Myoinvasive Pattern as a Prognostic Marker in Low-Grade, Early-Stage Endometrioid Endometrial Carcinoma
Abstract
1. Introduction
2. Results
2.1. Clinicopathological Characteristics
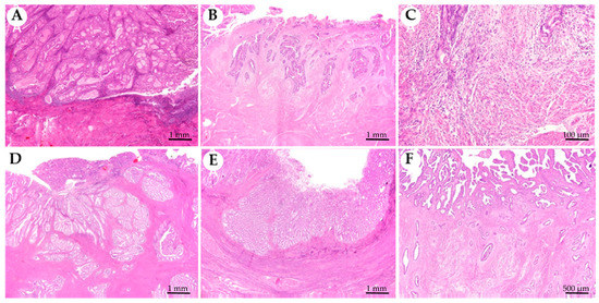
2.2. Myoinvasive Patterns and Microsatellite Instability
2.3. Prognosis
3. Discussion
4. Materials and Methods
4.1. Patients Selection
4.2. Histopathological Analysis
4.3. Tissue Microarray Construction and Immunohistochemistry of DNA Mismatch Repair Proteins
4.4. Statistical Analysis
5. Conclusions
Author Contributions
Funding
Acknowledgments
Conflicts of Interest
References
- Siegel, R.L.; Miller, K.D. Cancer statistics. CA Cancer J. Clin. 2019, 69, 7–34. [Google Scholar] [CrossRef] [PubMed]
- Morice, P.; Leary, A.; Creutzberg, C.; Abu-Rustum, N.; Darai, E. Endometrial cancer. Lancet 2016, 387, 1094–1108. [Google Scholar] [CrossRef]
- Bendifallah, S.; Ouldamer, L.; Lavoue, V.; Canlorbe, G.; Raimond, E.; Coutant, C.; Graesslin, O.; Touboul, C.; Collinet, P.; Darai, E.; et al. Patterns of recurrence and outcomes in surgically treated women with endometrial cancer according to ESMO-ESGO-ESTRO Consensus Conference risk groups: Results from the FRANCOGYN study Group. Gynecol. Oncol. 2017, 144, 107–112. [Google Scholar] [CrossRef]
- Jeppesen, M.M.; Jensen, P.T.; Gilsa Hansen, D.; Iachina, M.; Mogensen, O. The nature of early-stage endometrial cancer recurrence—A national cohort study. Eur. J. Cancer 2016, 69, 51–60. [Google Scholar] [CrossRef]
- Fung-Kee-Fung, M.; Dodge, J.; Elit, L.; Lukka, H.; Chambers, A.; Oliver, T. Follow-up after primary therapy for endometrial cancer: A systematic review. Gynecol. Oncol. 2006, 101, 520–529. [Google Scholar] [CrossRef] [PubMed]
- Bendifallah, S.; Canlorbe, G.; Collinet, P.; Arsene, E.; Huguet, F.; Coutant, C.; Hudry, D.; Graesslin, O.; Raimond, E.; Touboul, C.; et al. Just how accurate are the major risk stratification systems for early-stage endometrial cancer? Br. J. Cancer 2015, 112, 793–801. [Google Scholar] [CrossRef]
- Piulats, J.M.; Guerra, E.; Gil-Martin, M.; Roman-Canal, B.; Gatius, S.; Sanz-Pamplona, R.; Velasco, A.; Vidal, A.; Matias-Guiu, X. Molecular approaches for classifying endometrial carcinoma. Gynecol. Oncol. 2017, 145, 200–207. [Google Scholar] [CrossRef]
- Cole, A.J.; Quick, C.M. Patterns of myoinvasion in endometrial adenocarcinoma: Recognition and implications. Adv. Anat. Pathol. 2013, 20, 141–147. [Google Scholar] [CrossRef]
- Kihara, A.; Yoshida, H.; Watanabe, R.; Takahashi, K.; Kato, T.; Ino, Y.; Kitagawa, M.; Hiraoka, N. Clinicopathologic Association and Prognostic Value of Microcystic, Elongated, and Fragmented (MELF) Pattern in Endometrial Endometrioid Carcinoma. Am. J. Surg. Pathol. 2017, 41, 896–905. [Google Scholar] [CrossRef]
