The Risk Factors for Radiation Pneumonitis after Single-Fraction Carbon-Ion Radiotherapy for Lung Cancer or Metastasis
Abstract
:Simple Summary
Abstract
1. Introduction
2. Materials and Methods
2.1. Ethics Statement
2.2. Patients
2.3. Carbon-Ion Radiotherapy
2.4. Evaluation and Follow-Up
2.5. Statistical Analysis
3. Results
3.1. Patients
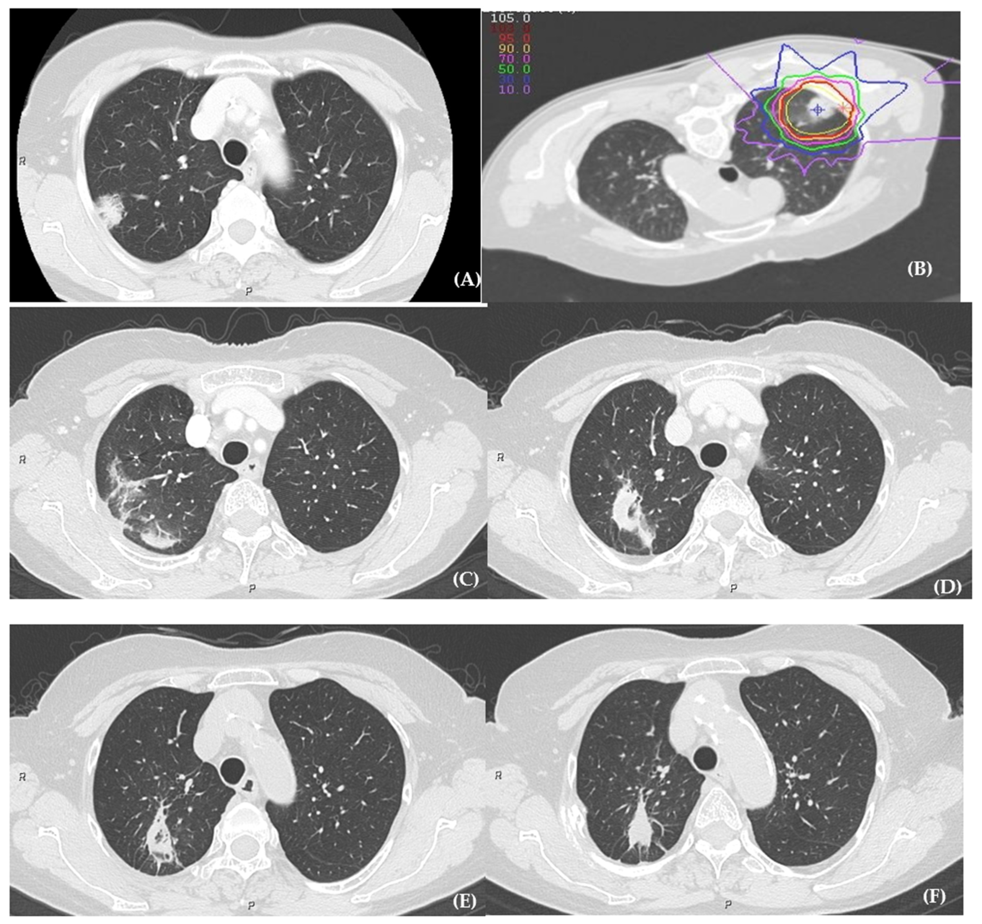
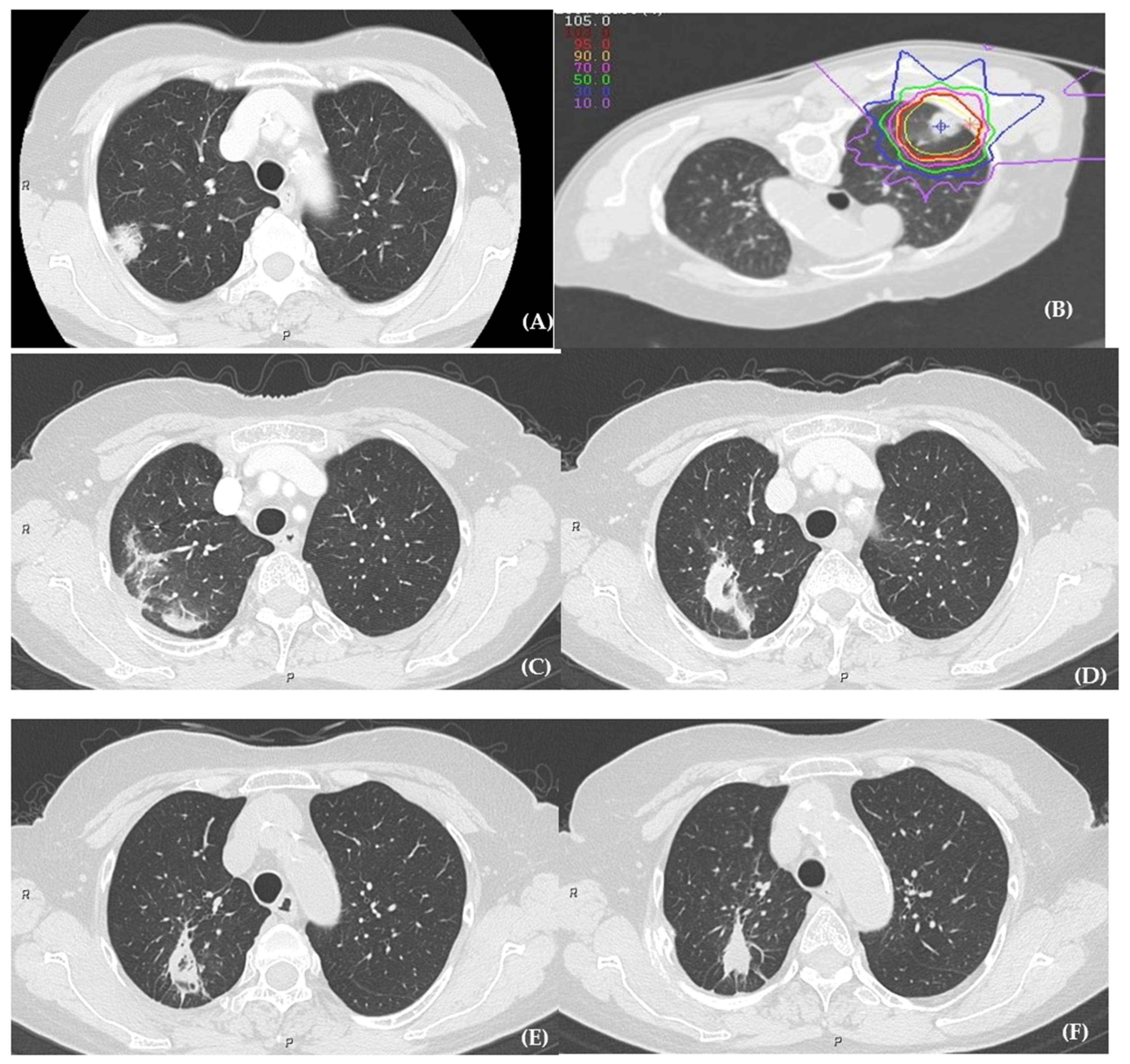
3.2. Radiation Pneumonitis
3.3. Correlation between Pretreatment Clinical Factors and Radiation Pneumonitis
4. Discussion
5. Conclusions
Author Contributions
Funding
Institutional Review Board Statement
Informed Consent Statement
Data Availability Statement
Acknowledgments
Conflicts of Interest
References
- Bray, F.; Ferlay, J.; Soerjomataram, I.; Siegel, R.L.; Torre, L.A.; Jemal, A. Global cancer statistics 2018: GLOBOCAN estimates of incidence and mortality worldwide for 36 cancers in 185 countries. CA Cancer J. Clin. 2018, 68, 394–424. [Google Scholar] [CrossRef] [PubMed] [Green Version]
- Hirsch, F.R.; Scagliotti, G.V.; Mulshine, J.L.; Kwon, R.; Curran, W.J.; Wu, Y.-L.; Paz-Ares, L. Lung cancer: Current therapies and new targeted treatments. Lancet 2017, 389, 299–311. [Google Scholar] [CrossRef]
- Li, Q.; Swanick, C.W.; Allen, P.K.; Gomez, D.R.; Welsh, J.W.; Liao, Z.; Balter, P.A.; Chang, J.Y. Stereotactic ablative radiotherapy (SABR) using 70 Gy in 10 fractions for non-small cell lung cancer: Exploration of clinical indications. Radiother. Oncol. 2014, 112, 256–261. [Google Scholar] [CrossRef]
- Nagata, Y.; Hiraoka, M.; Shibata, T.; Onishi, H.; Kokubo, M.; Karasawa, K.; Shioyama, Y.; Onimaru, R.; Kozuka, T.; Kunieda, E.; et al. Prospective Trial of Stereotactic Body Radiation Therapy for Both Operable and Inoperable T1N0M0 Non-Small Cell Lung Cancer: Japan Clinical Oncology Group Study JCOG0403. Int. J. Radiat. Oncol. 2015, 93, 989–996. [Google Scholar] [CrossRef]
