Intracranial Tuberculoma Mimicking Neurosarcoidosis: A Clinical Challenge
Abstract
1. Introduction
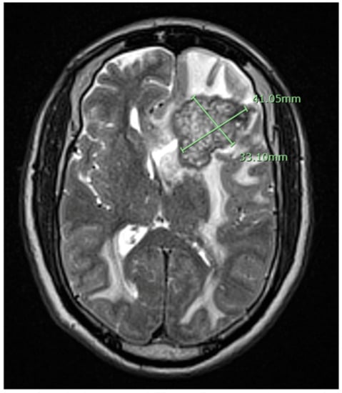
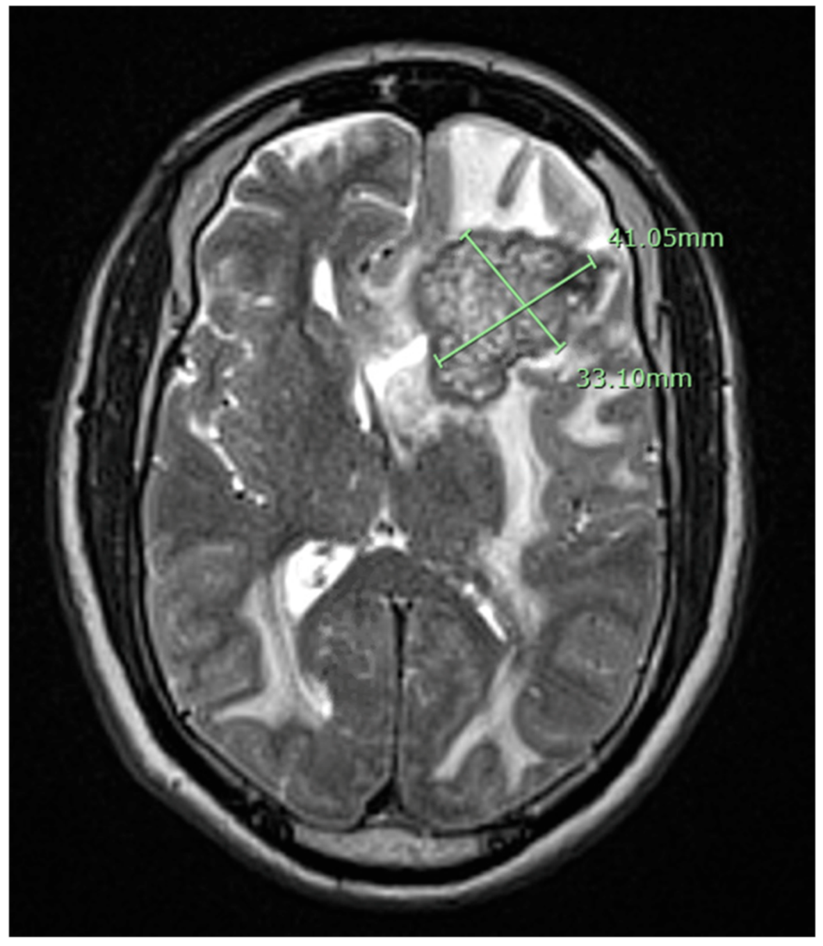
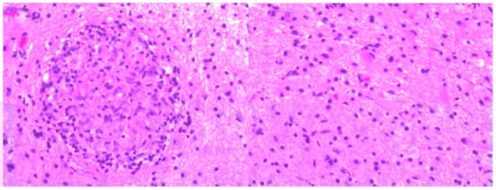
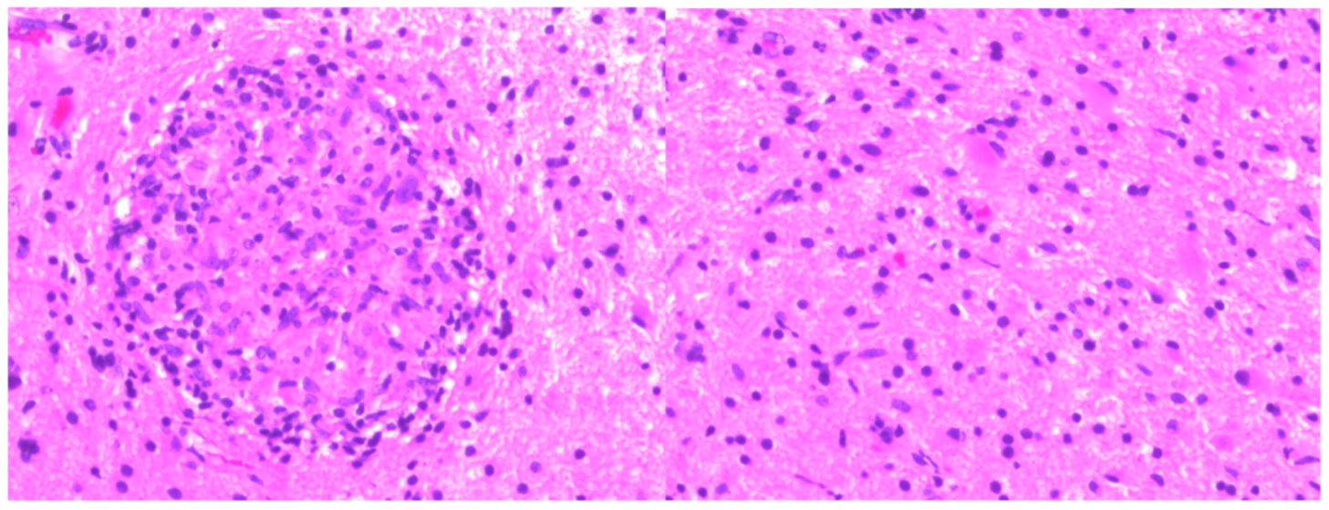
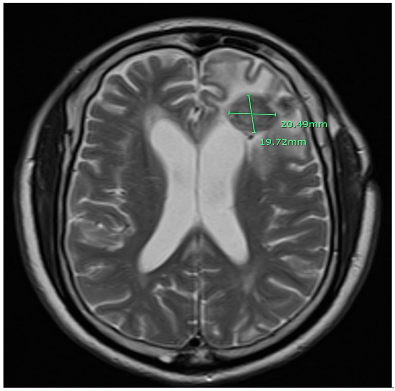
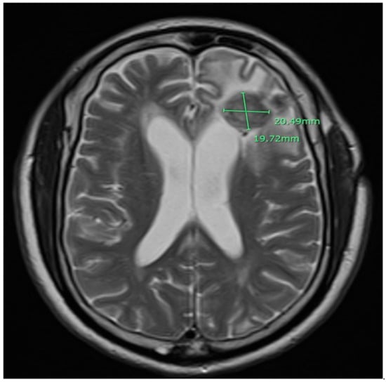
2. Case Presentation
3. Discussion
4. Conclusions
Author Contributions
Funding
Institutional Review Board Statement
Informed Consent Statement
Conflicts of Interest
References
- Rock, R.B.; Olin, M.; Baker, C.A.; Molitor, T.W.; Peterson, P.K. Central nervous system tuberculosis: Pathogenesis and clinical aspects. Clin. Microbiol. Rev. 2008, 21, 243–261. [Google Scholar] [CrossRef] [PubMed]
- Berenguer, J.; Moreno, S.; Laguna, F.; Vicente, T.; Adrados, M.; Ortega, A.; González-LaHoz, J.; Bouza, E. Tuberculous meningitis in patients infected with the human immunodeficiency virus. N. Engl. J. Med. 1992, 326, 668–672. [Google Scholar] [CrossRef] [PubMed]
- Salaskar, A.L.; Hassaneen, W.; Keenan, C.H.; Suki, D. Intracranial tuberculoma mimicking brain metastasis. J. Cancer Res. Ther. 2015, 11, 653. [Google Scholar] [PubMed]
- Ramachandran, R.; Muniyandi, M.; Iyer, V.; Sripriya, T.; Priya, B.; Govindarajan, T.G. Dilemmas in the diagnosis and treatment of intracranial tuberculomas. J. Neurol. Sci. 2017, 381, 256–264. [Google Scholar] [CrossRef] [PubMed]
