Hepatic Arterial Infusion of Chemotherapy for Advanced Hepatobiliary Cancers: State of the Art
Abstract
Simple Summary
Abstract
1. Introduction
- Large first-pass extraction so that a significant percentage is extracted by the liver, achieving a high drug concentration within the intrahepatic circulation;
- Short plasma half-life to avoid systemic accumulation;
- High total body clearance.
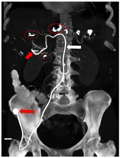
2. Hepatic Arterial Infusion Technical Procedure
3. Pharmacology and Pharmacokinetics of HAI Chemotherapeutic Agents
4. Clinical Trials with HAI
4.1. HAI for Unresectable Bile Ducts Carcinoma
4.1.1. HAI as a First-Line Treatment without Systemic Therapy
4.1.2. HAI as a First-Line Treatment Combined with Systemic Therapy
4.1.3. HAI as a Second-Line Treatment
4.2. HAI for Unresectable HCC
4.2.1. HAI as a First-Line Treatment without Systemic Therapy
4.2.2. HAI as a First-Line Treatment Combined with Systemic Therapy
4.2.3. HAI as a Second-Line Treatment
5. Discussion
6. Conclusions
Author Contributions
Funding
Conflicts of Interest
References
- Ranieri, G.; Laforgia, M.; Nardulli, P.; Ferraiuolo, S.; Molinari, P.; Marech, I.; Gadaleta, C.D. Oxaliplatin-Based Intra-Arterial Chemotherapy in Colo-Rectal Cancer Liver Metastases: A Review from Pharmacology to Clinical Application. Cancers 2019, 11, 141. [Google Scholar] [CrossRef]
- Ranieri, G.; Marech, I.; Porcelli, M.; Giotta, F.; Palmiotti, G.; Laricchia, G.; Fazio, V.; Gadaleta, C.D. Complete response in a patient with liver metastases from breast cancer employing hepatic arterial infusion 5-fluorouracil based chemotherapy plus systemic nab-paclitaxel. Oncotarget 2018, 9, 8197–8203. [Google Scholar] [CrossRef] [PubMed]
- Ranieri, G.; Laface, C. Loco-Regional and Systemic Chemotherapies for Hepato-Pancreatic Tumors: Integrated Treatments. Cancers 2020, 12, 2737. [Google Scholar] [CrossRef] [PubMed]
- Ranieri, G.; Niccoli Asabella, A.; Altini, C.; Fazio, V.; Caporusso, L.; Marech, I.; Vinciarelli, G.; Macina, F.; de Ceglia, D.; Fanelli, M.; et al. A pilot study employing hepatic intra-arterial irinotecan injection of drug-eluting beads as salvage therapy in liver metastatic colorectal cancer patients without extrahepatic involvement: The first southern Italy experience. Oncol. Targets Ther. 2016, 9, 7527–7535. [Google Scholar] [CrossRef] [PubMed]
- Mondaca, S.; Yarmohammadi, H.; Kemeny, N.E. Regional Chemotherapy for Biliary Tract Tumors and Hepatocellular Carcinoma. Surg. Oncol. Clin. N. Am. 2019, 28, 717–729. [Google Scholar] [CrossRef]
- Hartmann, J.T.; Haap, M.; Kopp, H.G.; Lipp, H.P. Tyrosine kinase inhibitors—A review on pharmacology, metabolism and side effects. Curr. Drug Metab. 2009, 10, 470–481. [Google Scholar] [CrossRef]
- Watanabe, T.; Koyama, N. Preclinical study for antitumor mechanism of lenvatinib and clinical studies for hepatocellular carcinoma. Nihon Yakurigaku Zasshi Folia Pharmacol. Jpn. 2019, 153, 242–248. [Google Scholar] [CrossRef]
- Jayson, G.C.; Kerbel, R.; Ellis, L.M.; Harris, A.L. Antiangiogenic therapy in oncology: Current status and future directions. Lancet 2016, 388, 518–529. [Google Scholar] [CrossRef]
- Kwok, G.; Yau, T.C.; Chiu, J.W.; Tse, E.; Kwong, Y.L. Pembrolizumab (Keytruda). Hum. Vaccines Immunother. 2016, 12, 2777–2789. [Google Scholar] [CrossRef]
- Zhu, A.X.; Kang, Y.K.; Yen, C.J.; Finn, R.S.; Galle, P.R.; Llovet, J.M.; Assenat, E.; Brandi, G.; Pracht, M.; Lim, H.Y.; et al. Ramucirumab after sorafenib in patients with advanced hepatocellular carcinoma and increased α-fetoprotein concentrations (REACH-2): A randomised, double-blind, placebo-controlled, phase 3 trial. Lancet Oncol. 2019, 20, 282–296. [Google Scholar] [CrossRef]
- Vennepureddy, A.; Singh, P.; Rastogi, R.; Atallah, J.P.; Terjanian, T. Evolution of ramucirumab in the treatment of cancer—A review of literature. J. Oncol. Pharm. Pract. 2017, 23, 525–539. [Google Scholar] [CrossRef]
- Ranieri, G.; Gadaleta-Caldarola, G.; Goffredo, V.; Patruno, R.; Mangia, A.; Rizzo, A.; Sciorsci, R.L.; Gadaleta, C.D. Sorafenib (BAY 43-9006) in hepatocellular carcinoma patients: From discovery to clinical development. Curr. Med. Chem. 2012, 19, 938–944. [Google Scholar] [CrossRef] [PubMed]
- Kudo, M.; Finn, R.S.; Qin, S.; Han, K.H.; Ikeda, K.; Piscaglia, F.; Baron, A.; Park, J.W.; Han, G.; Jassem, J.; et al. Lenvatinib versus sorafenib in first-line treatment of patients with unresectable hepatocellular carcinoma: A randomised phase 3 non-inferiority trial. Lancet 2018, 391, 1163–1173. [Google Scholar] [CrossRef]
- Kelley, R.K.; Ryoo, B.Y.; Merle, P.; Park, J.W.; Bolondi, L.; Chan, S.L.; Lim, H.Y.; Baron, A.D.; Parnis, F.; Knox, J.; et al. Second-line cabozantinib after sorafenib treatment for advanced hepatocellular carcinoma: A subgroup analysis of the phase 3 CELESTIAL trial. ESMO Open 2020, 5. [Google Scholar] [CrossRef] [PubMed]