- Videtic, G.M.; Paulus, R.; Singh, A.K.; Chang, J.Y.; Parker, W.; Olivier, K.R.; Timmerman, R.D.; Komaki, R.R.; Urbanic, J.J.; Stephans, K.L.; et al. Long-term Follow-up on NRG Oncology RTOG 0915 (NCCTG N0927): A Randomized Phase 2 Study Comparing 2 Stereotactic Body Radiation Therapy Schedules for Medically Inoperable Patients With Stage I Peripheral Non-Small Cell Lung Cancer. Int. J. Radiat. Oncol. 2019, 103, 1077–1084. [Google Scholar] [CrossRef]
- Amin, S.A.; Alam, M.; Baine, M.J.; Meza, J.L.; Bennion, N.R.; Zhang, C.; Rahman, I.; Lin, C. The impact of stereotactic body radiation therapy on the overall survival of patients diagnosed with early-stage non-small cell lung cancer. Radiother. Oncol. 2021, 155, 254–260. [Google Scholar] [CrossRef]
- Barriger, R.B.; Forquer, J.A.; Brabham, J.G.; Andolino, D.L.; Shapiro, R.H.; Henderson, M.A.; Johnstone, P.A.; Fakiris, A.J. A Dose–Volume Analysis of Radiation Pneumonitis in Non–Small Cell Lung Cancer Patients Treated With Stereotactic Body Radiation Therapy. Int. J. Radiat. Oncol. 2012, 82, 457–462. [Google Scholar] [CrossRef] [PubMed]
- Yamashita, H.; Nakagawa, K.; Nakamura, N.; Koyanagi, H.; Tago, M.; Igaki, H.; Shiraishi, K.; Sasano, N.; Ohtomo, K. Exceptionally high incidence of symptomatic grade 2–5 radiation pneumonitis after stereotactic radiation therapy for lung tumors. Radiat. Oncol. 2007, 2, 21. [Google Scholar] [CrossRef] [Green Version]
- Matsuo, Y.; Shibuya, K.; Nakamura, M.; Narabayashi, M.; Sakanaka, K.; Ueki, N.; Miyagi, K.; Norihisa, Y.; Mizowaki, T.; Nagata, Y.; et al. Dose–Volume Metrics Associated With Radiation Pneumonitis After Stereotactic Body Radiation Therapy for Lung Cancer. Int. J. Radiat. Oncol. 2012, 83, e545–e549. [Google Scholar] [CrossRef] [Green Version]
