Dual U-Net-Based Conditional Generative Adversarial Network for Blood Vessel Segmentation with Reduced Cerebral MR Training Volumes
Abstract
:1. Introduction
2. Materials and Methods
- A.
- Data
- B.
- Image preprocessing
- C.
- Model Architecture
- D.
- Training Strategy
- E.
- Implementation Details
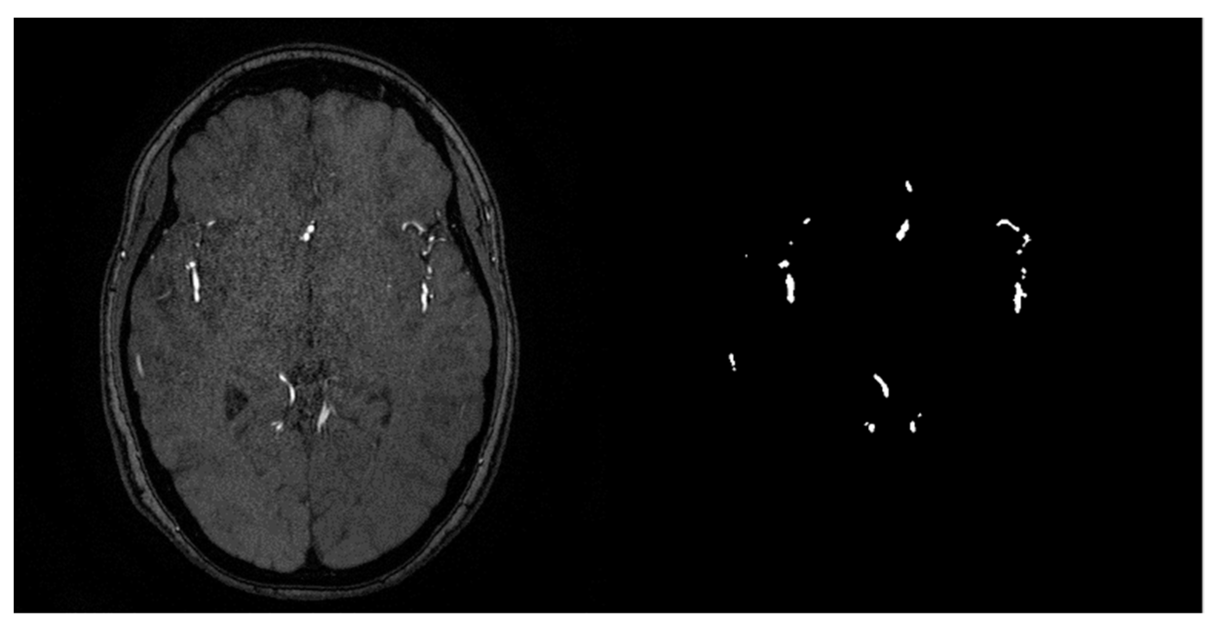
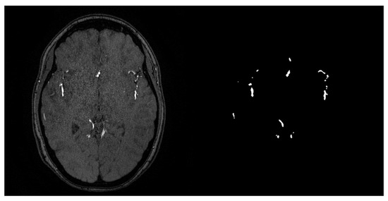
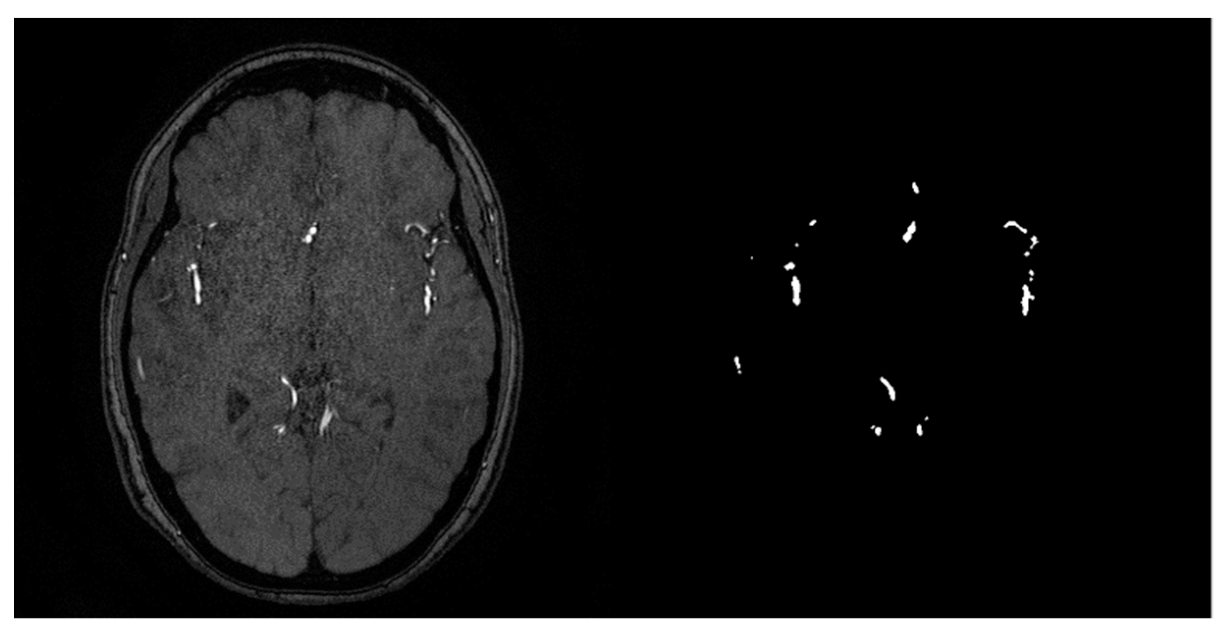
3. Results
- A.
