Treatment of Sugarcane Vinasse Using Heterogeneous Photocatalysis with Zinc Oxide Nanoparticles
Abstract
1. Introduction
2. Materials and Methods
2.1. ZnO-NP Synthesis and Characterization
2.2. Analytical Methods and Performance Assessment
2.3. Photocatalysis of Vinasse Using ZnO-NPs
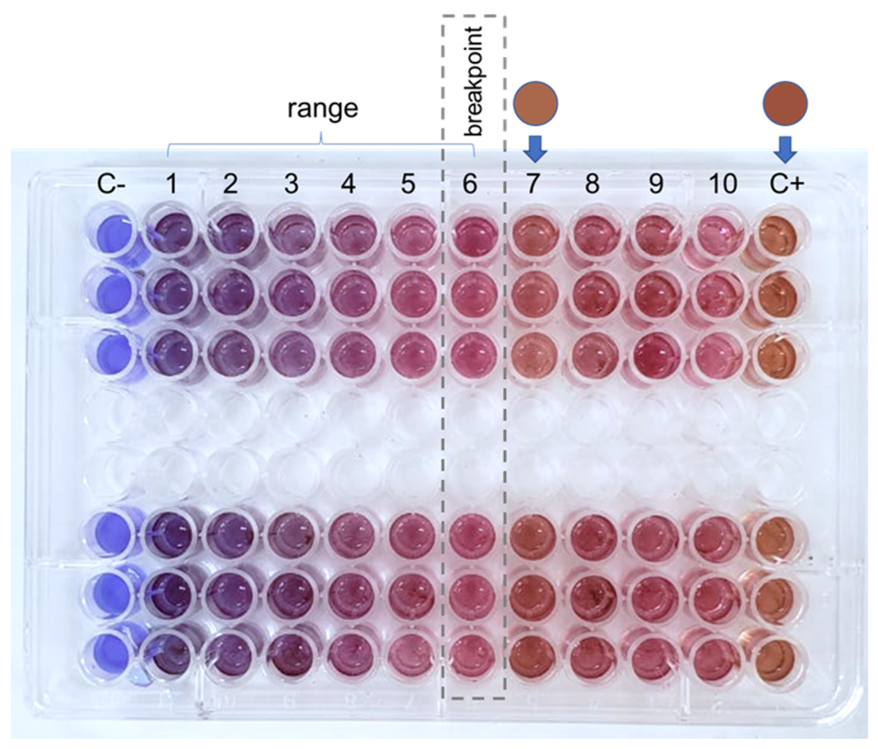
2.4. Susceptibility of Microorganisms to ZnO-NPs
3. Results and Discussion
3.1. Synthesis and Characterization of ZnO-NPs
3.2. Photocatalysis of Vinasse Using ZnO-NPs
3.3. Susceptibility of Microorganisms to ZnO-NPs
4. Conclusions
5. Patents
Author Contributions
Funding
Institutional Review Board Statement
Informed Consent Statement
Data Availability Statement
Acknowledgments
Conflicts of Interest
References
- Iltchenco, J.; Peruzzo, V.; Magrini, F.E.; Marconatto, L.; Torres, A.P.; Beal, L.L.; Paesi, S. Microbiota Profile in Mesophilic Biodigestion of Sugarcane Vinasse in Batch Reactors. Water Sci. Technol. 2021, 84, 2028–2039. [Google Scholar] [CrossRef]
- Fernandes, J.M.C.; Sousa, R.M.O.F.; Fraga, I.; Sampaio, A.; Amaral, C.; Bezerra, R.M.F.; Dias, A.A. Chemosphere Fungal Biodegradation and Multi-Level Toxicity Assessment of Vinasse from Distillation of Winemaking by-Products. Chemosphere 2020, 238, 124572. [Google Scholar] [CrossRef]
- Benke, M.B.; Mermut, A.R.; Shariatmadari, H. Retention of Dissolved Organic Carbon from Vinasse by a Tropical Soil, Kaolinite, and Fe-Oxides. Geoderma 1999, 91, 47–63. [Google Scholar] [CrossRef]
- Carrilho, E.N.V.M.; Labuto, G.; Kamogawa, M.Y. Destination of Vinasse, a Residue from Alcohol Industry: Resource Recovery and Prevention of Pollution. In Environmental Materials and Waste; Elsevier Inc.: Amsterdam, The Netherlands, 2016; pp. 21–43. ISBN 978-0-12-803837-6. [Google Scholar]
- Castillo-Monroy, J.; Godínez, L.A.; Robles, I.; Estrada-Vargas, A. Study of a Coupled Adsorption/Electro-Oxidation Process as a Tertiary Treatment for Tequila Industry Wastewater. Environ. Sci. Pollut. Res. 2021, 28, 23699–23706. [Google Scholar] [CrossRef]
- Arreola, A.R.; Tizapa, M.S.; Zurita, F.; Morán-Lázaro, J.P.; Valderrama, R.C.; Rodríguez-López, J.L.; Carreon-Alvarez, A. Treatment of Tequila Vinasse and Elimination of Phenol by Coagulation–Flocculation Process Coupled with Heterogeneous Photocatalysis Using Titanium Dioxide Nanoparticles. Environ. Technol. 2018, 41, 1023–1033. [Google Scholar] [CrossRef]
- Kusumaningtyas, R.D.; Hartanto, D.; Rohman, H.A.; Mitamaytawati; Qudus, N.; Daniyanto. Valorization of Sugarcane-Based Bioethanol Industry Waste (Vinasse) to Organic Fertilizer. In Valorisation of Agro-industrial Residues–Volume II: Non-Biological Approaches; Springer: Cham, Switzerland, 2020; pp. 203–223. [Google Scholar]
- Buller, L.S.; Romero, C.W.D.S.; Lamparelli, R.A.C.; Ferreira, S.F.; Bortoleto, A.P.; Mussatto, S.I.; Forster-Carneiro, T. A Spatially Explicit Assessment of Sugarcane Vinasse as a Sustainable By-Product. Sci. Total Environ. 2021, 765, 142717. [Google Scholar] [CrossRef]
