Angioimmunoblastic T-Cell Lymphoma after Treatment of Classic Hodgkin Lymphoma: A Case Report
Abstract
:1. Introduction
2. Case Presentation
3. Materials and Methods
3.1. Immunohistochemical Stains
3.2. In Situ Hybridization for Epstein–Barr Virus-Encoded RNA (EBER)
3.3. Polymerase Chain Reaction (PCR) for the Detection of Immunoglobulin Heavy Chain (IgVH) Rearrangements and T-Cell Receptor Gamma Chain (TCRɤ) Rearrangements
4. Pathological Presentation
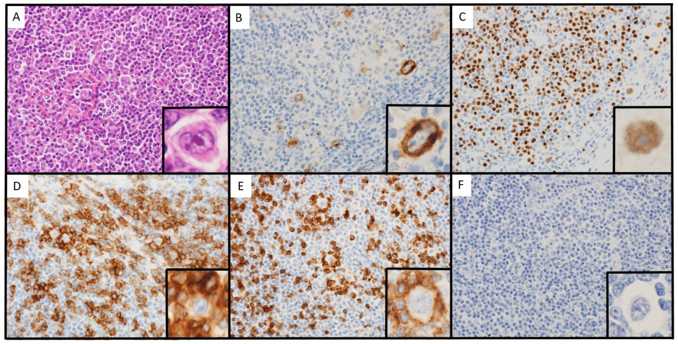
4.1. Biopsy 1 (Biopsy Specimen of a Cervical Lymph Node at the First Onset)
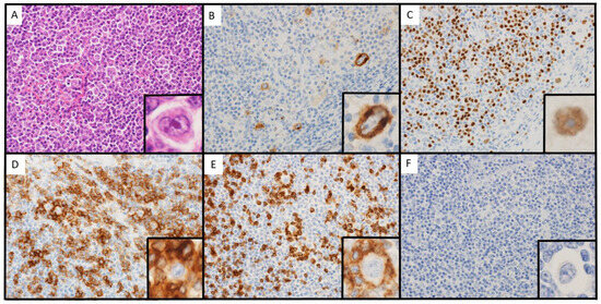
4.2. Biopsy 2 (Biopsy Specimen of a Cervical Lymph Node at the First Recurrence)
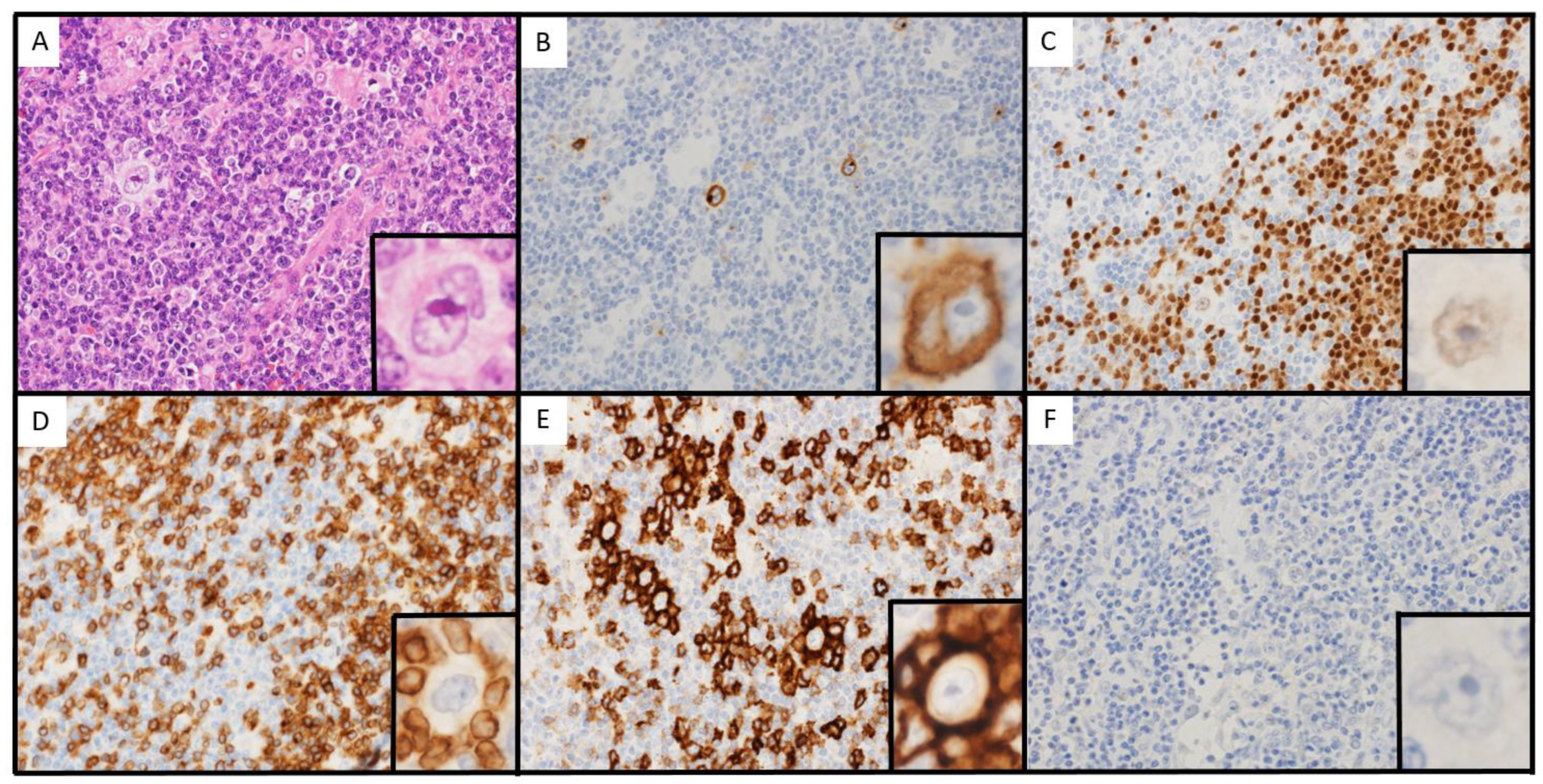
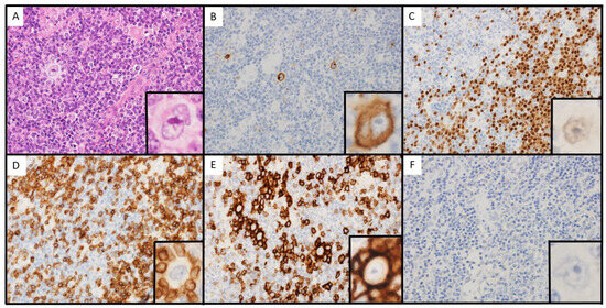
4.3. Biopsy 3 (Biopsy Specimen of a Supraclavicular Lymph Node When the Recurrence of LR-CHL Was Suspected)
5. Discussion
6. Conclusions
Author Contributions
Funding
Institutional Review Board Statement
Informed Consent Statement
Data Availability Statement
Acknowledgments
Conflicts of Interest
References
- Eichenauer, D.A.; Aleman, B.M.P.; André, M.; Federico, M.; Hutchings, M.; Illidge, T.; Engert, A.; Ladetto, M.; ESMO Guidelines Committee. Hodgkin lymphoma: ESMO Clinical Practice Guidelines for diagnosis, treatment and follow-up. Ann. Oncol. 2018, 29 (Suppl. S4), 19–29. [Google Scholar] [CrossRef]
- Ansell, S.M. Hodgkin lymphoma: A 2020 update on diagnosis, risk-stratification, and management. Am. J. Hematol. 2020, 95, 978–989. [Google Scholar] [CrossRef] [PubMed]
- Borchmann, P.; Eichenauer, D.A.; Engert, A. State of the art in the treatment of Hodgkin lymphoma. Nat. Rev. Clin. Oncol. 2012, 9, 450–459. [Google Scholar] [CrossRef] [PubMed]
- Shimabukuro-Vornhagen, A.; Haverkamp, H.; Engert, A.; Balleisen, L.; Majunke, P.; Heil, G.; Eich, H.T.; Stein, H.; Diehl, V.; Josting, A. Lymphocyte-rich classical Hodgkin’s lymphoma: Clinical presentation and treatment outcome in 100 patients treated within German Hodgkin’s Study Group trials. J. Clin. Oncol. 2005, 23, 5739–5745. [Google Scholar] [CrossRef] [PubMed]
