Application of Magnetic Resonance Imaging in the Evaluation of Nutritional Status: A Literature Review with Focus on Dialysis Patients
Abstract
1. Introduction
1.1. The Origins of Medical Magnetic Resonance Imaging (MRI)
1.2. Principles and History of MRI
1.3. MRI and Nutrition Research
2. Materials and Methods
3. Results and Discussion
3.1. Summary of Search Results
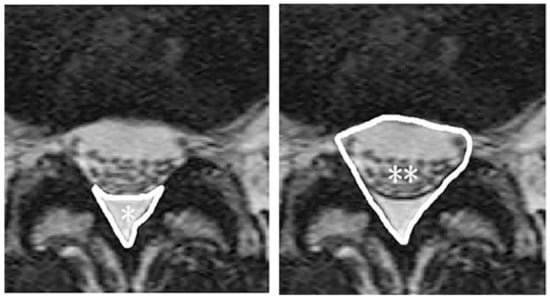
3.2. MRI for Structural Evaluation: MRI-Based Assessment of Body Fat Distribution
3.3. MRI for Structural Evaluation: Evaluation of Muscle Mass by MRI
3.4. MRI for Structural Evaluation: Simultaneous Evaluation of Multiple Tissues by MRI
3.5. MRI for Structural Evaluation: Measurement of the Size of Organs by MRI
3.6. Diffusion-Weighted MRI and Diffusion Tensor Imaging
3.7. Arterial Spin Labeling
3.8. Magnetic Resonance Elastography
3.9. Magnetic Resonance Spectroscopy
3.10. Blood Oxygenation Level-Dependent–MRI
4. Conclusions
Author Contributions
Funding
Institutional Review Board Statement
Informed Consent Statement
Data Availability Statement
Acknowledgments
Conflicts of Interest
References
- Moser, E.; Stadlbauer, A.; Windischberger, C.; Quick, H.H.; Ladd, M.E. Magnetic resonance imaging methodology. Eur. J. Nucl. Med. Mol. Imaging 2009, 36 (Suppl. S1), S30–S41. [Google Scholar] [CrossRef]
- Addeman, B.T.; Kutty, S.; Perkins, T.G.; Soliman, A.S.; Wiens, C.N.; McCurdy, C.M.; Beaton, M.D.; Hegele, R.A.; McKenzie, C.A. Validation of volumetric and single-slice MRI adipose analysis using a novel fully automated segmentation method. J. Magn. Reson. Imaging 2015, 41, 233–241. [Google Scholar] [CrossRef]
- Molfino, A.; Heymsfield, S.B.; Zhu, F.; Kotanko, P.; Levin, N.W.; Dwyer, T.; Kaysen, G.A. Prealbumin is associated with visceral fat mass in patients receiving hemodialysis. J. Ren. Nutr. 2013, 23, 406–410. [Google Scholar] [CrossRef][Green Version]
- Fischer, K.; Moewes, D.; Koch, M.; Muller, H.P.; Jacobs, G.; Kassubek, J.; Lieb, W.; Nothlings, U. MRI-determined total volumes of visceral and subcutaneous abdominal and trunk adipose tissue are differentially and sex-dependently associated with patterns of estimated usual nutrient intake in a northern German population. Am. J. Clin. Nutr. 2015, 101, 794–807. [Google Scholar] [CrossRef]
- Maskarinec, G.; Lim, U.; Jacobs, S.; Monroe, K.R.; Ernst, T.; Buchthal, S.D.; Shepherd, J.A.; Wilkens, L.R.; Le Marchand, L.; Boushey, C.J. Diet quality in midadulthood predicts visceral adiposity and liver fatness in older ages: The Multiethnic Cohort Study. Obesity 2017, 25, 1442–1450. [Google Scholar] [CrossRef] [PubMed]
- Ishihara, S.; Fujita, N.; Azuma, K.; Michikawa, T.; Yagi, M.; Tsuji, T.; Takayama, M.; Matsumoto, H.; Nakamura, M.; Matsumoto, M.; et al. Spinal epidural lipomatosis is a previously unrecognized manifestation of metabolic syndrome. Spine J. 2019, 19, 493–500. [Google Scholar] [CrossRef] [PubMed]
