You are currently viewing a new version of our website. To view the old version click .
Hematology Reports
  • Case Report
  • Open Access

6 June 2023

Splenic Rupture Secondary to Amyloidosis: A Case Report and Review of the Literature

,
,
,
,
,
,
and
1
The Arkadi M. Rywlin M.D. Department of Pathology and Laboratory Medicine, Mount Sinai Medical Center, Miami Beach, FL 33140, USA
2
Herbert Wertheim College of Medicine, Florida International University, Miami, FL 33199, USA
3
Department of Internal Medicine, Mount Sinai Medical Center, FL 33140, USA
4
Department of Internal Medicine, Division of Hematology and Oncology, Mount Sinai Medical Center, Miami Beach, FL 33140, USA

Abstract

Amyloidosis is a term describing the extracellular deposit of fibrils composed of subunits of several different normal serum proteins in various tissues. Amyloid light chain (AL) amyloidosis contains fibrils that are composed of fragments of monoclonal light chains. Many different disorders and conditions can lead to spontaneous splenic rupture, including AL amyloidosis. We present a case of a 64-year-old woman with spontaneous splenic rupture and hemorrhage. A final diagnosis of systemic amyloidosis secondary to plasma cell myeloma was made with infiltrative cardiomyopathy and possible diastolic congestive heart failure exacerbation. We also provide a narrative review of all documented cases of splenic rupture associated with amyloidosis from the year 2000 until January 2023, along with the main clinical findings and management strategies.

1. Introduction

Amyloidosis is a term describing the extracellular deposit of fibrils composed of subunits of several different normal serum proteins in various tissues [1]. These fibrils can be easily identified via biopsy, due to the fact that they have a very characteristic appearance in electron microscopy, by their ability to bind Congo red, resulting in apple green birefringence under polarized light, and thioflavin T, producing yellow-green fluorescence [2].
Amyloid light chain (AL) amyloidosis, also referred to as immunoglobulin light chain amyloidosis, contains fibrils that are composed of fragments of monoclonal light chains [1,3]. Patients who are affected by AL amyloidosis may present with amyloidosis either alone or in conjunction with other plasma cell dyscrasias such as multiple myeloma (MM), Waldenstrom macroglobulinemia, and monoclonal gammopathy of undetermined significance (MGUS) [3]. All forms of systemic amyloidosis in which fibrils are derived from monoclonal light chains, regardless of the nature of the underlying plasma cell disorder, are considered AL amyloidosis [3].
Splenic rupture is a life-threatening condition leading rapid intra-abdominal blood loss that worsens rapidly and can lead to hypovolemic shock, and has a mortality rate of up to 10% [4]. Many different disorders and conditions can lead to spontaneous splenic rupture, including AL amyloidosis [4].
We present a case of a 64-year-old woman with spontaneous splenic rupture and hemorrhage. Pathology showed that the spleen was entirely replaced with amyloid deposits. A bone marrow biopsy was performed, yielding a diagnosis of plasma cell myeloma. This case report was conducted and reported in accordance with the Surgical CAse REports (SCARE) guidelines for reporting case reports. We also provide a narrative review of all documented cases of splenic rupture associated with amyloidosis from the year 2000 until January 2023, along with the main clinical findings and management strategies.

2. Methods

We conducted a comprehensive review [5], beginning with a thorough search, using PubMed as the primary database, for mesh terms, keywords, and combinations as follows: ((spleen[MeSH Terms]) AND (rupture[MeSH Terms])) AND ((light chain amyloidosis[MeSH Terms]) OR (amyloid[MeSH Terms]) OR (amyloidosis[MeSH Terms]) OR (immunoglobulin amyloidosis[MeSH Terms]) OR (primary amyloidosis[MeSH Terms]) OR (multiple myeloma[MeSH Terms]) OR (waldenstrom macroglobulinemia[MeSH Terms]) OR (monoclonal gammopathy of undetermined significance[MeSH Terms])).
All published articles from the year 2000 to until January 2023, were included. A total of 40 studies were retrieved using this search algorithm. All studies were assessed for eligibility, after which 20 were excluded based on their abstracts. Twenty articles were included for whole-text analysis. The literature was also searched during the same time frame using the mentioned MeSH terms. A total of 8 articles were retrieved, 6 of which overlapped with the prior search results. The remaining 2 articles were included for whole-text analysis. Of the 22 articles included for whole-text analysis, none were excluded based on their content (Figure 1).
Figure 1. Flow diagram representing the review process.

