Blood Lines: Intraspecific and Interspecific Variations in Anticoagulant Actions of Agkistrodon Viperid Venoms
Abstract
1. Introduction
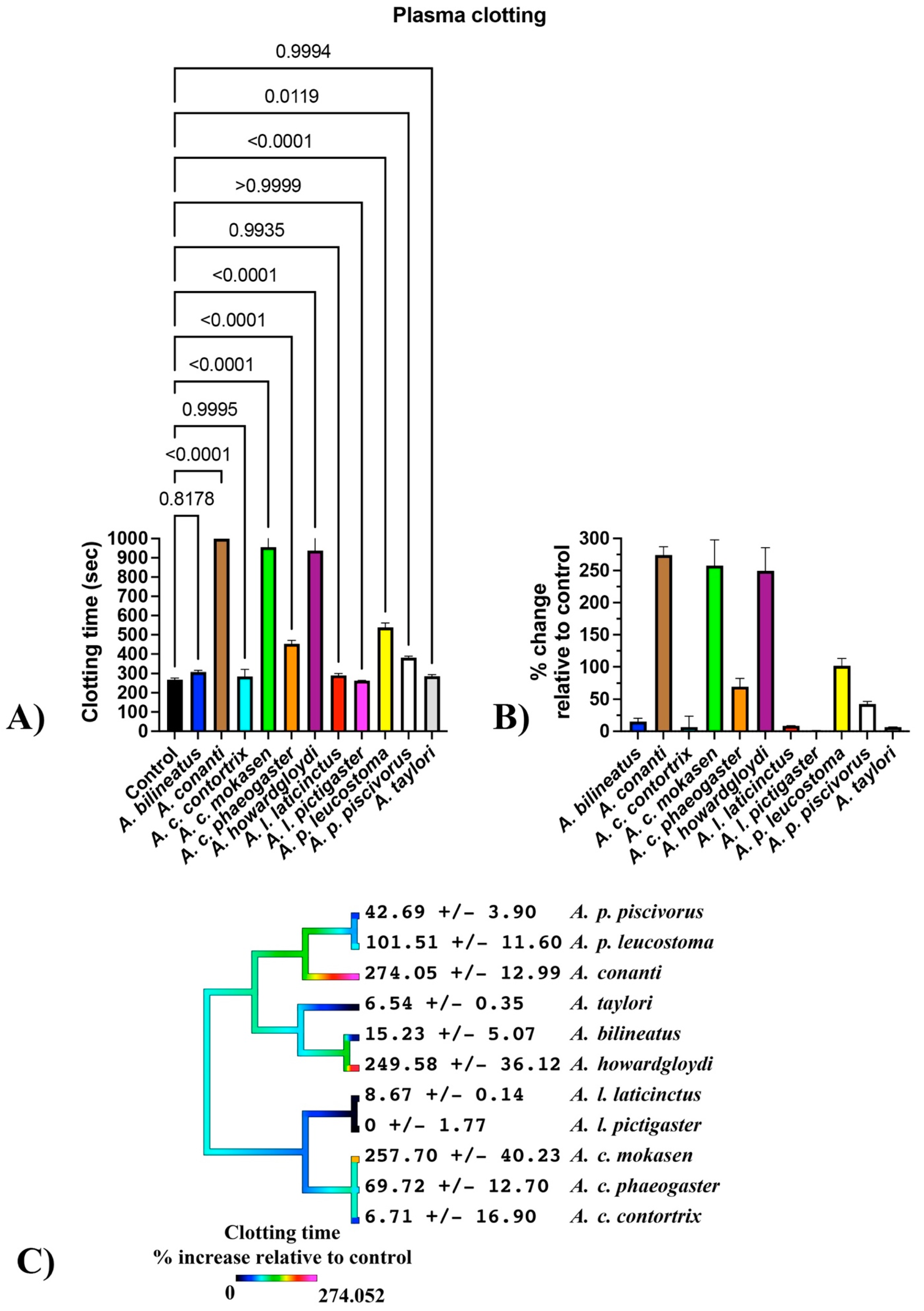
2. Results and Discussion
3. Materials and Methods
3.1. Venoms
3.2. Coagulation Methods
- (Clotting enzyme + venom) + plasma
- ○
- Undertaken to ascertain sites of actions upon particular enzymes.
- ○
- Step 1: 50 µL of venom + 50 µL of 0.025 M calcium + 25 µL of OK buffer + 50 µL of PPL + 75 µL of human plasma.
- ○
- Step 2: 120 s incubation at 37 °C.
- ○
- Step 3: Addition of 25 µL of enzyme.
- (Venom + plasma) + clotting factor
- ○
- Undertaken to ascertain sites of action upon zymogens downstream from a particular enzyme.
- ○
- Step 1: 50 µL of venom + 50 µL of 0.025 M calcium + 25 µL of OK buffer + 50 µL of PPL + 75 µL of human plasma.
- ○
- Step 2: 120 s incubation at 37 °C.
- ○
- Step 3: Addition of 25 µL of enzyme.
