Neoplastic Cells are the Major Source of MT-MMPs in IDH1-Mutant Glioma, Thus Enhancing Tumor-Cell Intrinsic Brain Infiltration
Simple Summary
Abstract
1. Introduction
2. Results
2.1. MT-MMP Expression in Human Primary Brain Tumors
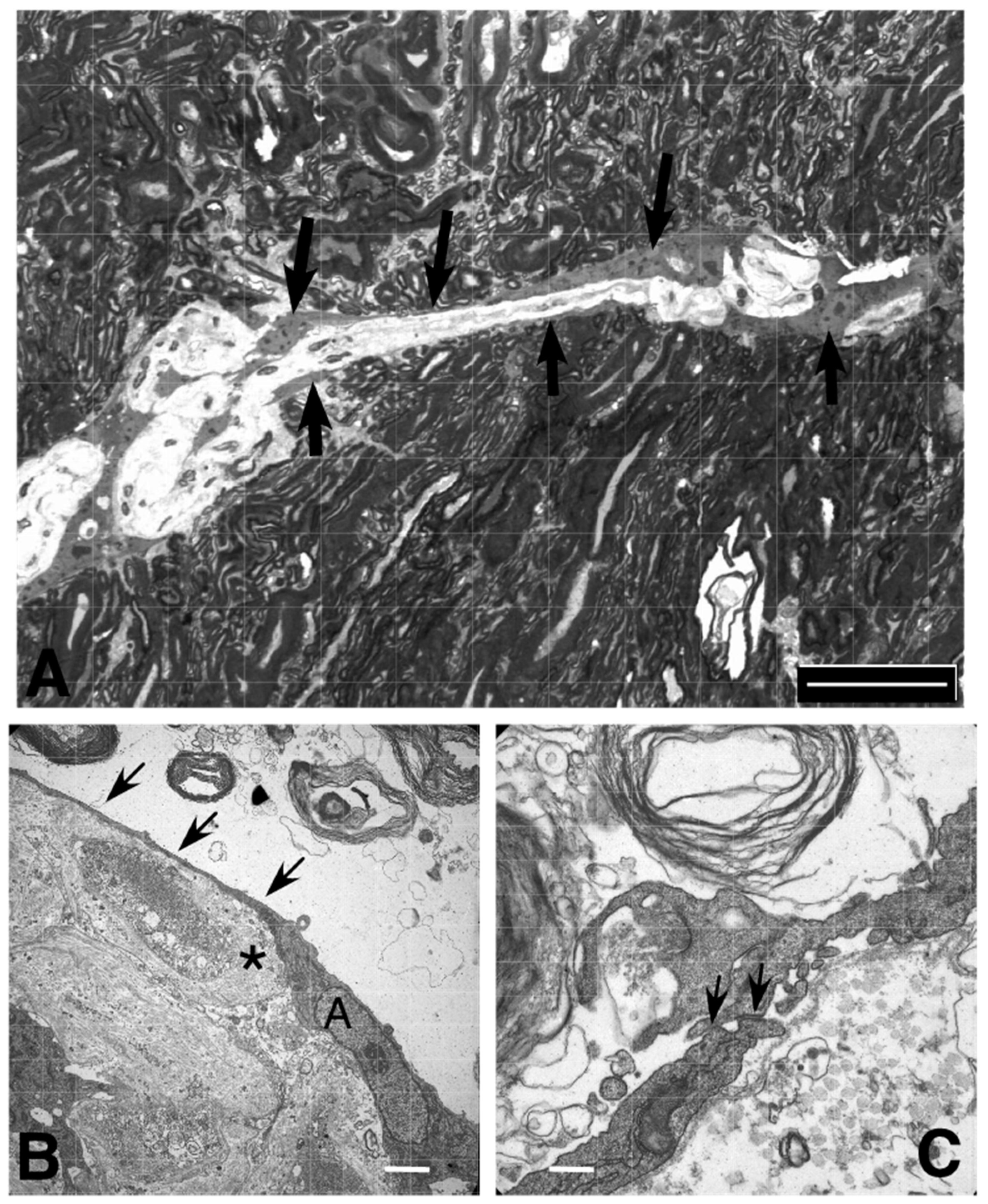
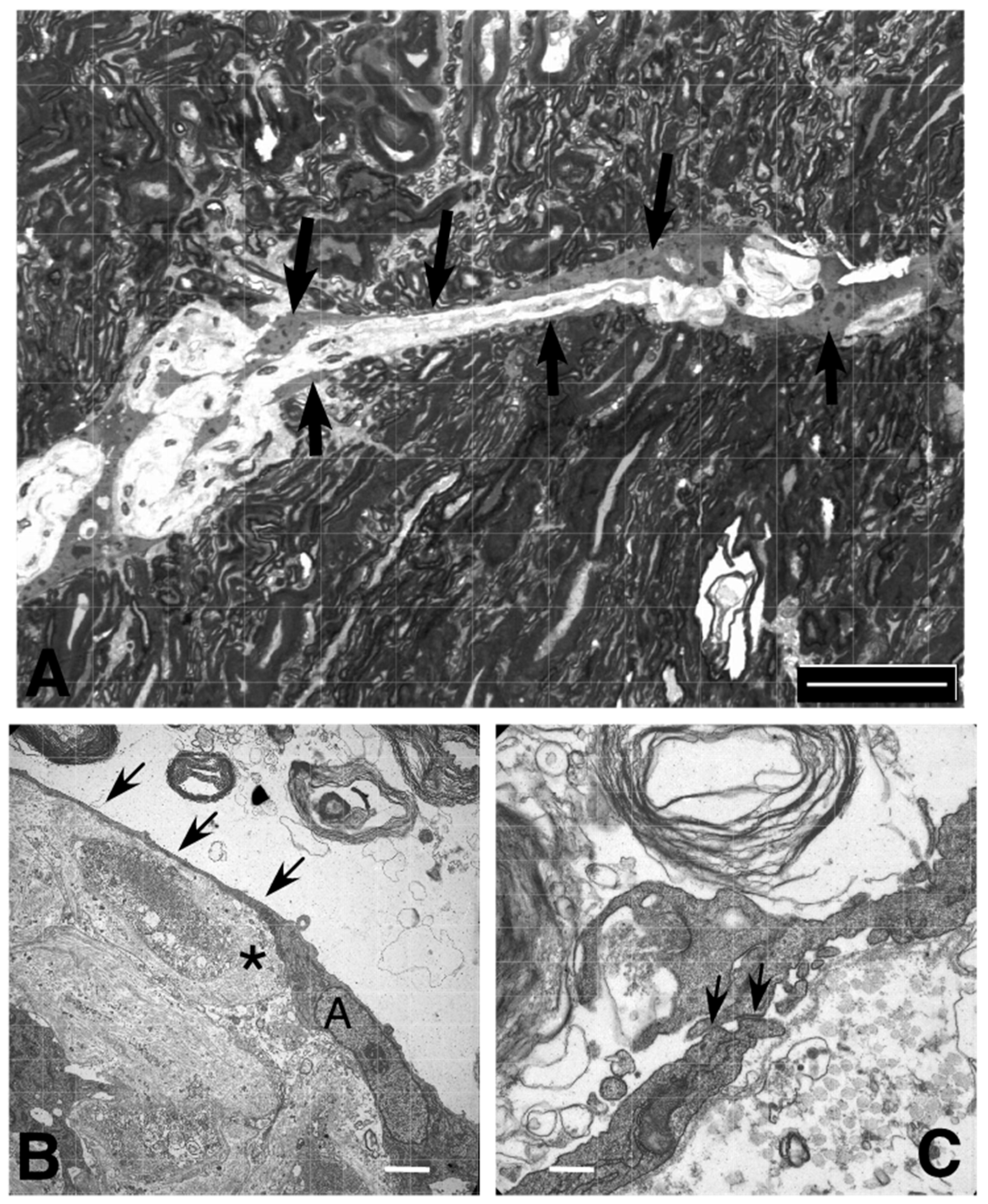
2.2. Cellular Source and Distribution of MT-MMP-Expressing Cells in Human IDH-Mutated Gliomas
2.3. Characterisation of Virally Transduced Astrocytes
2.4. Gelatin Zymography
2.5. The Type of Migration Assay Fundamentally Affects the Extent of the MT-MMP-Induced Increase of Astrocyte Migration
2.5.1. Scratch Wound Assay
2.5.2. Matrigel Invasion Chamber
2.5.3. Organotypic Porcine Spinal Slice Migration (OPoSSM) Assay
3. Discussion
4. Materials and Methods
4.1. Tissue Samples
4.2. RNase Protection Assay (RPA)
4.3. Immunohistochemistry and Immunocytochemistry
4.4. Cells and Constructs
4.5. Western Blotting
4.6. MMP Activity Assays
4.7. Organotypic Porcine Spinal Slice Migration (OPoSSM) Assay
4.8. Statistics
5. Conclusions
Supplementary Materials
Author Contributions
Funding
Acknowledgments
Conflicts of Interest
References
- Louis, D.; Ohgaki, H.; Wiestler, O.; Cavenee, W. World Health Organization Histological Classification of Tumours of the Central Nervous System; International Agency for Research on Cancer: Lion, France, 2016. [Google Scholar]
- Squatrito, M.; Holland, E.C. DNA Damage Response and Growth Factor Signaling Pathways in Gliomagenesis and Therapeutic Resistance. Cancer Res. 2011, 71, 5945–5949. [Google Scholar] [CrossRef] [PubMed]
- Westphal, M.; Lamszus, K. The neurobiology of gliomas: From cell biology to the development of therapeutic approaches. Nat. Rev. Neurosci. 2011, 12, 495–508. [Google Scholar] [CrossRef] [PubMed]
- Claes, A.; Idema, A.J.; Wesseling, P. Diffuse glioma growth: A guerilla war. Acta Neuropathol. 2007, 114, 443–458. [Google Scholar] [CrossRef] [PubMed]
- Rao, J.S. Molecular mechanisms of glioma invasiveness: The role of proteases. Nat. Rev. Cancer 2003, 3, 489–501. [Google Scholar] [CrossRef]
- Cathcart, J.; Pulkoski-Gross, A.; Cao, J. Targeting matrix metalloproteinases in cancer: Bringing new life to old ideas. Genes Dis. 2015, 2, 26–34. [Google Scholar] [CrossRef]