- Trivedi, R.; Saksena, S.; Gupta, R. Magnetic resonance imaging in central nervous system tuberculosis. Indian J. Radiol. Imaging 2009, 19, 256–265. [Google Scholar]
- Sonmez, G.; Ozturk, E.; Sildiroglu, H.O.; Mutlu, H.; Cuce, F.; Senol, M.G.; Kutlu, A.; Basekim, C.C.; Kizilkaya, E. MRI findings of intracranial tuberculomas. Clin. Imaging 2008, 32, 88–92. [Google Scholar] [CrossRef] [PubMed]
- Badar, F.; Azfar, S.F.; Ahmad, I.; Yasmeen, S.; Kirmani, S. Diagnostic difficulties in differentiating sarcoidosis from tuberculosis. Oman. Med. J. 2011, 26, 210–211. [Google Scholar] [CrossRef]
- Sethi, P.; Treece, J.; Onweni, C.; Pai, V.; Rahman, Z.; Singh, S. The importance of a complete differential: Case report of a tuberculoma in a patient without pulmonary involvement. Cureus 2017, 9, e1405. [Google Scholar] [CrossRef]
- Yanardag, H.; Uygun, S.; Yumuk, V.; Caner, M.; Canbaz, B. Cerebral tuberculosis mimicking intracranial tumour. Singap. Med. J. 2005, 46, 731–733. [Google Scholar]
- Nakamura, H.; Tanaka, H.; Ibayashi, S.; Fujishima, M. A case of intracranial tuberculoma early diagnosed by open brain biopsy. No To Shinkei 2001, 53, 387–390. [Google Scholar]
- Cortez, K.; Kottilil, S.; Mermel, L.A. Intracerebral tuberculoma misdiagnosed as neurosarcoidosis. South Med. J. 2003, 96, 494–496. [Google Scholar] [CrossRef] [PubMed]
- Yu, J.; Shen, J.; Wang, L.; Zhu, R.; Wu, J. A case report of atypical sarcoidosis misdiagnosed as tuberculosis. Radiol. Infect. Dis. 2016, 3, 40–43. [Google Scholar] [CrossRef]



