Toll-like Receptor 4 Differentially Modulates Cardiac Function in Response to Chronic Exposure to High-Fat Diet and Pressure Overload
Abstract
1. Introduction
2. Material and Methods
2.1. Animal Study
2.2. Echocardiography
2.3. Histology
2.4. Quantitative Reverse Transcription-Real-Time Polymerase Chain Reaction (RT-qPCR)
2.5. Statistical Analysis
3. Results
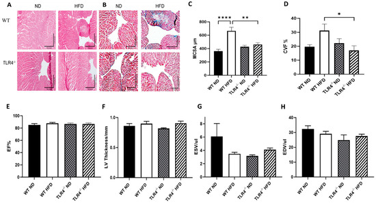
3.1. TLR4 Deficiency Protects against HFD-Induced Weight Gain, Cardiac Hypertrophy, and NF-κB-Mediated Inflammation
3.2. Despite Protection against HFD-Induced Myocardial Hypertrophy and Fibrosis, TLR4 Deficiency Does Not Alter Hemodynamic Cardiac Function
3.3. Effect of Abdominal Aortic Constriction (AAC) on NF-κB-Mediated Inflammation
3.4. TLR4 Deficiency Worsens Hemodynamic Cardiac Function in Response to AAC
4. Discussion
5. Conclusions
Author Contributions
Funding
Institutional Review Board Statement
Informed Consent Statement
Data Availability Statement
Acknowledgments
Conflicts of Interest
References
- Xu, J.; Murphy, S.L.; Kockanek, K.D.; Arias, E. Mortality in the United States, 2018. NCHS Data Brief. 2020, 355, 1–8. [Google Scholar] [PubMed]
- Swynghedauw, B. Molecular Mechanisms of Myocardial Remodeling. Physiol. Rev. 1999, 79, 215–262. [Google Scholar] [CrossRef] [PubMed]
- Mozaffarian, D. Executive Summary: Heart Disease and Stroke Statistics–2016 Update: A Report from the American Heart Association. Circulation 2016, 133, 447–454. [Google Scholar] [CrossRef] [PubMed]
- Ponikowski, P. 2016 ESC Guidelines for the diagnosis and treatment of acute and chronic heart failure: The Task Force for the diagnosis and treatment of acute and chronic heart failure of the European Society of Cardiology (ESC)Developed with the special contribution of the Heart Failure Association (HFA) of the ESC. Eur. Heart. J. 2016, 37, 2129–2200. [Google Scholar] [PubMed]
- Abdelaal, M.; le Roux, C.W.; Docherty, N.G. Morbidity and mortality associated with obesity. Ann. Transl. Med. 2017, 5, 161. [Google Scholar] [CrossRef] [PubMed]
- Shi, H.; Kokoeva, M.V.; Inouye, K.; Tzameli, I.; Yin, H.; Flier, J.S. TLR4 links innate immunity and fatty acid–induced insulin resistance. J. Clin. Investig. 2006, 116, 3015–3025. [Google Scholar] [CrossRef] [PubMed]
- Velloso, L.A.; Folli, F.; Saad, M.J. TLR4 at the Crossroads of Nutrients, Gut Microbiota, and Metabolic Inflammation. Endocr. Rev. 2015, 36, 245–271. [Google Scholar] [CrossRef] [PubMed]
- Abu El Haija, M.; Ye, Y.; Chu, Y.; Herz, H.; Linden, B.; Shahi, S.K.; Zarei, K.; Mangalam, A.K.; Mcelroy, S.J.; Mokadem, M. Toll-like receptor 4 and myeloid differentiation factor 88 are required for gastric bypass-induced metabolic effects. Surg. Obes. Relat. Dis. 2021, 17, 1996–2006. [Google Scholar] [CrossRef]
- Yu, L.; Feng, Z. The Role of Toll-Like Receptor Signaling in the Progression of Heart Failure. Mediat. Inflamm. 2018, 2018, 9874109. [Google Scholar] [CrossRef]
- Blasius, A.L.; Beutler, B. Intracellular Toll-like Receptors. Immunity 2010, 32, 305–315. [Google Scholar] [CrossRef]
