SCR Suppressor Mutants: Role in Hypocotyl Gravitropism and Root Growth in Arabidopsis thaliana
Abstract
1. Introduction
2. Materials and Methods
2.1. Plant Materials and Growth Conditions
2.2. Mutagenesis and Mutant Screening
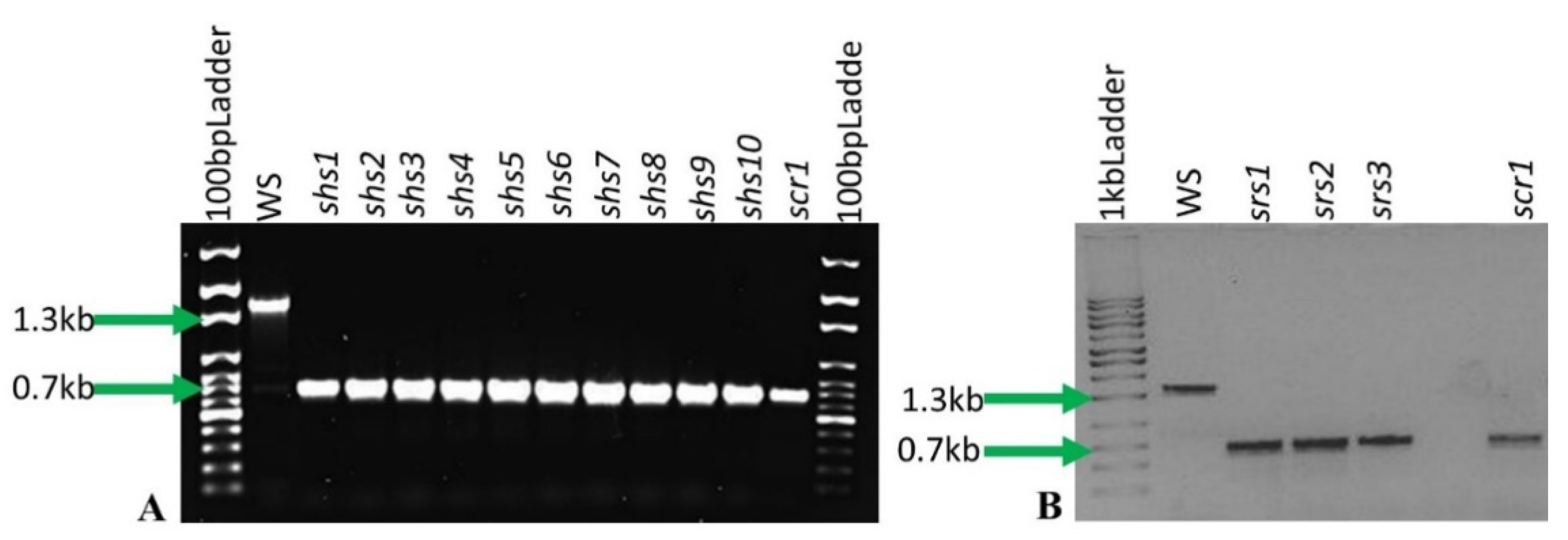
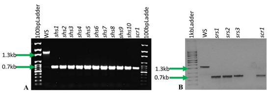
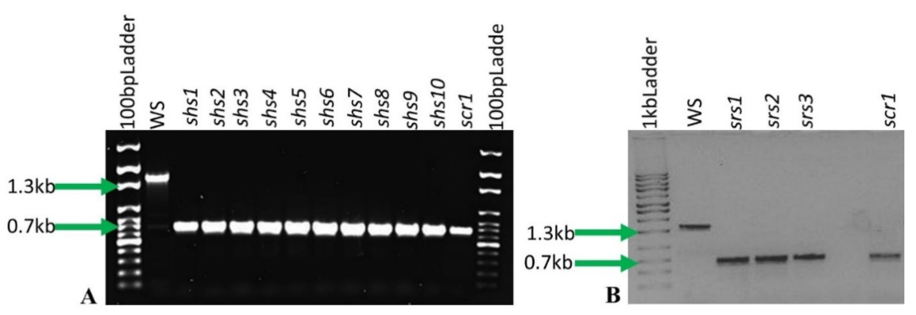
2.3. Confirmation of Suppressors’ Genotypes
2.4. Phenotype Analysis of Potential Suppressors
2.5. Genetic Analysis of Suppressors
3. Results
3.1. Mutagenesis and Suppressor Screen
3.2. Shoot Gravitropic Responses of Suppressors
3.3. Root Growth of Suppressors
3.4. Genetic Analysis of Suppressors
3.5. Phenotypic Characterization of Suppressors
4. Discussion
5. Conclusions
Supplementary Materials
Author Contributions
Funding
Institutional Review Board Statement
Informed Consent Statement
Data Availability Statement
Acknowledgments
Conflicts of Interest
References
- Szurman-Zubrzycka, M.E.; Zbieszczyk, J.; Marzec, M.; Jelonek, J.; Chmielewska, B.; Kurowska, M.M.; Krok, M.; Daszkowska-Golec, A.; Guzy-Wrobelska, J.; Gruszka, D.; et al. HorTILLUS—A Rich and Renewable Source of Induced Mutations for Forward/Reverse Genetics and Pre-Breeding Programs in Barley (Hordeum vulgare L.). Front. Plant Sci. 2018, 9, 216. [Google Scholar] [CrossRef] [PubMed]
- Ahmar, S.; Gill, R.A.; Jung, K.-H.; Faheem, A.; Qasim, M.U.; Mubeen, M.; Zhou, W. Conventional and Molecular Techniques from Simple Breeding to Speed Breeding in Crop Plants: Recent Advances and Future Outlook. Int. J. Mol. Sci. 2020, 21, 2590. [Google Scholar] [CrossRef] [PubMed]
- Konstantinova, N.; Korbei, B.; Luschnig, C. Auxin and Root Gravitropism: Addressing Basic Cellular Processes by Exploiting a Defined Growth Response. Int. J. Mol. Sci. 2021, 22, 2749. [Google Scholar] [CrossRef] [PubMed]
- Izzo, L.G.; Aronne, G. Root Tropisms: New Insights Leading the Growth Direction of the Hidden Half. Plants 2021, 10, 220. [Google Scholar] [CrossRef]
- Fay, D.; Johnson, W. Genetic Mapping and Manipulation: Chapter 10—Suppressor Mutations. WormBook 2006, 1–4. [Google Scholar] [CrossRef]
- von Wettstein, D. From Analysis of Mutants to Genetic Engineering. Annu. Rev. Plant Biol. 2007, 58, 1–20. [Google Scholar] [CrossRef]
- Gao, C. Genome Engineering for Crop Improvement and Future Agriculture. Cell 2021, 184, 1621–1635. [Google Scholar] [CrossRef]