- Majhail, N.S.; Weisdorf, D.J.; Defor, T.E.; Miller, J.S.; McGlave, P.B.; Slungaard, A.; Arora, M.; Ramsay, N.K.; Orchard, P.J.; MacMillan, M.L.; et al. Long-term results of autologous stem cell transplantation for primary refractory or relapsed Hodgkin’s lymphoma. Biol. Blood Marrow Transplant. 2006, 12, 1065–1072. [Google Scholar] [CrossRef] [PubMed]
- Eichenauer, D.A.; Müller, H.; Elger, L.; Goergen, H.; Fuchs, M.; Kreissl, S.; Böll, B.; Diehl, V.; von Tresckow, B.; Borchmann, P.; et al. Non-Hodgkin lymphoma after treatment for classical Hodgkin lymphoma: A report from the German Hodgkin Study Group. Br. J. Haematol. 2021, 193, 515–519. [Google Scholar] [CrossRef] [PubMed]
- Eichenauer, D.A.; Becker, I.; Monsef, I.; Chadwick, N.; de Sanctis, V.; Federico, M.; Fortpied, C.; Gianni, A.M.; Henry-Amar, M.; Hoskin, P.; et al. Secondary malignant neoplasms, progression-free survival and overall survival in patients treated for Hodgkin lymphoma: A systematic review and meta-analysis of randomized clinical trials. Haematologica 2017, 102, 1748–1757. [Google Scholar] [CrossRef] [PubMed]
- Xavier, A.C.; Armeson, K.E.; Hill, E.G.; Costa, L.J. Risk and outcome of non-Hodgkin lymphoma among classical Hodgkin lymphoma survivors. Cancer 2013, 119, 3385–3392. [Google Scholar] [CrossRef] [PubMed]
- Swerdlow, S.H.; Campo, E.; Pileri, S.A.; Harris, N.L.; Stein, H.; Siebert, R.; Advani, R.; Ghielmini, M.; Salles, G.A.; Zelenetz, A.D.; et al. The 2016 revision of the World Health Organization classification of lymphoid neoplasms. Blood 2016, 127, 2375–2390. [Google Scholar] [CrossRef] [PubMed]
- Sugita, Y.; Hashimoto, G.; Fukuda, K.; Takahashi, K.; Shioga, T.; Furuta, T.; Arakawa, F.; Ohshima, K.; Nakamura, H.; Miyata, H.; et al. Primary nondural central nervous system marginal ZoneB-cell lymphoma of the mucosa-associated lymphoid tissue type mimicking CNS inflammatory diseases. J. Neuropathol. Exp. Neurol. 2021, 80, 789–799. [Google Scholar] [CrossRef] [PubMed]
- Nicolae, A.; Pittaluga, S.; Venkataraman, G.; Vijnovich-Baron, A.; Xi, L.; Raffeld, M.; Jaffe, E.S. Peripheral T-cell lymphomas of follicular T-helper cell derivation with Hodgkin/Reed-Sternberg cells of B-cell lineage: Both EBV-positive and EBV-negative variants exist. Am. J. Surg. Pathol. 2013, 37, 816–826. [Google Scholar] [CrossRef] [PubMed]
