Do MRI Results Represent Functional Outcomes Following Arthroscopic Repair of an Isolated Meniscus Tear in Young Patients?—A Prospective Comparative Cohort Study
Abstract
1. Introduction
2. Materials and Methods
2.1. Functional Evaluation
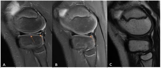
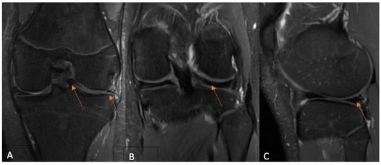
2.2. MRI Evaluation Protocol
2.3. Surgical Procedure
2.4. Statistics
3. Results
4. Discussion
5. Conclusions
Author Contributions
Funding
Institutional Review Board Statement
Informed Consent Statement
Data Availability Statement
Conflicts of Interest
References
- Bhan, K. Meniscal Tears: Current Understanding, Diagnosis, and Management. Cureus 2022, 12, e8590. [Google Scholar] [CrossRef] [PubMed]
- Asokan, A.; Ayub, A.; Ramachandran, M. Pediatric meniscal injuries: Current concepts. J. Child. Orthop. 2023, 17, 70–75. [Google Scholar] [CrossRef] [PubMed]
- Cabral, J.; Sinikumpu, J. Clinical considerations of anatomy and magnetic resonance imaging in pediatric meniscus tear, with imaging-based treatment options. J. Child. Orthop. 2023, 17, 63–69. [Google Scholar] [CrossRef] [PubMed]
- Popper, H.R.; Fliegel, B.E.; Elliott, D.M.; Su, A.W. Surgical Management of Traumatic Meniscus Injuries. Pathophysiology 2023, 30, 618–629. [Google Scholar] [CrossRef] [PubMed]
- Vinagre, G.; Cruz, F.; Alkhelaifi, K.; D’Hooghe, P. Isolated meniscus injuries in skeletally immature children and adolescents: State of the art. J. ISAKOS 2022, 7, 19–26. [Google Scholar] [CrossRef]
- Kopf, S.; Beaufils, P.; Hirschmann, M.T.; Rotigliano, N.; Ollivier, M.; Pereira, H.; Verdonk, R.; Darabos, N.; Ntagiopoulos, P.; Dejour, D.; et al. Management of traumatic meniscus tears: The 2019 ESSKA meniscus consensus. Knee Surg. Sports Traumatol. Arthrosc. 2020, 28, 1177–1194. [Google Scholar] [CrossRef] [PubMed]
- Fedje-Johnston, W.; Johnson, C.P.; Tóth, F.; Carlson, C.S.; Ellingson, A.M.; Albersheim, M.; Lewis, J.; Bechtold, J.; Ellermann, J.; Rendahl, A.; et al. A pilot study to assess the healing of meniscal tears in young adult goats. Sci. Rep. 2021, 11, 14181. [Google Scholar] [CrossRef] [PubMed]
- Li, C.A.; Kim, M.K.; Kim, I.H.; Lee, J.H.; Jang, K.Y.; Lee, S.Y. Correlation of Histological Examination of Meniscus with MR Images: Focused on High Signal Intensity of the Meniscus Not Caused by Definite Meniscal Tear and Impact on MR Diagnosis of Tears. Korean J. Radiol. 2013, 14, 935–945. [Google Scholar] [CrossRef]
- Miao, Y.; Yu, J.K.; Zheng, Z.Z.; Yu, C.L.; Ao, Y.F.; Gong, X.; Wang, Y.J.; Jiang, D. MRI signal changes in completely healed meniscus confirmed by second-look arthroscopy after meniscal repair with bioabsorbable arrows. Knee Surg. Sports Traumatol. Arthrosc. 2009, 17, 622–630. [Google Scholar] [CrossRef]
- Song, B.; Tan, W.; Xu, Y.; Yu, T.; Li, W.; Chen, Z.; Yang, R.; Hou, J.; Zhou, Y. 3D-MRI combined with signal-to-noise ratio measurement can improve the diagnostic accuracy and sensitivity in evaluating meniscal healing status after meniscal repair. Knee Surg. Sports Traumatol. Arthrosc. 2019, 27, 177–188. [Google Scholar] [CrossRef]
