Modified Tension Band Wiring Using Only Non-Absorbable Braided Polyblend Sutures for the Treatment of Patellar Fractures
Abstract
1. Introduction
2. Materials and Methods
2.1. Surgical Technique
2.2. Post-Operative Care
2.3. Patients
- -
- The time between the trauma and the surgery not exceeding 10 days;
- -
- Patients with at least 18 months of follow-up.
- -
- The exclusion criteria were:
- -
- Non-union patellar fractures;
- -
- The failure of previous treatment (i.e., metal cerclages);
- -
- Previous total knee replacement of the same joint;
- -
- Morphological alterations of the knee due to genetic anomalies or previous trauma.
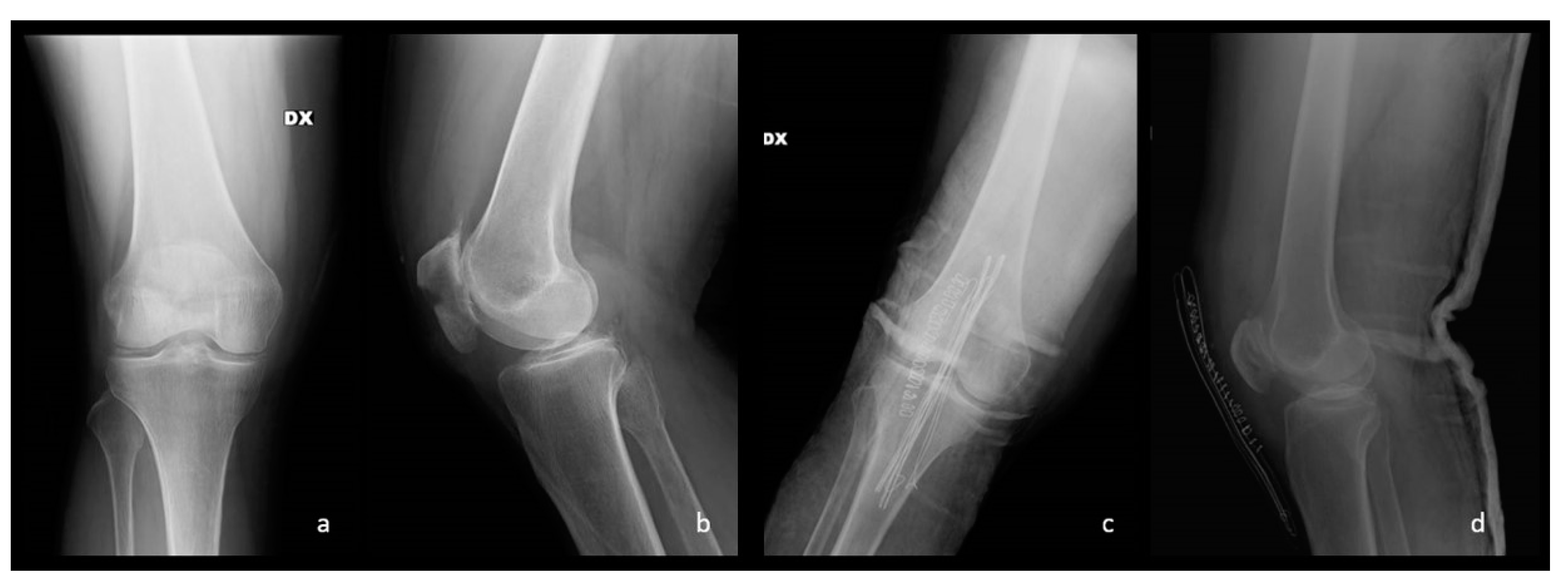
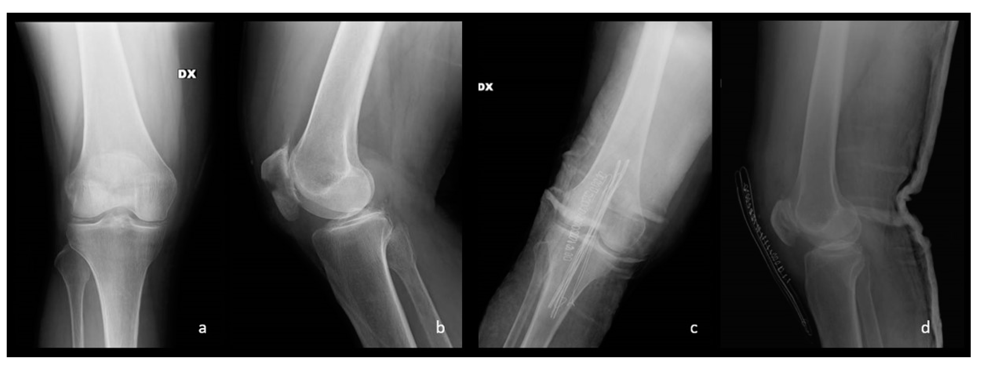
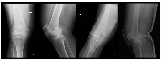
3. Results
4. Discussion
5. Conclusions
Supplementary Materials
Author Contributions
Funding
Informed Consent Statement
Data Availability Statement
Conflicts of Interest
References
- Lo, C.Y.; Lui, T.H.; Sit, Y.K. Split Fracture: A Complication of Cerclage Wiring of Acute Patellar Fracture. Arch. Trauma. Res. 2014, 3, e20556. [Google Scholar] [CrossRef] [PubMed]
- Gwinner, C.; Märdian, S.; Schwabe, P.; Schaser, K.-D.; Krapohl, B.D.; Jung, T.M. Current Concepts Review: Fractures of the Patella. GMS Interdiscip. Plast. Reconstr. Surg. DGPW 2016, 5, Doc01. [Google Scholar] [CrossRef]
- Steinmetz, S.; Brügger, A.; Chauveau, J.; Chevalley, F.; Borens, O.; Thein, E. Practical Guidelines for the Treatment of Patellar Fractures in Adults. Swiss Med. Wkly. 2020, 150, w20165. [Google Scholar] [CrossRef] [PubMed]
- Camarda, L.; Morello, S.; Balistreri, F.; D’Arienzo, A.; D’Arienzo, M. Non-Metallic Implant for Patellar Fracture Fixation: A Systematic Review. Injury 2016, 47, 1613–1617. [Google Scholar] [CrossRef]
- Camarda, L.; La Gattuta, A.; Butera, M.; Siragusa, F.; D’Arienzo, M. FiberWire Tension Band for Patellar Fractures. J. Orthop. Traumatol. 2016, 17, 75–80. [Google Scholar] [CrossRef] [PubMed]
- Hughes, S.C.A.; Stott, P.M.; Hearnden, A.J.; Ripley, L.G. A New and Effective Tension-Band Braided Polyester Suture Technique for Transverse Patellar Fracture Fixation. Injury 2007, 38, 212–222. [Google Scholar] [CrossRef] [PubMed]
- Heusinkveld, M.H.G.; den Hamer, A.; Traa, W.A.; Oomen, P.J.A.; Maffulli, N. Treatment of Transverse Patellar Fractures: A Comparison between Metallic and Non-Metallic Implants. Br. Med. Bull. 2013, 107, 69–85. [Google Scholar] [CrossRef]
