Assessment of HER2 Protein Overexpression and Gene Amplification in Renal Collecting Duct Carcinoma: Therapeutic Implication
Abstract
Simple Summary
Abstract
1. Introduction
2. Results
2.1. Clinical and Pathologic Characteristics of CDC Patients
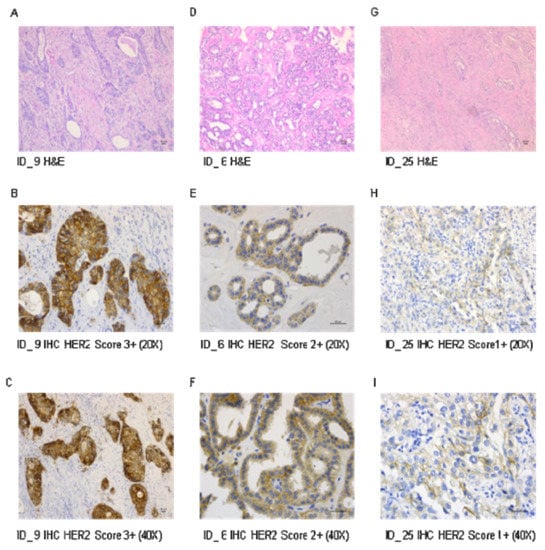
2.2. HER2 Immunohistochemical Analysis in CDC
2.3. HER2 Fluorescence In-Situ Hybridization Analysis in CDC
3. Discussion
4. Materials and Methods
4.1. Case Selection and Tissue Specimen Collection
4.2. HER2 Immunohistochemical Analysis
4.3. HER2 Fluorescence In-Situ Hybridization
5. Conclusions
Author Contributions
Funding
Acknowledgments
Conflicts of Interest
References
- Cohen, H.T.; McGovern, F.J. Renal-cell carcinoma. N. Engl. J. Med. 2005, 353, 2477–2490. [Google Scholar] [CrossRef] [PubMed]
- Noriaki, T.; Seiji, N.; Osamu, M.; Nagashima, Y.; Ozono, S.; Igarashi, T.; Japanese Society of Renal Cancer. Collecting duct (Bellini duct) renal cell carcinoma: A nationwide survey in Japan. J. Urol. 2006, 176, 40–43. [Google Scholar]
- Nakamura, H.; Kuirhara, Y.; Matsushita, K.; Sakai, A.; Yamaguchi, T.; Nakajima, Y. Extrarenal multiorgan metastases of collecting duct carcinoma of the kidney: A case series. J. Med. Case Rep. 2008, 2, 304. [Google Scholar] [CrossRef] [PubMed]
- Dason, S.; Allard, C.; Sheridan-Jonah, A.; Gill, J.; Jamshaid, H.; Aziz, T.; Kajal, B.; Kapoor, A. Management of renal collecting duct carcinoma: A systematic review and the McMaster experience. Curr. Oncol. 2013, 20, 223–232. [Google Scholar] [CrossRef] [PubMed]
- Sui, W.; Matulay, J.T.; Robins, D.J.; James, M.B.; Onyeji, I.C.; Roychoudhury, A.; Wenske, S.; DeCastro, G.J. Collecting duct carcinoma of the kidney: Disease characteristics and treatment outcomes from the National Cancer Database. In Urologic Oncology: Seminars and Original Investigations; Elsevier: Amsterdam, The Netherlands, 2017; Volume 35, pp. 540.e13–540.e18. [Google Scholar] [CrossRef]
- National Comprehensive Cancer Network. NCCN Clinical Practical Guidelines in Oncology. Kidney Cancer, version 2. 2020. Available online: https://www.nccn.org/store/login/login.aspx?ReturnURL=https://www.nccn.org/professionals/physician_gls/pdf/kidney.pdf (accessed on 1 August 2020).