3. Case Presentation

A 64-year-old woman with a history of gastroesophageal reflux disease, hypertension, and arrhythmia presented to our hospital for dull abdominal pain localized to the right upper quadrant with a one-day duration. The pain radiated to the right and left flanks and iliac region and was associated with nausea and vomiting. The patient denied cough, chest pain, or fever. Her surgical history was significant for hysterectomy and vesicovaginal fistula repair. No relevant family history was present. The patient had no known allergies.
Upon presentation, the patient’s vital signs were as follows: arterial blood pressure was 108/82 mmHg, pulse was 80 beats per minute, respiratory rate was 16 breaths per minute, temperature was 36.7 °C, and SpO2 was 99%. The patient’s physical examination was significant for non-specific and diffuse abdominal tenderness. The laboratory results are summarized in Table 1. The patient had mild leukocytosis and normocytic normochromic anemia. Her electrolyte levels were within normal limits. Blood urea nitrogen (BUN), serum creatinine, Troponin I, lactic acid, prothrombin time (PT), AP thromboplastin time (aPTT), international normalized ratio (INR), liver enzymes, and liver function test results were all within the normal reference ranges. Urinalysis showed 30 mg/dL protein in the urine. Urine and blood cultures were negative.
Table 1. Relevant laboratory results of the patient on first admission (11 September 2022).
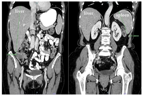
Computed tomography (CT) of the abdomen and pelvis revealed hepatomegaly of 23 cm with no other acute findings (Figure 2). During hospitalization, hemoglobin dropped to 6.1 g/dL, requiring transfusion of a unit of packed RBC, which improved hemoglobin to 7.0 g/dL. The nausea and vomiting persisted, warranting a repeat CT of the abdomen and pelvis, which showed new development of hemoperitoneum in the left abdomen surrounding the spleen, leading to concerns about subcapsular hematoma and an enlarged spleen by 13.2 cm (Figure 3). Additionally, the patient developed dyspnea, and chest X-ray revealed a pleural effusion in the left lung base.
Figure 2. Coronal plane computed tomography (CT) scan with IV contrast of the abdomen and pelvis showing hepatomegaly (23 cm). Spleen was normal.
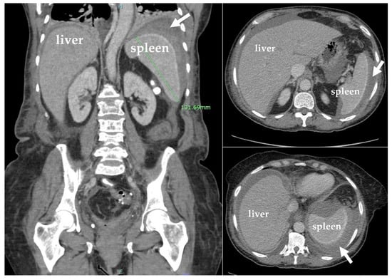
Figure 3. Coronal and sagittal plane computed tomography (CT) scans with IV contrast of the abdomen and pelvis showing hemoperitoneum (white arrows) and mild splenomegaly (13.2 cm).
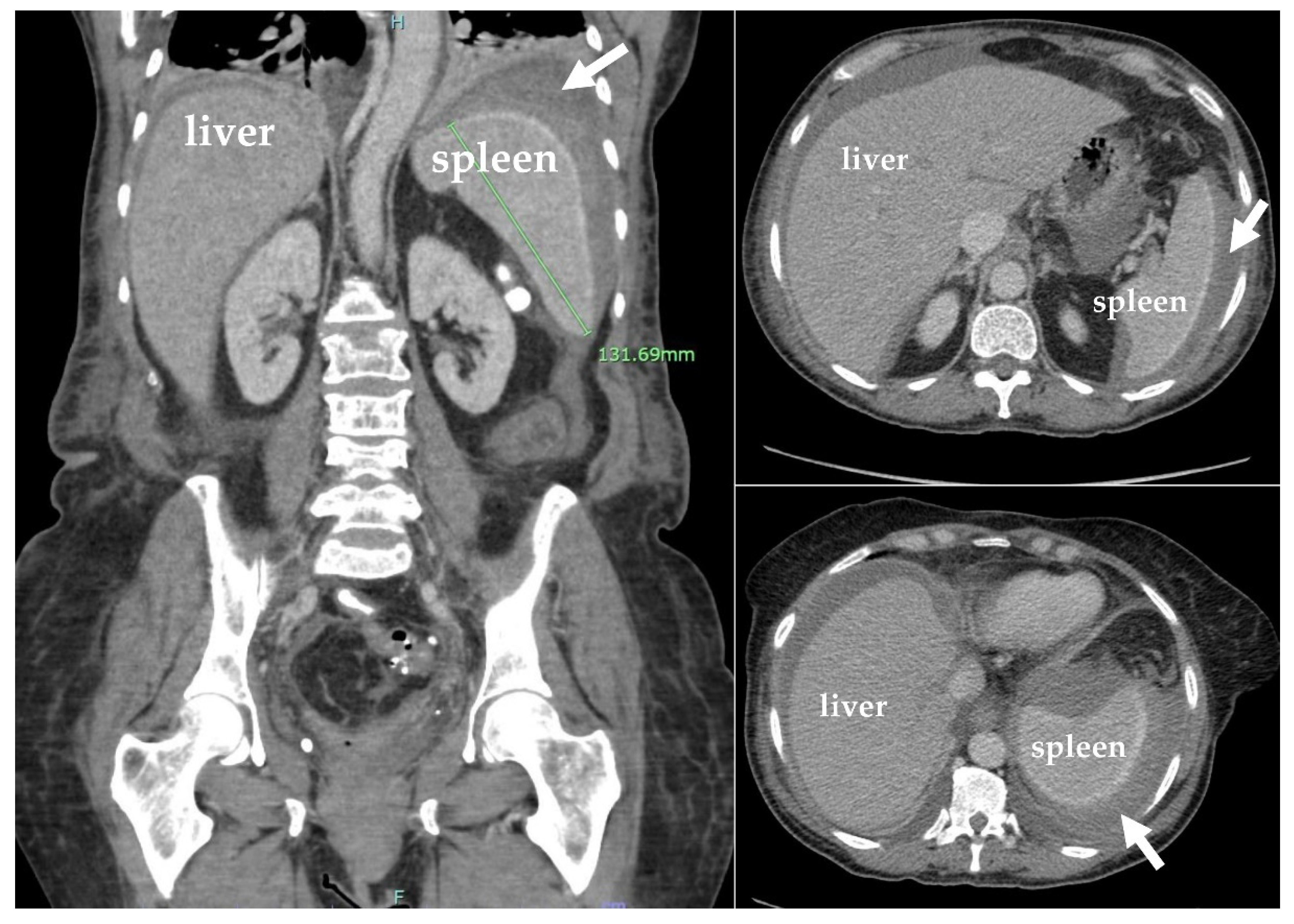
The CT angiography (CTA) of the abdomen and pelvis was negative for active bleeding. The patient was discharged 9 days after the stabilization of anemia and the resolution of her nausea and vomiting. However, she returned to the hospital 15 days later due to a syncopal episode and persistence of her abdominal pain. During that admission, she was hypotensive and was found to have anemia with hemoglobin of 6.9 g/dL that required another transfusion of one unit of packed RBCs. Repeated CT of the abdomen and pelvis showed large mixed-density splenic subcapsular hematoma of unclear etiology, which had significantly increased in size since the prior study, this time measuring 13.6 × 13.8 × 4 cm (previously 12 × 11 × 0.1 cm), with a mass effect on the splenic parenchyma and an increase in the moderate-volume hemoperitoneum (Figure 4).
Figure 4. Coronal and sagittal plane computed tomography (CT) scans with IV contrast of the abdomen and pelvis showing large mixed-density splenic subcapsular hematoma of unclear etiology, which significantly increased in size since the prior study, this time measuring 13.8 × 13.6 × 4 cm (previously 13.2 cm in greatest dimension), with a mass effect on the splenic parenchyma and an increase in the moderate-volume hemoperitoneum.