- Bush, D.A.; Slater, J.D.; Shin, B.B.; Cheek, G.; Miller, D.W.; Slater, J.M.; Ba, B.B.S. Hypofractionated Proton Beam Radiotherapy for Stage I Lung Cancer. Chest 2004, 126, 1198–1203. [Google Scholar] [CrossRef] [PubMed]
- Ohnishi, K.; Nakamura, N.; Harada, H.; Tokumaru, S.; Wada, H.; Arimura, T.; Iwata, H.; Sato, Y.; Sekino, Y.; Tamamura, H.; et al. Proton Beam Therapy for Histologically or Clinically Diagnosed Stage I Non-Small Cell Lung Cancer (NSCLC): The First Nationwide Retrospective Study in Japan. Int. J. Radiat. Oncol. 2020, 106, 82–89. [Google Scholar] [CrossRef] [Green Version]
- Miyamoto, T.; Yamamoto, N.; Nishimura, H.; Koto, M.; Tsujii, H.; Mizoe, J.-E.; Kamada, T.; Kato, H.; Yamada, S.; Morita, S.; et al. Carbon ion radiotherapy for stage I non-small cell lung cancer. Radiother. Oncol. 2003, 66, 127–140. [Google Scholar] [CrossRef]
- Miyamoto, T.; Baba, M.; Yamamoto, N.; Koto, M.; Sugawara, T.; Yashiro, T.; Kadono, K.; Ezawa, H.; Tsujii, H.; Mizoe, J.-E.; et al. Curative treatment of Stage I non–small-cell lung cancer with carbon ion beams using a hypofractionated regimen. Int. J. Radiat. Oncol. 2007, 67, 750–758. [Google Scholar] [CrossRef]
- Miyamoto, T.; Baba, M.; Sugane, T.; Nakajima, M.; Yashiro, T.; Kagei, K.; Hirasawa, N.; Sugawara, T.; Yamamoto, N.; Koto, M.; et al. Carbon Ion Radiotherapy for Stage I Non-small Cell Lung Cancer Using a Regimen of Four Fractions during 1 Week. J. Thorac. Oncol. 2007, 2, 916–926. [Google Scholar] [CrossRef] [Green Version]
- Yamamoto, N.; Miyamoto, T.; Nakajima, M.; Karube, M.; Hayashi, K.; Tsuji, H.; Tsujii, H.; Kamada, T.; Fujisawa, T. A Dose Escalation Clinical Trial of Single-Fraction Carbon Ion Radiotherapy for Peripheral Stage I Non–Small Cell Lung Cancer. J. Thorac. Oncol. 2017, 12, 673–680. [Google Scholar] [CrossRef] [PubMed] [Green Version]
