The Effect of Potassium Nitrate Supplementation on the Force and Properties of Extensor digitorum longus (EDL) Muscles in Mice
Abstract
1. Introduction
2. Materials and Methods
2.1. In Vivo Experimental Model
2.2. Histology of Tissues and Blood Sample Collection
2.3. Blood Samples Analysis
2.4. EDL Muscle-Force Measurement
2.5. Statistical Analysis
3. Results
3.1. Effects of Dietary KNO3 on Body Weight
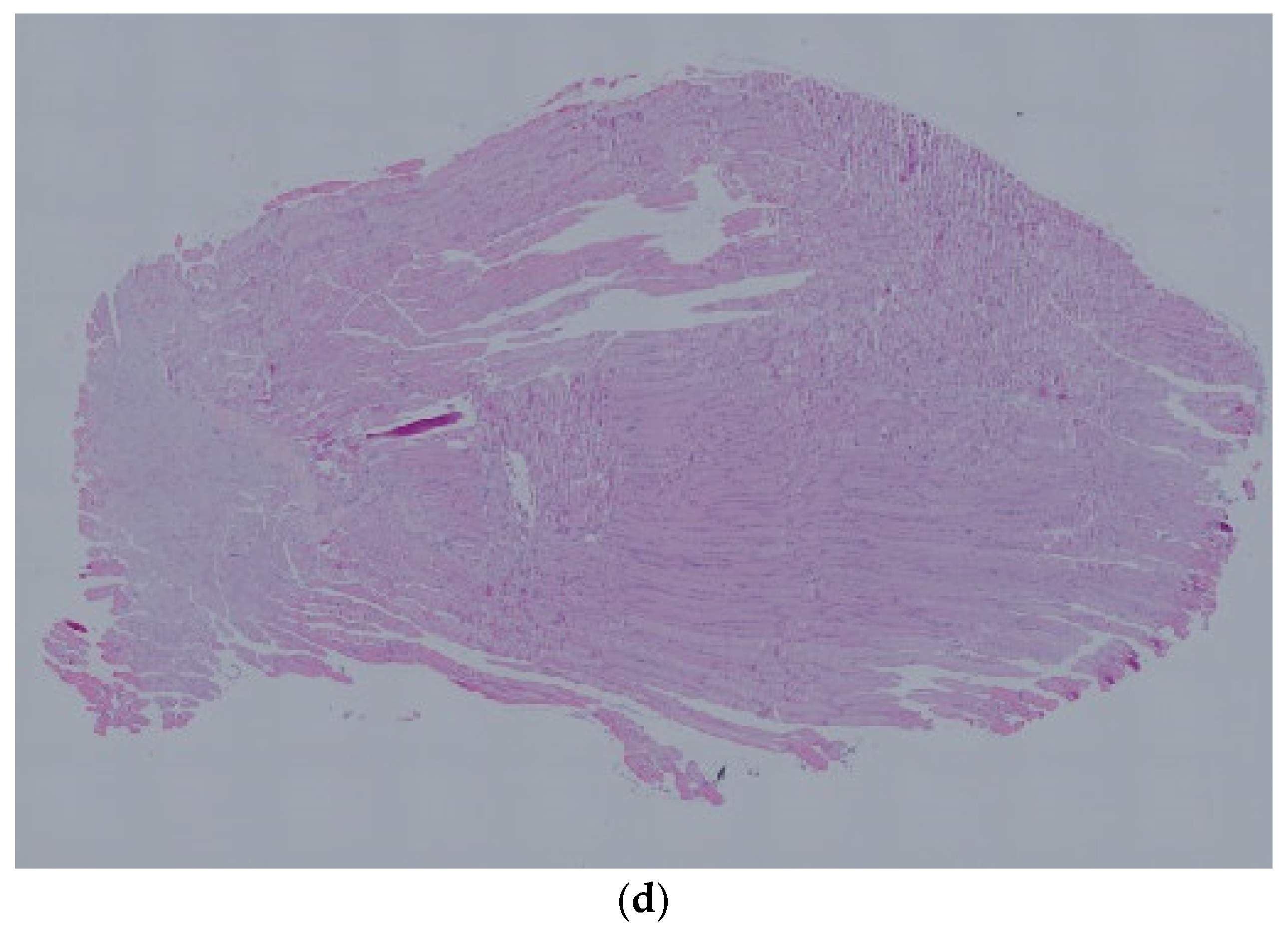
3.2. Histology of the Tissues
3.3. Effects of KNO3 on Blood Chemical Parameters

4. Discussion
5. Conclusions
Supplementary Materials
Author Contributions
Funding
Institutional Review Board Statement
Informed Consent Statement
Data Availability Statement
Acknowledgments
Conflicts of Interest
References
- Larsen, F.J.; Schiffer, T.A.; Borniquel, S.; Sahlin, K.; Ekblom, B.; Lundberg, J.O.; Weitzberg, E. Dietary Inorganic Nitrate Improves Mitochondrial Efficiency in Humans. Cell Metab. 2011, 13, 149–159. [Google Scholar] [CrossRef] [PubMed]
- Bailey, S.J.; Fulford, J.; Vanhatalo, A.; Winyard, P.G.; Blackwell, J.R.; DiMenna, F.J.; Wilkerson, D.P.; Benjamin, N.; Jones, A.M. Dietary Nitrate Supplementation Enhances Muscle Contractile Efficiency during Knee-Extensor Exercise in Humans. J. Appl. Physiol. 2010, 109, 135–148. [Google Scholar] [CrossRef] [PubMed]
