Dasatinib-Loaded Topical Nano-Emulgel for Rheumatoid Arthritis: Formulation Design and Optimization by QbD, In Vitro, Ex Vivo, and In Vivo Evaluation
Abstract
1. Introduction
2. Materials and Methods
2.1. Materials and Reagents
2.2. Equipments
2.3. Animals
2.4. Pre-Formulation Studies
2.4.1. Solubility of DTB in Different Vehicles
2.4.2. Construction of Pseudoternary Phase Diagrams
2.4.3. Drug-Excipient Compatibility Studies by DSC
2.5. Study Design
2.5.1. Quality Target Product Profile (QTPP) and Critical Quality Attributes (CQAs)
2.5.2. Quality Risk Assessment
2.5.3. Factor Screening Studies
2.5.4. Factor Optimizing Studies
2.5.5. Optimization Data Analysis and Model Validation
2.6. Formulation of DTB Emulsion
2.7. Scale-Up Studies
2.8. Characterization of Emulsion
2.8.1. Attenuated Total Reflection-Infrared Spectroscopy (ATR-IR)
2.8.2. Measurement of Size, Polydispersity Index (PDI), and Zeta Potential (ZP)
2.8.3. Entrapment Efficiency (EE)
2.8.4. Thermodynamic Stability Studies
2.8.5. In Vitro Drug Release Study
2.8.6. Morphology by Field-Emission Scanning Electron Microscopy (FESEM)
2.9. Preparation of Emulgel
2.10. Evaluation of Emulgel
2.10.1. Physical Appearance
2.10.2. pH Determination
2.10.3. Spreadability Study
2.10.4. Drug Content Determination
2.10.5. Particle Integrity of Lipid Emulsion-Loaded Gel
2.10.6. Rheology Study
Viscosity
Shear Flow
Strain Sweep Test
Frequency Sweep Test (FST)
2.11. In Vitro Cell Line Study
2.11.1. Cytotoxicity Studies
2.11.2. Effect on the Production of TNF-α
2.12. Ex Vivo Studies
2.12.1. Ex Vivo Permeation Study
2.12.2. Skin Deposition Study
2.12.3. Bio-Adhesion Study
2.13. In Vivo Studies
2.13.1. Skin Irritation Study
2.13.2. Assessment of the Anti-Inflammatory Effect
2.13.3. Assessment of Arthritis from Physical Parameters
2.13.4. Nociceptive Threshold
2.13.5. Motor Incoordination Test
2.14. Statistical Analysis
3. Results and Discussion
3.1. Solubility Studies
3.2. Pseudoternary Phase Diagrams
3.3. Differential Scanning Calorimetry (DSC)
3.4. Identification of QTPP and CQAs
3.5. Risk Identification and Risk Assessment
3.6. Factor Screening Studies
3.7. Factor Optimizing Studies
3.8. Independent Variables Effect on PS
3.9. Effect of Independent Variables on EE
3.10. Validation of the Design to Select Optimized Batch
3.11. Scale-Up Studies
3.12. Characterization of Emulsion
3.12.1. Attenuated Total Reflection Infrared Spectroscopy (ATR-IR)
3.12.2. Measurement of PS, PDI, ZP, and EE
3.12.3. Thermodynamic Stability Study
3.12.4. In Vitro Drug Release Studies
3.12.5. Morphology by Field–Emission Scanning Electron Microscopy (FESEM)
3.13. Emulgel Characterization
3.13.1. Physical Appearance, pH Determination, Spreadability, and Drug Content Determination
3.13.2. Particle Integrity in Hydrogel Matrix
3.13.3. Rheological Behavior
Viscosity
Shear Flow
Strain Sweep Test
Frequency Sweep Test
3.14. In Vitro Cell Line Study
3.14.1. Cytotoxicity Studies
3.14.2. Effect on the Production of TNF-α
3.15. Ex Vivo Studies
3.15.1. Ex Vivo Skin Permeation Study
3.15.2. Skin Deposition Study
3.15.3. Bio Adhesion Studies
3.16. In Vivo Studies
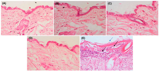
3.16.1. Skin Irritation Studies
3.16.2. FCA-Induced Arthritis Model (Chronic Inflammatory Model)
Assessment of Arthritis from Physical Parameters
Nociceptive Threshold
Motor Incoordination Test
4. Outcomes of the Research
5. Conclusions
Supplementary Materials
Author Contributions
Funding
Institutional Review Board Statement
Informed Consent Statement
Data Availability Statement
Acknowledgments
Conflicts of Interest
References
- DeWitt, N. Bone and Cartilage. Nature 2003, 423, 315–316. [Google Scholar] [CrossRef]
- Bullock, J.; Rizvi, S.A.A.; Saleh, A.M.; Ahmed, S.S.; Do, D.P.; Ansari, R.A.; Ahmed, J. Rheumatoid Arthritis: A Brief Overview of the Treatment. Med. Princ. Pract. 2018, 27, 501–507. [Google Scholar] [CrossRef]