- Enzymes used:
- ○
- Factor IIa (thrombin), Stago cat. #00611.
- ○
- Factor VIIa, 1.5 µg/mL, Haemonetics cat. #HCVIIA-0031.
- ○
- Factor IXa, 15 μg/mL, Haemonetics cat. #HCXIA-0160.
- ○
- Factor Xa, Stago kit; cat. # 00311.
- ○
- Factor Xia, 15 µg/mL, Haemonetics cat. #HCXIA-0160.
- ○
- Factor XII (activated with kaolin), 15 µg/mL, Haemonetics cat. #HCXII-0155.
- Seven µL of venom was added to 72 µL of CaCl2, 72 µL of phospholipid, and 20 µL of Owren–Keller buffer, followed by 189 µL of fibrinogen and then run immediately for 30 min measurement of clot formation.
- As the venoms did not directly clot the fibrinogen, assays were completed with an additional step by adding 7 µL of thrombin followed by a further 30 min to determine if the fibrinogen had been destroyed by the venom to prevent clotting.
- In total, 10 μL of phospholipid, 10 μL of venom (containing 1 μg of venom), and 10 μL of Protein C zymogen (containing 10 μg total of zymogen) were manually pipetted, followed by the automated pipetting of 70 μL of a mixture of buffer (5 mM CaCl2, 150 mM NaCl, and 50 mM Tris-HCl at pH 7.3) and fluorogenic peptide substrate (ES011 substrate Boc-Val-Pro-Arg-AMC; Boc: t-Butyloxycarbonyl; 7-Amino-4- methyl coumarin) into each experimental well of a 384-well plate.
- Activated factors were used in place of zymogens as positive controls.
- The zymogens were also replaced in the venom control wells by 10 μL of Fluoroskan buffer to determine the activity of the venom directly upon the substrate.
- Fluorescence generated by the cleaving of the substrate was automatically recorded by the machine. The results were obtained by subtracting blank values from reactions, followed by the subtraction of the venom without zymogen from the venom with zymogen.
3.3. Phytools Methods
- library(ape)
- library(maps)
- library(phytools)
- data<-read.csv(file.choose())
- dat<-data
- mapvar<-dat$var
- names(mapvar)<-dat$species
- tree<-read.tree(file.choose())
- asr<-contMap(tree,mapvar,plot=F)
- plot(setMap(asr,col=c(1,4,5,3,7,2,6)),lwd=10)
3.4. Statistical Analyses
Author Contributions
Funding
Institutional Review Board Statement
Informed Consent Statement
Data Availability Statement
Conflicts of Interest
References
- Campbell, J.A.; Lamar, W.W. The Venomous Reptiles of the Western Hemisphere; Cornell University Press: Ithaca, NY, USA, 2004; Volume 2. [Google Scholar]
- Burbrink, F.T.; Guiher, T.J. Considering gene flow when using coalescent methods to delimit lineages of North American pitvipers of the genus Agkistrodon. Zool. J. Linn. Soc. 2015, 173, 505–526. [Google Scholar] [CrossRef]
- Lomonte, B.; Tsai, W.C.; Urena-Diaz, J.M.; Sanz, L.; Mora-Obando, D.; Sanchez, E.E.; Fry, B.G.; Gutierrez, J.M.; Gibbs, H.L.; Sovic, M.G.; et al. Venomics of New World pit vipers: Genus-wide comparisons of venom proteomes across Agkistrodon. J. Proteom. 2014, 96, 103–116. [Google Scholar] [CrossRef]
- Wills, B.K.; Billet, M.; Rose, S.R.; Cumpston, K.L.; Counselman, F.; Shaw, K.J.; Cresswell, K.G.; Charlton, N. Prevalence of hematologic toxicity from copperhead envenomation: An observational study. Clin. Toxicol. 2020, 58, 262–265. [Google Scholar] [CrossRef]
- Domanski, K.; Kleinschmidt, K.C.; Greene, S.; Ruha, A.M.; Bebarta, V.S.; Onisko, N.; Campleman, S.; Brent, J.; Wax, P.; Tox, I.C.N.A.S.R.G. Cottonmouth snake bites reported to the ToxIC North American snakebite registry 2013–2017. Clin. Toxicol. 2020, 58, 178–182. [Google Scholar] [CrossRef]
- Gerardo, C.J.; Vissoci, J.R.; Brown, M.W.; Bush, S.P. Coagulation parameters in copperhead compared to other Crotalinae envenomation: Secondary analysis of the F(ab’)(2) versus Fab antivenom trial. Clin. Toxicol. 2017, 55, 109–114. [Google Scholar] [CrossRef] [PubMed]
- Thorson, A.; Lavonas, E.J.; Rouse, A.M.; Kerns, W.P., 2nd. Copperhead envenomations in the Carolinas. J. Toxicol. Clin. Toxicol. 2003, 41, 29–35. [Google Scholar] [CrossRef] [PubMed]
