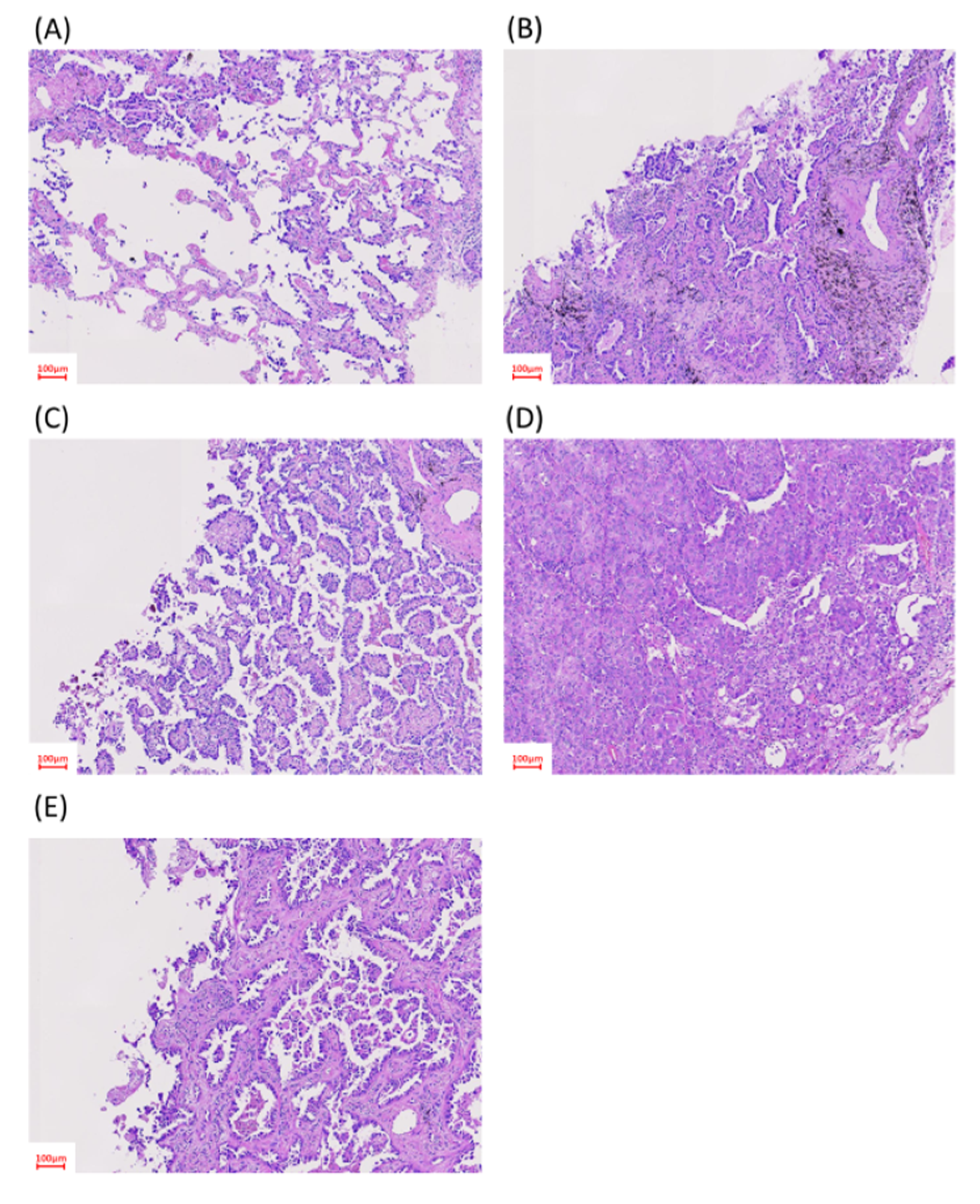
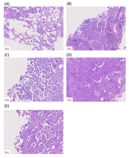
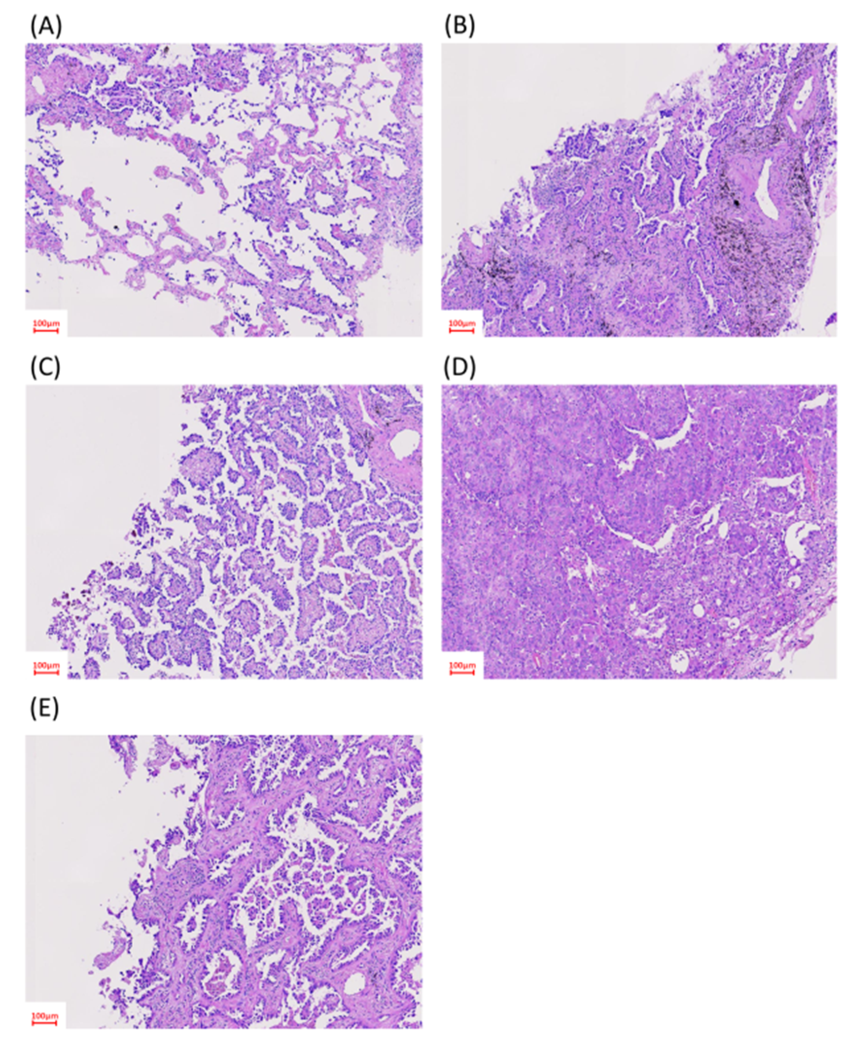
Correction: Weng et al. New International Association for the Study of Lung Cancer (IASLC) Pathology Committee Grading System for the Prognostic Outcome of Advanced Lung Adenocarcinoma. Cancers 2020, 12, 3426


Funding
Conflicts of Interest
Reference
- Weng, C.-F.; Huang, C.-J.; Huang, S.-H.; Wu, M.-H.; Tseng, A.H.; Sung, Y.-C.; Lee, H.H.-C.; Ling, T.-Y. New International Association for the Study of Lung Cancer (IASLC) Pathology Committee Grading System for the Prognostic Outcome of Advanced Lung Adenocarcinoma. Cancers 2020, 12, 3426. [Google Scholar] [CrossRef] [PubMed]
Publisher’s Note: MDPI stays neutral with regard to jurisdictional claims in published maps and institutional affiliations. |
© 2021 by the authors. Licensee MDPI, Basel, Switzerland. This article is an open access article distributed under the terms and conditions of the Creative Commons Attribution (CC BY) license (https://creativecommons.org/licenses/by/4.0/).
Share and Cite
Weng, C.-F.; Huang, C.-J.; Huang, S.-H.; Wu, M.-H.; Tseng, A.H.; Sung, Y.-C.; Lee, H.H.-C.; Ling, T.-Y. Correction: Weng et al. New International Association for the Study of Lung Cancer (IASLC) Pathology Committee Grading System for the Prognostic Outcome of Advanced Lung Adenocarcinoma. Cancers 2020, 12, 3426. Cancers 2021, 13, 4024. https://doi.org/10.3390/cancers13164024
