Surface-Oxidized Polymer-Stabilized Silver Nanoparticles as a Covering Component of Suture Materials
Abstract
1. Introduction
2. Materials and Methods
2.1. Substances and Reagents
2.2. Method of Synthesis of Ag NPs Stabilized with PVP
2.3. Methods
- Voltage: 10 kV.
- Work distance: 4.9 mm.
- In-Beam secondary electron detector.
- Copper cathode (wavelength 1.54 Å).
- Measurement range: 10–90 2θ°.
- Sampling frequency: 0.01 2θ°.
2.4. Investigation of the Aggregative Stability of Ag NPs
2.5. Investigation of the Oxidation Process of Ag NPs
2.6. In Vivo Studies of Oxidized Ag NPs
2.7. Treatment of Suture Material with Ag NPs and Oxidized Ag NPs
2.8. In Vivo Test of Suture Material
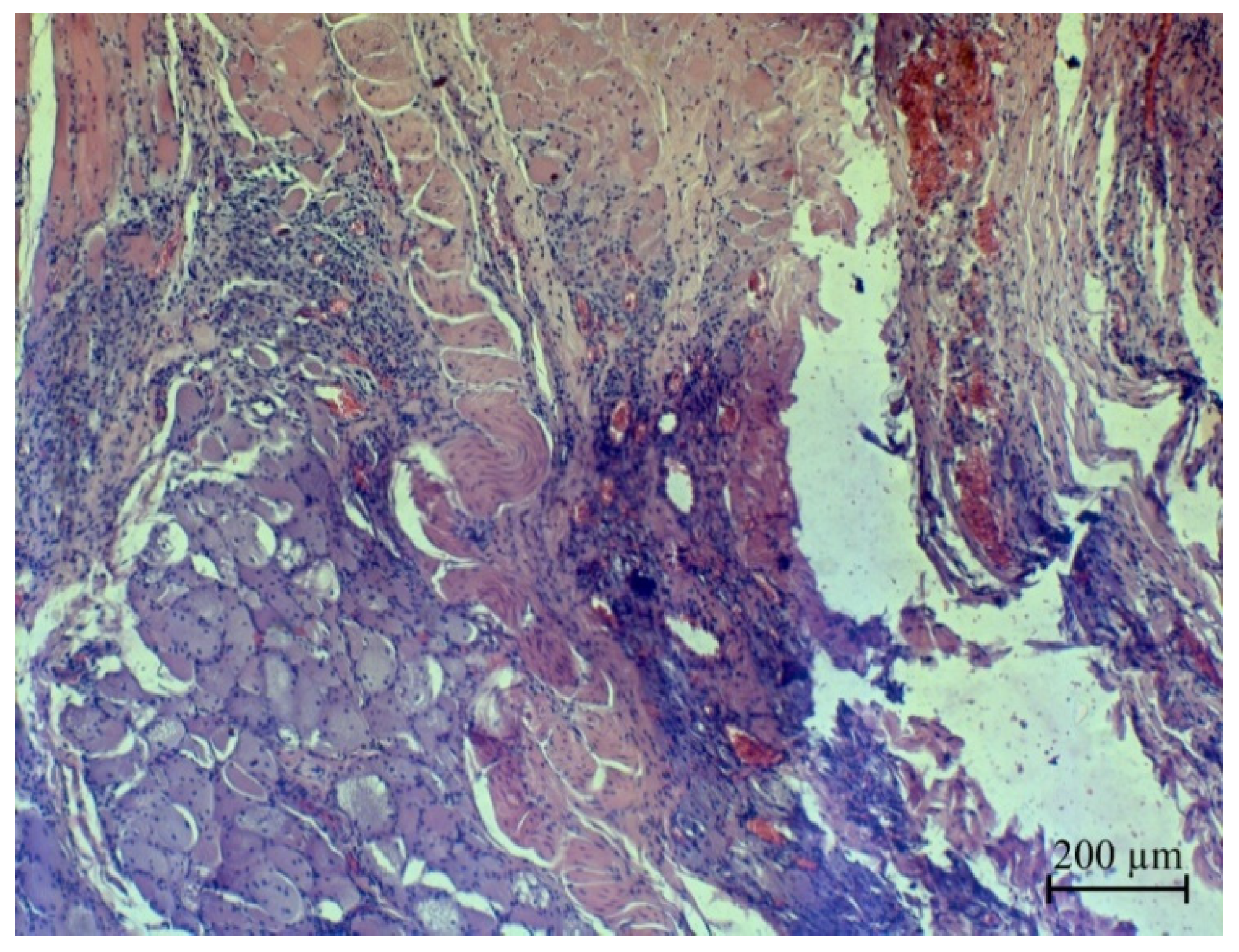
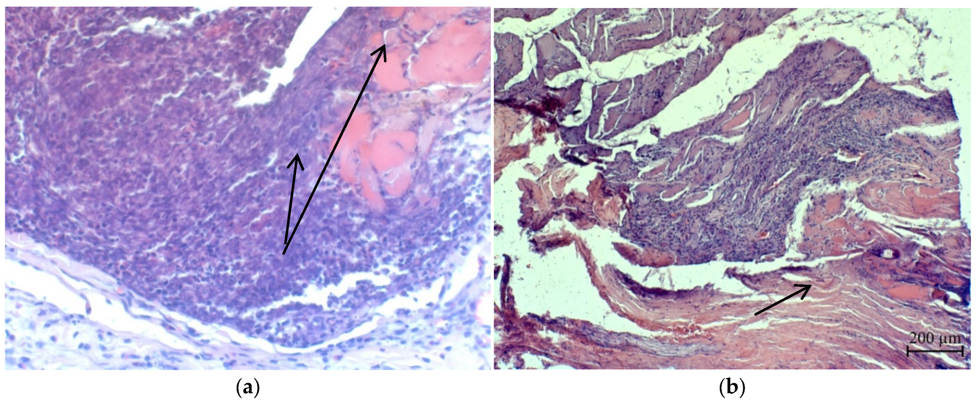
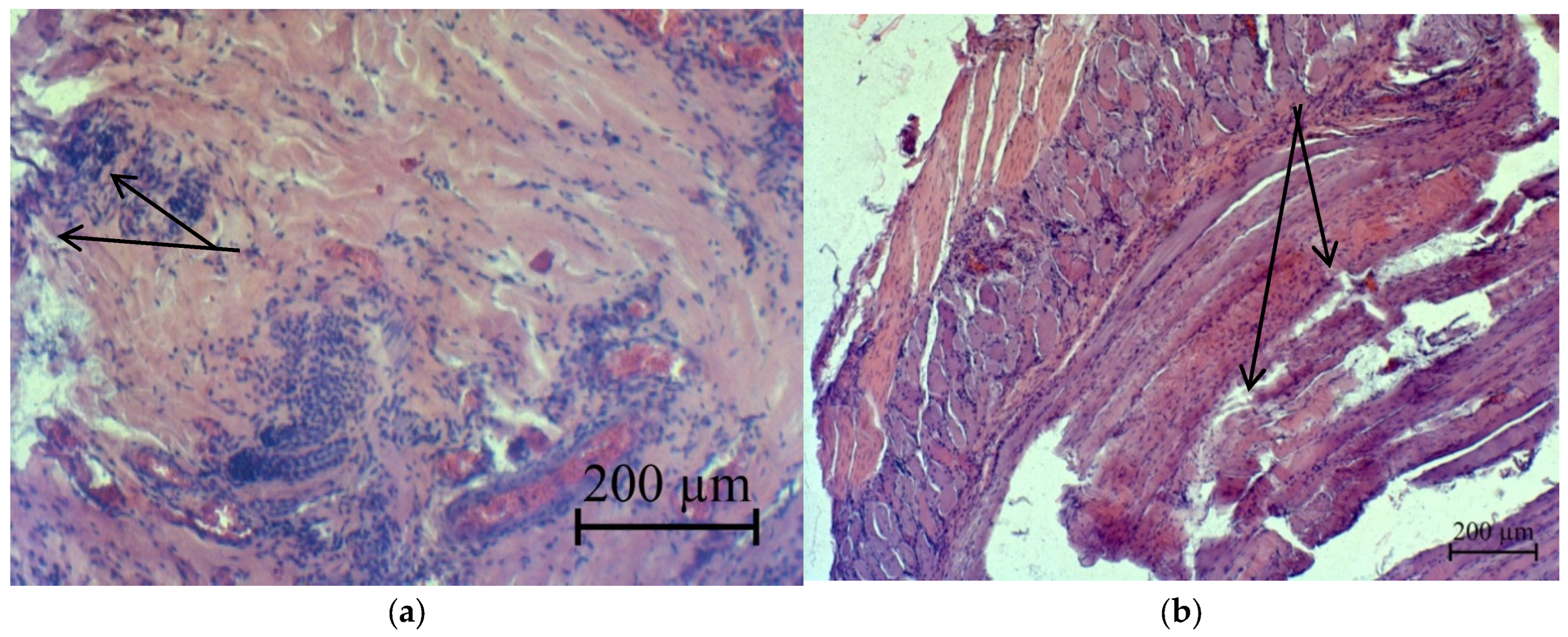
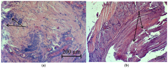
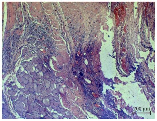
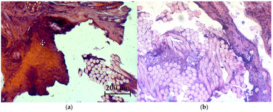
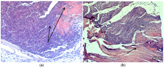
2.9. Histological Research
3. Results and Discussion
3.1. Investigation of Ag NPs
3.2. Investigation of Aggregative Stability and the Oxidation Process of Ag NPs
3.3. In Vivo Studies of Oxidized Ag NPs
3.4. Investigation of Ag NPs and the Oxidized Ag NPs as a Covering Component of Suture Materials
4. Conclusions
Supplementary Materials
Author Contributions
Funding
Institutional Review Board Statement
Data Availability Statement
Conflicts of Interest
References
- Bellows, C.F.; Mills, K.T.; Kelly, T.N.; Gagliardi, G. Combination of oral non-absorbable and intravenous antibiotics versus intravenous antibiotics alone in the prevention of surgical site infections after colorectal surgery: A meta-analysis of randomized controlled trials. Tech. Coloproctol. 2011, 15, 385–395. [Google Scholar] [CrossRef] [PubMed]
- Gerometta, A.; Olaverri, J.C.R.; Bitan, F. Infections in spinal instrumentation. Int. Orthop. 2012, 36, 457–464. [Google Scholar] [CrossRef] [PubMed]
