Immunostimulatory Effects of Gamisoyosan on Macrophages via TLR4-Mediated Signaling Pathways
Abstract
1. Introduction
2. Materials and Methods
2.1. Materials and Reagents
2.2. Preparation of GSS
2.3. Macrophage Cell Culture and Drug Treatment
2.4. CCK Assay for Cell Viability
2.5. Nitrite Assay
2.6. Western Blot Analysis
2.7. RNA Extraction, DNA Synthesis, and Quantitative Polymerase Chain Reaction (qPCR)
2.8. Evaluation of Cytokine Secretion
2.9. Analysis of Intracellular Reactive Oxygen Species (ROS) Production
2.10. Phagocytosis Assay
2.11. Adhesion Function
2.12. Wound-Healing Assay
2.13. UHPLC-UV-MS/MS Analysis
2.14. Statistical Analysis
3. Results
3.1. GSS Induces Secretion of NO and Expression of iNOS and COX-2 in Macrophages at Noncytotoxic Concentrations
3.2. GSS Effectively Induces Cytokine Secretion and Its mRNA Expression in Macrophages
3.3. GSS Strongly Increases the Production of Intracellular ROS in Macrophages
3.4. Enhancing Effects of GSS on Macrophage Phagocytosis
3.5. Enhancing Effect of GSS on Macrophage Immune Function
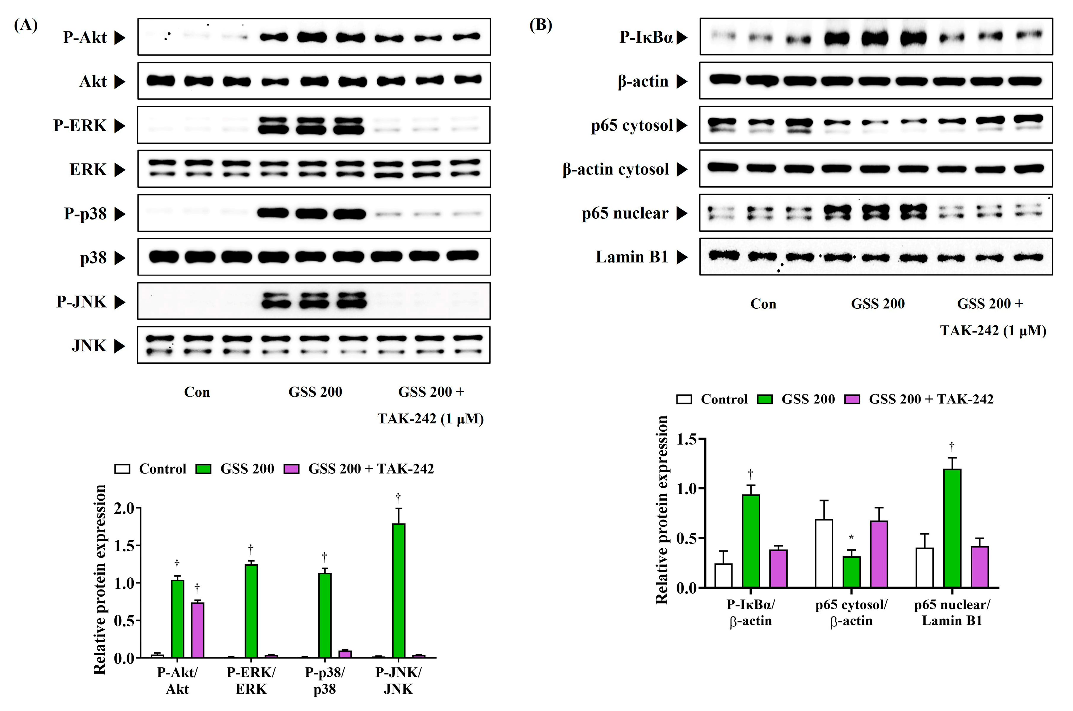
3.6. GSS Effectively Activates Akt, MAPK, and NF-κB Pathways by Activating TLR4
3.7. TAK-242 Inhibits the Immune Activation Effect of GSS
3.8. UHPLC-UV-MS/MS Analysis of GSS
4. Discussion
5. Conclusions
Author Contributions
Funding
Institutional Review Board Statement
Informed Consent Statement
Data Availability Statement
Conflicts of Interest
References
- Batatinha, H.A.; Biondo, L.A.; Lira, F.S.; Castell, L.M.; Rosa-Neto, J.C. Nutrients, immune system, and exercise: Where will it take us? Nutrition 2019, 61, 151–156. [Google Scholar] [CrossRef] [PubMed]
- Ren, Z.; He, C.; Fan, Y.; Si, H.; Wang, Y.; Shi, Z.; Zhao, X.; Zheng, Y.; Liu, Q.; Zhang, H. Immune-enhancing activity of polysaccharides from Cyrtomium macrophyllum. Int. J. Biol. Macromol. 2014, 70, 590–595. [Google Scholar] [CrossRef]
- Gordon, S.; Martinez, F.O. Alternative activation of macrophages: Mechanism and functions. Immunity 2010, 32, 593–604. [Google Scholar] [CrossRef] [PubMed]
- Lee, S.M.; Kim, B.N.; Kim, Y.H.; Min, J. Identification of TLR2/4-mediated phagocytosis and immune response activation pathways by vacuoles isolated from Saccharomyces cerevisiae. J. Cell. Biochem. 2023, 124, 59–71. [Google Scholar] [CrossRef]
- Unanue, E.R. Antigen-presenting function of the macrophage. Annu. Rev. Immunol. 1984, 2, 395–428. [Google Scholar] [CrossRef]
- Fitzgerald, K.A.; Kagan, J.C. Toll-like receptors and the control of immunity. Cell 2020, 180, 1044–1066. [Google Scholar] [CrossRef] [PubMed]
