Effect of Bacterial Nanocellulose with Chemisorbed Antiseptics on Alveolar Bone Repair in Rats Undergoing Bisphosphonate Therapy
Abstract
1. Introduction
2. Materials and Methods
2.1. Sample Characterization
2.2. Bacterial Nanocellulose Production
2.3. Surgical Procedures
2.4. Euthanasia
2.5. Macroscopic Evaluation
2.6. Specimen Processing
2.7. Histological Processing
2.8. Immunohistochemistry (IHC)
2.9. Histological Analysis
2.10. Scanning Electron Microscopy (SEM) Process and Analysis
2.11. Statistical Analysis
3. Results
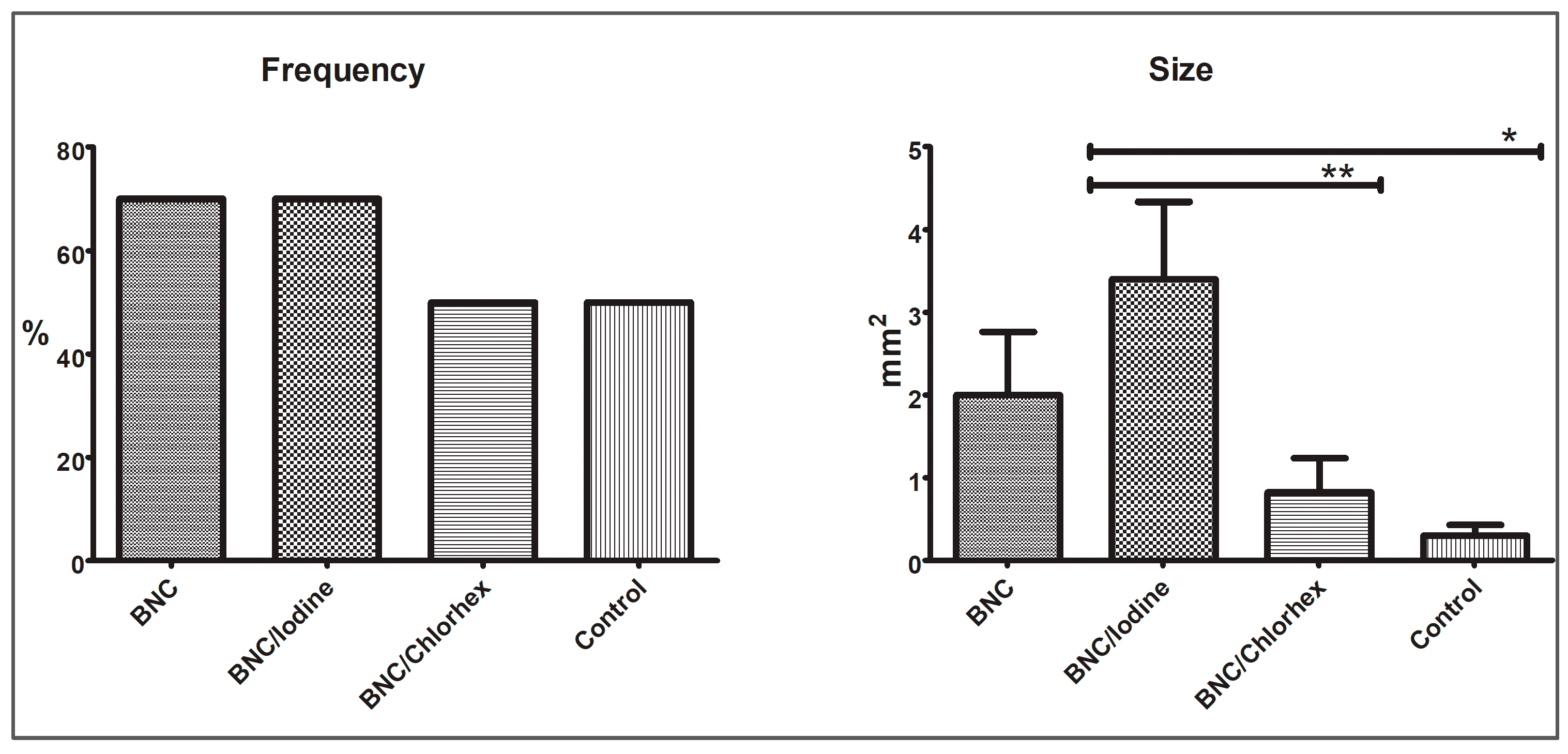
3.1. Macroscopic Analysis
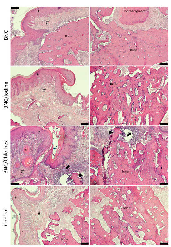
3.2. Histological Analysis—H&E
3.3. Correlations
3.4. Immunohistochemical Analysis
3.5. SEM Analysis
4. Discussion
Author Contributions
Funding
Institutional Review Board Statement
Informed Consent Statement
Data Availability Statement
Acknowledgments
Conflicts of Interest
References
- Barbosa, J.S.; Almeida Paz, F.A.; Braga, S.S. Bisphosphonates, old friends of bones and new trends in clinics. J. Med. Chem. 2021, 64, 1260–1282. [Google Scholar] [CrossRef] [PubMed]
- Ruggiero, S.L.; Dodson, T.B.; Aghaloo, T.; Carlson, E.R.; Ward, B.B.; Kademani, D. American Association of Oral and Maxillofacial Surgeons’ position paper on medication-related osteonecrosis of the jaws-2022 Update. J. Oral Maxillofac. Surg. 2022, 80, 920–943. [Google Scholar] [CrossRef] [PubMed]
- Marx, R.E. Pamidronate (Aredia) and zoledronate (Zometa) induced avascular necrosis of the jaws: A growing epidemic. J. Oral Maxillofac. Surg. 2003, 61, 1115–1117. [Google Scholar] [CrossRef]
- Ruggiero, S.; Saxena, D.; Tetradis, S.; Aghaloo, T.; Ioannidou, E. Task force on design and analysis in oral health research: Medication-related osteonecrosis of the jaw. JDR Clin. Trans. Res. 2018, 3, 222–225. [Google Scholar] [CrossRef]
- Campisi, G.; Mauceri, R.; Bertoldo, F.; Bettini, G.; Biasotto, M.; Colella, G.; Consolo, U.; Di Fede, O.; Favia, G.; Fusco, V.; et al. Medication-related osteonecrosis of jaws (MRONJ) prevention and diagnosis: Italian Consensus Update 2020. Int. J. Environ. Res. Public Health 2020, 17, 5998. [Google Scholar] [CrossRef] [PubMed]
- Nicolatou-Galitis, O.; Papadopoulou, E.; Vardas, E.; Kouri, M.; Galiti, D.; Galitis, E.; Alexiou, K.; Tsiklakis, K.; Ardavanis, A.; Razis, E.; et al. Alveolar bone histological necrosis observed prior to extractions in patients, who received bone-targeting agents. Oral Dis. 2020, 26, 955–966. [Google Scholar] [CrossRef]
