Pregnancy, Proteinuria, Plant-Based Supplemented Diets and Focal Segmental Glomerulosclerosis: A Report on Three Cases and Critical Appraisal of the Literature
Abstract
1. Background
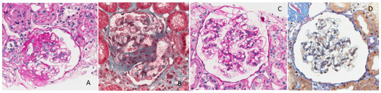
2. The Cases
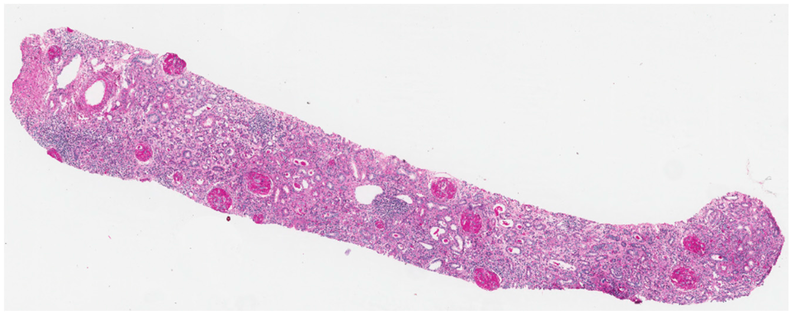
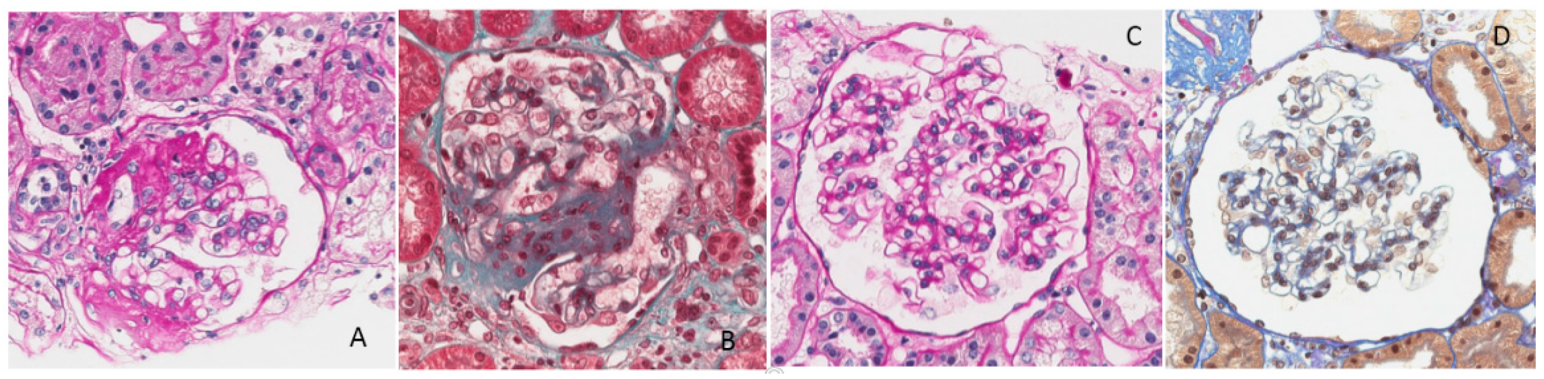
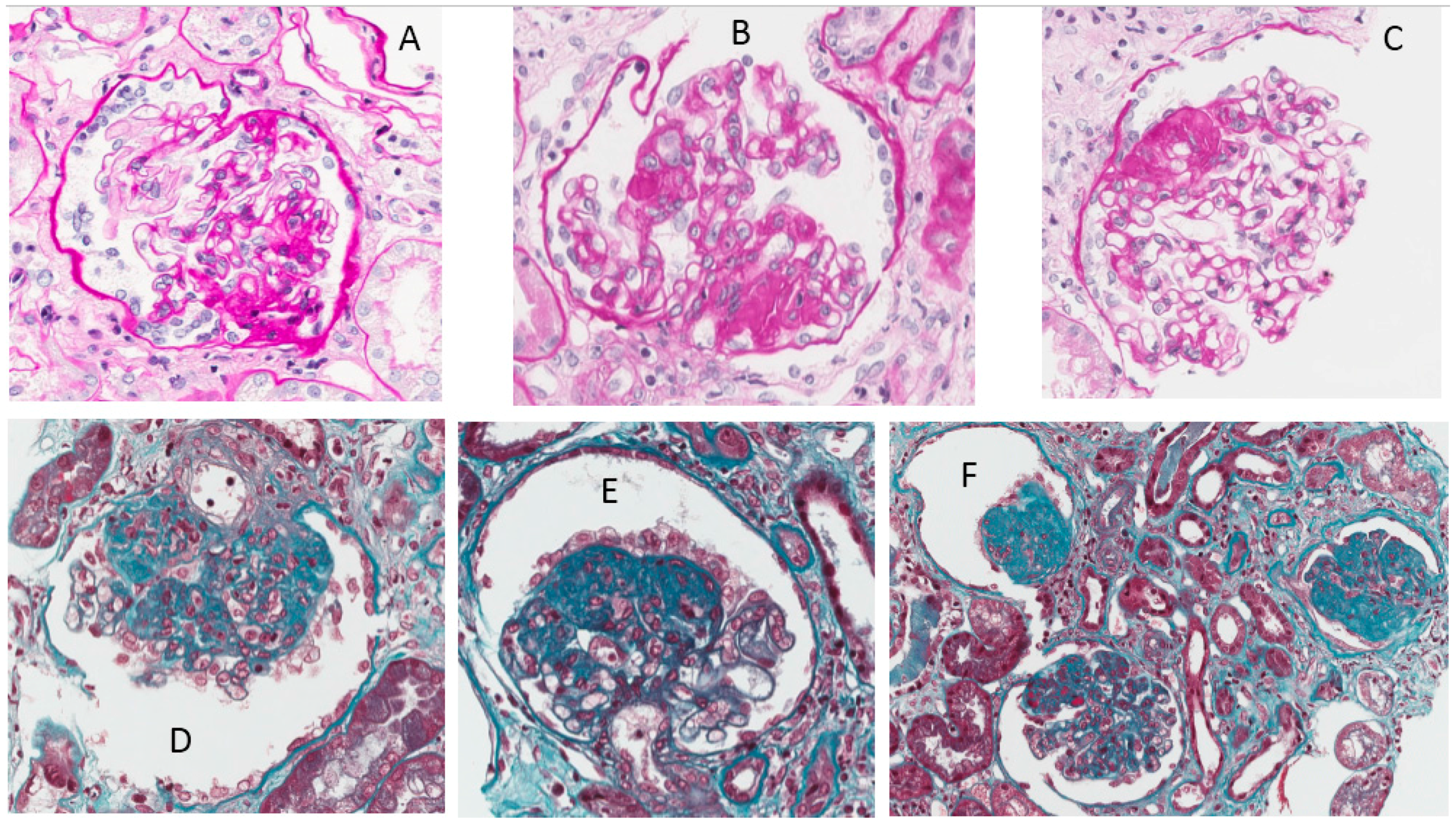
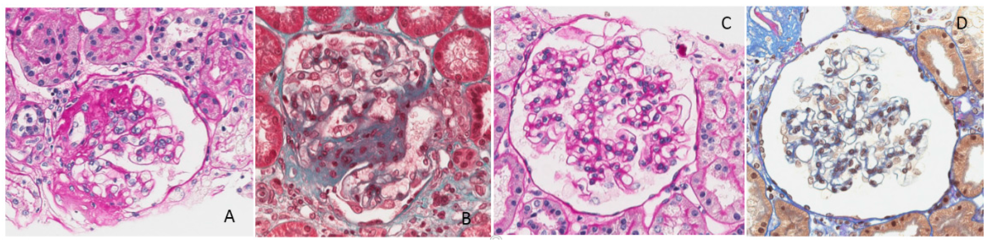
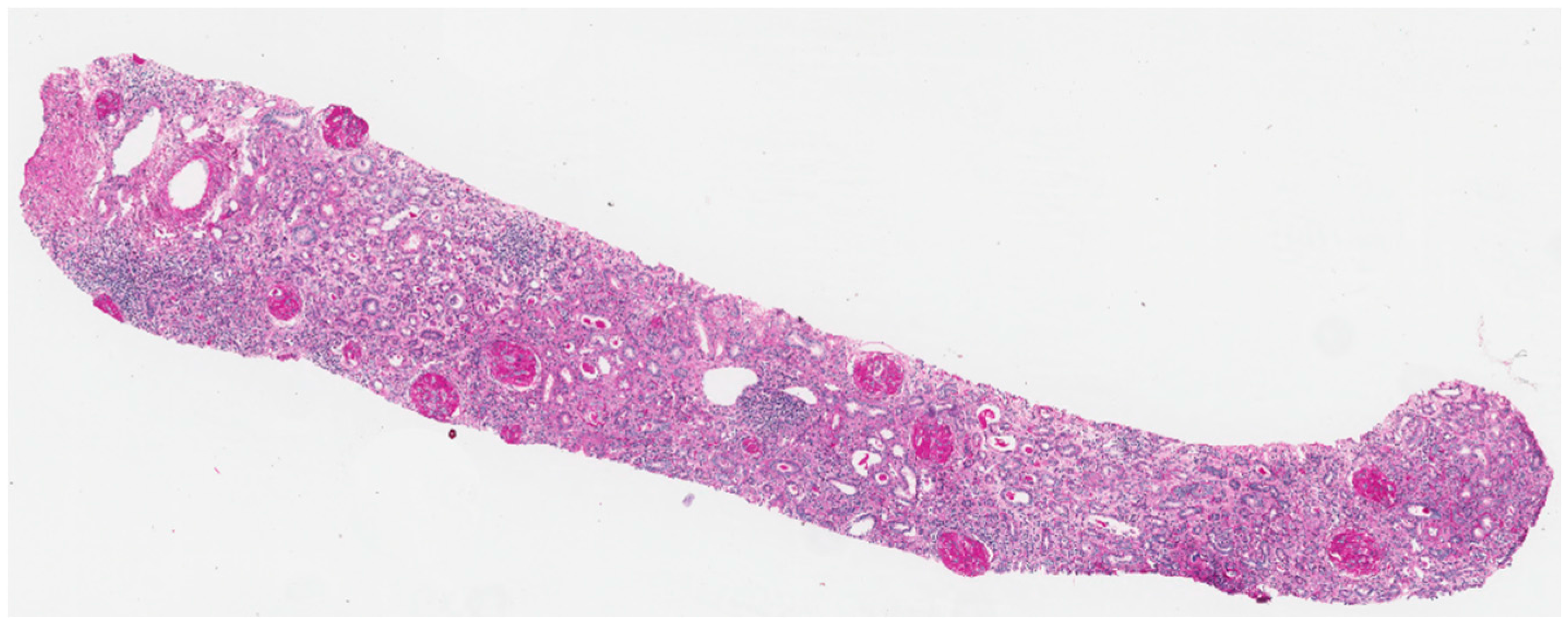
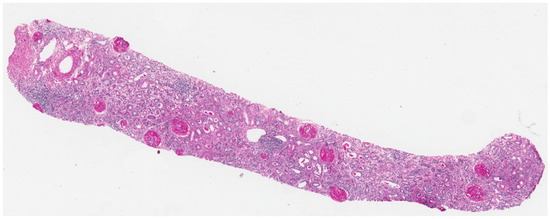
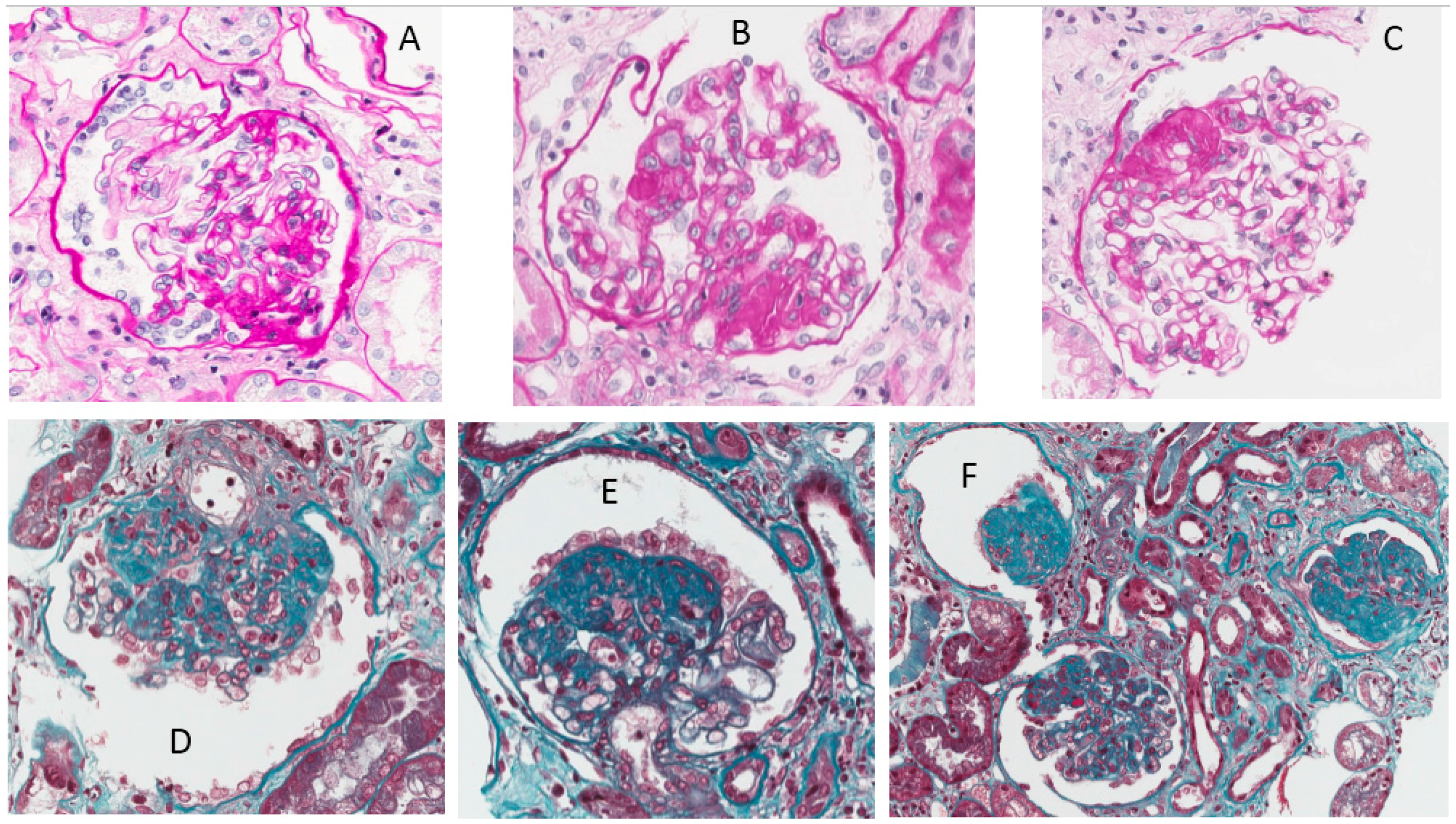
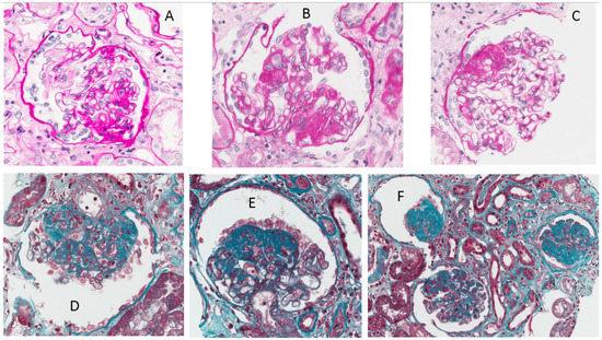
2.1. Case 1
2.2. Case 2
2.3. Case 3
3. The Diets
4. Discussion
5. Conclusions
Acknowledgment
Author Contributions
Conflicts of Interest
Appendix A. The Diets
Appendix A.1. Diet 1
A ‘vegan/vegetarian’ diet supplemented with alpha-keto analogues
- Legumes (chickpeas, peas, beans, lentils, etc.).
- Vegetables of any kind (raw or cooked) (see indications for toxoplasmosis).
- Bread, bread sticks, or crackers with made with extra virgin olive oil.
- Fresh fruit (indicatively 150–200 g).
Appendix A.2. Diet 2 (Modified from Reference [28])
A ‘Vegan/Vegetarian’ Diet For Pregnant Women with CKD (Moderate Protein Restriction, Supplemented with Alpha-Keto Analogues)
- a low-protein diet is associated with a reduction in the functional ‘workload’ of the diseased kidneys; this is important since kidneys need to ‘work harder’ during pregnancy, which may increase proteinuria and thus reduce kidney function in the long term.
- proteins of vegetable origin induce a smaller ‘workload’ for the kidneys than animal-derived proteins do, and therefore a ‘vegan-vegetarian’ diet is better suited to stabilizing renal function in pregnant women with chronic kidney disease.