- Gillmor, C.S.; Lukowitz, W. EMS Mutagenesis of Arabidopsis Seeds. In Plant Embryogenesis: Methods and Protocols; Bayer, M., Ed.; Methods in Molecular Biology; Springer: New York, NY, USA, 2020; pp. 15–23. ISBN 978-1-07-160342-0. [Google Scholar]
- Döring, F.; Billakurthi, K.; Gowik, U.; Sultmanis, S.; Khoshravesh, R.; Das Gupta, S.; Sage, T.L.; Westhoff, P. Reporter-Based Forward Genetic Screen to Identify Bundle Sheath Anatomy Mutants in A. Thaliana. Plant J. 2019, 97, 984–995. [Google Scholar] [CrossRef]
- Song, J.H.; Kwak, S.-H.; Nam, K.H.; Schiefelbein, J.; Lee, M.M. QUIRKY Regulates Root Epidermal Cell Patterning through Stabilizing SCRAMBLED to Control CAPRICE Movement in Arabidopsis. Nat. Commun. 2019, 10, 1744. [Google Scholar] [CrossRef]
- Wysocka-Diller, J.W.; Helariutta, Y.; Fukaki, H.; Malamy, J.E.; Benfey, P.N. Molecular Analysis of SCARECROW Function Reveals a Radial Patterning Mechanism Common to Root and Shoot. Development 2000, 127, 595–603. [Google Scholar] [CrossRef]
- Ito, T.; Fukazawa, J. SCARECROW-LIKE3 Regulates the Transcription of Gibberellin-Related Genes by Acting as a Transcriptional Co-Repressor of GAI-ASSOCIATED FACTOR1. Plant Mol. Biol. 2021, 105, 463–482. [Google Scholar] [CrossRef] [PubMed]
- Cui, H.; Kong, D.; Liu, X.; Hao, Y. SCARECROW, SCR-LIKE 23 and SHORT-ROOT Control Bundle Sheath Cell Fate and Function in Arabidopsis thaliana. Plant J. 2014, 78, 319–327. [Google Scholar] [CrossRef]
- Fukaki, H.; Wysocka-Diller, J.; Kato, T.; Fujisawa, H.; Benfey, P.N.; Tasaka, M. Genetic Evidence That the Endodermis Is Essential for Shoot Gravitropism in Arabidopsis thaliana. Plant J. 1998, 14, 425–430. [Google Scholar] [CrossRef] [PubMed]
- Salvi, E.; Di Mambro, R.; Pacifici, E.; Dello Ioio, R.; Costantino, P.; Moubayidin, L.; Sabatini, S. SCARECROW and SHORTROOT Control the Auxin/Cytokinin Balance Necessary for Embryonic Stem Cell Niche Specification. Plant Signal. Behav. 2018, 13, e1507402. [Google Scholar] [CrossRef] [PubMed]
- Chen, W.-Q.; Drapek, C.; Li, D.-X.; Xu, Z.-H.; Benfey, P.N.; Bai, S.-N. Histone Deacetylase HDA19 Affects Root Cortical Cell Fate by Interacting with SCARECROW. Plant Physiol. 2019, 180, 276–288. [Google Scholar] [CrossRef]
- Kiss, J.; Hertel, R.; Sack, F. Amyloplasts are necessary for full gravitropic sensitivity in roots of Arabidopsis thaliana. Planta 1989, 177, 198–206. [Google Scholar] [CrossRef]
- Sack, F.D. Plastids and gravitropic sensing. Planta 1997, 203, S63–S68. [Google Scholar] [CrossRef]
