New International Association for the Study of Lung Cancer (IASLC) Pathology Committee Grading System for the Prognostic Outcome of Advanced Lung Adenocarcinoma
Abstract
Simple Summary
Abstract
1. Introduction
2. Results
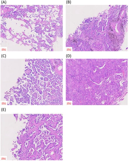
2.1. Clinicopathological Factors
2.2. EGFR Wild-Type and EGFR Mutations and First-Line Treatment
2.3. Survival Analysis
3. Discussion
4. Materials and Methods
4.1. Participants
4.2. Mutational Analysis
4.3. Statistical Analysis
5. Conclusions
Supplementary Materials
Author Contributions
Funding
Acknowledgments
Conflicts of Interest
References
- Russell, P.A.; Wainer, Z.; Wright, G.M.; Daniels, M.; Conron, M.; Williams, R.A. Does lung adenocarcinoma subtype predict patient survival? A clinicopathologic study based on the new International Association for the Study of Lung Cancer/American Thoracic Society/European Respiratory Society International Multidisciplinary lung adenocarcinoma classification. J. Thorac. Oncol. 2011, 6, 1496–1504. [Google Scholar] [PubMed]
- Hung, J.-J.; Yeh, Y.-C.; Jeng, W.-J.; Wu, K.-J.; Huang, B.-S.; Wu, Y.-C.; Chou, T.-Y.; Hsu, W.-H.; Jeng, W.-J.; Gung, C.; et al. Predictive value of the International Association for the Study of Lung Cancer/American Thoracic Society/European Respiratory Society classification of lung adenocarcinoma in tumor recurrence and patient survival. J. Clin. Oncol. 2014, 32, 2357–2364. [Google Scholar] [CrossRef] [PubMed]
- Sica, G.; Yoshizawa, A.; Sima, C.S.; Azzoli, C.G.; Downey, R.J.; Rusch, V.W.; Travis, W.D.; Moreira, A.L. A grading system of lung adenocarcinomas based on histologic pattern is predictive of disease recurrence in stage I tumors. Am. J. Surg. Pathol. 2010, 34, 1155–1162. [Google Scholar] [CrossRef] [PubMed]
- Sumiyoshi, S.; Yoshizawa, A.; Sonobe, M.; Kobayashi, M.; Fujimoto, M.; Tsuruyama, T.; Date, H.; Haga, H. Pulmonary adenocarcinomas with micropapillary component significantly correlate with recurrence, but can be well controlled with EGFR tyrosine kinase inhibitors in the early stages. Lung Cancer 2013, 81, 53–59. [Google Scholar] [CrossRef] [PubMed]
- Yeh, Y.-C.; Wu, Y.-C.; Chen, C.-Y.; Wang, L.-S.; Hsu, W.-H.; Chou, T.-Y. Stromal invasion and micropapillary pattern in 212 consecutive surgically resected stage I lung adenocarcinomas: Histopathological categories for prognosis prediction. J. Clin. Pathol. 2012, 65, 910–918. [Google Scholar] [CrossRef] [PubMed]
- Zhang, J.; Wu, J.; Tan, Q.; Zhu, L.; Gao, W. Why do pathological stage IA lung adenocarcinomas vary from prognosis? A clinicopathologic study of 176 patients with pathological stage IA lung adenocarcinoma based on the IASLC/ATS/ERS classification. J. Thorac. Oncol. 2013, 8, 1196–1202. [Google Scholar] [CrossRef]
- Zhang, Y.; Sun, Y.; Xiang, J.; Zhang, Y.; Hu, H.; Chen, H. A clinicopathologic prediction model for postoperative recurrence in stage Ia non–small cell lung cancer. J. Thorac. Cardiovasc. Surg. 2014, 148, 1193–1199. [Google Scholar] [CrossRef]
