Combination of the Topical Photodynamic Therapy of Chloroaluminum Phthalocyanine Liposomes with Fexinidazole Oral Self-Emulsifying System as a New Strategy for Cutaneous Leishmaniasis Treatment
Abstract
1. Introduction
2. Materials and Methods
2.1. Preparation of Formulations
2.2. Physicochemical and Chemical Characterization of Formulations
2.3. In Vivo Antileishmanial Efficacy
2.4. Statistical Analysis
3. Results
3.1. Formulations Characterization
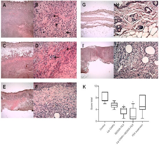
3.2. In Vivo Antileishmanial Efficacy
4. Discussion
5. Conclusions
Author Contributions
Funding
Institutional Review Board Statement
Informed Consent Statement
Data Availability Statement
Acknowledgments
Conflicts of Interest
References
- Leishmaniasis. Available online: https://www.who.int/health-topics/leishmaniasis#tab=tab_1 (accessed on 7 April 2023).
- Burza, S.; Croft, S.L. Leishmaniasis. Lancet 2018, 392, 951–970. [Google Scholar] [CrossRef]
- Van Der Snoek, E.M.; Robinson, D.J. A review of photodynamic therapy in cutaneous leishmaniasis. J. Eur. Acad. Dermatol. Venereol. 2008, 22, 918–922. [Google Scholar] [CrossRef] [PubMed]
- de SOUZA, M.L.; Dos Santos, W.M. Cutaneous leishmaniasis: New oral therapeutic approaches under development. Int. J. Dermatol. 2022, 61, 89–98. [Google Scholar] [CrossRef] [PubMed]
- Wyllie, S.; Patterson, S. The anti-trypanosome drug fexinidazole shows potential for treating visceral leishmaniasis. Sci. Transl. Med. 2012, 4, 119re1. [Google Scholar] [CrossRef] [PubMed]
- de Morais-Teixeira, E.; Rabello, A. In vitro activity and in vivo efficacy of fexinidazole against New World Leishmania species. J. Antimicrob. Chemother. 2019, 74, 2318–2325. [Google Scholar] [CrossRef] [PubMed]
- Damasio, D.S.N.; Antunes, P.A. A new oral self-emulsifying drug delivery system improves the antileishmania efficacy of fexinidazole in vivo. Int. J. Pharm. 2023, 631, 122505. [Google Scholar] [CrossRef] [PubMed]
- Chartterjee, B.; Hamed, A.S. Controversies with self-emulsifying drug delivery system from pharmacokinetic point of view. Drug Deliv. 2016, 23, 3639–3652. [Google Scholar] [CrossRef]
- Rani, E.R.; Radha, G.V. Insights into Novel Excipients of Self-Emulsifying Drug Delivery Systems and Their Significance: An Updated Review. Crit. Rev. Ther. Drug Carrier Syst. 2021, 38, 27–74. [Google Scholar] [CrossRef] [PubMed]
- Salawi, A. Self-emulsifying drug delivery systems: A novel approach to deliver drugs. Drug Deliv. 2022, 29, 1811–1823. [Google Scholar] [CrossRef]
- Jamshaid, H.; Din, F.U. Nanotechnology based solutions for anti-leishmanial impediments: A detailed insight. J. Nanobiotechnol. 2021, 19, 106. [Google Scholar] [CrossRef]
- Gupta, S.; Kesarla, R. Formulation strategies to improve the bioavailability of poorly absorbed drugs with special emphasis on self-emulsifying systems. ISRN Pharm. 2013, 26, 848043. [Google Scholar] [CrossRef] [PubMed]
- Leal Pinto, S.M.; Muehlmann, L.A. Nanoemulsions with Chloroaluminium Phthalocyanine and Paromomycin for Combined Photodynamic and Antibiotic Therapy for Cutaneous Leishmaniasis. Infect. Chemother. 2021, 53, 342–354. [Google Scholar] [CrossRef] [PubMed]
- Silva, E.P.; Mittamnn, J. Photodynamic effects of zinc phthalocyanines on intracellular amastigotes of Leishmania amazonensis and Leishmania braziliensis. Lasers Med. Sci. 2014, 30, 347–354. [Google Scholar] [CrossRef] [PubMed]
- Lopes, S.C.; Silva, R.A. Topical photodynamic therapy with chloroaluminum phthalocyanine liposomes is as effective as systemic pentavalent antimony in the treatment of experimental cutaneous leishmaniasis. Photodiagnosis Photodyn. Ther. 2019, 28, 210–215. [Google Scholar] [CrossRef] [PubMed]
- Large, D.E.; Abdelmessih, R.G. Liposome composition in drug delivery design, synthesis, characterization, and clinical application. Adv. Drug Deliv. Rev. 2021, 176, 113851. [Google Scholar] [CrossRef] [PubMed]
- Hernández, I.P.; Montanari, J. In vitro phototoxicity of ultradeformable liposomes containing chloroaluminum phthalocyanine against New World Leishmania species. J. Photochem. Photobiol. B 2012, 117, 157–163. [Google Scholar] [CrossRef]
- Aguiar, M.G.; Silva, D.L. Combined topical paromomycin and oral miltefosine treatment of mice experimentally infected with Leishmania (Leishmania) major leads to reduction in both lesion size and systemic parasite burdens. J. Antimicrob. Chemother. 2009, 64, 1234–1240. [Google Scholar] [CrossRef] [PubMed]