- Abe, T.; Miyazaki, M.; Ishihara, T.; Kanezaki, S.; Notani, N.; Kataoka, M.; Tsumura, H. Spinal epidural lipomatosis is associated with liver fat deposition and dysfunction. Clin. Neurol. Neurosurg. 2019, 185, 105480. [Google Scholar] [CrossRef]
- Spinnato, P.; Ponti, F.; de Pasqua, S. MRI diagnosis of obesity-related spinal epidural lipomatosis. Can. J. Neurol. Sci. 2020, 47, 124–125. [Google Scholar] [CrossRef] [PubMed]
- Carrero, J.J.; Johansen, K.L.; Lindholm, B.; Stenvinkel, P.; Cuppari, L.; Avesani, C.M. Screening for muscle wasting and dysfunction in patients with chronic kidney disease. Kidney Int. 2016, 90, 53–66. [Google Scholar] [CrossRef] [PubMed]
- Johansen, K.L.; Shubert, T.; Doyle, J.; Soher, B.; Sakkas, G.K.; Kent-Braun, J.A. Muscle atrophy in patients receiving hemodialysis: Effects on muscle strength, muscle quality, and physical function. Kidney Int. 2003, 63, 291–297. [Google Scholar] [CrossRef]
- Morrell, G.R.; Ikizler, T.A.; Chen, X.; Heilbrun, M.E.; Wei, G.; Boucher, R.; Beddhu, S. Psoas muscle cross-sectional area as a measure of whole-body lean muscle mass in maintenance hemodialysis patients. J. Ren. Nutr. 2016, 26, 258–264. [Google Scholar] [CrossRef]
- Gamboa, J.L.; Deger, S.M.; Perkins, B.W.; Mambungu, C.; Sha, F.; Mason, O.J.; Stewart, T.G.; Ikizler, T.A. Effects of long-term intradialytic oral nutrition and exercise on muscle protein homeostasis and markers of mitochondrial content in patients on hemodialysis. Am. J. Physiol. Ren. Physiol. 2020, 319, F885–F894. [Google Scholar] [CrossRef]
- Martinson, M.; Ikizler, T.A.; Morrell, G.; Wei, G.; Almeida, N.; Marcus, R.L.; Filipowicz, R.; Greene, T.H.; Beddhu, S. Associations of body size and body composition with functional ability and quality of life in hemodialysis patients. Clin. J. Am. Soc. Nephrol. 2014, 9, 1082–1090. [Google Scholar] [CrossRef] [PubMed]
- Delgado, C.; Doyle, J.W.; Johansen, K.L. Association of frailty with body composition among patients on hemodialysis. J. Ren. Nutr. 2013, 23, 356–362. [Google Scholar] [CrossRef]
- Wells, C.I.; McCall, J.L.; Plank, L.D. Relationship between total body protein and cross-sectional skeletal muscle area in liver cirrhosis is influenced by overhydration. Liver Transpl. 2019, 25, 45–55. [Google Scholar] [CrossRef]
- Salinari, S.; Bertuzzi, A.; Mingrone, G.; Capristo, E.; Pietrobelli, A.; Campioni, P.; Greco, A.V.; Heymsfield, S.B. New bioimpedance model accurately predicts lower limb muscle volume: Validation by magnetic resonance imaging. Am. J. Physiol. Endocrinol. Metab. 2002, 282, E960–E966. [Google Scholar] [CrossRef][Green Version]
- Carter, M.; Zhu, F.; Kotanko, P.; Kuhlmann, M.; Ramirez, L.; Heymsfield, S.B.; Handelman, G.; Levin, N.W. Assessment of body composition in dialysis patients by arm bioimpedance compared to MRI and 40K measurements. Blood Purif. 2009, 27, 330–337. [Google Scholar] [CrossRef] [PubMed]