- Wright, P.B.; Kosmopoulos, V.; Coté, R.E.; Tayag, T.J.; Nana, A.D. FiberWire® Is Superior in Strength to Stainless Steel Wire for Tension Band Fixation of Transverse Patellar Fractures. Injury 2009, 40, 1200–1203. [Google Scholar] [CrossRef] [PubMed]
- Bonneric, M.; Aubin, V.; Durville, D. Fatigue Damage Mechanisms in Steel Cable under Bending Loading. Eng. Fail. Anal. 2019, 106, 104184. [Google Scholar] [CrossRef]
- Toro, G.; De Cicco, A.; Braile, A.; Landi, G.; Schiavone Panni, A. New Insights on Metal Allergy in Total Joint Arthroplasty. J. Biol. Regul. Homeost. Agents 2020, 34, 125–130. [Google Scholar]
- Lee, B.-J.; Chon, J.; Yoon, J.-Y.; Jung, D. Modified Tension Band Wiring Using FiberWire for Patellar Fractures. Clin. Orthop. Surg. 2019, 11, 244–248. [Google Scholar] [CrossRef] [PubMed]
- Egol, K.; Howard, D.; Monroy, A.; Crespo, A.; Tejwani, N.; Davidovitch, R. Patella Fracture Fixation with Suture and Wire: You Reap What You Sew. Iowa Orthop. J. 2014, 34, 63–67. [Google Scholar] [PubMed]
- Fortis, A.P.; Milis, Z.; Kostopoulos, V.; Tsantzalis, S.; Kormas, P.; Tzinieris, N.; Boudouris, T. Experimental Investigation of the Tension Band in Fractures of the Patella. Injury 2002, 33, 489–493. [Google Scholar] [CrossRef] [PubMed]
- Shea, G.K.-H.; Hoi-Ting So, K.; Tam, K.-W.; Yee, D.K.-H.; Fang, C.; Leung, F. Comparing 3 Different Techniques of Patella Fracture Fixation and Their Complications. Geriatr. Orthop. Surg. Rehabil. 2019, 10, 215145931982714. [Google Scholar] [CrossRef] [PubMed]
- Itthipanichpong, T.; Moonwong, S.; Thamrongskulsiri, N.; Prasathaporn, N.; Kuptniratsaikul, S.; Tegner, Y.; Lysholm, J.; Tanpowpong, T. Validity and Reliability of the Thai Versions of the Lysholm Knee Scoring Scale and Tegner Activity Scale. Orthop. J. Sports Med. 2023, 11, 23259671221149785. [Google Scholar] [CrossRef] [PubMed]
- Buschbeck, S.; Götz, K.; Klug, A.; Barzen, S.; Gramlich, Y.; Hoffmann, R. Comminuted AO-C3 Fractures of the Patella: Good Outcome Using Anatomically Contoured Locking Plate Fixation. Int. Orthop. 2022, 46, 1395–1403. [Google Scholar] [CrossRef]
- Tengler, M.B.; Lill, H.; Wente, M.; Ellwein, A. Anterior Locking Plate Osteosynthesis of Patellar Factures—Analysis of Complications and Functional Outcome. Z. Orthop. Unf. 2022, 160, 549–558. [Google Scholar] [CrossRef] [PubMed]
- Xie, X.; Zhu, Y.; Wang, Y.; Zhan, Y.; Eladio, S.-S.; Luo, C. Multi-Planar Fixation of Displaced, Multi-Fragmentary Patella Fractures in Elderly Patients with Anterior Locking Plates and Cerclage Wires: Preliminary Results. Eur. J. Orthop. Surg. Traumatol. 2023, 33, 2253–2260. [Google Scholar] [CrossRef]