- Itoh, Y. Membrane-type matrix metalloproteinases: Their functions and regulations. Matrix Boil. 2015, 44, 207–223. [Google Scholar] [CrossRef]
- Klein, T.; Bischoff, R. Physiology and pathophysiology of matrix metalloproteases. Amino Acids 2010, 41, 271–290. [Google Scholar] [CrossRef]
- Madhavan, S.; Zenklusen, J.-C.; Kotliarov, Y.; Sahni, H.; Fine, H.A.; Buetow, K. Rembrandt: Helping personalized medicine become a reality through integrative translational research. Mol. Cancer Res. 2009, 7, 157–167. [Google Scholar] [CrossRef]
- The Cancer Genome Atlas Research Network; McLendon, R.; Friedman, A.; Bigner, D.; Van Meir, E.G.; Brat, D.J.; Mastrogianakis, G.M.; Olson, J.J.; Mikkelsen, T. Comprehensive genomic characterization defines human glioblastoma genes and core pathways. Naure 2008, 455, 1061–1068. [Google Scholar] [CrossRef]
- Nakada, M.; Nakamura, H.; Ikeda, E.; Fujimoto, N.; Yamashita, J.; Sato, H.; Seiki, M.; Okada, Y. Expression and Tissue Localization of Membrane-Type 1, 2, and 3 Matrix Metalloproteinases in Human Astrocytic Tumors. Am. J. Pathol. 1999, 154, 417–428. [Google Scholar] [CrossRef]
- Nuttall, R.K.; Pennington, C.J.; Taplin, J.; Wheal, A.; Yong, V.W.; Forsyth, P.A.; Edwards, D.R. Elevated membrane-type matrix metalloproteinases in gliomas revealed by profiling proteases and inhibitors in human cancer cells. Mol. Cancer Res. 2003, 1, 333–345. [Google Scholar] [PubMed]
- Turunen, P.S.; Tatti-Bugaeva, O.; Lehti, K. Membrane-type matrix metalloproteases as diverse effectors of cancer progression. Biochim. Biophys. Acta (BBA) Bioenerg. 2017, 1864, 1974–1988. [Google Scholar] [CrossRef] [PubMed]
- Sato, H.; Takino, T.; Okada, Y.; Cao, J.; Shinagawa, A.; Yamamoto, E.; Seiki, M. A matrix metalloproteinase expressed on the surface of invasive tumour cells. Nature 1994, 370, 61–65. [Google Scholar] [CrossRef] [PubMed]
- Deryugina, E.I.; Bourdon, M.A.; Luo, G.X.; Reisfeld, R.A.; Strongin, A.A. Matrix metalloproteinase-2 activation modulates glioma cell migration. J. Cell Sci. 1997, 110, 2473–2482. [Google Scholar] [PubMed]
- Belkin, A.M.; Akimov, S.S.; Zaritskaya, L.S.; Ratnikov, B.I.; Deryugina, E.I.; Strongin, A.Y. Matrix-dependent Proteolysis of Surface Transglutaminase by Membrane-type Metalloproteinase Regulates Cancer Cell Adhesion and Locomotion. J. Boil. Chem. 2001, 276, 18415–18422. [Google Scholar] [CrossRef]