- Xu, D.; Liu, H.; Komai-Koma, M. Direct and indirect role of Toll-like receptors in T cell mediated immunity. Cell. Mol. Immunol. 2004, 1, 239–246. [Google Scholar]
- Wang, N.; Liang, H.; Zen, K. Molecular mechanisms that influence the macrophage M1–M2 polarization balance. Front. Immunol. 2014, 5, 614. [Google Scholar] [CrossRef] [PubMed]
- Um, Y.; Eo, H.J.; Kim, H.J.; Kim, K.; Jeon, K.S.; Jeong, J.B. Wild simulated ginseng activates mouse macrophage, RAW264. 7 cells through TRL2/4-dependent activation of MAPK, NF-κB and PI3K/AKT pathways. J. Ethnopharmacol. 2020, 263, 113218. [Google Scholar] [CrossRef]
- Heo, J. Donguibogam; Yeogang Publishing Co.: Seoul, Republic of Korea, 1994; p. 296. [Google Scholar]
- Scheid, V.; Ward, T.; Cha, W.S.; Watanabe, K.; Liao, X. The treatment of menopausal symptoms by traditional East Asian medicines: Review and perspectives. Maturitas 2010, 66, 111–130. [Google Scholar] [CrossRef]
- Kim, J.Y.; Kwak, D.H.; Ju, E.J.; Kim, S.M.; Lee, D.H.; Keum, K.S.; Lee, S.U.; Jung, K.Y.; Seo, B.B.; Choo, Y.K. Effects of Gamisoyosan on in vitro fertilization and ovulation of stressed mice by electric shock. Arch. Pharm. Res. 2004, 27, 1168–1176. [Google Scholar] [CrossRef] [PubMed]
- Yamada, K.; Kanba, S. Effectiveness of kamishoyosan for premenstrual dysphoric disorder: Open-labeled pilot study. Psychiatry Clin. Neurosci. 2007, 61, 323–325. [Google Scholar] [CrossRef] [PubMed]
- Jin, S.W.; Lee, G.H.; Jang, M.J.; Hong, G.E.; Kim, J.Y.; Park, G.D.; Jin, H.; Kim, H.S.; Choi, J.H.; Choi, C.Y. Immunomodulatory activity of Lactococcus lactis GCWB1176 in cyclophosphamide-induced immunosuppression model. Microorganisms 2020, 8, 1175. [Google Scholar] [CrossRef]
- Li, Y.; Yu, P.; Fu, W.; Cai, L.; Yu, Y.; Feng, Z.; Wang, Y.; Zhang, F.; Yu, X.; Xu, H.; et al. Ginseng–Astragalus–oxymatrine injection ameliorates cyclophosphamide-induced immunosuppression in mice and enhances the immune activity of RAW264.7 cells. J. Ethnopharmacol. 2021, 279, 114387. [Google Scholar] [CrossRef] [PubMed]
- Pak, M.E.; Park, Y.J.; Yang, H.J.; Hwang, Y.H.; Li, W.; Go, Y. Samhwangsasim-tang attenuates neuronal apoptosis and cognitive decline through BDNF-mediated activation of tyrosin kinase B and p75-neurotrophin receptors. Phytomedicine 2022, 99, 153997. [Google Scholar] [CrossRef]
- Jung, M.Y.; Seo, C.S.; Baek, S.E.; Lee, J.; Shin, M.S.; Kang, K.S.; Lee, S.; Yoo, J.E. Analysis and Identification of Active Compounds from Gami-Soyosan Toxic to MCF-7 Human Breast Adenocarcinoma Cells. Biomolecules 2019, 9, 272. [Google Scholar] [CrossRef]