The interventional radiology department performed angiography, which revealed no extravasation of the contrast, and also performed coil embolization of the proximal splenic artery to contain the bleeding. Proximal splenic artery embolization decreases the perfusion pressure in the spleen but allows for viability of the spleen to be maintained via collateral pathways [6]. The patient was discharged after her condition was stabilized. Five days later, she was readmitted for worsening abdominal pain and shortness of breath. Laboratory studies showed leukocytosis of 12.99 × 103/μL, stable normocytic anemia with hemoglobin of 9.6 g/dL, and mild elevation of troponin at 56 pg/mL. Urinalysis showed an increase in urine protein to 100 mg/dL.
A CTA of the abdomen and pelvis was performed and showed an increase in the size of the splenic subcapsular hematoma, measuring approximately 14.0 × 13.2 × 6.1 cm, and large splenic infarction (Figure 5). Given the new imaging findings and intractable left abdominal pain, the surgery team was consulted. Accordingly, the patient was taken to the operation room for open splenectomy due to splenic rupture and hemorrhage. The spleen was then taken to pathology. On histopathological examination, the spleen was enlarged, weighing 593 g and measuring 16 × 10 × 5.2 cm. The capsule was dark red and had a predominantly posterior laceration, which measured 13.5 cm. Multiple adhesions were also noted (Figure 6A). The cut section revealed a poorly demarcated, dark red, hemorrhagic area located superiorly in the subcapsular area and measuring 10.5 × 7 × 4 cm. Additionally, identified were multiple ill-defined, firm, white-yellow areas comprising approximately 10% of the total cut surface. The remainder of the spleen parenchyma was homogeneous, dark red, and firm (Figure 6B).
Figure 5. Coronal and sagittal plane computed tomography angiogram (CTA) scans with IV contrast of the abdomen and pelvis showing large splenic infarction with an increase in the size of splenic subcapsular hematoma, measuring up to approximately 14.0 × 13.2 × 6.1 cm, with a mass effect on the splenic parenchyma and an increase in the moderate-volume hemoperitoneum.
Figure 6. Gross images of the spleen. (A) The splenic capsule is dark red in color and has a predominantly posterior laceration which measures 13.5 cm. Multiple adhesions can be also noted. (B) Cut surface of the spleen shows a poorly demarcated, dark red, hemorrhagic area located superiorly in the subcapsular area and measuring 10.5 × 7 × 4 cm, and covered by a tan rind (white arrow). Multiple ill-defined, firm, white-yellow areas are also noted, comprising approximately 10% of the cut surface (black arrow).
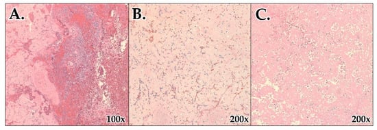
On microscopic examination, areas of necrosis and infarction, hemorrhage, inflammation, granulation tissue, and deposits of eosinophilic amorphous material were appreciated. No identifiable splenic parenchyma (i.e., white pulp, marginal zone, and red pulp) was seen (Figure 7). Interestingly, Congo red-positive amyloid deposits were present, signifying the involvement of amyloidosis, AL (lambda)-type. Liquid chromatography–tandem mass spectrometry (LC MS/MS) was performed on peptides extracted from Congo red-positive, microdissected areas of the paraffin-embedded blocks, which detected a peptide profile consistent with AL (lambda)-type amyloid deposition. Tissue flow cytometry of the spleen failed to reveal a monoclonal B-cell population or an aberrant T-cell immunophenotype.
Figure 7. Microscopic images of the spleen. Areas of hemorrhage, inflammation, granulation tissue (A), necrosis and infarction (B), and eosinophilic amorphous deposits (C) are seen with no identifiable splenic parenchyma (i.e., white pulp, marginal zone, and red pulp) (H&E stain; objectives ×100 in (A) and ×200 in (B,C)).
A transthoracic echocardiogram was performed, showing normal left ventricular systolic function with a left ventricular ejection fraction (LVEF) of 70%. The global longitudinal strain (GLS) was impaired, measuring −14.3% (normal < −16%) with relative apical sparing. There was also severe left ventricular hypertrophy (LVH) and indeterminate diastolic function consistent with infiltrative cardiomyopathy, which is highly suggestive of cardiac amyloidosis.
