Severe Anaplasmosis with Multi-Organ Failure in a Patient with Splenectomy: A Case Report
Abstract
1. Background
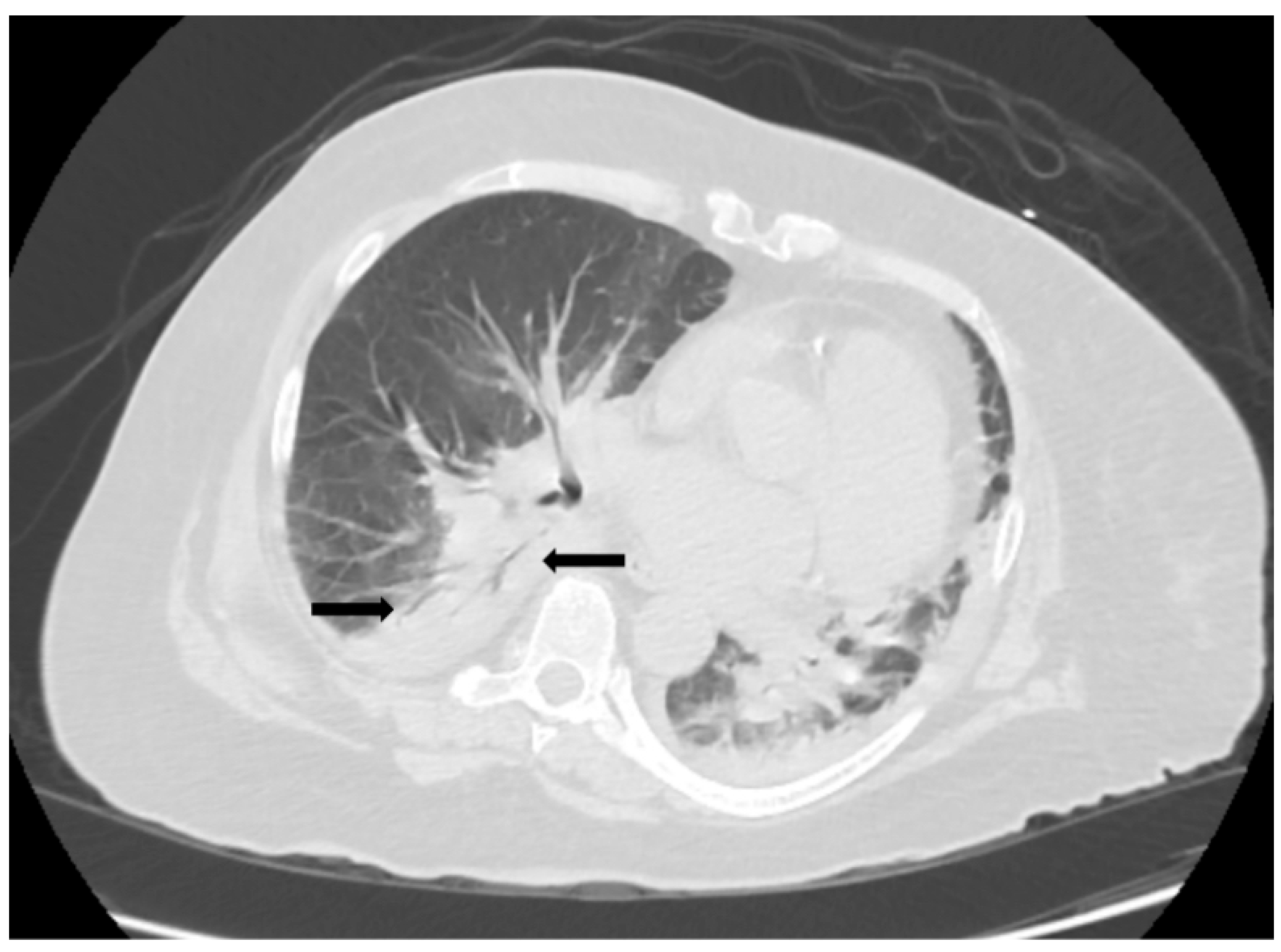
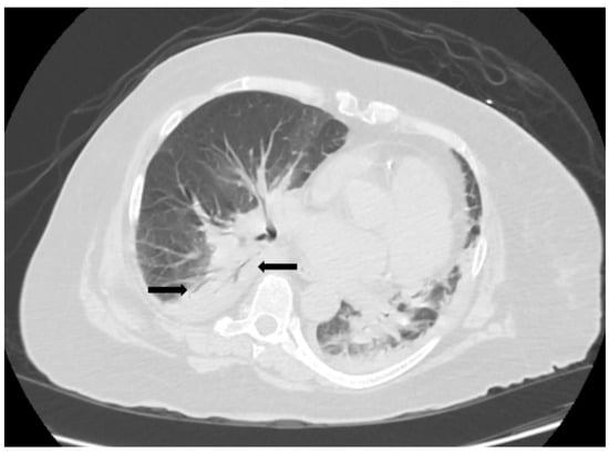
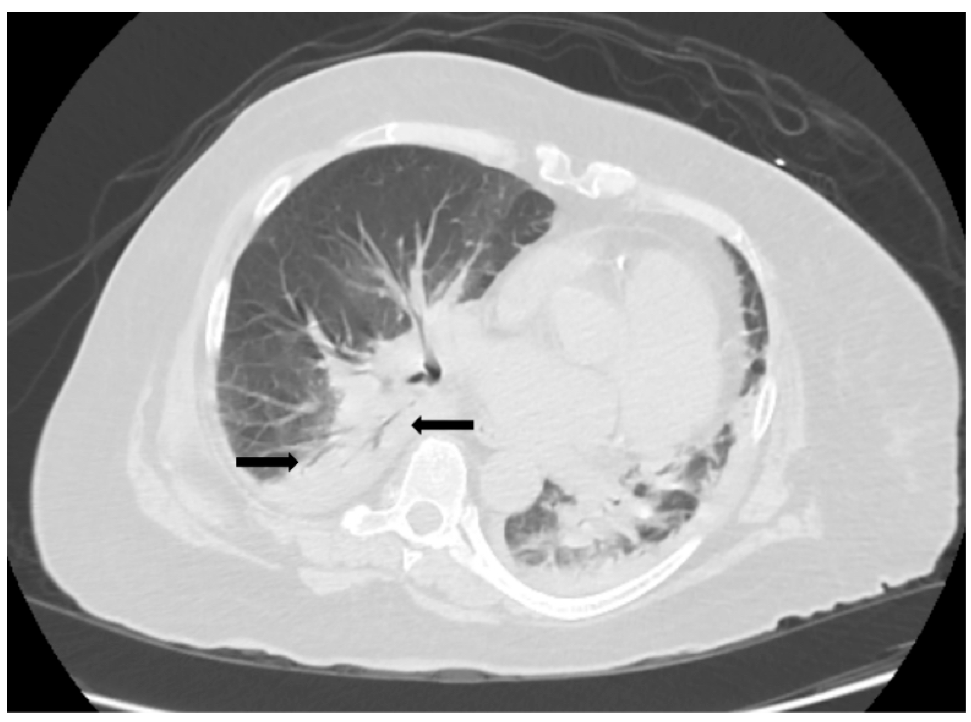
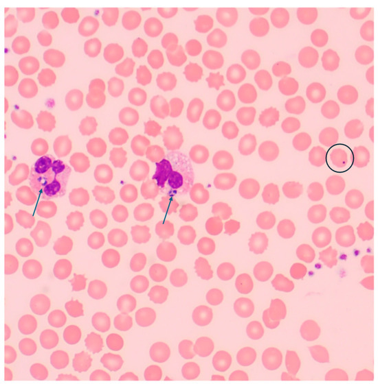
2. Case Presentation
3. Discussion and Conclusions
Author Contributions
Funding
Institutional Review Board Statement
Informed Consent Statement
Data Availability Statement
Conflicts of Interest
References
- MacQueen, D.; Centellas, F. Human Granulocytic Anaplasmosis. Infect. Dis. Clin. 2022, 36, 639–654. [Google Scholar] [CrossRef] [PubMed]
- Pace, E.J.; O’Reilly, M. Tickborne Diseases: Diagnosis and Management. Am. Fam. Physician 2020, 101, 530–540. [Google Scholar]
- Zhang, L.; Liu, Y.; Ni, D.; Li, Q.; Yu, Y.; Yu, X.J.; Wan, K.; Li, D.; Liang, G.; Jiang, X.; et al. Nosocomial transmission of human granulocytic anaplasmosis in China. JAMA 2008, 300, 2263–2270. [Google Scholar] [CrossRef]
- Fine, A.B.; Sweeney, J.D.; Nixon, C.P.; Knoll, B.M. Transfusion-transmitted anaplasmosis from a leukoreduced platelet pool. Transfusion 2016, 56, 699–704. [Google Scholar] [CrossRef]
- Dumic, I.; Jevtic, D.; Veselinovic, M.; Nordstrom, C.W.; Jovanovic, M.; Mogulla, V.; Veselinovic, E.M.; Hudson, A.; Simeunovic, G.; Petcu, E.; et al. Human Granulocytic Anaplasmosis-A Systematic Review of Published Cases. Microorganisms 2022, 10, 1433. [Google Scholar] [CrossRef] [PubMed]
- Cosiquien, R.J.S.; Stojiljkovic, N.; Nordstrom, C.W.; Amadi, E.; Lutwick, L.; Dumic, I. Anaplasma phagocytophilum Encephalitis: A Case Report and Literature Review of Neurologic Manifestations of Anaplasmosis. Infect. Dis. Rep. 2023, 15, 354–359. [Google Scholar] [CrossRef] [PubMed]
- Rivera, J.E.; Young, K.; Kwon, T.S.; McKenzie, P.A.; Grant, M.A.; McBride, D.A. Anaplasmosis Presenting with Respiratory Symptoms and Pneumonitis. Open Forum Infect. Dis. 2020, 7, ofaa265. [Google Scholar] [CrossRef]
- Dumic, I.; Person, E.; Igandan, O.; Adetimehin, O.; Nordstrom, C.W.; Williams, C.; Shweta, F. Anaplasma phagocytophilum Community-Acquired Pneumonia: Case Report and Literature Review. Microorganisms 2023, 11, 1483. [Google Scholar] [CrossRef]