- Deryugina, E.I.; Soroceanu, L.; Strongin, A.Y. Up-regulation of vascular endothelial growth factor by membrane-type 1 matrix metalloproteinase stimulates human glioma xenograft growth and angiogenesis. Cancer Res. 2002, 62, 580–588. [Google Scholar]
- Beliën, A.T.; Paganetti, P.A.; Schwab, M.E. Membrane-type 1 Matrix Metalloprotease (MT1-MMP) Enables Invasive Migration of Glioma Cells in Central Nervous System White Matter. J. Cell Boil. 1999, 144, 373–384. [Google Scholar] [CrossRef]
- Markovic, D.S.; Vinnakota, K.; Chirasani, S.; Synowitz, M.; Raguet, H.; Stock, K.; Sliwa, M.; Lehmann, S.; Kälin, R.; Van Rooijen, N.; et al. Gliomas induce and exploit microglial MT1-MMP expression for tumor expansion. Proc. Natl. Acad. Sci. USA 2009, 106, 12530–12535. [Google Scholar] [CrossRef]
- Puente, X.S.; Pendás, A.M.; Llano, E.; Velasco, G.; López-Otín, C. Molecular cloning of a novel membrane-type matrix metalloproteinase from a human breast carcinoma. Cancer Res. 1996, 56, 944–949. [Google Scholar]
- Yip, C.; Foidart, P.; Noel, A.; Sounni, N.E. MT4-MMP: The GPI-Anchored Membrane-Type Matrix Metalloprotease with Multiple Functions in Diseases. Int. J. Mol. Sci. 2019, 20, 354. [Google Scholar] [CrossRef]
- Llano, E.; Pendás, A.M.; Freije, J.P.; Nakano, A.; Knäuper, V.; Murphy, G.; López-Otin, C. Identification and characterization of human MT5-MMP, a new membrane-bound activator of progelatinase a overexpressed in brain tumors. Cancer Res. 1999, 59, 2570–2576. [Google Scholar] [PubMed]
- Radichev, I.A.; Remacle, A.G.; Shiryaev, S.A.; Purves, A.N.; Johnson, S.L.; Pellecchia, M.; Strongin, A.Y. Biochemical Characterization of the Cellular Glycosylphosphatidylinositol-linked Membrane Type-6 Matrix Metalloproteinase. J. Boil. Chem. 2010, 285, 16076–16086. [Google Scholar] [CrossRef] [PubMed]
- Althoff, G.E.; Wolfer, D.P.; Timmesfeld, N.; Kanzler, B.; Schrewe, H.; Pagenstecher, A. Long-Term Expression of Tissue-Inhibitor of Matrix Metalloproteinase-1 in the Murine Central Nervous System Does Not Alter the Morphological and Behavioral Phenotype but Alleviates the Course of Experimental Allergic Encephalomyelitis. Am. J. Pathol. 2010, 177, 840–853. [Google Scholar] [CrossRef] [PubMed]
