Robust Orthogonal-View 2-D/3-D Rigid Registration for Minimally Invasive Surgery
Abstract
:1. Introduction
- We convert the traditional orthogonal-view 2-D/3-D registration problem into the 3-D/3-D registration problem by leveraging a deep-learning-based dense reconstruction network for achieving high registration accuracy and robustness.
- We introduce the parallelization strategy and use GPU to accelerate the 3-D/3-D registration for achieving desired performance in an acceptable period of time.
- We apply the 2-D/3-D registration technique in radiofrequency ablation (RFA) of the treatment of trigeminal neuralgia for the first time and the proposed method achieves the better performance among existing methods on this task.
2. Materials and Methods
2.1. Problem Description
2.2. Dense Reconstruction Model
2.3. Fast 3-D/3-D Registration
2.4. Loss Design and Training Strategy
3. Experimental Results
3.1. Dataset
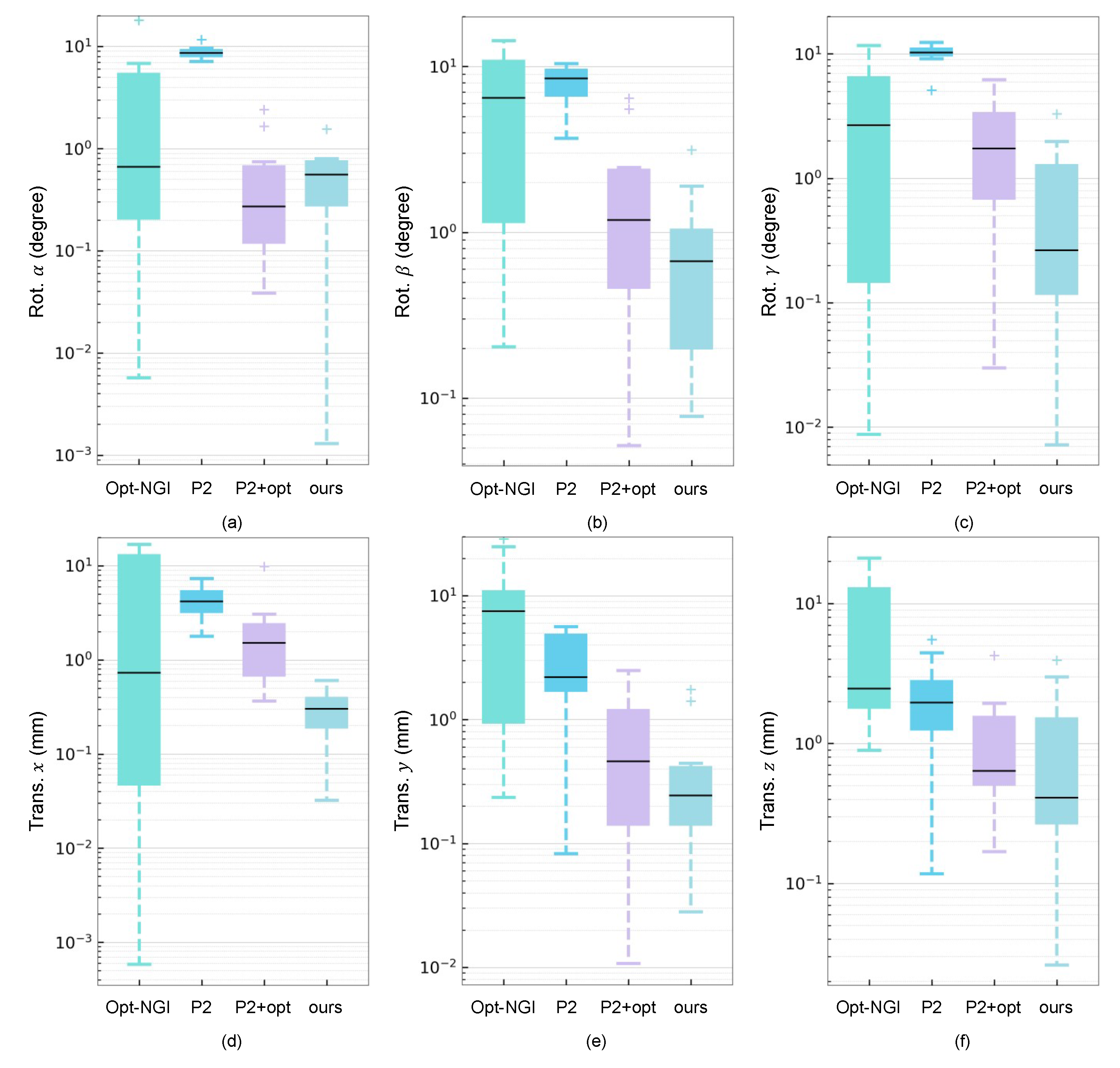
3.2. Metrics
3.3. Results
4. Discussion
5. Conclusions
Author Contributions
Funding
Institutional Review Board Statement
Informed Consent Statement
Data Availability Statement
Conflicts of Interest
Abbreviations
| MIS | Minimally invasive surgery |
| CT | Computed tomography |
| CBCT | Cone beam computed tomography |
| MRI | Magnetic resonance imaging |
| DoF | Degree-of-Freedom |
| AP | Anterior-posterior |
| LAT | Lateral |
| DRR | Digitally reconstructed radiogragh |
| POI | Point of interest |
| MSE | Mean square error |
| mTRE | Mean target registration error |
| GFR | Gross failure rate |
References
- Hunsche, S.; Sauner, D.; El Majdoub, F.; Neudorfer, C.; Poggenborg, J.; Goßmann, A.; Maarouf, M. Intensity-based 2D 3D registration for lead localization in robot guided deep brain stimulation. Phys. Med. Biol. 2017, 62, 2417. [Google Scholar] [CrossRef] [PubMed]
- Rossitti, S.; Pfister, M. 3D road-mapping in the endovascular treatment of cerebral aneurysms and arteriovenous malformations. Interv. Neuroradiol. 2009, 15, 283–290. [Google Scholar] [CrossRef] [Green Version]
- Hoffmann, M.; Kowalewski, C.; Maier, A.; Kurzidim, K.; Strobel, N.; Hornegger, J. Contrast-based 3D/2D registration of the left atrium: Fast versus consistent. Int. J. Biomed. Imaging 2016, 2016. [Google Scholar] [CrossRef] [PubMed] [Green Version]
- Markelj, P.; Tomaževič, D.; Likar, B.; Pernuš, F. A review of 3D/2D registration methods for image-guided interventions. Med. Image Anal. 2012, 16, 642–661. [Google Scholar] [CrossRef] [PubMed]
- Liao, R.; Zhang, L.; Sun, Y.; Miao, S.; Chefd’Hotel, C. A review of recent advances in registration techniques applied to minimally invasive therapy. IEEE Trans. Multimed. 2013, 15, 983–1000. [Google Scholar] [CrossRef]