- Rzechorzek, W.; Bandyopadhyay, D.; Pitaktong, A.; Ranjan, P.; Fuisz, A.; El-Khoury, M.Y.; Aronow, W.; Pan, S. Acute myopericarditis due to human granulocytic anaplasmosis. Futur. Cardiol. 2023, 19, 197–202. [Google Scholar] [CrossRef]
- Jevtic, D.; da Silva, M.D.; Haylock, A.B.; Nordstrom, C.W.; Oluic, S.; Pantic, N.; Nikolajevic, M.; Nikolajevic, N.; Kotseva, M.; Dumic, I. Hemophagocytic Lymphohistiocytosis (HLH) in Patients with Tick-Borne Illness: A Scoping Review of 98 Cases. Infect. Dis. Rep. 2024, 16, 154–169. [Google Scholar] [CrossRef]
- de Jesus, M.; Lopez, A.; Yabut, J.; Vu, S.; Manne, M.; Ibrahim, L.; Mutneja, R. Anaplasmosis-induced hemophagocytic lymphohistiocytosis. In Baylor University Medical Center Proceedings; Taylor & Francis: Abingdon, UK, 2022; Volume 35, pp. 379–381. [Google Scholar]
- Aydin, Y.; Vemuri, B.; Ahmed, S.M.; Elgamal, M.; Bilgin, S. Severe Anaplasmosis with Multiorgan Involvement in a Rheumatoid Arthritis Patient. Cureus 2023, 15, e41536. [Google Scholar] [CrossRef]
- Herbst, J.; Crissinger, T.; Baldwin, K. Diffuse Ischemic Strokes and Sickle Cell Crisis Induced by Disseminated Anaplasmosis: A Case Report. Case Rep. Neurol. 2019, 11, 271–276. [Google Scholar] [CrossRef]
- Goel, R.; Westblade, L.F.; Kessler, D.A.; Sfeir, M.; Slavinski, S.; Backenson, B.; Gebhardt, L.; Kane, K.; Laurence, J.; Scherr, D.; et al. Death from Transfusion-Transmitted Anaplasmosis, New York, USA, 2017. Emerg. Infect. Dis. J. 2018, 24, 1548–1550. [Google Scholar] [CrossRef] [PubMed]
- Tsiodras, S.; Spanakis, N.; Spanakos, G.; Pervanidou, D.; Georgakopoulou, T.; Campos, E.; Petra, T.; Kanellopoulos, P.; Georgiadis, G.; Antalis, E.; et al. Fatal human anaplasmosis associated with macrophage activation syndrome in Greece and the Public Health response. J. Infect. Public Health 2017, 10, 819–823. [Google Scholar] [CrossRef]
- Fan, E.; Brodie, D.; Slutsky, A.S. Acute Respiratory Distress Syndrome: Advances in Diagnosis and Treatment. JAMA 2018, 319, 698–710. [Google Scholar] [CrossRef] [PubMed]
- The ARDS Definition Task Force*. Acute Respiratory Distress Syndrome: The Berlin Definition. JAMA 2012, 307, 2526–2533. [Google Scholar]