- Ruggiero, S.L.; Dodson, T.B.; Fantasia, J.; Goodday, R.; Aghaloo, T.; Mehrotra, B.; O’Ryan, F. American Association of Oral and Maxillofacial Surgeons. American Association of Oral and Maxillofacial Surgeons position paper on medication-related osteonecrosis of the jaw—2014 update. J. Oral Maxillofac. Surg. 2014, 72, 1938–1956. [Google Scholar] [CrossRef]
- Boff, R.C.; Salum, F.G.; Figueiredo, M.A.; Cherubini, K. Important aspects regarding the role of microorganisms in bisphosphonate-related osteonecrosis of the jaws. Arch. Oral Biol. 2014, 59, 790–799. [Google Scholar] [CrossRef] [PubMed]
- Di Fede, O.; Del Gaizo, C.; Panzarella, V.; La Mantia, G.; Tozzo, P.; Di Grigoli, A.; Casto, A.L.; Mauceri, R.; Campisi, G. Ozone infiltration for osteonecrosis of the jaw therapy: A case series. J. Clin. Med. 2022, 11, 5307. [Google Scholar] [CrossRef] [PubMed]
- Govaerts, D.; Piccart, F.; Ockerman, A.; Coropciuc, R.; Politis, C.; Jacobs, R. Adjuvant therapies for MRONJ: A systematic review. Bone 2020, 141, 115676. [Google Scholar] [CrossRef] [PubMed]
- Leonardi, N.; Gilligan, G.; Piemonte, E.; Panico, R. Therapeutic alternatives for drug-associated maxillary osteonecrosis (MRONJ): Reports of two clinical cases and review of the literature. Rev. Fac. Cien Med. Univ. Nac. Cordoba 2022, 79, 379–382. [Google Scholar] [CrossRef] [PubMed]
- Alves, P.J.; Barreto, R.T.; Barrois, B.M.; Gryson, L.G.; Meaume, S.; Monstrey, S.J. Update on the role of antiseptics in the management of chronic wounds with critical colonisation and/or biofilm. Int. Wound J. 2021, 18, 342–358. [Google Scholar] [CrossRef]
- Dydak, K.; Junka, A.; Dydak, A.; Brożyna, M.; Paleczny, J.; Fijalkowski, K.; Kubielas, G.; Aniołek, O.; Bartoszewicz, M. In vitro efficacy of bacterial cellulose dressings chemisorbed with antiseptics against biofilm formed by pathogens isolated from chronic wounds. Int. J. Mol. Sci. 2021, 22, 3996. [Google Scholar] [CrossRef] [PubMed]
- Günther, F.; Blessing, B.; Dapunt, U.; Mischnik, A.; Mutters, N.T. Ability of chlorhexidine, octenidine, polyhexanide and chloroxylenol to inhibit metabolism of biofilm-forming clinical multidrug-resistant organisms. J. Infect. Prev. 2021, 22, 12–18. [Google Scholar] [CrossRef] [PubMed]
- Hadaya, D.; Soundia, A.; Freymiller, E.; Grogan, T.; Elashoff, D.; Tetradis, S.; Aghaloo, T.L. Nonsurgical management of medication-related osteonecrosis of the jaws using local wound care. J. Oral Maxillofac. Surg. 2018, 76, 2332–2339. [Google Scholar] [CrossRef]
- Schreier, H.; Erdos, G.; Reimer, K.; König, B.; König, W.; Fleischer, W. Molecular effects of povidoneiodine on relevant microorganisms: An electron microscopic and biochemical study. Dermatology 1997, 195, 111–116. [Google Scholar] [CrossRef] [PubMed]