- Yang, Y.X.; Chong, M.S.; Lim, W.S.; Tay, L.; Yew, S.; Yeo, A.; Tan, C.H. Validity of estimating muscle and fat volume from a single MRI section in older adults with sarcopenia and sarcopenic obesity. Clin. Radiol. 2017, 72, 427.e9–427.e14. [Google Scholar] [CrossRef]
- De van der Schueren, M.A.; Lonterman-Monasch, S.; Van der Flier, W.M.; Kramer, M.H.; Maier, A.B.; Muller, M. Malnutrition and Risk of Structural Brain Changes Seen on Magnetic Resonance Imaging in Older Adults. J. Am. Geriatr. Soc. 2016, 64, 2457–2463. [Google Scholar] [CrossRef] [PubMed]
- Bourdel-Marchasson, I.; Catheline, G.; Regueme, S.; Danet-Lamasou, M.; Barse, E.; Ratsimbazafy, F.; Rodriguez-Manas, L.; Hood, K.; Sinclair, A.J. Frailty and brain-muscle correlates in older people with type 2 diabetes: A structural-MRI explorative study. J. Nutr. Health Aging 2019, 23, 637–640. [Google Scholar] [CrossRef]
- Drew, D.A.; Koo, B.B.; Bhadelia, R.; Weiner, D.E.; Duncan, S.; la Garza, M.M.; Gupta, A.; Tighiouart, H.; Scott, T.; Sarnak, M.J. White matter damage in maintenance hemodialysis patients: A diffusion tensor imaging study. BMC Nephrol. 2017, 18, 213. [Google Scholar] [CrossRef]
- Witte, A.V.; Kerti, L.; Hermannstadter, H.M.; Fiebach, J.B.; Schreiber, S.J.; Schuchardt, J.P.; Hahn, A.; Floel, A. Long-chain omega-3 fatty acids improve brain function and structure in older adults. Cereb. Cortex 2014, 24, 3059–3068. [Google Scholar] [CrossRef] [PubMed]
- Ottolini, K.M.; Andescavage, N.; Kapse, K.; Jacobs, M.; Limperopoulos, C. Improved brain growth and microstructural development in breast milk-fed very low birth weight premature infants. Acta Paediatr. 2020, 109, 1580–1587. [Google Scholar] [CrossRef] [PubMed]
- Blesa, M.; Sullivan, G.; Anblagan, D.; Telford, E.J.; Quigley, A.J.; Sparrow, S.A.; Serag, A.; Semple, S.I.; Bastin, M.E.; Boardman, J.P. Early breast milk exposure modifies brain connectivity in preterm infants. Neuroimage 2019, 184, 431–439. [Google Scholar] [CrossRef]
- Coviello, C.; Keunen, K.; Kersbergen, K.J.; Groenendaal, F.; Leemans, A.; Peels, B.; Isgum, I.; Viergever, M.A.; de Vries, L.S.; Buonocore, G.; et al. Effects of early nutrition and growth on brain volumes, white matter microstructure, and neurodevelopmental outcome in preterm newborns. Pediatr. Res. 2018, 83, 102–110. [Google Scholar] [CrossRef]
- Shen, Q.; Heikkinen, N.; Karkkainen, O.; Grohn, H.; Kononen, M.; Liu, Y.; Kaarre, O.; Zhang, Z.; Tan, C.; Tolmunen, T.; et al. Effects of long-term adolescent alcohol consumption on white matter integrity and their correlations with metabolic alterations. Psychiatry Res. Neuroimaging 2019, 294, 111003. [Google Scholar] [CrossRef]
- De Rooij, S.R.; Mutsaerts, H.; Petr, J.; Asllani, I.; Caan, M.W.A.; Groot, P.; Nederveen, A.J.; Schwab, M.; Roseboom, T.J. Late-life brain perfusion after prenatal famine exposure. Neurobiol. Aging 2019, 82, 1–9. [Google Scholar] [CrossRef]
