Advanced Fusion Imaging and Contrast-Enhanced Imaging (CT/MRI–CEUS) in Oncology
Simple Summary
Abstract
1. Introduction
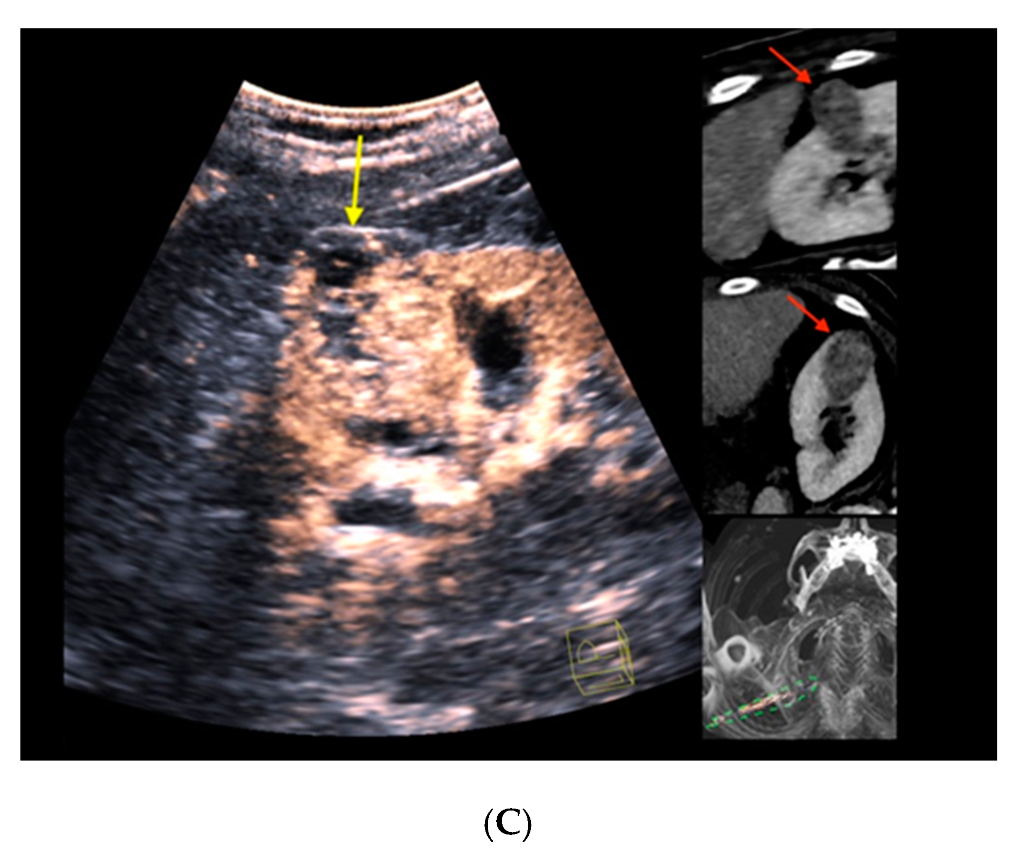
2. Results
3. Discussion
4. Materials and Methods
5. Conclusions
Supplementary Materials
Author Contributions
Funding
Conflicts of Interest
References
- Puylaert, J.B. Ultrasound of acute GI tract conditions. Eur. Radiol. 2001, 11, 1867–1877. [Google Scholar] [CrossRef]
- Hollerweger, A.; Maconi, G.; Ripolles, T.; Nylund, K.; Higginson, A.; Serra, C.; Dietrich, C.F.; Dirks, K.; Gilja, O.H. Gastrointestinal Ultrasound (GIUS) in Intestinal Emergencies-An EFSUMB Position Paper. Ultraschall Med. 2020. [Google Scholar] [CrossRef]
- Dirks, K.; Calabrese, E.; Dietrich, C.F.; Gilja, O.H.; Hausken, T.; Higginson, A.; Hollerweger, A.; Maconi, G.; Maaser, C.; Nuernberg, D.; et al. EFSUMB Position Paper: Recommendations for Gastrointestinal Ultrasound (GIUS) in Acute Appendicitis and Diverticulitis. Ultraschall Med. 2019, 40, 163–175. [Google Scholar] [CrossRef]
- Marrero, J.A.; Kulik, L.M.; Sirlin, C.B.; Zhu, A.X.; Finn, R.S.; Abecassis, M.M.; Roberts, L.R.; Heimbach, J.K. Diagnosis, Staging, and Management of Hepatocellular Carcinoma: 2018 Practice Guidance by the American Association for the Study of Liver Diseases. Hepatology 2018, 68, 723–750. [Google Scholar] [CrossRef]
- Rossi, S.H.; Klatte, T.; Usher-Smith, J.; Stewart, G.D. Epidemiology and screening for renal cancer. World J. Urol. 2018, 36, 1341–1353. [Google Scholar] [CrossRef]
- Strobel, D.; Seitz, K.; Blank, W.; Schuler, A.; Dietrich, C.F.; von Herbay, A.; Friedrich-Rust, M.; Bernatik, T. Tumor-specific vascularization pattern of liver metastasis, hepatocellular carcinoma, hemangioma and focal nodular hyperplasia in the differential diagnosis of 1349 liver lesions in contrast-enhanced ultrasound (CEUS). Ultraschall Med. 2009, 30, 376–382. [Google Scholar] [CrossRef]
- Piscaglia, F.; Bolondi, L. The safety of Sonovue in abdominal applications: Retrospective analysis of 23188 investigations. Ultrasound Med. Biol. 2006, 32, 1369–1375. [Google Scholar] [CrossRef]
- Peterson, C.M.; McNamara, M.M.; Kamel, I.R.; Al-Refaie, W.B.; Arif-Tiwari, H.; Cash, B.D.; Chernyak, V.; Goldstein, A.; Grajo, J.R. ACR Appropriateness criteria® Right Upper Quadrant Pain. J. Am. Coll. Radiol. 2019, 16, S235–S243. [Google Scholar] [CrossRef] [PubMed]
- Galgano, S.J.; McNamara, M.M.; Peterson, C.M.; Kim, D.H.; Fowler, K.J.; Camacho, M.A.; Cash, B.D.; Chang, K.J.; Feig, B.W. ACR Appropriateness criteria® Left Lower Quadrant Pain-Suspected Diverticulitis. J. Am. Coll. Radiol. 2019, 16, S141–S149. [Google Scholar] [CrossRef] [PubMed]
- Scheirey, C.D.; Fowler, K.J.; Therrien, J.A.; Kim, D.H.; Al-Refaie, W.B.; Camacho, M.A.; Cash, B.D.; Chang, K.J.; Garcia, E.M. ACR Appropriateness criteria® Acute Nonlocalized Abdominal Pain. J. Am. Coll. Radiol. 2018, 15, S217–S231. [Google Scholar] [CrossRef] [PubMed]
