The Gut Microbiota Metabolite Urolithin B Mitigates Cholestatic Liver Injury in Mice via Modulating the Crosstalk Between PPARα, Nrf2, and NF-κB Signaling Pathways
Abstract
1. Introduction
2. Materials and Methods
2.1. Drugs and Chemicals
2.2. Animals
2.3. Experimental Design
2.4. Assessment of Liver Function
2.5. Histopathological Evaluation of Hepatic Necroinflammation and Bile Duct Injury
2.6. Assessment of Hepatic Oxidative Stress Biomarkers
2.7. Western Blot Analysis
2.8. Enzyme-Linked Immunosorbent Assay (ELISA) Measurements
2.9. Immunohistochemical (IHC) Analysis
2.10. Real-Time Reverse Transcription-Polymerase Chain Reaction (RT-PCR)
2.11. Statistical Analysis
3. Results
3.1. Impact of Uro-B on Liver Function Biomarkers in ANIT-Challenged Mice
3.2. Impact of Uro-B on Hepatic Histopathological Changes in ANIT-Challenged Mice
3.3. Impact of Uro-B on Hepatic Redox Status in ANIT-Challenged Mice
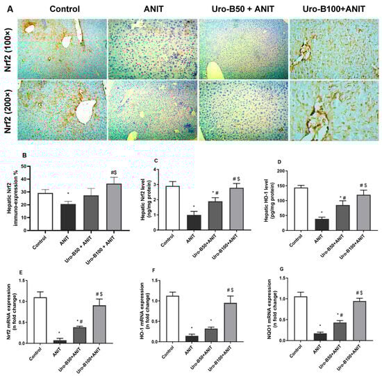
3.4. Impact of Uro-B on Hepatic Keap-1, Nrf2, HO-1, and NQO1 Expression in ANIT-Challenged Mice
3.5. Impact of Uro-B on Hepatic NF-κB, TNF-α, and IL-6 Expression in ANIT-Challenged Mice
3.6. Impact of Uro-B on Hepatic PPARα Expression in ANIT-Challenged Mice
3.7. Impact of Uro-B on Hepatic PCNA Expression in ANIT-Challenged Mice
4. Discussion
5. Conclusions
Future Directions and Limitations
Author Contributions
Funding
Institutional Review Board Statement
Informed Consent Statement
Data Availability Statement
Acknowledgments
Conflicts of Interest
References
- Feldman, A.G.; Sokol, R.J. Neonatal Cholestasis: Updates on Diagnostics, Therapeutics, and Prevention. Neoreviews 2021, 22, e819–e836. [Google Scholar] [CrossRef]
- Ramos-Tovar, E.; Muriel, P. Molecular Mechanisms That Link Oxidative Stress, Inflammation, and Fibrosis in the Liver. Antioxidants 2020, 9, 1279. [Google Scholar] [CrossRef]
- Wagner, M.; Fickert, P. Drug Therapies for Chronic Cholestatic Liver Diseases. Annu. Rev. Pharmacol. Toxicol. 2020, 60, 503–527. [Google Scholar] [CrossRef]
- Chu, H.K.; Ai, Y.; Cheng, Z.L.; Yang, L.; Hou, X.H. Contribution of gut microbiota to drug-induced liver injury. Hepatobiliary Pancreat. Dis. Int. 2023, 22, 458–465. [Google Scholar] [CrossRef]
- Jiang, L.; Fan, J.G. The role of the gut microbiome in chronic liver diseases: Present insights and future outlook. Hepatobiliary Pancreat. Dis. Int. 2023, 22, 441–443. [Google Scholar] [CrossRef]
- Sallam, I.E.; Abdelwareth, A.; Attia, H.; Aziz, R.K.; Homsi, M.N.; von Bergen, M.; Farag, M.A. Effect of Gut Microbiota Biotransformation on Dietary Tannins and Human Health Implications. Microorganisms 2021, 9, 965. [Google Scholar] [CrossRef] [PubMed]
- Chen, P.; Guo, Z.; Chen, F.; Wu, Y.; Zhou, B. Recent Advances and Perspectives on the Health Benefits of Urolithin B, A Bioactive Natural Product Derived From Ellagitannins. Front. Pharmacol. 2022, 13, 917266. [Google Scholar] [CrossRef] [PubMed]
- Muscolo, A.; Mariateresa, O.; Giulio, T.; Mariateresa, R. Oxidative Stress: The Role of Antioxidant Phytochemicals in the Prevention and Treatment of Diseases. Int. J. Mol. Sci. 2024, 25, 3264. [Google Scholar] [CrossRef]