- Lepelletier, D.; Maillard, J.Y.; Pozzetto, B.; Simon, A. Povidone iodine: Properties, mechanisms of action, and role in infection control and Staphylococcus aureus decolonization. Antimicrob. Agents Chemother. 2020, 64, e00682-20. [Google Scholar] [CrossRef]
- Luze, H.; Bernardelli de Mattos, I.; Nischwitz, S.P.; Funk, M.; Tuca, A.C.; Kamolz, L.P. The impact of antiseptic-loaded bacterial nanocellulose on different biofilms-an effective treatment for chronic wounds? J. Clin. Med. 2022, 11, 6634. [Google Scholar] [CrossRef] [PubMed]
- Revin, V.V.; Liyaskina, E.V.; Parchaykina, M.V.; Kuzmenko, T.P.; Kurgaeva, I.V.; Revin, V.D.; Ullah, M.W. Bacterial cellulose-based polymer nanocomposites: A review. Polymers 2022, 14, 4670. [Google Scholar] [CrossRef]
- Kaczmarek, M.; Jędrzejczak-Krzepkowska, M.; Ludwicka, K. Comparative Analysis of bacterial cellulose membranes synthesized by chosen Komagataeibacter strains and their application potential. Int. J. Mol. Sci. 2022, 23, 3391. [Google Scholar] [CrossRef] [PubMed]
- Nakagaito, A.N.; Iwamoto, S.; Yano, H. Bacterial cellulose: The ultimate nano-scalar cellulose morphology for the production of high-strength composites. Appl. Phys. A Mat. Sci. Process 2005, 80, 93–97. [Google Scholar] [CrossRef]
- An, S.J.; Lee, S.H.; Huh, J.B.; Jeong, S.I.; Park, J.S.; Gwon, H.J.; Kang, E.-S.; Jeong, C.-M.; Lim, Y.-M. Preparation and characterization of resorbable bacterial cellulose membranes treated by electron beam irradiation for guided bone regeneration. Int. J. Mol. Sci. 2017, 18, 2236. [Google Scholar] [CrossRef] [PubMed]
- Helenius, G.; Bäckdahl, H.; Bodin, A.; Nannmark, U.; Gatenholm, P.; Risberg, B. In vivo biocompatibility of bacterial cellulose. J. Biomed. Mater. Res. A 2006, 76, 431–438. [Google Scholar] [CrossRef]
- Torres, F.G.; Commeaux, S.; Troncoso, O.P. Biocompatibility of bacterial cellulose based biomaterials. J. Funct. Biomater. 2012, 3, 864–878. [Google Scholar] [CrossRef] [PubMed]
- Naomi, R.; Bt Hj Idrus, R.; Fauzi, M. B Plant- vs. Bacterial-Derived Cellulose for Wound Healing: A Review. Int. J. Environ. Res. Public. Health 2020, 17, 6803. [Google Scholar] [CrossRef]
- Percie du Sert, N.; Hurst, V.; Ahluwalia, A.; Alam, S.; Avey, M.T.; Baker, M.; Browne, W.J.; Clark, A.; Cuthill, I.C.; Dirnagl, U.; et al. The ARRIVE guidelines 2.0: Updated guidelines for reporting animal research. PLoS Biol. 2020, 18, e3000410. [Google Scholar] [CrossRef]