- Wang, J.; Schaffert, R.; Borsdorf, A.; Heigl, B.; Huang, X.; Hornegger, J.; Maier, A. Dynamic 2-D/3-D rigid registration framework using point-to-plane correspondence model. IEEE Trans. Med. Imaging 2017, 36, 1939–1954. [Google Scholar] [CrossRef] [PubMed]
- Miao, S.; Piat, S.; Fischer, P.; Tuysuzoglu, A.; Mewes, P.; Mansi, T.; Liao, R. Dilated fcn for multi-agent 2d/3d medical image registration. In Proceedings of the AAAI Conference on Artificial Intelligence, New Orleans, LA, USA, 2–7 February 2018; Volume 32. [Google Scholar]
- Kruger, J.; Westermann, R. Acceleration techniques for GPU-based volume rendering. In Proceedings of the IEEE Visualization, VIS 2003, Seattle, WA, USA, 19–24 October 2003; pp. 287–292. [Google Scholar]
- De Silva, T.; Uneri, A.; Ketcha, M.; Reaungamornrat, S.; Kleinszig, G.; Vogt, S.; Aygun, N.; Lo, S.; Wolinsky, J.; Siewerdsen, J. 3D–2D image registration for target localization in spine surgery: Investigation of similarity metrics providing robustness to content mismatch. Phys. Med. Biol. 2016, 61, 3009. [Google Scholar] [CrossRef] [PubMed] [Green Version]
- Tornai, G.J.; Cserey, G.; Pappas, I. Fast DRR generation for 2D to 3D registration on GPUs. Med. Phys. 2012, 39, 4795–4799. [Google Scholar] [CrossRef]
- Chen, X.; Varley, M.R.; Shark, L.K.; Shentall, G.S.; Kirby, M.C. An extension of iterative closest point algorithm for 3d-2d registration for pre-treatment validation in radiotherapy. In Proceedings of the International Conference on Medical Information Visualisation-BioMedical Visualisation (MedVis’ 06), London, UK, 5–7 July 2006; pp. 3–8. [Google Scholar]
- Tomazevic, D.; Likar, B.; Pernus, F. 3-D/2-D registration by integrating 2-D information in 3-D. IEEE Trans. Med. Imaging 2005, 25, 17–27. [Google Scholar] [CrossRef] [PubMed]
- Markelj, P.; Tomazevic, D.; Pernus, F.; Likar, B. Robust gradient-based 3-D/2-D registration of CT and MR to X-ray images. IEEE Trans. Med. Imaging 2008, 27, 1704–1714. [Google Scholar] [CrossRef]
- Miao, S.; Wang, Z.J.; Liao, R. A CNN regression approach for real-time 2D/3D registration. IEEE Trans. Med. Imaging 2016, 35, 1352–1363. [Google Scholar] [CrossRef]
- Liao, H.; Lin, W.A.; Zhang, J.; Zhang, J.; Luo, J.; Zhou, S.K. Multiview 2D/3D rigid registration via a point-of-interest network for tracking and triangulation. In Proceedings of the IEEE/CVF Conference on Computer Vision and Pattern Recognition, Long Beach, CA, USA, 16–20 June 2019; pp. 12638–12647. [Google Scholar]
