Delayed Diagnosis of Disseminated Invasive Aspergillosis with Purulent Myocarditis in an Immunocompromised Host
Abstract
1. Introduction
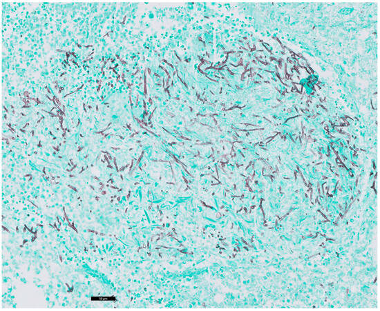
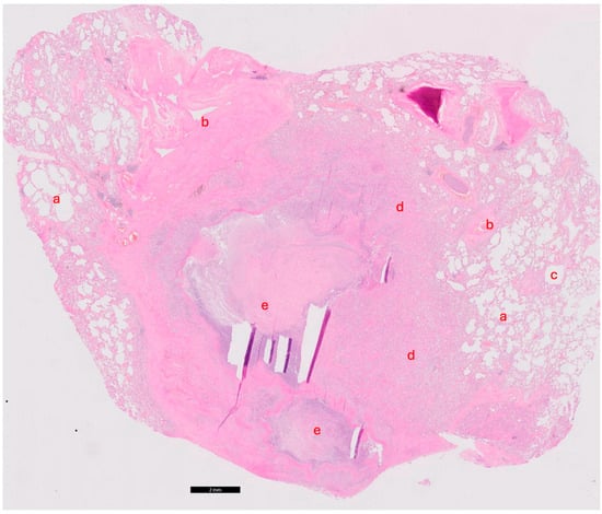
2. Detailed Case Description
3. Discussion
4. Conclusions
Author Contributions
Funding
Institutional Review Board Statement
Informed Consent Statement
Data Availability Statement
Conflicts of Interest
References
- Mousavi, B.; Hedayati, M.T.; Hedayati, N.; Ilkit, M.; Syedmousavi, S. Aspergillus species in indoor environments and their possible occupational and public health hazards. Curr. Med. Mycol. 2016, 2, 36–42. [Google Scholar] [CrossRef] [PubMed]
- Donnelly, J.P.; Chen, S.C.; Kauffman, C.A.; Steinbach, W.J.; Baddley, J.W.; Verweij, P.E.; Clancy, C.J.; Wingard, J.R.; Lockhart, S.R.; Groll, A.H.; et al. Revision and Update of the Consensus Definitions of Invasive Fungal Disease from the European Organization for Research and Treatment of Cancer and the Mycoses Study Group Education and Research Consortium. Clin. Infect. Dis. 2020, 71, 1367–1376. [Google Scholar] [CrossRef] [PubMed]
- Denning, D.W. Invasive aspergillosis. Clin. Infect. Dis. 1998, 26, 781–805. [Google Scholar] [CrossRef] [PubMed]
- Vallabhaneni, S.; Benedict, K.; Derado, G.; Mody, R.K. Trends in Hospitalizations Related to Invasive Aspergillosis and Mucormycosis in the United States, 2000–2013. Open Forum Infect. Dis. 2017, 4, ofw268. [Google Scholar] [CrossRef]
- Herbrecht, R.; Bories, P.; Moulin, J.; Ledoux, M.; Letscher-Bru, V. Risk stratification for invasive aspergillosis in immunocompromised patients. Ann. N. Y. Acad. Sci. 2012, 1272, 23–30. [Google Scholar] [CrossRef]
- Huang, W.-N.; Chuo, C.-Y.; Lin, C.-H.; Chen, Y.-M.; Lin, W.-S.; Tuckwell, K.; Jones, N.S.; Galanter, J.; Lindsay, L. Serious Infection Rates Among Patients with Select Autoimmune Conditions: A Claims-Based Retrospective Cohort Study from Taiwan and the USA. Rheumatol. Ther. 2023, 10, 387–404. [Google Scholar] [CrossRef]
- Fei, Y.; Shi, X.; Gan, F.; Li, X.; Zhang, W.; Li, M.; Hou, Y.; Zhang, X.; Zhao, Y.; Zeng, X.; et al. Death causes and pathogens analysis of systemic lupus erythematosus during the past 26 years. Clin. Rheumatol. 2014, 33, 57–63. [Google Scholar] [CrossRef] [PubMed]
- Ocampo-Piraquive, V.; Nieto-Aristizábal, I.; Cañas, C.A.; Tobón, G.J. Mortality in systemic lupus erythematosus: Causes, predictors and interventions. Expert Rev. Clin. Immunol. 2018, 14, 1043–1053. [Google Scholar] [CrossRef] [PubMed]
- Bullis, S.S.; Krywanczyk, A.; Hale, A.J. Aspergillosis myocarditis in the immunocompromised host. IDCases 2019, 17, e00567. [Google Scholar] [CrossRef]
- Dang-Tran, K.-D.; Chabbert, V.; Esposito, L.; Guilbeau-Frugier, C.; Dédouit, F.; Rostaing, L.; Rousseau, H.; Otal, P.; Kamar, N. Isolated Aspergillosis Myocardial Abscesses in a Liver-Transplant Patient. Case Rep. Transplant. 2014, 2014, 418357. [Google Scholar] [CrossRef]
- Yoshino, T.; Nishida, H.; Takita, T.; Nemoto, M.; Sakauchi, M.; Hatano, M.; Koyama, K.; Hori, M.; Obara, K. A Report of 2 Cases of Disseminated Invasive Aspergillosis with Myocarditis in Immunocompromised Patients. Open J. Pathol. 2013, 3, 166–169. [Google Scholar] [CrossRef]
