Clinical and Imaging Features of Non-Small Cell Lung Cancer with G12C KRAS Mutation
Abstract
:Simple Summary
Abstract
1. Introduction
2. Materials and Methods
2.1. Patient Selection and Data Extraction
2.2. Pathologic and Genetic Analysis
2.3. Imaging Review and Analysis
2.4. Statistical Analysis
3. Results
3.1. G12C KRAS vs. Non-G12C KRAS
3.2. G12C KRAS to Other Non-KRAS Oncogenic Genetic Alterations
3.2.1. Patient Characteristics
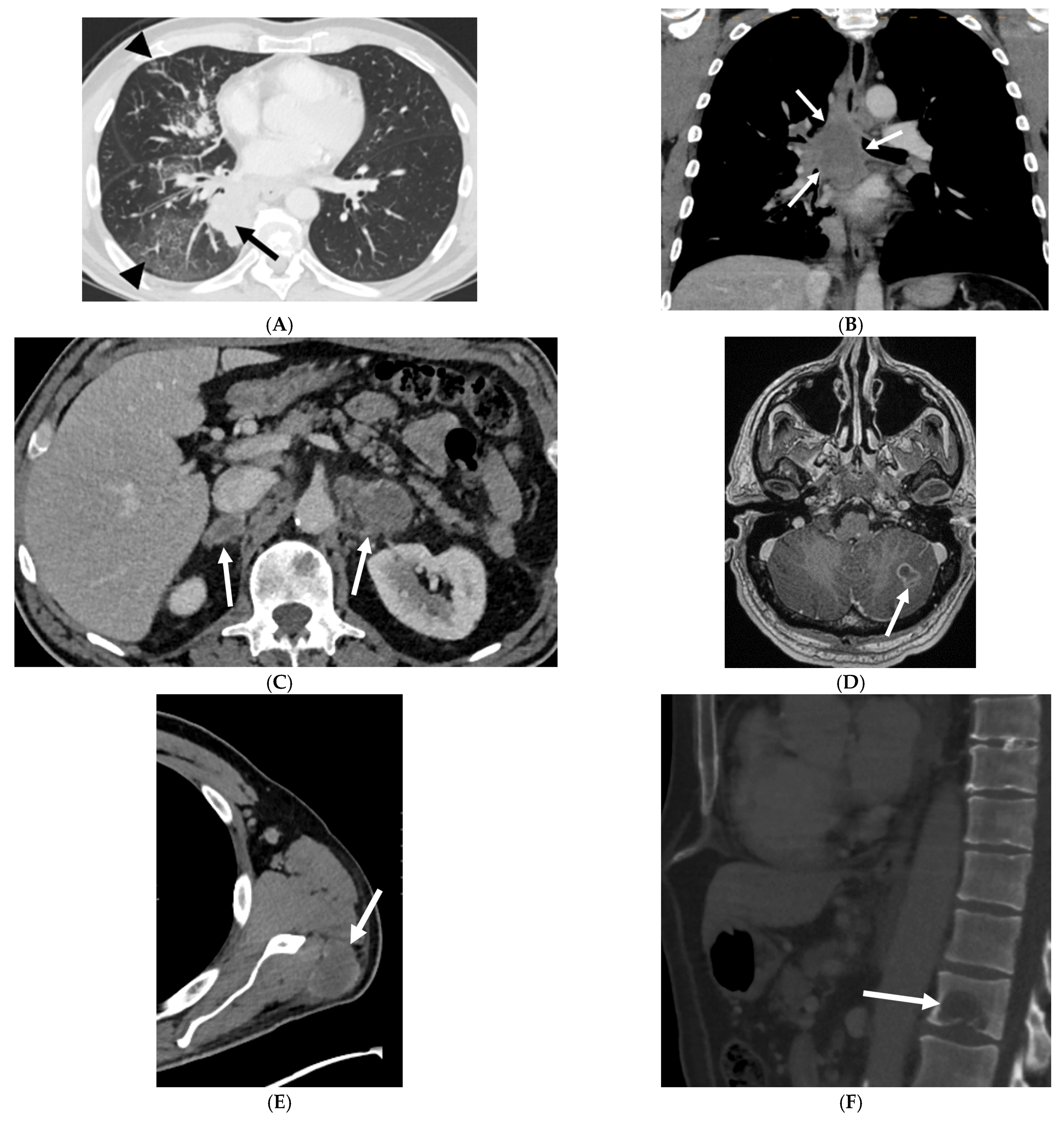
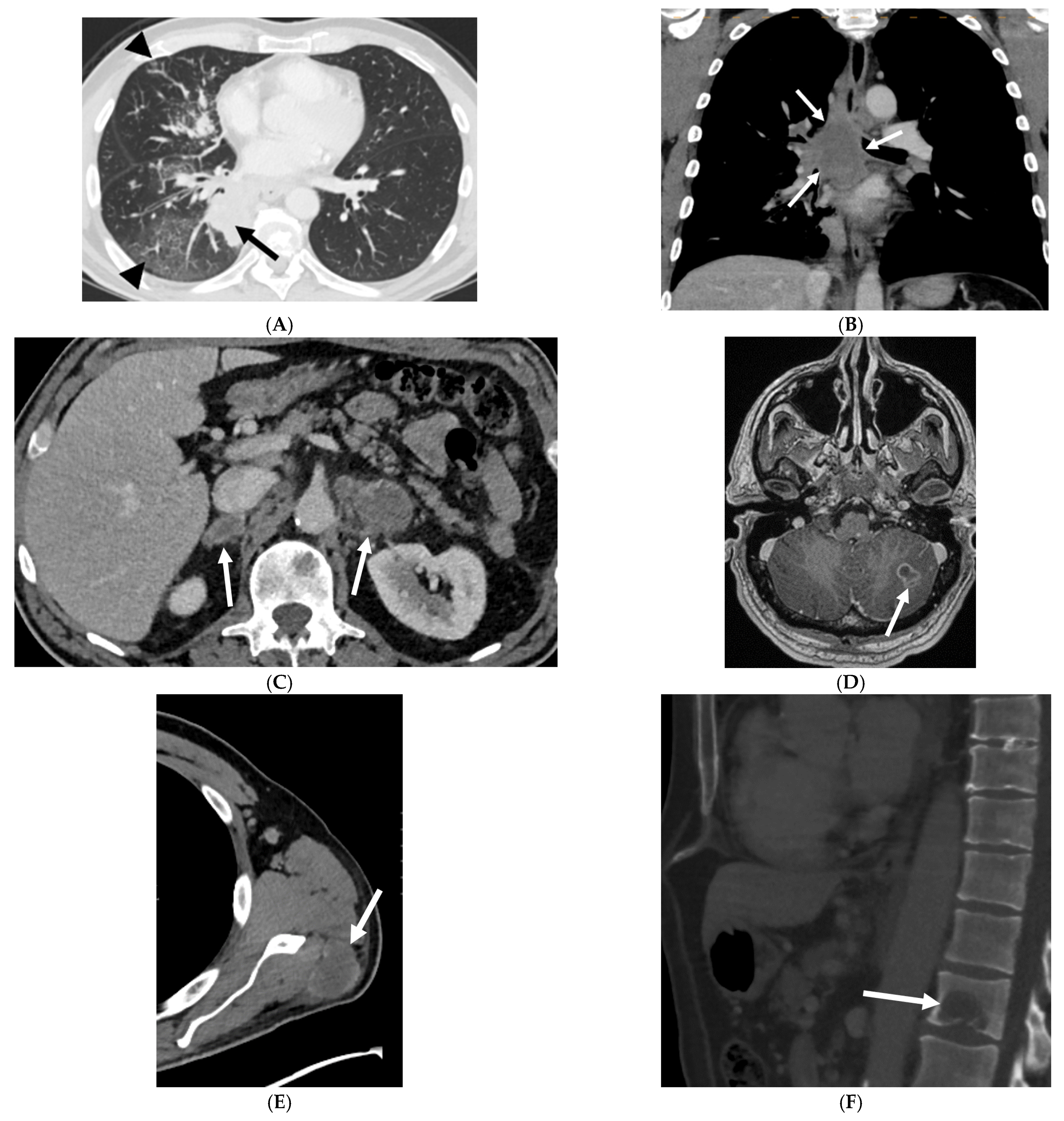
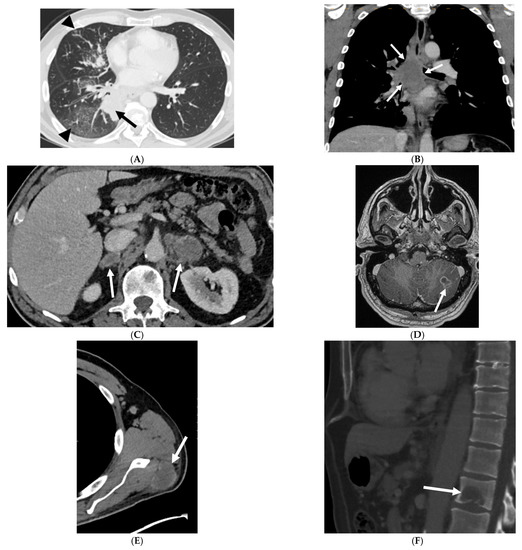
3.2.2. Imaging Features of the Primary Tumor
3.2.3. Patterns of Metastases
4. Discussion
5. Conclusions
Author Contributions
Funding
Institutional Review Board Statement
Informed Consent Statement
Data Availability Statement
Conflicts of Interest
References
- Zappa, C.; Mousa, S.A. Non-small cell lung cancer: Current treatment and future advances. Transl. Lung Cancer Res. 2016, 5, 288–300. [Google Scholar] [CrossRef] [Green Version]