- Tahir, F.; Ahmed, J.; Malik, F. Post-splenectomy Sepsis: A Review of the Literature. Cureus 2020, 12, e6898. [Google Scholar] [CrossRef] [PubMed]
- Shen, R.V.; McCarthy, C.A. Cardiac Manifestations of Lyme Disease. Infect. Dis. Clin. N. Am. 2022, 36, 553–561. [Google Scholar] [CrossRef]
- Spichler-Moffarah, A.; Ong, E.; O’Bryan, J.; Krause, P.J. Cardiac Complications of Human Babesiosis. Clin. Infect. Dis. 2023, 76, e1385–e1391. [Google Scholar] [CrossRef]
- Kariyawasam, V.; Shah, K. Myocarditis Secondary to Human Monocytotrophic Ehrlichiosis. Cureus 2024, 16, e59369. [Google Scholar] [CrossRef]
- Malik, A.; Jameel, M.N.; Ali, S.S.; Mir, S. Human granulocytic anaplasmosis affecting the myocardium. J. Gen. Intern. Med. 2005, 20, C8–C10. [Google Scholar] [CrossRef]
- Levy, A.M.; Martin, L.M.; Krakower, D.S.; Grandin, E.W. Case report: Human granulocytic anaplasmosis causes acute myopericarditis with atrial fibrillation. Eur. Heart J. Case Rep. 2023, 7, ytad026. [Google Scholar] [CrossRef] [PubMed]
- Zhuo, M.; Calev, H.; Saunders, S.J.; Li, J.; Stillman, I.E.; Danziger, J. Acute Kidney Injury Associated with Human Granulocytic Anaplasmosis: A Case Report. Am. J. Kidney Dis. 2019, 74, 696–699. [Google Scholar] [CrossRef] [PubMed]
- Patel, D.; Rane, R.P.; Sweedan, Y.; Ayaz, S.Z. A rare presentation of anaplasmosis with acute renal failure requiring continuous renal replacement therapy. Chest 2023, 164, A2447–A2448. [Google Scholar] [CrossRef]
- Bosch, X.; Poch, E.; Grau, J.M. Rhabdomyolysis and acute kidney injury. N. Engl. J. Med. 2009, 361, 62–72. [Google Scholar] [CrossRef]
- Peng, C.Y.; Desai, P.; Saleh, M.; Daniel, O. Severe rhabdomyolysis as a rare complication of human granulocytic anaplasmosis. IDCases 2024, 36, e01942. [Google Scholar] [CrossRef]
- Dumler, J.S.; Barat, N.C.; Barat, C.E.; Bakken, J.S. Human granulocytic anaplasmosis and macrophage activation. Clin. Infect. Dis. 2007, 45, 199–204. [Google Scholar] [CrossRef]
- Prasad, H.R.; Sharma, A.; Kothari, N.; Vyas, V.; Goyal, S. Atypical Presentation of Crimean-Congo Hemorrhagic Fever as Ascending Paralysis with Rhabdomyolysis. Indian J. Crit. Care Med. 2020, 24, 143–144. [Google Scholar] [PubMed]