- Ying, X.; Guo, H.; Ma, K.; Wu, J.; Weng, Z.; Zheng, Y. X2CT-GAN: Reconstructing CT from biplanar X-rays with generative adversarial networks. In Proceedings of the IEEE/CVF Conference on Computer Vision and Pattern Recognition, Long Beach, CA, USA, 16–20 June 2019; pp. 10619–10628. [Google Scholar]
- Choy, C.B.; Xu, D.; Gwak, J.; Chen, K.; Savarese, S. 3d-r2n2: A unified approach for single and multi-view 3d object reconstruction. In European Conference on Computer Vision; Springer: Berlin/Heidelberg, Germany, 2016; pp. 628–644. [Google Scholar]
- Fan, H.; Su, H.; Guibas, L.J. A point set generation network for 3d object reconstruction from a single image. In Proceedings of the IEEE Conference on Computer Vision and Pattern Recognition, Honolulu, HI, USA, 21–26 July 2017; pp. 605–613. [Google Scholar]
- Jiang, L.; Shi, S.; Qi, X.; Jia, J. Gal: Geometric adversarial loss for single-view 3d-object reconstruction. In Proceedings of the European Conference on Computer Vision (ECCV), Munich, Germany, 8–14 September 2018; pp. 802–816. [Google Scholar]
- Herman, G.T. Fundamentals of Computerized Tomography: Image Reconstruction from Projections; Springer Science & Business Media: Berlin/Heidelberg, Germany, 2009. [Google Scholar]
- Henzler, P.; Rasche, V.; Ropinski, T.; Ritschel, T. Single-image tomography: 3d volumes from 2d X-rays. arXiv Prepr. 2017, arXiv:1710.04867. [Google Scholar] [CrossRef] [Green Version]
- Huang, G.; Liu, Z.; Van Der Maaten, L.; Weinberger, K.Q. Densely connected convolutional networks. In Proceedings of the IEEE Conference on Computer Vision and Pattern Recognition, Honolulu, HI, USA, 21–26 July 2017; pp. 4700–4708. [Google Scholar]
- Isola, P.; Zhu, J.Y.; Zhou, T.; Efros, A.A. Image-to-image translation with conditional adversarial networks. In Proceedings of the IEEE Conference on Computer Vision and Pattern Recognition, Honolulu, HI, USA, 21–26 July 2017; pp. 1125–1134. [Google Scholar]
- Goceri, E. Analysis of deep networks with residual blocks and different activation functions: Classification of skin diseases. In Proceedings of the 2019 Ninth International Conference on Image Processing Theory, Tools and Applications (IPTA), Istanbul, Turkey, 6–9 November 2019; pp. 1–6. [Google Scholar]
- Mahesh, M. The essential physics of medical imaging. Med. Phys. 2013, 40, 077301. [Google Scholar] [CrossRef]
- He, Y.Q.; He, S.; Shen, Y.X. Application of a new method of revealing foramen ovale under X-ray in radiofrequency ablation in the treatment of trigeminal neuralgia. Br. J. Neurosurg. 2011, 25, 674–676. [Google Scholar] [CrossRef] [PubMed]
- Chilamkurthy, S.; Ghosh, R.; Tanamala, S.; Biviji, M.; Campeau, N.G.; Venugopal, V.K.; Mahajan, V.; Rao, P.; Warier, P. Development and validation of deep learning algorithms for detection of critical findings in head CT scans. arXiv Prepr. 2018, arXiv:1803.05854. [Google Scholar]