- O’Neill, L.A.J.; Golenbock, D.; Bowie, A.G. The history of Toll-like receptors—Redefining innate immunity. Nat. Rev. Immunol. 2013, 13, 453–460. [Google Scholar] [CrossRef] [PubMed]
- Kugelberg, E. Pattern recognition receptors: Curbing gut inflammation. Nat. Rev. Immunol. 2014, 14, 583. [Google Scholar] [CrossRef] [PubMed]
- Takeuchi, O.; Akira, S. Pattern Recognition Receptors and Inflammation. Cell 2010, 140, 805–820. [Google Scholar] [CrossRef] [PubMed]
- Satoh, M.; Shimoda, Y.; Maesawa, C.; Akatsu, T.; Ishikawa, Y.; Minami, Y.; Hiramori, K.; Nakamura, M. Activated toll-like receptor 4 in monocytes is associated with heart failure after acute myocardial infarction. Int. J. Cardiol. 2006, 109, 226–234. [Google Scholar] [CrossRef] [PubMed]
- Hu, N.; Zhang, Y. TLR4 knockout attenuated high fat diet-induced cardiac dysfunction via NF-κB/JNK-dependent activation of autophagy. Biochim. Biophys. Acta Mol. Basis. Dis. 2017, 1863, 2001–2011. [Google Scholar] [CrossRef] [PubMed]
- Kessler, E.L.; Wang, J.-W.; Kok, B.; Brans, M.A.; Nederlof, A.; van Stuijvenberg, L.; Huang, C.; Vink, A.; Arslan, F.; Efimov, I.R.; et al. Ventricular TLR4 Levels Abrogate TLR2-Mediated Adverse Cardiac Remodeling upon Pressure Overload in Mice. Int. J. Mol. Sci. 2021, 22, 11823. [Google Scholar] [CrossRef] [PubMed]
- Ehrentraut, H.; Weber, C.; Ehrentraut, S.; Schwederski, M.; Boehm, O.; Knuefermann, P.; Meyer, R.; Baumgarten, G. The toll-like receptor 4-antagonist eritoran reduces murine cardiac hypertrophy. Eur. J. Hear. Fail. 2011, 13, 602–610. [Google Scholar] [CrossRef]
- Dong, R.Q.; Wang, Z.F.; Zhao, C.; Gu, H.R.; Hu, Z.W.; Xie, J.; Wu, Y.Q. Toll-like receptor 4 knockout protects against isoproterenol-induced cardiac fibrosis: The role of autophagy. J. Cardiovasc. Pharmacol. Ther. 2015, 20, 84–92. [Google Scholar] [CrossRef]
- Dick, S.A.; Epelman, S. Chronic Heart Failure and Inflammation: What Do We Really Know? Circ. Res. 2016, 119, 159–176. [Google Scholar] [CrossRef]
- Li, Y.; Ha, T.; Gao, X.; Kelley, J.; Williams, D.L.; Browder, I.W.; Li, C. NF-kappaB activation is required for the development of cardiac hypertrophy in vivo. Am. J. Physiol. Heart. Circ. Physiol. 2004, 287, H1712–H1720. [Google Scholar] [CrossRef]
- Ha, T.; Li, Y.; Hua, F.; Ma, J.; Gao, X.; Kelley, J.; Zhao, A.; Haddad, G.E.; Williams, D.L.; Williambrowder, I.; et al. Reduced cardiac hypertrophy in toll-like receptor 4-deficient mice following pressure overload. Cardiovasc. Res. 2005, 68, 224–234. [Google Scholar] [CrossRef]
- Ma, Y.; Zhang, X.; Bao, H.; Mi, S.; Cai, W.; Yan, H.; Hu, Z. Toll-like receptor (TLR) 2 and TLR4 differentially regulate doxorubicin induced cardiomyopathy in mice. PLoS ONE 2012, 7, e40763. [Google Scholar] [CrossRef]
- Weiss, R.M.; Chu, Y.; Brooks, R.M.; Lund, D.D.; Cheng, J.; Zimmerman, K.A.; Kafa, M.K.; Sistla, P.; Doshi, H.; Shao, J.Q.; et al. Discovery of an Experimental Model of Unicuspid Aortic Valve. J. Am. Hear. Assoc. 2018, 7, e006908. [Google Scholar] [CrossRef]