- Berland, L.L.; Silverman, S.G.; Gore, R.M.; Mayo-Smith, W.W.; Megibow, A.J.; Yee, J.; Brink, J.A.; Baker, M.E.; Federle, M.P.; Foley, W.D.; et al. Managing incidental findings on abdominal CT: White paper of the ACR incidental findings committee. J. Am. Coll. Radiol. 2010, 7, 754–773. [Google Scholar] [CrossRef] [PubMed]
- European Society of Radiology. Abdominal applications of ultrasound fusion imaging technique: Liver, kidney, and pancreas. Insights Imaging 2019, 10, 6. [Google Scholar] [CrossRef]
- Jung, E.M.; Schreyer, A.G.; Schacherer, D.; Menzel, C.; Farkas, S.; Loss, M.; Feuerbach, S.; Zorger, N.; Fellner, C. New real-time image fusion technique for characterization of tumor vascularisation and tumor perfusion of liver tumors with contrast-enhanced ultrasound, spiral CT or MRI: First results. Clin. Hemorheol. Microcirc. 2009, 43, 57–69. [Google Scholar] [CrossRef] [PubMed]
- Kloth, C.; Kratzer, W.; Schmidberger, J.; Beer, M.; Clevert, D.A.; Graeter, T. Ultrasound 2020—Diagnostics & Therapy: On the Way to Multimodal Ultrasound: Contrast-Enhanced Ultrasound (CEUS), Microvascular Doppler Techniques, Fusion Imaging, Sonoelastography, Interventional Sonography. Rofo 2020. [Google Scholar] [CrossRef]
- Rubenthaler, J.; Wilson, S.; Clevert, D.A. Multislice computed tomography/contrast-enhanced ultrasound image fusion as a tool for evaluating unclear renal cysts. Ultrasonography. 2019, 38, 181–187. [Google Scholar] [CrossRef] [PubMed]
- Zhong-Zhen, S.; Kai, L.; Rong-Qin, Z.; Er-Jiao, X.; Ting, Z.; Ao-Hua, Z.; Shu-Fang, Y.; Xu-Qi, H. A feasibility study for determining ablative margin with 3D-CEUS-CT/MR image fusion after radiofrequency ablation of hepatocellular carcinoma. Ultraschall Med. 2012, 33, E250–E255. [Google Scholar] [CrossRef]
- Bo, X.W.; Xu, H.X.; Guo, L.H.; Sun, L.P.; Li, X.L.; Zhao, C.K.; He, Y.P.; Liu, B.J.; Li, D.D.; Zhang, K.; et al. Ablative safety margin depicted by fusion imaging with post-treatment contrast-enhanced ultrasound and pre-treatment CECT/CEMRI after radiofrequency ablation for liver cancers. Br. J. Radiol. 2017, 90, 20170063. [Google Scholar] [CrossRef]
- Bo, X.W.; Xu, H.X.; Wang, D.; Guo, L.H.; Sun, L.P.; Li, X.L.; Zhao, C.K.; He, Y.P.; Liu, B.J.; Li, D.D.; et al. Fusion imaging of contrast-enhanced ultrasound and contrast-enhanced CT or MRI before radiofrequency ablation for liver cancers. Br. J. Radiol. 2016, 89, 20160379. [Google Scholar] [CrossRef]
- Clevert, D.A.; Helck, A.; D’Anastasi, M.; Gurtler, V.; Sommer, W.H.; Meimarakis, G.; Weidenhagen, R.; Reiser, M. Improving the follow up after EVAR by using ultrasound image fusion of CEUS and MS-CT. Clin. Hemorheol. Microcirc. 2011, 49, 91–104. [Google Scholar] [CrossRef]