- Caspar, T.; Pickard, B.G. Gravitropism in a starchless mutant of Arabidopsis. Planta 1989, 177, 185–197. [Google Scholar] [CrossRef]
- Nakamura, M.; Nishimura, T.; Morita, M. Gravity sensing and signal conversion in plant gravitropism. J. Exp. Bot. 2019, 70, 3495–3506. [Google Scholar] [CrossRef]
- Shimotohno, A.; Heidstra, R.; Blilou, I.; Scheres, B. Root Stem Cell Niche Organizer Specification by Molecular Convergence of PLETHORA and SCARECROW Transcription Factor Modules. Genes Dev. 2018, 32, 1085–1100. [Google Scholar] [CrossRef]
- Kobayashi, A.; Miura, S.; Kozaki, A. INDETERMINATE DOMAIN PROTEIN Binding Sequences in the 5′-Untranslated Region and Promoter of the SCARECROW Gene Play Crucial and Distinct Roles in Regulating SCARECROW Expression in Roots and Leaves. Plant Mol. Biol. 2017, 94, 1–13. [Google Scholar] [CrossRef] [PubMed]
- To, V.-T.; Shi, Q.; Zhang, Y.; Shi, J.; Shen, C.; Zhang, D.; Cai, W. Genome-Wide Analysis of the GRAS Gene Family in Barley (Hordeum vulgare L.). Genes 2020, 11, 553. [Google Scholar] [CrossRef] [PubMed]
- Xu, X.; Feng, G.; Huang, L.; Yang, Z.; Liu, Q.; Shuai, Y.; Zhang, X. Genome-Wide Identification, Structural Analysis and Expression Profiles of GRAS Gene Family in Orchardgrass. Mol. Biol. Rep. 2020, 47, 1845–1857. [Google Scholar] [CrossRef] [PubMed]
- Laurenzio, L.D.; Wysocka-Diller, J.; Malamy, J.E.; Pysh, L.; Helariutta, Y.; Freshour, G.; Hahn, M.G.; Feldmann, K.A.; Benfey, P.N. The SCARECROW Gene Regulates an Asymmetric Cell Division That Is Essential for Generating the Radial Organization of the Arabidopsis Root. Cell 1996, 86, 423–433. [Google Scholar] [CrossRef]
- Kim, G.; Dhar, S.; Lim, J. The SHORT-ROOT Regulatory Network in the Endodermis Development of Arabidopsis Roots and Shoots. J. Plant Biol. 2017, 60, 306–313. [Google Scholar] [CrossRef]
- Crook, A.D.; Willoughby, A.C.; Hazak, O.; Okuda, S.; VanDerMolen, K.R.; Soyars, C.L.; Cattaneo, P.; Clark, N.M.; Sozzani, R.; Hothorn, M.; et al. BAM1/2 Receptor Kinase Signaling Drives CLE Peptide-Mediated Formative Cell Divisions in Arabidopsis Roots. Proc. Natl. Acad. Sci. USA 2020, 117, 32750–32756. [Google Scholar] [CrossRef]
- Reyes-Hernández, B.J.; Shishkova, S.; Amir, R.; Quintana-Armas, A.X.; Napsucialy-Mendivil, S.; Cervantes-Gamez, R.G.; Torres-Martínez, H.H.; Montiel, J.; Wood, C.D.; Dubrovsky, J.G. Root Stem Cell Niche Maintenance and Apical Meristem Activity Critically Depend on THREONINE SYNTHASE1. J. Exp. Bot. 2019, 70, 3835–3849. [Google Scholar] [CrossRef]
