G.G.; et al. Morpho-molecular ex vivo detection and grading of non-muscle-invasive bladder cancer using forward imaging probe based multimodal optical coherence tomography and Raman spectroscopy. Analyst 2020, 145, 1445–1456. [Google Scholar] [CrossRef] [Green Version]
- Khan, K.M.; Krishna, H.; Majumder, S.K.; Rao, K.D.; Gupta, P.K. Depth-sensitive Raman spectroscopy combined with optical coherence tomography for layered tissue analysis. J. Biophotonics 2014, 7, 77–85. [Google Scholar] [CrossRef]
- Wang, J.; Zheng, W.; Lin, K.; Huang, Z. Development of a hybrid Raman spectroscopy and optical coherence tomography technique for real-time in vivo tissue measurements. Opt. Lett. 2016, 41, 3045. [Google Scholar] [CrossRef]
- Schie, I.W.; Placzek, F.; Knorr, F.; Cordero, E.; Wurster, L.M.; Hermann, G.G.; Mogensen, K.; Hasselager, T.; Drexler, W.; Popp, J.; et al. Morpho-molecular signal correlation between optical coherence tomography and Raman spectroscopy for superior image interpretation and clinical diagnosis. Sci. Rep. 2021, 11, 9951. [Google Scholar] [CrossRef]
- Mazurenka, M.; Behrendt, L.; Meinhardt-Wollweber, M.; Morgner, U.; Roth, B. Development of a combined OCT-Raman probe for the prospective in vivo clinical melanoma skin cancer screening. Rev. Sci. Instrum. 2017, 88, 105103. [Google Scholar] [CrossRef] [PubMed]
- Ashok, P.C.; Praveen, B.B.; Bellini, N.; Riches, A.; Dholakia, K.; Herrington, C.S. Multi-modal approach using Raman spectroscopy and optical coherence tomography for the discrimination of colonic adenocarcinoma from normal colon. Biomed. Opt. Express 2013, 4, 2179. [Google Scholar] [CrossRef] [Green Version]
- Čiževskis, O.; Cugmas, B.; Viškere, D.; Melderis, M.; Liepniece-Karele, I.; Yao, J.; Tamošiūnas, M. Tumour classification with optimized sliding window size for OCT imaging. In Optical Coherence Tomography and Coherence Domain Optical Methods in Biomedicine XXVI, Proceedings of the SPIE BIOS, San Francisco, CA, USA, 22 January–28 February 2022; SPIE: San Francisco, CA, USA, 2022; Volume 11948, p. 119480S. [Google Scholar] [CrossRef]
- Zuraw, A.; Aeffner, F. Whole-slide imaging, tissue image analysis, and artificial intelligence in veterinary pathology: An updated introduction and review. Vet. Pathol. 2022, 59, 6–25. [Google Scholar] [CrossRef]
- Li, S.; Wang, Z.; Visser, L.C.; Wisner, E.R.; Cheng, H. Pilot study: Application of artificial intelligence for detecting left atrial enlargement on canine thoracic radiographs. Vet. Radiol. Ultrasound 2020, 61, 611–618. [Google Scholar] [CrossRef]
- Ezanno, P.; Picault, S.; Beaunée, G.; Bailly, X.; Muñoz, F.; Duboz, R.; Monod, H.; Guégan, J.F. Research perspectives on animal health in the era of artificial intelligence. Vet. Res. 2021, 52, 40. [Google Scholar] [CrossRef]







| Raman Shift (cm−1) | 925–970 (p1) | 1060–1160 (p2) | 1180–1280 (p3) | 1310–1380 (p4) | 1451–1509 (p5) | 1845–1880 (p6) | 2050–2080 (p7) | Total Average (p8) |
|---|---|---|---|---|---|---|---|---|
| MCT vs. STS | NS | NS | NS | NS | NS | NS | NS | *** |
| MCT vs. lipoma | *** | ** | *** | *** | *** | *** | *** | *** |
| MCT vs. skin | *** | NS | NS | NS | *** | * | NS | *** |
| STS vs. lipoma | *** | ** | *** | *** | *** | *** | *** | *** |
| STS vs. skin | *** | NS | NS | NS | *** | *** | NS | *** |
| lipoma vs. skin | *** | ** | *** | ** | ** | *** | *** | *** |
| Skin | Lipoma | MCT | STS | Malignant (MCT + STS) | |
|---|---|---|---|---|---|
| Raman | |||||
| sensitivity | 0.935 | 1 | 0.571 | 0.652 | 0.818 |
| specificity | 0.887 | 1 | 0.939 | 0.895 | 0.953 |
| OCT | |||||
| sensitivity | 0.839 | 0.75 | 0.5 | 0.739 | 0.879 |
| specificity | 0.857 | 1 | 0.909 | 0.86 | 0.907 |
| Raman + OCT (combined) | |||||
| sensitivity | 0.968 | 1 | 0.786 | 0.737 | 0.939 |
| specificity | 0.956 | 1 | 0.935 | 0.947 | 0.977 |
Publisher’s Note: MDPI stays neutral with regard to jurisdictional claims in published maps and institutional affiliations. |
© 2022 by the authors. Licensee MDPI, Basel, Switzerland. This article is an open access article distributed under the terms and conditions of the Creative Commons Attribution (CC BY) license (https://creativecommons.org/licenses/by/4.0/).
Share and Cite
Tamošiūnas, M.; Čiževskis, O.; Viškere, D.; Melderis, M.; Rubins, U.; Cugmas, B. Multimodal Approach of Optical Coherence Tomography and Raman Spectroscopy Can Improve Differentiating Benign and Malignant Skin Tumors in Animal Patients. Cancers 2022, 14, 2820. https://doi.org/10.3390/cancers14122820
Tamošiūnas M, Čiževskis O, Viškere D, Melderis M, Rubins U, Cugmas B. Multimodal Approach of Optical Coherence Tomography and Raman Spectroscopy Can Improve Differentiating Benign and Malignant Skin Tumors in Animal Patients. Cancers. 2022; 14(12):2820. https://doi.org/10.3390/cancers14122820
Chicago/Turabian StyleTamošiūnas, Mindaugas, Oskars Čiževskis, Daira Viškere, Mikus Melderis, Uldis Rubins, and Blaž Cugmas. 2022. "Multimodal Approach of Optical Coherence Tomography and Raman Spectroscopy Can Improve Differentiating Benign and Malignant Skin Tumors in Animal Patients" Cancers 14, no. 12: 2820. https://doi.org/10.3390/cancers14122820
APA StyleTamošiūnas, M., Čiževskis, O., Viškere, D., Melderis, M., Rubins, U., & Cugmas, B. (2022). Multimodal Approach of Optical Coherence Tomography and Raman Spectroscopy Can Improve Differentiating Benign and Malignant Skin Tumors in Animal Patients. Cancers, 14(12), 2820. https://doi.org/10.3390/cancers14122820