Publisher’s Note: MDPI stays neutral with regard to jurisdictional claims in published maps and institutional affiliations. |
© 2021 by the authors. Licensee MDPI, Basel, Switzerland. This article is an open access article distributed under the terms and conditions of the Creative Commons Attribution (CC BY) license (http://creativecommons.org/licenses/by/4.0/).
Share and Cite
Abbasi, F.; Ozer, M.; Juneja, K.; Goksu, S.Y.; Mobarekah, B.J.; Whitman, M.S. Intracranial Tuberculoma Mimicking Neurosarcoidosis: A Clinical Challenge. Infect. Dis. Rep. 2021, 13, 181-186. https://doi.org/10.3390/idr13010020
Abbasi F, Ozer M, Juneja K, Goksu SY, Mobarekah BJ, Whitman MS. Intracranial Tuberculoma Mimicking Neurosarcoidosis: A Clinical Challenge. Infectious Disease Reports. 2021; 13(1):181-186. https://doi.org/10.3390/idr13010020
Chicago/Turabian StyleAbbasi, Fatemah, Muhammet Ozer, Kirti Juneja, Suleyman Yasin Goksu, Babak Jamasian Mobarekah, and Marc S. Whitman. 2021. "Intracranial Tuberculoma Mimicking Neurosarcoidosis: A Clinical Challenge" Infectious Disease Reports 13, no. 1: 181-186. https://doi.org/10.3390/idr13010020
APA StyleAbbasi, F., Ozer, M., Juneja, K., Goksu, S. Y., Mobarekah, B. J., & Whitman, M. S. (2021). Intracranial Tuberculoma Mimicking Neurosarcoidosis: A Clinical Challenge. Infectious Disease Reports, 13(1), 181-186. https://doi.org/10.3390/idr13010020