- Overmiller, A.C.; Bitter, C.C. Rhabdomyolysis and Multisystem Organ Failure Due to Fulminant Ehrlichiosis Infection. Wilderness Environ. Med. 2021, 32, 226–229. [Google Scholar] [CrossRef]
- Jeandel, C.; Perret, C.; Blain, H.; Jouanny, P.; Penin, F.; Laurain, M.C. Rhabdomyolysis with acute renal failure due to Borrelia burgdorferi. J. Intern. Med. 1994, 235, 191–192. [Google Scholar] [CrossRef]
- Colomba, C.; Imburgia, C.; Trizzino, M.; Titone, L. First case of Mediterranean spotted fever-associated rhabdomyolysis leading to fatal acute renal failure and encephalitis. Int. J. Infect. Dis. 2014, 26, 12–13. [Google Scholar] [CrossRef]
- Henter, J.; Horne, A.; Aricó, M.; Egeler, R.M.; Filipovich, A.H.; Imashuku, S.; Ladisch, S.; McClain, K.; Webb, D.; Winiarski, J.; et al. HLH-2004: Diagnostic and therapeutic guidelines for hemophagocytic lymphohistiocytosis. Pediatr. Blood Cancer 2007, 48, 124–131. [Google Scholar] [CrossRef] [PubMed]
- Johnson, T.M.; Brown, M.S.; Rabbat, M.; Slim, J. Hemophagocytic Lymphohistiocytosis Associated with Anaplasmosis. J. Glob. Infect. Dis. 2017, 9, 76–78. [Google Scholar] [CrossRef] [PubMed]
- Rocco, J.M.; Mallarino-Haeger, C.; McCurry, D.; Shah, N. Severe anaplasmosis represents a treatable cause of secondary hemophagocytic lymphohistiocytosis: Two cases and review of literature. Ticks Tick-Borne Dis. 2020, 11, 101468. [Google Scholar] [CrossRef] [PubMed]



| Specimen | ||||
|---|---|---|---|---|
| Test | Blood | Urine | Sputum | Nasopharyngeal Swab |
| Bacteria/Candida Cultures | Negative | Negative | ||
| Legionella pneumophila antigen | Negative | |||
| Streptococcus pneumoniae antigen | Negative | |||
| Staphylococcus aureus, PCR | Negative | |||
| Methicillin resistant Staphylococcus aureus, PCR | Negative | |||
| Peripheral smear | Intraneutrophilic inclusion | |||
| Pneumocystis jiroveci PCR | Negative | |||
| Adenovirus | Negative | |||
| Coronavirus 229E | Negative | |||
| Coronavirus HKU1 | Negative | |||
| Coronavirus NL63 | Negative | |||
| Coronavirus OC43 | Negative | |||
| Coronavirus-2 | Negative | |||
| Influenza A Virus | Negative | |||
| Influenza B Virus | Negative | |||
| Respiratory Syncytial Virus | Negative | |||