- Li, Q.; Li, K.; Chen, Z.; Zhou, B. Anti-renal fibrosis and anti-inflammation effect of urolithin B, ellagitannin-gut microbial-derived metabolites in unilateral ureteral obstruction rats. J. Funct. Foods 2020, 65, 103748. [Google Scholar] [CrossRef]
- Yu, Z.; Zhang, X.; Zhao, Q.; Yan, X.; Wu, C.; Qing, L.; He, Z.; Chen, Q.; Huang, M.; Zhao, J.; et al. Urolithin B alleviates Helicobacter pylori-induced inflammation and oxidative stress in mice. Helicobacter 2023, 28, e13016. [Google Scholar] [CrossRef]
- Xue, H.; Zhou, H.; Lou, Q.; Yuan, P.; Feng, Z.; Qiao, L.; Zhang, J.; Xie, H.; Shen, Y.; Ma, Q.; et al. Urolithin B reduces cartilage degeneration and alleviates osteoarthritis by inhibiting inflammation. Food Funct. 2024, 15, 3552–3565. [Google Scholar] [CrossRef] [PubMed]
- Cisneros-Zevallos, L.; Bang, W.Y.; Delgadillo-Puga, C. Ellagic Acid and Urolithins A and B Differentially Regulate Fat Accumulation and Inflammation in 3T3-L1 Adipocytes While Not Affecting Adipogenesis and Insulin Sensitivity. Int. J. Mol. Sci. 2020, 21, 2086. [Google Scholar] [CrossRef] [PubMed]
- Gijbels, E.; Pieters, A.; De Muynck, K.; Vinken, M.; Devisscher, L. Rodent models of cholestatic liver disease: A practical guide for translational research. Liver Int. 2021, 41, 656–682. [Google Scholar] [CrossRef] [PubMed]
- Tanaka, N.; Matsubara, T.; Krausz, K.W.; Patterson, A.D.; Gonzalez, F.J. Disruption of phospholipid and bile acid homeostasis in mice with nonalcoholic steatohepatitis induced by a methionine-choline-deficient diet and ANIT treatment. Toxicol. Appl. Pharmacol. 2012, 261, 364–376. [Google Scholar] [CrossRef]
- Khayat, M.T.; Mohammad, K.A.; Mohamed, G.A.; El-Agamy, D.S.; Elsaed, W.M.; Ibrahim, S.R.M. γ-Mangostin abrogates AINT-induced cholestatic liver injury: Impact on Nrf2/NF-κB/NLRP3/Caspase-1/IL-1β/GSDMD signalling. Life Sci. 2023, 322, 121663. [Google Scholar] [CrossRef]
- Chen, P.; Chen, F.; Lei, J.; Zhou, B. Gut microbial metabolite urolithin B attenuates intestinal immunity function in vivo in aging mice and in vitro in HT29 cells by regulating oxidative stress and inflammatory signalling. Food Funct. 2021, 12, 11938–11955. [Google Scholar] [CrossRef]
- Elshal, M.; Abu-Elsaad, N.; El-Karef, A.; Ibrahim, T. Etanercept attenuates immune-mediated hepatitis induced by concanavalin A via differential regulation of the key effector cytokines of CD4+ T cells. Life Sci. 2021, 277, 119618. [Google Scholar] [CrossRef]
- Ishak, K.; Baptista, A.; Bianchi, L.; Callea, F.; De Groote, J.; Gudat, F.; Denk, H.; Desmet, V.; Korb, G.; MacSween, R.N.M. Histological grading and staging of chronic hepatitis. J. Hepatol. 1995, 22, 696–699. [Google Scholar] [CrossRef]
- Chen, G.; Wang, S.; Bie, P.; Li, X.; Dong, J. Endogenous bile salts are associated with bile duct injury in the rat liver transplantation model. Transplantation 2009, 87, 330–339. [Google Scholar] [CrossRef]