- Kopec, K.T.; Yen, M.; Bitner, M.; Evans, C.S.; Gerardo, C.J. Marked hypofibrinogenemia and gastrointestinal bleeding after copperhead (Agkistrodon contortrix) envenomation. Wilderness Environ. Med. 2015, 26, 488–490. [Google Scholar] [CrossRef]
- Lawrence, W.T.; Giannopoulos, A.; Hansen, A. Pit viper bites: Rational management in locales in which copperheads and cottonmouths predominate. Ann. Plast. Surg. 1996, 36, 276–285. [Google Scholar] [CrossRef]
- Lonati, D.; Butera, R.; Cima, M.; Cozzio, S.; Locatelli, C.; Manzo, L. Exotic snakes in Europe. A case of Mexican Moccasin (Agkistrodon bilineatus) snakebite. Presse Med. 2004, 33, 1582–1584. [Google Scholar] [CrossRef]
- Casewell, N.R.; Wuster, W.; Vonk, F.J.; Harrison, R.A.; Fry, B.G. Complex cocktails: The evolutionary novelty of venoms. Trends Ecol. Evol. 2013, 28, 219–229. [Google Scholar] [CrossRef]
- Bedraoui, A.; Suntravat, M.; Mejjad, S.E.; Enezari, S.; Oukkache, N.; Sanchez, E.E.; Galan, J.A.; Fatimy, R.E.; Daouda, T. Therapeutic potential of snake venom: Toxin distribution and opportunities in deep learning for novel drug discovery. Med. Drug Discov. 2024, 21, 100175. [Google Scholar] [CrossRef]
- Bittenbinder, M.A.; Dobson, J.S.; Zdenek, C.N.; Op den Brouw, B.; Naude, A.; Vonk, F.J.; Fry, B.G. Differential destructive (non-clotting) fibrinogenolytic activity in Afro-Asian elapid snake venoms and the links to defensive hooding behavior. Toxicol. Vitr. 2019, 60, 330–335. [Google Scholar] [CrossRef] [PubMed]
- Bittenbinder, M.A.; Zdenek, C.N.; Op den Brouw, B.; Youngman, N.J.; Dobson, J.S.; Naude, A.; Vonk, F.J.; Fry, B.G. Coagulotoxic cobras: Clinical implications of strong anticoagulant actions of african spitting Naja venoms that are not neutralised by antivenom but are by LY315920 (Varespladib). Toxins 2018, 10, 516. [Google Scholar] [CrossRef] [PubMed]
- Coimbra, F.C.P.; Dobson, J.; Zdenek, C.N.; Brouw, O.d.B.; Hamilton, B.; Debono, J.; Masci, P.; Frank, N.; Ge, L.; Kwok, H.F.; et al. Does size matter? Venom proteomic and functional comparison between night adder species (Viperidae: Causus) with short and long venom glands. Comp. Biochem. Physiol. C Toxicol. Pharmacol. 2018, 211, 7–14. [Google Scholar] [CrossRef] [PubMed]
- Debono, J.; Bos, M.H.A.; Coimbra, F.; Ge, L.; Frank, N.; Kwok, H.F.; Fry, B.G. Basal but divergent: Clinical implications of differential coagulotoxicity in a clade of Asian vipers. Toxicol. Vitr. 2019, 58, 195–206. [Google Scholar] [CrossRef] [PubMed]
- Debono, J.; Bos, M.H.A.; Do, M.S.; Fry, B.G. Clinical implications of coagulotoxic variations in Mamushi (Viperidae: Gloydius) snake venoms. Comp. Biochem. Physiol. Toxicol. Pharmacol. CBP 2019, 225, 108567. [Google Scholar] [CrossRef] [PubMed]
- Debono, J.; Bos, M.H.A.; Frank, N.; Fry, B. Clinical implications of differential antivenom efficacy in neutralising coagulotoxicity produced by venoms from species within the arboreal viperid snake genus Trimeresurus. Toxicol. Lett. 2019, 316, 35–48. [Google Scholar] [CrossRef] [PubMed]
- Debono, J.; Bos, M.H.A.; Nouwens, A.; Ge, L.; Frank, N.; Kwok, H.F.; Fry, B.G. Habu coagulotoxicity: Clinical implications of the functional diversification of Protobothrops snake venoms upon blood clotting factors. Toxicol. Vitr. 2018, 55, 62–74. [Google Scholar] [CrossRef] [PubMed]
- Dobson, J.; Yang, D.C.; Op den Brouw, B.; Cochran, C.; Huynh, T.; Kurrupu, S.; Sanchez, E.E.; Massey, D.J.; Baumann, K.; Jackson, T.N.W.; et al. Rattling the border wall: Pathophysiological implications of functional and proteomic venom variation between Mexican and US subspecies of the desert rattlesnake Crotalus scutulatus. Comp. Biochem. Physiol. Toxicol. Pharmacol. CBP 2017, 205, 62–69. [Google Scholar] [CrossRef]
