Biology and Clinical Applicability of Plasma Thymus and Activation-Regulated Chemokine (TARC) in Classical Hodgkin Lymphoma
Abstract
Simple Summary
Abstract
1. Introduction
2. Biology of TARC
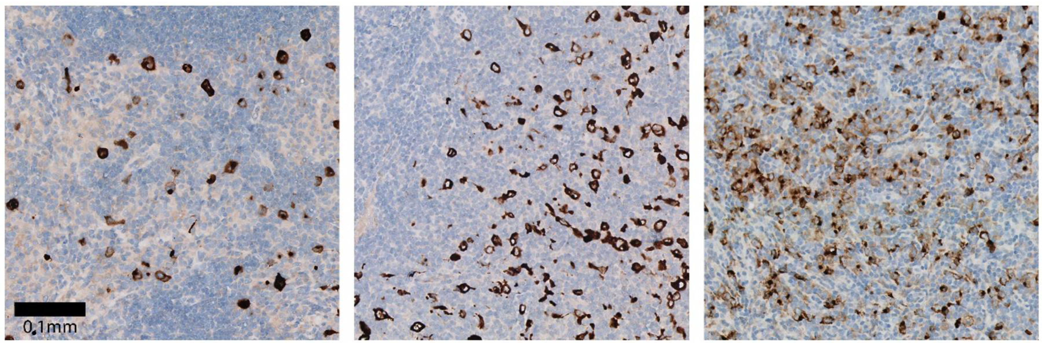
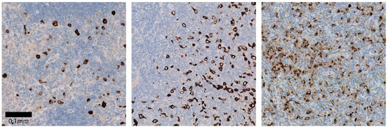
3. TARC in Classical Hodgkin Lymphoma
4. Clinical Applicability of TARC: As Diagnostic Blood Biomarker
5. Clinical Applicability of TARC: As Therapeutic Target
6. Conclusions
Author Contributions
Funding
Data Availability Statement
Acknowledgments
Conflicts of Interest
References
- Engert, A.; Eichenauer, D.A.; Dreyling, M.; Group, E.G.W. Hodgkin’s lymphoma: Esmo clinical practice guidelines for diagnosis, treatment and follow-up. Ann. Oncol. 2010, 21 (Suppl. S5), 168–171. [Google Scholar] [CrossRef] [PubMed]
- Morton, L.M.; Wang, S.S.; Devesa, S.S.; Hartge, P.; Weisenburger, D.D.; Linet, M.S. Lymphorna incidence patterns by who subtype in the united states, 1992–2001. Blood 2006, 107, 265–276. [Google Scholar] [CrossRef]
- Mottok, A.; Steidl, C. Biology of classical hodgkin lymphoma: Implications for prognosis and novel therapies. Blood 2018, 131, 1654–1665. [Google Scholar] [CrossRef]
- Howlader, N.; Noone, A.M.; Krapcho, M.; Miller, D.; Bishop, K.; Kosary, C.L.; Yu, M.; Ruhl, J.; Tatalovich, Z.; Mariotto, A.; et al. Seer Cancer Statistics Review, 1975–2014. National Cancer Institute. 2017. Available online: seer.cancer.gov/csr/1975_2014/ (accessed on 18 December 2020).
- Townsend, W.; Linch, D. Hodgkin’s lymphoma in adults. Lancet 2012, 380, 836–847. [Google Scholar] [CrossRef]
- Shanbhag, S.; Ambinder, R.F. Hodgkin lymphoma: A review and update on recent progress. CA Cancer J. Clin. 2018, 68, 116–132. [Google Scholar] [CrossRef] [PubMed]
- Von Tresckow, B.; Moskowitz, C.H. Treatment of relapsed and refractory hodgkin lymphoma. Semin. Hematol. 2016, 53, 180–185. [Google Scholar] [CrossRef] [PubMed][Green Version]
- Aleman, B.M.; van den Belt-Dusebout, A.W.; De Bruin, M.L.; van ’t Veer, M.B.; Baaijens, M.H.; de Boer, J.P.; Hart, A.A.; Klokman, W.J.; Kuenen, M.A.; Ouwens, G.M.; et al. Late cardiotoxicity after treatment for hodgkin lymphoma. Blood 2007, 109, 1878–1886. [Google Scholar] [CrossRef]
- Castellino, S.M.; Geiger, A.M.; Mertens, A.C.; Leisenring, W.M.; Tooze, J.A.; Goodman, P.; Stovall, M.; Robison, L.L.; Hudson, M.M. Morbidity and mortality in long-term survivors of hodgkin lymphoma: A report from the childhood cancer survivor study. Blood 2011, 117, 1806–1816. [Google Scholar] [CrossRef] [PubMed]
- Kreuser, E.D.; Xiros, N.; Hetzel, W.D.; Heimpel, H. Reproductive and endocrine gonadal capacity in patients treated with copp chemotherapy for hodgkin’s disease. J. Cancer Res. Clin. Oncol. 1987, 113, 260–266. [Google Scholar] [CrossRef]
- O’Brien, M.M.; Donaldson, S.S.; Balise, R.R.; Whittemore, A.S.; Link, M.P. Second malignant neoplasms in survivors of pediatric hodgkin’s lymphoma treated with low-dose radiation and chemotherapy. J. Clin. Oncol. 2010, 28, 1232–1239. [Google Scholar] [CrossRef]
- Kuppers, R.; Engert, A.; Hansmann, M.L. Hodgkin lymphoma. J. Clin. Investig. 2012, 122, 3439–3447. [Google Scholar] [CrossRef] [PubMed]
- Skinnider, B.F.; Mak, T.W. The role of cytokines in classical hodgkin lymphoma. Blood 2002, 99, 4283–4297. [Google Scholar] [CrossRef] [PubMed]
- Teruya-Feldstein, J.; Tosato, G.; Jaffe, E.S. The role of chemokines in hodgkin’s disease. Leuk. Lymphoma 2000, 38, 363–371. [Google Scholar] [CrossRef] [PubMed]
