Correction: Koush et al. Chitosan-Stabilized Lipid Vesicles with Indomethacin for Modified Release with Prolonged Analgesic Effect: Biocompatibility, Pharmacokinetics and Organ Protection Efficacy. Pharmaceutics 2025, 17, 523
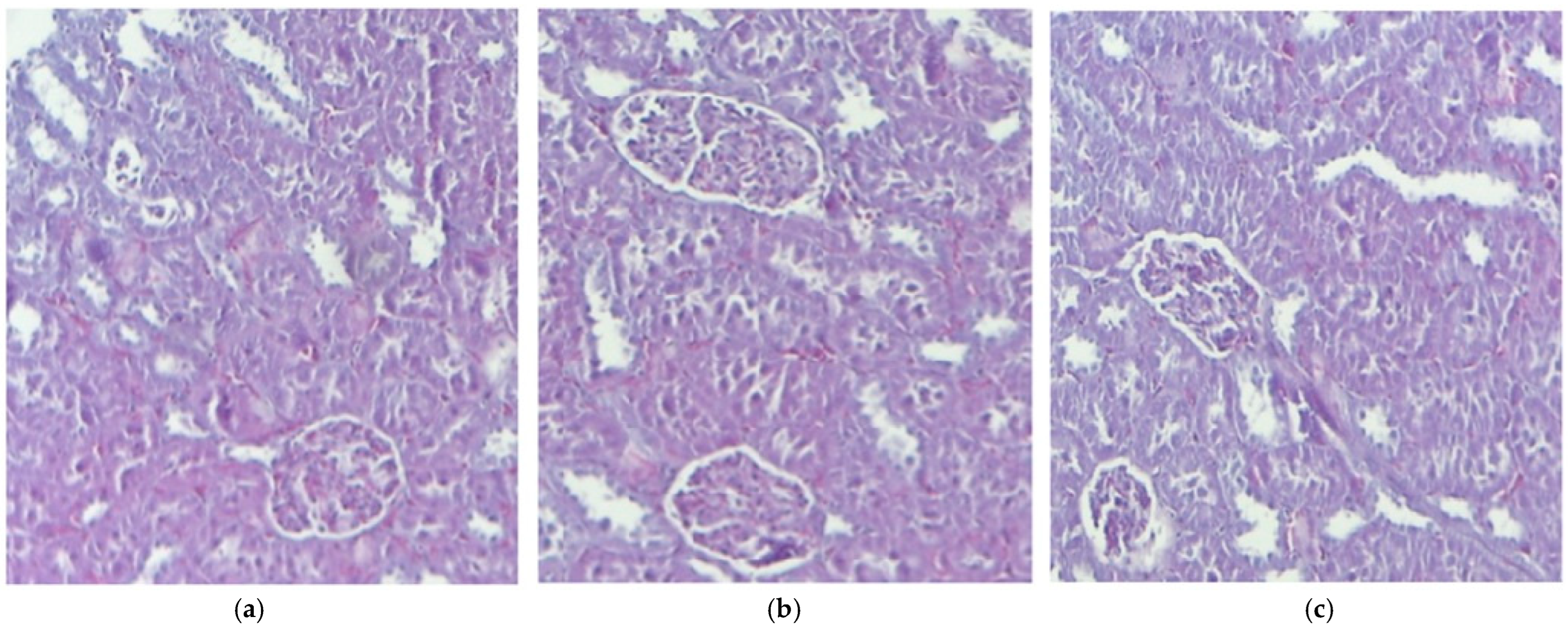
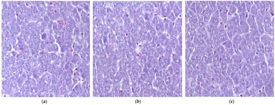
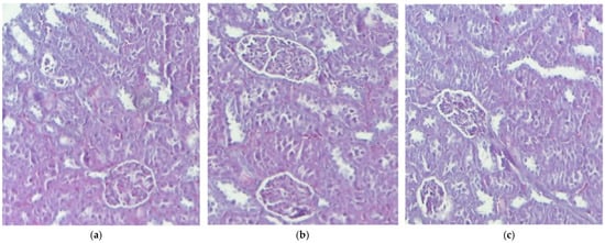
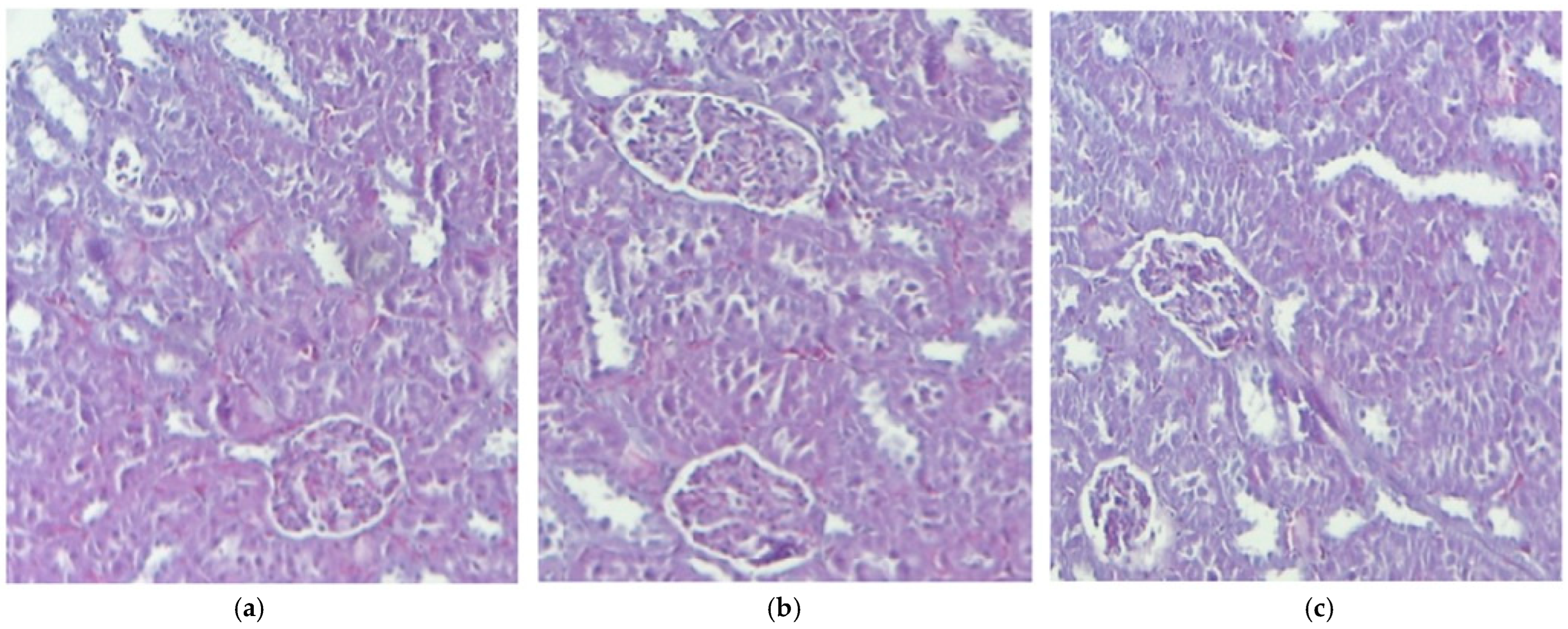
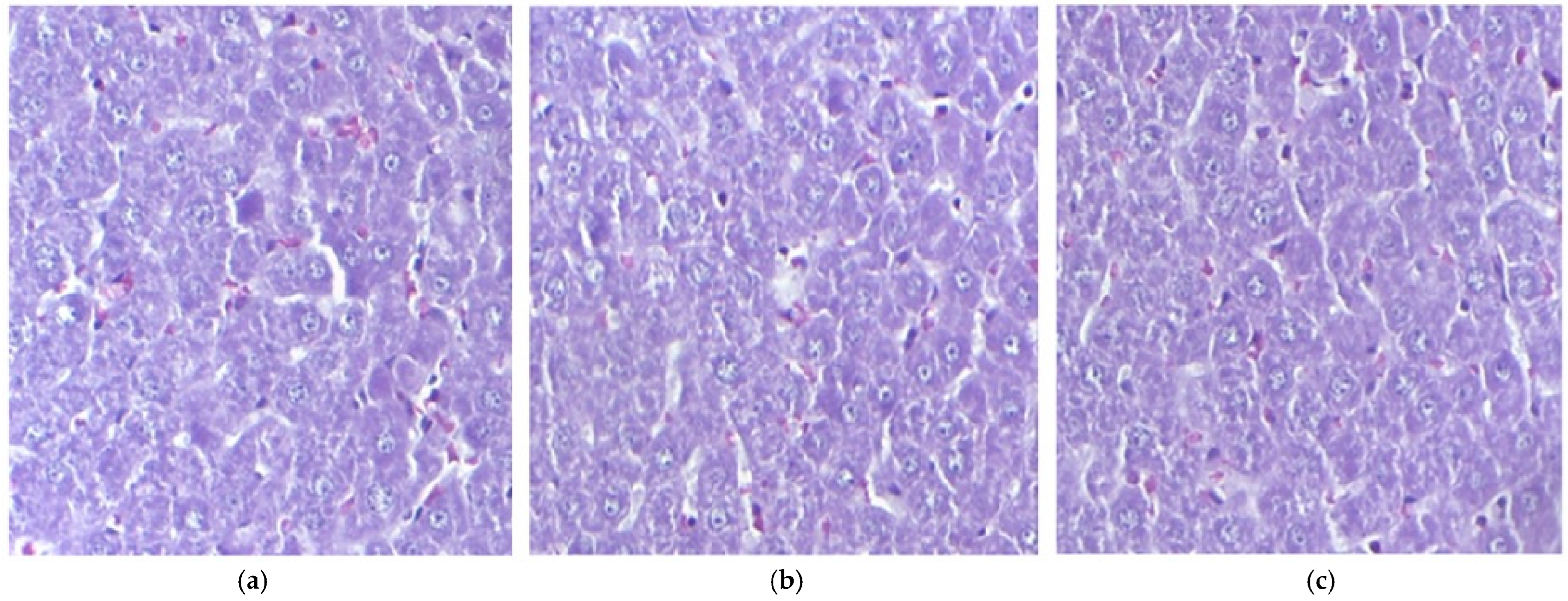
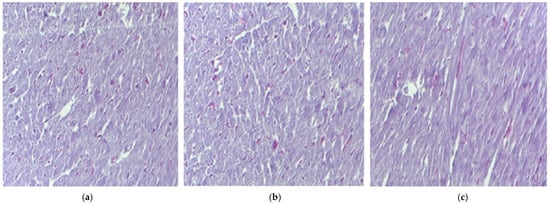
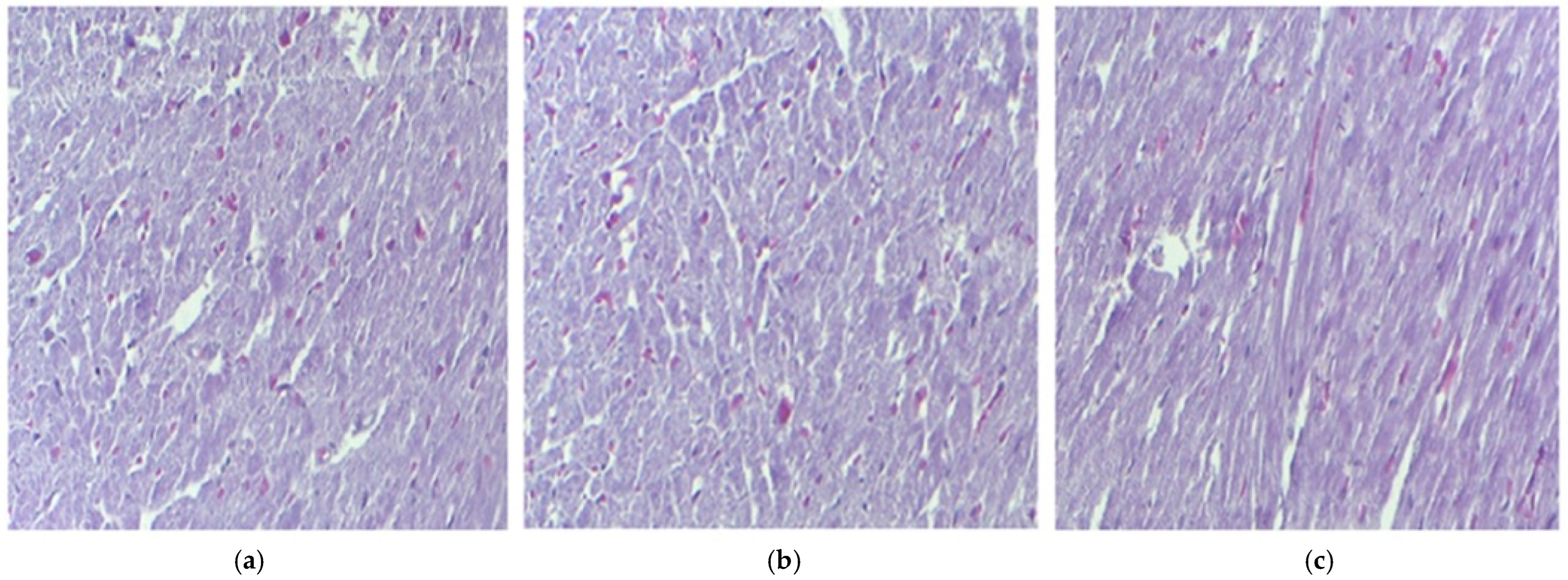
Error in Figure
Reference
- Koush, A.A.; Popa, E.G.; Buca, B.R.; Tartau, C.G.; Stoleriu, I.; Pauna, A.-M.R.; Pavel, L.L.; Fotache, P.A.; Tartau, L.M. Chitosan-Stabilized Lipid Vesicles with Indomethacin for Modified Release with Prolonged Analgesic Effect: Biocompatibility, Pharmacokinetics and Organ Protection Efficacy. Pharmaceutics 2025, 17, 523. [Google Scholar] [CrossRef] [PubMed]