- Hoarau, J.; Caro, Y.; Grondin, I.; Petit, T. Sugarcane Vinasse Processing: Toward a Status Shift from Waste to Valuable Resource. A Review. J. Water Process Eng. 2018, 24, 11–25. [Google Scholar] [CrossRef]
- Coelho, M.P.M.; Correia, J.E.; Vasques, L.I.; Marcato, A.C.D.C.; de Guedes, T.A.; Soto, M.A.; Basso, J.B.; Kiang, C.; Fontanetti, C.S. Toxicity Evaluation of Leached of Sugarcane Vinasse: Histopathology and Immunostaining of Cellular Stress Protein. Ecotoxicol. Environ. Saf. 2018, 165, 367–375. [Google Scholar] [CrossRef]
- Soto, M.F.; Diaz, C.A.; Zapata, A.M.; Higuita, J.C. BOD and COD Removal in Vinasses from Sugarcane Alcoholic Distillation by Chlorella Vulgaris: Environmental Evaluation. Biochem. Eng. J. 2021, 176, 108191. [Google Scholar] [CrossRef]
- Fuess, L.T.; Garcia, M.L. Implications of Stillage Land Disposal: A Critical Review on the Impacts of Fertigation. J. Environ. Manag. 2014, 145, 210–229. [Google Scholar] [CrossRef]
- Fuess, L.T.; Rodrigues, I.J.; Garcia, M.L. Fertirrigation with Sugarcane Vinasse: Foreseeing Potential Impacts on Soil and Water Resources through Vinasse Characterization. J. Environ. Sci. Health Part A 2017, 52, 1063–1072. [Google Scholar] [CrossRef] [PubMed]
- Carpanez, T.G.; Moreira, V.R.; Assis, I.R.; Amaral, M.C.S. Sugarcane Vinasse as Organo-Mineral Fertilizers Feedstock: Opportunities and Environmental Risks. Sci. Total Environ. 2022, 832, 154998. [Google Scholar] [CrossRef] [PubMed]
- Mahmoudabadi, Z.S.; Rashidi, A.; Maklavany, D.M. Optimizing Treatment of Alcohol Vinasse Using a Combination of Advanced Oxidation with Porous α-Fe2O3 Nanoparticles and Coagulation-Flocculation. Ecotoxicol. Environ. Saf. 2022, 234, 113354. [Google Scholar] [CrossRef]
- Kee, W.-C.; Wong, Y.-S.; Ong, S.-A.; Lutpi, N.A.; Sam, S.-T.; Chai, A.; Eng, K.-M. Photocatalytic Degradation of Sugarcane Vinasse Using ZnO Photocatalyst: Operating Parameters, Kinetic Studies, Phytotoxicity Assessments, and Reusability. Int. J. Environ. Res. 2022, 16, 3. [Google Scholar] [CrossRef] [PubMed]
- Kiyuna, L.S.M.; Fuess, L.T.; Zaiat, M. Unraveling the Influence of the COD/Sulfate Ratio on Organic Matter Removal and Methane Production from the Biodigestion of Sugarcane Vinasse. Bioresour. Technol. 2017, 232, 103–112. [Google Scholar] [CrossRef]
- Misra, M.; Akansha, K.; Sachan, A.; Sachan, S.G. Removal of Dyes from Industrial Effluents by Application of Combined Biological and Physicochemical Treatment Approaches. In Combined Application of Physico-Chemical & Microbiological Processes for Industrial Effluent Treatment Plant; Springer: Singapore, 2020; pp. 365–407. [Google Scholar]
- Kumar, V.; Singh, K.; Shah, M.P. Advanced Oxidation Processes for Complex Wastewater Treatment. In Advanced Oxidation Processes for Effluent Treatment Plants; Elsevier: Amsterdam, The Netherlands, 2021; pp. 1–31. [Google Scholar]