- Steidl, C.; Connors, J.M.; Gascoyne, R.D. Molecular pathogenesis of hodgkin’s lymphoma: Increasing evidence of the importance of the microenvironment. J. Clin. Oncol. 2011, 29, 1812–1826. [Google Scholar] [CrossRef]
- Kuppers, R. The biology of hodgkin’s lymphoma. Nat. Rev. Cancer 2009, 9, 15–27. [Google Scholar] [CrossRef] [PubMed]
- Drexler, H.G.; Pommerenke, C.; Eberth, S.; Nagel, S. Hodgkin lymphoma cell lines: To separate the wheat from the chaff. Biol. Chem. 2018, 399, 511–523. [Google Scholar] [CrossRef]
- Ansell, S.M.; Lesokhin, A.M.; Borrello, I.; Halwani, A.; Scott, E.C.; Gutierrez, M.; Schuster, S.J.; Millenson, M.M.; Cattry, D.; Freeman, G.J.; et al. Pd-1 blockade with nivolumab in relapsed or refractory hodgkin’s lymphoma. N. Engl. J. Med. 2015, 372, 311–319. [Google Scholar] [CrossRef]
- Bagcchi, S. Nivolumab shows clinical activity in hodgkin’s lymphoma. Lancet. Oncol. 2015, 16, e108. [Google Scholar] [CrossRef]
- Abi-Younes, S.; Si-Tahar, M.; Luster, A.D. The cc chemokines mdc and tarc induce platelet activation via ccr4. Thromb. Res. 2001, 101, 279–289. [Google Scholar] [CrossRef]
- Furie, M.B.; Randolph, G.J. Chemokines and tissue injury. Am. J. Pathol. 1995, 146, 1287–1301. [Google Scholar]
- Charo, I.F.; Ransohoff, R.M. The many roles of chemokines and chemokine receptors in inflammation. N. Engl. J. Med. 2006, 354, 610–621. [Google Scholar] [CrossRef] [PubMed]
- Imai, T.; Baba, M.; Nishimura, M.; Kakizaki, M.; Takagi, S.; Yoshie, O. The t cell-directed cc chemokine tarc is a highly specific biological ligand for cc chemokine receptor 4. J. Biol. Chem. 1997, 272, 15036–15042. [Google Scholar] [CrossRef] [PubMed]
- Panina-Bordignon, P.; Papi, A.; Mariani, M.; Di Lucia, P.; Casoni, G.; Bellettato, C.; Buonsanti, C.; Miotto, D.; Mapp, C.; Villa, A.; et al. The c-c chemokine receptors ccr4 and ccr8 identify airway t cells of allergen-challenged atopic asthmatics. J. Clin. Investig. 2001, 107, 1357–1364. [Google Scholar] [CrossRef]
- Wirnsberger, G.; Hebenstreit, D.; Posselt, G.; Horejs-Hoeck, J.; Duschl, A. Il-4 induces expression of tarc/ccl17 via two stat6 binding sites. Eur. J. Immunol. 2006, 36, 1882–1891. [Google Scholar] [CrossRef]
- Vestergaard, C.; Bang, K.; Gesser, B.; Yoneyama, H.; Matsushima, K.; Larsen, C.G. A th2 chemokine, tarc, produced by keratinocytes may recruit cla+ccr4+ lymphocytes into lesional atopic dermatitis skin. J. Investig. Dermatol. 2000, 115, 640–646. [Google Scholar] [CrossRef] [PubMed]
- Sumiyoshi, K.; Nakao, A.; Setoguchi, Y.; Tsuboi, R.; Okumura, K.; Ogawa, H. Tgf-beta/smad signaling inhibits ifn-gamma and tnf-alpha-induced tarc (ccl17) production in hacat cells. J. Dermatol. Sci. 2003, 31, 53–58. [Google Scholar] [CrossRef]
- Xiao, T.; Fujita, H.; Saeki, H.; Mitsui, H.; Sugaya, M.; Tada, Y.; Kakinuma, T.; Torii, H.; Nakamura, K.; Asahina, A.; et al. Thymus and activation-regulated chemokine (tarc/ccl17) produced by mouse epidermal langerhans cells is upregulated by tnf-alpha and il-4 and downregulated by ifn-gamma. Cytokine 2003, 23, 126–132. [Google Scholar] [CrossRef]
- Komine, M.; Kakinuma, T.; Kagami, S.; Hanakawa, Y.; Hashimoto, K.; Tamaki, K. Mechanism of thymus- and activation-regulated chemokine (tarc)/ccl17 production and its modulation by roxithromycin. J. Investig. Dermatol. 2005, 125, 491–498. [Google Scholar] [CrossRef]
- Campbell, J.J.; Haraldsen, G.; Pan, J.; Rottman, J.; Qin, S.; Ponath, P.; Andrew, D.P.; Warnke, R.; Ruffing, N.; Kassam, N.; et al. The chemokine receptor ccr4 in vascular recognition by cutaneous but not intestinal memory t cells. Nature 1999, 400, 776–780. [Google Scholar] [CrossRef]