- vegan (no animal or animal-derived food of any kind) and vegetarian (no food from a living source; eggs, milk, and derivates are allowed) diets are safe in pregnancy (regardless of the presence of CKD), if well balanced and controlled for protein deficiencies.
- the diet is compatible with a good quality of life and has to be followed with flexibility, adapting to the preferences of the individual. In pregnancy, we need to pay more attention to maintaining an adequate level of several nutrients, including vitamins and minerals (the most important ones that we know are vitamin B12, folic acid, vitamin D, and calcium), and to not gain too much weight (this is why we ask you to pay attention not only to the quality of the food you eat, but also to the quantity).
- proteins are contained in ‘animal-derived’ food (meat, fish, eggs, poultry, and dairy products) and in plant-derived food (grains, cereals, legumes, soya, etc.). While some animals (cows, for example) are able to build up all the amino acids from ‘energy’ (i.e., grass), humans are not. Therefore, ‘animal-derived’ proteins are called ‘noble’ or ‘complete’ since they contain all the protein components (amino-acids) that we need; plant-derived proteins are called ‘incomplete’ or ‘non noble’ since their proteins do not contain all the amino acids we need. Every plant-derived protein contains some of them, but we need to put together several different types of plant-derived food to complete them.
- the use of ‘supplements’ (called alpha-kappa or ketosteril, which are mixtures of essential amino acids), allows ‘completion’ of the vegetable proteins, avoiding the risk of nutritional deficits even in patients who do not have time to combine different ‘plant-derived’ foods.
- Pasta, rice, couscous, or cereals (barley, millet, kamut, wheat) dressed with oil, preferably olive oil, and accompanied by two different vegetables and two different legumes at each meal.
- Legumes (chickpeas, peas, beans, lentils).
- Vegetables of any kind (raw or cooked) (see indications for toxoplasmosis).
- Bread or bread sticks or crackers made with extra virgin olive oil.
- Fresh fruit (indicatively 150–200 g).
- 1 cup of soy yoghurt or soy drink.
- Bread, biscuits, crackers, or bread sticks made with extra virgin olive oil.
- Bread with tofu and olives and olive paste, tomato, vegetables.
- 1 cup of plain low-fat yoghurt.
- 1 piece of fresh fruit.
- raw vegetables like fennel, celery, peppers, cucumbers, tomatoes, and carrots may be used if you are not receptive to toxoplasmosis (wash very well in any case).
- (regular yoghurt can be used occasionally).
- for this patient, who was of Sicilian origin, the snacks were identified as toasted chickpeas (15% protein content) and lupins (12% to 15% proteins), both rich in iron, typical of Sicilian cuisine and easily found in her setting.
Appendix A.3. Diet 3 (Same as Diet 2, but African Dishes Corresponding to the Patent’s Habits Were Added)
- A portion of pasta, rice, couscous or cereal (barley, millet, kamut, wheat), fufu/garri, yams, tapioca, or plantain, dressed with vegetables, tomato, garlic, and olive oil.