- Bruix, J.; Qin, S.; Merle, P.; Granito, A.; Huang, Y.H.; Bodoky, G.; Pracht, M.; Yokosuka, O.; Rosmorduc, O.; Breder, V.; et al. Regorafenib for patients with hepatocellular carcinoma who progressed on sorafenib treatment (RESORCE): A randomised, double-blind, placebo-controlled, phase 3 trial. Lancet 2017, 389, 56–66. [Google Scholar] [CrossRef]
- Zhu, A.X.; Park, J.O.; Ryoo, B.Y.; Yen, C.J.; Poon, R.; Pastorelli, D.; Blanc, J.F.; Chung, H.C.; Baron, A.D.; Pfiffer, T.E.; et al. Ramucirumab versus placebo as second-line treatment in patients with advanced hepatocellular carcinoma following first-line therapy with sorafenib (REACH): A randomised, double-blind, multicentre, phase 3 trial. Lancet Oncol. 2015, 16, 859–870. [Google Scholar] [CrossRef]
- Mahn, R.; Vogt, A.; Kupczyk, P.; Sadeghlar, F.; van Beekum, K.; Hüneburg, R.; Meyer, C.; Toma, M.; Ahmadzadehfar, H.; Essler, M.; et al. Programmed cell death protein 1 (PD-1)-inhibition in hepatocellular carcinoma (HCC): A single center experience. Scand. J. Gastroenterol. 2020, 55, 1057–1062. [Google Scholar] [CrossRef]
- Lamarca, A.; Ross, P.; Wasan, H.S.; Hubner, R.A.; McNamara, M.G.; Lopes, A.; Manoharan, P.; Palmer, D.; Bridgewater, J.; Valle, J.W. Advanced Intrahepatic Cholangiocarcinoma: Post Hoc Analysis of the ABC-01, -02, and -03 Clinical Trials. J. Natl. Cancer Inst. 2020, 112, 200–210. [Google Scholar] [CrossRef]
- Gadaleta, C.; Catino, A.; Ranieri, G.; Fazio, V.; Gadaleta-Caldarola, G.; Cramarossa, A.; Armenise, F.; Canniello, E.; Vinciarelli, G.; Laricchia, G.; et al. Single-step therapy—Feasibility and safety of simultaneous transarterial chemoembolization and radiofrequency ablation for hepatic malignancies. In Vivo 2009, 23, 813–820. [Google Scholar]
- Gadaleta, C.D.; Catino, A.; Ranieri, G.; Armenise, F.; Console, G.; Mattioli, V. Hypoxic stop-flow perfusion with mitomycin-C in the treatment of multifocal liver metastases. Usefulness of a vascular arterial stent to prevent iatrogenic lesions of the hepatic arterial wall. J. Exp. Clin. Cancer Res. 2003, 22, 203–206. [Google Scholar]
- Gadaleta, C.D.; Ranieri, G. Trans-arterial chemoembolization as a therapy for liver tumours: New clinical developments and suggestions for combination with angiogenesis inhibitors. Crit. Rev. Oncol. Hematol. 2011, 80, 40–53. [Google Scholar] [CrossRef] [PubMed]
- Ranieri, G.; Ammendola, M.; Marech, I.; Laterza, A.; Abbate, I.; Oakley, C.; Vacca, A.; Sacco, R.; Gadaleta, C.D. Vascular endothelial growth factor and tryptase changes after chemoembolization in hepatocarcinoma patients. World J. Gastroenterol. 2015, 21, 6018–6025. [Google Scholar] [CrossRef] [PubMed]
- Ranieri, G.; Marech, I.; Lorusso, V.; Goffredo, V.; Paradiso, A.; Ribatti, D.; Gadaleta, C.D. Molecular targeting agents associated with transarterial chemoembolization or radiofrequency ablation in hepatocarcinoma treatment. World J. Gastroenterol. 2014, 20, 486–497. [Google Scholar] [CrossRef] [PubMed]
- Ranieri, G.; Laface, C.; Fazio, V.; De Ceglia, D.; Macina, F.; Gisone, V.; Porcelli, M.; Vinciarelli, G.; Carella, C.; Molinari, P.; et al. Local treatment with deep percutaneous electrochemotherapy of different tumor lesions: Pain relief and objective response results from an observational study. Eur. Rev. Med. Pharmacol. Sci. 2020, 24, 7764–7775. [Google Scholar] [CrossRef]
- Groot Koerkamp, B.; Sadot, E.; Kemeny, N.E.; Gönen, M.; Leal, J.N.; Allen, P.J.; Cercek, A.; DeMatteo, R.P.; Kingham, T.P.; Jarnagin, W.R.; et al. Perioperative Hepatic Arterial Infusion Pump Chemotherapy Is Associated with Longer Survival after Resection of Colorectal Liver Metastases: A Propensity Score Analysis. J. Clin. Oncol. 2017, 35, 1938–1944. [Google Scholar] [CrossRef] [PubMed]
- Chevallier, O.; Mvouama, S.; Pellegrinelli, J.; Guillen, K.; Manfredi, S.; Ghiringhelli, F. Percutaneous Implantation of a Microcatheter-Port System for Hepatic Arterial Infusion Chemotherapy of Unresectable Liver Tumors: Technical Feasibility, Functionality, and Complications. Diagnostics 2021, 11, 399. [Google Scholar] [CrossRef]
- Favelier, S.; Germain, T.; Genson, P.Y.; Cercueil, J.P.; Denys, A.; Krausé, D.; Guiu, B. Anatomy of liver arteries for interventional radiology. Diagn. Interv. Imaging 2015, 96, 537–546. [Google Scholar] [CrossRef]
- Deschamps, F.; Rao, P.; Teriitehau, C.; Hakime, A.; Malka, D.; Boige, V.; Ducreux, M.; Elias, D.; Goere, D.; de Baere, T. Percutaneous femoral implantation of an arterial port catheter for intraarterial chemotherapy: Feasibility and predictive factors of long-term functionality. J. Vasc. Interv. Radiol. 2010, 21, 1681–1688. [Google Scholar] [CrossRef]