- Von Hundelshausen, P.; Weber, C. Platelets as immune cells: Bridging inflammation and cardiovascular disease. Circ. Res. 2007, 100, 27–40. [Google Scholar] [CrossRef]
- Fujisawa, T.; Fujisawa, R.; Kato, Y.; Nakayama, T.; Morita, A.; Katsumata, H.; Nishimori, H.; Iguchi, K.; Kamiya, H.; Gray, P.W.; et al. Presence of high contents of thymus and activation-regulated chemokine in platelets and elevated plasma levels of thymus and activation-regulated chemokine and macrophage-derived chemokine in patients with atopic dermatitis. J. Allergy Clin. Immunol. 2002, 110, 139–146. [Google Scholar] [CrossRef] [PubMed]
- Jo, K.M.; Lim, H.K.; Sull, J.W.; Choi, E.; Lee, J.S.; Cheong, M.A.; Hong, M.H.; Kim, Y.; Kim, I.S. Thymus and activation-regulated chemokine (tarc)/ccl17 and ige are associated with elderly asthmatics. Immun. Ageing 2018, 15, 13. [Google Scholar] [CrossRef] [PubMed]
- Thijs, J.; Krastev, T.; Weidinger, S.; Buckens, C.F.; de Bruin-Weller, M.; Bruijnzeel-Koomen, C.; Flohr, C.; Hijnen, D. Biomarkers for atopic dermatitis: A systematic review and meta-analysis. Curr. Opin. Allergy Clin. Immunol. 2015, 15, 453–460. [Google Scholar] [CrossRef]
- Umeda, M.; Koga, T.; Ichinose, K.; Igawa, T.; Sato, T.; Takatani, A.; Shimizu, T.; Fukui, S.; Nishino, A.; Horai, Y.; et al. Cd4(+) cd52(lo) t-cell expression contributes to the development of systemic lupus erythematosus. Clin. Immunol. 2018, 187, 50–57. [Google Scholar] [CrossRef]
- Van den Berg, A.; Visser, L.; Poppema, S. High expression of the cc chemokine tarc in reed-sternberg cells. A possible explanation for the characteristic t-cell infiltratein hodgkin’s lymphoma. Am. J. Pathol. 1999, 154, 1685–1691. [Google Scholar] [CrossRef]
- Buglio, D.; Georgakis, G.V.; Hanabuchi, S.; Arima, K.; Khaskhely, N.M.; Liu, Y.J.; Younes, A. Vorinostat inhibits stat6-mediated t(h)2 cytokine and tarc production and induces cell death in hodgkin lymphoma cell lines. Blood 2008, 112, 1424–1433. [Google Scholar] [CrossRef]
- Tiacci, E.; Ladewig, E.; Schiavoni, G.; Penson, A.; Fortini, E.; Pettirossi, V.; Wang, Y.; Rosseto, A.; Venanzi, A.; Vlasevska, S.; et al. Pervasive mutations of jak-stat pathway genes in classical hodgkin lymphoma. Blood 2018, 131, 2454–2465. [Google Scholar] [CrossRef] [PubMed]
- Diaz, T.; Navarro, A.; Ferrer, G.; Gel, B.; Gaya, A.; Artells, R.; Bellosillo, B.; Garcia-Garcia, M.; Serrano, S.; Martinez, A.; et al. Lestaurtinib inhibition of the jak/stat signaling pathway in hodgkin lymphoma inhibits proliferation and induces apoptosis. PLoS ONE 2011, 6, e18856. [Google Scholar] [CrossRef]
- Schoof, N.; von Bonin, F.; Trumper, L.; Kube, D. Hsp90 is essential for jak-stat signaling in classical hodgkin lymphoma cells. Cell Commun. Signal. 2009, 7, 17. [Google Scholar] [CrossRef]
- Steidl, C.; Diepstra, A.; Lee, T.; Chan, F.C.; Farinha, P.; Tan, K.; Telenius, A.; Barclay, L.; Shah, S.P.; Connors, J.M.; et al. Gene expression profiling of microdissected hodgkin reed-sternberg cells correlates with treatment outcome in classical hodgkin lymphoma. Blood 2012, 120, 3530–3540. [Google Scholar] [CrossRef]
- Bargou, R.C.; Leng, C.; Krappmann, D.; Emmerich, F.; Mapara, M.Y.; Bommert, K.; Royer, H.D.; Scheidereit, C.; Dorken, B. High-level nuclear nf-kappa b and oct-2 is a common feature of cultured hodgkin/reed-sternberg cells. Blood 1996, 87, 4340–4347. [Google Scholar] [CrossRef]