- Neumann-Langen, M.V.; Sontheimer, V.; Näscher, J.; Izadpanah, K.; Schmal, H.; Kubosch, E.J. Incidence of Postoperative Complications in Patellar Fractures Related to Different Methods of Osteosynthesis Procedures—A Retrospective Cohort Study. BMC Musculoskelet. Disord. 2023, 24, 871. [Google Scholar] [CrossRef]
- Najibi, S.; Banglmeier, R.; Matta, J.; Tannast, M. Material Properties of Common Suture Materials in Orthopaedic Surgery. Iowa Orthop. J. 2010, 30, 84–88. [Google Scholar]
- Swensen, S.; Fisher, N.; Atanda, A.; Egol, K.A. Suture Repair of a Pole Patella Fracture. J. Orthop. Trauma. 2017, 31 (Suppl. S3), S28–S29. [Google Scholar] [CrossRef] [PubMed]
- Buezo, O.; Cuscó, X.; Seijas, R.; Sallent, A.; Ares, O.; Álvarez-Díaz, P.; Cugat, R. Patellar Fractures: An Innovative Surgical Technique With Transosseous Suture to Avoid Implant Removal. Surg. Innov. 2015, 22, 474–478. [Google Scholar] [CrossRef] [PubMed]
- Wierer, G.; Winkler, P.W.; Pomwenger, W.; Plachel, F.; Moroder, P.; Seitlinger, G. Transpatellar Bone Tunnels Perforating the Lateral or Anterior Cortex Increase the Risk of Patellar Fracture in MPFL Reconstruction: A Finite Element Analysis and Survey of the International Patellofemoral Study Group. Knee Surg. Sports Traumatol. Arthrosc. 2022, 30, 1620–1628. [Google Scholar] [CrossRef]
- O’Donnell, R.; Lemme, N.J.; Marcaccio, S.; Walsh, D.F.; Shah, K.N.; Owens, B.D.; DeFroda, S.F. Suture Anchor Versus Transosseous Tunnel Repair for Inferior Pole Patellar Fractures Treated With Partial Patellectomy and Tendon Advancement: A Biomechanical Study. Orthop. J. Sports Med. 2021, 9, 232596712110222. [Google Scholar] [CrossRef] [PubMed]
- Bonazza, N.A.; Lewis, G.S.; Lukosius, E.Z.; Roush, E.P.; Black, K.P.; Dhawan, A. Effect of Transosseous Tunnels on Patella Fracture Risk After Medial Patellofemoral Ligament Reconstruction: A Cadaveric Study. Arthrosc. J. Arthrosc. Relat. Surg. 2018, 34, 513–518. [Google Scholar] [CrossRef]
- Bukva, B.; D’Hooghe, P.; Poberaj, B.; Alkhelaifi, K.; Hutchinson, M.; Landreau, P. A Combined Tension-Band Braided Polyester and Suture Button Technique Is a Valuable Treatment Alternative for Transverse Patellar Fractures in Athletes. Musculoskelet. Surg. 2019, 103, 283–287. [Google Scholar] [CrossRef]
- Trinchese, G.F.; Cipollaro, L.; Calabrese, E.; Maffulli, N. Platelet-Rich Plasma, Mesenchymal Stem Cell, and Non-Metallic Suture-Based Fixation Technique in a Patellar Fracture Nonunion: A Technical Note and Systematic Review. Clin. Orthop. Surg. 2021, 13, 344–351. [Google Scholar] [CrossRef]