- Wylie, L.J.; Kelly, J.; Bailey, S.J.; Blackwell, J.R.; Skiba, P.F.; Winyard, P.G.; Jeukendrup, A.E.; Vanhatalo, A.; Jones, A.M. Beetroot Juice and Exercise: Pharmacodynamic and Dose-Response Relationships. J. Appl. Physiol. 2013, 115, 325–336. [Google Scholar] [CrossRef] [PubMed]
- Totzeck, M.; Hendgen-Cotta, U.B.; Luedike, P.; Berenbrink, M.; Klare, J.P.; Steinhoff, H.-J.; Semmler, D.; Shiva, S.; Williams, D.; Kipar, A.; et al. Nitrite Regulates Hypoxic Vasodilation via Myoglobin-Dependent Nitric Oxide Generation. Circulation 2012, 126, 325–334. [Google Scholar] [CrossRef] [PubMed]
- Mortensen, A.; Aguilar, F.; Crebelli, R.; di Domenico, A.; Dusemund, B.; Frutos, M.J.; Galtier, P.; Gott, D.; Gundert-Remy, U.; Lambré, C.; et al. Re-evaluation of Sodium Nitrate (E 251) and Potassium Nitrate (E 252) as Food Additives. EFSA J. 2017, 15, e04787. [Google Scholar] [CrossRef]
- US Food and Drug Administration. CFR—Code of Federal Regulations Title 21; US Food and Drug Administration: Washington, DC, USA, 2017. [Google Scholar]
- Foodstandards.gov. Survey of Nitrates and Nitrites in Food and Beverages in Australia; Food Standards Australia New Zealand: Barton, Australia, 2011.