- MRA Images
- B.
- Additional Experiment Using Microscopy Images
4. Discussion
5. Conclusions
Author Contributions
Funding
Informed Consent Statement
Data Availability Statement
Acknowledgments
Conflicts of Interest
References
- Neumann, J.O.; Campos, B.; Younes, B.; Jakobs, M.; Unterberg, A.; Kiening, K.; Hubert, A. Evaluation of three automatic brain vessel segmentation methods for stereotactical trajectory planning. Comput. Methods Programs Biomed. 2019, 182, 105037. [Google Scholar] [CrossRef] [PubMed]
- Hernández-Pérez, M.; Puig, J.; Blasco, G.; de la Ossa, N.P.; Dorado, L.; Dávalos, A.; Munuera, J. Dynamic Magnetic Resonance Angiography Provides Collateral Circulation and Hemodynamic Information in Acute Ischemic Stroke. Stroke 2016, 47, 531–534. [Google Scholar] [CrossRef] [PubMed] [Green Version]
- Arimura, H.; Magome, T.; Yamashita, Y.; Yamamoto, D. Computer-aided diagnosis systems for brain diseases in magnetic resonance images. Algorithms 2009, 2, 925–952. [Google Scholar] [CrossRef] [Green Version]
- Law, M.W.K.; Chung, A.C.S. Segmentation of intracranial vessels and aneurysms in phase contrast magnetic resonance angiography using multirange filters and local variances. IEEE Trans. Image Process. 2013, 22, 845–859. [Google Scholar] [CrossRef] [PubMed] [Green Version]
- Rashed, E.A.; Gomez-Tames, J.; Hirata, A. End-to-end semantic segmentation of personalized deep brain structures for non-invasive brain stimulation. Neural Netw. 2020, 125, 233–244. [Google Scholar] [CrossRef] [PubMed] [Green Version]
- Hu, C.; Hui, H.; Wang, S.; Dong, D.; Liu, X.; Yang, X.; Tian, J. Cerebral vessels segmentation for light-sheet microscopy image using convolutional neural networks. Biomed. Appl. Mol. Struct. Funct. Imaging 2017, 10137, 101370K. [Google Scholar]
- Phellan, R.; Peixinho, A.; Falcão, A.; Forkert, N.D. Vascular Segmentation in TOF MRA Images of the Brain Using a Deep Convolutional Neural Network. Lect. Notes Comput. Sci. 2017, 10552, 39–46. [Google Scholar]
- Chen, L.; Xie, Y.; Sun, J.; Balu, N.; Mossa-Basha, M.; Pimentel, K.; Hatsukami, T.S.; Hwang, J.-N.; Yuan, C. 3D intracranial artery segmentation using a convolutional autoencoder. In Proceedings of the 2017 IEEE International Conference on Bioinformatics and Biomedicine (BIBM), Kansas City, MO, USA, 13–16 November 2017; pp. 714–717. [Google Scholar]
- Teikari, P.; Santos, M.; Poon, C.; Hynynen, K. Deep Learning Convolutional Networks for Multiphoton Microscopy Vasculature Segmentation. arXiv 2016, arXiv:1606.02382. [Google Scholar]
- Kandil, H.; Soliman, A.; Taher, F.; Mahmoud, A.; Elmaghraby, A.; El-Baz, A. Using 3-D CNNs and Local Blood Flow Information to Segment Cerebral Vasculature. In Proceedings of the 2018 IEEE International Symposium on Signal Processing and Information Technology (ISSPIT), Louisville, KY, USA, 6–8 December 2018; pp. 701–705. [Google Scholar]
- Zhao, S.; Tian, Y.U.N.; Wang, X.; Xie, L.; Sun, L. Intracranial Vascular Structure Extraction: A Machine Learning Approach. IEEE Access 2019, 7, 100933–100942. [Google Scholar] [CrossRef]
- Tetteh, G.; Efremov, V.; Forkert, N.D.; Schneider, M.; Kirschke, J.; Weber, B.; Zimmer, C.; Piraud, M.; Menze, B.H. DeepVesselNet: Vessel Segmentation, Centerline Prediction, and Bifurcation Detection in 3-D Angiographic Volumes. Front. Neurosci. 2020, 14, 592352. [Google Scholar] [CrossRef]