- Sheng, X.; Cao, D.; Yuan, J.; Zhou, F.; Wei, Q.; Xie, X.; Cui, C.; Chi, Z.; Si, L.; Li, S.; et al. Sorafenib in combination with gemcitabine plus cisplatin chemotherapy in metastatic renal collecting duct carcinoma: A prospective, multicentre, single-arm, phase 2 study. Eur. J. Cancer 2018, 100, 1–7. [Google Scholar] [CrossRef]
- Takeshima, T.; Nakamura, M.; Sekiguchi, Z.; Takizawa, A.; Tsuchiya, F. [Metastatic collecting duct carcinoma with relatively long-term survival treated with sunitinib: A case report]. Hinyokikakiyo. Acta Urol. Jpn. 2014, 60, 133–136. [Google Scholar]
- Delgdo, M.S.; Márquez, G.P.; Maestre, J.M.A.; Villar, P.B. Collecting duct carcinoma of the kidney. A contribution of 4 new cases. Arch. Esp. Urol. 2014, 67, 714–717. [Google Scholar]
- Mizutani, K.; Horie, K.; Nagai, S.; Tsuchiya, T.; Saigo, C.; Kobayashi, K.; Miyazaki, T.; Deguchi, T. Response to nivolumab in metastatic collecting duct carcinoma expressing PD-L1: A case report. Mol. Clin. Oncol. 2017, 7, 988–990. [Google Scholar] [CrossRef]
- Yasuoka, S.; Hamasaki, T.; Kuribayashi, E.; Nagasawa, M.; Kawaguchi, T.; Nagashima, Y.; Kondo, Y. Nivolumab therapy for metastatic collecting duct carcinoma after nephrectomy. Medicine 2018, 97, e13173. [Google Scholar] [CrossRef]
- Watanabe, K.; Sugiyama, T.; Otsuka, A.; Miyake, H. Complete response to combination therapy with nivolumab and ipilimumab for metastatic collecting duct carcinoma of the kidney. Int. Cancer Conf. J. 2020, 9, 32–35. [Google Scholar] [CrossRef]
- Vogelzang, N.J.; Olsen, M.R.; McFarlane, J.J.; Arrowsmith, E.; Bauer, T.M.; Jain, R.K.; Somer, B.; Lam, E.T.; Kochenderfer, M.D.; Molina, A.; et al. Safety and Efficacy of Nivolumab in Patients with Advanced Non-Clear Cell Renal Cell Carcinoma: Results From the Phase IIIb/IV CheckMate 374 Study. Clin. Genitourin. Cancer 2020. [Google Scholar] [CrossRef] [PubMed]
- Srigley, J.R.; Eble, J.N. Collecting duct carcinoma of kidney. Semin. Diagn. Pathol. 1998, 15, 54–67. [Google Scholar] [PubMed]
- Na Seo, A.; Yoon, G.; Ro, J.Y. Clinicopathologic and Molecular Pathology of Collecting Duct Carcinoma and Related Renal Cell Carcinomas. Adv. Anat. Pathol. 2017, 24, 65–77. [Google Scholar] [CrossRef] [PubMed]
- Singh, J.A.; Ohe, C.; Smith, S.C. High grade infiltrative adenocarcinomas of renal cell origin: New insights into classification, morphology, and molecular pathogenesis. Pathol. Int. 2018, 68, 265–277. [Google Scholar] [CrossRef] [PubMed]
- Pécuchet, N.; Bigot, F.; Gachet, J.; Massard, C.; Albiges, L.; Teghom, C.; Allory, Y.; Méjean, A.; Escudier, B.; Oudard, S. Triple combination of bevacizumab, gemcitabine and platinum salt in metastatic collecting duct carcinoma. Ann. Oncol. 2013, 24, 2963–2967. [Google Scholar] [CrossRef]
- National Comprehensive Cancer Network. NCCN Clinical Practical Guidelines in Oncology. Breast Cancer, Version 2. 2019. Available online: https://www.nccn.org/store/login/login.aspx?ReturnURL=https://www.nccn.org/professionals/physician_gls/pdf/breast.pdf (accessed on 1 August 2020).