- Moreira, A.L.; Ocampo, P.S.S.; Xia, Y.; Zhong, H.; Russell, P.A.; Minami, Y.; Cooper, W.A.; Yoshida, A.; Bubendorf, L.; Papotti, M.; et al. A Grading System for Invasive Pulmonary Adenocarcinoma: A Proposal From the International Association for the Study of Lung Cancer Pathology Committee. J. Thorac. Oncol. 2020, 15, 1599–1610. [Google Scholar] [CrossRef]
- Clay, T.D.; Do, H.; Sundararajan, V.; Moore, M.M.; Conron, M.; Wright, G.M.; McLachlan, S.-A.; Dobrovic, A.; Russell, P.A. The clinical relevance of pathologic subtypes in metastatic lung adenocarcinoma. J. Thorac. Oncol. 2014, 9, 654–663. [Google Scholar] [CrossRef]
- Da Cruz, V.; Yvorel, V.; Casteillo, F.; Tissot, C.; Luchez, A.; Bayle-Bleuez, S.; Fournel, P.; Tiffet, O.; Péoc’h, M.; Forest, F.; et al. Histopathological subtyping is a prognostic factor in stage IV lung adenocarcinoma. Lung Cancer 2020, 147, 77–82. [Google Scholar] [CrossRef]
- Campos-Parra, A.D.; Aviles, A.; Contreras-Reyes, S.; Rojas-Marin, C.E.; Sanchez-Reyes, R.; Borbolla-Escoboza, R.J.; Arrieta, O. Relevance of the novel IASLC/ATS/ERS classification of lung adenocarcinoma in advanced disease. Eur. Respir. J. 2014, 43, 1439–1447. [Google Scholar] [CrossRef] [PubMed]
- Casteillo, F.; Guy, J.B.; Dal-Col, P.; Karpathiou, G.; Pommier, B.; Bayle-Bleuez, S.; Fournel, P.; Vassal, F.; Forest, F. Pathologic Subtypes of Lung Adenocarcinoma Brain Metastasis Is a Strong Predictor of Survival After Resection. Am. J. Surg. Pathol. 2018, 42, 1701–1707. [Google Scholar] [CrossRef] [PubMed]
- Travis, W.D.; Brambilla, E.; Noguchi, M.; Nicholson, A.G.; Geisinger, K.; Yatabe, Y.; Ishikawa, Y.; Wistuba, I.; Flieder, D.B.; Franklin, W.; et al. Diagnosis of lung cancer in small biopsies and cytology: Implications of the 2011 International Association for the Study of Lung Cancer/American Thoracic Society/European Respiratory Society classification. Arch. Pathol. Lab. Med. 2013, 137, 668–684. [Google Scholar] [CrossRef]
- Gao, S.; Stein, S.; Petre, E.N.; Shady, W.; Durack, J.C.; Ridge, C.; Adusumilli, P.; Rekhtman, N.; Solomon, S.B.; Ziv, E.; et al. Micropapillary and/or Solid Histologic Subtype Based on Pre-Treatment Biopsy Predicts Local Recurrence After Thermal Ablation of Lung Adenocarcinoma. Cardiovasc. Intervent. Radiol. 2018, 41, 253–259. [Google Scholar] [CrossRef] [PubMed]
- Riely, G.J.; Travis, W.D. Can IASLC/ATS/ERS subtype help predict response to chemotherapy in small biopsies of advanced lung adenocarcinoma? Eur. Respir. J. 2014, 43, 1240–1242. [Google Scholar] [CrossRef]
- Kim, T.H.; Buonocore, D.; Petre, E.N.; Durack, J.C.; Maybody, M.; Johnston, R.P.; Travis, W.D.; Adusumilli, P.S.; Solomon, S.B.; Ziv, E.; et al. Utility of Core Biopsy Specimen to Identify Histologic Subtype and Predict Outcome for Lung Adenocarcinoma. Ann. Thorac. Surg. 2019, 108, 392–398. [Google Scholar] [CrossRef]