- Yamasaki, S.; Hashimoto, Y.; Nishida, Y.; Teraoka, T.; Terai, S.; Takigami, J.; Nakamura, H. Assessment of Meniscal Healing Status by Magnetic Resonance Imaging T2 Mapping After Meniscal Repair. Am. J. Sports Med. 2020, 48, 853–860. [Google Scholar] [CrossRef]
- Schwach, M.; Grange, S.; Klasan, A.; Putnis, S.; Philippot, R.; Neri, T. MRI Criteria for Healing at 1 Year After Repair of a Traumatic Meniscal Tear. Am. J. Sports Med. 2023, 51, 3693–3700. [Google Scholar] [CrossRef] [PubMed]
- Yang, B.W.; Liotta, E.S.; Paschos, N. Outcomes of Meniscus Repair in Children and Adolescents. Curr. Rev. Musculoskelet. Med. 2019, 12, 233–238. [Google Scholar] [CrossRef]
- Milliron, E.M.; Magnussen, R.A.; ACavendish, P.; PQuinn, J.; DiBartola, A.C.; Flanigan, D.C. Repair of Radial Meniscus Tears Results in Improved Patient-Reported Outcome Scores: A Systematic Review. Arthrosc. Sports Med. Rehabil. 2021, 3, e967–e980. [Google Scholar] [CrossRef]
- Muench, L.N.; Achtnich, A.; Krivec, L.; Diermeier, T.; Woertler, K.; Braun, S.; Imhoff, A.B.; Willinger, L. Clinical outcome and healing rate after meniscal bucket handle tear repair. BMC Musculoskelet. Disord. 2022, 23, 1063. [Google Scholar] [CrossRef]
- Willinger, L.; Herbst, E.; Diermeier, T.; Forkel, P.; Woertler, K.; Imhoff, A.B.; Achtnich, A. High short-term return to sports rate despite an ongoing healing process after acute meniscus repair in young athletes. Knee Surg. Sports Traumatol. Arthrosc. 2019, 27, 215–222. [Google Scholar] [CrossRef]
- Lefevre, N.; Naouri, J.F.; Herman, S.; Gerometta, A.; Klouche, S.; Bohu, Y. A Current Review of the Meniscus Imaging: Proposition of a Useful Tool for Its Radiologic Analysis. Radiol. Res. Pract. 2016, 2016, 8329296. [Google Scholar] [CrossRef] [PubMed]
- Hoffelner, T.; Resch, H.; Forstner, R.; Michael, M.; Minnich, B.; Tauber, M. Arthroscopic all-inside meniscal repair—Does the meniscus heal?: A clinical and radiological follow-up examination to verify meniscal healing using a 3-T MRI. Skelet. Radiol. 2011, 40, 181–187. [Google Scholar] [CrossRef] [PubMed]
- Morgan, C.D.; Wojtys, E.M.; Casscells, C.D.; Casscells, S.W. Arthroscopic meniscal repair evaluated by second-look arthroscopy. Am. J. Sports Med. 1991, 19, 632–638. [Google Scholar] [CrossRef] [PubMed]
- Muellner, T.; Egkher, A.; Nikolic, A.; Funovics, M.; Metz, V. Open Meniscal Repair: Clinical and Magnetic Resonance Imaging Findings After Twelve Years. Am. J. Sports Med. 1999, 27, 16–20. [Google Scholar] [CrossRef]
- Pujol, N.; Tardy, N.; Boisrenoult, P.; Beaufils, P. Magnetic Resonance Imaging is not suitable for interpretation of meniscal status ten years after arthroscopic repair. Int. Orthop. 2013, 37, 2371–2376. [Google Scholar] [CrossRef] [PubMed]
- Tapasvi, S.; Shekhar, A.; Chandorkar, A.; Patil, A.; Patil, S. Indirect Magnetic Resonance Arthrography May Help Avoid Second Look Arthroscopy for Assessment of Healing After Bucket Handle Medial Meniscus Repairs: A Prospective Clinico-Radiological Observational Study. Indian. J. Orthop. 2021, 55, 416–424. [Google Scholar] [CrossRef] [PubMed]