- Zhang, X.; Zhang, Y.; Hu, Q. Deep learning based vein segmentation from susceptibility-weighted images. Computing 2019, 101, 637–652. [Google Scholar] [CrossRef]
- Goodfellow, I.J.; Pouget-Abadie, J.; Mirza, M.; Xu, B.; Warde-Farley, D.; Ozair, S.; Courville, A.; Bengio, Y. Generative adversarial nets. Adv. Neural Inf. Process. Syst. 2014, 3, 2672–2680. [Google Scholar]
- Mirza, M.; Osindero, S. Conditional Generative Adversarial Nets. arXiv 2014, arXiv:1411.1784. [Google Scholar]
- Cirillo, M.D.; Abramian, D.; Eklund, A. Vox2Vox: 3D-GAN for Brain Tumour Segmentation. arXiv 2020, arXiv:2003.13653. [Google Scholar]
- Chen, Z.; Xie, L.; Chen, Y.; Zeng, Q.; ZhuGe, Q.; Shen, J.; Wen, C.; Feng, Y. Generative adversarial network based cerebrovascular segmentation for time-of-flight magnetic resonance angiography image. Neurocomputing 2021, 488, 657–668. [Google Scholar] [CrossRef]
- Nema, S.; Dudhane, A.; Murala, S.; Naidu, S. RescueNet: An unpaired GAN for brain tumor segmentation. Biomed. Signal Process. Control 2020, 55, 101641. [Google Scholar] [CrossRef]
- Park, K.B.; Choi, S.H.; Lee, J.Y. M-GAN: Retinal Blood Vessel Segmentation by Balancing Losses through Stacked Deep Fully Convolutional Networks. IEEE Access 2020, 8, 146308–146322. [Google Scholar] [CrossRef]
- Wu, C.; Zou, Y.; Yang, Z. U-GAN: Generative adversarial networks with u-net for retinal vessel segmentation. In Proceedings of the 2019 14th International Conference on Computer Science & Education (ICCSE), Toronto, ON, Canada, 19–21 August 2019; pp. 642–646. [Google Scholar]
- Dong, X.; Lei, Y.; Liu, Y.; Tian, S.; Higgins, K.; Beitler, J.J.; Yu, D.S.; Jiang, X.; Liu, T.; Curran, W.J.; et al. Automatic multiorgan segmentation in thorax CT images using U-net-GAN. Med. Phys. 2019, 46, 2157–2168. [Google Scholar] [CrossRef] [Green Version]
- Ronneberger, O.; Fischer, P.; Brox, T. U-net: Convolutional networks for biomedical image segmentation. Lect. Notes Comput. Sci. 2015, 9351, 234–241. [Google Scholar]
- Livne, M.; Rieger, J.; Aydin, O.U.; Taha, A.A.; Akay, E.M.; Kossen, T.; Sobesky, J.; Kelleher, J.D.; Hildebrand, K.; Frey, D.; et al. A U-net deep learning framework for high performance vessel segmentation in patients with cerebrovascular disease. Front. Neurosci. 2019, 13, 97. [Google Scholar] [CrossRef] [Green Version]
- Maqsood, S.; Damasevicius, R.; Shah, F.M. An efficient approach for the detection of brain tumor using fuzzy logic and U-NET CNN classification. In International Conference on Computational Science and Its Applications; Springer: Cham, Switzerland, 2021. [Google Scholar]
- Li, X.; Chen, H.; Qi, X.; Dou, Q.; Fu, C.W.; Heng, P.A. H-DenseUNet: Hybrid Densely Connected UNet for Liver and Tumor Segmentation from CT Volumes. IEEE Trans. Med. Imaging 2018, 37, 2663–2674. [Google Scholar] [CrossRef] [PubMed] [Green Version]
- Kadry, S.; Damaševičius, R.; Taniar, D.; Rajinikanth, V.; Lawal, I.A. U-net supported segmentation of ischemic-stroke-lesion from brain MRI slices. In Proceedings of the 2021 Seventh International conference on Bio Signals, Images, and Instrumentation (ICBSII), Chennai, India, 25–27 March 2021; IEEE: Piscataway, NJ, USA, 2021. [Google Scholar]