Further laboratory tests revealed elevated pro-Brain Natriuretic Peptide (BNP) levels of 9971.0 pg/mL (reference range 10.0–300.0 pg/mL) and excess production of serum Lambda free light chains of 12,673.5 mg/L. Serum Kappa free light chains were normal at 11.8 mg/L. The free Kappa/Lambda ratio was therefore very low at <0.01. Excess production of free Kappa or Lambda chains can alter the ratio of free serum light chains. Serum protein electrophoresis with reflex IFX showed hypogammaglobulinemia with gamma globulin of 0.32 g/dL (reference range 0.71–1.54 g/dL), and serum immunofixation electrophoresis noted monoclonal Lambda protein without detectable associated IgG, IgM, or IgA heavy chain. Serum IgM was low at 12.0 mg/dL (reference range 40.0–230.0 mg/dL), serum IgG was also low at 330 mg/dL (reference range 700–1600 mg/dL), and serum IgA was normal at 103.0 mg/dL (reference range 70.0–400.0 mg/dL). The patient also had proteinuria with elevated 24 h urine protein of 2802.5 mg/24 h (reference range 5.0–149.0 mg/24 h).
Rapid Plasma Reagin (RPR), Hepatitis B surface antigen, Hepatitis C virus antibody, and HIV-1/2 antigen and antibodies (fourth generation) were all non-reactive. The phospholipase A2 receptor antibody panel and Lupus anticoagulant were negative. Complement C3 was normal at 146.0 mg/dL (reference range 90.0–180.0 mg/dL) and Complement C4 was slightly elevated at 49.3 mg/dL (reference range 10.0–40.0 mg/dL).
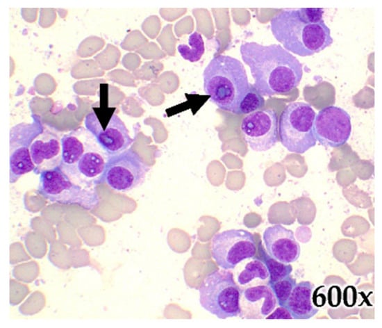
Bone marrow biopsy, aspirate, and peripheral blood smears were performed. The bone marrow aspirate smears revealed increased plasma cells, many with intranuclear inclusions (Dutcher bodies) (Figure 8). The bone marrow aspirated cell block and the EDTA decalcified biopsy sections were approximately 80% cellular. Increased numbers of plasma cells in clusters and sheets were seen. Many of the plasma cells had intranuclear inclusions. Focal deposits of amorphous eosinophilic material were also seen. The immunohistochemical stains for CD138 and MUM-1 were positive, showing increased plasma cells (80% of marrow cellularity). They were positive for cytoplasmic Lambda light chain and BCL-1, and negative for cytoplasmic Kappa light chain (Figure 8). CD3 and CD20 were positive for background T and B lymphocytes. The crystal violet stain was positive for amyloid.
Figure 8. Microscopic image of the bone marrow aspirate. Hematoxylin and eosin staining show increased numbers of plasma cells in clusters, many with intranuclear inclusions (black arrows) (600× objective).
Bone marrow flow cytometric analysis detected a clonal plasma cell population. A total of 10.8% plasma cells were identified, expressing bright CD38, CD56, and cytoplasmic Lambda light chain with loss of CD19. These results indicated a diagnosis of multiple myeloma and amyloid deposition.
Chromosome analysis of the bone marrow aspirate revealed a normal female karyotype. Fluorescence in situ hybridization (FISH) analysis of the bone marrow aspirate was performed using a Plasma Cell Myeloma probe panel. Plasma cell enrichment was performed. This study revealed various abnormalities, including: 13q deletion/monosomy 13 (1R1G, 85%; normal < 9.8%), IGH gene rearrangement (1R1G1F, 68%; normal < 11.9%) and t(11;14). Other genetic anomalies associated with high-risk MM were negative.
A final diagnosis of systemic amyloidosis secondary to plasma cell myeloma was made with infiltrative cardiomyopathy and possible diastolic congestive heart failure exacerbation. The patient was discharged on the following medications and asked to follow up with the hematologist oncologist: B complex-vitamin C-folic acid 1 mg, dexamethasone 20 mg, fludrocortisone 0.1 mg, gabapentin 300 mg, and midodrine 10 mg.