- Moroch, J.; Copie-Bergman, C.; de Leval, L.; Plonquet, A.; Martin-Garcia, N.; Delfau-Larue, M.H.; Molinier-Frenkel, V.; Belhadj, K.; Haioun, C.; Audouin, J.; et al. Follicular peripheral T-cell lymphoma expands the spectrum of classical Hodgkin lymphoma mimics. Am. J. Surg. Pathol. 2012, 36, 1636–1646. [Google Scholar] [CrossRef] [PubMed]
- Alikhan, M.; Song, J.Y.; Sohani, A.R.; Moroch, J.; Plonquet, A.; Duffield, A.S.; Borowitz, M.J.; Jiang, L.; Bueso-Ramos, C.; Inamdar, K.; et al. Peripheral T-cell lymphomas of follicular helper T-cell type frequently display an aberrant CD3 (−/dim)CD4 (+) population by flow cytometry: An important clue to the diagnosis of a Hodgkin lymphoma mimic. Mod. Pathol. 2016, 29, 1173–1182. [Google Scholar] [CrossRef] [PubMed]
- Sakakibara, A.; Suzuki, Y.; Kato, H.; Yamamoto, K.; Sakata-Yanagimoto, M.; Ishikawa, Y.; Furukawa, K.; Shimada, K.; Kohno, K.; Nakamura, S.; et al. Follicular T-cell lymphoma mimicking lymphocyte-rich classic Hodgkin lymphoma: A case report of a diagnostic pitfall. J. Clin. Exp. Hematop. 2021, 61, 97–101. [Google Scholar] [CrossRef] [PubMed]
- Attygalle, A.D.; Chuang, S.S.; Diss, T.C.; Du, M.Q.; Isaacson, P.G.; Dogan, A. Distinguishing angioimmunoblastic T-cell lymphoma from peripheral T-cell lymphoma, unspecified, using morphology, immunophenotype and molecular genetics. Histopathology 2007, 50, 498–508. [Google Scholar] [CrossRef] [PubMed]
- Tan, B.T.; Warnke, R.A.; Arber, D.A. The frequency of B- and T-cell gene rearrangements and Epstein-Barr virus in T-cell lymphomas: A comparison between angioimmunoblastic T-cell lymphoma and peripheral T-cell lymphoma, unspecified with and without associated B-cell proliferations. J. Mol. Diagn. 2006, 8, 466–475. [Google Scholar] [CrossRef] [PubMed]
- Mourad, N.; Mounier, N.; Brière, J.; Raffoux, E.; Delmer, A.; Feller, A.; Meijer, C.J.L.M.; Emile, J.-F.; Bouabdallah, R.; Bosly, A.; et al. Clinical, biologic, and pathologic features in 157 patients with angioimmunoblastic T-cell lymphoma treated within the Groupe d’Etude des Lymphomes de l’Adulte (GELA) trials. Blood 2008, 111, 4463–4470. [Google Scholar] [CrossRef] [PubMed]