- Di Martino, A.; Papalia, R.; Albo, E.; Diaz, L.; Denaro, L.; Denaro, V. Infection after spinal surgery and procedures. Eur. Rev. Med. Pharmacol. Sci. 2019, 23, 173–178. [Google Scholar] [CrossRef] [PubMed]
- Li, J.; Sang, H.; Guo, H.; Popko, J.T.; He, L.; White, J.C.; Dhankher, O.P.; Jung, G.; Xing, B. Antifungal mechanisms of ZnO and Ag nanoparticles to Sclerotinia. Homoeocarpa Nanotechnol. 2017, 28, 155101. [Google Scholar] [CrossRef] [PubMed]
- Xie, X.; Sun, T.C.; Xue, J.; Miao, Z.; Yan, X.; Fang, W.W.; Li, Q.; Tang, R.; Lu, Y.; Tang, L.; et al. Ag Nanoparticles Cluster with pH-Triggered Reassembly in Targeting Antimicrobial Applications. Adv. Funct. Mater. 2020, 30. [Google Scholar] [CrossRef]
- Cinteza, L.O.; Scomoroscenco, C.; Voicu, S.N.; Nistor, C.L.; Nitu, S.G.; Trica, B.; Jecu, M.-L.; Petcu, C. Chitosan-Stabilized Ag Nanoparticles with Superior Biocompatibility and Their Synergistic Antibacterial Effect in Mixtures with Essential Oils. Nanomaterials 2018, 8, 826. [Google Scholar] [CrossRef]
- Jayaprakash, N.; Vijaya, J.J.; Kaviyarasu, K.; Kombaiah, K.; Kennedy, L.J.; Ramalingam, R.J.; Munusamy, M.A.; Al-Lohedan, H.A. Green synthesis of Ag nanoparticles using Tamarind fruit extract for the antibacterial studies. J. Photochem. Photobiol. B Biol. 2017, 169, 178–185. [Google Scholar] [CrossRef]
- Radhakrishnan, V.S.; Dwivedi, S.P.; Siddiqui, M.H.; Prasad, T. In vitro studies on oxidative stress-independent, Ag nanoparticles-induced cell toxicity of Candida albicans, an opportunistic pathogen. Int. J. Nanomed. 2018, 13, 91–96. [Google Scholar] [CrossRef][Green Version]
- Bahrami-Teimoori, B.; Nikparast, Y.; Hojatianfar, M.; Akhlaghi, M.; Ghorbani, R.; Pourianfar, H.R. Characterisation and antifungal activity of silver nanoparticles biologically synthesised by Amaranthus Retroflexus Leaf Extract. J. Exp. Nanosci. 2017, 12, 129–139. [Google Scholar] [CrossRef]
- Kokura, S.; Handa, O.; Takagi, T.; Ishikawa, T.; Naito, Y.; Yoshikawa, T. Silver nanoparticles as a safe preservative for use in cosmetics. Nanomed. Nanotechnol. Biol. Med. 2010, 6, 570–574. [Google Scholar] [CrossRef]