- The Cancer Genome Atlas Research Network. Comprehensive molecular profiling of lung adenocarcinoma. Nature 2014, 511, 543–550. [Google Scholar] [CrossRef]
- Riely, G.J.; Kris, M.; Rosenbaum, D.; Marks, J.; Li, A.; Chitale, D.; Nafa, K.; Riedel, E.R.; Hsu, M.; Pao, W.; et al. Frequency and Distinctive Spectrum of KRAS Mutations in Never Smokers with Lung Adenocarcinoma. Clin. Cancer Res. 2008, 14, 5731–5734. [Google Scholar] [CrossRef] [Green Version]
- Forest, F.; Stachowicz, M.-L.; Casteillo, F.; Karpathiou, G.; Gouzy-Grosjean, F.; Guilaubey, C.; Cottier, M.; Beal, J.; Clemenson, A.; Péoc’H, M. EGFR, KRAS, BRAF and HER2 testing in metastatic lung adenocarcinoma: Value of testing on samples with poor specimen adequacy and analysis of discrepancies. Exp. Mol. Pathol. 2017, 103, 306–310. [Google Scholar] [CrossRef]
- Chen, H.; Zhao, J. KRAS oncogene may be another target conquered in non-small cell lung cancer (NSCLC). Thorac. Cancer 2020, 11, 3425–3435. [Google Scholar] [CrossRef]
