AXL Is a Novel Predictive Factor and Therapeutic Target for Radioactive Iodine Refractory Thyroid Cancer
Abstract
1. Introduction
2. Results
2.1. AXL Is Expressed in Human Thyroid Cancerous Specimens, but Not in Normal Thyroid Tissues
2.2. AXL Expression Correlates with Aggressiveness in Thyroid Carcinoma Tissues
2.3. Concurrent Presence of BRAF V600E Mutation and High AXL Expression Significantly Associates with RAI Refractoriness and Disease Recurrence/Persistence in Thyroid Carcinomas
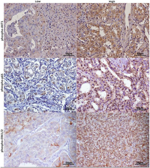
2.4. AXL Levels Correlate with Signaling Protein Activation
2.5. AXL Activation Results in AKT1 and NF-kB p65 Phosphorylation and Protection from Apoptosis in TC Cell Lines
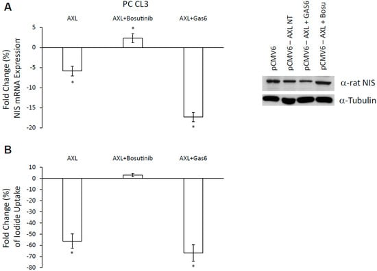
2.6. AXL Expression and/or Activation Status Significantly Affects NIS Expression and Function in TC Cells
3. Discussion
4. Materials and Methods
4.1. Patients and Specimens
4.2. BRAF V600E Mutation Analysis
4.3. Tissue Microarray Building
4.4. Immunohistochemical Analysis
4.5. FISH Analysis
4.6. Cell Cultures
4.7. Protein Studies
4.8. TUNEL Assay
4.9. RNA, cDNA and Real-Time-PCR
4.10. Iodide Uptake Assay
4.11. Statistical Analysis
5. Conclusions
Supplementary Materials
Author Contributions
Funding
Conflicts of Interest
References
- Fagin, J.A.; Wells, S.A., Jr. Biologic and Clinical Perspectives on Thyroid Cancer. N. Engl. J. Med. 2016, 375, 1054–1067. [Google Scholar] [CrossRef] [PubMed]
- Nikiforov, Y.E.; Nikiforova, M.N. Molecular genetics and diagnosis of thyroid cancer. Nat. Rev. Endocrinol. 2011, 7, 569–580. [Google Scholar] [CrossRef] [PubMed]
- Jin, A.; Xu, J.; Wang, Y. The role of TERT promoter mutations in postoperative and preoperative diagnosis and prognosis in thyroid cancer. Medicine 2018, 97, e11548. [Google Scholar] [CrossRef] [PubMed]
- Vouri, M.; Hafizi, S. TAM Receptor Tyrosine Kinases in Cancer Drug Resistance. Cancer Res. 2017, 77, 2775–2778. [Google Scholar] [CrossRef] [PubMed]
- Gay, C.M.; Balaji, K.; Byers, L.A. Giving AXL the axe: Targeting AXL in human malignancy. Br. J. Cancer 2017, 116, 415–423. [Google Scholar] [CrossRef] [PubMed]
- Liu, R.; Gong, M.; Li, X.; Zhou, Y.; Gao, W.; Tulpule, A.; Chaudhary, P.M.; Jung, J.; Gill, P.S. Induction, regulation, and biologic function of Axl receptor tyrosine kinase in Kaposi sarcoma. Blood 2010, 116, 297–305. [Google Scholar] [CrossRef]
- Avilla, E.; Guarino, V.; Visciano, C.; Liotti, F.; Svelto, M.; Krishnamoorthy, G.; Franco, R.; Melillo, R.M. Activation of TYRO3/AXL Tyrosine Kinase Receptors in Thyroid Cancer. Cancer Res. 2011, 71, 1792–1804. [Google Scholar] [CrossRef]
- Neubauer, A.; Fiebeler, A.; Graham, D.K.; O’Bryan, J.P.; Schmidt, C.A.; Barckow, P.; Serke, S.; Siegert, W.; Snodgrass, H.R.; Huhn, D.; et al. Expression of axl, a transforming receptor tyrosine kinase, in normal and malignant hematopoiesis. Blood 1994, 84, 1931–1941. [Google Scholar]
- Cerami, E.; Gao, J.; Dogrusoz, U.; Gross, B.E.; Sumer, S.O.; Aksoy, B.A.; Jacobsen, A.; Byrne, C.J.; Heuer, M.L.; Larsson, E.; et al. The cBio cancer genomics portal: An open platform for exploring multidimensional cancer genomics data. Cancer Discov. 2012, 2, 401–404. [Google Scholar] [CrossRef]