- Marin, S.; Vlasceanu, G.M.; Tiplea, R.E.; Bucur, I.R.; Lemnaru, M.; Marin, M.M.; Grumezescu, A.M. Applications and Toxicity of Silver Nanoparticles: A Recent Review. Curr. Top. Med. Chem. 2015, 15, 1596–1604. [Google Scholar] [CrossRef] [PubMed]
- Beer, C.; Foldbjerg, R.; Hayashi, Y.; Sutherland, D.; Autrup, H. Toxicity of silver nanoparticles—Nanoparticle or silver ion? Toxicol. Lett. 2012, 208, 286–292. [Google Scholar] [CrossRef] [PubMed]
- Velsankar, K.; Preethi, R.; Ram, P.J.; Ramesh, M.; Sudhahar, S. Evaluations of biosynthesized Ag nanoparticles via Allium Sativum flower extract in biological applications. Appl. Nanosci. 2020, 10, 3675–3691. [Google Scholar] [CrossRef]
- Kuppusamy, P.; Ichwan, S.J.A.; Al-Zikri, P.N.H.; Suriyah, W.H.; Soundharrajan, I.; Govindan, N.; Maniam, G.P.; Yusoff, M.M. In Vitro Anticancer Activity of Au, Ag Nanoparticles Synthesized Using Commelina nudiflora L. Aqueous Extract Against HCT-116 Colon Cancer Cells. Biol. Trace Elem. Res. 2016, 173, 297–305. [Google Scholar] [CrossRef]
- Nam, G.; Rangasamy, S.; Purushothaman, B.; Song, J.M. The Application of Bactericidal Silver Nanoparticles in Wound Treatment. Nanomater. Nanotechnol. 2015, 5, 23. [Google Scholar] [CrossRef]
- Guzmán, M.G.; Dille, J.; Godet, S. Synthesis of Silver Nanoparticles by chemical reduction method and their antibacterial activity. Int. J. Chem. Biomol. Eng. 2009, 2, 104–111. [Google Scholar]
- Wu, Z.; Tang, S.; Deng, W.; Luo, J.; Wang, X. Antibacterial chitosan composite films with food-inspired carbon spheres immobilized AgNPs. Food Chem. 2021, 363, 130342. [Google Scholar] [CrossRef]
- Dairi, N.; Ferfera-Harrar, H.; Ramos, M.; Garrigós, M.C. Cellulose acetate/AgNPs-organoclay and/or thymol nano-biocomposite films with combined antimicrobial/antioxidant properties for active food packaging use. Int. J. Biol. Macromol. 2018, 121, 508–523. [Google Scholar] [CrossRef]