- García-Gómez, M.L.; Garay-Arroyo, A.; García-Ponce, B.; Sánchez, M.D.L.P.; Álvarez-Buylla, E.R. Hormonal Regulation of Stem Cell Proliferation at the Arabidopsis thaliana Root Stem Cell Niche. Front. Plant Sci. 2021, 12, 84. [Google Scholar] [CrossRef]
- Timilsina, R.; Kim, J.H.; Nam, H.G.; Woo, H.R. Temporal Changes in Cell Division Rate and Genotoxic Stress Tolerance in Quiescent Center Cells of Arabidopsis Primary Root Apical Meristem. Sci. Rep. 2019, 9, 3599. [Google Scholar] [CrossRef]
- Matosevich, R.; Efroni, I. The Quiescent Center and Root Regeneration. J. Exp. Bot. 2021, 72, 6739–6745. [Google Scholar] [CrossRef]
- Uraguchi, S.; Sone, Y.; Yoshikawa, A.; Tanabe, M.; Sato, H.; Otsuka, Y.; Nakamura, R.; Takanezawa, Y.; Kiyono, M. SCARECROW Promoter-Driven Expression of a Bacterial Mercury Transporter MerC in Root Endodermal Cells Enhances Mercury Accumulation in Arabidopsis Shoots. Planta 2019, 250, 667–674. [Google Scholar] [CrossRef] [PubMed]
- Rakusová, H.; Han, H.; Valošek, P.; Friml, J. Genetic Screen for Factors Mediating PIN Polarization in Gravistimulated Arabidopsis thaliana Hypocotyls. Plant J. 2019, 98, 1048–1059. [Google Scholar] [CrossRef] [PubMed]
- Hughes, T.E.; Langdale, J.A. SCARECROW Is Deployed in Distinct Developmental Contexts during Rice and Maize Leaf Development. Development 2022, 149, dev200410. [Google Scholar] [CrossRef]
- Aoyanagi, T.; Ikeya, S.; Kobayashi, A.; Kozaki, A. Gene Regulation via the Combination of Transcription Factors in the INDETERMINATE DOMAIN and GRAS Families. Genes 2020, 11, 613. [Google Scholar] [CrossRef] [PubMed]
- Fukaki, H.; Fujisawa, H.; Tasaka, M. SGR1, SGR2, and SGR3: Novel Genetic Loci Involved in Shoot Gravitropism in Arabidopsis thaliana. Plant Physiol. 1996, 110, 945–955. [Google Scholar] [CrossRef]
- Levin, J.Z.; Fletcher, J.C.; Chen, X.; Meyerowitz, E.M. A Genetic Screen for Modifiers of UFO Meristem Activity Identifies Three Novel FUSED FLORAL ORGANS Genes Required for Early Flower Development in Arabidopsis. Genetics 1998, 149, 579–595. [Google Scholar] [CrossRef]
- Edwards, K.; Johnstone, C.; Thompson, C. A Simple and Rapid Method for the Preparation of Plant Genomic DNA for PCR Analysis. Nucleic Acids Res. 1991, 19, 1349. [Google Scholar] [CrossRef]
- Kitazawa, D.; Hatakeda, Y.; Kamada, M.; Fujii, N.; Miyazawa, Y.; Hoshino, A.; Iida, S.; Fukaki, H.; Morita, M.T.; Tasaka, M.; et al. Shoot Circumnutation and Winding Movements Require Gravisensing Cells. Proc. Natl. Acad. Sci. USA 2005, 102, 18742–18747. [Google Scholar] [CrossRef]