| Borrelia burgdorferi PCR | Negative | |||
| Ehrlichia chaffeensis PCR | Negative | |||
| Ehrlichia ewingii/canis PCR | Negative | |||
| Ehrlichia muris eauclairensis PCR | Negative | |||
| Babesia microti PCR | Negative | |||
| Babesia duncani PCR | Negative | |||
| Babesia divergens/MO-1 PCR | Negative | |||
| Borrelia miyamotoi PCR | Negative | |||
| Lyme Ab Modified 2-Tier w/Reflex | Negative | |||
| Anaplasma phagocytophilum PCR | Positive | |||
| Hepatitis B Surface Antigen Screening | Negative | |||
| Hepatitis C IgM Ab | Negative | |||
| Hepatitis A IgM Ab | Negative | |||
| Hepatitis C virus Ab w/Reflex to Hepatitis C virus PCR, Serum | Negative | |||
| (1,3) Beta-D-Glucan, Quantitative | Negative | |||
| Aspergillus Ag | Negative | |||
| Coccidiosis Ab Screen | Negative | |||
| Histoplasma/Blastomyces Ag Result | Negative | |||
| Cryptococcus Ag Screen w/Titre | Negative | |||
| Day | |||||||||||
|---|---|---|---|---|---|---|---|---|---|---|---|
| Ref. Range | 1 | 2 | 3 | 4 | 5 | 6 | 7 | 8 | 9 | 10 | |
| Sodium | 135–145 mmol/L | 132 | 125 | 127 | 131 | 130 | 128 | 136 | 139 | 138 | 138 |
| Bicarbonate | 22–29 mmol/L | 24 | 26 | 22 | 16 | 22 | 23 | 27 | 28 | 29 | 29 |
| CPK | 26–192 U/L | 2444 | 2491 | 3085 | 1624 | 896 | 819 | 724 | |||
| Creatinine | 0.59–1.04 mg/dL | 0.74 | 0.89 | 1.98 | 2.63 | 2.61 | 2.15 | 2.13 | 2.16 | 1.95 | 1.76 |
| GFR | ≥60 mL/min/BSA | 80 | 64 | 25 | 18 | 18 | 20 | 21 | 22 | 25 | 28 |
| Bilirubin, Total | 0.0–1.2 mg/dL | 0.6 | 1.0 | 0.5 | 0.3 | 0.3 | 0.3 | 0.4 | 0.5 | 0.9 | |
| ALT | 7–45 U/L | 282 | 255 | 191 | 165 | 129 | 123 | 110 | 94 | 63 | |
| AST | 8–43 U/L | 423 | 334 | 264 | 205 | 125 | 116 | 85 | 65 | 39 | |
| ALP | 35–104 U/L | 185 | 209 | 201 | 208 | 178 | 161 | 141 | 138 | 120 | |
| Troponins | ≤10 ng/L | 45 | 183 | 192 | 165 | 134 | |||||
| Procalcitonin | 0.00–0.24 ng/mL | 0.34 | 4.88 | 56.01 | 8.11 | 3.55 | |||||
| CRP | <5.0 mg/L | 128.1 | 272.2 | 164.0 | 69.7 | 11.8 | |||||
| Ferritin | 11–328 mcg/L | 3338 | 5116 | 1989 | 1235 | 817 | 498 | 361 | |||
| Triglyceride | <150 mg/dL | 75 | 329 | 136 | |||||||
| Hemoglobin | 11.6–15.0 g/dL | 13.9 | 13.2 | 13.1 | 12.6 | 12.3 | 11.5 | 11.3 | 10.9 | 9.0 | 9.2 |