- Zimmermann, H.; Rubenthaler, J.; Paprottka, P.; Paprottka, K.J.; Reiser, M.; Clevert, D.A. Feasability of contrast-enhanced ultrasound with image fusion of CEUS and MS-CT for endovascular grafting in infrarenal abdominal aortic aneurysm in a single patient. Clin. Hemorheol. Microcirc. 2016, 64, 711–719. [Google Scholar] [CrossRef]
- Sherman, M. Surveillance for hepatocellular carcinoma. Best Pract. Res. Clin. Gastroenterol. 2014, 28, 783–793. [Google Scholar] [CrossRef] [PubMed]
- Park, B.K.; Kim, B.; Kim, S.H.; Ko, K.; Lee, H.M.; Choi, H.Y. Assessment of cystic renal masses based on Bosniak classification: Comparison of CT and contrast-enhanced US. Eur. J. Radiol. 2007, 61, 310–314. [Google Scholar] [CrossRef] [PubMed]
- Villanueva, A. Hepatocellular Carcinoma. N. Engl. J. Med. 2019, 380, 1450–1462. [Google Scholar] [CrossRef]
- Forner, A.; Reig, M.; Bruix, J. Hepatocellular carcinoma. Lancet 2018, 391, 1301–1314. [Google Scholar] [CrossRef]
- Singal, A.; Volk, M.L.; Waljee, A.; Salgia, R.; Higgins, P.; Rogers, M.A.; Marrero, J.A. Meta-analysis: Surveillance with ultrasound for early-stage hepatocellular carcinoma in patients with cirrhosis. Aliment. Pharmacol. Ther. 2009, 30, 37–47. [Google Scholar] [CrossRef]
- European Association For The Study Of The Liver. EASL Clinical Practice Guidelines: Management of hepatocellular carcinoma. J. Hepatol. 2018, 69, 182–236. [Google Scholar] [CrossRef]
- Chernyak, V.; Fowler, K.J.; Kamaya, A.; Kielar, A.Z.; Elsayes, K.M.; Bashir, M.R.; Kono, Y.; Do, R.K.; Mitchell, D.G.; Singal, A.G.; et al. Liver Imaging Reporting and Data System (LI-RADS) Version 2018: Imaging of Hepatocellular Carcinoma in At-Risk Patients. Radiology 2018, 289, 816–830. [Google Scholar] [CrossRef]
- Roberts, L.R.; Sirlin, C.B.; Zaiem, F.; Almasri, J.; Prokop, L.J.; Heimbach, J.K.; Murad, M.H.; Mohammed, K. Imaging for the diagnosis of hepatocellular carcinoma: A systematic review and meta-analysis. Hepatology 2018, 67, 401–421. [Google Scholar] [CrossRef]
- Seitz, K.; Strobel, D.; Bernatik, T.; Blank, W.; Friedrich-Rust, M.; Herbay, A.; Dietrich, C.F.; Strunk, H.; Kratzer, W.; Schuler, A. Contrast-Enhanced Ultrasound (CEUS) for the characterization of focal liver lesions—prospective comparison in clinical practice: CEUS vs. CT (DEGUM multicenter trial). Parts of this manuscript were presented at the Ultrasound Dreilandertreffen 2008, Davos. Ultraschall Med. 2009, 30, 383–389. [Google Scholar] [CrossRef]
- Strobel, D.; Seitz, K.; Blank, W.; Schuler, A.; Dietrich, C.; von Herbay, A.; Friedrich-Rust, M.; Kunze, G.; Becker, D.; Will, U.; et al. Contrast-enhanced ultrasound for the characterization of focal liver lesions—diagnostic accuracy in clinical practice (DEGUM multicenter trial). Ultraschall Med. 2008, 29, 499–505. [Google Scholar] [CrossRef]