- Joehlin-Price, A.S.; McHugh, K.E.; Stephens, J.A.; Li, Z.; Backes, F.J.; Cohn, D.E.; Cohen, D.W.; Suarez, A.A. The Microcystic, Elongated, and Fragmented (MELF) Pattern of Invasion: A Single Institution Report of 464 Consecutive FIGO Grade 1 Endometrial Endometrioid Adenocarcinomas. Am. J. Surg. Pathol. 2017, 41, 49–55. [Google Scholar] [CrossRef]
- Quick, C.M.; May, T.; Horowitz, N.S.; Nucci, M.R. Low-grade, low-stage endometrioid endometrial adenocarcinoma: A clinicopathologic analysis of 324 cases focusing on frequency and pattern of myoinvasion. Int. J. Gynecol. Pathol. 2012, 31, 337–343. [Google Scholar] [CrossRef] [PubMed]
- Park, J.Y.; Hong, D.; Park, J.Y. Association between Morphological Patterns of Myometrial Invasion and Cancer Stem Cell Markers in Endometrial Endometrioid Carcinoma. Pathol. Oncol. Res. 2019, 25, 123–130. [Google Scholar] [CrossRef] [PubMed]
- Sahoo, S.S.; Zhang, X.D.; Hondermarck, H.; Tanwar, P.S. The Emerging Role of the Microenvironment in Endometrial Cancer. Cancers 2018, 10, 408. [Google Scholar] [CrossRef] [PubMed]
- Fiumicino, S.; Ercoli, A.; Ferrandina, G.; Hess, P.; Raspaglio, G.; Genuardi, M.; Rovella, V.; Bellacosa, A.; Cicchillitti, L.; Mancuso, S.; et al. Microsatellite instability is an independent indicator of recurrence in sporadic stage I-II endometrial adenocarcinoma. J. Clin. Oncol. 2001, 19, 1008–1014. [Google Scholar] [CrossRef] [PubMed]
- Ruiz, I.; Martin-Arruti, M.; Lopez-Lopez, E.; Garcia-Orad, A. Lack of association between deficient mismatch repair expression and outcome in endometrial carcinomas of the endometrioid type. Gynecol. Oncol. 2014, 134, 20–23. [Google Scholar] [CrossRef]
- Kim, J.; Kong, J.K.; Yang, W.; Cho, H.; Chay, D.B.; Lee, B.H.; Cho, S.J.; Kim, J. DNA Mismatch Repair Protein Immunohistochemistry and MLH1 Promotor Methylation Testing for Practical Molecular Classification and the Prediction of Prognosis in Endometrial. Cancers 2018, 10, 279. [Google Scholar] [CrossRef]
- Ryan, N.; Wall, J.; Crosbie, E.J.; Arends, M.; Bosse, T.; Arif, S.; Faruqi, A.; Frayling, I.; Ganesan, R.; Hock, Y.L.; et al. Lynch syndrome screening in gynaecological cancers: Results of an international survey with recommendations for uniform reporting terminology for mismatch repair immunohistochemistry results. Histopathology 2019. [Google Scholar] [CrossRef]
- Suzuki, C.; Matsumoto, T.; Sonoue, H.; Arakawa, A.; Furugen, Y.; Kinoshita, K. Prognostic significance of the infiltrative pattern invasion in endometrioid adenocarcinoma of the endometrium. Pathol. Int. 2003, 53, 495–500. [Google Scholar] [CrossRef]
- Zaino, R.J. FIGO staging of endometrial adenocarcinoma: A critical review and proposal. Int. J. Gynecol. Pathol. 2009, 28, 1–9. [Google Scholar] [CrossRef]
- Soslow, R.A. Practical issues related to uterine pathology: Staging, frozen section, artifacts, and Lynch syndrome. Mod. Pathol. 2016, 29, S59–S77. [Google Scholar] [CrossRef]