- Benjamin, N.; O’Driscoll, F.; Dougall, H.; Duncan, C.; Smith, L.; Golden, M.; McKenzie, H. Stomach NO Synthesis. Nature 1994, 368, 502. [Google Scholar] [CrossRef]
- Lundberg, J.O.; Weitzberg, E.; Lundberg, J.M.; Alving, K. Intragastric Nitric Oxide Production in Humans: Measurements in Expelled Air. Gut 1994, 35, 1543–1546. [Google Scholar] [CrossRef]
- Lundberg, J.O.; Weitzberg, E.; Gladwin, M.T. The Nitrate–Nitrite–Nitric Oxide Pathway in Physiology and Therapeutics. Nat. Rev. Drug. Discov. 2008, 7, 156–167. [Google Scholar] [CrossRef]
- Weitzberg, E.; Lundberg, J.O. Novel Aspects of Dietary Nitrate and Human Health. Annu. Rev. Nutr. 2013, 33, 129–159. [Google Scholar] [CrossRef]
- Lundberg, J.O.; Weitzberg, E. Biology of Nitrogen Oxides in the Gastrointestinal Tract. Gut 2013, 62, 616–629. [Google Scholar] [CrossRef]
- Lundberg, J.O.; Gladwin, M.T.; Weitzberg, E. Strategies to Increase Nitric Oxide Signalling in Cardiovascular Disease. Nat. Rev. Drug. Discov. 2015, 14, 623–641. [Google Scholar] [CrossRef]
- Carlström, M.; Lundberg, J.O.; Weitzberg, E. Mechanisms Underlying Blood Pressure Reduction by Dietary Inorganic Nitrate. Acta Physiol. 2018, 224, e13080. [Google Scholar] [CrossRef]
- Ma, L.; Hu, L.; Feng, X.; Wang, S. Nitrate and Nitrite in Health and Disease. Aging Dis. 2018, 9, 938. [Google Scholar] [CrossRef]
- Lundberg, J.O.; Govoni, M. Inorganic Nitrate Is a Possible Source for Systemic Generation of Nitric Oxide. Free Radic. Biol. Med. 2004, 37, 395–400. [Google Scholar] [CrossRef]
- Webb, A.J.; Patel, N.; Loukogeorgakis, S.; Okorie, M.; Aboud, Z.; Misra, S.; Rashid, R.; Miall, P.; Deanfield, J.; Benjamin, N.; et al. Acute Blood Pressure Lowering, Vasoprotective, and Antiplatelet Properties of Dietary Nitrate via Bioconversion to Nitrite. Hypertension 2008, 51, 784–790. [Google Scholar] [CrossRef]
- Petersson, J.; Jädert, C.; Phillipson, M.; Borniquel, S.; Lundberg, J.O.; Holm, L. Physiological Recycling of Endogenous Nitrate by Oral Bacteria Regulates Gastric Mucus Thickness. Free Radic. Biol. Med. 2015, 89, 241–247. [Google Scholar] [CrossRef]
- Ignarro, L.J. Nitric Oxide: Biology and Pathobiology; Academic Press: Cambridge, MA, USA, 2000. [Google Scholar]
- Pisoschi, A.M.; Pop, A. The Role of Antioxidants in the Chemistry of Oxidative Stress: A Review. Eur. J. Med. Chem. 2015, 97, 55–74. [Google Scholar] [CrossRef]
- Schönfeld, P.; Wojtczak, L. Fatty Acids as Modulators of the Cellular Production of Reactive Oxygen Species. Free Radic. Biol. Med. 2008, 45, 231–241. [Google Scholar] [CrossRef]