- Ramos-Vara, J.A. Technical aspects of immunohistochemistry. Vet. Pathol. 2005, 42, 405–426. [Google Scholar] [CrossRef]
- Wang, X.; Xiong, W.; Wang, X.; Qin, L.; Zhong, M.; Liu, Y.; Xiong, Y.; Yi, X.; Wang, X.; Zhang, H. Ursolic acid attenuates cholestasis through NRF2-mediated regulation of UGT2B7 and BSEP/MRP2. Naunyn-Schmiedeberg’s Arch. Pharmacol. 2024, 397, 2257–2267. [Google Scholar] [CrossRef] [PubMed]
- Zhao, L.; Zhang, S.L.; Tao, J.Y.; Jin, F.; Pang, R.; Guo, Y.J.; Ye, P.; Dong, J.H.; Zheng, G.H. Anti-inflammatory mechanism of a folk herbal medicine, Duchesnea indica (Andr) Focke at RAW264. 7 cell line. Immunol. Investig. 2008, 37, 339–357. [Google Scholar] [CrossRef] [PubMed]
- Fawzy, M.A.; Maher, S.A.; Bakkar, S.M.; El-Rehany, M.A.; Fathy, M. Pantoprazole attenuates MAPK (ERK1/2, JNK, p38)–NF-κB and apoptosis signaling pathways after renal ischemia/reperfusion injury in rats. Int. J. Mol. Sci. 2021, 22, 10669. [Google Scholar] [CrossRef]
- Zaki, M.Y.W.; Fathi, A.M.; Samir, S.; Eldafashi, N.; William, K.Y.; Nazmy, M.H.; Fathy, M.; Gill, U.S.; Shetty, S. Innate and adaptive immunopathogeneses in viral hepatitis; crucial determinants of hepatocellular carcinoma. Cancers 2022, 14, 1255. [Google Scholar] [CrossRef]
- Zhao, Q.; Yang, R.; Wang, J.; Hu, D.D.; Li, F. PPARα activation protects against cholestatic liver injury. Sci. Rep. 2017, 7, 9967. [Google Scholar] [CrossRef]
- Lesage, G.; Glaser, S.; Ueno, Y.; Alvaro, D.; Baiocchi, L.; Kanno, N.; Phinizy, J.L.; Francis, H.; Alpini, G. Regression of cholangiocyte proliferation after cessation of ANIT feeding is coupled with increased apoptosis. Am. J. Physiol.-Gastrointest. Liver Physiol. 2001, 281, G182–G190. [Google Scholar] [CrossRef]
- Hua, W.; Zhang, S.; Lu, Q.; Sun, Y.; Tan, S.; Chen, F.; Tang, L. Protective effects of n-Butanol extract and iridoid glycosides of Veronica ciliata Fisch. Against ANIT-induced cholestatic liver injury in mice. J. Ethnopharmacol. 2021, 266, 113432. [Google Scholar] [CrossRef]
- Li, Z.W.; Tang, H.; Chen, X.X.; Li, X.X.; Xu, H.H.; Chen, M.H.; Ba, H.J.; Lin, Q.; Dai, J.X.; Cai, J.Y.; et al. Urolithin B Attenuates Cerebral Ischemia-reperfusion Injury by Modulating Nrf2-regulated Anti-oxidation in Rats. Neuroscience 2024, 538, 46–58. [Google Scholar] [CrossRef]
- Yang, L.; Palliyaguru, D.L.; Kensler, T.W. Frugal chemoprevention: Targeting Nrf2 with foods rich in sulforaphane. Semin. Oncol. 2016, 43, 146–153. [Google Scholar] [CrossRef]
- Baird, L.; Yamamoto, M. The Molecular Mechanisms Regulating the KEAP1-NRF2 Pathway. Mol. Cell. Biol. 2020, 40, 99. [Google Scholar] [CrossRef] [PubMed]
- Huang, J.; Feng, X.; Zeng, J.; Zhang, S.; Zhang, J.; Guo, P.; Yu, H.; Sun, M.; Wu, J.; Li, M.; et al. Aberrant HO-1/NQO1-Reactive Oxygen Species-ERK Signaling Pathway Contributes to Aggravation of TPA-Induced Irritant Contact Dermatitis in Nrf2-Deficient Mice. J. Immunol. 2022, 208, 1424–1433. [Google Scholar] [CrossRef] [PubMed]