- National Comprehensive Cancer Network. NCCN Clinical Practical Guidelines in Oncology. Gastric Cancer, version 2. 2019. Available online: https://www.nccn.org/store/login/login.aspx?ReturnURL=https://www.nccn.org/professionals/physician_gls/pdf/gastric.pdf (accessed on 1 August 2020).
- Kim, G.; Chung, Y.R.; Kim, B.; Song, B.; Moon, K.C. Comparison of the FDA and ASCO/CAP Criteria for HER2 Immunohistochemistry in Upper Urinary Tract Urothelial Carcinoma. J. Pathol. Transl. Med. 2016, 50, 436–441. [Google Scholar] [CrossRef]
- Moktefi, A.; Pouessel, D.; Liu, J.; Sirab, N.; Maille, P.; Soyeux, P.; Bergman, C.C.; Auriault, M.L.; Vordos, D.; De La Taille, A.; et al. Reappraisal of HER2 status in the spectrum of advanced urothelial carcinoma: A need of guidelines for treatment eligibility. Mod. Pathol. 2018, 31, 1270–1281. [Google Scholar] [CrossRef]
- Bronchud, M.H.; Castillo, S.; De Romaní, S.E.; Mourelo, S.; Fernandez, A.; Baena, C.; Murillo, J.; Julia, J.C.; Esquius, J.; Romero, R.; et al. HER2 Blockade in Metastatic Collecting Duct Carcinoma (CDC) of the Kidney: A Case Report. Oncol. Res. Treat. 2012, 35, 776–779. [Google Scholar] [CrossRef]
- Matei, D.-V.; Rocco, B.; Varela, R.; Verweij, F.; Scardino, E.; Renne, G.; De Cobelli, O. Synchronous collecting duct carcinoma and papillary renal cell carcinoma: A case report and review of the literature. Anticancer Res. 2005, 25, 579–586. [Google Scholar]
- Selli, C.; Amorosi, A.; Vona, G.; Sestini, R.; Travaglini, F.; Bartoletti, R.; Orlando, C. Retrospective Evaluation of c-erbB-2 Oncogene Amplification using Competitive PCR in Collecting Duct Carcinoma of the Kidney. J. Urol. 1997, 158, 245–247. [Google Scholar] [CrossRef]
- Wolff, A.C.; Hammond, M.E.H.; Allison, K.H.; Harvey, B.E.; Mangu, P.B.; Bartlett, J.M.S.; Bilous, M.; Ellis, I.O.; Fitzgibbons, P.; Hanna, W.; et al. Human Epidermal Growth Factor Receptor 2 Testing in Breast Cancer: American Society of Clinical Oncology/College of American Pathologists Clinical Practice Guideline Focused Update. J. Clin. Oncol. 2018, 36, 2105–2122. [Google Scholar] [CrossRef] [PubMed]
- Karass, M.; Bareja, R.; Shelkey, E.; Vlachostergios, P.J.; Robinson, B.D.; Khani, F.; Mosquera, J.M.; Scherr, U.S.; Sboner, A.; Tagawa, S.T.; et al. Oncogenic Addiction to ERBB2 Signaling Predicts Response to Trastuzumab in Urothelial Cancer. J. Natl. Compr. Cancer Netw. 2019, 17, 194–200. [Google Scholar] [CrossRef] [PubMed]
- Takahashi, K.; Ishibashi, E.; Kubo, T.; Harada, Y.; Hayashi, H.; Kano, M.; Shimizu, Y.; Shirota, H.; Mori, Y.; Muto, M.; et al. A phase 2 basket trial of combination therapy with trastuzumab and pertuzumab in patients with solid cancers harboring human epidermal growth factor receptor 2 amplification (JUPITER trial). Medicine 2020, 99, e21457. [Google Scholar] [CrossRef] [PubMed]