- Conti, V.; Militello, C.; Rundo, L.; Vitabile, S. A novel bio-inspired approach for high-performance management in service-oriented networks. IEEE Trans. Emerg. Top. Comput. 2020, 9, 1709–1722. [Google Scholar] [CrossRef]
- Shi, Z.; Miao, C.; Schoepf, U.J.; Savage, R.H.; Dargis, D.M.; Pan, C.; Chai, X.; Li, X.L.; Xia, S.; Zhang, X.; et al. A clinically applicable deep-learning model for detecting intracranial aneurysm in computed tomography angiography images. Nat. Commun. 2020, 11, 1–11. [Google Scholar] [CrossRef] [PubMed]
- Venkatesh, G.M.; Naresh, Y.G.; Little, S.; O’Connor, N.E. A deep residual architecture for skin lesion segmentation. In OR 2.0 Context-Aware Operating Theaters, Computer Assisted Robotic Endoscopy, Clinical Image-Based Procedures, and Skin Image Analysis; Springer: Cham, Switzerland, 2018. [Google Scholar]
- Francia, G.A.; Pedraza, C.; Aceves, M.; Tovar-Arriaga, S. Chaining a U-Net With a Residual U-Net for Retinal Blood Vessels Segmentation. IEEE Access 2020, 8, 38493–38500. [Google Scholar] [CrossRef]
- He, K.; Zhang, X.; Ren, S.; Sun, J. Deep residual learning for image recognition. In Proceedings of the 2016 IEEE Conference on Computer Vision and Pattern Recognition (CVPR), Las Vegas, NV, USA, 27–30 June 2016; pp. 770–778. [Google Scholar]
- Goodfellow, I.; Bengio, Y.; Courville, A. Deep Learning; MIT Press: Cambridge, MA, USA, 2016; Volume 1. [Google Scholar]
- Isola, P.; Zhu, J.Y.; Zhou, T.; Efros, A.A. Image-to-image translation with conditional adversarial networks. In Proceedings of the 2017 IEEE Conference on Computer Vision and Pattern Recognition (CVPR), Honolulu, HI, USA, 21–26 July 2017; pp. 5967–5976. [Google Scholar]
- Srivastava, N.; Hinton, G.; Krizhevsky, A.; Sutskever, I.; Salakhutdinov, R. Dropout: A Simple Way to Prevent Neural Networks from Overfitting. J. Mach. Learn. Res. 2014, 15, 1929–1958. [Google Scholar]
- Ma, J.; Chen, J.; Ng, M.; Huang, R.; Li, Y.; Li, C.; Lang, X.; Martel, A.L. Loss odyssey in medical image segmentation. Med. Image Anal. 2021, 71, 102035. [Google Scholar] [CrossRef]
- Yeung, M.; Sala, E.; Schönlieb, C.B.; Rundo, L. Unified focal loss: Generalising dice and cross entropy-based losses to handle class imbalanced medical image segmentation. Comput. Med. Imaging Graph. 2022, 95, 102026. [Google Scholar] [CrossRef]
- Kingma, D.P.; Ba, J.L. Adam: A method for stochastic optimization. In Proceedings of the 3rd International Conference for Learning Representations ICLR 2015, San Diego, CA, USA, 7–9 May 2015; pp. 1–15. [Google Scholar]
- Hinton, G.; Srivastava, N.; Swersky, K. Neural networks for machine learning lecture 6a overview of mini-batch gradient descent. Cited On 2012, 14, 2. [Google Scholar]
- Ulyanov, D.; Vedaldi, A.; Lempitsky, V. Instance Normalization: The Missing Ingredient for Fast Stylization. arXiv 2016, arXiv:1607.08022. [Google Scholar]
- Reza, A.M. Realization of the contrast limited adaptive histogram equalization (CLAHE) for real-time image enhancement. J. VLSI Signal Process. Syst. Signal Image. Video Technol. 2004, 38, 35–44. [Google Scholar] [CrossRef]
- Yeung, M.; Sala, E.; Schönlieb, C.B.; Rundo, L. Focus U-Net: A novel dual attention-gated CNN for polyp segmentation during colonoscopy. Comput. Biol. Med. 2021, 137, 104815. [Google Scholar] [CrossRef] [PubMed]