- Seton-Rogers, S. KRAS-G12C in the crosshairs. Nat. Rev. Cancer 2019, 20, 3. [Google Scholar] [CrossRef]
- Canon, J.; Rex, K.; Saiki, A.Y.; Mohr, C.; Cooke, K.; Bagal, D.; Gaida, K.; Holt, T.; Knutson, C.G.; Koppada, N.; et al. The clinical KRAS(G12C) inhibitor AMG 510 drives anti-tumour immunity. Nature 2019, 575, 217–223. [Google Scholar] [CrossRef]
- Hallin, J.; Engstrom, L.D.; Hargis, L.; Calinisan, A.; Aranda, R.; Briere, D.M.; Sudhakar, N.; Bowcut, V.; Baer, B.R.; Ballard, J.A.; et al. The KRASG12C Inhibitor MRTX849 Provides Insight toward Therapeutic Susceptibility of KRAS-Mutant Cancers in Mouse Models and Patients. Cancer Discov. 2020, 10, 54–71. [Google Scholar] [CrossRef] [Green Version]
- FDA. FDA Grants Accelerated Approval to Sotorasib for KRAS G12C Mutated NSCLC. 2021. Available online: https://www.fda.gov/drugs/resources-information-approved-drugs/fda-grants-accelerated-approval-sotorasib-kras-g12c-mutated-nsclc (accessed on 14 June 2021).