- Leeman, J.E.; Rimner, A.; Montecalvo, J.; Hsu, M.; Zhang, Z.; von Reibnitz, D.; Panchoo, K.; Yorke, E.; Adusumilli, P.S.; Travis, W.; et al. Histologic Subtype in Core Lung Biopsies of Early-Stage Lung Adenocarcinoma is a Prognostic Factor for Treatment Response and Failure Patterns After Stereotactic Body Radiation Therapy. Int. J. Radiat. Oncol. Biol. Phys. 2017, 97, 138–145. [Google Scholar] [CrossRef]
- Matsuzawa, R.; Kirita, K.; Kuwata, T.; Umemura, S.; Matsumoto, S.; Fujii, S.; Yoh, K.; Kojima, M.; Niho, S.; Ohmatsu, H.; et al. Factors influencing the concordance of histological subtype diagnosis from biopsy and resected specimens of lung adenocarcinoma. Lung Cancer 2016, 94, 1–6. [Google Scholar] [CrossRef]
- Chao, L.; Yi-Sheng, H.; Yu, C.; Li-Xu, Y.; Xin-Lan, L.; Dong-Lan, L.; Jie, C.; Yi-Lon, W.; Hui, L.Y. Relevance of EGFR mutation with micropapillary pattern according to the novel IASLC/ATS/ERS lung adenocarcinoma classification and correlation with prognosis in Chinese patients. Lung Cancer 2014, 86, 164–169. [Google Scholar] [CrossRef]
- Swanton, C.; Govindan, R. Clinical Implications of Genomic Discoveries in Lung Cancer. N. Engl. J. Med. 2016, 374, 1864–1873. [Google Scholar] [CrossRef]
- Warth, A.; Penzel, R.; Lindenmaier, H.; Brandt, R.; Stenzinger, A.; Herpel, E.; Goeppert, B.; Thomas, M.; Herth, F.J.; Dienemann, H.; et al. EGFR, KRAS, BRAF and ALK gene alterations in lung adenocarcinomas: Patient outcome, interplay with morphology and immunophenotype. Eur. Respir. J. 2014, 43, 872–883. [Google Scholar] [CrossRef] [PubMed]
- Yanagawa, N.; Shiono, S.; Abiko, M.; Ogata, S.Y.; Sato, T.; Tamura, G. The correlation of the International Association for the Study of Lung Cancer (IASLC)/American Thoracic Society (ATS)/European Respiratory Society (ERS) classification with prognosis and EGFR mutation in lung adenocarcinoma. Ann. Thorac. Surg. 2014, 98, 453–458. [Google Scholar] [CrossRef] [PubMed]
- Hoshi, R.; Tsuzuku, M.; Horai, T.; Ishikawa, Y.; Satoh, Y. Micropapillary clusters in early-stage lung adenocarcinomas: A distinct cytologic sign of significantly poor prognosis. Cancer Cytopathol. Interdiscip. Int. J. Am. Cancer Soc. 2004, 102, 81–86. [Google Scholar] [CrossRef] [PubMed]
- Hung, J.-J.; Jeng, W.-J.; Chou, T.-Y.; Hsu, W.-H.; Wu, K.-J.; Huang, B.-S.; Wu, Y.-C. Prognostic value of the new International Association for the Study of Lung Cancer/American Thoracic Society/European Respiratory Society lung adenocarcinoma classification on death and recurrence in completely resected stage I lung adenocarcinoma. Ann. Surg. 2013, 258, 1079–1086. [Google Scholar] [CrossRef]
- Travis, W.D.; Brambilla, E.; Riely, G.J. New pathologic classification of lung cancer: Relevance for clinical practice and clinical trials. J. Clin. Oncol. 2013, 31, 992–1001. [Google Scholar] [CrossRef]