- Guo, C.; Szemenyei, M.; Yi, Y.; Wang, W.; Chen, B.; Fan, C. SA-UNET: Spatial attention U-net for retinal vessel segmentation. In Proceedings of the 2020 25th International Conference on Pattern Recognition (ICPR), Milan, Italy, 10–15 January 2021; pp. 1236–1242. [Google Scholar]










| k | Dice Score | Precision | Sensitivity | Specificity |
|---|---|---|---|---|
| 1 | 0.8825 | 0.8789 | 0.8864 | 0.9996 |
| 2 | 0.8574 | 0.9064 | 0.8022 | 0.9997 |
| 3 | 0.8742 | 0.9141 | 0.8387 | 0.9997 |
| 4 | 0.8752 | 0.8817 | 0.8746 | 0.9996 |
| Average | 0.8723 | 0.8952 | 0.8504 | 0.9996 |
| Method | Dice Score | Precision | Sensitivity | Specificity |
|---|---|---|---|---|
| U-Net [22] | 0.8371 | 0.7978 | 0.9384 | 0.9994 |
| Concatenated U-Nets [30] | 0.8613 | 0.8795 | 0.8633 | 0.9997 |
| Pix2Pix [33] | 0.8092 | 0.8362 | 0.7838 | 0.9996 |
| UUr-cGAN (Proposed model) | 0.8723 | 0.8952 | 0.8504 | 0.9996 |
| Method | Dice Score | MRA Volumes in Dataset |
|---|---|---|
| Chen et al. [8] | 0.7371 | 10 |
| Phellan et al. [7] | 0.7740 | 5 |
| Tetteh et al. [12] | 0.8668 | 40 |
| Kandil et al. [10] | 0.8437 | 30 |
| Zhao et al. [11] | 0.8503 | 30 |
| Livne et al. [23] | 0.9210 | 66 |
| Proposed model | 0.8723 | 4 |
| Method | Dice Score | Precision | Sensitivity | Specificity |
|---|---|---|---|---|
| U-Net [22] | 0.7356 | 0.9720 | 0.5917 | 0.9957 |
| Concatenated U-Nets [30] | 0.7704 | 0.9624 | 0.6423 | 0.9936 |
| Pix2Pix [33] | 0.8187 | 0.9772 | 0.7288 | 0.9986 |
| UUr-cGAN (Proposed model) | 0.8288 | 0.9567 | 0.7246 | 0.999 |
Publisher’s Note: MDPI stays neutral with regard to jurisdictional claims in published maps and institutional affiliations. |
© 2022 by the authors. Licensee MDPI, Basel, Switzerland. This article is an open access article distributed under the terms and conditions of the Creative Commons Attribution (CC BY) license (https://creativecommons.org/licenses/by/4.0/).
Share and Cite
Quintana-Quintana, O.J.; De León-Cuevas, A.; González-Gutiérrez, A.; Gorrostieta-Hurtado, E.; Tovar-Arriaga, S. Dual U-Net-Based Conditional Generative Adversarial Network for Blood Vessel Segmentation with Reduced Cerebral MR Training Volumes. Micromachines 2022, 13, 823. https://doi.org/10.3390/mi13060823
Quintana-Quintana OJ, De León-Cuevas A, González-Gutiérrez A, Gorrostieta-Hurtado E, Tovar-Arriaga S. Dual U-Net-Based Conditional Generative Adversarial Network for Blood Vessel Segmentation with Reduced Cerebral MR Training Volumes. Micromachines. 2022; 13(6):823. https://doi.org/10.3390/mi13060823
Chicago/Turabian StyleQuintana-Quintana, Oliver J., Alejandro De León-Cuevas, Arturo González-Gutiérrez, Efrén Gorrostieta-Hurtado, and Saúl Tovar-Arriaga. 2022. "Dual U-Net-Based Conditional Generative Adversarial Network for Blood Vessel Segmentation with Reduced Cerebral MR Training Volumes" Micromachines 13, no. 6: 823. https://doi.org/10.3390/mi13060823
APA StyleQuintana-Quintana, O. J., De León-Cuevas, A., González-Gutiérrez, A., Gorrostieta-Hurtado, E., & Tovar-Arriaga, S. (2022). Dual U-Net-Based Conditional Generative Adversarial Network for Blood Vessel Segmentation with Reduced Cerebral MR Training Volumes. Micromachines, 13(6), 823. https://doi.org/10.3390/mi13060823