- Jones, L.; Youngman, N.J.; Neri-Castro, E.; Guadarrama-Martinez, A.; Lewin, M.R.; Carter, R.; Frank, N.; Fry, B.G. Differential antivenom and small-molecule inhibition of novel coagulotoxic variations in Atropoides, Cerrophidion, Metlapilcoatlus, and Porthidium American viperid snake venoms. Toxins 2022, 14, 511. [Google Scholar] [CrossRef]
- Youngman, N.J.; Carlsson, D.J.; Jones, L.; Neri-Castro, E.; Alagon, A.; Fry, B.G. Cloud serpent coagulotoxicity: The biochemical mechanisms underpinning the anticoagulant actions of Mixcoatlus and Ophryacus venoms. Toxicon 2022, 211, 44–49. [Google Scholar] [CrossRef] [PubMed]
- Utkin, Y.; Sunagar, K.; Jackson, T.N.W.; Reeks, T.; Fry, B.G. Three-Finger Toxins (3FTxs). In Venomous Reptiles and Their Toxins: Evolution, Pathophysiology and Biodiscovery; Fry, B.G., Ed.; Oxford University Press: New York, NY, USA, 2015; pp. 215–227. [Google Scholar]
- Tan, N.H.; Fry, B.G.; Sunagar, K.; Jackson, T.N.W.; Reeks, T.; Fung, S.Y. L-amino acid oxidase enzymes. In Venomous Reptiles and Their Toxins: Evolution, Pathophysiology and Biodiscovery; Fry, B.G., Ed.; Oxford University Press: New York, NY, USA, 2015; pp. 215–227. [Google Scholar]
- Arlinghaus, F.T.; Fry, B.G.; Sunagar, K.K.; Jackson, T.N.W.; Eble, J.A.; Reeks, T.; Clemetson, K.J. Lectin proteins. In Venomous Reptiles and Their Toxins: Evolution, Pathophysiology and Biodiscovery; Fry, B.G., Ed.; Oxford University Press: New York, NY, USA, 2015; pp. 299–311. [Google Scholar]
- Fry, B.G.; Jackson, T.N.W.; Takacs, Z.; Reeks, T.; Sunagar, K. C-type natriuretic peptides. In Venomous Reptiles and Their Toxins: Evolution, Pathophysiology and Biodiscovery; Fry, B.G., Ed.; Oxford University Press: New York, NY, USA, 2015; pp. 318–326. [Google Scholar]
- Sunagar, K.; Jackson, T.N.W.; Reeks, T.; Fry, B.G. Group I Phospholipase A2 Enzymes. In Venomous Reptiles and Their Toxins: Evolution, Pathophysiology and Biodiscovery; Fry, B.G., Ed.; Oxford University Press: New York, NY, USA, 2015; pp. 327–334. [Google Scholar]
- Sunagar, K.; Tsai, I.H.; Lomonte, B.; Jackson, T.N.W.; Fry, B.G. Group II Phospholipase A2 Enzymes. In Venomous Reptiles and Their Toxins: Evolution, Pathophysiology and Biodiscovery; Fry, B.G., Ed.; Oxford University Press: New York, NY, USA, 2015; pp. 335–340. [Google Scholar]
- Casewell, N.R.; Sunagar, K.; Takacs, Z.; Calvete, J.J.; Jackson, T.N.W.; Fry, B.G. Snake venom metalloprotease enzymes. In Venomous Reptiles and Their Toxins: Evolution, Pathophysiology and Biodiscovery; Fry, B.G., Ed.; Oxford University Press: New York, NY, USA, 2015; pp. 347–363. [Google Scholar]
- Banerjee, Y.; Mizuguchi, J.; Iwanaga, S.; Kini, R.M. Hemextin AB complex, a unique anticoagulant protein complex from Hemachatus haemachatus (African Ringhals cobra) venom that inhibits clot initiation and factor VIIa activity. J. Biol. Chem. 2005, 280, 42601–42611. [Google Scholar] [CrossRef] [PubMed]
- Girish, V.M.; Kini, R.M. Exactin: A specific inhibitor of Factor X activation by extrinsic tenase complex from the venom of Hemachatus haemachatus. Sci. Rep. 2016, 6, 32036. [Google Scholar] [CrossRef] [PubMed]
- Chen, W.; Carvalho, L.P.; Chan, M.Y.; Kini, R.M.; Kang, T.S. Fasxiator, a novel factor XIa inhibitor from snake venom, and its site-specific mutagenesis to improve potency and selectivity. J. Thromb. Haemost. 2015, 13, 248–261. [Google Scholar] [CrossRef] [PubMed]
- Lu, Q.; Clemetson, J.M.; Clemetson, K.J. Snake venoms and hemostasis. J. Thromb. Haemost. 2005, 3, 1791–1799. [Google Scholar] [CrossRef] [PubMed]
- Bakker, H.M.; Tans, G.; Yukelson, L.Y.; Janssen-Claessen, T.W.; Bertina, R.M.; Hemker, H.C.; Rosing, J. Protein C activation by an activator purified from the venom of Agkistrodon halys halys. Blood Coagul. Fibrinolysis 1993, 4, 605–614. [Google Scholar] [CrossRef][Green Version]