- Lachenal, F.; Berger, F.; Ghesquières, H.; Biron, P.; Hot, A.; Callet-Bauchu, E.; Chassagne, C.; Coiffier, B.; Durieu, I.; Rousset, H.; et al. Angioimmunoblastic T-cell lymphoma: Clinical and laboratory features at diagnosis in 77 patients. Medicine 2007, 86, 282–292. [Google Scholar] [CrossRef] [PubMed]
- Kameoka, Y.; Takahashi, N.; Itou, S.; Kume, M.; Noji, H.; Kato, Y.; Ichikawa, Y.; Sasaki, O.; Motegi, M.; Ishiguro, A.; et al. Analysis of clinical characteristics and prognostic factors for angioimmunoblastic T-cell lymphoma. Int. J. Hematol. 2015, 101, 536–542. [Google Scholar] [CrossRef] [PubMed]




| Biopsy 1 | Biopsy 2 | Biopsy 3 | ||
|---|---|---|---|---|
| Clinical finding | Symptom | Lymphadenopathy | Lymphadenopathy | Lymphadenopathy |
| Localization of lesion | Cervix, supraclavicular fossa, mediastinum, inguen | Cervix | Cervix, supraclavicular fossa, mediastinum, axilla, inguen, para-aorta, liver hilum | |
| Stage (Ann Arbor) | IIIA | IA | IIIA | |
| Pathological finding | Pathological finding (HE) | Typical HRS cell (+), HEVs (−) eosinophil infiltration (−) | Typical HRS cell (+), HEVs (−) eosinophil infiltration (−) | Typical HRS cell (−), HEVs (+) eosinophil infiltration (+) |
| Pathological finding of HRS cells | CD3 (−), CD20 (−), CD30 (+) PAX5 (+), EBER (−) | CD3 (−), CD20 (−), CD30 (+), PAX5 (+), EBER (−) | No typical HRS cell | |
| Pathological finding of T cells | Atypia (−). Rosette formation on HRS cells (+). IHC: CD3 (+), CD4>CD8, PD-1 (partial +), ICOS (partial +) | Atypia (−). Rosette formation on HRS cells (+). IHC: CD3 (+), CD4>CD8, PD-1 (partial +), ICOS (partial +) | Atypia (+). IHC: CD3 (+), CD4 (+), CD8 (−), PD-1 (+), ICOS (+), CD10 (−), BCL6 (−). Irregular FDC (+) | |
| Gene rearrangement (PCR) | IgVH (+), TCRɤ (−) | IgVH (−), TCRɤ (−) | IgVH (+), TCRɤ (+) | |
| Diagnosis | Lymphocyte-rich classic Hodgkin lymphoma | Lymphocyte-rich classic Hodgkin lymphoma | Angioimmunoblastic T-cell lymphoma | |