- Digumarthy, S.R.; Mendoza, D.P.; Lin, J.J.; Chen, T.; Rooney, M.M.; Chin, E.; Sequist, L.V.; Lennerz, J.K.; Gainor, J.F.; Shaw, A.T. Computed Tomography Imaging Features and Distribution of Metastases in ROS1-rearranged Non–Small-cell Lung Cancer. Clin. Lung Cancer 2020, 21, 153–159.e3. [Google Scholar] [CrossRef]
- Digumarthy, S.R.; Mendoza, D.P.; Zhang, E.W.; Lennerz, J.K.; Heist, R.S. Clinicopathologic and Imaging Features of Non-Small-Cell Lung Cancer with MET Exon 14 Skipping Mutations. Cancers 2019, 11, 2033. [Google Scholar] [CrossRef] [PubMed] [Green Version]
- Fukui, T.; Yatabe, Y.; Kobayashi, Y.; Tomizawa, K.; Ito, S.; Hatooka, S.; Matsuo, K.; Mitsudomi, T. Clinicoradiologic characteristics of patients with lung adenocarcinoma harboring EML4-ALK fusion oncogene. Lung Cancer 2012, 77, 319–325. [Google Scholar] [CrossRef]
- Yoon, H.J.; Sohn, I.; Cho, J.H.; Lee, H.Y.; Kim, J.-H.; Choi, Y.-L.; Kim, H.; Lee, G.; Lee, K.S.; Kim, J. Decoding Tumor Phenotypes for ALK, ROS1, and RET Fusions in Lung Adenocarcinoma Using a Radiomics Approach. Medicine 2015, 94, e1753. [Google Scholar] [CrossRef]
- Digumarthy, S.R.; Mendoza, D.P.; Padole, A.; Chen, T.; Peterson, P.G.; Piotrowska, Z.; Sequist, L.V. Diffuse Lung Metastases in EGFR-Mutant Non-Small Cell Lung Cancer. Cancers 2019, 11, 1360. [Google Scholar] [CrossRef] [Green Version]
- Mendoza, D.P.; Dagogo-Jack, I.; Chen, T.; Padole, A.; Shepard, J.-A.O.; Shaw, A.T.; Digumarthy, S.R. Imaging characteristics of BRAF-mutant non-small cell lung cancer by functional class. Lung Cancer 2019, 129, 80–84. [Google Scholar] [CrossRef]
- Mendoza, D.P.; Lin, J.J.; Rooney, M.M.; Chen, T.; Sequist, L.V.; Shaw, A.T.; Digumarthy, S.R. Imaging Features and Metastatic Patterns of Advanced ALK-Rearranged Non–Small Cell Lung Cancer. Am. J. Roentgenol. 2020, 214, 766–774. [Google Scholar] [CrossRef]
- Digumarthy, S.R.; Mendoza, D.P.; Lin, J.J.; Rooney, M.; Do, A.; Chin, E.; Yeap, B.Y.; Shaw, A.T.; Gainor, J.F. Imaging Features and Patterns of Metastasis in Non-Small Cell Lung Cancer with RET Rearrangements. Cancers 2020, 12, 693. [Google Scholar] [CrossRef] [Green Version]
- Lindeman, N.I.; Cagle, P.T.; Aisner, D.L.; Arcila, M.E.; Beasley, M.B.; Bernicker, E.H.; Colasacco, C.; Dacic, S.; Hirsch, F.R.; Kerr, K.; et al. Updated Molecular Testing Guideline for the Selection of Lung Cancer Patients for Treatment with Targeted Tyrosine Kinase Inhibitors: Guideline From the College of American Pathologists, the International Association for the Study of Lung Cancer, and the Association for Molecular Pathology. Arch. Pathol. Lab. Med. 2018, 142, 321–346. [Google Scholar] [CrossRef] [Green Version]
- Zheng, Z.; Liebers, M.; Zhelyazkova, B.; Cao, Y.; Panditi, D.; Lynch, K.D.; Chen, J.; Robinson, H.E.; Shim, H.S.; Chmielecki, J.; et al. Anchored multiplex PCR for targeted next-generation sequencing. Nat. Med. 2014, 20, 1479–1484. [Google Scholar] [CrossRef]