- Xie, L.; Gebre, W.; Szabo, K.; Lin, J.H. Cardiac aspergillosis in patients with acquired immunodeficiency syndrome: A case report and review of the literature. Arch. Pathol. Lab. Med. 2005, 129, 511–515. [Google Scholar] [CrossRef] [PubMed]
- Cornet, M.; Mallat, H.; Somme, D.; Guérot, E.; Kac, G.; Mainardi, J.L.; Fornes, P.; Gutmann, L.; Lavarde, V. Fulminant invasive pulmonary aspergillosis in immunocompetent patients—A two-case report. Clin. Microbiol. Infect. 2003, 9, 1224–1227. [Google Scholar] [CrossRef]
- Rouby, Y.; Combourieu, E.; Perrier-Gros-Claude, J.; Saccharin, C.; Huerre, M. A case of Aspergillus myocarditis associated with septic shock. J. Infect. 1998, 37, 295–297. [Google Scholar] [CrossRef] [PubMed]
- Cishek, M.B.; Schaefer, S.; Yost, B. Cardiac aspergillosis presenting as myocardial infarction. Clin. Cardiol. 1996, 19, 824–827. [Google Scholar] [CrossRef] [PubMed]
- Cox, J.N.; di Dió, F.; Pizzolato, G.P.; Lerch, R.; Pochon, N. Aspergillus endocarditis and myocarditis in a patient with the acquired immunodeficiency syndrome (AIDS). A review of the literature. Virchows Arch. A Pathol. Anat. Histopathol. 1990, 417, 255–259. [Google Scholar] [CrossRef]
- Rogers, J.G.; Windle, J.R.; McManus, B.M.; Easley, A.R. Aspergillus myocarditis presenting as myocardial infarction with complete heart block. Am. Heart J. 1990, 120, 430–432. [Google Scholar] [CrossRef]
- Burke, B.J.; Storring, F.K.; Parry, T.E. Disseminated aspergillosis. Thorax 1970, 25, 702–707. [Google Scholar] [CrossRef][Green Version]
- Fraumeni, J.F.; Fear, R.E. Purulent Pericarditis in Aspergillosis. Ann. Intern. Med. 1962, 57, 823–828. [Google Scholar] [CrossRef]
- Gow, N.A.R.; Netea, M.G. Medical mycology and fungal immunology: New research perspectives addressing a major world health challenge. Philos. Trans. R. Soc. B Biol. Sci. 2016, 371, 20150462. [Google Scholar] [CrossRef]
- Obar, J.J. Sensing the threat posed by Aspergillus infection. Curr. Opin. Microbiol. 2020, 58, 47–55. [Google Scholar] [CrossRef] [PubMed]
- Rivera, A.; Ro, G.; Van Epps, H.L.; Simpson, T.; Leiner, I.; Sant’Angelo, D.B.; Pamer, E.G. Innate Immune Activation and CD4+ T Cell Priming during Respiratory Fungal Infection. Immunity 2006, 25, 665–675. [Google Scholar] [CrossRef] [PubMed]
- Perruccio, K.; Tosti, A.; Burchielli, E.; Topini, F.; Ruggeri, L.; Carotti, A.; Capanni, M.; Urbani, E.; Mancusi, A.; Aversa, F.; et al. Transferring functional immune responses to pathogens after haploidentical hematopoietic transplantation. Blood 2005, 106, 4397–4406. [Google Scholar] [CrossRef] [PubMed]
- Dagenais, T.R.T.; Keller, N.P. Pathogenesis of Aspergillus fumigatus in invasive aspergillosis. Clin. Microbiol. Rev. 2009, 22, 447–465. [Google Scholar] [CrossRef] [PubMed]
- Kyrmizi, I.; Gresnigt, M.S.; Akoumianaki, T.; Samonis, G.; Sidiropoulos, P.; Boumpas, D.; Netea, M.G.; Van De Veerdonk, F.L.; Kontoyiannis, D.P.; Chamilos, G. Corticosteroids block autophagy protein recruitment in Aspergillus fumigatus phagosomes via targeting Dectin-1/syk kinase signaling. J. Immunol. 2013, 191, 1287–1299. [Google Scholar] [CrossRef] [PubMed]