- Morita, M.T.; Tasaka, M.; Taniguchi, M. Identification and Analysis of Novel Genes Involved in Gravitropism of Arabidopsis thaliana. In Proceedings of the 39th COSPAR Scientific Assembly, Mysore, India, 14–22 July 2012; Volume 39, p. 1279. [Google Scholar]
- Dhondt, S.; Coppens, F.; De Winter, F.; Swarup, K.; Merks, R.M.H.; Inzé, D.; Bennett, M.J.; Beemster, G.T.S. SHORT-ROOT and SCARECROW Regulate Leaf Growth in Arabidopsis by Stimulating S-Phase Progression of the Cell Cycle. Plant Physiol. 2010, 154, 1183–1195. [Google Scholar] [CrossRef]
- Sabatini, S.; Heidstra, R.; Wildwater, M.; Scheres, B. SCARECROW Is Involved in Positioning the Stem Cell Niche in the Arabidopsis Root Meristem. Genes Dev. 2003, 17, 354–358. [Google Scholar] [CrossRef]
- Gendreau, P.L.; Petitto, J.M.; Schnauss, R.; Frantz, K.J.; Van Hartesveldt, C.; Gariépy, J.-L.; Lewis, M.H. Effects of the Putative Dopamine D3 Receptor Antagonist PNU 99194A on Motor Behavior and Emotional Reactivity in C57BL/6J Mice. Eur. J. Pharmacol. 1997, 337, 147–155. [Google Scholar] [CrossRef]
- Boron, A.K.; Vissenberg, K. The Arabidopsis thaliana Hypocotyl, a Model to Identify and Study Control Mechanisms of Cellular Expansion. Plant Cell Rep. 2014, 33, 697–706. [Google Scholar] [CrossRef] [PubMed]
- Collett, C.E.; Harberd, N.P.; Leyser, O. Hormonal Interactions in the Control of Arabidopsis Hypocotyl Elongation1. Plant Physiol. 2000, 124, 553–562. [Google Scholar] [CrossRef] [PubMed]
- Zhang, Y.; He, P.; Ma, X.; Yang, Z.; Pang, C.; Yu, J.; Wang, G.; Friml, J.; Xiao, G. Auxin-mediated statolith production for root gravitropism. New Phytol. 2019, 224, 761–774. [Google Scholar] [CrossRef] [PubMed]
- Vandenbrink, J.P.; Kiss, J.Z. Plant responses to gravity. Semin. Cell Dev. Biol. 2019, 92, 122–125. [Google Scholar] [CrossRef] [PubMed]
- Roychoudhry, S.; del Bianco, M.; Kepinski, S. Deciphering the Emergence of Angle Dependence in Gravity Sensing Columella Cells. In Proceedings of the 44th COSPAR Scientific Assembly, Online, 16–24 July 2022; Volume 44, p. 2607. [Google Scholar]
- Jiao, Z.; Du, H.; Chen, S.; Huang, W.; Ge, L. LAZY Gene Family in Plant Gravitropism. Front. Plant Sci. 2021, 11, 2096. [Google Scholar] [CrossRef]
- Hashiguchi, Y.; Tasaka, M.; Morita, M.T. Mechanism of Higher Plant Gravity Sensing. Am. J. Bot. 2013, 100, 91–100. [Google Scholar] [CrossRef]