- You can have a portion of legumes (chickpeas, peas, beans, lentils) or moimoi without meat or fish
- Vegetables of any kind (raw or cooked) can be included (see indications for toxoplasmosis)
- Lunch can also include a serving of bread, bread sticks, crackers made with extra virgin olive oil and a serving of fresh fruit (indicatively 150–200 g).
- one cup of yoghurt, one cup of soy, or a soy drink enriched with calcium.
- Bread, biscuits, crackers, or bread sticks made with extra virgin olive oil.
- Bread with tofu or olives and olive paste, tomato, and vegetables.
- one cup of plain low-fat yogurt and one serving of fresh fruit.
References
- Jungers, P.; Houillier, P.; Forget, D.; Henry-Amar, M. Specific controversies concerning the natural history of renal disease in pregnancy. Am. J. Kidney Dis. 1991, 17, 116–122. [Google Scholar] [CrossRef]
- Piccoli, G.B.; Cabiddu, G.; Attini, R.; Vigotti, F.N.; Maxia, S.; Lepori, N.; Tuveri, M.; Massidda, M.; Marchi, C.; Mura, S.; et al. Risk of Adverse Pregnancy Outcomes in Women with CKD. J. Am. Soc. Nephrol. 2015, 26, 2011–2022. [Google Scholar] [CrossRef] [PubMed]
- Hladunewich, M.A.; Hou, S.; Odutayo, A.; Cornelis, T.; Pierratos, A.; Goldstein, M.; Tennankore, K.; Keunen, J.; Hui, D.; Chan, C.T. Intensive hemodialysis associates with improved pregnancy outcomes: A Canadian and United States cohort comparison. J. Am. Soc. Nephrol. 2014, 25, 1103–1109. [Google Scholar] [CrossRef] [PubMed]
- Jesudason, S.; Grace, B.S.; McDonald, S.P. Pregnancy outcomes according to dialysis commencing before or after conception in women with ESRD. Clin. J. Am. Soc. Nephrol. 2014, 9, 143–149. [Google Scholar] [CrossRef] [PubMed]
- Nevis, I.F.; Reitsma, A.; Dominic, A.; McDonald, S.; Thabane, L.; Akl, E.A.; Hladunewich, M.; Akbari, A.; Joseph, G.; Sia, W.; et al. Pregnancy outcomes in women with chronic kidney disease: A systematic review. Clin. J. Am. Soc. Nephrol. 2011, 6, 2587–2598. [Google Scholar] [CrossRef] [PubMed]
- Zhang, J.J.; Ma, X.X.; Hao, L.; Liu, L.J.; Lv, J.C.; Zhang, H. A Systematic Review and Meta-Analysis of Outcomes of Pregnancy in CKD and CKD Outcomes in Pregnancy. Clin. J. Am. Soc. Nephrol. 2015, 10, 1964–1978. [Google Scholar] [CrossRef] [PubMed]
- Piccoli, G.B.; Fassio, F.; Attini, R.; Parisi, S.; Biolcati, M.; Ferraresi, M.; Pagano, A.; Daidola, G.; Deagostini, M.C.; Gaglioti, P.; et al. Pregnancy in CKD: Whom should we follow and why? Nephrol. Dial. Transplant. 2012, 27 (Suppl. 3), iii111–iii118. [Google Scholar] [CrossRef] [PubMed]
- Kendrick, J.; Sharma, S.; Holmen, J.; Palit, S.; Nuccio, E.; Chonchol, M. Kidney disease and maternal and fetal outcomes in pregnancy. Am. J. Kidney Dis. 2015, 66, 55–59. [Google Scholar] [CrossRef] [PubMed]
- Frampton, G.K.; Jones, J.; Rose, M.; Payne, L. Placental growth factor (alone or in combination with soluble fms-like tyrosine kinase 1) as an aid to the assessment of women with suspected pre-eclampsia: Systematic review and economic analysis. Health Technol. Assess. 2016, 20, 1–160. [Google Scholar] [CrossRef] [PubMed]
- Rolfo, A.; Attini, R.; Tavassoli, E.; Neve, F.V.; Nigra, M.; Cicilano, M.; Nuzzo, A.M.; Giuffrida, D.; Biolcati, M.; Nichelatti, M.; et al. Is It Possible to Differentiate Chronic Kidney Disease and Preeclampsia by means of New and Old Biomarkers? A Prospective Study. Dis. Markers 2015. [Google Scholar] [CrossRef] [PubMed]
- August, P. Preeclampsia: A “nephrocentric” view. Adv. Chronic Kidney Dis. 2013, 20, 280–286. [Google Scholar] [CrossRef] [PubMed]
- Perni, U.; Sison, C.; Sharma, V.; Helseth, G.; Hawfield, A.; Suthanthiran, M.; August, P. Angiogenic factors in superimposed preeclampsia: A longitudinal study of women with chronic hypertension during pregnancy. Hypertension 2012, 59, 740–746. [Google Scholar] [CrossRef] [PubMed]
- Piccoli, G.B.; Conijn, A.; Attini, R.; Biolcati, M.; Bossotti, C.; Consiglio, V.; Deagostini, M.C.; Todros, T. Pregnancy in chronic kidney disease: Need for a common language. J. Nephrol. 2011, 24, 282–299. [Google Scholar] [CrossRef] [PubMed]
- Imbasciati, E.; Gregorini, G.; Cabiddu, G.; Gammaro, L.; Ambroso, G.; Del Giudice, A.; Ravani, P. Pregnancy in CKD stages 3 to 5: Fetal and maternal outcomes. Am. J. Kidney Dis. 2007, 49, 753–762. [Google Scholar] [CrossRef] [PubMed]
- Fischer, M.J. Chronic kidney disease and pregnancy: Maternal and fetal outcomes. Adv. Chronic Kidney Dis. 2007, 14, 132–145. [Google Scholar] [CrossRef] [PubMed]
- Piccoli, G.B.; Minelli, F.; Versino, E.; Cabiddu, G.; Attini, R.; Vigotti, F.N.; Rolfo, A.; Giuffrida, D.; Colombi, N.; Pani, A.; et al. Pregnancy in dialysis patients in the new millennium: A systematic review and meta-regression analysis correlating dialysis schedules and pregnancy outcomes. Nephrol. Dial. Transplant. 2016, 31, 1915–1934. [Google Scholar] [CrossRef] [PubMed]
- August, P. Lowering diastolic blood pressure in non-proteinuric hypertension in pregnancy is not harmful to the fetus and is associated with reduced frequency of severe maternal hypertension. Evid.-Based Med. 2015, 20, 141. [Google Scholar] [CrossRef] [PubMed]