- Murray, S.K.; Young, R.H.; Scully, R.E. Unusual epithelial and stromal changes in myoinvasive endometrioid adenocarcinoma: A study of their frequency, associated diagnostic problems, and prognostic significance. Int. J. Gynecol. Pathol. 2003, 22, 324–333. [Google Scholar] [CrossRef] [PubMed]
- Pavlakis, K.; Messini, I.; Vrekoussis, T.; Panoskaltsis, T.; Chrysanthakis, D.; Yiannou, P.; Voulgaris, Z. MELF invasion in endometrial cancer as a risk factor for lymph node metastasis. Histopathology 2011, 58, 966–973. [Google Scholar] [CrossRef] [PubMed]
- Han, G.; Lim, D.; Leitao, M.M., Jr.; Abu-Rustum, N.R.; Soslow, R.A. Histological features associated with occult lymph node metastasis in FIGO clinical stage I, grade I endometrioid carcinoma. Histopathology 2014, 64, 389–398. [Google Scholar] [CrossRef] [PubMed]
- Hertel, J.D.; Huettner, P.C.; Pfeifer, J.D. Lymphovascular space invasion in microcystic elongated and fragmented (MELF)-pattern well-differentiated endometrioid adenocarcinoma is associated with a higher rate of lymph node metastasis. Int. J. Gynecol. Pathol. 2014, 33, 127–134. [Google Scholar] [CrossRef]
- Pelletier, M.P.; Trinh, V.Q.; Stephenson, P.; Mes-Masson, A.M.; Samouelian, V.; Provencher, D.M.; Rahimi, K. Microcystic, elongated, and fragmented pattern invasion is mainly associated with isolated tumor cell pattern metastases in International Federation of Gynecology and Obstetrics grade I endometrioid endometrial cancer. Hum. Pathol. 2017, 62, 33–39. [Google Scholar] [CrossRef]
- Euscher, E.; Fox, P.; Bassett, R.; Al-Ghawi, H.; Ali-Fehmi, R.; Barbuto, D.; Djordjevic, B.; Frauenhoffer, E.; Kim, I.; Hong, S.R.; et al. The pattern of myometrial invasion as a predictor of lymph node metastasis or extrauterine disease in low-grade endometrial carcinoma. Am. J. Surg. Pathol. 2013, 37, 1728–1736. [Google Scholar] [CrossRef]
- Sanci, M.; Gungorduk, K.; Gulseren, V.; Karadeniz, T.; Kocaer, M.; Gungorduk, O.; Ozdemir, I.A. MELF Pattern for Predicting Lymph Node Involvement and Survival in Grade I-II Endometrioid-type Endometrial Cancer. Int. J. Gynecol. Pathol. 2018, 37, 17–21. [Google Scholar] [CrossRef]
- Stewart, C.J.; Brennan, B.A.; Leung, Y.C.; Little, L. MELF pattern invasion in endometrial carcinoma: Association with low grade, myoinvasive endometrioid tumours, focal mucinous differentiation and vascular invasion. Pathology 2009, 41, 454–459. [Google Scholar] [CrossRef]
- Dogan Altunpulluk, M.; Kir, G.; Topal, C.S.; Cetiner, H.; Gocmen, A. The association of the microcystic, elongated and fragmented (MELF) invasion pattern in endometrial carcinomas with deep myometrial invasion, lymphovascular space invasion and lymph node metastasis. J. Obstet. Gynaecol. 2015, 35, 397–402. [Google Scholar] [CrossRef]