- Vance, K.; Meredick, R.; Schweitzer, M.E.; Lubowitz, J.H. Magnetic Resonance Imaging of the Postoperative Meniscus. Arthrosc. J. Arthrosc. Relat. Surg. 2009, 25, 522–530. [Google Scholar] [CrossRef] [PubMed]
- Baker, J.C.; Friedman, M.V.; Rubin, D.A. Imaging the Postoperative Knee Meniscus: An Evidence-Based Review. Am. J. Roentgenol. 2018, 211, 519–527. [Google Scholar] [CrossRef] [PubMed]
- Stoller, D.W.; Martin, C.; Crues, J.V.; Kaplan, L.; Mink, J.H. Meniscal tears: Pathologic correlation with MR imaging. Radiology 1987, 163, 731–735. [Google Scholar] [CrossRef] [PubMed]
- Zhu, S.; Li, X.; Lu, Z.; Koh, J.L.; Wang, C.; Wang, P.; Shao, X.; Wang, J. Arthroscopic repair of degenerative medial meniscus tears in patients aged over 45 years resulted in favorable clinical outcomes and low clinical failure rates at a minimum 2-year follow-up. Knee Surg. Sports Traumatol. Arthrosc. 2023, 31, 1815–1823. [Google Scholar] [CrossRef]
- Shieh, A.; Bastrom, T.; Roocroft, J.; Edmonds, E.W.; Pennock, A.T. Meniscus Tear Patterns in Relation to Skeletal maturity: Children Versus Adolescents. Am. J. Sports Med. 2013, 41, 2779. [Google Scholar] [CrossRef] [PubMed]
- Shieh, A.K.; Edmonds, E.W.; Pennock, A.T. Revision Meniscal Surgery in Children and Adolescents: Risk Factors and Mechanisms for Failure and Subsequent Management. Am. J. Sports Med. 2016, 44, 838–843. [Google Scholar] [CrossRef]
- Miao, Y.; Yu, J.K.; Ao, Y.F.; Zheng, Z.Z.; Gong, X.; Leung, K.K.M. Diagnostic Values of 3 Methods for Evaluating Meniscal Healing Status After Meniscal Repair: Comparison Among Second-Look Arthroscopy, Clinical Assessment, and Magnetic Resonance Imaging. Am. J. Sports Med. 2011, 39, 735–742. [Google Scholar] [CrossRef]
- Faunø, E.; Sørensen, O.G.; Nielsen, T.G.; Lind, M.; Tvedesøe, C. Magnetic resonance imaging can increase the diagnostic accuracy in symptomatic meniscal repair patients. Knee Surg. Sports Traumatol. Arthrosc. 2020, 28, 855–861. [Google Scholar] [CrossRef]
- Steenbrugge, F.; Verstraete, K.; Verdonk, R. Magnetic reasonance imaging of the surgically repaired meniscus: A 13-year follow-up study of 13 knees. Acta Orthop. Scand. 2004, 75, 323–327. [Google Scholar] [CrossRef] [PubMed]
- Schmitt, A.; Batisse, F.; Bonnard, C. Results with all-inside meniscal suture in pediatrics. Orthop. Traumatol. Surg. Res. 2016, 102, 207–211. [Google Scholar] [CrossRef] [PubMed]
- Lucas, G.; Accadbled, F.; Violas, P.; Sales de Gauzy, J.; Knörr, J. Isolated meniscal injuries in paediatric patients: Outcomes after arthroscopic repair. Orthop. Traumatol. Surg. Res. 2015, 101, 173–177. [Google Scholar] [CrossRef] [PubMed]
- Isono, M.; Koga, H.; Nakagawa, Y.; Nakamura, T.; Sekiya, I.; Katagiri, H. Inferior Healing Rate in Isolated Meniscal Repair than that in Meniscal Repair with Concomitant ACL Reconstruction Evaluated with MRI. Malays Orthop. J. 2023, 17, 61–69. [Google Scholar]