Disclaimer/Publisher’s Note: The statements, opinions and data contained in all publications are solely those of the individual author(s) and contributor(s) and not of MDPI and/or the editor(s). MDPI and/or the editor(s) disclaim responsibility for any injury to people or property resulting from any ideas, methods, instructions or products referred to in the content. |
© 2025 by the authors. Licensee MDPI, Basel, Switzerland. This article is an open access article distributed under the terms and conditions of the Creative Commons Attribution (CC BY) license (https://creativecommons.org/licenses/by/4.0/).
Share and Cite
Koush, A.A.; Popa, E.G.; Buca, B.R.; Tartau, C.G.; Stoleriu, I.; Pauna, A.-M.R.; Pavel, L.L.; Fotache, P.A.; Tartau, L.M. Correction: Koush et al. Chitosan-Stabilized Lipid Vesicles with Indomethacin for Modified Release with Prolonged Analgesic Effect: Biocompatibility, Pharmacokinetics and Organ Protection Efficacy. Pharmaceutics 2025, 17, 523. Pharmaceutics 2025, 17, 1059. https://doi.org/10.3390/pharmaceutics17081059
Koush AA, Popa EG, Buca BR, Tartau CG, Stoleriu I, Pauna A-MR, Pavel LL, Fotache PA, Tartau LM. Correction: Koush et al. Chitosan-Stabilized Lipid Vesicles with Indomethacin for Modified Release with Prolonged Analgesic Effect: Biocompatibility, Pharmacokinetics and Organ Protection Efficacy. Pharmaceutics 2025, 17, 523. Pharmaceutics. 2025; 17(8):1059. https://doi.org/10.3390/pharmaceutics17081059
Chicago/Turabian StyleKoush, Angy Abu, Eliza Gratiela Popa, Beatrice Rozalina Buca, Cosmin Gabriel Tartau, Iulian Stoleriu, Ana-Maria Raluca Pauna, Liliana Lacramioara Pavel, Paula Alina Fotache, and Liliana Mititelu Tartau. 2025. "Correction: Koush et al. Chitosan-Stabilized Lipid Vesicles with Indomethacin for Modified Release with Prolonged Analgesic Effect: Biocompatibility, Pharmacokinetics and Organ Protection Efficacy. Pharmaceutics 2025, 17, 523" Pharmaceutics 17, no. 8: 1059. https://doi.org/10.3390/pharmaceutics17081059
APA StyleKoush, A. A., Popa, E. G., Buca, B. R., Tartau, C. G., Stoleriu, I., Pauna, A.-M. R., Pavel, L. L., Fotache, P. A., & Tartau, L. M. (2025). Correction: Koush et al. Chitosan-Stabilized Lipid Vesicles with Indomethacin for Modified Release with Prolonged Analgesic Effect: Biocompatibility, Pharmacokinetics and Organ Protection Efficacy. Pharmaceutics 2025, 17, 523. Pharmaceutics, 17(8), 1059. https://doi.org/10.3390/pharmaceutics17081059