- Biernacka, A.; Tsongalis, P.D.; Peterson, J.D.; de Abreu, F.B.; Black, C.C.; Gutmann, E.J.; Liu, X.; Tafe, L.J.; Amos, C.I.; Tsongalis, G.J. The potential utility of re-mining results of somatic mutation testing: KRAS status in lung adenocarcinoma. Cancer Genet. 2016, 209, 195–198. [Google Scholar] [CrossRef] [Green Version]
- Dang, C.V.; Reddy, E.P.; Shokat, K.M.; Soucek, L. Drugging the ’undruggable’ cancer targets. Nat. Rev. Cancer 2017, 17, 502–508. [Google Scholar] [CrossRef]
- Izumi, M.; Suzumura, T.; Ogawa, K.; Matsumoto, Y.; Sawa, K.; Yoshimoto, N.; Tani, Y.; Watanabe, T.; Kaneda, H.; Mitsuoka, S.; et al. Differences in molecular epidemiology of lung cancer among ethnicities (Asian vs. Caucasian). J. Thorac. Dis. 2020, 12, 3776–3784. [Google Scholar] [CrossRef]
- Chapman, A.M.; Sun, K.Y.; Ruestow, P.; Cowan, D.M.; Madl, A.K. Lung cancer mutation profile of EGFR, ALK, and KRAS: Meta-analysis and comparison of never and ever smokers. Lung Cancer 2016, 102, 122–134. [Google Scholar] [CrossRef]
- Tomizawa, K.; Shimizu, S.; Ohara, S.; Fujino, T.; Nishino, M.; Sesumi, Y.; Kobayashi, Y.; Sato, K.; Chiba, M.; Shimoji, M.; et al. Clinical significance of tumor cavitation in surgically resected early-stage primary lung cancer. Lung Cancer 2017, 112, 57–61. [Google Scholar] [CrossRef]
- Singh, N.; Behera, D. Lung cancer with cavitation: A distinct subgroup of non-small cell lung cancer associated with poor overall survival. Respir. Investig. 2015, 53, 133–134. [Google Scholar] [CrossRef] [PubMed]
- Chaudhuri, M.R. Primary pulmonary cavitating carcinomas. Thorax 1973, 28, 354–366. [Google Scholar] [CrossRef] [PubMed] [Green Version]
- Rizzo, S.; Petrella, F.; Buscarino, V.; De Maria, F.; Raimondi, S.; Barberis, M.; Fumagalli, C.; Spitaleri, G.; Rampinelli, C.; De Marinis, F.; et al. CT Radiogenomic Characterization of EGFR, K-RAS, and ALK Mutations in Non-Small Cell Lung Cancer. Eur. Radiol. 2016, 26, 32–42. [Google Scholar] [CrossRef] [PubMed]
- Yang, B.; Lee, H.; Um, S.-W.; Kim, K.; Zo, J.I.; Shim, Y.M.; Kwon, O.J.; Lee, K.S.; Ahn, M.-J.; Kim, H. Incidence of brain metastasis in lung adenocarcinoma at initial diagnosis on the basis of stage and genetic alterations. Lung Cancer 2019, 129, 28–34. [Google Scholar] [CrossRef] [PubMed]
- Clézardin, P. Pathophysiology of bone metastases from solid malignancies. Jt. Bone Spine 2017, 84, 677–684. [Google Scholar] [CrossRef]
- Lohinai, Z.; Klikovits, T.; Moldvay, J.; Ostoros, G.; Raso, E.; Timar, J.; Fabian, K.; Kovalszky, I.; Kenessey, I.; Aigner, C.; et al. KRAS-mutation incidence and prognostic value are metastatic site-specific in lung adenocarcinoma: Poor prognosis in patients with KRAS mutation and bone metastasis. Sci. Rep. 2017, 7, 39721. [Google Scholar] [CrossRef] [Green Version]