- Schwarze, V.; Marschner, C.; Volckers, W.; Grosu, S.; Negrao de Figueiredo, G.; Rubenthaler, J.; Clevert, D.A. Diagnostic value of contrast-enhanced ultrasound versus computed tomography for hepatocellular carcinoma: A retrospective, single-center evaluation of 234 patients. J. Int. Med. Res. 2020, 48, 300060520930151. [Google Scholar] [CrossRef] [PubMed]
- Moudgil, S.; Kalra, N.; Prabhakar, N.; Dhiman, R.K.; Behera, A.; Chawla, Y.K.; Khandelwal, N. Comparison of Contrast Enhanced Ultrasound With Contrast Enhanced Computed Tomography for the Diagnosis of Hepatocellular Carcinoma. J. Clin. Exp. Hepatol. 2017, 7, 222–229. [Google Scholar] [CrossRef] [PubMed]
- Choi, M.H.; Choi, J.I.; Lee, Y.J.; Park, M.Y.; Rha, S.E.; Lall, C. MRI of Small Hepatocellular Carcinoma: Typical Features Are Less Frequent Below a Size Cutoff of 1.5 cm. Am. J. Roentgenol. 2017, 208, 544–551. [Google Scholar] [CrossRef] [PubMed]
- Tanaka, H.; Iijima, H.; Nouso, K.; Aoki, N.; Iwai, T.; Takashima, T.; Sakai, Y.; Aizawa, N.; Iwata, K.; Ikeda, N.; et al. Cost-effectiveness analysis on the surveillance for hepatocellular carcinoma in liver cirrhosis patients using contrast-enhanced ultrasonography. Hepatol. Res. 2012, 42, 376–384. [Google Scholar] [CrossRef]
- Park, J.W.; Lee, J.S.; Suh, K.S.; Chung, J.W.; Seong, J.; Kim, J.H.; Lee, J.H. 2018 Korean Liver Cancer Association-National Cancer Center Korea Practice Guidelines for the Management of Hepatocellular Carcinoma. Gut Liver 2019, 13, 227–299. [Google Scholar] [CrossRef]
- Omata, M.; Cheng, A.L.; Kokudo, N.; Kudo, M.; Lee, J.M.; Jia, J.; Tateishi, R.; Han, K.H.; Chawla, Y.K.; Shiina, S.; et al. Asia-Pacific clinical practice guidelines on the management of hepatocellular carcinoma: A 2017 update. Hepatol. Int. 2017, 11, 317–370. [Google Scholar] [CrossRef]
- Dietrich, C.F.; Nolsoe, C.P.; Barr, R.G.; Berzigotti, A.; Burns, P.N.; Cantisani, V.; Chammas, M.C.; Chaubal, N.; Choi, B.I.; Clevert, D.A.; et al. Guidelines and Good Clinical Practice Recommendations for Contrast Enhanced Ultrasound (CEUS) in the Liver-Update 2020-WFUMB in Cooperation with EFSUMB, AFSUMB, AIUM, and FLAUS. Ultraschall Med. 2020. [Google Scholar] [CrossRef]
- Dong, Y.; Wang, W.P.; Mao, F.; Ji, Z.B.; Huang, B.J. Application of imaging fusion combining contrast-enhanced ultrasound and magnetic resonance imaging in detection of hepatic cellular carcinomas undetectable by conventional ultrasound. J. Gastroenterol Hepatol. 2016, 31, 822–828. [Google Scholar] [CrossRef]
- Ewertsen, C.; Henriksen, B.M.; Torp-Pedersen, S.; Bachmann Nielsen, M. Characterization by biopsy or CEUS of liver lesions guided by image fusion between ultrasonography and CT, PET/CT or MRI. Ultraschall Med. 2011, 32, 191–197. [Google Scholar] [CrossRef]
- Clevert, D.A.; Paprottka, P.M.; Helck, A.; Reiser, M.; Trumm, C.G. Image fusion in the management of thermal tumor ablation of the liver. Clin. Hemorheol. Microcirc. 2012, 52, 205–216. [Google Scholar] [CrossRef]