- Maahs, M.P.; Azambuja, A.A.; Campos, M.M.; Salum, F.G.; Cherubini, K. Association between bisphosphonates and jaw osteonecrosis: A study in Wistar rats. Head Neck 2011, 33, 199–207. [Google Scholar] [CrossRef] [PubMed]
- Silva, M.L.; Tasso, L.; Azambuja, A.A.; Figueiredo, M.A.; Salum, F.G.; Silva, V.D.; Cherubini, K. Effect of hyperbaric oxygen therapy on tooth extraction sites in rats subjected to bisphosphonate therapy-histomorphometric and immunohistochemical analysis. Clin. Oral Investig. 2017, 21, 199–210. [Google Scholar] [CrossRef] [PubMed]
- Sonis, S.T.; Watkins, B.A.; Lyng, G.D.; Lerman, M.A.; Anderson, K.C. Bony changes in the jaws of rats treated with zoledronic acid and dexamethasone before dental extractions mimic bisphosphonate-related osteonecrosis in cancer patients. Oral Oncol. 2009, 45, 164–172. [Google Scholar] [CrossRef]
- Amenábar, J.M.; Martins, G.B.; Cherubini, K.; Figueiredo, M.A. Comparison between semi-automated segmentation and manual point-counting methods for quantitative analysis of histological sections. J. Oral Sci. 2006, 48, 139–143. [Google Scholar] [CrossRef][Green Version]
- Barreto, R.; Barrois, B.; Lambert, J.; Malhotra-Kumar, S.; Santos-Fernandes, V.; Monstrey, S. Addressing the challenges in antisepsis: Focus on povidone iodine. Int. J. Antimicrob. Agents 2020, 56, 106064. [Google Scholar] [CrossRef] [PubMed]
- Bigliardi, P.; Langer, S.; Cruz, J.J.; Kim, S.W.; Nair, H.; Srisawasdi, G. An Asian perspective on povidone iodine in wound healing. Dermatology 2017, 233, 223–233. [Google Scholar] [CrossRef] [PubMed]
- Farnezi Bassi, A.P.; Bizelli, V.F.; Brasil, L.F.M.; Pereira, J.C.; Al-Sharani, H.M.; Momesso, G.A.C.; Faverani, L.P.; Lucas, F.d.A. Is the bacterial cellulose membrane feasible for osteopromotive property? Membranes 2020, 10, 230. [Google Scholar] [CrossRef]
- Kado, M.; Tanaka, R.; Arita, K.; Okada, K.; Ito-Hirano, R.; Fujimura, S.; Mizuno, H. Human peripheral blood mononuclear cells enriched in endothelial progenitor cells via quality and quantity controlled culture accelerate vascularization and wound healing in a porcine wound model. Cell Transplant. 2018, 27, 1068–1079. [Google Scholar] [CrossRef] [PubMed]
- Angel, D.E.; Morey, P.; Storer, J.G.; Mwipatayi, B.P. The great debate over iodine in wound care continues: A review of the literature. Wound Pract. Res. 2008, 16, 6–21. [Google Scholar]
- Durani, P.; Leaper, D. Povidone-iodine: Use in hand disinfection, skin preparation and antiseptic irrigation. Int. Wound J. 2008, 5, 376–387. [Google Scholar] [CrossRef] [PubMed]