- Dormieux, A.; Mezquita, L.; Cournede, P.H.; Remon, J.; Tazdait, M.; Lacroix, L.; Rouleau, E.; Adam, J.; Bluthgen, M.V.; Facchinetti, F.; et al. Association of metastatic pattern and molecular status in stage IV non-small cell lung cancer adenocarcinoma. Eur. Radiol. 2020, 30, 5021–5028. [Google Scholar] [CrossRef]
- Niu, F.-Y.; Zhou, Q.; Yang, J.-J.; Zhong, W.-Z.; Chen, Z.-H.; Deng, W.; He, Y.-Y.; Chen, H.-J.; Zeng, Z.; Ke, E.-E.; et al. Distribution and prognosis of uncommon metastases from non-small cell lung cancer. BMC Cancer 2016, 16, 149. [Google Scholar] [CrossRef] [Green Version]
- Kanaji, N.; Tadokoro, A.; Watanabe, N.; Inoue, T.; Kadowaki, N.; Ishii, T. Association of specific metastatic organs with the prognosis and chemotherapeutic response in patients with advanced lung cancer. Respir. Investig. 2019, 57, 472–480. [Google Scholar] [CrossRef] [PubMed]
- Skoulidis, F.; Heymach, J.V. Co-occurring genomic alterations in non-small-cell lung cancer biology and therapy. Nat. Rev. Cancer 2019, 19, 495–509. [Google Scholar] [CrossRef]
- Skoulidis, F.; Byers, L.A.; Diao, L.; Papadimitrakopoulou, V.A.; Tong, P.; Izzo, J.G.; Behrens, C.; Kadara, H.; Parra, E.R.; Canales, J.R.; et al. Co-occurring Genomic Alterations Define Major Subsets of KRAS-Mutant Lung Adenocarcinoma with Distinct Biology, Immune Profiles, and Therapeutic Vulnerabilities. Cancer Discov. 2015, 5, 860–877. [Google Scholar] [CrossRef] [PubMed] [Green Version]



| Clinical Features | G12C KRAS | Non G12C KRAS | |
|---|---|---|---|
| N = 83 | N = 132 | p-Value | |
| Age | |||
| Median | 67 | 69 | 0.806 | 
| Range | (44–91) | (42–92) | |
| Sex | |||
| Female | 48 | 70 | 0.491 | 
| 58% | 53% | ||
| Male | 35 | 62 | |
| 42% | 47% | ||
| Race | |||
| Caucasian | 82 | 128 | 0.57 | 
| 99% | 97% | ||
| Asian | 1 | 1 | |
| 1% | 1% | ||
| Other | 0 | 2 | |
| 0% | 2% | ||
| Smoking history | |||
| Never | 0 | 7 | 0.03318 | 
| 0% | 5% | ||
| Prior/current | 83 | 125 | |
| 100% | 95% | ||
| Stage | |||
| I | 12 | 20 | 0.6141 | 
| 14% | 15% | ||
| II | 6 | 12 | |
| 7% | 9% | ||
| III | 17 | 18 | |
| 21% | 14% | ||
| IV | 48 | 82 | |
| 58% | 62% | 
| Imaging Feature | G12C KRAS | Non-G12C KRAS | |
|---|---|---|---|
| N = 83 | N = 132 | p-Value | |
| Tumor size (mm) | |||
| Median | 41 | 38 | 0.5876 | 
| Range | (7–96) | (9–121) | |
| Tumor location | |||
| Right upper lobe | 27 (33%) | 38 (29%) | 0.71 | 
| Right middle lobe | 4 (5%) | 11 (8%) | |
| Right lower lobe | 22 (26%) | 27 (20%) | |
| Left upper lobe | 14 (17%) | 29 (22%) | |
| Lingula | 1 (1%) | 3 (2%) | |
| Left lower lobe | 15 (18%) | 24 (19%) | |
| Multifocal tumor | 17 (21%) | 22 (17%) | 0.48 | 
| Axial location | |||
| Inner | 33 (40%) | 47 (36%) | 0.3305 | 
| Middle | 4 (5%) | 2 (2%) | |
| Outer | 41 (49%) | 69 (52%) | |
| All | 5 (6%) | 14 (10%) | |
| Tumor density | |||
| Solid | 74 (89%) | 118 (89%) | 0.997 | 