- Jin, S.E.; Kim, O.S.; Yoo, S.R.; Seo, C.S.; Kim, Y.; Shin, H.K.; Jeong, S.J. Anti-inflammatory effect and action mechanisms of traditional herbal formula Gamisoyo-san in RAW 264.7 macrophages. BMC Complement. Altern. Med. 2016, 16, 219. [Google Scholar] [CrossRef]
- Lu, C.M.; Hou, M.L.; Lin, L.C.; Tsai, T.H. Chemical and Physical Methods to Analyze a Multicomponent Traditional Chinese Herbal Prescription Using LC-MS/MS, Electron Microscope, and Congo Red Staining. Evid. Based Complement. Alternat. Med. 2013, 2013, 952796. [Google Scholar] [CrossRef] [PubMed]
- Park, S.H.; Lee, H.J.; Ryu, J.; Son, K.H.; Kwon, S.Y.; Lee, S.K.; Kim, Y.S.; Hong, J.H.; Seok, J.H.; Lee, C.J. Effects of ophiopogonin D and spicatoside A derived from Liriope Tuber on secretion and production of mucin from airway epithelial cells. Phytomedicine 2014, 21, 172–176. [Google Scholar] [CrossRef]
- Ling, Y.; Chen, M.; Wang, K.; Sun, Z.; Li, Z.; Wu, B.; Huang, C. Systematic screening and characterization of the major bioactive components of Poria cocos and their metabolites in rats by LC-ESI-MSn. Biomed. Chromatogr. 2012, 26, 1109–1117. [Google Scholar] [CrossRef]
- Kumar, S.; Sharma, G.; Sidiq, T.; Khajuria, A.; Jain, M.; Bhagwat, D.; Dhar, K. Immunomodulatory potential of a bioactive fraction from the leaves of Phyllostachys bambusoides (Bamboo) in BALB/C mice. EXCLI J. 2014, 13, 137–150. [Google Scholar] [PubMed]
- Jeong, D.Y.; Yang, H.J.; Jeong, S.J.; Kim, M.G.; Yun, C.Y.; Lee, H.Y.; Lee, Y.H.; Shin, D.Y.; Lee, H.S.; Park, Y.M. Immunostimulatory effects of blueberry yeast fermented powder against cyclophosphamide-induced immunosuppressed model. J. Physiol. Pathol. Korean Med. 2019, 33, 48–55. [Google Scholar] [CrossRef]
- Promphet, P.; Bunarsa, S.; Sutheerawattananonda, M.; Kunthalert, D. Immune enhancement activities of silk lutein extract from Bombyx mori cocoons. Biol. Res. 2014, 47, 15. [Google Scholar] [CrossRef] [PubMed]
- Mosser, D.M.; Edwards, J.P. Exploring the full spectrum of macrophage activation. Nat. Rev. Immunol. 2008, 8, 958–969. [Google Scholar] [CrossRef]
- Olefsky, J.M.; Glass, C.K. Macrophages, inflammation, and insulin resistance. Annu. Rev. Physiol. 2010, 72, 219–246. [Google Scholar] [CrossRef]
- Nathan, C.; Shiloh, M.U. Reactive oxygen and nitrogen intermediates in the relationship between mammalian hosts and microbial pathogens. Proc. Natl. Acad. Sci. USA 2000, 97, 8841–8848. [Google Scholar] [CrossRef]