- Sales, H.B.; Menezes, R.R.; Neves, G.A.; de Souza, J.J.N.; Ferreira, J.M.; Chantelle, L.; Oliveira, A.L.M.d.; de Lira, H.L. Development of Sustainable Heterogeneous Catalysts for the Photocatalytic Treatment of Effluents. Sustainability 2020, 12, 7393. [Google Scholar] [CrossRef]
- Ameta, R.; Solanki, M.S.; Benjamin, S.; Ameta, S.C. Photocatalysis. In Advanced Oxidation Processes for Wastewater Treatment: Emerging Green Chemical Technology; Elsevier: Amsterdam, The Netherlands, 2018; pp. 135–175. ISBN 9780128105252. [Google Scholar]
- Kwarciak-Kozlowska, A. Removal of Pharmaceuticals and Personal Care Products by Ozonation, Advance Oxidation Processes, and Membrane Separation; Elsevier Inc.: Amsterdam, The Netherlands, 2019; ISBN 9780128161890. [Google Scholar]
- Yarahmadi, M.; Maleki-Ghaleh, H.; Mehr, M.E.; Dargahi, Z.; Rasouli, F.; Siadati, M.H. Synthesis and Characterization of Sr-Doped ZnO Nanoparticles for Photocatalytic Applications. J. Alloys Compd. 2021, 853, 157000. [Google Scholar] [CrossRef]
- Venieri, D.; Mantzavinos, D.; Binas, V. Solar Photocatalysis for Emerging Micro-Pollutants Abatement and Water Disinfection: A Mini-Review. Sustainability 2020, 12, 10047. [Google Scholar] [CrossRef]
- Bica, B.O.; de Melo, J.V.S. Concrete Blocks Nano-Modified with Zinc Oxide (ZnO) for Photocatalytic Paving: Performance Comparison with Titanium Dioxide (TiO2). Constr. Build. Mater. 2020, 252, 119120. [Google Scholar] [CrossRef]
- Márquez, I.G.; Ghiyasvand, M.; Massarsky, A.; Babu, M.; Samanfar, B.; Omidi, K.; Moon, T.W.; Smith, M.L.; Golshani, A. Zinc Oxide and Silver Nanoparticles Toxicity in the Baker’s Yeast, Saccharomyces Cerevisiae. PLoS ONE 2018, 13, e0193111. [Google Scholar] [CrossRef]
- Rasband, W.S. Image J: Image Processing and Analysis in Java; Astrophysics Source Code Library: Online, 1997. [Google Scholar]
- APHA; AWWA; WEF. 5220-D Chemical Oxygen Demand (COD). In Standard Methods for the Examination of Water and Wastewater; Baid, R.B., Eaton, A.D., Rice, E.W., Eds.; American Public Health Association: Washington, DC, USA, 2018; pp. 5–14. ISBN 9780875530130. [Google Scholar]
- APHA; AWWA; WEF. 5210 Biochemical Oxygen Demand (BOD). In Standard Methods for the Examination of Water and Wastewater; Baid, R.B., Eaton, A.D., Rice, E.W., Eds.; American Public Health Association: Washington, DC, USA, 2018; ISBN 9780875530130. [Google Scholar]
- Unoeste. Dados 2022; Presidente Prudente: São Paulo, Brazil, 2022. [Google Scholar]
- Otieno, B.O.; Apollo, S.O.; Naidoo, B.E.; Ochieng, A. Photodecolorisation of Melanoidins in Vinasse with Illuminated TiO2-ZnO/Activated Carbon Composite. J. Environ. Sci. Health Part A Toxic/Hazardous Subst. Environ. Eng. 2017, 52, 616–623. [Google Scholar] [CrossRef] [PubMed]
- National Health Surveillance Agency. ANVISA Microbiologia Clínica Para o Controle de Infecção Relacionada à Assistência à Saúde- Detecção e Identificação Dos Fungos de Importância Médica; National Health Surveillance Agency: Brasília, Brazil, 2020; Volume 10.