- Min, J.H.; Lim, H.K.; Lim, S.; Kang, T.W.; Song, K.D.; Choi, S.Y.; Rhim, H.; Lee, M.W. Radiofrequency ablation of very-early-stage hepatocellular carcinoma inconspicuous on fusion imaging with B-mode US: Value of fusion imaging with contrast-enhanced US. Clin. Mol. Hepatol. 2014, 20, 61–70. [Google Scholar] [CrossRef] [PubMed]
- Li, K.; Su, Z.; Xu, E.; Huang, Q.; Zeng, Q.; Zheng, R. Evaluation of the ablation margin of hepatocellular carcinoma using CEUS-CT/MR image fusion in a phantom model and in patients. BMC. Cancer 2017, 17, 61. [Google Scholar] [CrossRef]
- Song, K.D.; Lee, M.W.; Rhim, H.; Cha, D.I.; Chong, Y.; Lim, H.K. Fusion imaging-guided radiofrequency ablation for hepatocellular carcinomas not visible on conventional ultrasound. AJR. Am. J. Roentgenol. 2013, 201, 1141–1147. [Google Scholar] [CrossRef] [PubMed]
- Bhatt, J.R.; Finelli, A. Landmarks in the diagnosis and treatment of renal cell carcinoma. Nat. Rev. Urol. 2014, 11, 517–525. [Google Scholar] [CrossRef] [PubMed]
- Bosniak, M.A. Problems in the radiologic diagnosis of renal parenchymal tumors. Urol. Clin. North. Am. 1993, 20, 217–230. [Google Scholar]
- Schwarze, V.; Marschner, C.; Negrao de Figueiredo, G.; Knosel, T.; Rubenthaler, J.; Clevert, D.A. Single-center study: The diagnostic performance of contrast-enhanced ultrasound (CEUS) for assessing renal oncocytoma. Scand. J. Urol. 2020. [Google Scholar] [CrossRef]
- Bosniak, M.A. The current radiological approach to renal cysts. Radiology 1986, 158, 1–10. [Google Scholar] [CrossRef]
- Bosniak, M.A. The Bosniak renal cyst classification: 25 years later. Radiology 2012, 262, 781–785. [Google Scholar] [CrossRef]
- Silverman, S.G.; Pedrosa, I.; Ellis, J.H.; Hindman, N.M.; Schieda, N.; Smith, A.D.; Remer, E.M.; Shinagare, A.B.; Curci, N.E.; Raman, S.S.; et al. Bosniak Classification of Cystic Renal Masses, Version 2019: An Update Proposal and Needs Assessment. Radiology 2019, 292, 475–488. [Google Scholar] [CrossRef]
- Israel, G.M.; Hindman, N.; Bosniak, M.A. Evaluation of cystic renal masses: Comparison of CT and MR imaging by using the Bosniak classification system. Radiology 2004, 231, 365–371. [Google Scholar] [CrossRef]
- Pedrosa, I.; Chou, M.T.; Ngo, L.; R, H.B.; Genega, E.M.; Galaburda, L.; DeWolf, W.C.; Rofsky, N.M. MR classification of renal masses with pathologic correlation. Eur. Radiol. 2008, 18, 365–375. [Google Scholar] [CrossRef] [PubMed]
- Lan, D.; Qu, H.C.; Li, N.; Zhu, X.W.; Liu, Y.L.; Liu, C.L. The Value of Contrast-Enhanced Ultrasonography and Contrast-Enhanced CT in the Diagnosis of Malignant Renal Cystic Lesions: A Meta-Analysis. PLoS ONE 2016, 11, e0155857. [Google Scholar] [CrossRef] [PubMed]
- Sevcenco, S.; Spick, C.; Helbich, T.H.; Heinz, G.; Shariat, S.F.; Klingler, H.C.; Rauchenwald, M.; Baltzer, P.A. Malignancy rates and diagnostic performance of the Bosniak classification for the diagnosis of cystic renal lesions in computed tomography-a systematic review and meta-analysis. Eur. Radiol. 2017, 27, 2239–2247. [Google Scholar] [CrossRef]