- Gao, J.; Dogrusoz, U.; Dresdner, G.; Gross, B.; Sun, Y.; Jacobsen, A.; Sinha, R.; Larsson, E.; Cerami, E.; Sander, C.; et al. Integrative analysis of complex cancer genomics and clinical profiles using the cBioPortal. Sci. Signal. 2013, 6, pl1. [Google Scholar] [CrossRef]
- LiVolsi, V.A. Papillary thyroid carcinoma: An update. Mod. Pathol. 2011, 24 (Suppl. 2), S1–S9. [Google Scholar] [CrossRef] [PubMed]
- Roskoski, R. Targeting oncogenic Raf protein-serine/threonine kinases in human cancers. Pharmacol. Res. 2018, 135, 239–258. [Google Scholar] [CrossRef] [PubMed]
- Ruan, G.-X.; Kazlauskas, A. Axl is essential for VEGF-A-dependent activation of PI3K/Akt. EMBO J. 2012, 31, 1692–1703. [Google Scholar] [CrossRef] [PubMed]
- Paccez, J.D.; Vasques, G.J.; Correa, R.G.; Vasconcellos, J.F.; Duncan, K.; Gu, X.; Bhasin, M.; Libermann, T.A.; Zerbini, L.F. The receptor tyrosine kinase Axl is an essential regulator of prostate cancer proliferation and tumor growth and represents a new therapeutic target. Oncogene 2013, 32, 689–698. [Google Scholar] [CrossRef] [PubMed]
- Hasanbasic, I.; Cuerquis, J.; Varnum, B.; Blostein, M.D. Intracellular signaling pathways involved in Gas6-Axl-mediated survival of endothelial cells. Am. J. Physiol. Circ. Physiol. 2004, 287, H1207–H1213. [Google Scholar] [CrossRef] [PubMed]
- Krishnamoorthy, G.P.; Guida, T.; Alfano, L.; Avilla, E.; Santoro, M.; Carlomagno, F.; Melillo, R.M. Molecular Mechanism of 17-Allylamino-17-demethoxygeldanamycin (17-AAG)-induced AXL Receptor Tyrosine Kinase Degradation*. J. Boil. Chem. 2013, 288, 17481–17494. [Google Scholar] [CrossRef]
- Gharbi, S.I.; Zvelebil, M.J.; Shuttleworth, S.J.; Hancox, T.; Saghir, N.; Timms, J.F.; Waterfield, M.D. Exploring the specificity of the PI3K family inhibitor LY294002. Biochem. J. 2007, 404, 15–21. [Google Scholar] [CrossRef]
- Chen, S.; Jiang, S.; Zheng, W.; Tu, B.; Liu, S.; Ruan, H.; Fan, C. RelA/p65 inhibition prevents tendon adhesion by modulating inflammation, cell proliferation, and apoptosis. Cell Death Dis. 2017, 8, e2710. [Google Scholar] [CrossRef]
- D’Agostino, M.; Sponziello, M.; Puppin, C.; Celano, M.; Maggisano, V.; Baldan, F.; Biffoni, M.; Bulotta, S.; Durante, C.; Filetti, S.; et al. Different expression of TSH receptor and NIS genes in thyroid cancer: Role of epigenetics. J. Mol. Endocrinol. 2014, 52, 121–131. [Google Scholar] [CrossRef]
- Dohan, O.; Baloch, Z.; Banrevi, Z.; Livolsi, V.; Carrasco, N. Rapid communication: Predominant intracellular overexpression of the Na(+)/I(-) symporter (NIS) in a large sampling of thyroid cancer cases. J. Clin. Endocrinol. Metab. 2001, 86, 2697–2700. [Google Scholar] [CrossRef]
- Kelkar, M.G.; Senthilkumar, K.; Jadhav, S.; Gupta, S.; Ahn, B.-C.; De, A. Enhancement of human sodium iodide symporter gene therapy for breast cancer by HDAC inhibitor mediated transcriptional modulation. Sci. Rep. 2016, 6, 19341. [Google Scholar] [CrossRef] [PubMed]