- Guzik, T.; Korbut, R.; Adamek-Guzik, T. Nitric oxide and superoxide in inflammation. J. Physiol. Pharmacol. 2003, 54, 469–487. [Google Scholar] [PubMed]
- Sudeep, H.V.; Gouthamchandra, K.; Ramanaiah, I.; Raj, A.; Naveen, P.; Shyamprasad, K. A standardized extract of Echinacea purpurea containing higher chicoric acid content enhances immune function in murine macrophages and cyclophosphamide-induced immunosuppression mice. Pharm. Biol. 2023, 61, 1211–1221. [Google Scholar] [CrossRef]
- Martinvalet, D.; Walch, M. The role of reactive oxygen species in protective immunity. Front. Immunol. 2022, 12, 832946. [Google Scholar] [CrossRef]
- Duan, T.; Du, Y.; Xing, C.; Wang, H.Y.; Wang, R.F. Toll-like receptor signaling and its role in cell-mediated immunity. Front. Immunol. 2022, 13, 812774. [Google Scholar] [CrossRef]
- Qu, Z.; Chen, Y.; Luo, Z.H.; Shen, X.L.; Hu, Y.J. 7-methoxyflavanone alleviates neuroinflammation in lipopolysaccharide-stimulated microglial cells by inhibiting TLR4/MyD88/MAPK signalling and activating the Nrf2/NQO-1 pathway. J. Pharm. Pharmacol. 2020, 72, 385–395. [Google Scholar] [CrossRef]
- Dong, C.; Davis, R.J.; Flavell, R.A. MAP kinases in the immune response. Annu. Rev. Immunol. 2002, 20, 55–72. [Google Scholar] [CrossRef] [PubMed]
- Chapman, N.R.; Perkins, N.D. Inhibition of the RelA (p65) NF-κB subunit by Egr-1. J. Biol. Chem. 2000, 275, 4719–4725. [Google Scholar] [CrossRef] [PubMed]
- Zhang, Y.; Zhang, A.; Zhao, Y.; Feng, X.; Sheng, Y.; Zhang, H.; Weng, Q.; Xu, M. Expressions of TLR4, MyD88, IRAK4 and NF-ÎB in the oviduct of Chinese brown frog (Rana dybowskii). Eur. J. Histochem. 2019, 63, 3050. [Google Scholar] [CrossRef]
- Dan, H.C.; Cooper, M.J.; Cogswell, P.C.; Duncan, J.A.; Ting, J.P.Y.; Baldwin, A.S. Akt-dependent regulation of NF-κB is controlled by mTOR and Raptor in association with IKK. Genes Dev. 2008, 22, 1490–1500. [Google Scholar] [CrossRef] [PubMed]
- Shen, T.; Wang, G.; You, L.; Zhang, L.; Ren, H.; Hu, W.; Qiang, Q.; Wang, X.; Ji, L.; Gu, Z. Polysaccharide from wheat bran induces cytokine expression via the toll-like receptor 4-mediated p38 MAPK signaling pathway and prevents cyclophosphamide-induced immunosuppression in mice. Food Nutr. Res. 2017, 61, 1344523. [Google Scholar] [CrossRef] [PubMed]
- Yang, Y.; Xing, R.; Liu, S.; Qin, Y.; Li, K.; Yu, H.; Li, P. Immunostimulatory effects of sulfated chitosans on RAW 264.7 mouse macrophages via the activation of PI3 K/Akt signaling pathway. Int. J. Biol. Macromol. 2018, 108, 1310–1321. [Google Scholar] [CrossRef]