| Ground glass | 2 (2%) | 3 (2%) | |
| Mixed | 7 (9%) | 11 (9%) | |
| Tumor margin | |||
| Smooth | 47 (57%) | 93 (70%) | 0.052 | 
| Lobulated | 19 (23%) | 15 (11%) | |
| Spiculated | 17 (20%) | 24 (19%) | |
| Chest wall invasion | 1 (1%) | 1 (1%) | 0.739 | 
| Air bronchogram | 4 (5%) | 7 (5%) | 0.875 | 
| Cavitation | 11 (13%) | 7 (5%) | 0.04 | 
| Tumoral calcification | 3 (4%) | 1 (1%) | 0.131 | 
| Metastatic Site | G12C KRAS | Non-G12C KRAS | |
|---|---|---|---|
| N = 48 | N = 82 | p-Value | |
| Intrathoracic | 25 | 36 | 0.656 | 
| 52% | 44% | ||
| Lung | 18 | 17 | 0.043 | 
| 38% | 21% | ||
| Pleural | 10 | 21 | 0.433 | 
| 21% | 26% | ||
| Lymphangitic carcinomatosis | 2 | 9 | 0.153 | 
| 4% | 11% | ||
| Extrathoracic | 40 | 67 | 0.714 | 
| 83% | 82% | ||
| Bone | 22 | 36 | 0.902 | 
| 46% | 44% | ||
| Brain | 20 | 29 | 0.717 | 
| 42% | 35% | ||
| supratentorial only | 10 (12%) | 11 (8%) | 0.412 | 
| infratentorial only | 2 (2%) | 8 (6%) | |
| both supratentorial and infratentorial | 9 (11%) | 10 (8%) | |
| Distant lymph nodes | 5 | 13 | 0.324 | 
| 10% | 16% | ||
| Liver | 5 | 5 | 0.448 | 
| 10% | 6% | ||
| Adrenal | 10 | 10 | 0.272 | 
| 21% | 12% | ||
| Soft tissue | 6 | 8 | 0.735 | 
| 13% | 10% | 
| Clinical Features | G12C | Fusion Rearrangements | EGFR | G12C vs. Fusion Rearrangements | G12C vs. EGFR | 
|---|---|---|---|---|---|
| N = 83 | N = 215 | N = 117 | p Value | p Value | |
| Sex | |||||
| Female | 48 | 129 | 81 | 0.7279 | 0.1019 | 
| 58% | 60% | 69% | |||
| Male | 35 | 86 | 36 | ||
| 42% | 40% | 31% | |||
| Race | |||||
| Caucasian | 82 | 165 | 94 | 0.0001 | 0.0001 | 
| 99% | 77% | 80% | |||
| Asian | 1 | 32 | 15 | ||
| 1% | 15% | 13% | |||
| Other | 0 | 18 | 8 | ||
| 0% | 8% | 7% | |||
| Smoking history | |||||
| Never | 0 | 155 | 72 | 0.0001 | 0.0001 | 
| 0% | 72% | 62% | |||
| Prior/current | 83 | 60 | 45 | ||
| 100% | 28% | 38% | 
| Imaging Feature | G12C | Fusion Rearrangements | EGFR | G12C vs. Fusion Rearrangements | G12C vs. EGFR | 
|---|---|---|---|---|---|
| N = 83 | N = 215 | N = 117 | p Value | p Value | |
| Tumor location | 0.0617 | N/A | |||
| Right upper lobe | 27 (33%) | 46(21%) | |||
| Right middle lobe | 4 (5%) | 26 (12%) | |||
| Right lower lobe | 22 (27%) | 51 (24%) | |||
| Left upper lobe | 14 (17%) | 38 (18%) | |||
| Lingula | 1 (1%) | ||||
| Left lower lobe | 15 (18%) | 54 (25%) | |||
| Multifocal | 17 (21%) | ||||
| Axial location | 0.0192 | 0.0022 | |||
| Inner | 33 (40%) | 115 (53%) | 54 (46%) | ||
| Middle | 4 (5%) | ||||
| Outer | 41 (49%) | 100 (47%) | 75 (35%) | ||
| All | 5 (6%) | 29 (25%) | |||
| Tumor density | 0.0044 | 0.2348 | |||
| Solid | 74 (89%) | 209 (97%) | 104 (89%) | ||
| Ground glass | 2 (2%) | ||||
| Mixed | 7 (8%) | 6 (3%) | 13 (11%) | ||
| Tumor margin | |||||
| Smooth | 47 (57%) | ||||
| Lobulated | 19 (23%) | ||||
| Spiculated | 17 (20%) | ||||