- Lamport, D.J.; Pal, D.; Macready, A.L.; Barbosa-Boucas, S.; Fletcher, J.M.; Williams, C.M.; Spencer, J.P.; Butler, L.T. The effects of flavanone-rich citrus juice on cognitive function and cerebral blood flow: An acute, randomised, placebo-controlled cross-over trial in healthy, young adults. Br. J. Nutr. 2016, 116, 2160–2168. [Google Scholar] [CrossRef] [PubMed]
- Presley, T.D.; Morgan, A.R.; Bechtold, E.; Clodfelter, W.; Dove, R.W.; Jennings, J.M.; Kraft, R.A.; King, S.B.; Laurienti, P.J.; Rejeski, W.J.; et al. Acute effect of a high nitrate diet on brain perfusion in older adults. Nitric Oxide 2011, 24, 34–42. [Google Scholar] [CrossRef] [PubMed]
- Vidyasagar, R.; Greyling, A.; Draijer, R.; Corfield, D.R.; Parkes, L.M. The effect of black tea and caffeine on regional cerebral blood flow measured with arterial spin labeling. J. Cereb. Blood Flow Metab. 2013, 33, 963–968. [Google Scholar] [CrossRef]
- Rickenbacher, E.; Greve, D.N.; Azma, S.; Pfeuffer, J.; Marinkovic, K. Effects of alcohol intoxication and gender on cerebral perfusion: An arterial spin labeling study. Alcohol 2011, 45, 725–737. [Google Scholar] [CrossRef] [PubMed]
- Khalili-Mahani, N.; van Osch, M.J.; Baerends, E.; Soeter, R.P.; de Kam, M.; Zoethout, R.W.; Dahan, A.; van Buchem, M.A.; van Gerven, J.M.; Rombouts, S.A. Pseudocontinuous arterial spin labeling reveals dissociable effects of morphine and alcohol on regional cerebral blood flow. J. Cereb. Blood Flow Metab. 2011, 31, 1321–1333. [Google Scholar] [CrossRef]
- Strang, N.M.; Claus, E.D.; Ramchandani, V.A.; Graff-Guerrero, A.; Boileau, I.; Hendershot, C.S. Dose-dependent effects of intravenous alcohol administration on cerebral blood flow in young adults. Psychopharmacology 2015, 232, 733–744. [Google Scholar] [CrossRef]
- Marxen, M.; Gan, G.; Schwarz, D.; Mennigen, E.; Pilhatsch, M.; Zimmermann, U.S.; Guenther, M.; Smolka, M.N. Acute effects of alcohol on brain perfusion monitored with arterial spin labeling magnetic resonance imaging in young adults. J. Cereb. Blood Flow Metab. 2014, 34, 472–479. [Google Scholar] [CrossRef]
- Furlan, A.; Tublin, M.E.; Yu, L.; Chopra, K.B.; Lippello, A.; Behari, J. Comparison of 2D shear wave elastography, transient elastography, and MR elastography for the diagnosis of fibrosis in patients with nonalcoholic fatty liver disease. Am. J. Roentgenol. 2020, 214, W20–W26. [Google Scholar] [CrossRef] [PubMed]
- Artzi, M.; Liberman, G.; Vaisman, N.; Bokstein, F.; Vitinshtein, F.; Aizenstein, O.; Ben Bashat, D. Changes in cerebral metabolism during ketogenic diet in patients with primary brain tumors: (1)H-MRS study. J. Neurooncol. 2017, 132, 267–275. [Google Scholar] [CrossRef] [PubMed]
- Park, Y.; Zhao, T.; Miller, N.G.; Kim, S.B.; Accardi, C.J.; Ziegler, T.R.; Hu, X.; Jones, D.P. Sulfur amino acid-free diet results in increased glutamate in human midbrain: A pilot magnetic resonance spectroscopic study. Nutrition 2012, 28, 235–241. [Google Scholar] [CrossRef] [PubMed]