- Busaidy, N.L.; Cabanillas, M.E. Differentiated Thyroid Cancer: Management of Patients with Radioiodine Nonresponsive Disease. J. Thyroid. Res. 2012, 2012, 1–12. [Google Scholar] [CrossRef] [PubMed]
- Martinelli, E.; Martini, G.; Cardone, C.; Troiani, T.; Liguori, G.; Vitagliano, D.; Napolitano, S.; Morgillo, F.; Rinaldi, B.; Melillo, R.M.; et al. AXL is an oncotarget in human colorectal cancer. Oncotarget 2015, 6, 23281–23296. [Google Scholar] [CrossRef] [PubMed]
- Stratton, M.R.; Campbell, P.J.; Futreal, P.A. The cancer genome. Nature 2009, 458, 719–724. [Google Scholar] [CrossRef] [PubMed]
- Castellone, M.D.; Guarino, V.; De Falco, V.; Carlomagno, F.; Basolo, F.; Faviana, P.; Kruhoffer, M.; Orntoft, T.; Russell, J.P.; Rothstein, J.L.; et al. Functional expression of the CXCR4 chemokine receptor is induced by RET/PTC oncogenes and is a common event in human papillary thyroid carcinomas. Oncogene 2004, 23, 5958–5967. [Google Scholar] [CrossRef]
- Ohshima, K.; Hatakeyama, K.; Nagashima, T.; Watanabe, Y.; Kanto, K.; Doi, Y.; Ide, T.; Shimoda, Y.; Tanabe, T.; Ohnami, S.; et al. Integrated analysis of gene expression and copy number identified potential cancer driver genes with amplification-dependent overexpression in 1,454 solid tumors. Sci. Rep. 2017, 7, 1546. [Google Scholar] [CrossRef]
- Mudduluru, G.; Allgayer, H. The human receptor tyrosine kinase Axl gene-promoter characterization and regulation of constitutive expression by Sp1, Sp3, and CpG methylation. Biosci. Rep. 2008, 28, 161–176. [Google Scholar] [CrossRef]
- Mudduluru, G.; Ceppi, P.; Kumarswamy, R.; Scagliotti, G.V.; Papotti, M.; Allgayer, H. Regulation of Axl receptor tyrosine kinase expression by miR-34a and miR-199a/b in solid cancer. Oncogene 2011, 30, 2888–2899. [Google Scholar] [CrossRef]
- Ringel, M.D.; Anderson, J.; Souza, S.L.; Burch, H.B.; Tambascia, M.; Shriver, C.D.; Tuttle, R.M. Expression of the Sodium Iodide Symporter and Thyroglobulin Genes Are Reduced in Papillary Thyroid Cancer. Mod. Pathol. 2001, 14, 289–296. [Google Scholar] [CrossRef]
- Pasca di Magliano, M.; Di Lauro, R.; Zannini, M. Pax8 has a key role in thyroid cell differentiation. Proc. Natl. Acad. Sci. USA 2000, 97, 13144–13149. [Google Scholar] [CrossRef]
- Xing, M.; Haugen, B.R.; Schlumberger, M. Progress in molecular-based management of differentiated thyroid cancer. Lancet 2013, 381, 1058–1069. [Google Scholar] [CrossRef]
- Cancer Genome Atlas Research Network. Integrated genomic characterization of papillary thyroid carcinoma. Cell 2014, 159, 676–690. [Google Scholar] [CrossRef] [PubMed]
- Ho, A.L.; Grewal, R.K.; Leboeuf, R.; Sherman, E.J.; Pfister, D.G.; Deandreis, D.; Pentlow, K.S.; Zanzonico, P.B.; Haque, S.; Gavane, S.; et al. Selumetinib-enhanced radioiodine uptake in advanced thyroid cancer. N. Engl. J. Med. 2013, 368, 623–632. [Google Scholar] [CrossRef] [PubMed]
- Nagarajah, J.; Le, M.; Knauf, J.A.; Ferrandino, G.; Montero-Conde, C.; Pillarsetty, N.V.K.; Bolaender, A.; Irwin, C.; Krishnamoorthy, G.P.; Saqcena, M.; et al. Sustained ERK inhibition maximizes responses of BrafV600E thyroid cancers to radioiodine. J. Clin. Investig. 2016, 126, 4119–4124. [Google Scholar] [CrossRef] [PubMed]