| Case | Sex | Age/y | Side | Sutures | Meniscal Injury Location | Tear Pattern | Technique | MRI Grade | Time to Operation/w |
|---|---|---|---|---|---|---|---|---|---|
| 1 | b | 16 | lateral | 3 | P-M | complex | all inside | 3 | 20 |
| 2 | b | 15 | lateral | 4 | P-M | bucket handle | all inside | 2 | 12 |
| 3 | b | 15 | medial | 6 | A-P | bucket handle | hybrid | 3 | 4 |
| 4 | g | 12 | medial | 4 | P-M | bucket handle | hybrid | 3 | 4 |
| 5 | b | 15 | lateral | 2 | P | bucket handle | all inside | 3 | 8 |
| 6 | g | 17 | medial | 2 | P | bucket handle | all inside | 3 | 33 |
| 7 | g | 16 | lateral | 4 | P-M | bucket handle | hybrid | 2 | 3 |
| 8 | b | 15 | medial | 1 | P | longitudinal | all inside | 2 | 3 |
| 9 | b | 17 | medial | 5 | P | bucket handle | hybrid | 1 | 4 |
| 10 | g | 16 | medial | 1 | P | longitudinal | all inside | 2 | 4 |
| 11 | g | 15 | medial | 6 | P-M | bucket handle | hybrid | 2 | 3 |
| 12 | g | 17 | medial | 4 | A-P | bucket handle | hybrid | 2 | 1 |
| 13 | b | 16 | medial | 2 | P | vertical–longitudinal | all inside | 3 | 8 |
| 14 | b | 17 | medial | 3 | P | bucket handle | hybrid | 2 | 1 |
| 15 | b | 15 | lateral | 3 | P | bucket handle | hybrid | 2 | 24 |
| 16 | g | 16 | medial | 3 | P | horizontal | all inside | 3 | 20 |
| 17 | b | 17 | medial | 2 | P | longitudinal | all inside | 2 | 77 |
| 18 | g | 17 | medial | 3 | P-M | complex | all inside | 2 | 6 |
| 19 | g | 17 | medial | 2 | P | longitudinal | all inside | 3 | 25 |
| 20 | b | 11 | lateral | 2 | P-M | complex | all inside | 2 | 4 |
| 21 | g | 15 | lateral | 5 | P-M | bucket handle | hybrid | 3 | 12 |
| 22 | g | 17 | medial | 3 | P-M | complex | hybrid | 3 | 12 |
| 23 | b | 17 | medial | 3 | P-M | complex | all inside | 2 | 2 |
| 24 | b | 16 | lateral | 2 | P-M | horizontal | all inside | 1 | 8 |
| 25 | b | 14 | medial | 3 | P | bucket handle | all inside | 3 | 16 |
| 26 | g | 14 | medial | 1 | P | vertical–longitudinal | all inside | 3 | 52 |
| 27 | g | 17 | medial | 2 | P | longitudinal | all inside | 2 | 12 |
| 28 | b | 17 | medial | 5 | A-P | bucket handle | hybrid | 3 | 2 |
| 29 | b | 17 | lateral | 1 | P | complex | all inside | 3 | 8 |
| 30 | b | 15 | lateral | 2 | P | longitudinal | all inside | 2 | 24 |
| 31 | b | 14 | medial | 2 | P-M | complex | all inside | 3 | 36 |
| 32 | b | 16 | medial | 3 | P-M | bucket handle | all inside | 1 | 4 |
| 33 | b | 15 | medial | 2 | P-M | complex | hybrid | 3 | 32 |
| 34 | b | 17 | medial | 2 | P | longitudinal | all inside | 1 | 24 |
| 35 | g | 14 | lateral | 4 | P-M | bucket handle | hybrid | 3 | 2 |
| Pedi-IKDC Mdn (Q1–Q3) 92.39 (84.78–97.82) | Lysholm Mdn (Q1–Q3) 94 (85–100) | Tegner Mdn (Q1–Q3) 4 (3–7) | ||
|---|---|---|---|---|
| MRI grade 1/MRI grade 2 | p | 0.88 | 0.75 | 0.83 |
| MRI grade 2/MRI grade 3 | p | 0.018 | 0.27 | 0.021 |
| MRI grade 1/MRI grade 3 | p | 0.02 | 0.061 | 0.35 |
| MRI Grades Grade 1 N = 4 (11.4%) Grade 2 N = 14 (40.8%) Grade 3 N = 17 (48.0%) | ||||
|---|---|---|---|---|
| Gender | ||||
| boys N = 21 (60.0%)/ girls N = 14 (40.0%) | p | ns | ||