| Hematocrit | 35.5–44.9% | 41.0 | 38.6 | 38.0 | 37.3 | 34.5 | 32.9 | 32.2 | 32.0 | 27.0 | 27.0 |
| Platelet count | 157–371 × 109/L | 248 | 190 | 172 | 153 | 153 | 159 | 195 | 277 | 394 | 521 |
| Leukocytes | 3.4–9.6 × 109/L | 8.1 | 7.6 | 10.9 | 9.2 | 13.0 | 16.8 | 20.6 | 15.4 | 13.7 | 12.1 |
Disclaimer/Publisher’s Note: The statements, opinions and data contained in all publications are solely those of the individual author(s) and contributor(s) and not of MDPI and/or the editor(s). MDPI and/or the editor(s) disclaim responsibility for any injury to people or property resulting from any ideas, methods, instructions or products referred to in the content. |
© 2025 by the authors. Licensee MDPI, Basel, Switzerland. This article is an open access article distributed under the terms and conditions of the Creative Commons Attribution (CC BY) license (https://creativecommons.org/licenses/by/4.0/).
Share and Cite
Karnan, N.; Jancic, P.; Dumic, I.; Amadi, E.; Kommineni, V.; Stojsavljevic, J.; Shiari, A.; Hart, M.; Jabr, R.; Nordstrom, C.W. Severe Anaplasmosis with Multi-Organ Failure in a Patient with Splenectomy: A Case Report. Infect. Dis. Rep. 2025, 17, 38. https://doi.org/10.3390/idr17020038
Karnan N, Jancic P, Dumic I, Amadi E, Kommineni V, Stojsavljevic J, Shiari A, Hart M, Jabr R, Nordstrom CW. Severe Anaplasmosis with Multi-Organ Failure in a Patient with Splenectomy: A Case Report. Infectious Disease Reports. 2025; 17(2):38. https://doi.org/10.3390/idr17020038
Chicago/Turabian StyleKarnan, Nithin, Predrag Jancic, Igor Dumic, Emeka Amadi, Vishnu Kommineni, Jelena Stojsavljevic, Aryan Shiari, Melissa Hart, Ra’ed Jabr, and Charles W. Nordstrom. 2025. "Severe Anaplasmosis with Multi-Organ Failure in a Patient with Splenectomy: A Case Report" Infectious Disease Reports 17, no. 2: 38. https://doi.org/10.3390/idr17020038
APA StyleKarnan, N., Jancic, P., Dumic, I., Amadi, E., Kommineni, V., Stojsavljevic, J., Shiari, A., Hart, M., Jabr, R., & Nordstrom, C. W. (2025). Severe Anaplasmosis with Multi-Organ Failure in a Patient with Splenectomy: A Case Report. Infectious Disease Reports, 17(2), 38. https://doi.org/10.3390/idr17020038