- Hill, J.L.; Hollender, C.A. Branching out: New Insights into the Genetic Regulation of Shoot Architecture in Trees. Curr. Opin. Plant Biol. 2019, 47, 73–80. [Google Scholar] [CrossRef]
- Kato, T.; Morita, M.; Tasaka, M. Role of Endodermal Cell Vacuoles in Shoot Gravitropism. J. Plant Growth Regul. 2002, 21, 113–119. [Google Scholar] [CrossRef]
- Watahiki, M.K.; Yamamoto, K.T. The massugu1 mutation of Arabidopsis identified with failure of auxin-induced growth curvature of hypocotyl confers auxin insensitivity to hypocotyl and leaf. Plant Physiol. 1997, 115, 419–426. [Google Scholar] [CrossRef]
- Yamauchi, Y.; Fukaki, H.; Fujisawa, H.; Tasaka, M. Mutations in the SGR4, SGR5 and SGR6 Loci of Arabidopsis thaliana Alter the Shoot Gravitropism. Plant Cell Physiol. 1997, 38, 530–535. [Google Scholar] [CrossRef] [PubMed][Green Version]
- Reboulet, J.C.; Kumar, P.; Kiss, J.Z. DIS1 and DIS2 play a role in tropisms in Arabidopsis thaliana. Environ. Exp. Bot. 2010, 67, 474–478. [Google Scholar] [CrossRef][Green Version]
- Kumar, P.; Millar, K.D.L.; Kiss, J.Z. Inflorescence stems of the mdr1 mutant display altered gravitropism and phototropism. Environ. Exp. Bot. 2011, 70, 244–250. [Google Scholar] [CrossRef]
- Wang, B.; Shi, X.; Gao, J.; Liao, R.; Fu, J.; Bai, J.; Cui, H. SCARECROW Maintains the Stem Cell Niche in Arabidopsis Root by Ensuring Telomere Integrity. bioRxiv 2021. [Google Scholar] [CrossRef]
- Edelmann, H.G. Graviperception in Maize Plants: Is Amyloplast Sedimentation a Red Herring? Protoplasma 2018, 255, 1877–1881. [Google Scholar] [CrossRef]
- Huang, L.; Wang, W.; Zhang, N.; Cai, Y.; Liang, Y.; Meng, X.; Yuan, Y.; Li, J.; Wu, D.; Wang, Y. LAZY2 controls rice tiller angle through regulating starch biosynthesis in gravity-sensing cells. New Phytol. 2021, 231, 1073–1087. [Google Scholar] [CrossRef]
- Blancaflor, E.B.; Masson, P.H. Plant Gravitropism. Unraveling the Ups and Downs of a Complex Process. Plant Physiol. 2003, 133, 1677–1690. [Google Scholar] [CrossRef]
- Su, S.-H.; Keith, M.A.; Masson, P.H. Gravity Signaling in Flowering Plant Roots. Plants 2020, 9, 1290. [Google Scholar] [CrossRef]
- Telewski, F.W. A Unified Hypothesis of Mechanoperception in Plants. Am. J. Bot. 2006, 93, 1466–1476. [Google Scholar] [CrossRef]
- Morita, M.T.; Tasaka, M. Gravity Sensing and Signaling. Curr. Opin. Plant Biol. 2004, 7, 712–718. [Google Scholar] [CrossRef]