- Wein, W.; Roeper, B.; Navab, N. 2D/3D registration based on volume gradients. In Proceedings of the Medical Imaging 2005: Image Processing, San Diego, CA, USA, 12–17 February 2005; Volume 5747, pp. 144–150. [Google Scholar]
- Van de Kraats, E.B.; Penney, G.P.; Tomazevic, D.; Van Walsum, T.; Niessen, W.J. Standardized evaluation methodology for 2-D-3-D registration. IEEE Trans. Med. Imaging 2005, 24, 1177–1189. [Google Scholar] [CrossRef] [PubMed]
- Guo, Z.; Wu, B.; Du, C.; Cheng, M.; Tian, Y. Stereotactic approach combined with 3D CT reconstruction for difficult-to-access foramen ovale on radiofrequency thermocoagulation of the gasserian ganglion for trigeminal neuralgia. Pain Med. 2016, 17, 1704–1716. [Google Scholar] [CrossRef] [PubMed] [Green Version]
- Otake, Y.; Wang, A.S.; Stayman, J.W.; Uneri, A.; Kleinszig, G.; Vogt, S.; Khanna, A.J.; Gokaslan, Z.L.; Siewerdsen, J.H. Robust 3D–2D image registration: Application to spine interventions and vertebral labeling in the presence of anatomical deformation. Phys. Med. Biol. 2013, 58, 8535. [Google Scholar] [CrossRef] [PubMed] [Green Version]













| CT Series | Methods | Rot. Error () | Trans. Error (mm) | mTRE↓ | ||||
|---|---|---|---|---|---|---|---|---|
| α | β | γ | x | y | z | |||
| #1 | Opt-NGI | 6.42 | 7.27 | 4.80 | 15.03 | 8.27 | 16.30 | 24.09 |
| P2 | 9.27 | 10.07 | 9.14 | 1.78 | 4.59 | 3.05 | 14.29 | |
| P2+opt | 0.09 | 2.21 | 0.73 | 3.07 | 0.02 | 0.53 | 3.21 | |
| ours | 0.74 | 0.67 | 0.34 | 0.49 | 0.27 | 0.45 | 0.86 | |
| #2 | Opt-NGI | 0.78 | 5.68 | 0.03 | 0.82 | 0.48 | 2.13 | 2.93 |
| P2 | 7.90 | 8.21 | 9.90 | 2.74 | 2.00 | 4.44 | 12.84 | |
| P2+opt | 0.12 | 0.29 | 0.03 | 2.07 | 0.01 | 0.59 | 2.18 | |
| ours | 0.43 | 1.14 | 1.43 | 0.03 | 0.03 | 0.70 | 1.48 | |
| #3 | Opt-NGI | 6.78 | 14.31 | 5.82 | 10.87 | 28.82 | 2.55 | 31.59 |
| P2 | 9.57 | 6.11 | 9.60 | 4.52 | 1.49 | 0.12 | 12.58 | |
| P2+opt | 2.41 | 1.29 | 0.67 | 0.37 | 2.50 | 1.94 | 3.56 | |
| ours | 0.67 | 3.14 | 3.29 | 0.19 | 1.75 | 3.93 | 4.96 | |
| #4 | Opt-NGI | 18.04 | 0.20 | 11.69 | 13.76 | 24.85 | 21.10 | 35.80 |
| P2 | 8.75 | 8.73 | 12.28 | 3.18 | 1.67 | 2.00 | 14.29 | |
| P2+opt | 0.04 | 1.07 | 2.29 | 1.55 | 0.48 | 0.50 | 1.65 | |
| ours | 0.79 | 0.10 | 0.19 | 0.33 | 0.12 | 0.12 | 0.64 | |
| #5 | Opt-NGI | 0.08 | 12.29 | 11.59 | 0.0006 | 8.34 | 1.68 | 10.18 |
| P2 | 7.55 | 6.25 | 10.61 | 3.86 | 0.08 | 0.51 | 11.74 | |
| P2+opt | 0.74 | 5.54 | 6.18 | 0.61 | 0.44 | 0.17 | 6.05 | |
| ours | 0.001 | 0.66 | 0.87 | 0.29 | 0.44 | 0.37 | 1.05 | |