- Arendrup, M.; Meletiadis, J.; Mouton, J.W.; Lagrou, K.; Hamal, P.; de Almeida Júnior, J.N.J.; Ishida, K. D.E.DEF. 7.3.2—Método Para Determinação de Concentração Inibitória Mínima Em Caldo Dos Agentes Antifúngicos Para Leveduras. BrCAST Braz. Committe Antimicrob. Susceptibility Test 2020, 1–19. Available online: https://brcast.org.br/wp-content/uploads/2022/08/BrCAST-EUCAST-E-Def-732-CIM-levedura-20202.pdf (accessed on 5 May 2022).
- Dimapilis, E.A.S.; Hsu, C.S.; Mendoza, R.M.O.; Lu, M.C. Zinc Oxide Nanoparticles for Water Disinfection. Sustain. Environ. Res. 2018, 28, 47–56. [Google Scholar] [CrossRef]
- Rashidi, H.; Ahmadpour, A.; Bamoharram, F.F.; Zebarjad, S.M.; Heravi, M.M.; Tayari, F. Controllable One-Step Synthesis of ZnO Nanostructures Using Molybdophosphoric Acid. Chem. Pap. 2014, 68, 516–524. [Google Scholar] [CrossRef]
- Sharma, D.; Rajput, J.; Kaith, B.S.; Kaur, M.; Sharma, S. Synthesis of ZnO Nanoparticles and Study of Their Antibacterial and Antifungal Properties. Thin Solid Films 2010, 519, 1224–1229. [Google Scholar] [CrossRef]
- Ni, Y.H.; Wei, X.W.; Hong, J.M.; Ye, Y. Hydrothermal Preparation and Optical Properties of ZnO Nanorods. Mater. Sci. Eng. B Solid-State Mater. Adv. Technol. 2005, 121, 42–47. [Google Scholar] [CrossRef]
- Chateigner, D.; Chen, X.; Ciriotti, M.; Downs, R.T.; Gražulis, S.; Kaminsky, W. Crystallography Open Database. Available online: http://crystallography.net/cod/index.php (accessed on 10 April 2022).
- Padmavathy, N.; Vijayaraghavan, R. Enhanced Bioactivity of ZnO Nanoparticles—An Antimicrobial Study. Sci. Technol. Adv. Mater. 2008, 9, 035004. [Google Scholar] [CrossRef]
- Ekennia, A.C.; Uduagwu, D.N.; Nwaji, N.N.; Oje, O.O.; Emma-Uba, C.O.; Mgbii, S.I.; Olowo, O.J.; Nwanji, O.L. Green Synthesis of Biogenic Zinc Oxide Nanoflower as Dual Agent for Photodegradation of an Organic Dye and Tyrosinase Inhibitor. J. Inorg. Organomet. Polym. Mater. 2021, 31, 886–897. [Google Scholar] [CrossRef]
- Sze, S.M.; Kwok, K.N. Physics of Semiconductor Devices; John Wiley & Sons, Inc.: Hoboken, NJ, USA, 2006; ISBN 978-0-470-06832-8. [Google Scholar]
- Wooten, A.J.; Werder, D.J.; Williams, D.J.; Casson, J.L.; Hollingsworth, J.A. Solution-Liquid-Solid Growth of Ternary Cu-in-Se Semiconductor Nanowires from Multiple- and Single-Source Precursors. J. Am. Chem. Soc. 2009, 131, 161–177. [Google Scholar] [CrossRef]
- Obasuyi, A.R.; Alabi, A.B.; Kajewole, E.D.; Robert, O.; Abejide, F.; Adeleke, T.J.; Akomolafe, T. Capacitive and Bioenzymevoltaic Characteristics of Photosynthetic Chromolena Odorata—Nanostructured Zinc Oxide System. Sri. Lankan. J. Phys. 2017, 18, 17. [Google Scholar] [CrossRef]
- Montero-Muñoz, M.; Ramos-Ibarra, J.E.; Rodríguez-Páez, J.E.; Teodoro, M.D.; Marques, G.E.; Sanabria, A.R.; Cajas, P.C.; Páez, C.A.; Heinrichs, B.; Coaquira, J.A.H. Role of Defects on the Enhancement of the Photocatalytic Response of ZnO Nanostructures. Appl. Surf. Sci. 2018, 448, 646–654. [Google Scholar] [CrossRef]