- Blanco, M.J.; Rodríguez-Martín, I.; Learte, A.I.R.; Clemente, C.; Montalvo, M.G.; Seiki, M.; Arroyo, A.G.; Sanchez-Camacho, C. Developmental expression of membrane type 4-matrix metalloproteinase (Mt4-mmp/Mmp17) in the mouse embryo. PLoS ONE 2017, 12, e0184767. [Google Scholar] [CrossRef] [PubMed]
- Monea, S.; Jordan, B.A.; Srivastava, S.; DeSouza, S.; Ziff, E.B. Membrane Localization of Membrane Type 5 Matrix Metalloproteinase by AMPA Receptor Binding Protein and Cleavage of Cadherins. J. Neurosci. 2006, 26, 2300–2312. [Google Scholar] [CrossRef] [PubMed]
- Hagemann, C.; Anacker, J.; Ernestus, R.-I.; Vince, G.H. A complete compilation of matrix metalloproteinase expression in human malignant gliomas. World J. Clin. Oncol. 2012, 3, 67–79. [Google Scholar] [CrossRef]
- Pullen, N.A.; Pickford, A.R.; Perry, M.; Jaworski, D.M.; Loveson, K.F.; Arthur, D.; Holliday, J.R.; Van Meter, T.; Peckham, R.; Younas, W.; et al. Current insights into matrix metalloproteinases and glioma progression: Transcending the degradation boundary. Met. Med. 2018, 5, 13–30. [Google Scholar] [CrossRef]
- Kwiatkowska, A.; Kijewska, M.; Lipko, M.; Hibner, U.; Kaminska, B. Downregulation of Akt and FAK phosphorylation reduces invasion of glioblastoma cells by impairment of MT1-MMP shuttling to lamellipodia and downregulates MMPs expression. Biochim. Biophys. Acta (BBA) Bioenerg. 2011, 1813, 655–667. [Google Scholar] [CrossRef]
- Yamamoto, M.; Mohanam, S.; Sawaya, R.; Fuller, G.N.; Seiki, M.; Sato, H.; Gokaslan, Z.L.; Liotta, L.A.; Nicolson, G.L.; Rao, J.S. Differential expression of membrane-type matrix metalloproteinase and its correlation with gelatinase A activation in human malignant brain tumors in vivo and in vitro. Cancer Res. 1996, 56, 384–392. [Google Scholar]
- Zheng, H.; Ying, H.; Yan, H.; Kimmelman, A.C.; Hiller, D.J.; Chen, A.-J.; Perry, S.R.; Tonon, G.; Chu, G.C.; Ding, Z.; et al. P53 and Pten control neural and glioma stem/progenitor cell renewal and differentiation. Nature 2008, 455, 1129–1133. [Google Scholar] [CrossRef]