- Lv, Q.K.; Liu, J.X.; Li, S.N.; Gao, Y.J.; Lv, Y.; Xu, Z.P.; Huang, B.X.; Xu, S.Y.; Yang, D.X.; Zeng, Y.L.; et al. Mycophenolate Mofetil Modulates Differentiation of Th1/Th2 and the Secretion of Cytokines in an Active Crohn’s Disease Mouse Model. Int. J. Mol. Sci. 2015, 16, 26654–26666. [Google Scholar] [CrossRef]
- Liu, W.; Xie, S.; Zhu, G.; Chen, Q.; Chen, P.; Wu, A.; Li, M.; Yin, S.; Feng, P. Diagnosis of multiple tuberculous muscle abscesses in a patient with systemic lupus erythematosus by metagenomic next-generation sequencing- a case report and literature review. BMC Infect. Dis. 2024, 24, 284. [Google Scholar] [CrossRef]
- Ishino, Y.; Fukasawa, H.; Kitamoto, S.; Nakagami, D.; Kaneko, M.; Yasuda, H.; Furuya, R. A survival case of visceral disseminated varicella zoster virus infection in a patient with systemic lupus erythematosus. BMC Nephrol. 2023, 24, 164. [Google Scholar] [CrossRef]
- Boch, T.; Buchheidt, D.; Spiess, B.; Miethke, T.; Hofmann, W.-K.; Reinwald, M. Direct comparison of galactomannan performance in concurrent serum and bronchoalveolar lavage samples in immunocompromised patients at risk for invasive pulmonary aspergillosis. Mycoses 2016, 59, 80–85. [Google Scholar] [CrossRef]
- Terrero-Salcedo, D.; Powers-Fletcher, M.V. Updates in Laboratory Diagnostics for Invasive Fungal Infections. J. Clin. Microbiol. 2020, 58, e01487-19. [Google Scholar] [CrossRef]
- Lauer, B.; Niederau, C.; Kühl, U.; Schannwell, M.; Pauschinger, M.; Strauer, B.-E.; Schultheiss, H.-P. Cardiac Troponin T in Patients With Clinically Suspected Myocarditis. J. Am. Coll. Cardiol. 1997, 30, 1354–1359. [Google Scholar] [CrossRef] [PubMed]
- Eggers, K.M.; Lindahl, B. Application of Cardiac Troponin in Cardiovascular Diseases Other Than Acute Coronary Syndrome. Clin. Chem. 2017, 63, 223–235. [Google Scholar] [CrossRef] [PubMed]





| Ref. | History | Immunosuppressive Medication | Antifungal Treatment | Cardiac Imaging | Myocarditis Diagnosis Confirmed by | Other Organ Systems Affected on Autopsy |
|---|---|---|---|---|---|---|
| [9] | Eosinophilic granulomatosis with polyangiitis | Long-term prednisone and rituximab | None | TTE: reduced left ventricular function, no abscesses seen | Abscess culture | Lungs |
| [10] | Recent liver transplantation | Mycophenolate mofetil Tacrolimus Corticosteroids | Caspofungin Amphotericin B | CT and MRI: suspected intramyocardial abscess | Abscess culture | Lungs, liver, kidney, skin |
| [11] | Acute myeloid leukemia | Recent course of cytarabine chemotherapy | Amphotericin B Micafungin | TTE: decreased wall motion (not specified) | Fungal hyphae on microscopy | Lungs |
| [11] | Rheumatoid arthritis Chronic renal failure Pancytopenia | Long-term methotrexate | None | None | Fungal hyphae on microscopy | Lungs, spleen, kidneys |
| [12] | HIV (CD4 79/mm3) | None | Caspofungin Voriconazole | TTE: mitral valve leaflet vegetation | Fungal hyphae on microscopy | Kidneys, adrenal gland |