- Gunjan, K.; Shobha, C.; Sheetal, C.; Nanda, H.; Vikrant, C.; Chitnis, D.S. A comparative study of the effect of different topical agents on burn wound infections. Indian. J. Plast. Surg. 2012, 45, 374–378. [Google Scholar] [CrossRef]
- Arnhold, J. The dual role of myeloperoxidase in immune response. Int. J. Mol. Sci. 2020, 21, 8057. [Google Scholar] [CrossRef] [PubMed]
- Lockhart, J.S.; Sumagin, R. Non-canonical functions of myeloperoxidase in immune regulation, tissue inflammation and cancer. Int. J. Mol. Sci. 2022, 23, 12250. [Google Scholar] [CrossRef] [PubMed]
- Odobasic, D.; Kitching, A.R.; Yang, Y.; O’Sullivan, K.M.; Muljadi, R.C.; Edgtton, K.L.; Tan, D.S.; Summers, S.A.; Morand, E.F.; Holdsworth, S.R. Neutrophil myeloperoxidase regulates T-cell−driven tissue inflammation in mice by inhibiting dendritic cell function. Blood 2013, 121, 4195–4204. [Google Scholar] [CrossRef]
- Zhao, X.; Lin, S.; Li, H.; Si, S.; Wang, Z. Myeloperoxidase controls bone turnover by suppressing osteoclast differentiation through modulating reactive oxygen species level. J. Bone Miner. Res. 2021, 36, 591–603. [Google Scholar] [CrossRef]
- Selvaggi, G.; Monstrey, S.; Van Landuyt, K.; Hamdi, M.; Blondeel, P. The role of iodine in antisepsis and wound management: A reappraisal. Acta Chir. Belg. 2003, 103, 241–247. [Google Scholar] [CrossRef] [PubMed]






| Group | |||||||||||||
|---|---|---|---|---|---|---|---|---|---|---|---|---|---|
| Variable | BNC | BNC/Iodine | BNC/Chlorhex | Control | p * | ||||||||
| Mean | SD | MD | Mean | SD | MD | Mean | SD | MD | Mean | SD | MD | ||
| Epithelium | 46.88 | 26.16 | 45.75 | 42.73 | 22.53 | 45.25 | 46.65 | 21.29 | 45.63 | 42.05 | 18.66 | 47.38 | 0.996 |
| Connective tissue | 130.03 | 31.95 | 131.25 A | 162.08 | 49.11 | 141.00 AB | 200.20 | 64.97 | 191.88 B | 161.60 | 38.56 | 165.75 AB | 0.048 |
| Vital bone | 282.60 | 60.95 | 281.88 | 286.80 | 68.94 | 264.25 | 239.33 | 93.89 | 214.00 | 316.35 | 83.27 | 295.13 | 0.218 |
| Non-vital bone | 54.48 | 49.94 | 54.50 | 35.90 | 44.86 | 29.25 | 42.55 | 26.18 | 49.50 | 23.40 | 34.62 | 3.63 | 0.273 |
| Tooth fragment | 14.83 | 24.77 | 0.63 | 18.08 | 29.90 | 0.00 | 19.15 | 21.83 | 7.50 | 20.40 | 23.75 | 8.00 | 0.757 |
| Inflammatory infiltrate | 11.90 | 11.24 | 10.50 | 6.93 | 8.02 | 4.38 | 15.05 | 13.71 | 18.00 | 6.35 | 8.36 | 3.25 | 0.438 |
| Variable | Epithelium | Connective Tissue | Vital Bone | Non-Vital Bone | Tooth Fragment | Inflammatory Infiltrate | Size of Oral Lesion |
|---|---|---|---|---|---|---|---|
| Epithelium | 1 | ||||||
| Connective tissue | −0.072 | 1 | |||||
| Vital bone | −0.068 | −0.547 ** | 1 | ||||
| Non-vital bone | −0.359 * | 0.018 | −0.492 ** | 1 | |||