- Yahanda, A.M.; Bruner, J.M.; Donehower, L.A.; Morrison, R.S. Astrocytes derived from p53-deficient mice provide a multistep in vitro model for development of malignant gliomas. Mol. Cell. Biol. 1995, 15, 4249–4259. [Google Scholar] [CrossRef] [PubMed]
- Gingras, D.; Pagé, M.; Annabi, B.; Béliveau, R. Rapid activation of matrix metalloproteinase-2 by glioma cells occurs through a posttranslational MT1-MMP-dependent mechanism. Biochim. Biophys. Acta (BBA) Bioenerg. 2000, 1497, 341–350. [Google Scholar] [CrossRef]
- Mair, D.B.; Ames, H.M.; Li, R. Mechanisms of invasion and motility of high-grade gliomas in the brain. Mol. Biol. Cell 2018, 29, 2509–2515. [Google Scholar] [CrossRef]
- Bernstein, J.J.; Laws, E.R.; Levine, K.V.; Wood, L.R.; Tadvalkar, G.; Goldberg, W.J. C6 Glioma-Astrocytoma Cell and Fetal Astrocyte Migration into Artificial Basement Membrane: A Permissive Substrate for Neural Tumors but Not Fetal Astrocytes. Neurosurgery 1991, 28, 652–658. [Google Scholar] [CrossRef] [PubMed]
- Cuddapah, V.A.; Robel, S.; Watkins, S.; Sontheimer, H. A neurocentric perspective on glioma invasion. Nat. Rev. Neurosci. 2014, 15, 455–465. [Google Scholar] [CrossRef] [PubMed]
- Emmett, C.J.; Lawrence, J.M.; Raisman, G.; Seeley, P.J. Cultured epithelioid astrocytes migrate after transplantation into the adult rat brain. J. Comp. Neurol. 1991, 311, 330–341. [Google Scholar] [CrossRef]
- Janzer, R.C.; Raff, M.C. Astrocytes induce blood–brain barrier properties in endothelial cells. Nature 1987, 325, 253–257. [Google Scholar] [CrossRef]
- Leavitt, B.R.; Hernit-Grant, C.S.; Macklis, J.D. Mature Astrocytes Transform into Transitional Radial Glia within Adult Mouse Neocortex That Supports Directed Migration of Transplanted Immature Neurons. Exp. Neurol. 1999, 157, 43–57. [Google Scholar] [CrossRef]
- Devy, L.; Dransfield, D.T. New Strategies for the Next Generation of Matrix-Metalloproteinase Inhibitors: Selectively Targeting Membrane-Anchored MMPs with Therapeutic Antibodies. Biochem. Res. Int. 2011, 2011, 1–11. [Google Scholar] [CrossRef]
- Lee, S.-R.; Kim, H.-Y.; Rogowska, J.; Zhao, B.-Q.; Bhide, P.G.; Parent, J.M.; Lo, E.H. Involvement of Matrix Metalloproteinase in Neuroblast Cell Migration from the Subventricular Zone after Stroke. J. Neurosci. 2006, 26, 3491–3495. [Google Scholar] [CrossRef]