- Rusdi, R.; Rahman, A.A.; Mohamed, N.S.; Kamarudin, N.; Kamarulzaman, N. Preparation and Band Gap Energies of ZnO Nanotubes, Nanorods and Spherical Nanostructures. Powder Technol. 2011, 210, 18–22. [Google Scholar] [CrossRef]
- Wang, J.; Wang, Z.; Huang, B.; Ma, Y.; Liu, Y.; Qin, X.; Zhang, X.; Dai, Y. Oxygen Vacancy Induced Band-Gap Narrowing and Enhanced Visible Light Photocatalytic Activity of ZnO. ACS Appl. Mater. Interfaces 2012, 4, 4024–4030. [Google Scholar] [CrossRef] [PubMed]
- Chavillon, B.; Cario, L.; Renaud, A.; Tessier, F.; Cheviré, F.; Boujtita, M.; Pellegrin, Y.; Blart, E.; Smeigh, A.; Hammarström, L.; et al. P-Type Nitrogen-Doped ZnO Nanoparticles Stable under Ambient Conditions. J. Am. Chem. Soc. 2012, 134, 464–470. [Google Scholar] [CrossRef] [PubMed]
- Apollo, S.; Onyango, M.S.; Ochieng, A. An Integrated Anaerobic Digestion and UV Photocatalytic Treatment of Distillery Wastewater. J. Hazard. Mater. 2013, 261, 435–442. [Google Scholar] [CrossRef]
- Robles-González, V.; Galíndez-Mayer, J.; Rinderknecht-Seijas, N.P.H. Treatment of Mezcal Vinasses: A Review. J. Biotechnol. 2012, 157, 521–546. [Google Scholar] [CrossRef]
- David, C.; Arivazhagan, M.; Ibrahim, M. Spent Wash Decolourization Using Nano-Al2O3/Kaolin Photocatalyst: Taguchi and ANN Approach. J. Saudi Chem. Soc. 2015, 19, 537–548. [Google Scholar] [CrossRef]
- Guerreiro, L.F.; Rodrigues, C.S.D.; Duda, R.M.; de Oliveira, R.A.; Boaventura, R.A.R.; Madeira, L.M. Treatment of Sugarcane Vinasse by Combination of Coagulation/Flocculation and Fenton’s Oxidation. J. Environ. Manag. 2016, 181, 237–248. [Google Scholar] [CrossRef]
- de Souza, J.P.; do Prado, C.D.; Eleutherio, E.C.A.; Bonatto, D.; Malavazi, I.; da Cunha, A.F. Improvement of Brazilian Bioethanol Production—Challenges and Perspectives on the Identification and Genetic Modification of New Strains of Saccharomyces Cerevisiae Yeasts Isolated during Ethanol Process. Fungal. Biol. 2018, 122, 583–591. [Google Scholar] [CrossRef]
- Kasemets, K.; Ivask, A.; Dubourguier, H.C.; Kahru, A. Toxicity of Nanoparticles of ZnO, CuO and TiO2 to Yeast Saccharomyces Cerevisiae. Toxicol. Vitr. 2009, 23, 1116–1122. [Google Scholar] [CrossRef]
- Babele, P.K.; Thakre, P.K.; Kumawat, R.; Tomar, R.S. Zinc Oxide Nanoparticles Induce Toxicity by Affecting Cell Wall Integrity Pathway, Mitochondrial Function and Lipid Homeostasis in Saccharomyces Cerevisiae. Chemosphere 2018, 213, 65–75. [Google Scholar] [CrossRef] [PubMed]
- Liu, Y.; Li, Y.; Pan, B.; Zhang, X.; Zhang, H.; Steinberg, C.E.W.; Qiu, H.; Vijver, M.G.; Peijnenburg, W.J.G.M. Application of Low Dosage of Copper Oxide and Zinc Oxide Nanoparticles Boosts Bacterial and Fungal Communities in Soil. Sci. Total Environ. 2021, 757, 143807. [Google Scholar] [CrossRef] [PubMed]