- Herrmann, K.A.; Waggershauser, T.; Sittek, H.; Reiser, M.F. Liver intraarterial chemotherapy: Use of the femoral artery for percutaneous implantation of catheter-port systems. Radiology 2000, 215, 294–299. [Google Scholar] [CrossRef]
- Tanaka, T.; Arai, Y.; Inaba, Y.; Matsueda, K.; Aramaki, T.; Takeuchi, Y.; Kichikawa, K. Radiologic placement of side-hole catheter with tip fixation for hepatic arterial infusion chemotherapy. J. Vasc. Interv. Radiol. 2003, 14, 63–68. [Google Scholar] [CrossRef]
- Cornelis, F.H.; Monard, E.; Moulin, M.A.; Vignaud, E.; Laveissiere, F.; Ben Ammar, M.; Nouri-Neuville, M.; Barral, M.; Lombart, B. Sedation and analgesia in interventional radiology: Where do we stand, where are we heading and why does it matter? Diagn. Interv. Imaging 2019, 100, 753–762. [Google Scholar] [CrossRef] [PubMed]
- Sheta, S. Procedural sedation analgesia. Saudi J. Anaesth. 2010, 4, 11–16. [Google Scholar] [CrossRef] [PubMed]
- Cashman, J.N.; Ng, L. The management of peri- and postprocedural pain in interventional radiology: A narrative review. Pain Manag. 2017, 7, 523–535. [Google Scholar] [CrossRef] [PubMed]
- Schug, S.A.; Palmer, G.M.; Scott, D.A.; Halliwell, R.; Trinca, J. Acute pain management: Scientific evidence, fourth edition, 2015. Med. J. Aust. 2016, 204, 315–317. [Google Scholar] [CrossRef] [PubMed]
- Upp, J.; Kent, M.; Tighe, P.J. The Evolution and Practice of Acute Pain Medicine. Pain Med. 2013, 14, 124–144. [Google Scholar] [CrossRef]
- Oi, H.; Kishimoto, H.; Matsushita, M.; Hori, M.; Nakamura, H. Percutaneous implantation of hepatic artery infusion reservoir by sonographically guided left subclavian artery puncture. Am. J. Roentgenol. 1996, 166, 821–822. [Google Scholar] [CrossRef]
- Ikebe, M.; Itasaka, H.; Adachi, E.; Shirabe, K.; Maekawa, S.; Mutoh, Y.; Yoshida, K.; Takenaka, K. New method of catheter-port system implantation in hepatic arterial infusion chemotherapy. Am. J. Surg. 2003, 186, 63–66. [Google Scholar] [CrossRef]
- Strecker, E.P.; Boos, I.B.; Ostheim-Dzerowycz, W.; Heber, R.; Vetter, S.C. Percutaneously implantable catheter-port system: Preliminary technical results. Radiology 1997, 202, 574–577. [Google Scholar] [CrossRef]
- Wirtanen, G.W. Percutaneous Transbrachial Artery Infusion Catheter Techniques. Am. J. Roentgenol. 1973, 117, 696–700. [Google Scholar] [CrossRef] [PubMed][Green Version]
- Hirota, T.; Yamagami, T.; Tanaka, O.; Iida, S.; Kato, T.; Nakamura, T.; Ishihara, K.; Nishimura, T. Brain infarction after percutaneous implantation of port-catheter system via the left subclavian artery. Br. J. Radiol. 2002, 75, 799–804. [Google Scholar] [CrossRef] [PubMed]
- Hirota, T.; Yamagami, T.; Tanaka, O.; Iida, S.; Kato, T.; Nishimura, T. Catheter redundancy in the aortic arch increases the risk of stroke in left subclavian arterial port-catheter systems. J. Vasc. Interv. Radiol. 2005, 16, 471–476. [Google Scholar] [CrossRef] [PubMed]
- Chuang, V.P.; Wallace, S. Hepatic arterial redistribution for intraarterial infusion of hepatic neoplasms. Radiology 1980, 135, 295–299. [Google Scholar] [CrossRef]
- Ganeshan, A.; Upponi, S.; Hon, L.-Q.; Warakaulle, D.; Uberoi, R. Hepatic arterial infusion of chemotherapy: The role of diagnostic and interventional radiology. Ann. Oncol. 2008, 19, 847–851. [Google Scholar] [CrossRef]
- Cui, Z.; Shukla, P.A.; Habibollahi, P.; Park, H.S.; Fischman, A.; Kolber, M.K. A systematic review of automated feeder detection software for locoregional treatment of hepatic tumors. Diagn. Interv. Imaging 2020, 101, 439–449. [Google Scholar] [CrossRef]
- Chiaradia, M.; Izamis, M.-L.; Radaelli, A.; Prevoo, W.; Maleux, G.; Schlachter, T.; Mayer, J.; Luciani, A.; Kobeiter, H.; Tacher, V. Sensitivity and Reproducibility of Automated Feeding Artery Detection Software during Transarterial Chemoembolization of Hepatocellular Carcinoma. J. Vasc. Interv. Radiol. 2018, 29, 425–431. [Google Scholar] [CrossRef]
- Iwazawa, J.; Ohue, S.; Hashimoto, N.; Muramoto, O.; Mitani, T. Clinical utility and limitations of tumor-feeder detection software for liver cancer embolization. Eur. J. Radiol. 2013, 82, 1665–1671. [Google Scholar] [CrossRef]
- Joo, S.-M.; Kim, Y.P.; Yum, T.J.; Eun, N.L.; Lee, D.; Lee, K.-H. Optimized Performance of Flight Plan during Chemoembolization for Hepatocellular Carcinoma: Importance of the Proportion of Segmented Tumor Area. Korean J. Radiol. 2016, 17, 771–778. [Google Scholar] [CrossRef]
- Miyayama, S.; Yamashiro, M.; Hashimoto, M.; Hashimoto, N.; Ikuno, M.; Okumura, K.; Yoshida, M.; Matsui, O. Identification of Small Hepatocellular Carcinoma and Tumor-feeding Branches with Cone-beam CT Guidance Technology during Transcatheter Arterial Chemoembolization. J. Vasc. Interv. Radiol. 2013, 24, 501–508. [Google Scholar] [CrossRef]