- Aguiar, M.G.; Pereira, A.M.M. Reductions in skin and systemic parasite burdens as a combined effect of topical paromomycin and oral miltefosine treatment of mice experimentally infected with Leishmania (Leishmania) amazonensis. Antimicrob. Agents Chemother. 2010, 54, 4699–4704. [Google Scholar] [CrossRef]
- Kawakami, M.Y.M.; Zamora, L.O. Efficacy of nanoemulsion with Pterodon emarginatus Vogel oleoresin for topical treatment of cutaneous leishmaniasis. Biomed. Pharmacother. 2021, 134, 111109. [Google Scholar] [CrossRef]
- Oliveira, L.G.; Souza-Testasicca, M.C. Annexin A1 Is Involved in the Resolution of Inflammatory Responses during Leishmania braziliensis Infection. J. Immunol. 2017, 198, 3227–3236. [Google Scholar] [CrossRef]
- Alves, C.F.; Alves, C.F. American tegumentary leishmaniasis: Effectiveness of an immunohistochemical protocol for the detection of leishmania in skin. PLoS ONE 2013, 8, e63343. [Google Scholar] [CrossRef]
- Viana, A.G.; Mayrink, W. Histopathological and immunohistochemical aspects of American cutaneous leishmaniasis before and after different treatments. An. Bras. Dermatol. 2013, 88, 32–40. [Google Scholar] [CrossRef]
- Mansur-Alves, I.; Lima, B.L.F. Cholesterol improves stability of amphotericin B nanoemulsion: Promising use in the treatment of cutaneous leishmaniasis. Nanomedicine 2022, 18, 1237–1251. [Google Scholar] [CrossRef]
- Escobar, P.; Matu, S. Sensitivities of Leishmania species to hexadecylphosphocholine (miltefosine), ET-18-OCH(3) (edelfosine) and amphotericin B. Acta Trop. 2002, 81, 151–157. [Google Scholar] [CrossRef]
- Ribeiro, J.B.P.; Miranda-Vilela, A.L. Study of the efficacy of N-methyl glucamine antimoniate (SbV) associated with photodynamic therapy using liposomal chloroaluminium phthalocyanine in the treatment of cutaneous leishmaniasis caused by Leishmania (L.) amazonensis in C57BL6 mice. Photodiagnosis Photody Ther. 2019, 26, 261–269. [Google Scholar]
- De Souza, M.L.; Gonzaga da Costa, L.A. Recent strategies for the development of oral medicines for the treatment of visceral leishmaniasis. Drug Dev. Res. 2020, 81, 803–814. [Google Scholar] [CrossRef] [PubMed]
- Uliana, S.R.B.; Trinconi, C.T. Chemotherapy of leishmaniasis: Present challenges. Parasitology 2018, 145, 464–480. [Google Scholar] [CrossRef] [PubMed]
- Mazzeti, A.L.; Oliveira, L.T. Benznidazole self-emulsifying delivery system: A novel alternative dosage form for Chagas disease treatment. Eur. J. Pharm. Sci. 2020, 30, 105234. [Google Scholar] [CrossRef]
- Ganta, S.; Talekar, M. Nanoemulsions in translational research-opportunities and challenges in targeted cancer therapy. AAPS PharmSciTech 2014, 15, 694–708. [Google Scholar] [CrossRef] [PubMed]
- Kommuru, T.R.; Gurley, B. Self-emulsifying drug delivery systems (SEDDS) of coenzyme Q10: Formulation development and bioavailability assessment. Int. J. Pharm. 2001, 212, 233–246. [Google Scholar] [CrossRef] [PubMed]
- Cerpnjak, K.; Zvonar, A. Lipid-based systems as a promising approach for enhancing the bioavailability of poorly water-soluble drugs. Acta Pharm. 2013, 63, 427–445. [Google Scholar] [CrossRef]
- Gupta, S.; Chavhan, S. Self-nanoemulsifying drug delivery system for adefovirdipivoxil: Design, characterization, in vitro and ex vivo evaluation. Colloids Surf. A Physicochem. Eng. Asp. 2011, 392, 145–155. [Google Scholar] [CrossRef]
- Silva, M.L.F.; Alves, P.M. Analysis of Macrophage Activation Markers in an Experimental Model of Cutaneous Leishmaniasis Treated with Photodynamic Therapy Mediated by 5-Aminolevulinic Acid. Photobiomodul Photomed. Laser Surg. 2019, 37, 298–304. [Google Scholar] [CrossRef] [PubMed]
- Caridha, D.; Vesely, B. Route map for the discovery and pre-clinical development of new drugs and treatments for cutaneous leishmaniasis. Int. J. Parasitol. Drugs Drug Resist. 2019, 11, 106–117. [Google Scholar] [CrossRef] [PubMed]
- Croft, S.L.; Sundar, S. Drug resistance in leishmaniasis. Clin. Microbiol. Rev. 2006, 19, 111–126. [Google Scholar] [CrossRef] [PubMed]
- European Medicines Agency. Assessment Report: Fexinidazole Winthrop. 2018. Available online: https://www.ema.europa.eu/en/documents/outside-eu-assessment-report/fexinidazole-winthrop-assessment-report_en.pdf (accessed on 15 August 2022).