- Shia, J.; Black, D.; Hummer, A.J.; Boyd, J.; Soslow, R.A. Routinely assessed morphological features correlate with microsatellite instability status in endometrial cancer. Hum. Pathol. 2008, 39, 116–125. [Google Scholar] [CrossRef]
- Kandoth, C.; Schultz, N.; Cherniack, A.D.; Akbani, R.; Liu, Y.; Shen, H.; Robertson, A.G.; Pashtan, I.; Shen, R.; Benz, C.C.; et al. Integrated genomic characterization of endometrial carcinoma. Nature 2013, 497, 67–73. [Google Scholar] [PubMed]
- Zighelboim, I.; Goodfellow, P.J.; Gao, F.; Gibb, R.K.; Powell, M.A.; Rader, J.S.; Mutch, D.G. Microsatellite instability and epigenetic inactivation of MLH1 and outcome of patients with endometrial carcinomas of the endometrioid type. J. Clin. Oncol. 2007, 25, 2042–2048. [Google Scholar] [CrossRef] [PubMed]
- McMeekin, D.S.; Tritchler, D.L.; Cohn, D.E.; Mutch, D.G.; Lankes, H.A.; Geller, M.A.; Powell, M.A.; Backes, F.J.; Landrum, L.M.; Zaino, R.; et al. Clinicopathologic Significance of Mismatch Repair Defects in Endometrial Cancer: An NRG Oncology/Gynecologic Oncology Group Study. J. Clin. Oncol. 2016, 34, 3062–3068. [Google Scholar] [CrossRef] [PubMed]
- Kurman, R.J.; Carganciu, M.L.; Herrington, C.S.; Young, R.H. WHO Classification of Tumours of Female Reproductive Organs; IARC: Lyon, France, 2014. [Google Scholar]
- Lewin, S.N.; Herzog, T.J.; Barrena Medel, N.I.; Deutsch, I.; Burke, W.M.; Sun, X.; Wright, J.D. Comparative performance of the 2009 international Federation of gynecology and obstetrics’ staging system for uterine corpus cancer. Obstet. Gynecol. 2010, 116, 1141–1149. [Google Scholar] [CrossRef] [PubMed]
- Hardisson, D.; Moreno-Bueno, G.; Sanchez, L.; Sarrio, D.; Suarez, A.; Calero, F.; Palacios, J. Tissue microarray immunohistochemical expression analysis of mismatch repair (hMLH1 and hMSH2 genes) in endometrial carcinoma and atypical endometrial hyperplasia: Relationship with microsatellite instability. Mod. Pathol. 2003, 16, 1148–1158. [Google Scholar] [CrossRef] [PubMed]


| Parameter | Total (n = 258) | No Recurrence (n = 229) | Recurrence (n = 29) | p | |
|---|---|---|---|---|---|
| Age (mean) | 63.96 ± 10.31 | 63.54 ± 10.45 | 67.28 ± 8.64 | 0.039 | |
| Age | |||||
| <60 y. | 94 (36.4%) | 88 (38.4%) | 6 (20.7%) | 0.065 | |
| ≥60 y. | 164 (63.6%) | 141 (61.6%) | 23 (79.3%) | ||
| FIGO Stage | |||||
| IA | 182 (70.5%) | 171 (74.7%) | 11 (37.9%) | <0.001 | |
| IB | 67 (26.0%) | 51 (22.3%) | 16 (55.2%) | ||
| II | 9 (3.5%) | 7 (3.1%) | 2 (6.9%) | ||
| Tumour Grade | |||||
| G1 | 201 (77.9%) | 183 (80.3%) | 18 (62.1%) | 0.029 | |
| G2 | 56 (21.7%) | 45 (19.7%) | 11 (37.9%) | ||
| Depth of Myometrial Invasion | |||||
| None | 56 (21.71%) | 56 (24.5%) | 0 | <0.001 | |
| Inner half | 131 50.76%) | 120 (52.4%) | 11 (37.9%) | ||