- Imamine, R.; Shibata, Y.; Shinozuka, K.; Togashi, K. Complications in hepatic arterial infusion chemotherapy: Retrospective comparison of catheter tip placement in the right/left hepatic artery vs. the gastroduodenal artery. Surg Today. 2017, 47, 851–858. [Google Scholar] [CrossRef] [PubMed]
- Wacker, F.K.; Boese-Landgraf, J.; Wagner, A.; Albrecht, D.; Wolf, K.J.; Fobbe, F. Minimally invasive catheter implantation for regional chemotherapy of the liver: A new percutaneous transsubclavian approach. Cardiovasc. Interv. Radiol. 1997, 20, 128–132. [Google Scholar] [CrossRef] [PubMed]
- Herrmann, K.A.; Waggershauser, T.; Heinemann, V.; Reiser, M. Interventional radiological procedures in impaired function of surgically implanted catheter-port systems. Cardiovasc. Interv. Radiol. 2001, 24, 31–36. [Google Scholar] [CrossRef] [PubMed]
- Yamagami, T.; Iida, S.; Kato, T.; Tanaka, O.; Hirota, T.; Nakamura, T.; Nishimura, T. Using n-butyl cyanoacrylate and the fixed-catheter-tip technique in percutaneous implantation of a port-catheter system in patients undergoing repeated hepatic arterial chemotherapy. Am. J. Roentgenol. 2002, 179, 1611–1617. [Google Scholar] [CrossRef]
- Seki, H.; Shiina, M. Placement of a long tapered side-hole catheter in the hepatic artery: Technical advantages, catheter stability, and arterial patency. Am. J. Roentgenol. 2006, 187, 1312–1320. [Google Scholar] [CrossRef]
- Okuyama, K.; Tohnosu, N.; Koide, Y.; Awano, T.; Matsubara, H.; Sano, T.; Nakaichi, H.; Funami, Y.; Matsushita, K.; Kikuchi, T.; et al. Complications and their management in intraarterial infusion chemotherapy. Cancer Chemother. 1992, 19, 1007–1013. [Google Scholar]
- Laffer, U.; Dürig, M.; Zimmerli, W.; Stoll, H.R.; Landmann, J. Implantable catheter system for ambulatory parenteral antibiotic chemotherapy. A prospective study. Helv. Chir. Acta 1989, 56, 127–131. [Google Scholar]
- Kuroiwa, T.; Honda, H.; Yoshimitsu, K.; Irie, H.; Aibe, H.; Tajima, T.; Shinozaki, K.; Masuda, K. Complications encountered with a transfemorally placed port-catheter system for hepatic artery chemotherapy infusion. Cardiovasc. Interv. Radiol. 2001, 24, 90–93. [Google Scholar] [CrossRef]
- Huk, I.; Entscheff, P.; Prager, M.; Schulz, F.; Polterauer, P.; Funovics, J. Patency rate of implantable devices during long-term intraarterial chemotherapy. Angiology 1990, 41, 936–941. [Google Scholar] [CrossRef]
- Zhu, A.L.; Liu, L.X.; Piao, D.X.; Lin, Y.X.; Zhao, J.P.; Jiang, H.C. Liver regional continuous chemotherapy: Use of femoral or subclavian artery for percutaneous implantation of catheter-port systems. World J. Gastroenterol. 2004, 10, 1659–1662. [Google Scholar] [CrossRef] [PubMed]
- Strum, S.; McDermed, J.; Korn, A.; Joseph, C. Improved methods for venous access: The Port-A-Cath, a totally implanted catheter system. J. Clin. Oncol. 1986, 4, 596–603. [Google Scholar] [CrossRef]
- Seki, H.; Kimura, M.; Yoshimura, N.; Yamamoto, S.; Ozaki, T.; Sakai, K. Hepatic arterial infusion chemotherapy using percutaneous catheter placement with an implantable port: Assessment of factors affecting patency of the hepatic artery. Clin. Radiol. 1999, 54, 221–227. [Google Scholar] [CrossRef]
- Habbe, T.G.; McCowan, T.C.; Goertzen, T.C.; Leveen, R.F.; Culp, W.C.; Tempero, M.A. Complications and technical limitations of hepatic arterial infusion catheter placement for chemotherapy. J. Vasc. Interv. Radiol. 1998, 9, 233–239. [Google Scholar] [CrossRef]
- Ensminger, W.D.; Gyves, J.W. Clinical pharmacology of hepatic arterial chemotherapy. Semin. Oncol. 1983, 10, 176–182. [Google Scholar] [PubMed]
- Kemeny, N.; Daly, J. Preliminary results of a randomized study of intrahepatic infusion versus systemic infusion of 5-fluoro-2’-deoxyuridine for metastatic colorectal carcinoma. Recent Results Cancer Res. 1986, 100, 171–178. [Google Scholar] [CrossRef] [PubMed]
- Saif, M.W. Dihydropyrimidine dehydrogenase gene (DPYD) polymorphism among Caucasian and non-Caucasian patients with 5-FU- and capecitabine-related toxicity using full sequencing of DPYD. Cancer Genom. Proteom. 2013, 10, 89–92. [Google Scholar]
- Meulendijks, D.; Henricks, L.M.; Sonke, G.S.; Deenen, M.J.; Froehlich, T.K.; Amstutz, U.; Largiadèr, C.R.; Jennings, B.A.; Marinaki, A.M.; Sanderson, J.D.; et al. Clinical relevance of DPYD variants c.1679T>G, c.1236G>A/HapB3, and c.1601G>A as predictors of severe fluoropyrimidine-associated toxicity: A systematic review and meta-analysis of individual patient data. Lancet Oncol. 2015, 16, 1639–1650. [Google Scholar] [CrossRef]
- Amstutz, U.; Farese, S.; Aebi, S.; Largiadèr, C.R. Dihydropyrimidine dehydrogenase gene variation and severe 5-fluorouracil toxicity: A haplotype assessment. Pharmacogenomics 2009, 10, 931–944. [Google Scholar] [CrossRef] [PubMed]