| [13] | Bronchiectasis | Long-term inhalation corticosteroids and 1 week of prednisone | None | None | Fungal hyphae on microscopy | Lungs |
| [14] | Chronic obstructive pulmonary disease Right-sided heart failure | Methylprednisolone 120 mg OD for 3 weeks | None | TTE: non dilated hypokinetic left ventricle | Fungal hyphae on microscopy | None |
| [15] | Treatment resistant severe ulcerative colitis | High-dose prednisone and 6-mercaptopurine, duration not specified | None | TTE: pericardial effusion and regional hypokinesia of the left ventricle | Fungal hyphae on microscopy | Lungs, kidneys, liver, thyroid, spleen, brain |
| [16] | HIV (CD4 12/mm3) | Corticosteroids for suspected PJP, duration not specified | None | TTE: mobile, globular masses in the left ventricular cavity | Fungal hyphae on microscopy | Kidney, brain |
| [17] | Persisting arrhythmias following recent coronary artery bypass surgery | 3 weeks of methylprednisolone | None | None | Fungal hyphae on microscopy | Lungs |
| [18] | Recent surgery for dissecting aortic aneurysm | 1 week of hydrocortisone | Amphotericin B | None | Fungal hyphae on microscopy | Lungs, kidneys, brain |
| [19] | Lymphosarcoma | 8 days of high dose prednisone | None | None | Fungal hyphae on microscopy | Lungs, kidneys, thyroid, brain |
Disclaimer/Publisher’s Note: The statements, opinions and data contained in all publications are solely those of the individual author(s) and contributor(s) and not of MDPI and/or the editor(s). MDPI and/or the editor(s) disclaim responsibility for any injury to people or property resulting from any ideas, methods, instructions or products referred to in the content. |
© 2024 by the authors. Licensee MDPI, Basel, Switzerland. This article is an open access article distributed under the terms and conditions of the Creative Commons Attribution (CC BY) license (https://creativecommons.org/licenses/by/4.0/).
Share and Cite
Londema, M.; Nijsten, M.W.N.; Bart, J.; Wiegersma, J.S.; Sinha, B.N.M.; Postma, D.F. Delayed Diagnosis of Disseminated Invasive Aspergillosis with Purulent Myocarditis in an Immunocompromised Host. Infect. Dis. Rep. 2024, 16, 1182-1190. https://doi.org/10.3390/idr16060093
Londema M, Nijsten MWN, Bart J, Wiegersma JS, Sinha BNM, Postma DF. Delayed Diagnosis of Disseminated Invasive Aspergillosis with Purulent Myocarditis in an Immunocompromised Host. Infectious Disease Reports. 2024; 16(6):1182-1190. https://doi.org/10.3390/idr16060093
Chicago/Turabian StyleLondema, Mark, Maarten W. N. Nijsten, Joost Bart, Janke S. Wiegersma, Bhanu N. M. Sinha, and Douwe F. Postma. 2024. "Delayed Diagnosis of Disseminated Invasive Aspergillosis with Purulent Myocarditis in an Immunocompromised Host" Infectious Disease Reports 16, no. 6: 1182-1190. https://doi.org/10.3390/idr16060093
APA StyleLondema, M., Nijsten, M. W. N., Bart, J., Wiegersma, J. S., Sinha, B. N. M., & Postma, D. F. (2024). Delayed Diagnosis of Disseminated Invasive Aspergillosis with Purulent Myocarditis in an Immunocompromised Host. Infectious Disease Reports, 16(6), 1182-1190. https://doi.org/10.3390/idr16060093