- Johnston, S.R.D.; Hegg, R.; Im, S.-A.; Park, I.H.; Burdaeva, O.; Kurteva, G.; Press, M.F.; Tjulandin, S.; Iwata, H.; Simon, S.D.; et al. Phase III, Randomized Study of Dual Human Epidermal Growth Factor Receptor 2 (HER2) Blockade With Lapatinib Plus Trastuzumab in Combination With an Aromatase Inhibitor in Postmenopausal Women With HER2-Positive, Hormone Receptor–Positive Metastatic Breast Cancer: Updated Results of ALTERNATIVE. J. Clin. Oncol. 2020, 36, 741–748. [Google Scholar] [CrossRef]
- Adashek, J.J.; Arroyo-Martinez, Y.; Menta, A.K.; Kurzrock, R.; Kato, S. Therapeutic Implications of Epidermal Growth Factor Receptor (EGFR) in the Treatment of Metastatic Gastric/GEJ Cancer. Front. Oncol. 2020, 10, 1312. [Google Scholar] [CrossRef]
- Li, T. Speeding Access to Precision Oncology Drugs: How Are We Doing With Biomarker-Driven Drug Approvals? J. Natl. Compr. Cancer Netw. 2020, 18, 113–114. [Google Scholar] [CrossRef]


| Variable CDC Patients (N = 26) | |
|---|---|
| Gender | N = 26 |
| Male | 16 (62%) |
| Female | 10 (38%) |
| Age median (range) | 72 (40–84) |
| Stage | N = 26 |
| I | 2 (8%) |
| II | 0 (0%) |
| III | 15 (58%) |
| IV | 9 (34%) |
| T stage | N = 26 |
| T1 | 3 (12%) |
| T2 | 0 (0%) |
| T3 | 18 (69%) |
| T4 | 5 (19%) |
| N stage | N = 26 |
| N0 | 1 (4%) |
| N1 | 9 (34%) |
| N2 | 2 (8%) |
| Nx | 14 (54%) |
| M stage | N = 26 |
| M0 | 6 (23%) |
| M1 | 7 (27%) |
| Mx | 13 (50%) |
| Presence of distant metastasis | N = 26 |
| No | 9 (35%) |
| Yes | 17 (65%) |
| Time of metastasis | N = 17 |
| Syncronous | 7 (41%) |
| Metachronous | 10 (59%) |
| Site of Metastasis | N = 17 |
| Lymph nodes | 1 (6%) |
| Adrenal Gland | 2 (12%) |
| Bone | 2 (12%) |
| Liver | 1 (6%) |
| Lung | 5 (29%) |
| Multiple sites | 6 (35%) |
| Size of the tumor | N = 26 |
| median (range cm) | 6 (2.2–10.5) |
| <6 | 11 (42%) |
| ≥6 | 15 (58%) |
| Architectural patterns | N = 26 |
| tubular/solid with confluent solid nests | 12(46%) |
| tubulopapillary | 11(42%) |
| tubulocystic | 2 (8%) |
| Tubular | 1 (4%) |
| Necrosis | N = 26 |
| Yes | 21 (81%) |
| No | 5 (19%) |
| Desmoplasia | N = 26 |
| Yes | 24 (92%) |
| No | 2 (8%) |
| Dysplastic changes in adjacent non-neoplastic collecting ducts | N = 26 |
| Yes | 16 (61%) |
| No | 10 (39%) |
| Intraluminal Mucin | N = 26 |
| Yes | 5 (19%) |
| No | 21 (81%) |
| Hobinal Cells | N = 26 |
| Yes | 4 (15%) |
| No | 22 (85%) |
| Lymphovascular Invasion | N = 26 |
| Yes | 9 (35%) |
| No | 17 (65%) |
| Perineural Invasion | N = 26 |
| Yes | 5 (19%) |
| No | 21 (81%) |
| Pyelonephritis with Glomerulosclerosis | N = 26 |
| Yes | 6 (23%) |
| No | 20 (77%) |
| Sarcomatoid areas | N = 26 |
| Yes | 10 (39%) |
| No | 16 (61%) |
| Rhabdoid Areas | N = 26 |
| Yes | 2 (8%) |