- Ditengou, F.A.; Teale, W.D.; Palme, K. Settling for Less: Do Statoliths Modulate Gravity Perception? Plants 2020, 9, 121. [Google Scholar] [CrossRef] [PubMed]
- Pardal, R.; Heidstra, R. Root Stem Cell Niche Networks: It’s Complexed! Insights from Arabidopsis. J. Exp. Bot. 2021, 72, 6727–6738. [Google Scholar] [CrossRef] [PubMed]






| F2 Generation of Cross | Sample Size | Hypocotyl Gravitropic | Hypocotyl Agravitropic | Segregation Ratio (Agravi./Gravi.) | χ2 < χ2 0.95 = 3.841 | p > 0.05 |
|---|---|---|---|---|---|---|
| scr1 male X shs1 female | 167 | 126 | 41 | 3.05:0.95 | χ2 = 0.017 | p > 0.05 |
| scr1 male X shs2 female | 150 | 92 | 58 | 2.5:1.5 | χ2 = 2.4 | p > 0.05 |
| scr1 male X shs3 female | 144 | 113 | 31 | 3.13:0.86 | χ2 = 0.925 | p > 0.05 |
| scr1 male X shs4 female | 156 | 120 | 36 | 3.07:0.92 | χ2 = 0.307 | p > 0.05 |
| scr1 male X shs5 female | 138 | 108 | 30 | 3.13:0.87 | χ2 = 0.782 | p > 0.05 |
| scr1 male X shs6 female | 323 | 249 | 74 | 3.08:0.92 | χ2 = 0.752 | p > 0.05 |
| scr1 male X shs7 female | 281 | 218 | 63 | 3.1:0.9 | χ2 = 0.997 | p > 0.05 |
| scr1 male X shs8 female | 173 | 123 | 50 | 2.84:1.16 | χ2 = 1.404 | p > 0.05 |
| scr1 male X shs9 female | 192 | 149 | 43 | 3.1:0.9 | χ2 = 0.694 | p > 0.05 |
| scr1 male X shs10 female | 313 | 237 | 76 | 3.03:0.97 | χ2 = 0.0862 | p > 0.05 |
| F2 Generation of Cross | Sample Size | Short Root (~1.5 cm) | Long Root (~2.7–5 cm) | Segregation Ratio | χ2 < χ2 0.95 = 3.841 | p > 0.05 |
|---|---|---|---|---|---|---|
| scr1 male X srs1 female | 96 | 75 | 21 | 3.125:0.875 | χ2 = 0.5 | p > 0.05 |
| scr1 male X srs2 female | 156 | 124 | 32 | 3.179:0.820 | χ2 = 1.66 | p > 0.05 |
| scr1 male X srs3 female | 132 | 104 | 28 | 3.151:0.848 | χ2 = 1.009 | p > 0.05 |
| F2 Generation of Cross | Sample Size | Hypocotyl Gravitropic | Hypocotyl Agravitropic | Segregation Ratio (Agravi./Gravi.) | χ2 < χ2 0.95 = 3.841 | p > 0.05 |
|---|---|---|---|---|---|---|
| shs1 male X shs3 female | 86 | 57 | 29 | 10.6:5.4 | χ2 = 3.5 | p > 0.05 |
| shs1 male X shs4 female | 133 | 83 | 50 | 9.98:6.02 | χ2 = 2.04 | p > 0.05 |
| shs1 male X shs8 female | 181 | 100 | 81 | 8.8:7.2 | χ2 = 0.073 | p > 0.05 |
| shs1 male X shs9 female | 110 | 66 | 44 | 9.2:6.8 | χ2 = 0.624 | p > 0.05 |
| shs1 male X shs10 female | 250 | 142 | 108 | 9.01:6.99 | χ2 = 0.022 | p > 0.05 |
| shs3 male X shs4 female | 208 | 121 | 86 | 9.3:6.7 | χ2 = 0.312 | p > 0.05 |
| shs3 male X shs8 female | 348 | 203 | 145 | 9.33:6.67 | χ2 = 0.613 | p > 0.05 |