- Yoshizawa, A.; Motoi, N.; Riely, G.J.; Sima, C.S.; Gerald, W.L.; Kris, M.G.; Park, B.J.; Rusch, V.W.; Travis, W.D. Impact of proposed IASLC/ATS/ERS classification of lung adenocarcinoma: Prognostic subgroups and implications for further revision of staging based on analysis of 514 stage I cases. Mod. Pathol. 2011, 24, 653–664. [Google Scholar] [CrossRef]
- Warth, A.; Muley, T.; Meister, M.; Stenzinger, A.; Thomas, M.; Schirmacher, P.; Schnabel, P.A.; Budczies, J.; Hoffmann, H.; Weichert, W.; et al. The novel histologic International Association for the Study of Lung Cancer/American Thoracic Society/European Respiratory Society classification system of lung adenocarcinoma is a stage-independent predictor of survival. J. Clin. Oncol. 2012, 30, 1438–1446. [Google Scholar] [CrossRef]
- Cha, M.J.; Lee, H.Y.; Lee, K.S.; Jeong, J.Y.; Han, J.; Shim, Y.M.; Hwang, H.S. Micropapillary and solid subtypes of invasive lung adenocarcinoma: Clinical predictors of histopathology and outcome. J. Thorac. Cardiovasc. Surg. 2014, 147, 921–928. [Google Scholar] [CrossRef]
- Yanagawa, N. The Clinical Impact of Solid and Micropapillary Patterns in Resected Lung Adenocarcinoma: Author’s Reply. J. Thorac. Oncol. 2017, 12, e25–e26. [Google Scholar] [CrossRef]
- Yanagawa, N.; Shiono, S.; Abiko, M.; Katahira, M.; Osakabe, M.; Ogata, S.Y. The Clinical Impact of Solid and Micropapillary Patterns in Resected Lung Adenocarcinoma. J. Thorac. Oncol. 2016, 11, 1976–1983. [Google Scholar] [CrossRef]
- Sorensen, J.B.; Hirsch, F.R.; Olsen, J. The prognostic implication of histopathologic subtyping of pulmonary adenocarcinoma according to the classification of the World Health Organization. An analysis of 259 consecutive patients with advanced disease. Cancer 1988, 62, 361–367. [Google Scholar] [CrossRef]
- Yokose, T.; Suzuki, K.; Nagai, K.; Nishiwaki, Y.; Sasaki, S.; Ochiai, A. Favorable and unfavorable morphological prognostic factors in peripheral adenocarcinoma of the lung 3 cm or less in diameter. Lung Cancer 2000, 29, 179–188. [Google Scholar] [CrossRef]
- Song, Z.; Zhu, H.; Guo, Z.; Wu, W.; Sun, W.; Zhang, Y. Correlation of EGFR mutation and predominant histologic subtype according to the new lung adenocarcinoma classification in Chinese patients. Med. Oncol. 2013, 30, 645. [Google Scholar] [CrossRef] [PubMed]
- Yoshizawa, A.; Sumiyoshi, S.; Sonobe, M.; Kobayashi, M.; Fujimoto, M.; Kawakami, F.; Tsuruyama, T.; Travis, W.D.; Date, H.; Haga, H.; et al. Validation of the IASLC/ATS/ERS lung adenocarcinoma classification for prognosis and association with EGFR and KRAS gene mutations: Analysis of 440 Japanese patients. J. Thorac. Oncol. 2013, 8, 52–61. [Google Scholar] [CrossRef] [PubMed]
- Shim, H.S.; Lee, D.H.; Park, E.J.; Kim, S.H. Histopathologic characteristics of lung adenocarcinomas with epidermal growth factor receptor mutations in the International Association for the Study of Lung Cancer/American Thoracic Society/European Respiratory Society lung adenocarcinoma classification. Arch. Pathol. Lab. Med. 2011, 135, 1329–1334. [Google Scholar] [CrossRef]