- Magee, L.A.; von Dadelszen, P.; Rey, E.; Ross, S.; Asztalos, E.; Murphy, K.E.; Menzies, J.; Sanchez, J.; Singer, J.; Gafni, A.; et al. Less-tight versus tight control of hypertension in pregnancy. N. Engl. J. Med. 2015, 372, 407–417. [Google Scholar] [CrossRef] [PubMed]
- Malha, L.; August, P. Secondary Hypertension in Pregnancy. Curr. Hypertens. Rep. 2015, 17, 53. [Google Scholar] [CrossRef] [PubMed]
- Lindheimer, M.D.; Davison, J.M.; Katz, A.I. The kidney and hypertension in pregnancy: Twenty exciting years. Semin. Nephrol. 2001, 21, 173–189. [Google Scholar] [CrossRef] [PubMed]
- Cabiddu, G.; Castellino, S.; Gernone, G.; Santoro, D.; Moroni, G.; Giannattasio, M.; Gregorini, G.; Giacchino, F.; Attini, R.; Loi, V.; et al. A best practice position statement on pregnancy in chronic kidney disease: The Italian Study Group on Kidney and Pregnancy. J. Nephrol. 2016, 29, 277–303. [Google Scholar] [CrossRef] [PubMed]
- Limardo, M.; Imbasciati, E.; Ravani, P.; Surian, M.; Torres, D.; Gregorini, G.; Magistroni, R.; Casellato, D.; Gammaro, L.; Pozzi, C.M.D.; et al. Pregnancy and progression of IgA nephropathy: Results of an Italian multicenter study. Am. J. Kidney Dis. 2010, 56, 506–512. [Google Scholar] [CrossRef] [PubMed]
- Kohn, O. Review: Combination therapy with renin angiotensin inhibitors reduces proteinuria more than single drugs alone in renal disease. Evid.-Based Med. 2008, 13, 73. [Google Scholar] [CrossRef] [PubMed]
- Chevalier, R.L. Mechanisms of fetal and neonatal renal impairment by pharmacologic inhibition of angiotensin. Curr. Med. Chem. 2012, 19, 4572–4580. [Google Scholar] [CrossRef] [PubMed]
- Moretti, M.E.; Caprara, D.; Drehuta, I.; Yeung, E.; Cheung, S.; Federico, L.; Koren, G. The Fetal Safety of Angiotensin Converting Enzyme Inhibitors and Angiotensin II Receptor Blockers. Obstet. Gynecol. Int. 2012, 2012. [Google Scholar] [CrossRef] [PubMed]
- Piccoli, G.B.; Attini, R.; Vasario, E.; Gaglioti, P.; Piccoli, E.; Consiglio, V.; Deagostini, C.; Oberto, M.; Todros, T. Vegetarian supplemented low-protein diets. A safe option for pregnant CKD patients: Report of 12 pregnancies in 11 patients. Nephrol. Dial. Transplant. 2011, 26, 196–205. [Google Scholar] [CrossRef] [PubMed]
- Piccoli, G.B.; Leone, F.; Attini, R.; Parisi, S.; Fassio, F.; Deagostini, M.C.; Ferraresi, M.; Clari, R.; Ghiotto, S.; Biolcati, M.; et al. Association of low-protein supplemented diets with fetal growth in pregnant women with CKD. Clin. J. Am. Soc. Nephrol. 2014, 9, 864–873. [Google Scholar] [CrossRef] [PubMed]
- Attini, R.; Leone, F.; Parisi, S.; Fassio, F.; Capizzi, I.; Loi, V.; Colla, L.; Rossetti, M.; Gerbino, M.; Maxia, S.; et al. Vegan-vegetarian low-protein supplemented diets in pregnant CKD patients: Fifteen years of experience. BMC Nephrol. 2016, 17, 132. [Google Scholar] [CrossRef] [PubMed]
- Piccoli, G.B.; Clari, R.; Ghiotto, S.; Castelluccia, N.; Colombi, N.; Mauro, G.; Tavassoli, E.; Melluzza, C.; Cabiddu, G.; Gernone, G.; et al. Type 1 diabetes, diabetic nephropathy, and pregnancy: A systematic review and meta-study. Rev. Diabet. Stud. 2013, 10, 6–26. [Google Scholar] [CrossRef] [PubMed]
- Piccoli, G.B.; Tavassoli, E.; Melluzza, C.; Grassi, G.; Monzeglio, C.; Donvito, V.; Leone, F.; Attini, R.; Ghiotto, S.; Clari, R.; et al. Severe diabetic nephropathy in type 1 diabetes and pregnancy—A case series. Rev. Diabet. Stud. 2013, 10, 68–78. [Google Scholar] [CrossRef] [PubMed]
- Helal, I.; Fick-Brosnahan, G.M.; Reed-Gitomer, B.; Schrier, R.W. Glomerular hyperfiltration: Definitions, mechanisms and clinical implications. Nat. Rev. Nephrol. 2012, 8, 293–300. [Google Scholar] [CrossRef] [PubMed]
- Hostetter, T.H. Hyperfiltration and glomerulosclerosis. Semin. Nephrol. 2003, 23, 194–199. [Google Scholar] [CrossRef] [PubMed]
- Rennke, H.G.; Klein, P.S. Pathogenesis and significance of nonprimary focal and segmental glomerulosclerosis. Am. J. Kidney Dis. 1989, 13, 443–456. [Google Scholar] [CrossRef]
- Sethi, S.; Glassock, R.J.; Fervenza, F.C. Focal segmental glomerulosclerosis: Towards a better understanding for the practicing nephrologist. Nephrol. Dial. Transplant. 2015, 30, 375–384. [Google Scholar] [CrossRef] [PubMed]
- Fogo, A.B. Causes and pathogenesis of focal segmental glomerulosclerosis. Nat. Rev. Nephrol. 2015, 11, 76–87. [Google Scholar] [CrossRef] [PubMed]
- Defagó, M.D.; Elorriaga, N.; Irazola, V.E.; Rubinstein, A.L. Influence of food patterns on endothelial biomarkers: A systematic review. J. Clin. Hypertens. 2014, 16, 907–913. [Google Scholar] [CrossRef] [PubMed]
- Nettleton, J.A.; Steffen, L.M.; Mayer-Davis, E.J.; Jenny, N.S.; Jiang, R.; Herrington, D.M.; Jacobs, D.R., Jr. Dietary patterns are associated with biochemical markers of inflammation and endothelial activation in the Multi-Ethnic Study of Atherosclerosis (MESA). Am. J. Clin. Nutr. 2006, 83, 1369–1379. [Google Scholar] [PubMed]
- Lopez-Garcia, E.; Schulze, M.B.; Fung, T.T.; Meigs, J.B.; Rifai, N.; Manson, J.E.; Hu, F.B. Major dietary patterns are related to plasma concentrations of markers of inflammation and endothelial dysfunction. Am. J. Clin. Nutr. 2004, 80, 1029–1035. [Google Scholar] [PubMed]