- Kisiel, W.; Kondo, S.; Smith, K.J.; McMullen, B.A.; Smith, L.F. Characterization of a protein C activator from Agkistrodon contortrix contortrix venom. J. Biol. Chem. 1987, 262, 12607–12613. [Google Scholar] [CrossRef]
- Kogan, A.E.; Bashkov, G.V.; Bobruskin, I.D.; Romanova, E.P.; Makarov, V.A.; Strukova, S.M. Protein C activator from the venom of Agkistrodon blomhoffi ussuriensis retards thrombus formation in the arterio-venous shunt in rats. Thromb. Res. 1993, 70, 385–393. [Google Scholar] [CrossRef] [PubMed]
- Nakagaki, T.; Kazim, A.L.; Kisiel, W. Isolation and characterization of a protein C activator from tropical moccasin venom. Thromb. Res. 1990, 58, 593–602. [Google Scholar] [CrossRef]
- Vaiyapuri, S.; Sunagar, K.; Gibbins, J.M.; Jackson, T.N.W.; Reeks, T.; Fry, B.G. Kallikrein Enzymes In Venomous Reptiles and Their Toxins: Evolution, Pathophysiology and Biodiscovery; Fry, B.G., Ed.; Oxford University Press: New York, NY, USA, 2015; pp. 267–280. [Google Scholar]
- Kerns, R.T.; Kini, R.M.; Stefansson, S.; Evans, H.J. Targeting of venom phospholipases: The strongly anticoagulant phospholipase A(2) from Naja nigricollis venom binds to coagulation factor Xa to inhibit the prothrombinase complex. Arch. Biochem. Biophys. 1999, 369, 107–113. [Google Scholar] [CrossRef]
- Kini, R.M. Structure-function relationships and mechanism of anticoagulant phospholipase A2 enzymes from snake venoms. Toxicon 2005, 45, 1147–1161. [Google Scholar] [CrossRef] [PubMed]
- Mukherjee, A.K.; Kalita, B.; Thakur, R. Two acidic, anticoagulant PLA2 isoenzymes purified from the venom of monocled cobra Naja kaouthia exhibit different potency to inhibit thrombin and factor Xa via phospholipids independent, non-enzymatic mechanism. PLoS ONE 2014, 9, e101334. [Google Scholar] [CrossRef] [PubMed]
- Monteiro, R.Q. Targeting exosites on blood coagulation proteases. Acad. Bras. Cienc. 2005, 77, 275–280. [Google Scholar] [CrossRef] [PubMed][Green Version]
- Monteiro, R.Q.; Zingali, R.B. Inhibition of prothrombin activation by bothrojaracin, a C-type lectin from Bothrops jararaca venom. Arch. Biochem. Biophys. 2000, 382, 123–128. [Google Scholar] [CrossRef] [PubMed]
- Oliveira-Carvalho, A.L.; Guimaraes, P.R.; Abreu, P.A.; Dutra, D.L.; Junqueira-de-Azevedo, I.L.; Rodrigues, C.R.; Ho, P.L.; Castro, H.C.; Zingali, R.B. Identification and characterization of a new member of snake venom thrombin inhibitors from Bothrops insularis using a proteomic approach. Toxicon 2008, 51, 659–671. [Google Scholar] [CrossRef] [PubMed]
- Zingali, R.B.; Bianconi, M.L.; Monteiro, R.Q. Interaction of bothrojaracin with prothrombin. Haemostasis 2001, 31, 273–278. [Google Scholar] [CrossRef] [PubMed]
- Zingali, R.B.; Ferreira, M.S.; Assafim, M.; Frattani, F.S.; Monteiro, R.Q. Bothrojaracin, a Bothrops jararaca snake venom-derived (pro)thrombin inhibitor, as an anti-thrombotic molecule. Pathophysiol. Haemost. Thromb. 2005, 34, 160–163. [Google Scholar] [CrossRef]
- Zingali, R.B.; Jandrot-Perrus, M.; Guillin, M.C.; Bon, C. Bothrojaracin, a new thrombin inhibitor isolated from Bothrops jararaca venom: Characterization and mechanism of thrombin inhibition. Biochemistry 1993, 32, 10794–10802. [Google Scholar] [CrossRef] [PubMed]
- Oulion, B.; Dobson, J.S.; Zdenek, C.N.; Arbuckle, K.; Lister, C.; Coimbra, F.C.P.; Op den Brouw, B.; Debono, J.; Rogalski, A.; Violette, A.; et al. Factor X activating Atractaspis snake venoms and the relative coagulotoxicity neutralising efficacy of African antivenoms. Toxicol. Lett. 2018, 288, 119–128. [Google Scholar] [CrossRef]
- Chowdhury, A.; Lewin, M.R.; Carter, R.W.; Casewell, N.R.; Fry, B.G. Keel venom: Rhabdophis subminiatus (Red-Necked Keelback) venom pathophysiologically affects diverse blood clotting pathways. Toxicon 2022, 218, 19–24. [Google Scholar] [CrossRef]