| shs3 male X shs9 female | 410 | 239 | 171 | 9.32:6.68 | χ2 = 0.699 | p > 0.05 |
| shs3 male X shs10 female | 129 | 76 | 53 | 9.43:6.57 | χ2 = 0.108 | p > 0.05 |
| shs4 female X shs8 male | 510 | 287 | 223 | 9:7 | χ2 = 0.001 | p > 0.05 |
| shs4 female X shs9 male | 301 | 178 | 123 | 9.46:6.54 | χ2 = 1.018 | p > 0.05 |
| shs4 female X shs10 male | 165 | 100 | 65 | 9.7:6.3 | χ2 = 1.272 | p > 0.05 |
| shs8 male X shs9 female | 258 | 168 | 90 | 10.4:5.6 | χ2 = 2.4 | p > 0.05 |
| shs8 male X shs10 female | 340 | 199 | 141 | 9.36:6.67 | χ2 = 0.717 | p > 0.05 |
| shs9 male X shs10 female | 244 | 134 | 110 | 8.78:7.22 | χ2 = 0.175 | p > 0.05 |
| F2 Generation of Cross | Sample Size | Short Root (0.5–2 cm) | Long Root (2.5–6.0 cm) | Segregation Ratio | χ2 < χ2 0.95 = 3.841 | p > 0.05 |
|---|---|---|---|---|---|---|
| srs1 female X srs2 male | 500 | 285 | 215 | 9.12:6.88 | χ2 = 0.114 | p > 0.05 |
| srs1 male X srs3 female | 410 | 246 | 164 | 9.6:6.4 | χ2 = 2.34 | p > 0.05 |
| srs2 female X srs3 male | 346 | 205 | 141 | 9.48:6.52 | χ2 = 1.264 | p > 0.05 |
Publisher’s Note: MDPI stays neutral with regard to jurisdictional claims in published maps and institutional affiliations. |
© 2022 by the authors. Licensee MDPI, Basel, Switzerland. This article is an open access article distributed under the terms and conditions of the Creative Commons Attribution (CC BY) license (https://creativecommons.org/licenses/by/4.0/).
Share and Cite
Sharma, A.; Pervaiz, Z.H.; Wysocka-Diller, J. SCR Suppressor Mutants: Role in Hypocotyl Gravitropism and Root Growth in Arabidopsis thaliana. Int. J. Plant Biol. 2022, 13, 506-522. https://doi.org/10.3390/ijpb13040041
Sharma A, Pervaiz ZH, Wysocka-Diller J. SCR Suppressor Mutants: Role in Hypocotyl Gravitropism and Root Growth in Arabidopsis thaliana. International Journal of Plant Biology. 2022; 13(4):506-522. https://doi.org/10.3390/ijpb13040041
Chicago/Turabian StyleSharma, Archana, Zahida Hassan Pervaiz, and Joanna Wysocka-Diller. 2022. "SCR Suppressor Mutants: Role in Hypocotyl Gravitropism and Root Growth in Arabidopsis thaliana" International Journal of Plant Biology 13, no. 4: 506-522. https://doi.org/10.3390/ijpb13040041
APA StyleSharma, A., Pervaiz, Z. H., & Wysocka-Diller, J. (2022). SCR Suppressor Mutants: Role in Hypocotyl Gravitropism and Root Growth in Arabidopsis thaliana. International Journal of Plant Biology, 13(4), 506-522. https://doi.org/10.3390/ijpb13040041