- Zhou, L.; Tang, L.; Yang, T.; Chen, W. Comparison of contrast-enhanced ultrasound with MRI in the diagnosis of complex cystic renal masses: A meta-analysis. Acta Radiol. 2018, 59, 1254–1263. [Google Scholar] [CrossRef]
- Rubenthaler, J.; Negrao de Figueiredo, G.; Mueller-Peltzer, K.; Clevert, D.A. Evaluation of renal lesions using contrast-enhanced ultrasound (CEUS); a 10-year retrospective European single-centre analysis. Eur. Radiol. 2018, 28, 4542–4549. [Google Scholar] [CrossRef]
- Marschner, C.A.; Ruebenthaler, J.; Schwarze, V.; Negrao de Figueiredo, G.; Zhang, L.; Clevert, D.A. Comparison of computed tomography (CT), magnetic resonance imaging (MRI) and contrast-enhanced ultrasound (CEUS) in the evaluation of unclear renal lesions. Rofo 2020. [Google Scholar] [CrossRef]
- Edenberg, J.; Gloersen, K.; Osman, H.A.; Dimmen, M.; Berg, G.V. The role of contrast-enhanced ultrasound in the classification of CT-indeterminate renal lesions. Scand. J. Urol. 2016, 50, 445–451. [Google Scholar] [CrossRef]
- Lerchbaumer, M.H.; Putz, F.J.; Rubenthaler, J.; Rogasch, J.; Jung, E.M.; Clevert, D.A.; Hamm, B.; Makowski, M.; Fischer, T. Contrast-enhanced ultrasound (CEUS) of cystic renal lesions in comparison to CT and MRI in a multicenter setting. Clin. Hemorheol. Microcirc. 2020. [Google Scholar] [CrossRef]
- Rubenthaler, J.; Bogner, F.; Reiser, M.; Clevert, D.A. Contrast-Enhanced Ultrasound (CEUS) of the Kidneys by Using the Bosniak Classification. Ultraschall Med. 2016, 37, 234–251. [Google Scholar] [CrossRef]
- Helck, A.; D’Anastasi, M.; Notohamiprodjo, M.; Thieme, S.; Sommer, W.; Reiser, M.; Clevert, D.A. Multimodality imaging using ultrasound image fusion in renal lesions. Clin. Hemorheol. Microcirc. 2012, 50, 79–89. [Google Scholar] [CrossRef]
- Rubenthaler, J.; Paprottka, K.J.; Marcon, J.; Reiser, M.; Clevert, D.A. MRI and contrast enhanced ultrasound (CEUS) image fusion of renal lesions. Clin. Hemorheol. Microcirc. 2016, 64, 457–466. [Google Scholar] [CrossRef] [PubMed]
- Rubenthaler, J.; Cecatka, S.; Froelich, M.F.; Stechele, M.; Marschner, C.; Sabel, B.O.; Bogner, F.; Schnitzer, M.L.; Overhoff, D.; Grosse Hokamp, N.; et al. Contrast-Enhanced Ultrasound (CEUS) for Follow-Up of Bosniak 2F Complex Renal Cystic Lesions-A 12-Year Retrospective Study in a Specialized European Center. Cancers (Basel) 2020, 12, 2170. [Google Scholar] [CrossRef] [PubMed]
- Schwarze, V.; Marschner, C.; Negrao de Figueiredo, G.; Rubenthaler, J.; Clevert, D.A. Single-Center Study: Evaluating the Diagnostic Performance and Safety of Contrast-Enhanced Ultrasound (CEUS) in Pregnant Women to Assess Hepatic Lesions. Ultraschall Med. 2019, 41, 29–35. [Google Scholar] [CrossRef] [PubMed]