- Matthews, R.T.; Gary, S.C.; Zerillo, C.; Pratta, M.; Solomon, K.; Arner, E.C.; Hockfield, S. Brain-enriched hyaluronan binding (BEHAB)/brevican cleavage in a glioma cell line is mediated by a disintegrin and metalloproteinase with thrombospondin motifs (ADAMTS) family member. J. Biol. Chem. 2000, 275, 22695–22703. [Google Scholar] [CrossRef]
- Held-Feindt, J.; Paredes, E.B.; Blömer, U.; Seidenbecher, C.; Stark, A.M.; Mehdorn, H.M.; Mentlein, R. Matrix-degrading proteases ADAMTS4 and ADAMTS5 (disintegrins and metalloproteinases with thrombospondin motifs 4 and 5) are expressed in human glioblastomas. Int. J. Cancer 2005, 118, 55–61. [Google Scholar] [CrossRef] [PubMed]
- Ida, C.M.; Lambert, S.R.; Rodriguez, F.J.; Voss, J.S.; Mc Cann, B.E.; Seys, A.R.; Halling, K.C.; Collins, V.P.; Giannini, C. BRAF Alterations Are Frequent in Cerebellar Low-Grade Astrocytomas With Diffuse Growth Pattern. J. Neuropathol. Exp. Neurol. 2012, 71, 631–639. [Google Scholar] [CrossRef] [PubMed]
- Pagenstecher, A.; Stalder, A.K.; Campbell, I.L. RNAse protection assays for the simultaneous and semiquantitative analysis of multiple murine matrix metalloproteinase (MMP) and MMP inhibitor mRNAs. J. Immunol. Methods 1997, 206, 1–9. [Google Scholar] [CrossRef]
- Van den Steen, P.E.; Van Aelst, I.; Starckx, S.; Maskos, K.; Opdenakker, G.; Pagenstecher, A. Matrix metalloproteinases, tissue inhibitors of MMPs and TACE in experimental cerebral malaria. Lab. Investig. 2006, 86, 873–888. [Google Scholar] [CrossRef] [PubMed]
- Schindelin, J.; Arganda-Carreras, I.; Frise, E.; Kaynig, V.; Lonair, M.; Pietzsch, T.; Preibisch, S.; Rueden, C.; Saalfeld, S.; Schmid, B.; et al. Fiji: An open-source platform for biological-image analysis. Nat. Methods 2012, 9, 676–682. [Google Scholar] [CrossRef] [PubMed]
- Radke, J.; Bortolussi, G.; Pagenstecher, A. Akt and c-Myc Induce Stem-Cell Markers in Mature Primary p53−/− Astrocytes and Render These Cells Gliomagenic in the Brain of Immunocompetent Mice. PLoS ONE 2013, 8, e56691. [Google Scholar] [CrossRef]
- Pear, W.S.; Nolan, G.P.; Scott, M.L.; Baltimore, D. Production of high-titer helper-free retroviruses by transient transfection. Proc. Natl. Acad. Sci. USA 1993, 90, 8392–8396. [Google Scholar] [CrossRef]