- Choi, I.Y.; Lee, P.; Denney, D.R.; Spaeth, K.; Nast, O.; Ptomey, L.; Roth, A.K.; Lierman, J.A.; Sullivan, D.K. Dairy intake is associated with brain glutathione concentration in older adults. Am. J. Clin. Nutr. 2015, 101, 287–293. [Google Scholar] [CrossRef] [PubMed]
- Cheng, Y.; Zhang, K.; Chen, Y.; Li, Y.; Li, Y.; Fu, K.; Feng, R. Associations between dietary nutrient intakes and hepatic lipid contents in NAFLD patients quantified by (1)H-MRS and dual-echo MRI. Nutrients 2016, 8, 527. [Google Scholar] [CrossRef] [PubMed]
- Belaich, R.; Boujraf, S.; Housni, A.; Maaroufi, M.; Batta, F.; Magoul, R.; Sqalli, T.; Errasfa, M.; Tizniti, S. Assessment of hemodialysis impact by polysulfone membrane on brain plasticity using BOLD-fMRI. Neuroscience 2015, 288, 94–104. [Google Scholar] [CrossRef]
- Van Opstal, A.M.; Kaal, I.; Van den Berg-Huysmans, A.A.; Hoeksma, M.; Blonk, C.; Pijl, H.; Rombouts, S.; Van der Grond, J. Dietary sugars and non-caloric sweeteners elicit different homeostatic and hedonic responses in the brain. Nutrition 2019, 60, 80–86. [Google Scholar] [CrossRef]
- Hawton, K.; Ferriday, D.; Rogers, P.; Toner, P.; Brooks, J.; Holly, J.; Biernacka, K.; Hamilton-Shield, J.; Hinton, E. Slow down: Behavioral and physiological effects of reducing eating rate. Nutrients 2018, 11, 50. [Google Scholar] [CrossRef] [PubMed]
- Dong, D.; Wang, Y.; Jackson, T.; Chen, S.; Wang, Y.; Zhou, F.; Chen, H. Impulse control and restrained eating among young women: Evidence for compensatory cortical activation during a chocolate-specific delayed discounting task. Appetite 2016, 105, 477–486. [Google Scholar] [CrossRef]
- Seabolt, L.A.; Welch, E.B.; Silver, H.J. Imaging methods for analyzing body composition in human obesity and cardiometabolic disease. Ann. NY Acad. Sci. 2015, 1353, 41–59. [Google Scholar] [CrossRef] [PubMed]
- Wang, H.; Chen, Y.E.; Eitzman, D.T. Imaging body fat: Techniques and cardiometabolic implications. Arterioscler. Thromb. Vasc. Biol. 2014, 34, 2217–2223. [Google Scholar] [CrossRef]
- Hu, H.H.; Kan, H.E. Quantitative proton MR techniques for measuring fat. NMR Biomed. 2013, 26, 1609–1629. [Google Scholar] [CrossRef]
- Machann, J.; Horstmann, A.; Born, M.; Hesse, S.; Hirsch, F.W. Diagnostic imaging in obesity. Best Pract. Res. Clin. Endocrinol. Metab. 2013, 27, 261–277. [Google Scholar] [CrossRef] [PubMed]
- Mercuri, E.; Pichiecchio, A.; Allsop, J.; Messina, S.; Pane, M.; Muntoni, F. Muscle MRI in inherited neuromuscular disorders: Past, present, and future. J. Magn. Reson. Imaging 2007, 25, 433–440. [Google Scholar] [CrossRef]
- Baum, T.; Cordes, C.; Dieckmeyer, M.; Ruschke, S.; Franz, D.; Hauner, H.; Kirschke, J.S.; Karampinos, D.C. MR-based assessment of body fat distribution and characteristics. Eur. J. Radiol. 2016, 85, 1512–1518. [Google Scholar] [CrossRef]