| Air bronchogram | 4 (5%) | 12 (6%) | 28 (28%) | 0.79486 | 0.0001 | 
| Cavitation | 11 (13%) | 2 (3%) | 13 (13%) | 0.0051 | 0.6643 | 
| Calcification | 3 (4%) | 0 | 1 (1%) | 0.0051 | 0.3092 | 
| Metastatic Site | G12C | Fusion Rearrangements | EGFR | G12C vs. Fusion Rearrangements | G12C vs. EGFR | 
|---|---|---|---|---|---|
| N = 48 | N=158 | N = 117 | p Value | p Value | |
| Intrathoracic | 25 | 119 | 96 | 0.00214 | 0.0001 | 
| 52% | 75% | 82% | |||
| Lung | 18 | 40 | 78 | 0.101 | 0.0008 | 
| 38% | 25% | 67% | |||
| Pleural | 10 | 65 | 31 | 0.01046 | 0.5529 | 
| 21% | 41% | 26% | |||
| Lymphangitic carcinomatosis | 2 | 62 | 14 | 0.0001 | 0.1551 | 
| 4% | 39% | 12% | |||
| Pericardium | 0 | 5 | 0 | 0.2113 | >0.999 | 
| 0% | 3% | 0% | |||
| Extrathoracic | 40 | 111 | 84 | 0.07346 | 0.1645 | 
| 83% | 70% | 72% | |||
| Bone | 22 | 67 | 49 | 0.67488 | 0.7297 | 
| 46% | 42% | 42% | |||
| Brain | 20 | 34 | 47 | 0.00544 | 0.8633 | 
| 42% | 22% | 40% | |||
| Distant lymph nodes | 5 | 30 | 2 | 0.16758 | 0.0226 | 
| 10% | 19% | 2% | |||
| Liver | 5 | 34 | 24 | 0.8544 | 0.1758 | 
| 10% | 22% | 21% | |||
| Adrenal | 10 | 17 | 16 | 0.0703 | 0.2503 | 
| 21% | 11% | 14% | |||
| Soft tissue | 6 | 7 | 0 | 0.0444 | 0.0004 | 
| 13% | 4% | 0% | 
| Publisher’s Note: MDPI stays neutral with regard to jurisdictional claims in published maps and institutional affiliations. | 
© 2021 by the authors. Licensee MDPI, Basel, Switzerland. This article is an open access article distributed under the terms and conditions of the Creative Commons Attribution (CC BY) license (https://creativecommons.org/licenses/by/4.0/).
Share and Cite
Wu, M.Y.; Zhang, E.W.; Strickland, M.R.; Mendoza, D.P.; Lipkin, L.; Lennerz, J.K.; Gainor, J.F.; Heist, R.S.; Digumarthy, S.R. Clinical and Imaging Features of Non-Small Cell Lung Cancer with G12C KRAS Mutation. Cancers 2021, 13, 3572. https://doi.org/10.3390/cancers13143572
Wu MY, Zhang EW, Strickland MR, Mendoza DP, Lipkin L, Lennerz JK, Gainor JF, Heist RS, Digumarthy SR. Clinical and Imaging Features of Non-Small Cell Lung Cancer with G12C KRAS Mutation. Cancers. 2021; 13(14):3572. https://doi.org/10.3390/cancers13143572
Chicago/Turabian StyleWu, Markus Y., Eric W. Zhang, Matthew R. Strickland, Dexter P. Mendoza, Lev Lipkin, Jochen K. Lennerz, Justin F. Gainor, Rebecca S. Heist, and Subba R. Digumarthy. 2021. "Clinical and Imaging Features of Non-Small Cell Lung Cancer with G12C KRAS Mutation" Cancers 13, no. 14: 3572. https://doi.org/10.3390/cancers13143572
APA StyleWu, M. Y., Zhang, E. W., Strickland, M. R., Mendoza, D. P., Lipkin, L., Lennerz, J. K., Gainor, J. F., Heist, R. S., & Digumarthy, S. R. (2021). Clinical and Imaging Features of Non-Small Cell Lung Cancer with G12C KRAS Mutation. Cancers, 13(14), 3572. https://doi.org/10.3390/cancers13143572
 
         
                                                

 
       