- Larsen, F.J.; Ekblom, B.; Sahlin, K.; Lundberg, J.O.; Weitzberg, E. Effects of Dietary Nitrate on Blood Pressure in Healthy Volunteers. N. Engl. J. Med. 2006, 355, 2792–2793. [Google Scholar] [CrossRef]
- Chen, K.; Pittman, R.N.; Popel, A.S. Nitric Oxide in the Vasculature: Where Does It Come from and Where Does It Go? A Quantitative Perspective. Antioxid. Redox Signal. 2008, 10, 1185–1198. [Google Scholar] [CrossRef]
- Luna-Vázquez, F.; Ibarra-Alvarado, C.; Rojas-Molina, A.; Rojas-Molina, I.; Zavala-Sánchez, M. Vasodilator Compounds Derived from Plants and Their Mechanisms of Action. Molecules 2013, 18, 5814–5857. [Google Scholar] [CrossRef] [PubMed]
- Riddell, D.R.; Owen, J.S. Nitric Oxide and Platelet Aggregation; Academic Press: Cambridge, MA, USA, 1997; pp. 25–48. [Google Scholar]
- Apostoli, G.L.; Solomon, A.; Smallwood, M.J.; Winyard, P.G.; Emerson, M. Role of Inorganic Nitrate and Nitrite in Driving Nitric Oxide-CGMP-Mediated Inhibition of Platelet Aggregation in Vitro and in Vivo. J. Thromb. Haemost. 2014, 12, 1880–1889. [Google Scholar] [CrossRef] [PubMed]
- Rodriguez-Mateos, A.; Hezel, M.; Aydin, H.; Kelm, M.; Lundberg, J.O.; Weitzberg, E.; Spencer, J.P.E.; Heiss, C. Interactions between Cocoa Flavanols and Inorganic Nitrate: Additive Effects on Endothelial Function at Achievable Dietary Amounts. Free Radic. Biol. Med. 2015, 80, 121–128. [Google Scholar] [CrossRef] [PubMed]
- Bogdan, C. Nitric Oxide and the Immune Response. Nat. Immunol. 2001, 2, 907–916. [Google Scholar] [CrossRef]
- Aslan, M.; Ozben, T. Reactive Oxygen and Nitrogen Species in Alzheimers Disease. Curr. Alzheimer Res. 2004, 1, 111–119. [Google Scholar] [CrossRef]
- Schulz, E.; Anter, E.; Keaney, J.F., Jr. Oxidative Stress, Antioxidants, and Endothelial Function. Curr. Med. Chem. 2004, 11, 1093–1104. [Google Scholar] [CrossRef]
- Pohl, H.R.; Wheeler, J.S.; Murray, H.E. Sodium and Potassium in Health and Disease; Springer: Dordrecht, The Netherlands, 2013; pp. 29–47. [Google Scholar]
- Lindinger, M.I.; Sjøgaard, G. Potassium Regulation during Exercise and Recovery. Sports Med. 1991, 11, 382–401. [Google Scholar] [CrossRef]
- Preuss, H.G. Sodium, Chloride, and Potassium. In Present Knowledge in Nutrition; Elsevier: Amsterdam, The Netherlands, 2020; pp. 467–484. [Google Scholar]
- Burkholder, T.; Foltz, C.; Karlsson, E.; Linton, C.G.; Smith, J.M. Health Evaluation of Experimental Laboratory Mice. Curr. Protoc. Mouse Biol. 2012, 2, 145–165. [Google Scholar] [CrossRef]
- Moorwood, C.; Liu, M.; Tian, Z.; Barton, E.R. Isometric and Eccentric Force Generation Assessment of Skeletal Muscles Isolated from Murine Models of Muscular Dystrophies. J. Vis. Exp. 2013, e50036. [Google Scholar] [CrossRef]