- Ono, T.; Yamamoto, N.; Nomoto, A.; Nakajima, M.; Isozaki, Y.; Kasuya, G.; Ishikawa, H.; Nemoto, K.; Tsuji, H. Long Term Results of Single-Fraction Carbon-Ion Radiotherapy for Non-Small Cell Lung Cancer. Cancers 2020, 13, 112. [Google Scholar] [CrossRef] [PubMed]
- Schulz-Ertner, D.; Tsujii, H. Particle Radiation Therapy Using Proton and Heavier Ion Beams. J. Clin. Oncol. 2007, 25, 953–964. [Google Scholar] [CrossRef] [PubMed] [Green Version]
- Ebara, T.; Shimada, H.; Kawamura, H.; Shirai, K.; Saito, J.-I.; Kawashima, M.; Tashiro, M.; Ohno, T.; Kanai, T.; Nakano, T. Dosimetric analysis between carbon ion radiotherapy and stereotactic body radiotherapy in stage I lung cancer. Anticancer. Res. 2014, 34, 5099–5104. [Google Scholar]
- Demizu, Y.; Fujii, O.; Iwata, H.; Fuwa, N. Carbon Ion Therapy for Early-Stage Non-Small-Cell Lung Cancer. BioMed Res. Int. 2014, 2014, 727962. [Google Scholar] [CrossRef]
- Nair, A.; Klusmann, M.J.; Jogeesvaran, K.H.; Grubnic, S.; Green, S.J.; Vlahos, I. Revisions to the TNM Staging of Non–Small Cell Lung Cancer: Rationale, Clinicoradiologic Implications, and Persistent Limitations. Radiographics 2011, 31, 215–238. [Google Scholar] [CrossRef]
- Kanai, T.; Endo, M.; Minohara, S.; Miyahara, N.; Koyama-Ito, H.; Tomura, H.; Matsufuji, N.; Futami, Y.; Fukumura, A.; Hiraoka, T.; et al. Biophysical characteristics of HIMAC clinical irradiation system for heavy-ion radiation therapy. Int. J. Radiat. Oncol. 1999, 44, 201–210. [Google Scholar] [CrossRef]
- Common Terminology Criteria for Adverse Events (CTCAE) Version 4.0. Available online: http://evs.nci.nih.gov/ftp1/CTCAE/CTCAE_4.03_2010-06-14_QuickReference_8.5x11.pdf (accessed on 9 September 2020).