- Chowdhury, A.; Zdenek, C.N.; Dobson, J.S.; Bourke, L.A.; Soria, R.; Fry, B.G. Clinical implications of differential procoagulant toxicity of the palearctic viperid genus Macrovipera, and the relative neutralization efficacy of antivenoms and enzyme inhibitors. Toxicol. Lett. 2021, 340, 77–88. [Google Scholar] [CrossRef] [PubMed]
- Seneci, L.; Zdenek, C.N.; Chowdhury, A.; Rodrigues, C.F.B.; Neri-Castro, E.; Benard-Valle, M.; Alagon, A.; Fry, B.G. A clot twist: Extreme variation in coagulotoxicity mechanisms in Mexican neotropical rattlesnake venoms. Front. Immunol. 2021, 12, 612846. [Google Scholar] [CrossRef] [PubMed]
- Sousa, L.F.; Zdenek, C.N.; Dobson, J.S.; Op den Brouw, B.; Coimbra, F.; Gillett, A.; Del-Rei, T.H.M.; Chalkidis, H.M.; Sant’Anna, S.; Teixeira-da-Rocha, M.M.; et al. Coagulotoxicity of Bothrops (Lancehead Pit-Vipers) Venoms from Brazil: Differential biochemistry and antivenom efficacy resulting from prey-driven venom variation. Toxins 2018, 10, 411. [Google Scholar] [CrossRef] [PubMed]
- Koludarov, I.; Jackson, T.N.; Brouw, B.O.D.; Dobson, J.; Dashevsky, D.; Arbuckle, K.; Clemente, C.J.; Stockdale, E.J.; Cochran, C.; Debono, J.; et al. Enter the dragon: The dynamic and multifunctional evolution of Anguimorpha lizard venoms. Toxins 2017, 9, 242. [Google Scholar] [CrossRef] [PubMed]
- Sanchez, E.F.; Magalhes, A.; Mandelbaum, F.R.; Diniz, C.R. Purification and characterization of the hemorrhagic factor II from the venom of the Bushmaster snake (Lachesis muta muta). Biochim. Biophys. Acta 1991, 1074, 347–356. [Google Scholar] [CrossRef] [PubMed]
- Vaiyapuri, S.; Harrison, R.A.; Bicknell, A.B.; Gibbins, J.M.; Hutchinson, G. Purification and functional characterisation of rhinocerase, a novel serine protease from the venom of Bitis gabonica rhinoceros. PLoS ONE 2010, 5, e9687. [Google Scholar] [CrossRef] [PubMed]
- Muanpasitporn, C.; Rojnuckarin, P. Expression and characterization of a recombinant fibrinogenolytic serine protease from green pit viper (Trimeresurus albolabris) venom. Toxicon 2007, 49, 1083–1089. [Google Scholar] [CrossRef] [PubMed]
- Park, D.; Kim, H.; Chung, K.; Kim, D.S.; Yun, Y. Expression and characterization of a novel plasminogen activator from Agkistrodon halys venom. Toxicon 1998, 36, 1807–1819. [Google Scholar] [CrossRef] [PubMed]
- Sanchez, E.F.; Santos, C.I.; Magalhaes, A.; Diniz, C.R.; Figueiredo, S.; Gilroy, J.; Richardson, M. Isolation of a proteinase with plasminogen-activating activity from Lachesis muta muta (bushmaster) snake venom. Arch. Biochem. Biophys. 2000, 378, 131–141. [Google Scholar] [CrossRef]
- Zhang, Y.; Wisner, A.; Xiong, Y.; Bon, C. A novel plasminogen activator from snake venom. Purification, characterization, and molecular cloning. J. Biol. Chem. 1995, 270, 10246–10255. [Google Scholar] [CrossRef]
- Collen, D. Staphylokinase: A potent, uniquely fibrin-selective thrombolytic agent. Nat. Med. 1998, 4, 279–284. [Google Scholar] [CrossRef] [PubMed]
- Haiko, J.; Laakkonen, L.; Juuti, K.; Kalkkinen, N.; Korhonen, T.K. The omptins of Yersinia pestis and Salmonella enterica cleave the reactive center loop of plasminogen activator inhibitor 1. J. Bacteriol. 2010, 192, 4553–4561. [Google Scholar] [CrossRef] [PubMed]
- Korhonen, T.K.; Haiko, J.; Laakkonen, L.; Jarvinen, H.M.; Westerlund-Wikstrom, B. Fibrinolytic and coagulative activities of Yersinia pestis. Front. Cell Infect. Microbiol. 2013, 3, 35. [Google Scholar] [CrossRef] [PubMed]
- Peetermans, M.; Vanassche, T.; Liesenborghs, L.; Lijnen, R.H.; Verhamme, P. Bacterial pathogens activate plasminogen to breach tissue barriers and escape from innate immunity. Crit. Rev. Microbiol. 2016, 42, 866–882. [Google Scholar] [CrossRef] [PubMed]
- Keyler, D.E.; Vandevoort, J.T. Copperhead envenomations: Clinical profiles of three different subspecies. Vet. Hum. Toxicol. 1999, 41, 149–152. [Google Scholar] [PubMed]