- Jeong, J.; Lim, M.K.; Han, E.H.; Lee, S.H.; Lee, S. Immune-enhancement effects of Angelica gigas Nakai extracts via MAPK/NF-ƙB signaling pathways in cyclophosphamide-induced immunosuppressed mice. Food Sci. Biotechnol. 2023, 32, 1573–1584. [Google Scholar] [CrossRef]
- Dong, X.; Li, B.; Yu, B.; Chen, T.; Hu, Q.; Peng, B.; Sheng, W. Poria cocos polysaccharide induced Th1-type immune responses to ovalbumin in mice. PLoS ONE 2021, 16, e0245207. [Google Scholar] [CrossRef]
- Wang, Q.; Shen, J.; Yan, Z.; Xiang, X.; Mu, R.; Zhu, P.; Yao, Y.; Zhu, F.; Chen, K.; Chi, S.; et al. Dietary Glycyrrhiza uralensis extracts supplementation elevated growth performance, immune responses and disease resistance against Flavobacterium columnare in yellow catfish (Pelteobagrus fulvidraco). Fish Shellfish Immunol. 2020, 97, 153–164. [Google Scholar] [CrossRef]
- Gong, J.; Jin, Q.; Zhu, F. Effects of geniposide on innate immunity and antiviral activity of Scyllaparamamosain. Fish Shellfish Immunol. 2024, 145, 109303. [Google Scholar] [CrossRef] [PubMed]








| Scientific Name of Herbs | Medicinal Parts | Composition Ratio (%) |
|---|---|---|
| Atractylodes macrocephala | Rhizome | 11.11 |
| Paeonia lactiflora | Root | 11.11 |
| Poria cocos | Sclerotium | 11.11 |
| Bupleurum falcatum | Root | 11.11 |
| Angelica gigas | Root | 11.11 |
| Liriope platyphylla | Tuber | 11.11 |
| Glycyrrhiza uralensis | Root and Rhizome | 5.56 |
| Mentha arvensis | Herba | 5.56 |
| Zingiber officinale | Rhizome (undried) | 5.56 |
| Gardenia jasminoides | Fruit | 8.33 |
| Paeonia suffruticosa | Root Bark | 8.33 |
| Target Gene | Reference Sequence | Primer Sequence |
|---|---|---|
| TNF-α | NM_013693.3 | F: 5′-TTCTGTCTACTGAACTTCGGGGTGATCGGTCC-3′ |
| R: 5′-GTATGAGATAGCAAATCGGCTGACGGTGTGGG-3′ | ||
| IL-6 | NM_031168.2 | F: 5′-TCCAGTTGCCTTCTTGGGAC-3′ |
| R: 5′-GTGTAATTAAGCCTCCGACTTG-3′ | ||
| IL-1β | NM_008361.4 | F: 5′-ATGGCAACTGTTCCTGAACTCAACT-3′ |
| R: 5′-CAGGACAGGTATAGATTCTTTCCTTT-3′ | ||
| MCP-1 | NM_011333 | F: 5′-GCTACAAGAGGATCACCAGCAG-3′ |
| R: 5′-GTCTGGACCCATTCCTTCTTGG-3′ | ||
| IL-10 | NM_010548 | F: 5′-CGGGAAGACAATAACTGCACCC-3′ |
| R: 5′-CGGTTAGCAGTATGTTGTCCAGC-3′ | ||
| iNOS | NM_010927.4 | F: 5′-GGCAGCCTGTGAGACCTTTG-3′ |
| R: 5′-GCATTGGAAGTGAAGCGTTTC-3′ | ||
| COX-2 | NM_011198.4 | F: 5′-TGAGTACCGCAAACGCTTCTC-3′ |
| R: 5′-TGGACGAGGTTTTTCCACCAG-3′ | ||
| β-actin | NM_007393.5 | F: 5′-AGAGGGAAATCGTGCGTGAC-3′ |
| R: 5′-CAATAGTGATGACCTGGCCGT-3′ |