- Meyerhoff, J.; Muhie, S.; Chakraborty, N.; Naidu, L.; Sowe, B.; Hammamieh, R.; Jett, M.; Gautam, A. Microdissection of Mouse Brain into Functionally and Anatomically Different Regions. J. Vis. Exp. 2021. [Google Scholar] [CrossRef]
- Lira, V.A.; Soltow, Q.A.; Long, J.H.D.; Betters, J.L.; Sellman, J.E.; Criswell, D.S. Nitric Oxide Increases GLUT4 Expression and Regulates AMPK Signaling in Skeletal Muscle. Am. J. Physiol.—Endocrinol. Metab. 2007, 293, E1062–E1068. [Google Scholar] [CrossRef]
- Mougios, V. Reference Intervals for Serum Creatine Kinase in Athletes. Br. J. Sports Med. 2007, 41, 674–678. [Google Scholar] [CrossRef]
- Roman, B.B.; Meyer, R.A.; Wiseman, R.W. Phosphocreatine Kinetics at the Onset of Contractions in Skeletal Muscle of MM Creatine Kinase Knockout Mice. Am. J. Physiol.—Cell Physiol. 2002, 283, C1776–C1783. [Google Scholar] [CrossRef]
- Tricker, A.R.; Preussmann, R. Carcinogenic N-Nitrosamines in the Diet: Occurrence, Formation, Mechanisms and Carcinogenic Potential. Mutat. Res./Genet. Toxicol. 1991, 259, 277–289. [Google Scholar] [CrossRef]
- Tuteja, N.; Chandra, M.; Tuteja, R.; Misra, M.K. Nitric Oxide as a Unique Bioactive Signaling Messenger in Physiology and Pathophysiology. J. Biomed. Biotechnol. 2004, 2004, 498591. [Google Scholar] [CrossRef]
- Liubertas, T.; Poderys, L.J.; Zigmantaite, V.; Capkauskiene, S.; Trakimas, G.; Pukenas, K.; Viskelis, P. Effects of Life-Long Supplementation of Potassium Nitrate on Male Mice Longevity and Organs Pathology. Appl. Sci. 2022, 13, 177. [Google Scholar] [CrossRef]
- Liubertas, T.; Poderys, J.; Vilma, Z.; Capkauskiene, S.; Viskelis, P. Impact of Dietary Potassium Nitrate on the Life Span of Drosophila melanogaster. Processes 2021, 9, 1270. [Google Scholar] [CrossRef]
- Lira, V.A.; Brown, D.L.; Lira, A.K.; Kavazis, A.N.; Soltow, Q.A.; Zeanah, E.H.; Criswell, D.S. Nitric Oxide and AMPK Cooperatively Regulate PGC-1α in Skeletal Muscle Cells. J. Physiol. 2010, 588, 3551–3566. [Google Scholar] [CrossRef]
- Nijkamp, F.P.; Folkerts, G. Nitric Oxide and Bronchial Hyperresponsiveness. Arch. Int. Pharmacodyn. Ther. 1995, 329, 81–96. [Google Scholar]
- Lundberg, J.O.; Carlström, M.; Weitzberg, E. Metabolic Effects of Dietary Nitrate in Health and Disease. Cell Metab. 2018, 28, 9–22. [Google Scholar] [CrossRef]
- Bogaert, M.G. Clinical Pharmacokinetics of Nitrates. Cardiovasc. Drugs Ther. 1994, 8, 693–699. [Google Scholar] [CrossRef] [PubMed]
- Barton, E.R.; Lynch, G.; Khurana, T.S. Measuring Isometric Force of Isolated Mouse Muscles In Vitro; PA, USA, 2008; Available online: http://treat-nmd.org/wp-content/uploads/2016/08/cmd-DMD_M.1.2.002.pdf (accessed on 15 March 2023).