- Lake, A.; Shield, L.A.; Cordano, P.; Chui, D.T.; Osborne, J.; Crae, S.; Wilson, K.S.; Tosi, S.; Knight, S.J.; Gesk, S.; et al. Mutations of nfkbia, encoding ikappab alpha, are a recurrent finding in classical hodgkin lymphoma but are not a unifying feature of non-ebv-associated cases. Int. J. Cancer 2009, 125, 1334–1342. [Google Scholar] [CrossRef] [PubMed]
- Aoki, T.; Chong, L.C.; Takata, K.; Milne, K.; Hav, M.; Colombo, A.; Chavez, E.A.; Nissen, M.; Wang, X.; Miyata-Takata, T.; et al. Single-cell transcriptome analysis reveals disease-defining t-cell subsets in the tumor microenvironment of classic hodgkin lymphoma. Cancer Discov. 2020, 10, 406–421. [Google Scholar] [CrossRef] [PubMed]
- Liu, Y.; Abdul Razak, F.R.; Terpstra, M.; Chan, F.C.; Saber, A.; Nijland, M.; van Imhoff, G.; Visser, L.; Gascoyne, R.; Steidl, C.; et al. The mutational landscape of hodgkin lymphoma cell lines determined by whole-exome sequencing. Leukemia 2014, 28, 2248–2251. [Google Scholar] [CrossRef]
- Reichel, J.; Chadburn, A.; Rubinstein, P.G.; Giulino-Roth, L.; Tam, W.; Liu, Y.; Gaiolla, R.; Eng, K.; Brody, J.; Inghirami, G.; et al. Flow sorting and exome sequencing reveal the oncogenome of primary hodgkin and reed-sternberg cells. Blood 2015, 125, 1061–1072. [Google Scholar] [CrossRef]
- Reichel, J.B.; McCormick, J.; Fromm, J.R.; Elemento, O.; Cesarman, E.; Roshal, M. Flow-sorting and exome sequencing of the reed-sternberg cells of classical hodgkin lymphoma. J. Vis. Exp. 2017, 124, 54399. [Google Scholar] [CrossRef] [PubMed]
- Wienand, K.; Chapuy, B.; Stewart, C.; Dunford, A.J.; Wu, D.; Kim, J.; Kamburov, A.; Wood, T.R.; Cader, F.Z.; Ducar, M.D.; et al. Genomic analyses of flow-sorted hodgkin reed-sternberg cells reveal complementary mechanisms of immune evasion. Blood Adv. 2019, 3, 4065–4080. [Google Scholar] [CrossRef]
- Cuccaro, A.; Annunziata, S.; Cupelli, E.; Martini, M.; Calcagni, M.L.; Rufini, V.; Giachelia, M.; Bartolomei, F.; Galli, E.; D’Alo, F.; et al. Cd68+ cell count, early evaluation with pet and plasma tarc levels predict response in hodgkin lymphoma. Cancer Med. 2016, 5, 398–406. [Google Scholar] [CrossRef] [PubMed]
- Guidetti, A.; Mazzocchi, A.; Miceli, R.; Paterno, E.; Taverna, F.; Spina, F.; Crippa, F.; Farina, L.; Corradini, P.; Gianni, A.M.; et al. Early reduction of serum tarc levels may predict for success of abvd as frontline treatment in patients with hodgkin lymphoma. Leuk. Res. 2017, 62, 91–97. [Google Scholar] [CrossRef] [PubMed]
- Niens, M.; Visser, L.; Nolte, I.M.; van der Steege, G.; Diepstra, A.; Cordano, P.; Jarrett, R.F.; Te Meerman, G.J.; Poppema, S.; van den Berg, A. Serum chemokine levels in hodgkin lymphoma patients: Highly increased levels of ccl17 and ccl22. Br. J. Haematol. 2008, 140, 527–536. [Google Scholar] [CrossRef]
- Plattel, W.J.; Alsada, Z.N.; van Imhoff, G.W.; Diepstra, A.; van den Berg, A.; Visser, L. Biomarkers for evaluation of treatment response in classical hodgkin lymphoma: Comparison of sgalectin-1, scd163 and scd30 with tarc. Br. J. Haematol. 2016, 175, 868–875. [Google Scholar] [CrossRef] [PubMed]
- Zijtregtop, E.A.M.; Meyer-Wentrup, F.; Wong, W.; Hoogendijk, R.; Lopez-Yurda, M.; Zwaan, C.M.; Beishuizen, A. Plasma thymus and activation-regulated chemokine (tarc) as diagnostic marker in pediatric hodgkin lymphoma. eJHaem 2019, 1, 152–160. [Google Scholar] [CrossRef]
- Gallamini, A.; Hutchings, M.; Rigacci, L.; Specht, L.; Merli, F.; Hansen, M.; Patti, C.; Loft, A.; Di Raimondo, F.; D’Amore, F.; et al. Early interim 2-[18f]fluoro-2-deoxy-d-glucose positron emission tomography is prognostically superior to international prognostic score in advanced-stage hodgkin’s lymphoma: A report from a joint italian-danish study. J. Clin. Oncol. 2007, 25, 3746–3752. [Google Scholar] [CrossRef] [PubMed]