- Sondi, I.; Salopek-Sondi, B. Silver nanoparticles as antimicrobial agent: A case study on E. coli as a model for Gram-negative bacteria. J. Colloid Interface Sci. 2004, 275, 177–182. [Google Scholar] [CrossRef]
- Le Ouay, B.; Stellacci, F. Antibacterial activity of silver nanoparticles: A surface science insight. Nano Today 2015, 10, 339–354. [Google Scholar] [CrossRef]
- Park, E.-J.; Yi, J.; Kim, Y.; Choi, K.; Park, K. Silver nanoparticles induce cytotoxicity by a Trojan-horse type mechanism. Toxicol. Vitr. 2010, 24, 872–878. [Google Scholar] [CrossRef] [PubMed]
- El Badawy, A.M.; Silva, R.G.; Morris, B.; Scheckel, K.G.; Suidan, M.T.; Tolaymat, T.M. Surface Charge-Dependent Toxicity of Silver Nanoparticles. Environ. Sci. Technol. 2011, 45, 283–287. [Google Scholar] [CrossRef] [PubMed]
- Dizaj, S.M.; Lotfipour, F.; Barzegar-Jalali, M.; Zarrintan, M.H.; Adibkia, K. Antimicrobial activity of the metals and metal oxide nanoparticles. Mater. Sci. Eng. C 2014, 44, 278–284. [Google Scholar] [CrossRef] [PubMed]
- Gharpure, S.; Akash, A.; Ankamwar, B. A Review on Antimicrobial Properties of Metal Nanoparticles. J. Nanosci. Nanotechnol. 2020, 20, 3303–3339. [Google Scholar] [CrossRef] [PubMed]
- Bondarenko, O.; Ivask, A.; Käkinen, A.; Kurvet, I.; Kahru, A. Particle-Cell Contact Enhances Antibacterial Activity of Silver Nanoparticles. PLoS ONE 2013, 8, e64060. [Google Scholar] [CrossRef]
- Fabrega, J.; Fawcett, S.R.; Renshaw, J.C.; Lead, J.R. Silver Nanoparticle Impact on Bacterial Growth: Effect of pH, Concentration, and Organic Matter. Environ. Sci. Technol. 2009, 43, 7285–7290. [Google Scholar] [CrossRef]
- de Pinheiro, S.K.P.; Miguel, T.B.A.R.; Chaves, M.D.M.; Barros, F.C.D.F.; Farias, C.P.; de Moura, T.A.; Ferreira, O.P.; Paschoal, A.R.; Filho, A.G.S.; Miguel, E.D.C. Silver nanoparticles (AgNPs) internalization and passage through the Lactuca sativa (Asteraceae) outer cell wall. Funct. Plant Biol. 2021, 48, 1113. [Google Scholar] [CrossRef]