| Tooth fragment | 0.053 | −0.057 | −0.388 * | −0.086 | 1 | ||
| Inflammatory infiltrate | 0.152 | 0.197 | −0.519 ** | 0.248 | 0.175 | 1 | |
| Size of oral lesion | −0.023 | −0.301 | −0.016 | 0.271 | −0.066 | −0.002 | 1 |
| Group | CD31 | MPO | ||||||
|---|---|---|---|---|---|---|---|---|
| MD | P25 | P75 | MR | MD | P25 | P75 | MR | |
| BNC | 24.87 A | 10.38 | 129.70 | 50.20 | 56.87 | 10.94 | 124.75 | 52.48 |
| BNC/Iodine | 96.80 B | 31.70 | 333.53 | 71.17 | 55.22 | 18.18 | 164.82 | 56.46 |
| BNC/Chlorhexidine | 88.83 AB | 18.78 | 194.00 | 65.96 | 34.33 | 6.46 | 93.94 | 46.31 |
| Control | 38.91 A | 14.40 | 92.90 | 49.37 | 78.44 | 23.58 | 202.15 | 63.19 |
| p * | 0.024 | 0.247 | ||||||
Disclaimer/Publisher’s Note: The statements, opinions and data contained in all publications are solely those of the individual author(s) and contributor(s) and not of MDPI and/or the editor(s). MDPI and/or the editor(s) disclaim responsibility for any injury to people or property resulting from any ideas, methods, instructions or products referred to in the content. |
© 2024 by the authors. Licensee MDPI, Basel, Switzerland. This article is an open access article distributed under the terms and conditions of the Creative Commons Attribution (CC BY) license (https://creativecommons.org/licenses/by/4.0/).
Share and Cite
Rocha, M.M.; Koth, V.S.; Jeffman, M.W.; Salum, F.G.; de Almeida, J.; Cesca, K.; Cherubini, K. Effect of Bacterial Nanocellulose with Chemisorbed Antiseptics on Alveolar Bone Repair in Rats Undergoing Bisphosphonate Therapy. Pharmaceutics 2025, 17, 24. https://doi.org/10.3390/pharmaceutics17010024
Rocha MM, Koth VS, Jeffman MW, Salum FG, de Almeida J, Cesca K, Cherubini K. Effect of Bacterial Nanocellulose with Chemisorbed Antiseptics on Alveolar Bone Repair in Rats Undergoing Bisphosphonate Therapy. Pharmaceutics. 2025; 17(1):24. https://doi.org/10.3390/pharmaceutics17010024
Chicago/Turabian StyleRocha, Marcelo Matos, Valesca Sander Koth, Marcela Wiltgen Jeffman, Fernanda Gonçalves Salum, Josiane de Almeida, Karina Cesca, and Karen Cherubini. 2025. "Effect of Bacterial Nanocellulose with Chemisorbed Antiseptics on Alveolar Bone Repair in Rats Undergoing Bisphosphonate Therapy" Pharmaceutics 17, no. 1: 24. https://doi.org/10.3390/pharmaceutics17010024
APA StyleRocha, M. M., Koth, V. S., Jeffman, M. W., Salum, F. G., de Almeida, J., Cesca, K., & Cherubini, K. (2025). Effect of Bacterial Nanocellulose with Chemisorbed Antiseptics on Alveolar Bone Repair in Rats Undergoing Bisphosphonate Therapy. Pharmaceutics, 17(1), 24. https://doi.org/10.3390/pharmaceutics17010024