- Jones, K.; Vari, F.; Keane, C.; Crooks, P.; Nourse, J.P.; Seymour, L.A.; Gottlieb, D.; Ritchie, D.; Gill, D.; Gandhi, M.K. Serum cd163 and tarc as disease response biomarkers in classical hodgkin lymphoma. Clin. Cancer Res. 2013, 19, 731–742. [Google Scholar] [CrossRef] [PubMed]
- Plattel, W.J.; van den Berg, A.; Visser, L.; van der Graaf, A.M.; Pruim, J.; Vos, H.; Hepkema, B.; Diepstra, A.; van Imhoff, G.W. Plasma thymus and activation-regulated chemokine as an early response marker in classical hodgkin’s lymphoma. Haematologica 2012, 97, 410–415. [Google Scholar] [CrossRef]
- Sauer, M.; Plutschow, A.; Jachimowicz, R.D.; Kleefisch, D.; Reiners, K.S.; Ponader, S.; Engert, A.; von Strandmann, E.P. Baseline serum tarc levels predict therapy outcome in patients with hodgkin lymphoma. Am. J. Hematol. 2013, 88, 113–115. [Google Scholar] [CrossRef]
- Weihrauch, M.R.; Manzke, O.; Beyer, M.; Haverkamp, H.; Diehl, V.; Bohlen, H.; Wolf, J.; Schultze, J.L. Elevated serum levels of cc thymus and activation-related chemokine (tarc) in primary hodgkin’s disease: Potential for a prognostic factor. Cancer Res. 2005, 65, 5516–5519. [Google Scholar] [CrossRef]
- Plattel, W.J.; Visser, L.; Diepstra, A.; Glaudemans, A.; Nijland, M.; van Meerten, T.; Kluin-Nelemans, H.C.; van Imhoff, G.W.; van den Berg, A. Interim thymus and activation regulated chemokine versus interim (18) f-fluorodeoxyglucose positron-emission tomography in classical hodgkin lymphoma response evaluation. Br. J. Haematol. 2020, 190, 40–44. [Google Scholar] [CrossRef]
- Viviani, S.; Mazzocchi, A.; Pavoni, C.; Taverna, F.; Rossi, A.; Patti, C.; Romano, A.; Trentin, L.; Sorasio, R.; Guidetti, A.; et al. Early serum tarc reduction predicts prognosis in advanced-stage hodgkin lymphoma patients treated with a pet-adapted strategy. Hematol. Oncol. 2020, 38, 501–508. [Google Scholar] [CrossRef]
- Hsi, E.D.; Li, H.; Nixon, A.B.; Schoder, H.; Bartlett, N.L.; LeBlanc, M.; Smith, S.; Kahl, B.S.; Leonard, J.P.; Evens, A.M.; et al. Serum levels of tarc, mdc, il-10, and soluble cd163 in hodgkin lymphoma: A swog s0816 correlative study. Blood 2019, 133, 1762–1765. [Google Scholar] [CrossRef]
- Lim, J.B.; Kim, D.K.; Chung, H.W. Clinical significance of serum thymus and activation-regulated chemokine in gastric cancer: Potential as a serum biomarker. Cancer Sci. 2014, 105, 1327–1333. [Google Scholar] [CrossRef]
- Peh, S.C.; Kim, L.H.; Poppema, S. Tarc, a cc chemokine, is frequently expressed in classic hodgkin’s lymphoma but not in nlp hodgkin’s lymphoma, t-cell-rich b-cell lymphoma, and most cases of anaplastic large cell lymphoma. Am. J. Surg. Pathol. 2001, 25, 925–929. [Google Scholar] [CrossRef] [PubMed]
- Kumai, T.; Nagato, T.; Kobayashi, H.; Komabayashi, Y.; Ueda, S.; Kishibe, K.; Ohkuri, T.; Takahara, M.; Celis, E.; Harabuchi, Y. Ccl17 and ccl22/ccr4 signaling is a strong candidate for novel targeted therapy against nasal natural killer/t-cell lymphoma. Cancer Immunol. Immunother. 2015, 64, 697–705. [Google Scholar] [CrossRef]
- Miyagaki, T.; Sugaya, M.; Suga, H.; Morimura, S.; Kamata, M.; Ohmatsu, H.; Fujita, H.; Asano, Y.; Tada, Y.; Kadono, T.; et al. Serum soluble cd26 levels: Diagnostic efficiency for atopic dermatitis, cutaneous t-cell lymphoma and psoriasis in combination with serum thymus and activation-regulated chemokine levels. J. Eur. Acad. Dermatol. Venereol. 2013, 27, 19–24. [Google Scholar] [CrossRef] [PubMed]