- Koch, M.; Borggrefe, J.; Barbaresko, J.; Groth, G.; Jacobs, G.; Siegert, S.; Lieb, W.; Muller, M.J.; Bosy-Westphal, A.; Heller, M.; et al. Dietary patterns associated with magnetic resonance imaging-determined liver fat content in a general population study. Am. J. Clin. Nutr. 2014, 99, 369–377. [Google Scholar] [CrossRef]
- Gao, Y.; Zong, K.; Gao, Z.; Rubin, M.R.; Chen, J.; Heymsfield, S.B.; Gallagher, D.; Shen, W. Magnetic resonance imaging-measured bone marrow adipose tissue area is inversely related to cortical bone area in children and adolescents aged 5–18 years. J. Clin. Densitom. 2015, 18, 203–208. [Google Scholar] [CrossRef] [PubMed][Green Version]
- Andersen, G.; Dahlqvist, J.R.; Vissing, C.R.; Heje, K.; Thomsen, C.; Vissing, J. MRI as outcome measure in facioscapulohumeral muscular dystrophy: 1-year follow-up of 45 patients. J. Neurol. 2017, 264, 438–447. [Google Scholar] [CrossRef]
- Le Bihan, D.; Breton, E.; Lallemand, D.; Grenier, P.; Cabanis, E.; Laval-Jeantet, M. MR imaging of intravoxel incoherent motions: Application to diffusion and perfusion in neurologic disorders. Radiology 1986, 161, 401–407. [Google Scholar] [CrossRef] [PubMed]
- Jeon, T.; Fung, M.M.; Koch, K.M.; Tan, E.T.; Sneag, D.B. Peripheral nerve diffusion tensor imaging: Overview, pitfalls, and future directions. J. Magn. Reson. Imaging 2018, 47, 1171–1189. [Google Scholar] [CrossRef] [PubMed]
- Telischak, N.A.; Detre, J.A.; Zaharchuk, G. Arterial spin labeling MRI: Clinical applications in the brain. J. Magn. Reson. Imaging 2015, 41, 1165–1180. [Google Scholar] [CrossRef] [PubMed]
- Muthupillai, R.; Lomas, D.J.; Rossman, P.J.; Greenleaf, J.F.; Manduca, A.; Ehman, R.L. Magnetic resonance elastography by direct visualization of propagating acoustic strain waves. Science 1995, 269, 1854–1857. [Google Scholar] [CrossRef]
- Buonocore, M.H.; Maddock, R.J. Magnetic resonance spectroscopy of the brain: A review of physical principles and technical methods. Rev. Neurosci. 2015, 26, 609–632. [Google Scholar] [CrossRef]
- Mountford, C.; Lean, C.; Malycha, P.; Russell, P. Proton spectroscopy provides accurate pathology on biopsy and in vivo. J. Magn. Reson. Imaging 2006, 24, 459–477. [Google Scholar] [CrossRef]
- Bandettini, P.A. Twenty years of functional MRI: The science and the stories. Neuroimage 2012, 62, 575–588. [Google Scholar] [CrossRef]


| Imaging Procedure | Primary Evaluation Objective | Example of Use | Nutrition-Related Clinical Study Included |
|---|---|---|---|
| Conventional MRI | Structural Evaluation based on proton distribution. |
| Addeman, B.T. et al. [2] Molfino, A. et al. [3] Fischer, K. et al. [4] Maskarinec, G. et al. [5] Ishihara, S. et al. [6] Abe, T. et al. [7] Spinnato, P. et al. [8] Carrero, J.J. et al. [9] Johansen, K.L. et al. [10] Morrell, G.R. et al. [11] Gamboa, J.L. et al. [12] Martinson, M. et al. [13] Delgado, C. et al. [14] Wells, C.I. et al. [15] Salinari, S. et al. [16] Carter, M. et al. [17] Yang, Y.X. et al. [18] de van der Schueren, M.A. et al. [19] Bourdel-Marchasson, I. et al. [20] |