- Schwarze, V.; Froelich, M.F.; Marschner, C.; Knosel, T.; Rubenthaler, J.; Clevert, D.A. Safe and pivotal approaches using contrast-enhanced ultrasound for the diagnostic workup of non-obstetric conditions during pregnancy, a single-center experience. Arch. Gynecol Obstet. 2020, 1–10. [Google Scholar] [CrossRef] [PubMed]
- Sidhu, P.S.; Huang, D.Y.; Fang, C. Contrast enhanced ultrasound (CEUS) in Pregnancy: Is this the last frontier for microbubbles? Ultraschall Med. 2020, 41, 8–11. [Google Scholar] [CrossRef]
- Schwarze, V.; Marschner, C.; Negrao de Figueiredo, G.; Mueller-Peltzer, K.; Neumann, J.; Rubenthaler, J.; Clevert, D.A. SonoVue(R) Does Not Appear to Cross the Placenta as Observed During an Examination Aimed at Confirming a Diagnosis of Liver Echinococcosis in a Pregnant Woman. Ultraschall Med. 2019, 41, 146–147. [Google Scholar] [CrossRef]
- Brenner, D.J.; Hall, E.J. Computed tomography—An increasing source of radiation exposure. N. Engl. J. Med. 2007, 357, 2277–2284. [Google Scholar] [CrossRef] [PubMed]
- Little, M.P.; Wakeford, R.; Tawn, E.J.; Bouffler, S.D.; Berrington de Gonzalez, A. Risks associated with low doses and low dose rates of ionizing radiation: Why linearity may be (almost) the best we can do. Radiology 2009, 251, 6–12. [Google Scholar] [CrossRef] [PubMed]
- Gulani, V.; Calamante, F.; Shellock, F.G.; Kanal, E.; Reeder, S.B. Gadolinium deposition in the brain: Summary of evidence and recommendations. Lancet Neurol. 2017, 16, 564–570. [Google Scholar] [CrossRef]
- Gassert, F.; Schnitzer, M.; Kim, S.H.; Kunz, W.G.; Ernst, B.P.; Clevert, D.A.; Norenberg, D.; Rubenthaler, J.; Froelich, M.F. Comparison of Magnetic Resonance Imaging and Contrast-Enhanced Ultrasound as Diagnostic Options for Unclear Cystic Renal Lesions: A Cost-Effectiveness Analysis. Ultraschall Med. 2020. [Google Scholar] [CrossRef]
- Seitz, K.; Strobel, D. A Milestone: Approval of CEUS for Diagnostic Liver Imaging in Adults and Children in the USA. Ultraschall Med. 2016, 37, 229–232. [Google Scholar] [CrossRef] [PubMed]





| CT/MRI | Fusion Imaging |
|---|---|
| Indeterminate lesions (n = 11) | Uncomplicated liver cysts (n = 4, 36%) Hemangioma (n = 3, 27%) Focal nodular hyperplasia (FNH) (n = 2, 18%) Hemorrhagic liver cyst (n = 1, 9%) Vascular pseudolesion (n = 1, 9%) |
| Suspicious lesions (n = 14) | Malignant lesions (n = 5, 36%)
Focal nodular hyperplasia (FNH) (n = 2, 14%) Uncomplicated liver cyst (n = 1, 7%) No malignancy (n = 1, 7%) No specific correlation (n = 1, 7%) |
| Hemangioma (n = 2) | Hemangioma (n = 2, 100%) |
| Successful ablation of hepatic metastasis of ovarian carcinoma (n = 1) | Successful ablation of hepatic metastasis of ovarian carcinoma (n = 1, 100%) |
| Liver abscess (n = 1) | Liver abscess (n = 1, 100%) |
| Focal calcification (n = 1) | Focal calcification (n = 1, 100%) |
| Complicated liver cysts (n = 2) | Uncomplicated cyst (n = 1, 50%) Hemorrhagic liver cyst (n = 1, 50%) |