- Del Re, M.; Cinieri, S.; Michelucci, A.; Salvadori, S.; Loupakis, F.; Schirripa, M.; Cremolini, C.; Crucitta, S.; Barbara, C.; Di Leo, A.; et al. DPYD*6 plays an important role in fluoropyrimidine toxicity in addition to DPYD*2A and c.2846A>T: A comprehensive analysis in 1254 patients. Pharm. J. 2019, 19, 556–563. [Google Scholar] [CrossRef]
- Cantore, M.; Mambrini, A.; Fiorentini, G.; Rabbi, C.; Zamagni, D.; Caudana, R.; Pennucci, C.; Sanguinetti, F.; Lombardi, M.; Nicoli, N. Phase II study of hepatic intraarterial epirubicin and cisplatin, with systemic 5-fluorouracil in patients with unresectable biliary tract tumors. Cancer 2005, 103, 1402–1407. [Google Scholar] [CrossRef]
- Bacchetti, S.; Pasqual, E.; Cagol, P.P. Epirubicin and its metabolites levels in experimental liver metastases after different administration routes. J. Exp. Clin. Cancer Res. 2003, 22, 181–185. [Google Scholar]
- Iwasaki, T.; Ku, Y.; Kusunoki, N.; Tominaga, M.; Fukumoto, T.; Muramatsu, S.; Kuroda, Y. Regional pharmacokinetics of doxorubicin following hepatic arterial and portal venous administration: Evaluation with hepatic venous isolation and charcoal hemoperfusion. Cancer Res. 1998, 58, 3339–3343. [Google Scholar]
- Kern, W.; Beckert, B.; Lang, N.; Stemmler, J.; Beykirch, M.; Stein, J.; Goecke, E.; Waggershauser, T.; Braess, J.; Schalhorn, A.; et al. Phase I and pharmacokinetic study of hepatic arterial infusion with oxaliplatin in combination with folinic acid and 5-fluorouracil in patients with hepatic metastases from colorectal cancer. Ann. Oncol. 2001, 12, 599–603. [Google Scholar] [CrossRef]
- Guthoff, I.; Lotspeich, E.; Fester, C.; Wallin, I.; Schatz, M.; Ehrsson, H.; Kornmann, M. Hepatic artery infusion using oxaliplatin in combination with 5-fluorouracil, folinic acid and mitomycin C: Oxaliplatin pharmacokinetics and feasibility. Anticancer Res. 2003, 23, 5203–5208. [Google Scholar] [PubMed]
- Kornmann, M.; Fakler, H.; Butzer, U.; Beger, H.G.; Link, K.H. Oxaliplatin exerts potent in vitro cytotoxicity in colorectal and pancreatic cancer cell lines and liver metastases. Anticancer Res. 2000, 20, 3259–3264. [Google Scholar] [PubMed]
- Campbell, T.N.; Howell, S.B.; Pfeifle, C.E.; Wung, W.E.; Bookstein, J. Clinical pharmacokinetics of intraarterial cisplatin in humans. J. Clin. Oncol. 1983, 1, 755–762. [Google Scholar] [CrossRef]
- Ma, M.C.; Chen, Y.Y.; Li, S.H.; Cheng, Y.F.; Wang, C.C.; Chiu, T.J.; Pei, S.N.; Liu, C.T.; Huang, T.L.; Huang, C.H.; et al. Intra-arterial chemotherapy with doxorubicin and cisplatin is effective for advanced hepatocellular cell carcinoma. Sci. World J. 2014, 2014, 160138. [Google Scholar] [CrossRef]
- Spasokoukotskaja, T.; Arnér, E.S.; Brosjö, O.; Gunvén, P.; Juliusson, G.; Liliemark, J.; Eriksson, S. Expression of deoxycytidine kinase and phosphorylation of 2-chlorodeoxyadenosine in human normal and tumour cells and tissues. Eur. J. Cancer 1995, 31A, 202–208. [Google Scholar] [CrossRef]
- van Riel, J.M.; Peters, G.J.; Mammatas, L.H.; Honeywell, R.J.; Laan, A.C.; Ruyter, R.; van den Berg, F.G.; Giaccone, G.; van Groeningen, C.J. A phase I and pharmacokinetic study of gemcitabine given by 24-h hepatic arterial infusion. Eur. J. Cancer 2009, 45, 2519–2527. [Google Scholar] [CrossRef]
- Tanaka, N.; Yamakado, K.; Nakatsuka, A.; Fujii, A.; Matsumura, K.; Takeda, K. Arterial chemoinfusion therapy through an implanted port system for patients with unresectable intrahepatic cholangiocarcinoma—Initial experience. Eur. J. Radiol. 2002, 41, 42–48. [Google Scholar] [CrossRef]
- Jarnagin, W.R.; Schwartz, L.H.; Gultekin, D.H.; Gönen, M.; Haviland, D.; Shia, J.; D’Angelica, M.; Fong, Y.; DeMatteo, R.; Tse, A.; et al. Regional chemotherapy for unresectable primary liver cancer: Results of a phase II clinical trial and assessment of DCE-MRI as a biomarker of survival. Ann. Oncol. 2009, 20, 1589–1595. [Google Scholar] [CrossRef] [PubMed]
- Inaba, Y.; Arai, Y.; Yamaura, H.; Sato, Y.; Najima, M.; Aramaki, T.; Sone, M.; Kumada, T.; Tanigawa, N.; Anai, H.; et al. Phase I/II study of hepatic arterial infusion chemotherapy with gemcitabine in patients with unresectable intrahepatic cholangiocarcinoma (JIVROSG-0301). Am. J. Clin. Oncol. 2011, 34, 58–62. [Google Scholar] [CrossRef]
- Sinn, M.; Nicolaou, A.; Gebauer, B.; Podrabsky, P.; Seehofer, D.; Ricke, J.; Dörken, B.; Riess, H.; Hildebrandt, B. Hepatic arterial infusion with oxaliplatin and 5-FU/folinic acid for advanced biliary tract cancer: A phase II study. Dig. Dis. Sci. 2013, 58, 2399–2405. [Google Scholar] [CrossRef] [PubMed]