- Rizwan, M.; Ali, S.; Qayyum, M.F.; Ok, Y.S.; Adrees, M.; Ibrahim, M.; Zia-ur-Rehman, M.; Farid, M.; Abbas, F. Effect of Metal and Metal Oxide Nanoparticles on Growth and Physiology of Globally Important Food Crops: A Critical Review. J. Hazard. Mater. 2017, 322, 2–16. [Google Scholar] [CrossRef] [PubMed]







| Sample | ZnO-NPs (mg/L) | Radiation Source |
|---|---|---|
| Control | 0 | n/a |
| T1 | 0 | Sunlight |
| T2 | 40 | Sunlight |
| T3 | 1560 | Sunlight |
| T4 | 0 | UV-C |
| T5 | 40 | UV-C |
| T6 | 1560 | UV-C |
| T7 | 0 | White halogen light |
| T8 | 40 | White halogen light |
| T9 | 1560 | White halogen light |
| Sample | Description | BOD (mg/L) | % Reduction |
|---|---|---|---|
| Control | Vinasse in natura | 17,666.7 ± 577 | - |
| T2 | 40 mg/L (sunlight) | 5000.0 ± 0 | 71.7 |
| T6 | 1560 mg/L (UV-C) | 6000.0 ± 0 | 66.0 |
| Sample | C+ | C− | 1 | 2 | 3 | 4 | 5 | 6 | 7 | 8 | 9 | 10 |
|---|---|---|---|---|---|---|---|---|---|---|---|---|
| ZnO-NP concentration | 0 | 50 | 25 | 12.5 | 6.25 | 3.125 | 1.562 | 0.781 | 0.390 | 0.195 | 0.097 | 0.049 |
| ZnO-NPs (mg/mL) | C+ | C− | 25 | 12.5 | 6.25 | 3.125 | 1.562 | 0.781 | 0.390 | 0.195 | 0.097 | 0.049 |
|---|---|---|---|---|---|---|---|---|---|---|---|---|
| CFUs and SD | 267 | 0 | 0 | 0 | 0 | 0 | 0 | 1 ± 0 | 3 ± 2 | 10 ± 3 | 11 ± 4 | 12 ± 5 |
| Reduction in CFUs (%) | n/a | n/a | 100 a | 100 a | 100 a | 100 a | 100 a | 99.63 b | 98.88 b | 96.25 c | 95.88 c | 95.51 c |
Publisher’s Note: MDPI stays neutral with regard to jurisdictional claims in published maps and institutional affiliations. |
© 2022 by the authors. Licensee MDPI, Basel, Switzerland. This article is an open access article distributed under the terms and conditions of the Creative Commons Attribution (CC BY) license (https://creativecommons.org/licenses/by/4.0/).
Share and Cite
Tamashiro, J.R.; Lima, I.S.; Paiva, F.F.G.d.; Silva, L.H.P.; Oliveira, D.V.M.d.; Baffa, O.; Kinoshita, A. Treatment of Sugarcane Vinasse Using Heterogeneous Photocatalysis with Zinc Oxide Nanoparticles. Sustainability 2022, 14, 16052. https://doi.org/10.3390/su142316052
Tamashiro JR, Lima IS, Paiva FFGd, Silva LHP, Oliveira DVMd, Baffa O, Kinoshita A. Treatment of Sugarcane Vinasse Using Heterogeneous Photocatalysis with Zinc Oxide Nanoparticles. Sustainability. 2022; 14(23):16052. https://doi.org/10.3390/su142316052
Chicago/Turabian StyleTamashiro, Jacqueline Roberta, Iara Souza Lima, Fábio Friol Guedes de Paiva, Lucas Henrique Pereira Silva, Daniela Vanessa Moris de Oliveira, Oswaldo Baffa, and Angela Kinoshita. 2022. "Treatment of Sugarcane Vinasse Using Heterogeneous Photocatalysis with Zinc Oxide Nanoparticles" Sustainability 14, no. 23: 16052. https://doi.org/10.3390/su142316052
APA StyleTamashiro, J. R., Lima, I. S., Paiva, F. F. G. d., Silva, L. H. P., Oliveira, D. V. M. d., Baffa, O., & Kinoshita, A. (2022). Treatment of Sugarcane Vinasse Using Heterogeneous Photocatalysis with Zinc Oxide Nanoparticles. Sustainability, 14(23), 16052. https://doi.org/10.3390/su142316052