- Wickham, K.A.; Nyakayiru, J.; McCarthy, D.G.; Cervone, D.T. Skeletal Muscle Nitrate Storage—The Missing Piece of the Nitrate Supplementation Puzzle? J. Physiol. 2019, 597, 5323–5325. [Google Scholar] [CrossRef] [PubMed]
- Park, J.W.; Thomas, S.M.; Schechter, A.N.; Piknova, B. Control of Rat Muscle Nitrate Levels after Perturbation of Steady State Dietary Nitrate Intake. Nitric Oxide 2021, 109–110, 42–49. [Google Scholar] [CrossRef] [PubMed]




| Control (n = 6) | KNO3 (n = 15) | |
|---|---|---|
| Body weight (g) | 24.60 ± 2.41 | 23.10 ± 2.50 |
| EDL (mg): body weight (g) | 0.29 ± 0.01 | 0.51 ± 0.02 * |
| EDL (mm): body weight (g) | 0.36 ± 0.01 | 0.55 ± 0.06 * |
| EDL muscle mass (mg) | 7.70 ± 0.20 | 8.76 ± 0.32 * |
| Parameter (Unit) | Control | KNO3-Fed |
|---|---|---|
| WBC (109/L) | 6.41 ± 1.72 | 7.54 ± 0.63 * |
| LYM (109/L) | 4.17 ± 0.91 | 5.64 ± 0.15 |
| MON (109/L) | 0.97 ± 0.04 | 0.95 ± 0.01 |
| GRA (109/L) | 1.2 ± 0.05 | 0.96 ± 0.02 |
| RBC (1012/L) | 6.99 ± 0.59 | 8.72 ± 0.21 * |
| HGB (g/L) | 140.80 ± 9.93 | 177.21 ± 5.02 * |
| HCT (%) | 0.34 ± 0.03 | 0.43 ± 0.01 * |
| MCV (fL) | 40.48 ± 0.38 | 49.39 ± 0.30 * |
| MCG (pg) | 16.87 ± 0.28 | 20.31 ± 0.24 * |
| MCHC (g/L) | 349.01 ± 4.53 | 411.43 ± 5.10 * |
| RDWc (%) | 13.55 ± 0.64 | 16.05 ± 0.13 * |
| PLT (109/L) | 253.77 ± 26.45 | 390.29 ± 29.49 * |
| MPV (fL) | 0.18 ± 0.01 | 0.31 ± 0.04 * |
| PCT (%) | 6.07 ± 0.72 | 7.83 ± 0.45 * |
| PDWc (%) | 14.67 ± 1.70 | 18.48 ± 0.15 * |
Disclaimer/Publisher’s Note: The statements, opinions and data contained in all publications are solely those of the individual author(s) and contributor(s) and not of MDPI and/or the editor(s). MDPI and/or the editor(s) disclaim responsibility for any injury to people or property resulting from any ideas, methods, instructions or products referred to in the content. |
© 2023 by the authors. Licensee MDPI, Basel, Switzerland. This article is an open access article distributed under the terms and conditions of the Creative Commons Attribution (CC BY) license (https://creativecommons.org/licenses/by/4.0/).
Share and Cite
Liubertas, T.; Poderys, J.L.; Zigmantaite, V.; Viskelis, P.; Kucinskas, A.; Grigaleviciute, R.; Jurevicius, J.; Urbonaviciene, D. The Effect of Potassium Nitrate Supplementation on the Force and Properties of Extensor digitorum longus (EDL) Muscles in Mice. Nutrients 2023, 15, 1489. https://doi.org/10.3390/nu15061489
Liubertas T, Poderys JL, Zigmantaite V, Viskelis P, Kucinskas A, Grigaleviciute R, Jurevicius J, Urbonaviciene D. The Effect of Potassium Nitrate Supplementation on the Force and Properties of Extensor digitorum longus (EDL) Muscles in Mice. Nutrients. 2023; 15(6):1489. https://doi.org/10.3390/nu15061489
Chicago/Turabian StyleLiubertas, Tomas, Jonas Liudas Poderys, Vilma Zigmantaite, Pranas Viskelis, Audrius Kucinskas, Ramune Grigaleviciute, Jonas Jurevicius, and Dalia Urbonaviciene. 2023. "The Effect of Potassium Nitrate Supplementation on the Force and Properties of Extensor digitorum longus (EDL) Muscles in Mice" Nutrients 15, no. 6: 1489. https://doi.org/10.3390/nu15061489
APA StyleLiubertas, T., Poderys, J. L., Zigmantaite, V., Viskelis, P., Kucinskas, A., Grigaleviciute, R., Jurevicius, J., & Urbonaviciene, D. (2023). The Effect of Potassium Nitrate Supplementation on the Force and Properties of Extensor digitorum longus (EDL) Muscles in Mice. Nutrients, 15(6), 1489. https://doi.org/10.3390/nu15061489