- Vermeer, M.H.; Dukers, D.F.; ten Berge, R.L.; Bloemena, E.; Wu, L.; Vos, W.; de Vries, E.; Tensen, C.P.; Meijer, C.J.; Willemze, R. Differential expression of thymus and activation regulated chemokine and its receptor ccr4 in nodal and cutaneous anaplastic large-cell lymphomas and hodgkin’s disease. Mod. Pathol. 2002, 15, 838–844. [Google Scholar] [CrossRef]
- Kataoka, Y. Thymus and activation-regulated chemokine as a clinical biomarker in atopic dermatitis. J. Dermatol. 2014, 41, 221–229. [Google Scholar] [CrossRef]
- Kudo, M.; Ishigatsubo, Y.; Aoki, I. Pathology of asthma. Front. Microbiol. 2013, 4, 263. [Google Scholar] [CrossRef]
- Cornforth, A.N.; Lee, G.J.; Fowler, A.W.; Carbonell, D.J.; Dillman, R.O. Increases in serum tarc/ccl17 levels are associated with progression-free survival in advanced melanoma patients in response to dendritic cell-based immunotherapy. J. Clin. Immunol. 2009, 29, 657–664. [Google Scholar] [CrossRef] [PubMed]
- Leung, T.F.; Wong, C.K.; Lam, C.W.; Li, A.M.; Ip, W.K.; Wong, G.W.; Fok, T.F. Plasma tarc concentration may be a useful marker for asthmatic exacerbation in children. Eur. Respir. J. 2003, 21, 616–620. [Google Scholar] [CrossRef] [PubMed]
- Komatsu-Fujii, T.; Chinuki, Y.; Niihara, H.; Hayashida, K.; Ohta, M.; Okazaki, R.; Kaneko, S.; Morita, E. The thymus and activation-regulated chemokine (tarc) level in serum at an early stage of a drug eruption is a prognostic biomarker of severity of systemic inflammation. Allergol. Int. 2018, 67, 90–95. [Google Scholar] [CrossRef] [PubMed]
- Tsybikov, N.N.; Egorova, E.V.; Kuznik, B.I.; Fefelova, E.V.; Magen, E. Biomarker assessment in chronic rhinitis and chronic rhinosinusitis: Endothelin-1, tarc/ccl17, neopterin, and alpha-defensins. Allergy Asthma Proc. 2016, 37, 35–42. [Google Scholar] [CrossRef]
- Umeda, M.; Origuchi, T.; Kawashiri, S.Y.; Koga, T.; Ichinose, K.; Furukawa, K.; Sato, T.; Tsuji, S.; Endo, Y.; Takatani, A.; et al. Thymus and activation-regulated chemokine as a biomarker for igg4-related disease. Sci. Rep. 2020, 10, 6010. [Google Scholar] [CrossRef]
- Inui, S.; Noguchi, F.; Nakajima, T.; Itami, S. Serum thymus and activation-regulated chemokine as disease activity and response biomarker in alopecia areata. J. Dermatol. 2013, 40, 881–885. [Google Scholar] [CrossRef] [PubMed]
- Kawasaki, Y.; Kamata, M.; Shimizu, T.; Nagata, M.; Fukaya, S.; Hayashi, K.; Fukuyasu, A.; Tanaka, T.; Ishikawa, T.; Ohnishi, T.; et al. Thymus and activation-regulated chemokine (tarc) in patients with psoriasis: Increased serum tarc levels in patients with generalized pustular psoriasis. J. Dermatol. 2020, 47, 1149–1156. [Google Scholar] [CrossRef] [PubMed]
- Bradford, E.; Jacobson, S.; Varasteh, J.; Comellas, A.P.; Woodruff, P.; O’Neal, W.; DeMeo, D.L.; Li, X.; Kim, V.; Cho, M.; et al. The value of blood cytokines and chemokines in assessing copd. Respir. Res. 2017, 18, 180. [Google Scholar] [CrossRef] [PubMed]
- Machida, H.; Inoue, S.; Shibata, Y.; Kimura, T.; Sato, K.; Abe, K.; Murano, H.; Yang, S.; Nakano, H.; Sato, M.; et al. Thymus and activation-regulated chemokine (tarc/ccl17) predicts decline of pulmonary function in patients with chronic obstructive pulmonary disease. Allergol. Int. 2021, 70, 81–88. [Google Scholar] [CrossRef] [PubMed]
- Wang, J.; Zhao, Q.; Wang, G.; Yang, C.; Xu, Y.; Li, Y.; Yang, P. Circulating levels of th1 and th2 chemokines in patients with ankylosing spondylitis. Cytokine 2016, 81, 10–14. [Google Scholar] [CrossRef]