| Patient | Gender | Age | Type of Fracture | Lysholm | IKDC |
|---|---|---|---|---|---|
| 1 | M | 20 | Transverse | 100 | 92 |
| 2 | M | 53 | Comminuted | 88 | 78 |
| 3 | F | 66 | Transverse | 92 | 85 |
| 4 | F | 75 | Transverse | 86 | 80 |
| 5 | M | 45 | Transverse | 95 | 87 |
| 6 | F | 53 | Transverse | 100 | 93 |
| 7 | M | 55 | Transverse | 100 | 92 |
| 8 | F | 61 | Comminuted | 76 | 78 |
| 9 | M | 66 | Inferior pole | 89 | 81 |
| 10 | M | 50 | Transverse | 93 | 85 |
Disclaimer/Publisher’s Note: The statements, opinions and data contained in all publications are solely those of the individual author(s) and contributor(s) and not of MDPI and/or the editor(s). MDPI and/or the editor(s) disclaim responsibility for any injury to people or property resulting from any ideas, methods, instructions or products referred to in the content. |
© 2024 by the authors. Licensee MDPI, Basel, Switzerland. This article is an open access article distributed under the terms and conditions of the Creative Commons Attribution (CC BY) license (https://creativecommons.org/licenses/by/4.0/).
Share and Cite
Itro, A.; De Cicco, A.; Conza, G.; Schiavo, L.; Garofalo, N.; Braile, A.; Nappi, F.; Toro, G. Modified Tension Band Wiring Using Only Non-Absorbable Braided Polyblend Sutures for the Treatment of Patellar Fractures. Surg. Tech. Dev. 2024, 13, 227-236. https://doi.org/10.3390/std13020015
Itro A, De Cicco A, Conza G, Schiavo L, Garofalo N, Braile A, Nappi F, Toro G. Modified Tension Band Wiring Using Only Non-Absorbable Braided Polyblend Sutures for the Treatment of Patellar Fractures. Surgical Techniques Development. 2024; 13(2):227-236. https://doi.org/10.3390/std13020015
Chicago/Turabian StyleItro, Annalisa, Annalisa De Cicco, Gianluca Conza, Luca Schiavo, Niccolò Garofalo, Adriano Braile, Francesco Nappi, and Giuseppe Toro. 2024. "Modified Tension Band Wiring Using Only Non-Absorbable Braided Polyblend Sutures for the Treatment of Patellar Fractures" Surgical Techniques Development 13, no. 2: 227-236. https://doi.org/10.3390/std13020015
APA StyleItro, A., De Cicco, A., Conza, G., Schiavo, L., Garofalo, N., Braile, A., Nappi, F., & Toro, G. (2024). Modified Tension Band Wiring Using Only Non-Absorbable Braided Polyblend Sutures for the Treatment of Patellar Fractures. Surgical Techniques Development, 13(2), 227-236. https://doi.org/10.3390/std13020015