| No | tR (min) | Chemical Formula | Adduct | Estimated (m/z) | Calculated (m/z) | Error (ppm) | Identification | Source |
|---|---|---|---|---|---|---|---|---|
| 1 | 5.74 | C17H24O10 | [M + HCO2]− | 433.1352 | 433.1356 | 1.0854 | Geniposide | G. jasminoides |
| 2 | 6.33 | C23H28O11 | [M + HCO2]− | 525.1614 | 525.1619 | 0.9621 | Paeoniflorin | P. lactiflora |
| 3 | 13.08 | C42H62O16 | [M − H]− | 821.3965 | 821.3977 | 1.4549 | Glycyrrhizin | G. uralensis |
| 4 | 14.26 | C42H68O13 | [M + HCO2]− | 825.4642 | 825.4652 | 1.2356 | Saikosaponin A | B. falcatum |
| 5 | 14.52 | C17H26O4 | [M + Na]+ | 317.1723 | 317.1726 | 0.7785 | 6-Gingerol | Z. officinale |
| 6 | 17.26 | C19H20O5 | [M + H]+ | 329.1384 | 329.1383 | −0.0420 | Decursin | A. gigas |
| 7 | 17.44 | C15H20O2 | [M + H]+ | 233.1536 | 233.1536 | 0.1319 | Atractylenolide II | A. macrocephala |
| 8 | 17.56 | C44H70O16 | [M + HCO2]− | 899.4646 | 899.4663 | 1.9107 | Ophiopogonin D | L. platyphylla |
| 9 | 20.61 | C33H52O5 | [M − H]− | 527.3742 | 527.3749 | 1.4012 | Pachymic acid | P. cocos |
Disclaimer/Publisher’s Note: The statements, opinions and data contained in all publications are solely those of the individual author(s) and contributor(s) and not of MDPI and/or the editor(s). MDPI and/or the editor(s) disclaim responsibility for any injury to people or property resulting from any ideas, methods, instructions or products referred to in the content. |
© 2024 by the authors. Licensee MDPI, Basel, Switzerland. This article is an open access article distributed under the terms and conditions of the Creative Commons Attribution (CC BY) license (https://creativecommons.org/licenses/by/4.0/).
Share and Cite
Jeong, Y.H.; Li, W.; Yang, H.J.; Choi, J.-G.; Oh, Y.-C. Immunostimulatory Effects of Gamisoyosan on Macrophages via TLR4-Mediated Signaling Pathways. Nutrients 2024, 16, 3266. https://doi.org/10.3390/nu16193266
Jeong YH, Li W, Yang HJ, Choi J-G, Oh Y-C. Immunostimulatory Effects of Gamisoyosan on Macrophages via TLR4-Mediated Signaling Pathways. Nutrients. 2024; 16(19):3266. https://doi.org/10.3390/nu16193266
Chicago/Turabian StyleJeong, Yun Hee, Wei Li, Hye Jin Yang, Jang-Gi Choi, and You-Chang Oh. 2024. "Immunostimulatory Effects of Gamisoyosan on Macrophages via TLR4-Mediated Signaling Pathways" Nutrients 16, no. 19: 3266. https://doi.org/10.3390/nu16193266
APA StyleJeong, Y. H., Li, W., Yang, H. J., Choi, J.-G., & Oh, Y.-C. (2024). Immunostimulatory Effects of Gamisoyosan on Macrophages via TLR4-Mediated Signaling Pathways. Nutrients, 16(19), 3266. https://doi.org/10.3390/nu16193266