- Miyazaki, E.; Nureki, S.; Ono, E.; Ando, M.; Matsuno, O.; Fukami, T.; Ueno, T.; Kumamoto, T. Circulating thymus- and activation-regulated chemokine/ccl17 is a useful biomarker for discriminating acute eosinophilic pneumonia from other causes of acute lung injury. Chest 2007, 131, 1726–1734. [Google Scholar] [CrossRef] [PubMed]
- Kakinuma, T.; Wakugawa, M.; Nakamura, K.; Hino, H.; Matsushima, K.; Tamaki, K. High level of thymus and activation-regulated chemokine in blister fluid and sera of patients with bullous pemphigoid. Br. J. Dermatol. 2003, 148, 203–210. [Google Scholar] [CrossRef]
- Makita, E.; Kuroda, S.; Itabashi, K.; Sugawara, D.; Ichihashi, K. Evaluation of the diagnostic accuracy of thymus and activation-regulated chemokine to discriminate food protein-induced enterocolitis syndrome from infectious gastroenteritis. Int. Arch. Allergy Immunol. 2020, 182, 229–233. [Google Scholar] [CrossRef]
- Delhaes, L.; Frealle, E.; Pinel, C. Serum markers for allergic bronchopulmonary aspergillosis in cystic fibrosis: State of the art and further challenges. Med. Mycol. 2010, 48 (Suppl. S1), S77–S87. [Google Scholar] [CrossRef]
- Wenzel, J.; Henze, S.; Worenkamper, E.; Basner-Tschakarjan, E.; Sokolowska-Wojdylo, M.; Steitz, J.; Bieber, T.; Tuting, T. Role of the chemokine receptor ccr4 and its ligand thymus- and activation-regulated chemokine/ccl17 for lymphocyte recruitment in cutaneous lupus erythematosus. J. Investig. Dermatol. 2005, 124, 1241–1248. [Google Scholar] [CrossRef] [PubMed]
- Viola, A.; Luster, A.D. Chemokines and their receptors: Drug targets in immunity and inflammation. Annu. Rev. Pharmacol. Toxicol. 2008, 48, 171–197. [Google Scholar] [CrossRef] [PubMed]
- Beck, A.; Reichert, J.M. Marketing approval of mogamulizumab: A triumph for glyco-engineering. MAbs 2012, 4, 419–425. [Google Scholar] [CrossRef] [PubMed]
- Kanazawa, T.; Hiramatsu, Y.; Iwata, S.; Siddiquey, M.; Sato, Y.; Suzuki, M.; Ito, Y.; Goshima, F.; Murata, T.; Kimura, H. Anti-ccr4 monoclonal antibody mogamulizumab for the treatment of ebv-associated t- and nk-cell lymphoproliferative diseases. Clin. Cancer Res. 2014, 20, 5075–5084. [Google Scholar] [CrossRef] [PubMed]
- Subramaniam, J.M.; Whiteside, G.; McKeage, K.; Croxtall, J.C. Mogamulizumab first global approval. Drugs 2012, 72, 1293–1298. [Google Scholar] [CrossRef]
- Yonekura, K.; Kusumoto, S.; Choi, I.; Nakano, N.; Ito, A.; Suehiro, Y.; Imaizumi, Y.; Yoshimitsu, M.; Nosaka, K.; Ohtsuka, E.; et al. Mogamulizumab for adult t-cell leukemia-lymphoma: A multicenter prospective observational study. Blood Adv. 2020, 4, 5133–5145. [Google Scholar] [CrossRef]
- Duvic, M.; Vu, J. Vorinostat: A new oral histone deacetylase inhibitor approved for cutaneous t-cell lymphoma. Expert Opin. Investig. Drugs 2007, 16, 1111–1120. [Google Scholar] [CrossRef]
- Siegel, D.; Hussein, M.; Belani, C.; Robert, F.; Galanis, E.; Richon, V.M.; Garcia-Vargas, J.; Sanz-Rodriguez, C.; Rizvi, S. Vorinostat in solid and hematologic malignancies. J. Hematol. Oncol. 2009, 2, 31. [Google Scholar] [CrossRef]
- Janku, F.; Park, H.; Call, S.G.; Madwani, K.; Oki, Y.; Subbiah, V.; Hong, D.S.; Naing, A.; Velez-Bravo, V.M.; Barnes, T.G.; et al. Safety and efficacy of vorinostat plus sirolimus or everolimus in patients with relapsed refractory hodgkin lymphoma. Clin. Cancer Res. 2020, 26, 5579–5587. [Google Scholar] [CrossRef]
- Kirschbaum, M.H.; Goldman, B.H.; Zain, J.M.; Cook, J.R.; Rimsza, L.M.; Forman, S.J.; Fisher, R.I. A phase 2 study of vorinostat for treatment of relapsed or refractory hodgkin lymphoma: Southwest oncology group study s0517. Leuk. Lymphoma 2012, 53, 259–262. [Google Scholar] [CrossRef] [PubMed]