4. Results and Discussion

4.1. Study Designs and Study Population

In our comprehensive review of the literature, a diagnosis of splenic rupture secondary to amyloid light chain (AL) amyloidosis was most often reported as individual case reports [4,7,8,9,10,11,12,13,14,15,16,17,18,19,20,21,22,23]. Other studies included retrospective cohorts [24,25], controlled clinical trials [26], and reviews [27]. Most of these studies were pulled from in-patient hospital data [4,7,8,9,10,11,12,13,14,15,16,17,18,19,20,21,22,23,24,25,26,27]. One case report by Dedi et al. at Leeds General Infirmary, UK, presented the oldest data of the included studies and discussed the case of a 59-year-old woman with AL amyloidosis who suffered a splenic rupture several days following minor trauma [23]. In total, the patients consisted of both men and women between the ages of 43 and 87 [4,7,8,9,10,11,12,13,14,15,16,17,18,19,20,21,22,23,24,25,26,27] (Table 2).
Table 2. Summary of the studies included in our comprehensive review.
The studies extracted data from various areas and countries, while four studies utilized data from patients in the United States. One study was from Mayo Clinic in Minnesota [8], another was from Geisinger Wyoming Valley Hospital in Pennsylvania [24], one was from Boston University Medical Center in Massachusetts [9], and the last was also from Boston University School of Medicine in Massachusetts [13]. The rest of the studies used data from other countries, including Norway, Korea, China, Switzerland, the UK, Iran, Spain, Mexico, Italy, Taiwan, Japan, Austria, Hong Kong, Slovenia, and Norway [4,7,10,11,12,14,15,16,17,18,19,20,21,22,23,25,26,27].

4.2. AL Amyloidosis as a Risk Factor for Splenic Rupture

Nontraumatic splenic rupture (NSR) is a rare complication of AL amyloidosis. However, when NSR has been documented, a common culprit seems to be this condition [8]. What seems to still be inconclusive among the literature is what makes it more likely for someone with AL amyloidosis to develop NSR, as well as how to treat this complication when it arises. Worel et al. concluded, at the end of their controlled clinical trial, that treatment of select patients with AL amyloidosis using high-dose melphalan and stem-cell support results in the reversal of amyloid-related disease in a substantial proportion of patients and improved survival [25]. However, they made this claim based on a study with six participants in whom, after 31–52 months of follow up, there was reversal of nephrotic syndrome in those who had renal involvement (n = 3), and one patient had cardiac disease that improved from NYHA class II to class I. They also stated that all participants who received the treatment experienced profound toxicity in response to the medication, and they did not discuss the outcomes of the other disease manifestations that the participants had and whether or not the treatment ameliorated or worsened these other factors [25]. On the contrary, other studies concluded that peripheral stem cell mobilization was a risk factor for the development of NSR [11,13,17,21,26]. Other proposed risk factors for NSR in the setting of AL amyloidosis were factor X deficiency and receiving G-CSF [7,9,11,21].
The majority of the case reports described previously healthy patients who presented to the emergency department following sudden onset of abdominal pain, hypotension, oliguria, tachycardia, and other symptoms of hypovolemic shock with no prior diagnosis of AL amyloidosis [4,7,8,9,10,12,15,16,19,20,21,22]. CT scans were diagnostic of splenic rupture in each case, except for one [7]. Each of these patients described no history of recent trauma, except one, who described a minor fall several days prior to the onset of symptoms, suggesting a delayed presentation secondary to initial encapsulation of the bleed [23]. In each of these cases, patients received exploratory laparoscopic surgeries confirming the splenic rupture, with splenectomy following thereafter, except for one case, in which the patient elected to undergo splenic artery embolization since a perisplenic bleed was detected without splenic artery extravasation [13]. This last case concluded that non-operative management should be considered as an alternative to splenectomy; however, this was the only case that involved a patient who had not yet had a splenic rupture, but rather, a perisplenic bleed.
Overall, the majority of these studies concluded that a high degree of suspicion must be used in patients who present with symptoms of hypovolemic shock and abdominal pain without a recent history of trauma or infection, as it may be a rare complication such as NSR secondary to undiagnosed AL amyloidosis [4,7,10,15,17,19,20,21,23,27]. Following diagnosis with a CT scan, an emergent laparotomy and total splenectomy can be lifesaving [4,7,8,9,11,13,16,17,18,27].
It has been reported that about 10% to 15% of patients with multiple myeloma may develop AL amyloidosis, while approximately 10% of patients have coexistent AL amyloidosis at diagnosis [17]. There are different hypotheses explaining the possible mechanisms behind NSR due to amyloidosis. The accumulation of amyloid fibrils in the spleen leads to splenomegaly, which renders the spleen fragile and prone to rupture. Although the exact mechanisms leading to NSR in amyloidosis are not fully understood, several factors have been implicated. First, the deposition of amyloid fibrils in the spleen can cause structural changes in the organ, leading to a decrease in its elasticity and fragility. Second, amyloid deposits can cause vascular fragility and rupture of the small vessels within the spleen. Third, the accumulation of amyloid fibrils in the spleen can lead to the formation of nodules or masses, which can exert pressure on adjacent tissues and cause rupture. Finally, the spleen can become enlarged due to the accumulation of amyloid fibrils, making it more susceptible to injury and rupture. Additionally, there are other factors that can contribute to NSR, including hypertension (an increase in the pressure within the spleen) and coagulopathy (which leads to bleeding disorders and can increase the risk of spontaneous bleeding and rupture).
Other studies referred to cases of splenic rupture following autologous stem cell transplantation [11,28]. The exact mechanisms are not well understood, but several factors are believed to contribute to this process: first, the mobilization of stem cells from the bone marrow to the peripheral blood can cause an increase in the size and fragility of the spleen, which can be especially problematic in AL amyloidosis, where the accumulation of amyloid fibrils in the spleen can cause structural changes and increase its fragility; second, the use of granulocyte colony-stimulating factor (G-CSF) to mobilize stem cells can also increase the risk of splenic rupture by increasing white blood cell and platelet counts, which, in turn, contribute to the fragility of the spleen [28,29]; third, the procedure itself can be traumatic, and the insertion of a catheter into the peripheral vein can cause damage to the spleen. To reduce the risk of splenic rupture in such patients undergoing autologous stem cell transplantation, careful monitoring of spleen size can be performed before and after the procedure. Additionally, using alternative mobilization strategies that do not involve the use of G-CSF may help reduce the risk.