- Qian, F.; Yang, W.; Wang, R.; Xu, J.; Wang, S.; Zhang, Y.; Jin, B.; Yu, K.; Han, B. Prognostic significance and adjuvant chemotherapy survival benefits of a solid or micropapillary pattern in patients with resected stage IB lung adenocarcinoma. J. Thorac. Cardiovasc. Surg. 2018, 155, 1227–1235. [Google Scholar] [CrossRef]
- Tsao, M.S.; Marguet, S.; Le Teuff, G.; Lantuejoul, S.; Shepherd, F.A.; Seymour, L.; Kratzke, R.; Graziano, S.L.; Popper, H.H.; Rosell, R.; et al. Subtype Classification of Lung Adenocarcinoma Predicts Benefit From Adjuvant Chemotherapy in Patients Undergoing Complete Resection. J. Clin. Oncol. 2015, 33, 3439–3446. [Google Scholar] [CrossRef]
- Hung, J.J.; Wu, Y.C.; Chou, T.Y.; Jeng, W.J.; Yeh, Y.C.; Hsu, W.H. Adjuvant Chemotherapy Improves the Probability of Freedom From Recurrence in Patients With Resected Stage IB Lung Adenocarcinoma. Ann. Thorac. Surg. 2016, 101, 1346–1353. [Google Scholar] [CrossRef]
- Ma, M.; She, Y.; Ren, Y.; Dai, C.; Zhang, L.; Xie, H.; Wu, C.; Yang, M.; Xie, D.; Chen, C. Micropapillary or solid pattern predicts recurrence free survival benefit from adjuvant chemotherapy in patients with stage IB lung adenocarcinoma. J. Thorac. Dis. 2018, 10, 5384–5393. [Google Scholar] [CrossRef]
- Nogrady, B. How cancer genomics is transforming diagnosis and treatment. Nature 2020, 579, S10–S11. [Google Scholar] [CrossRef]
- Asamura, H.; Chansky, K.; Crowley, J.; Goldstraw, P.; Rusch, V.W.; Vansteenkiste, J.F.; Watanabe, H.; Wu, Y.-L.; Zielinski, M.; Ball, D. The International Association for the Study of Lung Cancer Lung Cancer Staging Project: Proposals for the Revision of the N Descriptors in the Forthcoming 8th Edition of the TNM Classification for Lung Cancer. J. Thorac. Oncol. 2015, 10, 1675–1684. [Google Scholar] [CrossRef] [PubMed]




| Grade | Differentiation | N (%) |
|---|---|---|
| Grade 1 | Well differentiated | 7 (5.1%) |
| Grade 2 | Moderately differentiated | 74 (54.4%) |
| Grade 3 | Poorly differentiated | 55 (40.5%) |
| Total number of included patients: 136 | ||
| Variables | N (%) | Well Differentiated | Moderately Differentiated | Poorly Differentiated | p Value |
|---|---|---|---|---|---|
| 7 (5.1%) | 74 (54.4%) | 55 (40.4%) | |||
| Sex | |||||
| Male | 65 (47.8%) | 3 (2.2%) | 31 (22.8%) | 31 (22.8%) | 0.257 |
| Female | 71 (52.2%) | 4 (2.9%) | 43 (31.6%) | 24 (17.6%) | |
| Age groups (years) | |||||
| ≤70 | 87 (64.0%) | 7 (5.1%) | 50 (36.8%) | 30 (22.1%) | 0.039 |
| >70 | 49 (36.0%) | 0 (0.0%) | 24 (17.6%) | 25 (18.4%) | |
| BMI (kg/m2) | |||||
| ≤25 | 93 (72.1%) | 5 (3.9%) | 50 (38.8%) | 38 (29.5%) | 0.979 |
| >25 | 36 (27.9%) | 2 (1.6%) | 20 (15.5%) | 14 (10.9%) | |
| Missing | 7 | 0 | 4 | 3 | |
| Smoking Status | |||||
| Non-smoker | 92 (67.6%) | 6 (4.4%) | 49 (36.0%) | 37 (27.2%) | 0.572 |