- Sekine, H.; Okazaki, K.; Ota, N.; Shima, H.; Katoh, Y.; Suzuki, N.; Igarashi, K.; Ito, M.; Motohashi, H.; Yamamoto, M. The mediator subunit MED16 transduces NRF2-activating signals into antioxidant gene expression. Mol. Cell. Biol. 2016, 36, 407–420. [Google Scholar] [CrossRef] [PubMed]
- Yu, L.; Liu, X.; Yuan, Z.; Li, X.; Yang, H.; Yuan, Z.; Sun, L.; Zhang, L.; Jiang, Z. SRT1720 Alleviates ANIT-Induced Cholestasis in a Mouse Model. Front. Pharmacol. 2017, 8, 256. [Google Scholar] [CrossRef] [PubMed]
- He, L.; Guo, C.; Peng, C.; Li, Y. Advances of natural activators for Nrf2 signaling pathway on cholestatic liver injury protection: A review. Eur. J. Pharmacol. 2021, 910, 174447. [Google Scholar] [CrossRef]
- Akhtar, M.; Guo, S.; Guo, Y.F.; Zahoor, A.; Shaukat, A.; Chen, Y.; Umar, T.; Deng, P.G.; Guo, M. Upregulated-gene expression of pro-inflammatory cytokines (TNF-α, IL-1β, and IL-6) via TLRs following NF-κB and MAPKs in bovine mastitis. Acta Trop. 2020, 207, 105458. [Google Scholar] [CrossRef]
- Pan, H.; Wang, H.; Wang, X.; Zhu, L.; Mao, L. The absence of Nrf2 enhances NF-κB-dependent inflammation following scratch injury in mouse primary cultured astrocytes. Mediat. Inflamm. 2012, 2012, 217580. [Google Scholar] [CrossRef]
- Yerra, V.G.; Negi, G.; Sharma, S.S.; Kumar, A. Potential therapeutic effects of the simultaneous targeting of the Nrf2 and NF-κB pathways in diabetic neuropathy. Redox Biol. 2013, 1, 394–397. [Google Scholar] [CrossRef]
- Wardyn, J.D.; Ponsford, A.H.; Sanderson, C.M. Dissecting molecular cross-talk between Nrf2 and NF-κB response pathways. Biochem. Soc. Trans. 2015, 43, 621–626. [Google Scholar] [CrossRef] [PubMed]
- Mosaoa, R.M.; Al-Rabia, M.W.; Asfour, H.Z.; Alhakamy, N.A.; Mansouri, R.A.; El-Agamy, D.S.; Abdulaal, W.H.; Mohamed, G.A.; Ibrahim, S.R.M.; Elshal, M. Targeting SIRT1/AMPK/Nrf2/NF-κB by sitagliptin protects against oxidative stress-mediated ER stress and inflammation during ANIT-induced cholestatic liver injury. Toxicology 2024, 507, 153889. [Google Scholar] [CrossRef]
- Fawzy, M.A.; Nasr, G.; Ali, F.E.M.; Fathy, M. Quercetin potentiates the hepatoprotective effect of sildenafil and/or pentoxifylline against intrahepatic cholestasis: Role of Nrf2/ARE, TLR4/NF-κB, and NLRP3/IL-1β signaling pathways. Life Sci. 2023, 314, 121343. [Google Scholar] [CrossRef]
- Abdulaal, W.H.; Mosaoa, R.M.; El-Agamy, D.S.; Mansouri, R.A.; Alhakamy, N.A.; Asfour, H.Z.; Mohamed, G.A.; Ibrahim, S.R.M.; Elshal, M. Pirfenidone ameliorates ANIT-induced cholestatic liver injury via modulation of FXR, NF-κB/TNF-α, and Wnt/GSK-3β/β-catenin signaling pathways. Toxicol. Appl. Pharmacol. 2024, 490, 117038. [Google Scholar] [CrossRef]
- Al-Rabia, M.W.; Mosaoa, R.M.; Asfour, H.Z.; Alhakamy, N.A.; Abdulaal, W.H.; El-Agamy, D.S.; Mohamed, G.A.; Ibrahim, S.R.M.; Elshal, M. Urolithin B as a renoprotective agent against 5-fluorouracil-induced nephrotoxicity: Role of Nrf2/Keap1/HO-1, SIRT1/FOXO3, and NF-κB/TNF-α signaling pathways. Food Chem. Toxicol. 2025, 195, 115129. [Google Scholar] [CrossRef]
- Lee, G.; Park, J.-S.; Lee, E.-J.; Ahn, J.-H.; Kim, H.-S. Anti-inflammatory and antioxidant mechanisms of urolithin B in activated microglia. Phytomedicine 2019, 55, 50–57. [Google Scholar] [CrossRef]