Weng C-F, Huang C-J, Huang S-H, Wu M-H, Tseng AH, Sung Y-C, Lee HH-C, Ling T-Y. Correction: Weng et al. New International Association for the Study of Lung Cancer (IASLC) Pathology Committee Grading System for the Prognostic Outcome of Advanced Lung Adenocarcinoma. Cancers 2020, 12, 3426. Cancers. 2021; 13(16):4024. https://doi.org/10.3390/cancers13164024
Chicago/Turabian StyleWeng, Ching-Fu, Chi-Jung Huang, Shih-Hung Huang, Mei-Hsuan Wu, Ailun Heather Tseng, Yung-Chuan Sung, Henry Hsin-Chung Lee, and Thai-Yen Ling. 2021. "Correction: Weng et al. New International Association for the Study of Lung Cancer (IASLC) Pathology Committee Grading System for the Prognostic Outcome of Advanced Lung Adenocarcinoma. Cancers 2020, 12, 3426" Cancers 13, no. 16: 4024. https://doi.org/10.3390/cancers13164024
APA StyleWeng, C.-F., Huang, C.-J., Huang, S.-H., Wu, M.-H., Tseng, A. H., Sung, Y.-C., Lee, H. H.-C., & Ling, T.-Y. (2021). Correction: Weng et al. New International Association for the Study of Lung Cancer (IASLC) Pathology Committee Grading System for the Prognostic Outcome of Advanced Lung Adenocarcinoma. Cancers 2020, 12, 3426. Cancers, 13(16), 4024. https://doi.org/10.3390/cancers13164024