4.3. Limitations

The biggest limitation currently in the literature is that the vast majority of data available on splenic rupture in the setting of AL amyloidosis comes from case reports of individual patients [4,7,8,9,10,11,12,13,14,15,16,17,18,19,20,21,22,23]. This complication is very rare, and thus, it is difficult to generalize the symptoms, work-up, and treatment suggested in the conclusions of each case report. Even in the retrospective cohort [24], systematic review [26,27], and controlled clinical trial [25] the sample sizes were still extremely small, with the largest sample size being 69 subjects [24], meaning the results could have easily been skewed by outliers. Additionally, even when there was a larger sample size involved, all of the data typically came from the same hospital, which would result in low external validation, except for the study performed by Chiu et al., which gathered information from multiple hospitals [24]. Another limitation is recall bias in patients; they might not have remembered experiencing recent trauma, which could lead to splenic rupture since this presentation can be delayed and can also result from minor trauma. This could mean that splenic rupture could have occurred whether the patient had AL amyloidosis or not. Since they were generally unlisted, it is also difficult to determine whether these patients had other comorbidities that could have contributed to the splenic rupture, and those who did have listed comorbidities tended to have several other health problems [8,14,17]. One case report by Li et al. did not have access to original labs or images since they were carried out at another hospital, which means they could not interpret the information presented [12]. Additionally, many of the cases presented were very short and may not have presented all of the pertinent details [9,15,17,18]. Another case report by Bruserud et al. determined that early recognition of hemorrhagic shock and prompt action restore intravascular volume and oxygen saturation and are lifesaving; however, the patient was still in the hospital recovering at the time of the writing, and it is unknown whether or not that patient was able to go home [4]. Lastly, these case reports and studies came from several different countries which, while good for generalizability, could have contributed to differences in the types of intervention performed at the time of patient presentation due to differences in the quality of healthcare.

5. Conclusions

Splenic rupture secondary to AL amyloidosis is an extremely rare complication. The literature on this topic is scarce, particularly within the United States. The available literature consists mainly of case reports, which in itself provides many limitations when it comes to suggestions on the workup, diagnosis, and treatment of this complication. It would be beneficial to the medical community for any new research to be presented on the topic so that more definitive methods can be established. Additionally, our study emphasizes the importance of including amyloidosis in the differential diagnosis of splenic rupture, and further assessing the causes of amyloidosis to not miss plasma cell myeloma (as such a presentation of plasma cell myeloma is extremely rare and unusual, but worth keeping in mind).

Author Contributions

Conceptualization, H.F.B.; methodology, H.F.B.; investigation, H.F.B. and S.G.; resources, H.F.B. and S.G.; data curation, H.F.B., S.G. and F.A.; writing—original draft preparation, H.F.B., S.G. and L.B.; writing—review and editing, F.A., M.C., M.S., L.H. and V.S.; visualization, V.S.; supervision, V.S.; project administration, H.F.B.; funding acquisition, H.F.B. All authors have read and agreed to the published version of the manuscript.