- Okubo, M.; Itonaga, T.; Saito, T.; Shiraishi, S.; Mikami, R.; Nakayama, H.; Sakurada, A.; Sugahara, S.; Koizumi, K.; Tokuuye, K. Predicting risk factors for radiation pneumonitis after stereotactic body radiation therapy for primary or metastatic lung tumours. Br. J. Radiol. 2017, 90, 20160508. [Google Scholar] [CrossRef] [Green Version]
- Nakamura, M.; Nishimura, H.; Nakayama, M.; Mayahara, H.; Uezono, H.; Harada, A.; Hashimoto, N.; Ejima, Y.; Ishihara, T.; Sasaki, R. Dosimetric factors predicting radiation pneumonitis after CyberKnife stereotactic body radiotherapy for peripheral lung cancer. Br. J. Radiol. 2016, 89, 20160560. [Google Scholar] [CrossRef]
- Bongers, E.M.; Botticella, A.; Palma, D.A.; Haasbeek, C.J.; Warner, A.; Verbakel, W.F.; Slotman, B.; Ricardi, U.; Senan, S. Predictive parameters of symptomatic radiation pneumonitis following stereotactic or hypofractionated radiotherapy delivered using volumetric modulated arcs. Radiother. Oncol. 2013, 109, 95–99. [Google Scholar] [CrossRef]
- Chen, H.; Senan, S.; Nossent, E.J.; Boldt, R.G.; Warner, A.; Palma, D.A.; Louie, A.V. Treatment-Related Toxicity in Patients With Early-Stage Non-Small Cell Lung Cancer and Coexisting Interstitial Lung Disease: A Systematic Review. Int. J. Radiat. Oncol. 2017, 98, 622–631. [Google Scholar] [CrossRef]
- Onishi, H.; Yamashita, H.; Shioyama, Y.; Matsumoto, Y.; Takayama, K.; Matsuo, Y.; Miyakawa, A.; Matsushita, H.; Aoki, M.; Nihei, K.; et al. Stereotactic Body Radiation Therapy for Patients with Pulmonary Interstitial Change: High Incidence of Fatal Radiation Pneumonitis in a Retrospective Multi-Institutional Study. Cancers 2018, 10, 257. [Google Scholar] [CrossRef] [PubMed] [Green Version]
- Kim, H.; Pyo, H.; Noh, J.M.; Lee, W.; Park, B.; Park, H.Y.; Yoo, H. Preliminary result of definitive radiotherapy in patients with non-small cell lung cancer who have underlying idiopathic pulmonary fibrosis: Comparison between X-ray and proton therapy. Radiat. Oncol. 2019, 14, 19. [Google Scholar] [CrossRef]
- Yamashita, H.; Kobayashi-Shibata, S.; Terahara, A.; Okuma, K.; Haga, A.; Wakui, R.; Ohtomo, K.; Nakagawa, K. Prescreening based on the presence of CT-scan abnormalities and biomarkers (KL-6 and SP-D) may reduce severe radiation pneumonitis after stereotactic radiotherapy. Radiat. Oncol. 2010, 5, 32. [Google Scholar] [CrossRef] [PubMed] [Green Version]
- Inaniwa, T.; Tashima, H.; Kanematsu, N. Optimum size of a calibration phantom for x-ray CT to convert the Hounsfield units to stopping power ratios in charged particle therapy treatment planning. J. Radiat. Res. 2018, 59, 216–224. [Google Scholar] [CrossRef] [Green Version]
- Kanematsu, N.; Inaniwa, T.; Nakao, M. Modeling of body tissues for Monte Carlo simulation of radiotherapy treatments planned with conventional x-ray CT systems. Phys. Med. Biol. 2016, 61, 5037–5050. [Google Scholar] [CrossRef] [PubMed] [Green Version]




| Characteristics | Patients |
|---|---|
| Age (years) | |
| Median (range) | 76 (42–95) |
| Gender | |
| Male | 68 (69.4%) |
| Female | 30 (30.6%) |
| Performance status | |
| 0 | 76 (77.6%) |
| 1 | 22 (22.4%) |
| Operable or inoperable | |
| Operable | 46 (46.9%) |
| Inoperable | 52 (53.1%) |
| Follow-up time (months) | |
| Median (range) | 53 (5–79) |
| Tumor location | |
| Right upper lobe | 28 (28.6%) |
| Right middle lobe | 6 (6.1%) |
| Right lower lobe | 27 (27.6%) |