- Chu, Y.; Lund, D.D.; Doshi, H.; Keen, H.L.; Knudtson, K.L.; Funk, N.D.; Shao, J.Q.; Cheng, J.; Hajj, G.P.; Zimmerman, K.A.; et al. Fibrotic Aortic Valve Stenosis in Hypercholesterolemic/Hypertensive Mice. Arter. Thromb. Vasc. Biol. 2016, 36, 466–474. [Google Scholar] [CrossRef]
- Koren, L.; Alishekevitz, D.; Elhanani, O.; Nevelsky, A.; Hai, T.; Kehat, I.; Aronheim, A. ATF3-dependent cross-talk between cardiomyocytes and macrophages promotes cardiac maladaptive re-modeling. Int. J. Cardiol. 2015, 198, 232–240. [Google Scholar] [CrossRef]
- Casaclang-Verzosa, G.; Gersh, B.J.; Tsang, T.S. Structural and functional remodeling of the left atrium: Clinical and therapeutic implications for atrial fibrillation. J. Am. Coll. Cardiol. 2008, 51, 1–11. [Google Scholar] [CrossRef]
- Takeda, N.; Manabe, I. Cellular Interplay between Cardiomyocytes and Nonmyocytes in Cardiac Remodeling. Int. J. Inflamm. 2011, 2011, 535241. [Google Scholar] [CrossRef]
- Tadinada, S.M.; Weatherford, E.T.; Collins, G.V.; Bhardwaj, G.; Cochran, J.; Kutschke, W.; Zimmerman, K.; Bosko, A.; O’neill, B.T.; Weiss, R.M.; et al. Functional resilience of C57BL/6J mouse heart to dietary fat overload. Am. J. Physiol. Heart. Circ. Physiol. 2021, 321, H850–H864. [Google Scholar] [CrossRef]
- Ehrentraut, H.; Ehrentraut, S.F.; Boehm, O.; El Aissati, S.; Foltz, F.; Goelz, L.; Goertz, D.; Kebir, S.; Weisheit, C.; Wolf, M.; et al. Tlr4 Deficiency Protects against Cardiac Pressure Overload Induced Hyperinflammation. PLoS ONE 2015, 10, e0142921. [Google Scholar] [CrossRef]
- Timmers, L.; Sluijter, J.P.; van Keulen, J.K.; Hoefer, I.E.; Nederhoff, M.G.; Goumans, M.J.; de Kleijn, D.P. Toll-like receptor 4 mediates maladaptive left ventricular remodeling and impairs cardiac function after myocardial infarction. Circ. Res. 2008, 102, 257–264. [Google Scholar] [CrossRef]
- Frantz, S.; Hu, K.; Bayer, B.; Gerondakis, S.; Strotmann, J.; Adamek, A.; Bauersachs, J. Absence of NF-kappaB subunit p50 improves heart failure after myocardial infarction. FASEB J. 2006, 20, 1918–1920. [Google Scholar] [CrossRef]
- Camandola, S.; Mattson, M.P. Toll-like receptor 4 mediates fat, sugar, and umami taste preference and food intake and body weight regulation. Obesity 2017, 25, 1237–1245. [Google Scholar] [CrossRef]
- Davis, J.E.; Gabler, N.K.; Walker-Daniels, J.; Spurlock, M.E. Tlr-4 deficiency selectively protects against obesity induced by diets high in saturated fat. Obesity 2008, 16, 1248–1255. [Google Scholar] [CrossRef]
- Jia, L.; Vianna, C.R.; Fukuda, M.; Berglund, E.D.; Liu, C.; Tao, C.; Sun, K.; Liu, T.; Harper, M.J.; Lee, C.E.; et al. Hepatocyte Toll-like receptor 4 regulates obesity-induced inflammation and insulin resistance. Nat. Commun. 2014, 5, 3878. [Google Scholar] [CrossRef]
- Li, J.; Chen, L.; Zhang, Y.; Zhang, W.J.; Xu, W.; Qin, Y.; Xu, J.; Zou, D. TLR4 is required for the obesity-induced pancreatic beta cell dysfunction. Acta Biochim. Biophys. Sin. 2013, 45, 1030–1038. [Google Scholar] [CrossRef]
- Pierre, N.; Deldicque, L.; Barbé, C.; Naslain, D.; Cani, P.D.; Francaux, M. Toll-like receptor 4 knockout mice are protected against endoplasmic reticulum stress induced by a high-fat diet. PLoS ONE 2013, 8, e65061. [Google Scholar] [CrossRef]