| Clinical course | Treatment | BV + AVD | ICE + AHSCT → BV monotherapy | Watchful waiting |
| Therapeutic effect | PR → PD | CR | SD | |
| Time from first onset to recurrence (day) | First onset | 108 days | 482 days |
Disclaimer/Publisher’s Note: The statements, opinions and data contained in all publications are solely those of the individual author(s) and contributor(s) and not of MDPI and/or the editor(s). MDPI and/or the editor(s) disclaim responsibility for any injury to people or property resulting from any ideas, methods, instructions or products referred to in the content. |
© 2023 by the authors. Licensee MDPI, Basel, Switzerland. This article is an open access article distributed under the terms and conditions of the Creative Commons Attribution (CC BY) license (https://creativecommons.org/licenses/by/4.0/).
Share and Cite
Tanaka, K.; Miyoshi, H.; Yamashita, Y.; Iwamoto, R.; Yokoya, Y.; Tochino, Y.; Arakawa, F.; Tamura, S.; Murata, S.-I.; Sonoki, T.; et al. Angioimmunoblastic T-Cell Lymphoma after Treatment of Classic Hodgkin Lymphoma: A Case Report. Hematol. Rep. 2023, 15, 662-669. https://doi.org/10.3390/hematolrep15040067
Tanaka K, Miyoshi H, Yamashita Y, Iwamoto R, Yokoya Y, Tochino Y, Arakawa F, Tamura S, Murata S-I, Sonoki T, et al. Angioimmunoblastic T-Cell Lymphoma after Treatment of Classic Hodgkin Lymphoma: A Case Report. Hematology Reports. 2023; 15(4):662-669. https://doi.org/10.3390/hematolrep15040067
Chicago/Turabian StyleTanaka, Ken, Hiroaki Miyoshi, Yusuke Yamashita, Ryuta Iwamoto, Yuma Yokoya, Yuichi Tochino, Fumiko Arakawa, Shinobu Tamura, Shin-Ichi Murata, Takashi Sonoki, and et al. 2023. "Angioimmunoblastic T-Cell Lymphoma after Treatment of Classic Hodgkin Lymphoma: A Case Report" Hematology Reports 15, no. 4: 662-669. https://doi.org/10.3390/hematolrep15040067
APA StyleTanaka, K., Miyoshi, H., Yamashita, Y., Iwamoto, R., Yokoya, Y., Tochino, Y., Arakawa, F., Tamura, S., Murata, S.-I., Sonoki, T., & Ohshima, K. (2023). Angioimmunoblastic T-Cell Lymphoma after Treatment of Classic Hodgkin Lymphoma: A Case Report. Hematology Reports, 15(4), 662-669. https://doi.org/10.3390/hematolrep15040067