- Choi, O.; Deng, K.K.; Kim, N.-J.; Ross, L., Jr.; Surampalli, R.Y.; Hu, Z. The inhibitory effects of silver nanoparticles, silver ions, and silver chloride colloids on microbial growth. Water Res. 2008, 42, 3066–3074. [Google Scholar] [CrossRef]
- Fernandez, C.; Thomas, A.; Raj, M.S. Green synthesis of silver oxide nanoparticle and its antimicrobial activity against organisms causing Dental plaques. Int. J. Pharma Bio Sci. 2016, 7, 72. [Google Scholar] [CrossRef]
- Rokade, A.A.; Patil, M.P.; Yoo, S.I.; Lee, W.K.; Park, S.S. Pure green chemical approach for synthesis of Ag2O nanoparticles. Green Chem. Lett. Rev. 2016, 9, 216–222. [Google Scholar] [CrossRef]
- Danish, M.S.S.; Estrella-Pajulas, L.L.; Alemaida, I.M.; Grilli, M.L.; Mikhaylov, A.; Senjyu, T. Green Synthesis of Silver Oxide Nanoparticles for Photocatalytic Environmental Remediation and Biomedical Applications. Metals 2022, 12, 769. [Google Scholar] [CrossRef]
- Blinov, A.; Gvozdenko, A.; Kravtsov, A.; Krandievsky, S.; Blinova, A.; Maglakelidze, D.; Vakalov, D.; Remizov, D.; Golik, A. Synthesis of nanosized manganese methahydroxide stabilized by cystine. Mater. Chem. Phys. 2021, 265, 124510. [Google Scholar] [CrossRef]
- Gvozdenko, A.A.; Blinov, A.V.; Yasnaya, M.A.; Golik, A.B.; Raffa, V.V.; Kramarenko, V.N.; Maglakelidze, D.G.; Shevchenko, I.M. Computer Quantum-Chemical Simulation of Multicomponent SiO2-MexOy Systems. Phys. Chem. Asp. Study Clust. Nanostruct. Nanomater. 2020, 12, 394–404. [Google Scholar] [CrossRef]
- Andrew Gilbert Introduction to IQmol. 2019. Available online: http://iqmol.org/downloads/IQmolUserGuide.pdf (accessed on 15 April 2022).
- Ghambarian, M.; Ghashghaee, M.; Azizi, Z.; Balar, M. Structural diversity of metallacycle intermediates for ethylene dimerization on heterogeneous NiMCM-41 catalyst: A quantum chemical perspective. Struct. Chem. 2018, 30, 137–150. [Google Scholar] [CrossRef]
- Sousa, V.S.; Teixeira, M.R. Aggregation kinetics and surface charge of CuO nanoparticles: The influence of pH, ionic strength and humic acids. Environ. Chem. 2013, 10, 313–322. [Google Scholar] [CrossRef]