- Kogai, T.; Sajid-Crockett, S.; Newmarch, L.S.; Liu, Y.-Y.; A Brent, G. Phosphoinositide-3-kinase inhibition induces sodium/iodide symporter expression in rat thyroid cells and human papillary thyroid cancer cells. J. Endocrinol. 2008, 199, 243–252. [Google Scholar] [CrossRef] [PubMed]
- Smith, V.E.; Read, M.L.; Turnell, A.S.; Watkins, R.J.; Watkinson, J.C.; Lewy, G.D.; Fong, J.C.W.; James, S.R.; Eggo, M.C.; Boelaert, K.; et al. A novel mechanism of sodium iodide symporter repression in differentiated thyroid cancer. J. Cell Sci. 2009, 122, 3393–3402. [Google Scholar] [CrossRef] [PubMed]
- Wachter, S.; Damanakis, A.I.; Elxnat, M.; Roth, S.; Wunderlich, A.; Verburg, F.A.; Fellinger, S.A.; Bartsch, D.K.; Di Fazio, P. Epigenetic Modifications in Thyroid Cancer Cells Restore NIS and Radio-Iodine Uptake and Promote Cell Death. J. Clin. Med. 2018, 7, 61. [Google Scholar] [CrossRef]
- Wu, G.; Ma, Z.; Hu, W.; Wang, D.; Gong, B.; Fan, C.; Jiang, S.; Li, T.; Gao, J.; Yang, Y. Molecular insights of Gas6/TAM in cancer development and therapy. Cell Death Dis. 2017, 8, e2700. [Google Scholar] [CrossRef]
- Haugen, B.R. 2015 American Thyroid Association Management Guidelines for Adult Patients with Thyroid Nodules and Differentiated Thyroid Cancer: What is new and what has changed? Cancer 2017, 123, 372–381. [Google Scholar] [CrossRef]
- Cabanillas, M.; Terris, D.J.; Sabra, M. Information for Clinicians: Approach to the patient with progressive radioactive iodine refractory thyroid cancer- When to use systemic therapy. Thyroid 2017, 27, 987–993. [Google Scholar] [CrossRef]
- Haugen, B.R.; Sawka, A.M.; Alexander, E.K.; Bible, K.C.; Caturegli, P.; Doherty, G.M.; Mandel, S.J.; Morris, J.C.; Nassar, A.; Pacini, F.; et al. American Thyroid Association Guidelines on the Management of Thyroid Nodules and Differentiated Thyroid Cancer Task Force Review and Recommendation on the Proposed Renaming of Encapsulated Follicular Variant Papillary Thyroid Carcinoma Without Invasion to Noninvasive Follicular Thyroid Neoplasm with Papillary-Like Nuclear Features. Thyroid 2017, 27, 481–483. [Google Scholar] [PubMed]
- Liotti, F.; Collina, F.; Pone, E.; La Sala, L.; Franco, R.; Prevete, N.; Melillo, R.M. Interleukin-8, but not the Related Chemokine CXCL1, Sustains an Autocrine Circuit Necessary for the Properties and Functions of Thyroid Cancer Stem Cells. Stem Cells 2017, 35, 135–146. [Google Scholar] [CrossRef] [PubMed]
- Collina, F.; Cerrone, M.; Peluso, V.; De Laurentiis, M.; Caputo, R.; De Cecio, R.; Liguori, G.; Botti, G.; Cantile, M.; Di Bonito, M. Downregulation of androgen receptor is strongly associated with diabetes in triple negative breast cancer patients. Am. J. Transl. Res. 2016, 8, 3530–3539. [Google Scholar] [PubMed]
- D’Esposito, V.; Liguoro, D.; Ambrosio, M.R.; Collina, F.; Cantile, M.; Spinelli, R.; Raciti, G.A.; Miele, C.; Valentino, R.; Campiglia, P.; et al. Adipose microenvironment promotes triple negative breast cancer cell invasiveness and dissemination by producing CCL5. Oncotarget 2016, 7, 24495–24509. [Google Scholar] [CrossRef] [PubMed]