| Diffusion Tensor Imaging | Evaluation of microstructure in the tissue based on the anisotropy of thermal diffusion of protons. |
| Drew, D.A. et al. [21] Witte, A.V. et al. [22] Ottolini, K.M. et al. [23] Blesa, M. et al. [24] Coviello, C. et al. [25] Shen, Q. et al. [26] |
| Arterial Spin Labeling | Evaluation of tissue perfusion using magnetically labeled protons as an endogenous tracer |
| de Rooij, S.R. et al. [27] Lamport, D.J. et al. [28] Presley, T.D. et al. [29] Vidyasagar, R. et al. [30] Rickenbacher, E. et al. [31] Khalili-Mahani, N. et al. [32] Strang, N.M. et al. [33] Marxen, M. et al. [34] |
| Magnetic Resonance Elastography | Evaluation of organ elasticity based on strain when the organ is vibrated. |
| Furlan, A. et al. [35] |
| Magnetic Resonance Spectroscopy | Evaluation of the amount and spatial distribution of various molecular compounds, based on the principles of NMR. |
| Artzi, M. et al. [36] Park, Y. et al. [37] Choi, I.Y. et al. [38] Cheng, Y. et al. [39] |
| Blood Oxygenation Level Dependent-MRI | Assessment of brain activation sites via increased regional cerebral blood flow from changes in deoxyhemoglobin concentration. |
| Belaich, R. et al. [40] van Opstal, A.M. et al. [41] Hawton, K. et al. [42] Dong, D. et al. [43] |
| Prevalence of SEL | p Value with Chi-Square Test | Odds Ratio * | 95% CI | p Value * | ||
|---|---|---|---|---|---|---|
| Metabolic syndrome | No (N = 267) | 7.1% (N = 19) | <0.01 | Ref. | 0.01 | |
| Yes (N = 57) | 19.3% (N = 11) | 3.9 | 1.5–9.8 |
Publisher’s Note: MDPI stays neutral with regard to jurisdictional claims in published maps and institutional affiliations. |
© 2021 by the authors. Licensee MDPI, Basel, Switzerland. This article is an open access article distributed under the terms and conditions of the Creative Commons Attribution (CC BY) license (https://creativecommons.org/licenses/by/4.0/).
Share and Cite
Inoue, T.; Kozawa, E.; Ishikawa, M.; Okada, H. Application of Magnetic Resonance Imaging in the Evaluation of Nutritional Status: A Literature Review with Focus on Dialysis Patients. Nutrients 2021, 13, 2037. https://doi.org/10.3390/nu13062037
Inoue T, Kozawa E, Ishikawa M, Okada H. Application of Magnetic Resonance Imaging in the Evaluation of Nutritional Status: A Literature Review with Focus on Dialysis Patients. Nutrients. 2021; 13(6):2037. https://doi.org/10.3390/nu13062037
Chicago/Turabian StyleInoue, Tsutomu, Eito Kozawa, Masahiro Ishikawa, and Hirokazu Okada. 2021. "Application of Magnetic Resonance Imaging in the Evaluation of Nutritional Status: A Literature Review with Focus on Dialysis Patients" Nutrients 13, no. 6: 2037. https://doi.org/10.3390/nu13062037
APA StyleInoue, T., Kozawa, E., Ishikawa, M., & Okada, H. (2021). Application of Magnetic Resonance Imaging in the Evaluation of Nutritional Status: A Literature Review with Focus on Dialysis Patients. Nutrients, 13(6), 2037. https://doi.org/10.3390/nu13062037