| CT/MRI | Fusion Imaging |
|---|---|
| Indeterminate lesions (n = 20) | Bosniak 1 lesions (n = 6, 30%) Bosniak 2 lesion (n = 1, 5%) Bosniak 2F lesions (n = 8, 40%) Bosniak 3 lesion (n = 1, 5%) Angiomyolipoma (n = 1, 5%) Renal infarction (n = 1, 5%) Pyelonephritis (n = 1, 5%) Indeterminate, benign lesion (histopathologically confirmed as angiomyolipoma) (n = 1, 5%) |
| Suspicious lesions (n = 30) | Bosniak 1 lesions (13%) Bosniak 2 lesions (n = 3, 10%) Bosniak 2F lesions (n = 4, 13%) Bosniak 3 lesions (n = 6, 20%) Bosniak 4 lesions (n = 13, 43%) Angiomyolipoma (n = 1, 3%) No specific correlation (n = 1, 3%) |
| Uncomplicated renal cysts (n = 3) | Bosniak 1 lesion (n = 1, 33%) Bosniak 2F lesion (n = 1, 33%) Bosniak 3 lesion (n = 1, 33%) |
| Angiomyolipoma | Angiomyolipoma (n = 1, 100%) |
| Hemorrhagic renal cysts | Bosniak 1 lesion (n = 1, 50%) Bosniak 2F lesion (n = 1, 50%) |
| Renal infarction | Renal infarction (n = 1, 100%) |
| Hematoma | Hematoma (n = 1, 100%) |
| Parenchymal defect after Cyberknife treatment | Parenchymal defect after Cyberknife treatment (n = 1, 100%) |
| Recurrence of clear-cell renal cell carcinoma (RCC) (n = 1) | Recurrence of clear-cell renal cell carcinoma (RCC) (n = 1, 100%) |
© 2020 by the authors. Licensee MDPI, Basel, Switzerland. This article is an open access article distributed under the terms and conditions of the Creative Commons Attribution (CC BY) license (http://creativecommons.org/licenses/by/4.0/).
Share and Cite
Schwarze, V.; Rübenthaler, J.; Marschner, C.; Fabritius, M.P.; Rueckel, J.; Fink, N.; Puhr-Westerheide, D.; Gresser, E.; Froelich, M.F.; Schnitzer, M.L.; et al. Advanced Fusion Imaging and Contrast-Enhanced Imaging (CT/MRI–CEUS) in Oncology. Cancers 2020, 12, 2821. https://doi.org/10.3390/cancers12102821
Schwarze V, Rübenthaler J, Marschner C, Fabritius MP, Rueckel J, Fink N, Puhr-Westerheide D, Gresser E, Froelich MF, Schnitzer ML, et al. Advanced Fusion Imaging and Contrast-Enhanced Imaging (CT/MRI–CEUS) in Oncology. Cancers. 2020; 12(10):2821. https://doi.org/10.3390/cancers12102821
Chicago/Turabian StyleSchwarze, Vincent, Johannes Rübenthaler, Constantin Marschner, Matthias Philipp Fabritius, Johannes Rueckel, Nicola Fink, Daniel Puhr-Westerheide, Eva Gresser, Matthias Frank Froelich, Moritz Ludwig Schnitzer, and et al. 2020. "Advanced Fusion Imaging and Contrast-Enhanced Imaging (CT/MRI–CEUS) in Oncology" Cancers 12, no. 10: 2821. https://doi.org/10.3390/cancers12102821
APA StyleSchwarze, V., Rübenthaler, J., Marschner, C., Fabritius, M. P., Rueckel, J., Fink, N., Puhr-Westerheide, D., Gresser, E., Froelich, M. F., Schnitzer, M. L., Große Hokamp, N., Afat, S., Staehler, M., Geyer, T., & Clevert, D.-A. (2020). Advanced Fusion Imaging and Contrast-Enhanced Imaging (CT/MRI–CEUS) in Oncology. Cancers, 12(10), 2821. https://doi.org/10.3390/cancers12102821