- Wang, Y.; Mitch, W.E. Proteins and renal fibrosis: Low-protein diets induce Kruppel-like factor-15, limiting renal fibrosis. Kidney Int. 2011, 79, 933–934. [Google Scholar] [CrossRef] [PubMed]
- Messina, V. Nutritional and health benefits of dried beans. Am. J. Clin. Nutr. 2014, 100 (Suppl. 1), 437S–442S. [Google Scholar]
- Flight, I.; Clifton, P. Cereal grains and legumes in the prevention of coronary heart disease and stroke: A review of the literature. Eur. J. Clin. Nutr. 2006, 60, 1145–1159. [Google Scholar] [CrossRef] [PubMed]
- Van den Broek, M.; Leermakers, E.T.; Jaddoe, V.W.; Steegers, E.A.; Rivadeneira, F.; Raat, H.; Hofman, A.; Franco, O.H.; Kiefte-de Jong, J.C. Maternal dietary patterns during pregnancy and body composition of the child at age 6 years: the Generation R Study. Am. J. Clin. Nutr. 2015, 102, 873–880. [Google Scholar] [CrossRef] [PubMed]
- Gao, X.; Wu, J.; Dong, Z.; Hua, C.; Hu, H.; Mei, C. A low-protein diet supplemented with ketoacids plays a more protective role against oxidative stress of rat kidney tissue with 5/6 nephrectomy than a low-protein diet alone. Br. J. Nutr. 2010, 103, 608–616. [Google Scholar] [CrossRef] [PubMed]
- Gao, X.; Huang, L.; Grosjean, F.; Esposito, V.; Wu, J.; Fu, L.; Hu, H.; Tan, J.; He, C.; Gray, S.; et al. Low-protein diet supplemented with ketoacids reduces the severity of renal disease in 5/6 nephrectomized rats: A role for KLF15. Kidney Int. 2011, 79, 987–996. [Google Scholar] [CrossRef] [PubMed]
- Cahill, L.E.; Peng, C.Y.; Bankovic-Calic, N.; Sankaran, D.; Ogborn, M.R.; Aukema, H.M. Dietary soya protein during pregnancy and lactation in rats with hereditary kidney disease attenuates disease progression in offspring. Br. J. Nutr. 2007, 97, 77–84. [Google Scholar] [CrossRef] [PubMed]
- Bonacasa, B.; Siow, R.C.; Mann, G.E. Impact of dietary soy isoflavones in pregnancy on fetal programming of endothelial function in offspring. Microcirculation 2011, 18, 270–285. [Google Scholar] [CrossRef] [PubMed]
- Kaiser, L.L.; Campbell, C.G.; Academy Positions Committee Workgroup. Practice paper of the Academy of Nutrition and Dietetics abstract: Nutrition and lifestyle for a healthy pregnancy outcome. J. Acad. Nutr. Diet. 2014, 114, 1447. [Google Scholar] [CrossRef] [PubMed]
- Kaiser, L.; Allen, L.H. American Dietetic Association. Position of the American Dietetic Association: Nutrition and lifestyle for a healthy pregnancy outcome. J. Am. Diet. Assoc. 2008, 108, 553–561. [Google Scholar]
- Ramakrishnan, U.; Grant, F.; Goldenberg, T.; Zongrone, A.; Martorell, R. Effect of women’s nutrition before and during early pregnancy on maternal and infant outcomes: A systematic review. Paediatr. Périnat. Epidemiol. 2012, 26 (Suppl. 1), 285–301. [Google Scholar] [CrossRef] [PubMed]
- Procter, S.B.; Campbell, C.G. Position of the Academy of Nutrition and Dietetics: Nutrition and lifestyle for a healthy pregnancy outcome. J. Acad. Nutr. Diet. 2014, 114, 1099–1103. [Google Scholar] [CrossRef] [PubMed]
- Koletzko, B.; Bauer, C.P.; Bung, P.; Cremer, M.; Flothkötter, M.; Hellmers, C.; Kersting, M.; Krawinkel, M.; Przyrembel, H.; Rasenack, R.; et al. German national consensus recommendations on nutrition and lifestyle in pregnancy by the ‘Healthy Start-Young Family Network’. Ann. Nutr. Metab. 2013, 63, 311–322. [Google Scholar] [CrossRef] [PubMed]
- Liu, F.L.; Zhang, Y.M.; Parés, G.V.; Reidy, K.C.; Zhao, W.Z.; Zhao, A.; Chen, C.; Ning, C.Y.; Zheng, Y.D.; Wang, P.Y. Nutrient Intakes of Pregnant Women and their Associated Factors in Eight Cities of China: A Cross-sectional Study. Chin. Med. J. 2015, 128, 1778–1786. [Google Scholar] [PubMed]
- Estruch, R.; Ros, E.; Salas-Salvadó, J.; Covas, M.I.; Corella, D.; Arós, F.; Gómez-Gracia, E.; Ruiz-Gutiérrez, V.; Fiol, M.; Lapetra, J.; et al. Predimed Study Investigators. Primary prevention of cardiovascular disease with a Mediterranean diet. N. Engl. J. Med. 2013, 368, 1279–1290. [Google Scholar] [CrossRef] [PubMed]
- Widmer, R.J.; Flammer, A.J.; Lerman, L.O.; Lerman, A. The Mediterranean diet, its components, and cardiovascular disease. Am. J. Med. 2015, 128, 229–238. [Google Scholar] [CrossRef] [PubMed]
- Jebeile, H.; Mijatovic, J.; Louie, J.C.; Prvan, T.; Brand-Miller, J.C. A systematic review and metaanalysis of energy intake and weight gain in pregnancy. Am. J. Obstet. Gynecol. 2016, 214, 465–483. [Google Scholar] [CrossRef] [PubMed]
- Ruchat, S.M.; Allard, C.; Doyon, M.; Lacroix, M.; Guillemette, L.; Patenaude, J.; Battista, M.C.; Ardilouze, J.L.; Perron, P.; Bouchard, L.; et al. Timing of Excessive Weight Gain During Pregnancy Modulates Newborn Anthropometry. J. Obstet. Gynaecol. Can. 2016, 38, 108–117. [Google Scholar] [CrossRef] [PubMed]
- Craig, W.J.; Mangels, A.R. Position of the American Dietetic Association: vegetarian diets. J. Am. Diet. Assoc. 2009, 109, 1266–1282. [Google Scholar] [PubMed]
- Piccoli, G.B.; Clari, R.; Vigotti, F.N.; Leone, F.; Attini, R.; Cabiddu, G.; Mauro, G.; Castelluccia, N.; Colombi, N.; Capizzi, I.; et al. Vegan-vegetarian diets in pregnancy: Danger or panacea? A systematic narrative review. Br. J. Obstet. Gynaecol. 2015, 122, 623–633. [Google Scholar] [CrossRef] [PubMed]