- Moretti, S.; Menicali, E.; Nucci, N.; Voce, P.; Colella, R.; Melillo, R.M.; Liotti, F.; Morelli, S.; Fallarino, F.; Macchiarulo, A.; et al. Signal Transducer and Activator of Transcription 1 Plays a Pivotal Role in RET/PTC3 Oncogene-induced Expression of Indoleamine 2,3-Dioxygenase. J. Biol. Chem. 2017, 292, 1785–1797. [Google Scholar] [CrossRef] [PubMed]
- Liotti, F.; De Pizzol, M.; Allegretti, M.; Prevete, N.; Melillo, R.M. Multiple anti-tumor effects of Reparixin on thyroid cancer. Oncotarget 2017, 8, 35946–35961. [Google Scholar] [CrossRef]
- Prevete, N.; Liotti, F.; Illiano, A.; Amoresano, A.; Pucci, P.; De Paulis, A.; Melillo, R.M. Formyl peptide receptor 1 suppresses gastric cancer angiogenesis and growth by exploiting inflammation resolution pathways. OncoImmunology 2017, 6, e1293213. [Google Scholar] [CrossRef]







| Number of Patients with PTC | AXL (n = 102) | p-Value | |
|---|---|---|---|
| Low (n = 63) | High (n = 39) | ||
| Age | |||
| <45 | 36 (60%) | 24 (40%) | 0.661 |
| ≥45 | 27 (64.3%) | 15 (35.7%) | |
| Stage | |||
| I–I | 45 (61.6%) | 28 (38.4%) | 0.968 |
| III–V | 18 (62.1%) | 11 (37.9%) | |
| Tumor size | |||
| T1–2 | 31 (62%) | 19 (38%) | 0.962 |
| T3–4 | 32 (61.5%) | 20 (38.5%) | |
| Nodal status | |||
| N0 | 33 (61.1%) | 21 (38.9%) | 0.885 |
| N1 | 30 (62.5%) | 18 (37.5%) | |
| RAI-R | |||
| No | 63 (70%) | 27 (30%) | <0.0001 *** |
| Yes | 0 (0%) | 12 (100%) | |
| Disease Persistence or Recurrence | |||
| No | 54 (66.7%) | 27 (35.3%) | 0.028 * |
| Yes | 8 (40%) | 12 (60%) | |
| N/A | 1 (100%) | 0 (0%) | |
| Number of Patients with PTC | BRAF V600E Mutation (n = 110) | p-Value | |
|---|---|---|---|
| No (n = 62) | Yes (n = 48) | ||
| Age | |||
| <45 | 35 (54.7%) | 29 (45.3%) | 0.676 |
| ≥45 | 27 (58.7%) | 19 (41.3%) | |
| Stage | |||
| I–II | 43 (55.1%) | 35 (64.9%) | 0.683 |
| III–IV | 19 (59.3%) | 13 (40.7%) | |
| Tumor size | |||
| T1–T2 | 33 (60%) | 22 (40%) | 0.442 |
| T3–T4 | 29 (52.7%) | 26 (47.3%) | |
| Nodal status | |||
| N0 | 34 (55.7%) | 27 (44.3%) | 0.883 |
| N1 | 28 (57.1%) | 21 (42.9%) | |
| RAI-R | |||
| No | 59 (60.8%) | 38 (39.2%) | 0.010 ** |
| Yes | 3 (23.1%) | 10 (76.9%) | |
| Disease Persistence or Recurrence | |||
| No | 53 (60.9%) | 34 (39.1%) | 0.090 |
| Yes | 9 (42.9%) | 13 (57.1%) | |
| N/A | 0 (0%) | 1 (100%) | |
| Mutational Status | AXL (n = 102) | p-Value | |
|---|---|---|---|
| Low (n = 63) | High (n = 39) | ||
| BRAF V600E mutation | |||
| Negative | 37 (64.9%) | 20 (35.1%) | 0.462 |
| Positive | 26 (57.8%) | 19 (42.2%) | |
| Number of Patients with PTC | High AXL Expression and BRAF V600E Mutation (n = 102) | p-Value | |
|---|---|---|---|
| No (n = 83) | Yes (n = 19) | ||
| Age | |||
| <45 | 48 (80%) | 12 (20%) | 0.670 |
| ≥45 | 35 (83.3%) | 7 (16.7%) | |
| Stage | |||
| I–II | 58 (79.5%) | 15 (20.5%) | 0.429 |
| III–IV | 25 (86.2%) | 4 (13.8%) | |
| Tumor size | |||
| T1–T2 | 43 (86%) | 7 (14%) | 0.239 |
| T3–T4 | 40 (76.9%) | 12 (23.1%) | |
| Nodal status | |||