| Left upper lobe | 23 (23.5%) |
| Left lower lobe | 14 (14.3%) |
| Histopathology | |
| Adenocarcinoma | 31 (31.6%) |
| Squamous cell carcinoma | 13 (13.3%) |
| Non-small cell lung cancer | 1 (1.0%) |
| Clinical lung cancer | 46 (46.9%) |
| Metastasis from lung cancer | 7 (7.1%) |
| Interstitial pneumonitis | |
| Yes | 15 (15.3%) |
| No | 83 (84.7%) |
| Diameter of lung tumor (mm) | |
| Median (range) | 23.0 (7.5–49.0) |
| Volume of clinical target volume (ml) | |
| Median (range) | 32.3 (7.9–137.5) |
| Parameter | Grade1 (mean ± SD) | Grade2/3 (mean ± SD) | p |
|---|---|---|---|
| V5 | 8.7 ± 3.3% | 13.6 ± 1.7% | 0.006 * |
| V10 | 7.4 ± 3.1% | 11.9 ± 1.7% | 0.007 * |
| V15 | 5.7 ± 2.6% | 8.9 ± 1.1% | 0.009 * |
| V20 | 5.0 ± 2.3% | 7.8 ± 0.8% | 0.011 * |
| V25 | 4.2 ± 2.1% | 6.3 ± 1.3% | 0.028 * |
| V30 | 3.6 ± 1.8% | 5.2 ± 1.3% | 0.047 * |
| MLD | 2.5 ± 1.1 Gy (RBE) | 3.8 ± 0.6 Gy (RBE) | 0.014 * |
| Parameter | Comparison | Number of Patients | Ratio of Grade 2–3 RP | p |
|---|---|---|---|---|
| V5 | ≤11.0% | 70 | 0 | 0.006 * |
| >11.0% | 28 | 14% | ||
| V10 | ≤9.4% | 71 | 0 | 0.005 * |
| >9.4% | 27 | 15% | ||
| V15 | ≤7.8% | 74 | 0 | 0.003 * |
| >7.8% | 24 | 17% | ||
| V20 | ≤6.8% | 74 | 0 | 0.003 * |
| >6.8% | 24 | 17% | ||
| V25 | ≤4.5% | 61 | 0 | 0.018 * |
| >4.5% | 37 | 11% | ||
| V30 | ≤3.5% | 58 | 0 | 0.025 * |
| >3.5% | 40 | 10% | ||
| MLD | ≤3.0 Gy (RBE) | 67 | 0 | 0.009 * |
| >3.0 Gy (RBE) | 31 | 13% |
| Parameter | Grade1 (Mean ± SD) | Grade2/3 (Mean ± SD) | p |
|---|---|---|---|
| %FEV 1.0 | 80.6 ± 20.5% | 70.7 ± 23.7% | 0.332 |
| %VC | 97.1 ± 18.9% | 86.8 ± 23.9% | 0.389 |
| KL-6 | 329.9 ± 236.0 U/mL | 495.4 ± 319.6 U/mL | 0.250 |
| SP-D | 80.9 ± 75.9 ng/mL | 220.1 ± 242.7 ng/mL | 0.026 * |
Publisher’s Note: MDPI stays neutral with regard to jurisdictional claims in published maps and institutional affiliations. |
© 2021 by the authors. Licensee MDPI, Basel, Switzerland. This article is an open access article distributed under the terms and conditions of the Creative Commons Attribution (CC BY) license (https://creativecommons.org/licenses/by/4.0/).
Share and Cite
Ono, T.; Yamamoto, N.; Nomoto, A.; Nakajima, M.; Iwai, Y.; Isozaki, Y.; Kasuya, G.; Ishikawa, H.; Nemoto, K.; Tsuji, H. The Risk Factors for Radiation Pneumonitis after Single-Fraction Carbon-Ion Radiotherapy for Lung Cancer or Metastasis. Cancers 2021, 13, 3229. https://doi.org/10.3390/cancers13133229
Ono T, Yamamoto N, Nomoto A, Nakajima M, Iwai Y, Isozaki Y, Kasuya G, Ishikawa H, Nemoto K, Tsuji H. The Risk Factors for Radiation Pneumonitis after Single-Fraction Carbon-Ion Radiotherapy for Lung Cancer or Metastasis. Cancers. 2021; 13(13):3229. https://doi.org/10.3390/cancers13133229
Chicago/Turabian StyleOno, Takashi, Naoyoshi Yamamoto, Akihiro Nomoto, Mio Nakajima, Yuma Iwai, Yuka Isozaki, Goro Kasuya, Hitoshi Ishikawa, Kenji Nemoto, and Hiroshi Tsuji. 2021. "The Risk Factors for Radiation Pneumonitis after Single-Fraction Carbon-Ion Radiotherapy for Lung Cancer or Metastasis" Cancers 13, no. 13: 3229. https://doi.org/10.3390/cancers13133229
APA StyleOno, T., Yamamoto, N., Nomoto, A., Nakajima, M., Iwai, Y., Isozaki, Y., Kasuya, G., Ishikawa, H., Nemoto, K., & Tsuji, H. (2021). The Risk Factors for Radiation Pneumonitis after Single-Fraction Carbon-Ion Radiotherapy for Lung Cancer or Metastasis. Cancers, 13(13), 3229. https://doi.org/10.3390/cancers13133229