| #6 | Opt-NGI | 0.18 | 1.31 | 0.46 | 16.83 | 11.77 | 19.68 | 28.48 |
| P2 | 9.17 | 3.68 | 5.10 | 4.94 | 5.63 | 1.94 | 10.39 | |
| P2+opt | 0.13 | 0.46 | 0.59 | 9.82 | 1.66 | 1.79 | 10.19 | |
| ours | 0.35 | 0.08 | 0.009 | 0.42 | 0.33 | 0.03 | 0.59 | |
| #7 | Opt-NGI | 2.40 | 1.10 | 0.04 | 0.001 | 2.21 | 2.68 | 3.62 |
| P2 | 11.63 | 10.42 | 9.95 | 3.29 | 2.40 | 5.51 | 14.95 | |
| P2+opt | 1.64 | 6.43 | 3.69 | 0.67 | 0.08 | 4.24 | 6.70 | |
| ours | 0.08 | 1.90 | 1.97 | 0.32 | 1.41 | 2.99 | 3.58 | |
| #8 | Opt-NGI | 0.28 | 9.23 | 0.009 | 0.12 | 0.52 | 0.89 | 4.00 |
| P2 | 8.51 | 8.88 | 12.40 | 7.32 | 4.98 | 2.05 | 14.28 | |
| P2+opt | 0.29 | 0.05 | 2.41 | 2.54 | 0.67 | 0.88 | 3.08 | |
| ours | 0.77 | 0.25 | 0.007 | 0.60 | 0.07 | 0.26 | 0.90 | |
| #9 | Opt-NGI | 0.006 | 11.42 | 6.76 | 0.65 | 6.74 | 1.07 | 8.22 |
| P2 | 7.14 | 9.83 | 11.06 | 5.55 | 5.61 | 1.12 | 13.37 | |
| P2+opt | 0.25 | 0.46 | 1.19 | 0.71 | 0.31 | 0.69 | 1.37 | |
| ours | 1.54 | 0.76 | 0.11 | 0.19 | 0.22 | 1.79 | 2.03 | |
| #10 | Opt-NGI | 0.54 | 0.39 | 0.55 | 0.02 | 0.23 | 2.38 | 2.37 |
| P2 | 8.32 | 7.76 | 11.10 | 6.18 | 1.78 | 1.65 | 14.05 | |
| P2+opt | 0.46 | 2.45 | 5.09 | 1.46 | 1.37 | 0.21 | 3.89 | |
| ours | 0.25 | 0.18 | 0.15 | 0.04 | 0.21 | 0.28 | 0.44 | |
| Methods | Running Time(s) |
|---|---|
| Opt-NGI | 18.1 ± 2.4 |
| P2 | 0.7 ± 0.1 |
| P2+opt | 1.9 ± 0.8 |
| ours | 1.8 ± 0.3 |
Publisher’s Note: MDPI stays neutral with regard to jurisdictional claims in published maps and institutional affiliations. |
© 2021 by the authors. Licensee MDPI, Basel, Switzerland. This article is an open access article distributed under the terms and conditions of the Creative Commons Attribution (CC BY) license (https://creativecommons.org/licenses/by/4.0/).
Share and Cite
An, Z.; Ma, H.; Liu, L.; Wang, Y.; Lu, H.; Zhou, C.; Xiong, R.; Hu, J. Robust Orthogonal-View 2-D/3-D Rigid Registration for Minimally Invasive Surgery. Micromachines 2021, 12, 844. https://doi.org/10.3390/mi12070844
An Z, Ma H, Liu L, Wang Y, Lu H, Zhou C, Xiong R, Hu J. Robust Orthogonal-View 2-D/3-D Rigid Registration for Minimally Invasive Surgery. Micromachines. 2021; 12(7):844. https://doi.org/10.3390/mi12070844
Chicago/Turabian StyleAn, Zhou, Honghai Ma, Lilu Liu, Yue Wang, Haojian Lu, Chunlin Zhou, Rong Xiong, and Jian Hu. 2021. "Robust Orthogonal-View 2-D/3-D Rigid Registration for Minimally Invasive Surgery" Micromachines 12, no. 7: 844. https://doi.org/10.3390/mi12070844
APA StyleAn, Z., Ma, H., Liu, L., Wang, Y., Lu, H., Zhou, C., Xiong, R., & Hu, J. (2021). Robust Orthogonal-View 2-D/3-D Rigid Registration for Minimally Invasive Surgery. Micromachines, 12(7), 844. https://doi.org/10.3390/mi12070844