| Ever smoker | 44 (32.4%) | 1 (0.7%) | 25 (18.4%) | 18 (13.2%) | |
| Stage | |||||
| IIIA & IIIB | 17 (12.5%) | 1 (0.7%) | 9 (6.6%) | 7 (5.1%) | 0.985 |
| IV | 119 (87.5%) | 6 (4.4%) | 65 (47.8%) | 48 (35.3%) | |
| Driver gene mutation | |||||
| EGFR Wild-type | 58 (42.6%) | 3 (2.2%) | 29 (21.3%) | 26 (19.1%) | 0.656 |
| EGFR Mutation | 78 (57.4%) | 4 (2.9%) | 45 (33.1%) | 29 (21.3%) | |
| Exon 18 mutation | 7 (5.1%) | 1 (0.7%) | 5 (3.7%) | 1 (0.7%) | |
| Exon 19 deletion | 33 (24.3%) | 2 (1.5%) | 16 (11.8%) | 15 (11.0%) | |
| Exon 20 insertion mutation | 2 (1.5%) | 0 (0.0%) | 2 (1.5%) | 0 (0.0%) | |
| Exon 21 point mutation | 34 (25.0%) | 1 (0.7%) | 21 (15.4%) | 12 (8.8%) | |
| EML4-ALK | 2 (1.5%) | 0 (0.0%) | 1 (0.7%) | 1 (0.7%) | |
| Treatments | |||||
| TKIs | 76 (69.7%) | 5 (4.6%) | 44 (40.4%) | 27 (24.8%) | 0.650 |
| Chemotherapy | 33 (30.3%) | 1 (0.9%) | 18 (16.5%) | 14 (12.78%) | |
| Not systemic treatment | 27 | 1 | 12 | 14 |
| Variables | OS | |||||
|---|---|---|---|---|---|---|
| Univariate | Multivariate | |||||
| HR | 95% CI | p Value | HR | 95% CI | p Value | |
| Groups | ||||||
| Well differentiated | 1 | |||||
| Moderately differentiated | 1.030 | 0.370–2.866 | 0.955 | |||
| Poorly differentiated | 1.548 | 0.552–4.340 | 0.406 | |||
| Age groups (years) | ||||||
| ≤70 | 1 | 1 | ||||
| >70 | 1.822 | 1.183–2.807 | 0.006 ** | 1.984 | 1.273–3.093 | 0.002 ** |
| Sex | ||||||
| Female | 1 | |||||
| Male | 1.039 | 0.841–1.285 | 0.721 | |||
| Smoking Status | ||||||
| Non-smoker | 1 | |||||
| Ever-Smoker | 0.956 | 0.607–1.506 | 0.846 | |||
| BMI group (kg/m2) | ||||||
| >25 | 1 | 1 | ||||
| ≤25 | 2.250 | 1.297–3.906 | 0.004 ** | 2.383 | 1.372–4.139 | 0.002 ** |
| EGFR | ||||||
| Mutation | 1 | 1 | ||||
| Wild-type | 1.537 | 1.008–2.344 | 0.046 * | 1.632 | 1.055–2.523 | 0.028 * |
| Treatments | ||||||
| TKI | 1 | |||||
| Chemotherapy | 1.538 | 0.939–2.520 | 0.087 | |||
| Variables (N) | PFS Months | Univariate | ||
|---|---|---|---|---|
| HR | 95% CI | p Value | ||
| Well differentiated (3) | 10 (6.8–13.2) | 1 | ||
| Moderately differentiated (29) | 11 (8.4–13.6) | 0.952 | 0.219–4.142 | 0.948 |
| Well differentiated (3) | 10 (6.8–13.2) | 1 | ||
| Poorly differentiated (26) | 4 (2.5–5.5) | 2.897 | 0.676–12.415 | 0.152 |
| Moderately differentiated (29) | 11 (8.4–13.6) | 1 | ||
| Poorly differentiated (26) | 4 (2.5–5.5) | 2.800 | 1.495–5.352 | 0.002 ** |
| Variables | Number | Median PFS (Months) | p Value a | Median OS (Months) | p Value a |
|---|---|---|---|---|---|
| Groups | |||||
| Well differentiated | 7 | 10 (7.434–12.566) | 0.013 ** | 19 (9.224–28.776) | 0.154 |
| Moderately differentiated | 74 | 10 (8.057–11.943) | 21 (15.527–26.473) | ||
| Poorly differentiated | 55 | 6 (3.358–8.642) | 11 (6.106–15.894) | ||
| Age groups (years) | |||||
| ≤70 | 87 | 10 (8.945–11.055) | 0.118 | 21 (15.912–26.088) | 0.005 ** |