| No | 24 (92%) |
| Presence of squamous cells | N = 26 |
| Yes | 9 (35%) |
| No | 17 (65%) |
| Inflammatory Infiltrate | N = 26 |
| Low (1–25%) | 11 (42%) |
| Moderate (25–60%) | 13 (50%) |
| Strong (>60%) | 2 (8%) |
| HER2 IHC Staining | N = 26 |
| Negative | 20 (77%) |
| Positive | 6 (17%) |
| HER2 Positive IHC Staining | N = 6 |
| 1+ | 1 (17%) |
| 2+ | 3 (50%) |
| 3+ | 2 (33%) |
| ID | HER2_IHC | HER2_FISH | HER2_FISH (Average Copy Number) | HER2_FISH (HER2/CEP1 Ratio) | Overall HER2 Status (Positive/Negative) |
|---|---|---|---|---|---|
| 6_CDC | 2+ | Negative | 2.2 | 1 | Negative |
| 10_CDC | 2+ | Negative | 3 | 1.01 | Negative |
| 9_CDC | 3+ | Positive | 10.85 | 5.63 | Positive |
| 16_CDC | 2+ | Negative | 2.27 | 1.02 | Negative |
| 11_CDC | 3+ | Negative | 3.3 | 1.09 | Positive |
| 25_CDC | 1+ | Negative | 2.12 | 1.08 | Negative |
Publisher’s Note: MDPI stays neutral with regard to jurisdictional claims in published maps and institutional affiliations. |
© 2020 by the authors. Licensee MDPI, Basel, Switzerland. This article is an open access article distributed under the terms and conditions of the Creative Commons Attribution (CC BY) license (http://creativecommons.org/licenses/by/4.0/).
Share and Cite
Costantini, M.; Amoreo, C.A.; Torregrossa, L.; Alì, G.; Munari, E.; Jeronimo, C.; Henrique, R.; Petronilho, S.; Capitanio, U.; Lucianò, R.; et al. Assessment of HER2 Protein Overexpression and Gene Amplification in Renal Collecting Duct Carcinoma: Therapeutic Implication. Cancers 2020, 12, 3345. https://doi.org/10.3390/cancers12113345
Costantini M, Amoreo CA, Torregrossa L, Alì G, Munari E, Jeronimo C, Henrique R, Petronilho S, Capitanio U, Lucianò R, et al. Assessment of HER2 Protein Overexpression and Gene Amplification in Renal Collecting Duct Carcinoma: Therapeutic Implication. Cancers. 2020; 12(11):3345. https://doi.org/10.3390/cancers12113345
Chicago/Turabian StyleCostantini, Manuela, Carla Azzurra Amoreo, Liborio Torregrossa, Greta Alì, Enrico Munari, Carmen Jeronimo, Rui Henrique, Sara Petronilho, Umberto Capitanio, Roberta Lucianò, and et al. 2020. "Assessment of HER2 Protein Overexpression and Gene Amplification in Renal Collecting Duct Carcinoma: Therapeutic Implication" Cancers 12, no. 11: 3345. https://doi.org/10.3390/cancers12113345
APA StyleCostantini, M., Amoreo, C. A., Torregrossa, L., Alì, G., Munari, E., Jeronimo, C., Henrique, R., Petronilho, S., Capitanio, U., Lucianò, R., Suardi, N., Landi, M. T., Anceschi, U., Brassetti, A., Fazio, V. M., Gallucci, M., Simone, G., Sentinelli, S., & Poeta, M. L. (2020). Assessment of HER2 Protein Overexpression and Gene Amplification in Renal Collecting Duct Carcinoma: Therapeutic Implication. Cancers, 12(11), 3345. https://doi.org/10.3390/cancers12113345