- Friedl, G.; Hofer, M.; Auber, B.; Sauder, C.; Hausmann, J.; Staeheli, P.; Pagenstecher, A. Borna Disease Virus Multiplication in Mouse Organotypic Slice Cultures Is Site-Specifically Inhibited by Gamma Interferon but Not by Interleukin-12. J. Virol. 2004, 78, 1212–1218. [Google Scholar] [CrossRef]
- Kepser, L.-J.; Damar, F.; De Cicco, T.; Chaponnier, C.; Prószyński, T.J.; Pagenstecher, A.; Rust, M.B. CAP2 deficiency delays myofibril actin cytoskeleton differentiation and disturbs skeletal muscle architecture and function. Proc. Natl. Acad. Sci. USA 2019, 116, 8397–8402. [Google Scholar] [CrossRef]







© 2020 by the authors. Licensee MDPI, Basel, Switzerland. This article is an open access article distributed under the terms and conditions of the Creative Commons Attribution (CC BY) license (http://creativecommons.org/licenses/by/4.0/).
Share and Cite
Thome, I.; Lacle, R.; Voß, A.; Bortolussi, G.; Pantazis, G.; Schmidt, A.; Conrad, C.; Jacob, R.; Timmesfeld, N.; Bartsch, J.W.; et al. Neoplastic Cells are the Major Source of MT-MMPs in IDH1-Mutant Glioma, Thus Enhancing Tumor-Cell Intrinsic Brain Infiltration. Cancers 2020, 12, 2456. https://doi.org/10.3390/cancers12092456
Thome I, Lacle R, Voß A, Bortolussi G, Pantazis G, Schmidt A, Conrad C, Jacob R, Timmesfeld N, Bartsch JW, et al. Neoplastic Cells are the Major Source of MT-MMPs in IDH1-Mutant Glioma, Thus Enhancing Tumor-Cell Intrinsic Brain Infiltration. Cancers. 2020; 12(9):2456. https://doi.org/10.3390/cancers12092456
Chicago/Turabian StyleThome, Ina, Raphael Lacle, Andreas Voß, Ginette Bortolussi, Georgios Pantazis, Ansgar Schmidt, Catharina Conrad, Ralf Jacob, Nina Timmesfeld, Jörg W. Bartsch, and et al. 2020. "Neoplastic Cells are the Major Source of MT-MMPs in IDH1-Mutant Glioma, Thus Enhancing Tumor-Cell Intrinsic Brain Infiltration" Cancers 12, no. 9: 2456. https://doi.org/10.3390/cancers12092456
APA StyleThome, I., Lacle, R., Voß, A., Bortolussi, G., Pantazis, G., Schmidt, A., Conrad, C., Jacob, R., Timmesfeld, N., Bartsch, J. W., & Pagenstecher, A. (2020). Neoplastic Cells are the Major Source of MT-MMPs in IDH1-Mutant Glioma, Thus Enhancing Tumor-Cell Intrinsic Brain Infiltration. Cancers, 12(9), 2456. https://doi.org/10.3390/cancers12092456