- Muzio, G.; Barrera, G.; Pizzimenti, S. Peroxisome Proliferator-Activated Receptors (PPARs) and Oxidative Stress in Physiological Conditions and in Cancer. Antioxidants 2021, 10, 11. [Google Scholar] [CrossRef]
- Zheng, Y.; Shao, M.; Zheng, Y.; Sun, W.; Qin, S.; Sun, Z.; Zhu, L.; Guan, Y.; Wang, Q.; Wang, Y.; et al. PPARs in atherosclerosis: The spatial and temporal features from mechanism to druggable targets. J. Adv. Res. 2025, 69, 225–244. [Google Scholar] [CrossRef] [PubMed]
- Zhang, N.; Chu, E.S.; Zhang, J.; Li, X.; Liang, Q.; Chen, J.; Chen, M.; Teoh, N.; Farrell, G.; Sung, J.J.; et al. Peroxisome proliferator-activated receptor alpha inhibits hepatocarcinogenesis through mediating NF-κB signaling pathway. Oncotarget 2014, 5, 8330–8340. [Google Scholar] [CrossRef]
- Hua, H.; Dai, M.; Luo, Y.; Lin, H.; Xu, G.; Hu, X.; Xu, L.; Zhang, H.; Tang, Z.; Chang, L.; et al. Basal PPARα inhibits bile acid metabolism adaptation in chronic cholestatic model induced by α-naphthylisothiocyanate. Toxicol. Lett. 2019, 300, 31–39. [Google Scholar] [CrossRef] [PubMed]
- Dai, M.; Yang, J.; Xie, M.; Lin, J.; Luo, M.; Hua, H.; Xu, G.; Lin, H.; Song, D.; Cheng, Y.; et al. Targeted Metabolomics Reveals a Protective Role for Basal PPARα in Cholestasis Induced by α-Naphthylisothiocyanate. J. Proteome Res. 2018, 17, 1500–1508. [Google Scholar] [CrossRef]
- Dai, M.; Yang, J.; Xie, M.; Lin, J.; Luo, M.; Hua, H.; Xu, G.; Lin, H.; Song, D.; Cheng, Y.; et al. Inhibition of JNK signalling mediates PPARα-dependent protection against intrahepatic cholestasis by fenofibrate. Br. J. Pharmacol. 2017, 174, 3000–3017. [Google Scholar] [CrossRef] [PubMed]
- Ye, X.; Zhang, T.; Han, H. PPARα: A potential therapeutic target of cholestasis. Front. Pharmacol. 2022, 13, 916866. [Google Scholar] [CrossRef]
- Abdulrahman, A.O.; Kuerban, A.; Alshehri, Z.A.; Abdulaal, W.H.; Khan, J.A.; Khan, M.I. Urolithins attenuate multiple symptoms of obesity in rats fed on a high-fat diet. Diabetes Metab. Syndr. Obes. 2020, 13, 3337–3348. [Google Scholar] [CrossRef]
- Alpini, G.; Ueno, Y.; Glaser, S.S.; Marzioni, M.; Phinizy, J.L.; Francis, H.; Lesage, G. Bile acid feeding increased proliferative activity and apical bile acid transporter expression in both small and large rat cholangiocytes. Hepatology 2001, 34, 868–876. [Google Scholar] [CrossRef]
- Sackett, S.D.; Gao, Y.; Shin, S.; Esterson, Y.B.; Tsingalia, A.; Hurtt, R.S.; Brondell, K.; Kaestner, K.H.; Greenbaum, L.E. Foxl1 promotes liver repair following cholestatic injury in mice. Lab. Investig. 2009, 89, 1387–1396. [Google Scholar] [CrossRef]
- Khamphaya, T.; Chansela, P.; Piyachaturawat, P.; Suksamrarn, A.; Nathanson, M.H.; Weerachayaphorn, J. Effects of andrographolide on intrahepatic cholestasis induced by alpha-naphthylisothiocyanate in rats. Eur. J. Pharmacol. 2016, 789, 254–264. [Google Scholar] [CrossRef] [PubMed]