- Tarral, A.; Blesson, S. Determination of an optimal dosing regimen for fexinidazole, a novel oral drug for the treatment of human African trypanosomiasis: First-in-human studies. Clin. Pharmacokinet. 2014, 53, 565–580. [Google Scholar] [CrossRef] [PubMed]
- Van Bocxlaer, K.; Croft, S.L. Pharmacokinetics and pharmacodynamics in the treatment of cutaneous leishmaniasis—Challenges and opportunities. RSC Med. Chem. 2021, 12, 472–482. [Google Scholar] [CrossRef]
- Padhy, B.M.; Gupta, Y.K. Drug repositioning: Re-investigating existing drugs for new therapeutic indications. J. Postgrad. Med. 2011, 57, 153–160. [Google Scholar] [CrossRef]






| Formulations | Average Diameter (nm) | Polydispersity Index (Pdi) | Zeta Potential (mV) | EP (%) * | Concentration (mg/mL) ** |
|---|---|---|---|---|---|
| Lip-ClAlPc | 348 ± 14.6 | 0.3 ± 0.1 | −2.5 ± 0.2 | 96.04 ± 0.31 | - |
| SEDDS-FEX | 66.5 ± 0.6 | 0.2 ± 0.01 | −21.6 ± 0.3 | - | 9.17 ± 0.05 |
Disclaimer/Publisher’s Note: The statements, opinions and data contained in all publications are solely those of the individual author(s) and contributor(s) and not of MDPI and/or the editor(s). MDPI and/or the editor(s) disclaim responsibility for any injury to people or property resulting from any ideas, methods, instructions or products referred to in the content. |
© 2024 by the authors. Licensee MDPI, Basel, Switzerland. This article is an open access article distributed under the terms and conditions of the Creative Commons Attribution (CC BY) license (https://creativecommons.org/licenses/by/4.0/).
Share and Cite
Silva, R.A.; Damasio, D.S.; Coelho, L.D.; de Morais-Teixeira, E.; Queiroz-Junior, C.M.; Souza, P.E.; Azevedo, R.B.; Tedesco, A.; Ferreira, L.A.; Oliveira, M.C.; et al. Combination of the Topical Photodynamic Therapy of Chloroaluminum Phthalocyanine Liposomes with Fexinidazole Oral Self-Emulsifying System as a New Strategy for Cutaneous Leishmaniasis Treatment. Pharmaceutics 2024, 16, 509. https://doi.org/10.3390/pharmaceutics16040509
Silva RA, Damasio DS, Coelho LD, de Morais-Teixeira E, Queiroz-Junior CM, Souza PE, Azevedo RB, Tedesco A, Ferreira LA, Oliveira MC, et al. Combination of the Topical Photodynamic Therapy of Chloroaluminum Phthalocyanine Liposomes with Fexinidazole Oral Self-Emulsifying System as a New Strategy for Cutaneous Leishmaniasis Treatment. Pharmaceutics. 2024; 16(4):509. https://doi.org/10.3390/pharmaceutics16040509
Chicago/Turabian StyleSilva, Raphaela Ariany, Danielle Soter Damasio, Larissa Dutra Coelho, Eliane de Morais-Teixeira, Celso M. Queiroz-Junior, Paulo Eduardo Souza, Ricardo Bentes Azevedo, Antônio Tedesco, Lucas Antônio Ferreira, Mônica Cristina Oliveira, and et al. 2024. "Combination of the Topical Photodynamic Therapy of Chloroaluminum Phthalocyanine Liposomes with Fexinidazole Oral Self-Emulsifying System as a New Strategy for Cutaneous Leishmaniasis Treatment" Pharmaceutics 16, no. 4: 509. https://doi.org/10.3390/pharmaceutics16040509
APA StyleSilva, R. A., Damasio, D. S., Coelho, L. D., de Morais-Teixeira, E., Queiroz-Junior, C. M., Souza, P. E., Azevedo, R. B., Tedesco, A., Ferreira, L. A., Oliveira, M. C., & Aguiar, M. G. (2024). Combination of the Topical Photodynamic Therapy of Chloroaluminum Phthalocyanine Liposomes with Fexinidazole Oral Self-Emulsifying System as a New Strategy for Cutaneous Leishmaniasis Treatment. Pharmaceutics, 16(4), 509. https://doi.org/10.3390/pharmaceutics16040509