- Di Stasi, A.; De Angelis, B.; Rooney, C.M.; Zhang, L.; Mahendravada, A.; Foster, A.E.; Heslop, H.E.; Brenner, M.K.; Dotti, G.; Savoldo, B. T lymphocytes coexpressing ccr4 and a chimeric antigen receptor targeting cd30 have improved homing and antitumor activity in a hodgkin tumor model. Blood 2009, 113, 6392–6402. [Google Scholar] [CrossRef] [PubMed]



| Disease | Applicability | Ref 1 |
|---|---|---|
| Gastric cancer | Diagnostic marker, marker of disease extent | [67] |
| Melanoma | Marker for progression free survival | [68] |
| Nasal natural killer/T cell lymphoma | Diagnostic marker | [63] |
| Anaplastic large cell lymphoma | Diagnostic marker in ALK-negative cases | [65] |
| Cutaneous T cell lymphoma | Diagnostic marker | [64] |
| Disease | Applicability | Ref 1 |
|---|---|---|
| Atopic dermatitis | Diagnostic marker, response marker, severity marker | [34,69] |
| Asthma | Diagnostic marker, severity marker, marker for exacerbation | [33,70] |
| Drug eruption | Severity marker | [71] |
| Chronic rhinitis | Characterize disease phenotype | [72] |
| IgG4-related disease | Role in pathogenesis | [73] |
| Alopecia areata | Disease activity and response marker | [74] |
| Generalized pustular psoriasis | Therapeutic response marker | [75] |
| Chronic obstructive pulmonary disease | Marker for decrease lung function | [76,77] |
| Ankylosing spondylitis | Role in pathogenesis | [78] |
| Acute eosinophilic pneumonia | Diagnostic marker | [79] |
| Bullous pemphigoid | Role in pathogenesis | [80] |
| Food protein-induced enterocolitis syndrome | Diagnostic marker | [81] |
| Bronchopulmonary Aspergillosis in cystic fibrosis | Diagnostic marker | [82] |
| Cutaneous lupus erythematosus | Role in pathogenesis | [83] |
| Systemic lupus erythematosus | Role in pathogenesis | [35] |
Publisher’s Note: MDPI stays neutral with regard to jurisdictional claims in published maps and institutional affiliations. |
© 2021 by the authors. Licensee MDPI, Basel, Switzerland. This article is an open access article distributed under the terms and conditions of the Creative Commons Attribution (CC BY) license (http://creativecommons.org/licenses/by/4.0/).
Share and Cite
Zijtregtop, E.A.M.; van der Strate, I.; Beishuizen, A.; Zwaan, C.M.; Scheijde-Vermeulen, M.A.; Brandsma, A.M.; Meyer-Wentrup, F. Biology and Clinical Applicability of Plasma Thymus and Activation-Regulated Chemokine (TARC) in Classical Hodgkin Lymphoma. Cancers 2021, 13, 884. https://doi.org/10.3390/cancers13040884
Zijtregtop EAM, van der Strate I, Beishuizen A, Zwaan CM, Scheijde-Vermeulen MA, Brandsma AM, Meyer-Wentrup F. Biology and Clinical Applicability of Plasma Thymus and Activation-Regulated Chemokine (TARC) in Classical Hodgkin Lymphoma. Cancers. 2021; 13(4):884. https://doi.org/10.3390/cancers13040884
Chicago/Turabian StyleZijtregtop, Eline A. M., Iris van der Strate, Auke Beishuizen, Christian M. Zwaan, Marijn A. Scheijde-Vermeulen, Arianne M. Brandsma, and Friederike Meyer-Wentrup. 2021. "Biology and Clinical Applicability of Plasma Thymus and Activation-Regulated Chemokine (TARC) in Classical Hodgkin Lymphoma" Cancers 13, no. 4: 884. https://doi.org/10.3390/cancers13040884
APA StyleZijtregtop, E. A. M., van der Strate, I., Beishuizen, A., Zwaan, C. M., Scheijde-Vermeulen, M. A., Brandsma, A. M., & Meyer-Wentrup, F. (2021). Biology and Clinical Applicability of Plasma Thymus and Activation-Regulated Chemokine (TARC) in Classical Hodgkin Lymphoma. Cancers, 13(4), 884. https://doi.org/10.3390/cancers13040884