| >70 | 49 | 7 (4.441–9.559) | 11 (6.003–15.997) | ||
| Sex | |||||
| Male | 65 | 8 (5.637–10.363) | 0.144 | 13 (8.755–17.245) | 0.716 |
| Female | 71 | 9 (7.731–10.269) | 19 (14.818–23.182) | ||
| BMI group (kg/m2) | |||||
| ≤25 | 93 | 9 (7.903–10.097) | 0.222 | 16 (12.009–19.991) | 0.003 ** |
| >25 | 36 | 10 (7.652–12.348) | 34 | ||
| Smoking Status | |||||
| Non-smoker | 92 | 9 (7.958–10.042) | 0.384 | 19 (13.620–24.380) | 0.843 |
| Ever-Smoker | 44 | 8 (6.927–9.073) | 17 (12.180–21.820) | ||
| EGFR | |||||
| Wild-type | 58 | 6 (3.512–8.488) | 0.131 | 13 (8.285–17.715) | 0.041 * |
| Mutation | 78 | 9 (7.848–10.152) | 21 (10.759–31.241) | ||
| EGFR-m b | |||||
| Sex | |||||
| Male | 34 | 9 (6.718–11.282) | 0.723 | 29 (9.052–48.948) | 0.696 |
| Female | 44 | 9 (7.701–10.299) | 21 (17.448–24.552) | ||
| EGFR-m & Non-smoker | |||||
| Sex | |||||
| Male | 20 | 9 (6.820–11.180) | 0.481 | 14 (9.866–18.134) | 0.913 |
| Female | 41 | 10 (8.754–11.246) | 21 (17.429–24.571) | ||
| Treatments | |||||
| TKI c | 76 | 10 (8.938–11.062) | 0.140 | 22 (16.760–27.240) | 0.080 |
| Chemotherapy d | 33 | 8 (3.981–12.019) | 17 (10.728–23.272) |
Publisher’s Note: MDPI stays neutral with regard to jurisdictional claims in published maps and institutional affiliations. |
© 2020 by the authors. Licensee MDPI, Basel, Switzerland. This article is an open access article distributed under the terms and conditions of the Creative Commons Attribution (CC BY) license (http://creativecommons.org/licenses/by/4.0/).
Share and Cite
Weng, C.-F.; Huang, C.-J.; Huang, S.-H.; Wu, M.-H.; Tseng, A.H.; Sung, Y.-C.; Lee, H.H.-C.; Ling, T.-Y. New International Association for the Study of Lung Cancer (IASLC) Pathology Committee Grading System for the Prognostic Outcome of Advanced Lung Adenocarcinoma. Cancers 2020, 12, 3426. https://doi.org/10.3390/cancers12113426
Weng C-F, Huang C-J, Huang S-H, Wu M-H, Tseng AH, Sung Y-C, Lee HH-C, Ling T-Y. New International Association for the Study of Lung Cancer (IASLC) Pathology Committee Grading System for the Prognostic Outcome of Advanced Lung Adenocarcinoma. Cancers. 2020; 12(11):3426. https://doi.org/10.3390/cancers12113426
Chicago/Turabian StyleWeng, Ching-Fu, Chi-Jung Huang, Shih-Hung Huang, Mei-Hsuan Wu, Ailun Heather Tseng, Yung-Chuan Sung, Henry Hsin-Chung Lee, and Thai-Yen Ling. 2020. "New International Association for the Study of Lung Cancer (IASLC) Pathology Committee Grading System for the Prognostic Outcome of Advanced Lung Adenocarcinoma" Cancers 12, no. 11: 3426. https://doi.org/10.3390/cancers12113426
APA StyleWeng, C.-F., Huang, C.-J., Huang, S.-H., Wu, M.-H., Tseng, A. H., Sung, Y.-C., Lee, H. H.-C., & Ling, T.-Y. (2020). New International Association for the Study of Lung Cancer (IASLC) Pathology Committee Grading System for the Prognostic Outcome of Advanced Lung Adenocarcinoma. Cancers, 12(11), 3426. https://doi.org/10.3390/cancers12113426