Funding

This research received no external funding.

Institutional Review Board Statement

This study was conducted in accordance with the Declaration of Helsinki and the protocols approved by the Institutional Review Board of Mount Sinai Medical Center, Florida (protocol code FWA00000176).

Data Availability Statement

Not applicable.

Acknowledgments

We would like to thank all members of the Arkadi M. Rywlin M.D. Department of Pathology and Laboratory Medicine and the Department of Internal Medicine, Mount Sinai Medical Center, Florida (Miami Beach, FL, USA) for their help with this work.

Conflicts of Interest

The authors declare no conflict of interest.

References

  1. Bellotti, V.; Nuvolone, M.; Giorgetti, S.; Obici, L.; Palladini, G.; Russo, P.; Lavatelli, F.; Perfetti, V.; Merlini, G. The workings of the amyloid diseases. Ann. Med. 2007, 39, 200–207. [Google Scholar] [CrossRef] [PubMed]
  2. Ke, P.C.; Zhou, R.; Serpell, L.C.; Riek, R.; Knowles, T.P.J.; Lashuel, H.A.; Gazit, E.; Hamley, I.W.; Davis, T.P.; Fändrich, M.; et al. Half a century of amyloids: Past, present and future. Chem. Soc. Rev. 2020, 49, 5473–5509. [Google Scholar] [CrossRef] [PubMed]
  3. Milani, P.; Merlini, G.; Palladini, G. Light Chain Amyloidosis. Mediterr. J. Hematol. Infect. Dis. 2018, 10, e2018022. [Google Scholar] [CrossRef]
  4. Bruserud, Ø.; Tvedt, T.H.A.; Ahmed, A.B.; Vintermyr, O.K.; Hervig, T.; Guttormsen, A.B.; Reikvam, H. Spontaneous Splenic Artery Rupture as the First Symptom of Systemic Amyloidosis. Case Rep. Crit. Care 2021, 2021, 6676407. [Google Scholar] [CrossRef]
  5. Moher, D.; Liberati, A.; Tetzlaff, J.; Altman, D.G. Preferred reporting items for systematic reviews and meta-analyses: The PRISMA statement. J. Clin. Epidemiol. 2009, 62, 1006–1012. [Google Scholar] [CrossRef]
  6. Quencer, K.B.; Smith, T.A. Review of proximal splenic artery embolization in blunt abdominal trauma. CVIR Endovasc. 2019, 2, 11. [Google Scholar] [CrossRef]
  7. Lessi, F.; Marson, P.; Colpo, A.; Marino, F.; Branca, A.; Tison, T.; Adami, F. Spontaneous splenic rupture following stem cell mobilization with G-CSF and plerixafor in AL amyloidosis. Transfus. Apher. Sci. 2016, 54, 256–258. [Google Scholar] [CrossRef]
  8. Buzalewski, J.; Fisher, M.; Rambaran, R.; Lopez, R. Splenic rupture secondary to amyloid light-chain (AL) amyloidosis associated with multiple myeloma. J. Surg. Case Rep. 2019, 2019, rjz021. [Google Scholar] [CrossRef]
  9. Oran, B.; Wright, D.G.; Seldin, D.C.; McAneny, D.; Skinner, M.; Sanchorawala, V. Spontaneous rupture of the spleen in AL amyloidosis. Am. J. Hematol. 2003, 74, 131–135. [Google Scholar] [CrossRef]
  10. Chang, C.F.; Liao, Y.S.; Chen, Y.G.; Ye, R.H. Unexpected amyloidosis, mimicking a splenic cyst. Korean J. Intern. Med. 2018, 33, 231–232. [Google Scholar] [CrossRef]
  11. Sato, S.; Tamai, Y.; Okada, S.; Kannbe, E.; Takeda, K.; Tanaka, E. Atraumatic Splenic Rupture Due to Ectopic Extramedullary Hematopoiesis after Autologous Stem Cell Transplantation in a Patient with AL Amyloidosis. Intern. Med. 2018, 57, 399–402. [Google Scholar] [CrossRef]
  12. Li, G.; Han, D.; Wei, S.; Wang, H.; Chen, L. Multiorgan involvement by amyloid light chain amyloidosis. J. Int. Med. Res. 2019, 47, 1778–1786. [Google Scholar] [CrossRef] [PubMed]
  13. Bosch, N.; Renteria, A.S.; Quillen, K.; Brauneis, D.; Santilli, J.; Kim, D.; Sanchorawala, V. Nonoperative Management of Spontaneous Splenic Rupture in a Patient with Light-Chain Amyloidosis: A Case Report. J. Vasc. Interv. Radiol. 2015, 26, 1578–1580. [Google Scholar] [CrossRef] [PubMed]
  14. Chau, E.M.; Chan, A.C.; Chan, W.K. Spontaneous atraumatic rupture of a normal-sized spleen due to AL amyloid angiopathy. Amyloid 2008, 15, 213–215. [Google Scholar] [CrossRef] [PubMed]
  15. Choudhuri, S.; Cavet, J. Spontaneous splenic rupture due to isolated splenic peliosis in a case of multiple myeloma. Br. J. Haematol. 2009, 144, 146. [Google Scholar] [CrossRef] [PubMed]