- Tousson, E.; Ali, E.M.M.; Moustafa, A.H.A.; Moselhey, S.S.; El-Said, K.S. Proliferating Cell Nuclear Antigen as A Biomarker for Thioacetamide Induced Hepatotoxicity of Rat Liver. Am. J. Zool. Res. 2014, 2, 51–54. [Google Scholar] [CrossRef]
- Yao, J.; Zhao, L.; Zhao, Q.; Zhao, Y.; Sun, Y.; Zhang, Y.; Miao, H.; You, Q.D.; Hu, R.; Guo, Q.L. NF-κB and Nrf2 signaling pathways contribute to wogonin-mediated inhibition of inflammation-associated colorectal carcinogenesis. Cell Death Dis. 2014, 5, e1283. [Google Scholar] [CrossRef] [PubMed]
- Abdulaal, W.H.; Omar, U.M.; Zeyadi, M.; El-Agamy, D.S.; Alhakamy, N.A.; Ibrahim, S.R.M.; Almalki, N.A.R.; Asfour, H.Z.; Al-Rabia, M.W.; Mohamed, G.A.; et al. Modulation of the crosstalk between Keap1/Nrf2/HO-1 and NF-κB signaling pathways by Tomatidine protects against inflammation/oxidative stress-driven fulminant hepatic failure in mice. Int. Immunopharmacol. 2024, 130, 111732. [Google Scholar] [CrossRef]
- Wang, L.; Chen, J.; Chen, Q.; Song, H.; Wang, Z.; Xing, W.; Jin, S.; Song, X.; Yang, H.; Zhao, W. The Gut Microbiota Metabolite Urolithin B Prevents Colorectal Carcinogenesis by Remodeling Microbiota and PD-L1/HLA-B. Oxidative Med. Cell. Longev. 2023, 2023, 6480848. [Google Scholar] [CrossRef]








Disclaimer/Publisher’s Note: The statements, opinions and data contained in all publications are solely those of the individual author(s) and contributor(s) and not of MDPI and/or the editor(s). MDPI and/or the editor(s) disclaim responsibility for any injury to people or property resulting from any ideas, methods, instructions or products referred to in the content. |
© 2025 by the authors. Licensee MDPI, Basel, Switzerland. This article is an open access article distributed under the terms and conditions of the Creative Commons Attribution (CC BY) license (https://creativecommons.org/licenses/by/4.0/).
Share and Cite
Alrawili, H.M.; Elshal, M.; Serrya, M.S.; El-Agamy, D.S. The Gut Microbiota Metabolite Urolithin B Mitigates Cholestatic Liver Injury in Mice via Modulating the Crosstalk Between PPARα, Nrf2, and NF-κB Signaling Pathways. J. Xenobiot. 2025, 15, 128. https://doi.org/10.3390/jox15040128
Alrawili HM, Elshal M, Serrya MS, El-Agamy DS. The Gut Microbiota Metabolite Urolithin B Mitigates Cholestatic Liver Injury in Mice via Modulating the Crosstalk Between PPARα, Nrf2, and NF-κB Signaling Pathways. Journal of Xenobiotics. 2025; 15(4):128. https://doi.org/10.3390/jox15040128
Chicago/Turabian StyleAlrawili, Hani M., Mahmoud Elshal, Marwa S. Serrya, and Dina S. El-Agamy. 2025. "The Gut Microbiota Metabolite Urolithin B Mitigates Cholestatic Liver Injury in Mice via Modulating the Crosstalk Between PPARα, Nrf2, and NF-κB Signaling Pathways" Journal of Xenobiotics 15, no. 4: 128. https://doi.org/10.3390/jox15040128
APA StyleAlrawili, H. M., Elshal, M., Serrya, M. S., & El-Agamy, D. S. (2025). The Gut Microbiota Metabolite Urolithin B Mitigates Cholestatic Liver Injury in Mice via Modulating the Crosstalk Between PPARα, Nrf2, and NF-κB Signaling Pathways. Journal of Xenobiotics, 15(4), 128. https://doi.org/10.3390/jox15040128