| Outer half | 71 (27.5%) | 53 (23.1%) | 18 (62.1%) | ||
| Lymphovascular Space Invasion | |||||
| Present | 39 (15.1%) | 28 (12.2%) | 11 (37.9%) | 0.001 | |
| Absent | 219 (84.9%) | 201 (87.8%) | 18 (62.1%) | ||
| Mucinous Differentiation | |||||
| Present | 64 (24.8%) | 53 (23.1%) | 11 (37.9%) | 0.085 | |
| Absent | 194 (75.2%) | 176 (76.9%) | 18 (62.1%) | ||
| Squamous Differentiation | |||||
| Present | 91 (35.3%) | 80 (34.9%) | 11 (37.9%) | 0.727 | |
| Absent | 167 (64.7%) | 149 (65.1%) | 18 (62.1%) | ||
| Predominant Myoinvasive Pattern | |||||
| Non infiltrative | Present | 56 (21.7%) | 56 (24.5%) | 0 | 0.003 |
| Absent | 202 (78.3%) | 173 (75.5%) | 29 (100%) | ||
| Infiltrating glands | Present | 130 (50.4%) | 114 (49.8%) | 16 (55.2%) | 0.600 |
| Absent | 128 (49.6%) | 115 (50.2%) | 13 (44.8%) | ||
| MELF | Present | 18 (7.0%) | 17 (7.4%) | 1 (3.4%) | 0.703 |
| Absent | 240 (93.0%) | 212 (92.6%) | 28 (96.6%) | ||
| Broad front | Present | 27 (10.5%) | 18 (7.9%) | 9 (31.0%) | 0.003 |
| Absent | 231 (89.5%) | 211 (92.1%) | 20 (69%) | ||
| Adenomyosis-like | Present | 26 (10.1%) | 23 (10.0%) | 3 (10.3%) | 1.00 |
| Absent | 232 (89.9%) | 206 (90.0%) | 26 (89.7%) | ||
| A. malignum | Present | 1 (0.4%) | 1 (0.4%) | 0 | |
| Absent | 257 (99.6%) | 228 (99.6%) | 29 (100%) | ||
| Infiltrating Glands Pattern | |||||
| Present | 158 (61.2%) | 135 (59.0%) | 23 (79.3%) | 0.036 | |
| Absent | 100 (38.8%) | 94 (41.0%) | 6 (20.7%) | ||
| MELF Pattern | |||||
| Present | 30 (11.6%) | 28 (12.2%) | 2 (6.9%) | 0.547 | |
| Absent | 228 (88.4%) | 201 (87.8%) | 27 (93.1%) | ||
| Microsatellite Instability | |||||
| Stable | 168 (84.4%) | 152 (86.9%) | 16 (66.7%) | 0.030 | |
| Unstable | 31 (15.6%) | 23 (13.1%) | 8 (33.3%) | ||
| Parameter | Microsatellite Instability | Mucinous Differentiation | Squamous Differentiation |
|---|---|---|---|
| Total number of cases analysed | 199 | 258 | 258 |
| Total number of positive cases (%) | 31 (15.58) | 64 (24.8) | 91 (35.3) |
| Infiltrative glands predominant pattern | 19 (p = 0.224) | 34 (p = 0.613) | 50 (p = 0.280) |
| MELF predominant pattern | 1 (p = 0.481) | 8 (p = 0.084) | 9 (p = 0.175) |
| Broad front predominant pattern | 4 (p = 0.311) | 5 (p = 0.558) | 11 (p = 0.336) |
| Adenomyosis-like predominant pattern | 4 (p = 0.506) | 8 (p = 0.458) | 8 (p = 0.612) |
| Presence of infiltrative glands pattern | 25 (p = 0.019) | 43 (p = 0.260) | 65 (p = 0.013) |
| Presence of MELF pattern | 2 (p = 0.265) | 15 (p = 0.001) | 17 (p = 0.009) |
| Parameter | Odds Ratio (CI 95%) | p-Value |
|---|---|---|
| Univariate Logistic Regression | ||
| Age ≥ 60 years | 2.392 (0.937–6.107) | 0.068 |
| Tumour grade 2 | 2.485 (1.097–5.631) | 0.029 |
| FIGO stage ≥IB | 3.065 (1.658–5.667) | <0.001 |
| Lymphovascular space invasion | 4.387 (1.879–10.242) | 0.001 |