| Meniscal side | ||||
| medial N = 24 (68.6%)/ lateral N = 11 (31.4%) | p | ns | ||
| Meniscus injury location | ||||
| back and middle N = 15 (42.9%)/ back N = 17 (48.6%)/ all long N = 3 (8.6%) | p | ns | ||
| Meniscus tear pattern | ||||
| longitudinal N = 9 (25.7%)/ bucket handle N = 16 (42.7%)/ horizontal N = 2 (5.7%)/ complex N = 6 (22.6%) | p | ns | ||
| Suture technique | ||||
| all-inside N = 22 (62.9%)/ hybrid N = 13 (37.1%) | p | ns | ||
| MRI Grade 1/MRI Grade 2 | MRI Grade 2/MRI Grade 3 | MRI Grade 1/MRI Grade 3 | ||
| Age | P | 0.36 | 0.32 | 0.13 |
| Years/Mds (Q1–Q3) 16 (15–17) | ||||
| Follow-up | p | 0.83 | 0.21 | 0.44 |
| Months/Mds (Q1–Q3) 13 (11–15) | ||||
| Injury to repair time | p | 0.45 | 0.07 | 0.34 |
| Weeks/Mds (Q1–Q3) 8 (4–24) | ||||
| Suture number Mds (Q1–Q3) 3 (2–4) | p | 0.91 | 0.95 | 0.92 |
Disclaimer/Publisher’s Note: The statements, opinions and data contained in all publications are solely those of the individual author(s) and contributor(s) and not of MDPI and/or the editor(s). MDPI and/or the editor(s) disclaim responsibility for any injury to people or property resulting from any ideas, methods, instructions or products referred to in the content. |
© 2024 by the authors. Licensee MDPI, Basel, Switzerland. This article is an open access article distributed under the terms and conditions of the Creative Commons Attribution (CC BY) license (https://creativecommons.org/licenses/by/4.0/).
Share and Cite
Martinkėnienė, V.B.; Austys, D.; Šaikus, A.; Brazaitis, A.; Bernotavičius, G.; Makulavičius, A.; Sveikata, T.; Verkauskas, G. Do MRI Results Represent Functional Outcomes Following Arthroscopic Repair of an Isolated Meniscus Tear in Young Patients?—A Prospective Comparative Cohort Study. Clin. Pract. 2024, 14, 602-613. https://doi.org/10.3390/clinpract14020047
Martinkėnienė VB, Austys D, Šaikus A, Brazaitis A, Bernotavičius G, Makulavičius A, Sveikata T, Verkauskas G. Do MRI Results Represent Functional Outcomes Following Arthroscopic Repair of an Isolated Meniscus Tear in Young Patients?—A Prospective Comparative Cohort Study. Clinics and Practice. 2024; 14(2):602-613. https://doi.org/10.3390/clinpract14020047
Chicago/Turabian StyleMartinkėnienė, Viktorija Brogaitė, Donatas Austys, Andrius Šaikus, Andrius Brazaitis, Giedrius Bernotavičius, Aleksas Makulavičius, Tomas Sveikata, and Gilvydas Verkauskas. 2024. "Do MRI Results Represent Functional Outcomes Following Arthroscopic Repair of an Isolated Meniscus Tear in Young Patients?—A Prospective Comparative Cohort Study" Clinics and Practice 14, no. 2: 602-613. https://doi.org/10.3390/clinpract14020047
APA StyleMartinkėnienė, V. B., Austys, D., Šaikus, A., Brazaitis, A., Bernotavičius, G., Makulavičius, A., Sveikata, T., & Verkauskas, G. (2024). Do MRI Results Represent Functional Outcomes Following Arthroscopic Repair of an Isolated Meniscus Tear in Young Patients?—A Prospective Comparative Cohort Study. Clinics and Practice, 14(2), 602-613. https://doi.org/10.3390/clinpract14020047