- Faure, G.; Gowda, V.T.; Maroun, R.C. Characterization of a human coagulation factor Xa-binding site on Viperidae snake venom phospholipases A2 by affinity binding studies and molecular bioinformatics. BMC Struct. Biol. 2007, 7, 82. [Google Scholar] [CrossRef]
- Youngman, N.J.; Peng, Y.H.; Harris, R.J.; Jones, L.; Llinas, J.; Haworth, M.; Gillett, A.; Fry, B.G. Differential coagulotoxic and neurotoxic venom activity from species of the arboreal viperid snake genus Bothriechis (palm-pitvipers). Comp. Biochem. Physiol. Toxicol. Pharmacol. CBP 2022, 256, 109326. [Google Scholar] [CrossRef]
- Chen, M.; Ye, X.; Ming, X.; Chen, Y.; Wang, Y.; Su, X.; Su, W.; Kong, Y. A Novel Direct Factor Xa inhibitory peptide with anti-platelet aggregation activity from Agkistrodon acutus venom hydrolysates. Sci. Rep. 2015, 5, 10846. [Google Scholar] [CrossRef]
- Zhang, Y.; Xu, X.; Shen, D.; Song, J.; Guo, M.; Yan, X. Anticoagulation factor I, a snaclec (snake C-type lectin) from Agkistrodon acutus venom binds to FIX as well as FX: Ca2+ induced binding data. Toxicon 2012, 59, 718–723. [Google Scholar] [CrossRef]
- Fatah, C.; Samah, S.; Fatima, L.D. Antiplatelet and anticoagulant activities of two phospholipase A2s purified from Cerastes cerastes venom: Structure-function relationship. J. Biochem. Mol. Toxicol. 2018, 32, e22219. [Google Scholar] [CrossRef]
- Mukherjee, A.K.; Dutta, S.; Mackessy, S.P. A new C-type lectin (RVsnaclec) purified from venom of Daboia russelii russelii shows anticoagulant activity via inhibition of FXa and concentration-dependent differential response to platelets in a Ca2+-independent manner. Thromb. Res. 2014, 134, 1150–1156. [Google Scholar] [CrossRef] [PubMed]
- Samah, S.; Fatah, C.; Jean-Marc, B.; Safia, K.T.; Fatima, L.D. Purification and characterization of Cc-Lec, C-type lactose-binding lectin: A platelet aggregation and blood-clotting inhibitor from Cerastes cerastes venom. Int. J. Biol. Macromol. 2017, 102, 336–350. [Google Scholar] [CrossRef] [PubMed]
- Thakur, R.; Kumar, A.; Bose, B.; Panda, D.; Saikia, D.; Chattopadhyay, P.; Mukherjee, A.K. A new peptide (Ruviprase) purified from the venom of Daboia russelii russelii shows potent anticoagulant activity via non-enzymatic inhibition of thrombin and factor Xa. Biochimie 2014, 105, 149–158. [Google Scholar] [CrossRef] [PubMed]
- Yasmin, R.; Chanchal, S.; Ashraf, M.Z.; Doley, R. Daboxin P, a phospholipase A(2) of Indian Daboia russelii venom, modulates thrombin-mediated platelet aggregation. J. Biochem. Mol. Toxicol. 2023, 37, e23476. [Google Scholar] [CrossRef] [PubMed]
- Stefansson, S.; Kini, R.M.; Evans, H.J. The basic phospholipase A2 from Naja nigricollis venom inhibits the prothrombinase complex by a novel nonenzymatic mechanism. Biochemistry 1990, 29, 7742–7746. [Google Scholar] [CrossRef] [PubMed]
- Zdenek, C.N.; Youngman, N.J.; Hay, C.; Dobson, J.; Dunstan, N.; Allen, L.; Milanovic, L.; Fry, B.G. Anticoagulant activity of black snake (Elapidae: Pseudechis) venoms: Potency, mechanisms, and antivenom efficacy. Comp. Biochem. Physiol. Part. C Toxicol. Pharmacol. 2020, 330, 176–184. [Google Scholar] [CrossRef] [PubMed]
- Dashevsky, D.; Benard-Valle, M.; Neri-Castro, E.; Youngman, N.J.; Zdenek, C.N.; Alagon, A.; Portes-Junior, J.A.; Frank, N.; Fry, B.G. Anticoagulant Micrurus venoms: Targets and neutralization. Toxicol. Lett. 2021, 337, 91–97. [Google Scholar] [CrossRef] [PubMed]
- Seneci, L.; Zdenek, C.N.; Bourke, L.A.; Cochran, C.; Sanchez, E.E.; Neri-Castro, E.; Benard-Valle, M.; Alagon, A.; Frank, N.; Fry, B.G. A symphony of destruction: Dynamic differential fibrinogenolytic toxicity by rattlesnake (Crotalus and Sistrurus) venoms. Comp. Biochem. Physiol. Toxicol. Pharmacol. CBP 2021, 245, 109034. [Google Scholar] [CrossRef] [PubMed]