- Vijay-Kumar, M.; Aitken, J.D.; Carvalho, F.A.; Cullender, T.C.; Mwangi, S.; Srinivasan, S.; Sitaraman, S.V.; Knight, R.; Ley, R.E.; Gewirtz, A.T. Metabolic syndrome and altered gut microbiota in mice lacking toll-like receptor 5. Science 2010, 328, 228–231. [Google Scholar] [CrossRef]
- Wang, L.; Chen, Q.; Qi, H.; Wang, C.; Wang, C.; Zhang, J.; Dong, L. Doxorubicin-Induced Systemic Inflammation Is Driven by Upregulation of Toll-Like Receptor TLR4 and En-dotoxin Leakage. Cancer Res. 2016, 76, 6631–6642. [Google Scholar] [CrossRef]
- Xiao, Z.; Kong, B.; Yang, H.; Dai, C.; Fang, J.; Qin, T.; Huang, H. Key Player in Cardiac Hypertrophy, Emphasizing the Role of Toll-like Receptor 4. Front. Cardiovasc. Med. 2020, 7, 579036. [Google Scholar] [CrossRef]
- Zhang, Y.; Wu, J.; Dong, E.; Wang, Z.; Xiao, H. Toll-like receptors in cardiac hypertrophy. Front. Cardiovasc. Med. 2023, 10, 1143583. [Google Scholar] [CrossRef]
- Putinski, C.; Abdul-Ghani, M.; Stiles, R.; Brunette, S.; Dick, S.A.; Fernando, P.; Megeney, L.A. Intrinsic-mediated caspase activation is essential for cardiomyocyte hypertrophy. Proc. Natl. Acad. Sci. USA 2013, 110, E4079–E4087. [Google Scholar] [CrossRef]






Disclaimer/Publisher’s Note: The statements, opinions and data contained in all publications are solely those of the individual author(s) and contributor(s) and not of MDPI and/or the editor(s). MDPI and/or the editor(s) disclaim responsibility for any injury to people or property resulting from any ideas, methods, instructions or products referred to in the content. |
© 2023 by the authors. Licensee MDPI, Basel, Switzerland. This article is an open access article distributed under the terms and conditions of the Creative Commons Attribution (CC BY) license (https://creativecommons.org/licenses/by/4.0/).
Share and Cite
Tian, L.; Jarrah, M.; Herz, H.; Chu, Y.; Xu, Y.; Tang, Y.; Yuan, J.; Mokadem, M. Toll-like Receptor 4 Differentially Modulates Cardiac Function in Response to Chronic Exposure to High-Fat Diet and Pressure Overload. Nutrients 2023, 15, 5139. https://doi.org/10.3390/nu15245139
Tian L, Jarrah M, Herz H, Chu Y, Xu Y, Tang Y, Yuan J, Mokadem M. Toll-like Receptor 4 Differentially Modulates Cardiac Function in Response to Chronic Exposure to High-Fat Diet and Pressure Overload. Nutrients. 2023; 15(24):5139. https://doi.org/10.3390/nu15245139
Chicago/Turabian StyleTian, Liping, Mohammad Jarrah, Hussein Herz, Yi Chu, Ying Xu, Yiqun Tang, Jinxiang Yuan, and Mohamad Mokadem. 2023. "Toll-like Receptor 4 Differentially Modulates Cardiac Function in Response to Chronic Exposure to High-Fat Diet and Pressure Overload" Nutrients 15, no. 24: 5139. https://doi.org/10.3390/nu15245139
APA StyleTian, L., Jarrah, M., Herz, H., Chu, Y., Xu, Y., Tang, Y., Yuan, J., & Mokadem, M. (2023). Toll-like Receptor 4 Differentially Modulates Cardiac Function in Response to Chronic Exposure to High-Fat Diet and Pressure Overload. Nutrients, 15(24), 5139. https://doi.org/10.3390/nu15245139