- Wen, X.; Justicia-Linde, F.; Kong, K.; Zhang, C.; Chen, W.; Epstein, L. Associations of diet and physical activity with the three components of gestational weight gain. Am. J. Epidemiol. 2013, 11, S1–S181. [Google Scholar]
- Robic, T.; Benedik, E.; Bratanic, B.; Fidler Mis, N.; Rogelj, I.; Golja, P. Body composition in (NON) vegetarian pregnant women and their neonates. Clin. Nutr. Suppl. 2012, 7, 108. [Google Scholar] [CrossRef]
- Alwan, N.A.; Greenwood, D.C.; Simpson, N.A.B.; McArdle, H.J.; Godfrey, K.M.; Cade, J.E. Dietary iron intake during early pregnancy and birth outcomes in a cohort of British women. Hum. Reprod. 2011, 26, 911–919. [Google Scholar] [CrossRef] [PubMed]
- Stuebe, A.M.; Oken, E.; Gillman, M.W. Associations of diet and physical activity during pregnancy with risk for excessive gestational weight gain. Am. J. Obstet. Gynecol. 2009, 201, 58.e1–58.e8. [Google Scholar] [CrossRef] [PubMed]
- Drake, R.; Reddy, S.; Davies, J. Nutrient intake during pregnancy and pregnancy outcome of lacto-ovo-vegetarians, fish-eaters and non-vegetarians. Veg. Nutr. 1998, 2, 45–52. [Google Scholar]
- Fonnebo, V. The healthy Seventh-day Adventist lifestyle: What is the Norwegian experience? Am. J. Clin. Nutr. 1994, 59, 1124S–1129S. [Google Scholar] [PubMed]
- Carter, J.P.; Furman, T.; Hutcheson, H.R. Preeclampsia and reproductive performance in a community of vegans. South Med. J. 1987, 80, 692–697. [Google Scholar] [CrossRef] [PubMed]
- North, K.; Golding, J. The Alspac Study Team. A maternal vegetarian diet in pregnancy is associated with hypospadias. BJU Int. 2000, 85, 107–113. [Google Scholar] [CrossRef] [PubMed]
- Foster, M.; Herulah, U.N.; Prasad, A.; Petocz, P.; Samman, S. Zinc Status of Vegetarians during Pregnancy: A Systematic Review of Observational Studies and Meta-Analysis of Zinc Intake. Nutrients 2015, 7, 4512–4525. [Google Scholar] [CrossRef] [PubMed]
- Wang, M.; Chou, J.; Chang, Y.; Lau, W.L.; Reddy, U.; Rhee, C.M.; Chen, J.; Hao, C.; Kalantar-Zadeh, K. The role of low protein diet in ameliorating proteinuria and deferring dialysis initiation: What is old and what is new. Panminerva Med. 2017, 59, 157–165. [Google Scholar] [PubMed]
- De Mello, V.D.; Zelmanovitz, T.; Perassolo, M.S.; Azevedo, M.J.; Gross, J.L. Withdrawal of red meat from the usual diet reduces albuminuria and improves serum fatty acid profile in type 2 diabetes patients with macroalbuminuria. Am. J. Clin. Nutr. 2006, 83, 1032–1038. [Google Scholar] [PubMed]
- Gentile, M.G.; Fellin, G.; Cofano, F.; Delle Fave, A.; Manna, G.; Ciceri, R.; Petrini, C.; Lavarda, F.; Pozzi, F.; D’Amico, G. Treatment of proteinuric patients with a vegetarian soy diet and fish oil. Clin. Nephrol. 1993, 40, 315–320. [Google Scholar] [PubMed]
- Dwyer, J. Vegetarian diets for treating nephrotic syndrome. Nutr. Rev. 1993, 51, 44–46. [Google Scholar] [PubMed]
- Barsotti, G.; Morelli, E.; Cupisti, A.; Bertoncini, P.; Giovannetti, S. A special, supplemented ‘vegan’ diet for nephrotic patients. Am. J. Nephrol. 1991, 11, 380–385. [Google Scholar] [CrossRef] [PubMed]
- Barsotti, G.; Cupisti, A.; Morelli, E.; Ciardella, F.; Giovannetti, S. Vegan supplemented diet in nephrotic syndrome. Nephrol. Dial. Transplant. 1990, 5 (Suppl. 1), 75–77. [Google Scholar] [CrossRef] [PubMed]
- Cupisti, A.; Morelli, E.; Ciardella, F.; Schipani, G.; Guidi, A.; Barsotti, G. Dietary proteins affect proteinuria in primary membranous glomerulonephritis with nephrotic syndrome and normal renal function. Contrib. Nephrol. 1990, 83, 166–169. [Google Scholar] [PubMed]
- Zhang, J.Y.; Yin, Y.; Ni, L.; Long, Q.; You, L.; Zhang, Q.; Lin, S.Y.; Chen, J. Low-protein diet supplemented with ketoacids ameliorates proteinuria in 3/4 nephrectomised rats by directly inhibiting the intrarenal renin-angiotensin system. Br. J. Nutr. 2016, 116, 1491–1501. [Google Scholar] [CrossRef] [PubMed]
- Zhang, J.; Xie, H.; Fang, M.; Wang, K.; Chen, J.; Sun, W.; Yang, L.; Lin, H. Keto-supplemented Low Protein Diet: A Valid Therapeutic Approach for Patients with Steroid-resistant Proteinuria during Early-stage Chronic Kidney Disease. J. Nutr. Health Aging 2016, 20, 420–427. [Google Scholar] [CrossRef] [PubMed]
- Di Iorio, B.R.; Bellizzi, V.; Bellasi, A.; Torraca, S.; D’Arrigo, G.; Tripepi, G.; Zoccali, C. Phosphate attenuates the anti-proteinuric effect of very low-protein diet in CKD patients. Nephrol. Dial. Transplant. 2013, 28, 632–640. [Google Scholar] [CrossRef] [PubMed]
- Chauveau, P.; Combe, C.; Rigalleau, V.; Vendrely, B.; Aparicio, M. Restricted protein diet is associated with decrease in proteinuria: Consequences on the progression of renal failure. J. Ren. Nutr. 2007, 17, 250–257. [Google Scholar] [CrossRef] [PubMed]
- Jungers, P.; Forget, D.; Houillier, P.; Henry-Amar, M.; Grünfeld, J.P. Pregnancy in IgA nephropathy, reflux nephropathy, and focal glomerular sclerosis. Am. J. Kidney Dis. 1987, 9, 334–338. [Google Scholar] [CrossRef]