| Infiltrative glands predominant pattern | 1.242 (0.571–2.699) | 0.585 |
| MELF predominant pattern | 0.445 (0.057–3.477) | 0.440 |
| Broad front predominant pattern | 4.751 (1.833–12.314) | 0.001 |
| Adenomyosis-like predominant pattern | 1.033 (0.290–3.681) | 0.960 |
| Presence of infiltrative glands pattern | 2.669 (1.047–6.807) | 0.040 |
| Presence of MELF pattern | 0.532 (0.120–2.359) | 0.406 |
| Mucinous differentiation | 2.029 (0.902–4.564) | 0.087 |
| Squamous differentiation | 1.138 (0.513–2.527) | 0.750 |
| Microsatellite instability | 3.304 (1.271–8.589) | 0.014 |
| Parameter | Odds Ratio (CI 95%) | p-Value |
|---|---|---|
| Multivariate Logistic Regression | ||
| Age ≥ 60 years | 2.772 (0.722–10.641) | 0.137 |
| Tumour grade 2 | 2.103 (0.700–6.324) | 0.186 |
| FIGO Stage ≥IB | 1.722 (0.161–18.383) | 0.653 |
| Lymphovascular space invasion | 2.729 (0.884–8.424) | 0.081 |
| Broad front predominant pattern | 17.302 (3.482–85.985) | <0.001 |
| Presence of infiltrative glands pattern | 1.981 (0.497–7.895) | 0.333 |
| Microsatellite instability | 1.453 (0.422–4.996) | 0.553 |
© 2019 by the authors. Licensee MDPI, Basel, Switzerland. This article is an open access article distributed under the terms and conditions of the Creative Commons Attribution (CC BY) license (http://creativecommons.org/licenses/by/4.0/).
Share and Cite
Ruz-Caracuel, I.; Ramón-Patino, J.L.; López-Janeiro, Á.; Yébenes, L.; Berjón, A.; Hernández, A.; Gallego, A.; Heredia-Soto, V.; Mendiola, M.; Redondo, A.; et al. Myoinvasive Pattern as a Prognostic Marker in Low-Grade, Early-Stage Endometrioid Endometrial Carcinoma. Cancers 2019, 11, 1845. https://doi.org/10.3390/cancers11121845
Ruz-Caracuel I, Ramón-Patino JL, López-Janeiro Á, Yébenes L, Berjón A, Hernández A, Gallego A, Heredia-Soto V, Mendiola M, Redondo A, et al. Myoinvasive Pattern as a Prognostic Marker in Low-Grade, Early-Stage Endometrioid Endometrial Carcinoma. Cancers. 2019; 11(12):1845. https://doi.org/10.3390/cancers11121845
Chicago/Turabian StyleRuz-Caracuel, Ignacio, Jorge L Ramón-Patino, Álvaro López-Janeiro, Laura Yébenes, Alberto Berjón, Alicia Hernández, Alejandro Gallego, Victoria Heredia-Soto, Marta Mendiola, Andrés Redondo, and et al. 2019. "Myoinvasive Pattern as a Prognostic Marker in Low-Grade, Early-Stage Endometrioid Endometrial Carcinoma" Cancers 11, no. 12: 1845. https://doi.org/10.3390/cancers11121845
APA StyleRuz-Caracuel, I., Ramón-Patino, J. L., López-Janeiro, Á., Yébenes, L., Berjón, A., Hernández, A., Gallego, A., Heredia-Soto, V., Mendiola, M., Redondo, A., Peláez-García, A., & Hardisson, D. (2019). Myoinvasive Pattern as a Prognostic Marker in Low-Grade, Early-Stage Endometrioid Endometrial Carcinoma. Cancers, 11(12), 1845. https://doi.org/10.3390/cancers11121845