- Kreytsberg, G.N.; Gracheva, I.E.; Kibrik, B.S.; Golikov, I.V. Antituberculous effect of silver nanoparticles. J. Phys. Conf. Ser. 2011, 291, 012030. [Google Scholar] [CrossRef]
- Rzhepakovsky, I.; Siddiqui, S.A.; Avanesyan, S.; Benlidayi, M.; Dhingra, K.; Dolgalev, A.; Enukashvily, N.; Fritsch, T.; Heinz, V.; Kochergin, S.; et al. Anti-arthritic effect of chicken embryo tissue hydrolyzate against adjuvant arthritis in rats (X-ray microtomographic and histopathological analysis). Food Sci. Nutr. 2021, 9, 5648–5669. [Google Scholar] [CrossRef]
- Fahmy, H.M.; Mosleh, A.M.; Elghany, A.A.; Shams-Eldin, E.; Abu Serea, E.S.; Ali, S.A.; Shalan, A.E. Coated silver nanoparticles: Synthesis, cytotoxicity, and optical properties. RSC Adv. 2019, 9, 20118–20136. [Google Scholar] [CrossRef]
- Lee, S.H.; Jun, B.-H. Silver Nanoparticles: Synthesis and Application for Nanomedicine. Int. J. Mol. Sci. 2019, 20, 865. [Google Scholar] [CrossRef]
- Blinov, A.V.; Siddiqui, S.A.; Nagdalian, A.A.; Blinova, A.A.; Gvozdenko, A.A.; Raffa, V.V.; Oboturova, N.P.; Golik, A.B.; Maglakelidze, D.G.; Ibrahim, S.A. Investigation of the influence of Zinc-containing compounds on the components of the colloidal phase of milk. Arab. J. Chem. 2021, 14, 103229. [Google Scholar] [CrossRef]
- Seidy, N.; Ghammamy, S. Structural Properties, Natural Bond Orbital, Theory Functional Calculations (DFT), and Energies for the α Halorganic Compounds. Curr. World Environ. 2012, 7, 221–226. [Google Scholar] [CrossRef]
- Tan, P.; Li, H.; Wang, J.; Gopinath, S.C. Silver nanoparticle in biosensor and bioimaging: Clinical perspectives. Biotechnol. Appl. Biochem. 2020, 68, 1236–1242. [Google Scholar] [CrossRef] [PubMed]
- Augustynski, J.; Bienkowski, K.; Solarska, R. Plasmon resonance-enhanced photoelectrodes and photocatalysts. Coord. Chem. Rev. 2016, 325, 116–124. [Google Scholar] [CrossRef]
- State Standard of the USSR. Labor Safety System. Harmful Substances. Classification and General Safety Requirements. GOST 12.1.007–76. Standartinform, Moscow. 1984; 4p.





