- Kasai, K.; Kooka, Y.; Suzuki, Y.; Suzuki, A.; Oikawa, T.; Ushio, A.; Kasai, Y.; Sawara, K.; Miyamoto, Y.; Oikawa, K.; et al. Efficacy of hepatic arterial infusion chemotherapy using 5-fluorouracil and systemic pegylated interferon α-2b for advanced intrahepatic cholangiocarcinoma. Ann. Surg. Oncol. 2014, 21, 3638–3645. [Google Scholar] [CrossRef] [PubMed]
- Massani, M.; Nistri, C.; Ruffolo, C.; Bonariol, R.; Pauletti, B.; Bonariol, L.; Caratozzolo, E.; Morana, G.; Bassi, N. Intrahepatic chemotherapy for unresectable cholangiocarcinoma: Review of literature and personal experience. Updates Surg. 2015, 67, 389–400. [Google Scholar] [CrossRef] [PubMed]
- Wang, X.; Hu, J.; Cao, G.; Zhu, X.; Cui, Y.; Ji, X.; Li, X.; Yang, R.; Chen, H.; Xu, H.; et al. Phase II Study of Hepatic Arterial Infusion Chemotherapy with Oxaliplatin and 5-Fluorouracil for Advanced Perihilar Cholangiocarcinoma. Radiology 2017, 283, 580–589. [Google Scholar] [CrossRef]
- Higaki, T.; Aramaki, O.; Moriguchi, M.; Nakayama, H.; Midorikawa, Y.; Takayama, T. Arterial infusion of cisplatin plus S-1 against unresectable intrahepatic cholangiocarcinoma. Biosci. Trends 2018, 12, 73–78. [Google Scholar] [CrossRef] [PubMed]
- Mambrini, A.; Guglielmi, A.; Pacetti, P.; Iacono, C.; Torri, T.; Auci, A.; Nicoli, N.; Orlandi, M.; Guadagni, S.; Fiorentini, G.; et al. Capecitabine plus hepatic intra-arterial epirubicin and cisplatin in unresectable biliary cancer: A phase II study. Anticancer Res. 2007, 27, 3009–3013. [Google Scholar]
- Kemeny, N.E.; Schwartz, L.; Gönen, M.; Yopp, A.; Gultekin, D.; D’Angelica, M.I.; Fong, Y.; Haviland, D.; Gewirtz, A.N.; Allen, P.; et al. Treating primary liver cancer with hepatic arterial infusion of floxuridine and dexamethasone: Does the addition of systemic bevacizumab improve results? Oncology 2011, 80, 153–159. [Google Scholar] [CrossRef] [PubMed]
- Konstantinidis, I.T.; Groot Koerkamp, B.; Do, R.K.; Gönen, M.; Fong, Y.; Allen, P.J.; D’Angelica, M.I.; Kingham, T.P.; DeMatteo, R.P.; Klimstra, D.S.; et al. Unresectable intrahepatic cholangiocarcinoma: Systemic plus hepatic arterial infusion chemotherapy is associated with longer survival in comparison with systemic chemotherapy alone. Cancer 2016, 122, 758–765. [Google Scholar] [CrossRef]
- Cercek, A.; Boerner, T.; Tan, B.R.; Chou, J.F.; Gönen, M.; Boucher, T.M.; Hauser, H.F.; Do, R.K.G.; Lowery, M.A.; Harding, J.J.; et al. Assessment of Hepatic Arterial Infusion of Floxuridine in Combination with Systemic Gemcitabine and Oxaliplatin in Patients with Unresectable Intrahepatic Cholangiocarcinoma: A Phase 2 Clinical Trial. JAMA Oncol. 2019, 6, 60–67. [Google Scholar] [CrossRef]
- Ghiringhelli, F.; Lorgis, V.; Vincent, J.; Ladoire, S.; Guiu, B. Hepatic arterial infusion of gemcitabine plus oxaliplatin as second-line treatment for locally advanced intrahepatic cholangiocarcinoma: Preliminary experience. Chemotherapy 2013, 59, 354–360. [Google Scholar] [CrossRef]
- Kodama, K.; Kawaoka, T.; Aikata, H.; Uchikawa, S.; Nishida, Y.; Inagaki, Y.; Hatooka, M.; Morio, K.; Nakahara, T.; Murakami, E.; et al. Comparison of Outcome of Hepatic Arterial Infusion Chemotherapy Combined with Radiotherapy and Sorafenib for Advanced Hepatocellular Carcinoma Patients with Major Portal Vein Tumor Thrombosis. Oncology 2018, 94, 215–222. [Google Scholar] [CrossRef]
- Lyu, N.; Kong, Y.; Mu, L.; Lin, Y.; Li, J.; Liu, Y.; Zhang, Z.; Zheng, L.; Deng, H.; Li, S.; et al. Hepatic arterial infusion of oxaliplatin plus fluorouracil/leucovorin vs. sorafenib for advanced hepatocellular carcinoma. J. Hepatol. 2018, 69, 60–69. [Google Scholar] [CrossRef]
- Kawaoka, T.; Aikata, H.; Hyogo, H.; Morio, R.; Morio, K.; Hatooka, M.; Fukuhara, T.; Kobayashi, T.; Naeshiro, N.; Miyaki, D.; et al. Comparison of hepatic arterial infusion chemotherapy versus sorafenib monotherapy in patients with advanced hepatocellular carcinoma. J. Dig. Dis. 2015, 16, 505–512. [Google Scholar] [CrossRef] [PubMed]
- Choi, J.H.; Chung, W.J.; Bae, S.H.; Song, D.S.; Song, M.J.; Kim, Y.S.; Yim, H.J.; Jung, Y.K.; Suh, S.J.; Park, J.Y.; et al. Randomized, prospective, comparative study on the effects and safety of sorafenib vs. hepatic arterial infusion chemotherapy in patients with advanced hepatocellular carcinoma with portal vein tumor thrombosis. Cancer Chemother. Pharmacol. 2018, 82, 469–478. [Google Scholar] [CrossRef]
- Zhuang, B.W.; Li, W.; Xie, X.H.; Hu, H.T.; Lu, M.D.; Xie, X.Y. Sorafenib versus hepatic arterial infusion chemotherapy for advanced hepatocellular carcinoma: A systematic review and meta-analysis. Jpn. J. Clin. Oncol. 2019, 49, 845–855. [Google Scholar] [CrossRef] [PubMed]
- Ueshima, K.; Ogasawara, S.; Ikeda, M.; Yasui, Y.; Terashima, T.; Yamashita, T.; Obi, S.; Sato, S.; Aikata, H.; Ohmura, T.; et al. Hepatic Arterial Infusion Chemotherapy versus Sorafenib in Patients with Advanced Hepatocellular Carcinoma. Liver Cancer 2020, 9, 583–595. [Google Scholar] [CrossRef] [PubMed]