- Nochy, D.; Gaudry, C.; Hinglais, N.; Rouchon, M.; Bariety, J. Can focal segmental glomerulosclerosis appear in preeclampsia? Adv. Nephrol. Necker Hosp. 1986, 15, 71–85. [Google Scholar] [PubMed]
- Packham, D.K.; North, R.A.; Fairley, K.F.; Ihle, B.U.; Whitworth, J.A.; Kincaid-Smith, P. Pregnancy in women with primary focal and segmental hyalinosis and sclerosis. Clin. Nephrol. 1988, 29, 185–192. [Google Scholar] [PubMed]
- Kwiatkowski, S.; Kwiatkowska, E.; Rzepka, R.; Kurkiewicz, V.; Mikołajek-Bedner, W.; Torbè, A. Development of a focal segmental glomerulosclerosis after pregnancy complicated by preeclampsia: Case report and review of literature. J. Matern.-Fetal Neonatal Med. 2016, 29, 1566–1569. [Google Scholar] [CrossRef] [PubMed]
- Unverdi, S.; Ceri, M.; Unverdi, H.; Yilmaz, R.; Akcay, A.; Duranay, M. Postpartum persistent proteinuria after preeclampsia: A single-center experience. Wien. Klin. Wochenschr. 2013, 125, 91–95. [Google Scholar] [CrossRef] [PubMed]
- Wada, T.; Nagaoka, Y.; Matsumoto, H.; Okada, T.; Han, M.; Yoshino, M.; Iwasawa, H.; Tomaru, R.; Uchinaga, A.; Ake, T.; et al. A pregnant woman with nephrotic syndrome and focal segmental lesions. Nihon Jinzo Gakkai Shi. 2006, 48, 680–684. [Google Scholar] [PubMed]
- Smyth, A.; Wall, C.A. Nephrotic syndrome due to focal segmental glomerulosclerosis occurring in early pregnancy. Obstet. Med. 2011, 4, 80–82. [Google Scholar] [CrossRef] [PubMed]
- Basgul, A.; Kavak, Z.N.; Sezen, D.; Basgul, A.; Gokaslan, H.; Cakalagaoglu, F. A rare case of early onset nephrotic syndrome in pregnancy. Clin. Exp. Obstet. Gynecol. 2006, 33, 127–128. [Google Scholar] [PubMed]
- Uy, N.; Graf, L.; Lemley, K.V.; Kaskel, F. Effects of gluten-free, dairy-free diet on childhood nephrotic syndrome and gut microbiota. Pediatr. Res. 2015, 77, 252–255. [Google Scholar] [CrossRef] [PubMed]
- Yoshifuji, A.; Wakino, S.; Irie, J.; Tajima, T.; Hasegawa, K.; Kanda, T.; Tokuyama, H.; Hayashi, K.; Itoh, H. Gut Lactobacillus protects against the progression of renal damage by modulating the gut environment in rats. Nephrol. Dial. Transplant. 2016, 31, 401–412. [Google Scholar] [CrossRef] [PubMed]
- Sandberg, D.H.; Bernstein, C.W.; McIntosh, R.M.; Carr, R.; Strauss, J. Severe steroid-responsive nephrosis associated with hypersensitivity. Lancet 1977, 1, 388–391. [Google Scholar] [CrossRef]
- Laurent, J.; Lagrue, G. Dietary manipulation for idiopathic nephrotic syndrome. A new approach to therapy. Allergy 1989, 44, 599–603. [Google Scholar] [CrossRef] [PubMed]
- Sieniawska, M.; Szymanik-Grzelak, H.; Kowalewska, M.; Wasik, M.; Koleska, D. The role of cow’s milk protein intolerance in steroid-resistant nephrotic syndrome. Acta Paediatr. 1992, 81, 1007–1012. [Google Scholar] [CrossRef] [PubMed]
- De Sousa, J.S.; Rosa, F.C.; Baptista, A.; Fonseca, H.; Sá, G. Cow’s milk protein sensitivity: A possible cause of nephrotic syndrome in early infancy. J. Pediatr. Gastroenterol. Nutr. 1995, 21, 235–237. [Google Scholar] [CrossRef] [PubMed]
- Rasoulpour, M.; Dalidowitz, C. Resolution of steroid-dependency by a dairy/hypoallergenic diet in children with nephrotic syndrome. Am. J. Kidney Dis. 2007, 49, B67. [Google Scholar] [CrossRef]
- Brown, K.; DeCoffe, D.; Molcan, E.; Gibson, D.L. Diet-induced dysbiosis of the intestinal microbiota and the effects on immunity and disease. Nutrients 2012, 4, 1095–1119. [Google Scholar] [CrossRef] [PubMed]










© 2017 by the authors. Licensee MDPI, Basel, Switzerland. This article is an open access article distributed under the terms and conditions of the Creative Commons Attribution (CC BY) license (http://creativecommons.org/licenses/by/4.0/).
Share and Cite
Attini, R.; Leone, F.; Montersino, B.; Fassio, F.; Minelli, F.; Colla, L.; Rossetti, M.; Rollino, C.; Alemanno, M.G.; Barreca, A.; et al. Pregnancy, Proteinuria, Plant-Based Supplemented Diets and Focal Segmental Glomerulosclerosis: A Report on Three Cases and Critical Appraisal of the Literature. Nutrients 2017, 9, 770. https://doi.org/10.3390/nu9070770
Attini R, Leone F, Montersino B, Fassio F, Minelli F, Colla L, Rossetti M, Rollino C, Alemanno MG, Barreca A, et al. Pregnancy, Proteinuria, Plant-Based Supplemented Diets and Focal Segmental Glomerulosclerosis: A Report on Three Cases and Critical Appraisal of the Literature. Nutrients. 2017; 9(7):770. https://doi.org/10.3390/nu9070770
Chicago/Turabian StyleAttini, Rossella, Filomena Leone, Benedetta Montersino, Federica Fassio, Fosca Minelli, Loredana Colla, Maura Rossetti, Cristiana Rollino, Maria Grazia Alemanno, Antonella Barreca, and et al. 2017. "Pregnancy, Proteinuria, Plant-Based Supplemented Diets and Focal Segmental Glomerulosclerosis: A Report on Three Cases and Critical Appraisal of the Literature" Nutrients 9, no. 7: 770. https://doi.org/10.3390/nu9070770
APA StyleAttini, R., Leone, F., Montersino, B., Fassio, F., Minelli, F., Colla, L., Rossetti, M., Rollino, C., Alemanno, M. G., Barreca, A., Todros, T., & Piccoli, G. B. (2017). Pregnancy, Proteinuria, Plant-Based Supplemented Diets and Focal Segmental Glomerulosclerosis: A Report on Three Cases and Critical Appraisal of the Literature. Nutrients, 9(7), 770. https://doi.org/10.3390/nu9070770