  16. Magnoli, F.; Freguia, S.; Bernasconi, B.; Campiotti, L.; Oldrini, R.; Facco, C.; Sessa, F.; Uccella, S. Fatal splenic rupture in a previously undiagnosed multiple myeloma: Morphological, immunophenotypical and molecular cytogenetic analyses. Clin. Lymphoma Myeloma Leuk. 2013, 13, e22–e25. [Google Scholar] [CrossRef]
  17. Perrone, L.; Gervaso, L.; Bosco, E.; Serra, F.; Quaquarini, E. Non-traumatic splenic rupture in amyloidosis as a rare evolution of multiple myeloma. Clin. Pract. 2019, 9, 1146. [Google Scholar] [CrossRef]
  18. Roh, J.; Huh, J. Splenic rupture in primary amyloidosis with chronic neutrophilic leukemia. Blood Res. 2015, 50, 5. [Google Scholar] [CrossRef]
  19. Shobeiri, H.; Einakchi, M.; Khajeh, M.; Motie, M.R. Spontaneous rupture of the spleen secondary to amyloidosis. J. Coll. Physicians Surg. Pak. 2013, 23, 427–429. [Google Scholar]
  20. Báez-García Jde, J.; Martínez-Hernández Magro, P.; Iriarte-Gallego, G.; Báez-Aviña, J.A. Spontaneous rupture of the spleen secondary to amyloidosis. Cir. Cir. 2010, 78, 533–537. [Google Scholar]
  21. Fernández de Larrea, C.; Cibeira, M.T.; Rovira, M.; Rosiñol, L.; Esteve, J.; Bladé, J. Spontaneous rupture of the spleen as immediate complication in autologous transplantation for primary systemic amyloidosis. Eur. J. Haematol. 2008, 80, 182–184. [Google Scholar] [CrossRef]
  22. Skok, P.; Knehtl, M.; Ceranić, D.; Glumbić, I. Splenic rupture in systemic amyloidosis - case presentation and review of the literature. Z. Gastroenterol. 2009, 47, 292–295. [Google Scholar] [CrossRef]
  23. Dedi, R.; Bhandari, S.; Sagar, P.M.; Turney, J.H. Delayed splenic rupture as a cause of haemoperitoneum in a CAPD patient with amyloidosis. Nephrol. Dial. Transplant. 2001, 16, 2446. [Google Scholar] [CrossRef] [PubMed]
  24. Chiu, A.; Dasari, S.; Kurtin, P.J.; Theis, J.D.; Vrana, J.A.; Rech, K.L.; Dao, L.N.; Howard, M.T.; Dalland, J.C.; McPhail, E.D. Proteomic Identification and Clinicopathologic Characterization of Splenic Amyloidosis. Am. J. Surg. Pathol. 2023, 47, 74–80. [Google Scholar] [CrossRef] [PubMed]
  25. Worel, N.; Schulenburg, A.; Mitterbauer, M.; Keil, F.; Rabitsch, W.; Kalhs, P.; Gisslinger, H.; Raderer, M.; Geissler, K.; Höcker, P.; et al. Autologous stem-cell transplantation in progressing amyloidosis is associated with severe transplant-related toxicity. Wien. Klin. Wochenschr. 2006, 118, 49–53. [Google Scholar] [CrossRef] [PubMed]
  26. Renzulli, P.; Schoepfer, A.; Mueller, E.; Candinas, D. Atraumatic splenic rupture in amyloidosis. Amyloid 2009, 16, 47–53. [Google Scholar] [CrossRef] [PubMed]
  27. Elvy, A.; Harbach, L.; Bhangu, A. Atraumatic splenic rupture: A 6-year case series. Eur. J. Emerg. Med. 2011, 18, 124–126. [Google Scholar] [CrossRef]
  28. Platzbecker, U.; Prange-Krex, G.; Bornhäuser, M.; Koch, R.; Soucek, S.; Aikele, P.; Haack, A.; Haag, C.; Schuler, U.; Berndt, A.; et al. Spleen enlargement in healthy donors during G–CSF mobilization of PBPCs. Transfusion 2001, 41, 184–189. [Google Scholar] [CrossRef]
  29. Chinaka, U.C.; Fultang, J.; Pereca, J.; Ali, A. Atraumatic idiopathic splenic rupture induced by granulocyte-colony stimulating factor (G-CSF) for the treatment of pancytopenia, managed successfully by laparoscopic splenectomy. BMJ Case Rep. 2020, 13, e232411. [Google Scholar] [CrossRef]
Disclaimer/Publisher’s Note: The statements, opinions and data contained in all publications are solely those of the individual author(s) and contributor(s) and not of MDPI and/or the editor(s). MDPI and/or the editor(s) disclaim responsibility for any injury to people or property resulting from any ideas, methods, instructions or products referred to in the content.

Article Metrics

Citations

Article Access Statistics

Multiple requests from the same IP address are counted as one view.