- Ahn, Y.E.; Suh, S.J. Comparison of Sorafenib versus Hepatic Arterial Infusion Chemotherapy-Based Treatment for Advanced Hepatocellular Carcinoma with Portal Vein Tumor Thrombosis. Gut Liver 2020. [Google Scholar] [CrossRef]
- Liu, M.; Shi, J.; Mou, T.; Wang, Y.; Wu, Z.; Shen, A. Systematic review of hepatic arterial infusion chemotherapy versus sorafenib in patients with hepatocellular carcinoma with portal vein tumor thrombosis. J. Gastroenterol. Hepatol. 2020, 35, 1277–1287. [Google Scholar] [CrossRef]
- Kudo, M.; Ueshima, K.; Yokosuka, O.; Ogasawara, S.; Obi, S.; Izumi, N.; Aikata, H.; Nagano, H.; Hatano, E.; Sasaki, Y.; et al. Sorafenib plus low-dose cisplatin and fluorouracil hepatic arterial infusion chemotherapy versus sorafenib alone in patients with advanced hepatocellular carcinoma (SILIUS): A randomised, open label, phase 3 trial. Lancet Gastroenterol. Hepatol. 2018, 3, 424–432. [Google Scholar] [CrossRef]
- Kondo, M.; Morimoto, M.; Kobayashi, S.; Ohkawa, S.; Hidaka, H.; Nakazawa, T.; Aikata, H.; Hatanaka, T.; Takizawa, D.; Matsunaga, K.; et al. Randomized, phase II trial of sequential hepatic arterial infusion chemotherapy and sorafenib versus sorafenib alone as initial therapy for advanced hepatocellular carcinoma: SCOOP-2 trial. BMC Cancer 2019, 19, 954. [Google Scholar] [CrossRef]
- He, M.K.; Zou, R.H.; Li, Q.J.; Zhou, Z.G.; Shen, J.X.; Zhang, Y.F.; Yu, Z.S.; Xu, L.; Shi, M. Phase II Study of Sorafenib Combined with Concurrent Hepatic Arterial Infusion of Oxaliplatin, 5-Fluorouracil and Leucovorin for Unresectable Hepatocellular Carcinoma with Major Portal Vein Thrombosis. Cardiovasc. Intervent. Radiol. 2018, 41, 734–743. [Google Scholar] [CrossRef]
- He, M.; Li, Q.; Zou, R.; Shen, J.; Fang, W.; Tan, G.; Zhou, Y.; Wu, X.; Xu, L.; Wei, W.; et al. Sorafenib Plus Hepatic Arterial Infusion of Oxaliplatin, Fluorouracil, and Leucovorin vs Sorafenib Alone for Hepatocellular Carcinoma with Portal Vein Invasion: A Randomized Clinical Trial. JAMA Oncol. 2019, 5, 953–960. [Google Scholar] [CrossRef] [PubMed]
- Ouyang, G.; Pan, G.; Xu, H.; Wu, Y.; Liu, Z.; Lu, W.; Yi, B.; Chen, X. Sorafenib Plus Hepatic Arterial Infusion Chemotherapy in Advanced Hepatocellular Carcinoma: A Systematic Review and Meta-Analysis. J. Clin. Gastroenterol. 2020, 54, 675–681. [Google Scholar] [CrossRef] [PubMed]
- Terashima, T.; Yamashita, T.; Arai, K.; Sunagozaka, H.; Kitahara, M.; Nakagawa, H.; Kagaya, T.; Mizukoshi, E.; Honda, M.; Kaneko, S. Feasibility and efficacy of hepatic arterial infusion chemotherapy for advanced hepatocellular carcinoma after sorafenib. Hepatol. Res. 2014, 44, 1179–1185. [Google Scholar] [CrossRef]
- Patel, T. Increasing incidence and mortality of primary intrahepatic cholangiocarcinoma in the United States. Hepatology 2001, 33, 1353–1357. [Google Scholar] [CrossRef]
- Malka, D.; Cervera, P.; Foulon, S.; Trarbach, T.; de la Fouchardière, C.; Boucher, E.; Fartoux, L.; Faivre, S.; Blanc, J.F.; Viret, F.; et al. Gemcitabine and oxaliplatin with or without cetuximab in advanced biliary-tract cancer (BINGO): A randomised, open-label, non-comparative phase 2 trial. Lancet Oncol. 2014, 15, 819–828. [Google Scholar] [CrossRef]
- Hezel, A.F.; Deshpande, V.; Zhu, A.X. Genetics of biliary tract cancers and emerging targeted therapies. J. Clin. Oncol. 2010, 28, 3531–3540. [Google Scholar] [CrossRef] [PubMed]
- Laforgia, M.; Laface, C. Peripheral Neuropathy under Oncologic Therapies: A Literature Review on Pathogenetic Mechanisms. Int. J. Mol. Sci. 2021, 22, 1980. [Google Scholar] [CrossRef] [PubMed]


| Complication | Range of Frequency Rates |
|---|---|
| Catheter dislocation | 2–44% |
| Infection | 4–25% |
| Thrombotic occlusion of catheter or hepatic artery | 4–17% |
| Bruising and hematoma at the puncture and port pocket site | 5–16% |
| Anticancer Drug | Pharmacologic Class | Hepatic Extraction Rate | References |
|---|---|---|---|
| Floxuridine | Antimetabolite (pyrimidine analogue) | 95% | Kemeny et al. (1986) [63] |
| 5-Fluorouracile | Antimetabolite (pyrimidine analogue) | 75–80% | Technical Sheet [64,65] |
| Doxorubicin | Intercalating antibiotic (anthracycline) | Up to 81.2% (in dogs) | Iwasaki et al. (1998) [70] |
| Epirubicin | Intercalating antibiotic (anthracycline) | 60% | Cantore et al. (2005) [68] |
| Oxaliplatin | Alkylating agent (platinum salt) | 47% | Guthoff et al. (2003) [72] |
| Cisplatin | Alkylating agent (platinum salt) | 24 ± 9% | Campbell et al. (1983) [74] |
| Gemcitabine | Antimetabolite (nucleoside analogue) | 55–89% (dose-dependent) | Von Riel et al. (2009) [77] |
| Irinotecan | Topoisomerase I inhibitor (camptothecin) | N.D. | - |