- Youngman, N.J.; Debono, J.; Dobson, J.S.; Zdenek, C.N.; Harris, R.J.; Op den Brouw, B.; Coimbra, F.C.P.; Naude, A.; Coster, K.; Sundman, E.; et al. Venomous Landmines: Clinical Implications of Extreme Coagulotoxic Diversification and Differential Neutralization by Antivenom of Venoms within the Viperid Snake Genus Bitis. Toxins 2019, 11, 422. [Google Scholar] [CrossRef]
- Nielsen, V.G.; Redford, D.T.; Boyle, P.K. Effect of Iron and Carbon Monoxide on Fibrinogenase-like Degradation of Plasmatic Coagulation by Venoms of Six Agkistrodon Species. Basic. Clin. Pharmacol. Toxicol. 2016, 118, 390–395. [Google Scholar] [CrossRef]
- Stocker, K.; Fischer, H.; Meier, J.; Brogli, M.; Svendsen, L. Characterization of the protein C activator Protac from the venom of the southern copperhead (Agkistrodon contortrix) snake. Toxicon 1987, 25, 239–252. [Google Scholar] [CrossRef]
- Maharaj, S.; Seegobin, K.; Chang, S. Coagulopathy following Crotalipiae snakebites in northeast Florida. Blood Coagul. Fibrinolysis 2022, 33, 220–223. [Google Scholar] [CrossRef]
- Youngman, N.J.; Llinas, J.; Fry, B.G. Evidence for resistance to coagulotoxic effects of Australian elapid snake venoms by sympatric prey (blue tongue skinks) but not by predators (monitor lizards). Toxins 2021, 13, 590. [Google Scholar] [CrossRef] [PubMed]
- Youngman, N.J.; Llinas, J.; Haworth, M.; Gillett, A.; Jones, L.; Walker, A.A.; Fry, B.G. Untangling interactions between Bitis vipers and their prey using coagulotoxicity against diverse vertebrate plasmas. Toxicon 2022, 216, 37–44. [Google Scholar] [CrossRef] [PubMed]
- Youngman, N.J.; Zdenek, C.N.; Dobson, J.S.; Bittenbinder, M.A.; Gillett, A.; Hamilton, B.; Dunstan, N.; Allen, L.; Veary, A.; Veary, E.; et al. Mud in the blood: Novel potent anticoagulant coagulotoxicity in the venoms of the Australian elapid snake genus Denisonia (mud adders) and relative antivenom efficacy. Toxicol. Lett. 2019, 302, 1–6. [Google Scholar] [CrossRef]
- Zdenek, C.N.; Chowdhury, A.; Haw, G.Y.H.; Violette, A.; Fourmy, R.; Christ, T.; Vonk, F.J.; Fry, B.G. Taxon-selective venom variation in adult and neonate Daboia russelii (Russell’s Viper), and antivenom efficacy. Toxicon 2022, 205, 11–19. [Google Scholar] [CrossRef]







Disclaimer/Publisher’s Note: The statements, opinions and data contained in all publications are solely those of the individual author(s) and contributor(s) and not of MDPI and/or the editor(s). MDPI and/or the editor(s) disclaim responsibility for any injury to people or property resulting from any ideas, methods, instructions or products referred to in the content. |
© 2024 by the authors. Licensee MDPI, Basel, Switzerland. This article is an open access article distributed under the terms and conditions of the Creative Commons Attribution (CC BY) license (https://creativecommons.org/licenses/by/4.0/).
Share and Cite
Coimbra, F.C.P.; Sanchez, E.E.; Lomonte, B.; Gutiérrez, J.M.; Calvete, J.J.; Fry, B.G. Blood Lines: Intraspecific and Interspecific Variations in Anticoagulant Actions of Agkistrodon Viperid Venoms. Toxins 2024, 16, 291. https://doi.org/10.3390/toxins16070291
Coimbra FCP, Sanchez EE, Lomonte B, Gutiérrez JM, Calvete JJ, Fry BG. Blood Lines: Intraspecific and Interspecific Variations in Anticoagulant Actions of Agkistrodon Viperid Venoms. Toxins. 2024; 16(7):291. https://doi.org/10.3390/toxins16070291
Chicago/Turabian StyleCoimbra, Francisco C. P., Elda E. Sanchez, Bruno Lomonte, José María Gutiérrez, Juan J. Calvete, and Bryan G. Fry. 2024. "Blood Lines: Intraspecific and Interspecific Variations in Anticoagulant Actions of Agkistrodon Viperid Venoms" Toxins 16, no. 7: 291. https://doi.org/10.3390/toxins16070291
APA StyleCoimbra, F. C. P., Sanchez, E. E., Lomonte, B., Gutiérrez, J. M., Calvete, J. J., & Fry, B. G. (2024). Blood Lines: Intraspecific and Interspecific Variations in Anticoagulant Actions of Agkistrodon Viperid Venoms. Toxins, 16(7), 291. https://doi.org/10.3390/toxins16070291