| N0 | 46 (85.2%) | 8 (14.8%) | 0.294 |
| N1 | 37 (77.1%) | 11 (22.9%) | |
| RAI-R | |||
| No | 81 (90%) | 9 (10%) | <0.0001 *** |
| Yes | 2 (16.7%) | 10 (83.3%) | |
| Disease Persistence or Recurrence | |||
| No | 72 (88.9%) | 9 (11.1%) | <0.0001 *** |
| Yes | 10 (50%) | 10 (50%) | |
| N/A | 1 (100%) | 0 (0%) | |
| Signaling Pathways | AXL (n = 102) | p-Value | |
|---|---|---|---|
| Low (n = 63) | High (n = 39) | ||
| phospho-ERK1/2 | |||
| Negative | 10 (45.5%) | 12 (54.7%) | 0.118 |
| Positive | 40 (64.5%) | 22 (35.5%) | |
| N/A | 13 (72.2%) | 5 (27.8%) | |
| phospho-AKT1 | |||
| Low | 48 (66.7%) | 24 (33.3%) | 0.030 * |
| High | 9 (40.9%) | 13 (59.1%) | |
| N/A | 6 (75%) | 2 (25%) | |
| phospho-p65 NF-kB | |||
| Low | 40 (71.4%) | 16 (28.6%) | 0.063 |
| High | 20 (52.6%) | 18 (47.4%) | |
| N/A | 3 (37.5%) | 5 (62.5%) | |
| Number of Patients with PTC | 110 |
|---|---|
| Age | |
| <45 | 64 (58.2%) |
| ≥45 | 46 (41.8%) |
| Sex | |
| Male | 26 (23.6%) |
| Female | 84 (76.4%) |
| Histologic Variants | |
| Classic type | 90 (81.8%) |
| Follicular variant | 20 (18.2%) |
| Tumor size | |
| T1 | 31 (28.2%) |
| T2 | 24 (21.8%) |
| T3 | 53(48.2%) |
| T4 | 2 (1.8%) |
| Nodal status | |
| N0 | 61 (55.5%) |
| N1 | 49 (44.5%) |
| Stage | |
| I | 73 (66.4%) |
| II | 5 (4.5%) |
| III | 23 (20.9%) |
| IV | 9 (8.2%) |
| Disease Recurrence or Progression | |
| No | 87 (79.1%) |
| Yes | 22 (20%) |
| Unknown | 1 (0.9%) |
© 2019 by the authors. Licensee MDPI, Basel, Switzerland. This article is an open access article distributed under the terms and conditions of the Creative Commons Attribution (CC BY) license (http://creativecommons.org/licenses/by/4.0/).
Share and Cite
Collina, F.; La Sala, L.; Liotti, F.; Prevete, N.; La Mantia, E.; Chiofalo, M.G.; Aquino, G.; Arenare, L.; Cantile, M.; Liguori, G.; et al. AXL Is a Novel Predictive Factor and Therapeutic Target for Radioactive Iodine Refractory Thyroid Cancer. Cancers 2019, 11, 785. https://doi.org/10.3390/cancers11060785
Collina F, La Sala L, Liotti F, Prevete N, La Mantia E, Chiofalo MG, Aquino G, Arenare L, Cantile M, Liguori G, et al. AXL Is a Novel Predictive Factor and Therapeutic Target for Radioactive Iodine Refractory Thyroid Cancer. Cancers. 2019; 11(6):785. https://doi.org/10.3390/cancers11060785
Chicago/Turabian StyleCollina, Francesca, Lucia La Sala, Federica Liotti, Nella Prevete, Elvira La Mantia, Maria Grazia Chiofalo, Gabriella Aquino, Laura Arenare, Monica Cantile, Giuseppina Liguori, and et al. 2019. "AXL Is a Novel Predictive Factor and Therapeutic Target for Radioactive Iodine Refractory Thyroid Cancer" Cancers 11, no. 6: 785. https://doi.org/10.3390/cancers11060785
APA StyleCollina, F., La Sala, L., Liotti, F., Prevete, N., La Mantia, E., Chiofalo, M. G., Aquino, G., Arenare, L., Cantile, M., Liguori, G., Di Gennaro, F., Pezzullo, L., Losito, N. S., Vecchio, G., Botti, G., Melillo, R. M., & Franco, R. (2019). AXL Is a Novel Predictive Factor and Therapeutic Target for Radioactive Iodine Refractory Thyroid Cancer. Cancers, 11(6), 785. https://doi.org/10.3390/cancers11060785