| Index | E, kcal/mol | HOMO | LUMO | η |
|---|---|---|---|---|
| Interactions of a Ag atom with a PVP monomer unit through oxygen | −5532.8331 | −0.214 | −0.068 | 0.073 |
| Interactions of a Ag atom with a PVP monomer unit through nitrogen | −5533.5474 | −0.288 | −0.118 | 0.085 |
| Type of Introduction | Toxicity Parameters | SLD50 | ||||
|---|---|---|---|---|---|---|
| MSD | LD16 | LD50 | LD84 | LD100 | ||
| Preoral | 4408.0 | 4422.74 | 4400.0 | 4463.4 | 4500.0 | ±0.644 |
Publisher’s Note: MDPI stays neutral with regard to jurisdictional claims in published maps and institutional affiliations. |
© 2022 by the authors. Licensee MDPI, Basel, Switzerland. This article is an open access article distributed under the terms and conditions of the Creative Commons Attribution (CC BY) license (https://creativecommons.org/licenses/by/4.0/).
Share and Cite
Blinov, A.V.; Nagdalian, A.A.; Povetkin, S.N.; Gvozdenko, A.A.; Verevkina, M.N.; Rzhepakovsky, I.V.; Lopteva, M.S.; Maglakelidze, D.G.; Kataeva, T.S.; Blinova, A.A.; et al. Surface-Oxidized Polymer-Stabilized Silver Nanoparticles as a Covering Component of Suture Materials. Micromachines 2022, 13, 1105. https://doi.org/10.3390/mi13071105
Blinov AV, Nagdalian AA, Povetkin SN, Gvozdenko AA, Verevkina MN, Rzhepakovsky IV, Lopteva MS, Maglakelidze DG, Kataeva TS, Blinova AA, et al. Surface-Oxidized Polymer-Stabilized Silver Nanoparticles as a Covering Component of Suture Materials. Micromachines. 2022; 13(7):1105. https://doi.org/10.3390/mi13071105
Chicago/Turabian StyleBlinov, Andrey Vladimirovich, Andrey Ashotovich Nagdalian, Sergey Nikolaevich Povetkin, Alexey Alekseevich Gvozdenko, Marina Nikolaevna Verevkina, Igor Vladimirovich Rzhepakovsky, Mariya Sergeevna Lopteva, David Guramievich Maglakelidze, Tatyana Semenovna Kataeva, Anastasiya Aleksandrovna Blinova, and et al. 2022. "Surface-Oxidized Polymer-Stabilized Silver Nanoparticles as a Covering Component of Suture Materials" Micromachines 13, no. 7: 1105. https://doi.org/10.3390/mi13071105
APA StyleBlinov, A. V., Nagdalian, A. A., Povetkin, S. N., Gvozdenko, A. A., Verevkina, M. N., Rzhepakovsky, I. V., Lopteva, M. S., Maglakelidze, D. G., Kataeva, T. S., Blinova, A. A., Golik, A. B., Osipchuk, G. V., & Shariati, M. A. (2022). Surface-Oxidized Polymer-Stabilized Silver Nanoparticles as a Covering Component of Suture Materials. Micromachines, 13(7), 1105. https://doi.org/10.3390/mi13071105