| References | Type of Study | No. of Pts | HAI Chemotherapy | Systemic Chemotherapy-Associated | DCR (%) | mPFS (mo.) | mOS (mo.) |
|---|---|---|---|---|---|---|---|
| Tanaka et al. (2002) [78] | I | 11 | 5-FU | No | 82 | n.e. | 26 a |
| Jarnagin et al. (2009) [79] | II | 34 | FUDR | No | 88.2 | n.e. | 29.5 |
| Inaba et al. (2011) [80] | I/II | 16/13 | Gemcitabine | No | 69 | n.e. | 12.1 |
| Sinn et al. (2013) [81] | II | 37 | Oxaliplatin and5-FU | No | 64.9 | n.e. | 13.5 |
| Kasai et al. (2014) [82] | II | 20 | 5-FU | No | 90 | n.e. | 14.6 |
| Massani et al. (2015) [83] | Review/II | 11 | 5-FU and Oxaliplatin | No | 63.3 | n.e. | 15.3 |
| Wang et al. (2016) [84] | II | 37 | Oxaliplatin plus 5-FU | No | 89.2 | 12.2 | 20.5 |
| Higaki et al. (2018) [85] | Pilot Study | 12 | (IA-call and oral S-1) | No | 58.3 | n.e. | 10.1 |
| Cantore et al. (2004) [68] | II | 30 | Epirubicin and Cisplatin | 5-FU | 80 | 7.1 | 13.2 |
| Mambrini et al. (2007) [86] | II | 20 | Epirubicin and Cisplatin | Capecitabine | 79 | 11.6 | 18 |
| Kemeny et al. (2011) [87] | II | 22 | FUDR | Bevacizumab | 100 | 8.5 | 31.1 |
| Kostantinidis et al. (2015) c [88] | Retrospective | 104 | FUDR | Gemcitabine-, irinotecan- or 5-fluorouracil-based regimen | 59 vs. 39 b | n.e. | 30.8 vs. 18.4 * |
| Cerker et al. (2019) [89] | II | 38 | FUDR | Gemcitabine and Oxaliplatin | 84 | 11.8 | 25 |
| Ghiringelli et al. (2014) [90] | II | 12 | Gemcitabine and Oxaliplatin | No | 91 | n.e. | 9.1 |
| References | Type of Study | No. of Pts | HAI Chemotherapy | Systemic Treatment Associated | DCR (%) | mPFS (mo.) | mOS (mo.) |
|---|---|---|---|---|---|---|---|
| Kodama et al. (2017) [91] | Retrospective cohort study | 68 | HAI chemotherapy associated with 3 D-conformal radiotherapy | No | n.e. | 3.9 vs. 2.1 * | 9.9 vs. 5.3 * |
| Lyu et al. (2018) [92] | II | 412 | FOLFOX-6 | No | n.e. | 7.1 vs. 3.3 * | 14.5 vs. 7 * |
| Kawaoka et al. (2015) [93] | Retrospective cohort study | 177 | Cisplatin plus 5-FU or 5-FU in combination with subc. IFN infection or 5 MU natural IFN-α | No | 92.3 vs. 89.9 | n.e. | 14 vs. 7 |
| Choi et al. (2018) [94] | II | 58 | Cisplatin plus 5-FU every 3–4 weeks | No | 27.6 vs. 3.4 a,* | 4.4 vs. 2.7 b,* | 14.9 vs. 7.2 * |
| Zhuang et al. (2019) 1 [95] | Meta-analysis | 1779 | Several regimens | No | * | * | * |
| Ueshima et al. (2020) [96] | Retrospective cohort study | 2006 | No data | No | n.e. | n.e. | 10.1 vs. 9.1 * |
| Ahn et al. (2020) [97] | Retrospective cohort study | 73 | Cisplatin and 5-FU | No | 76 vs. 37 * | 6.2 vs. 2.1 b | 6.4 vs. 10 |
| Liu et al. (2020) 1 [98] | Meta-analysis | 417 | Several regimens | No | * | * | * |
| Kudo et al. (2018) [99] | III | 206 | Cisplatin | Sorafenib | 37 vs. 18 c | 4.8 vs. 3.5/5.3 vs. 3.5 b,* | 11.8 vs. 11.5 |
| Kondo et al. (2019) [100] | II | 68 | HAI Cisplatin followed by Sorafenib | Sorafenib | - | - | - |
| He et al. (2019) [101,102] | II | 247 | FOLFOX | Sorafenib | 40.8 vs. 2.46 c,* | 7.03 vs. 2.6 * | 13.37 vs. 7.13 * |
| Ouyang et al. (2020) 1 [103] | Meta-analysis | 726 | Several regimens | Sorafenib | * | n.e. | * |
| Terashima et al. (2014) 2 [104] | I/II | 27 | Cisplatin plus 5-FU and the subc. administration of pegylated interferon α-2b | No | 62.9 | 4 | 7.6 |
Publisher’s Note: MDPI stays neutral with regard to jurisdictional claims in published maps and institutional affiliations. |
© 2021 by the authors. Licensee MDPI, Basel, Switzerland. This article is an open access article distributed under the terms and conditions of the Creative Commons Attribution (CC BY) license (https://creativecommons.org/licenses/by/4.0/).
Share and Cite
Laface, C.; Laforgia, M.; Molinari, P.; Ugenti, I.; Gadaleta, C.D.; Porta, C.; Ranieri, G. Hepatic Arterial Infusion of Chemotherapy for Advanced Hepatobiliary Cancers: State of the Art. Cancers 2021, 13, 3091. https://doi.org/10.3390/cancers13123091
Laface C, Laforgia M, Molinari P, Ugenti I, Gadaleta CD, Porta C, Ranieri G. Hepatic Arterial Infusion of Chemotherapy for Advanced Hepatobiliary Cancers: State of the Art. Cancers. 2021; 13(12):3091. https://doi.org/10.3390/cancers13123091
Chicago/Turabian StyleLaface, Carmelo, Mariarita Laforgia, Pasquale Molinari, Ippazio Ugenti, Cosmo Damiano Gadaleta, Camillo Porta, and Girolamo Ranieri. 2021. "Hepatic Arterial Infusion of Chemotherapy for Advanced Hepatobiliary Cancers: State of the Art" Cancers 13, no. 12: 3091. https://doi.org/10.3390/cancers13123091
APA StyleLaface, C., Laforgia, M., Molinari, P., Ugenti, I., Gadaleta, C. D., Porta, C., & Ranieri, G. (2021). Hepatic Arterial Infusion of Chemotherapy for Advanced Hepatobiliary Cancers: State of the Art. Cancers, 13(12), 3091. https://doi.org/10.3390/cancers13123091