- Smolen, J.S.; Aletaha, D. Rheumatoid Arthritis Therapy Reappraisal: Strategies, Opportunities and Challenges. Nat. Rev. Rheumatol. 2015, 11, 276–289. [Google Scholar] [CrossRef]
- Schett, G.; Emery, P.; Tanaka, Y.; Burmester, G.; Pisetsky, D.S.; Naredo, E.; Fautrel, B.; Van Vollenhoven, R. Tapering Biologic and Conventional DMARD Therapy in Rheumatoid Arthritis: Current Evidence and Future Directions. Ann. Rheum. Dis. 2016, 75, 1428–1437. [Google Scholar] [CrossRef]
- Caporali, R.; Zavaglia, D. Real-World Experience with Tofacitinib for the Treatment of Rheumatoid Arthritis. Clin. Exp. Rheumatol. 2019, 37, 485–495. [Google Scholar]
- Fleischmann, R.; Pangan, A.L.; Song, I.H.; Mysler, E.; Bessette, L.; Peterfy, C.; Durez, P.; Ostor, A.J.; Li, Y.; Zhou, Y.; et al. Upadacitinib Versus Placebo or Adalimumab in Patients With Rheumatoid Arthritis and an Inadequate Response to Methotrexate: Results of a Phase III, Double-Blind, Randomized Controlled Trial. Arthritis Rheumatol. 2019, 71, 1788–1800. [Google Scholar] [CrossRef]
- Jose, A.; Ninave, K.M.; Karnam, S.; Venuganti, V.V.K. Temperature-Sensitive Liposomes for Co-Delivery of Tamoxifen and Imatinib for Synergistic Breast Cancer Treatment. J. Liposome Res. 2019, 29, 153–162. [Google Scholar] [CrossRef]
- Guo, K.; Bu, X.; Yang, C.; Cao, X.; Bian, H.; Zhu, Q.; Zhu, J.; Zhang, D. Treatment Effects of the Second-Generation Tyrosine Kinase Inhibitor Dasatinib on Autoimmune Arthritis. Front. Immunol. 2019, 9, 3133. [Google Scholar] [CrossRef]
- Akashi, N.; Matsumoto, I.; Tanaka, Y.; Inoue, A.; Yamamoto, K.; Umeda, N.; Tanaka, Y.; Hayashi, T.; Goto, D.; Ito, S.; et al. Comparative Suppressive Effects of Tyrosine Kinase Inhibitors Imatinib and Nilotinib in Models of Autoimmune Arthritis. Mod. Rheumatol. 2011, 21, 267–275. [Google Scholar] [CrossRef]
- Koyama, K.; Hatsushika, K.; Ando, T.; Sakuma, M.; Wako, M.; Kato, R.; Haro, H.; Sugiyama, H.; Hamada, Y.; Ogawa, H.; et al. Imatinib Mesylate Both Prevents and Treats the Arthritis Induced by Type II Collagen Antibody in Mice. Mod. Rheumatol. 2007, 17, 306–310. [Google Scholar] [CrossRef]
- Kang, Y.; Jiang, X.; Qin, D.; Wang, L.; Yang, J.; Wu, A.; Huang, F.; Ye, Y.; Wu, J. Efficacy and Safety of Multiple Dosages of Fostamatinib in Adult Patients with Rheumatoid Arthritis: A Systematic Review and Meta-Analysis. Front. Pharmacol. 2019, 10, 897. [Google Scholar] [CrossRef]
- Hekim, C.; Ilander, M.; Yan, J.; Michaud, E.; Smykla, R.; Vähä-Koskela, M.; Savola, P.; Tähtinen, S.; Saikko, L.; Hemminki, A.; et al. Dasatinib Changes Immune Cell Profiles Concomitant with Reduced Tumor Growth in Several Murine Solid Tumor ModelsDasatinib-Induced Antitumor Immunomodulation in Mouse Models. Cancer Immunol. Res. 2017, 5, 157–169. [Google Scholar] [CrossRef]
- Korashy, H.M.; Rahman, A.F.M.M.; Kassem, M.G. Dasatinib. Profiles Drug Subst. Excip. Relat. Methodol. 2014, 39, 205–237. [Google Scholar]
- Day, E.; Waters, B.; Spiegel, K.; Alnadaf, T.; Manley, P.W.; Buchdunger, E.; Walker, C.; Jarai, G. Inhibition of Collagen-Induced Discoidin Domain Receptor 1 and 2 Activation by Imatinib, Nilotinib and Dasatinib. Eur. J. Pharmacol. 2008, 599, 44–53. [Google Scholar] [CrossRef]
- Ntari, L.; Nikolaou, C.; Kranidioti, K.; Papadopoulou, D.; Christodoulou-Vafeiadou, E.; Chouvardas, P.; Meier, F.; Geka, C.; Denis, M.C.; Karagianni, N.; et al. Combination of Subtherapeutic Anti-TNF Dose with Dasatinib Restores Clinical and Molecular Arthritogenic Profiles Better than Standard Anti-TNF Treatment. J. Transl. Med. 2021, 19, 1–13. [Google Scholar] [CrossRef]
- Hantschel, O.; Rix, U.; Schmidt, U.; Bürckstümmer, T.; Kneidinger, M.; Schütze, G.; Colinge, J.; Bennett, K.L.; Ellmeier, W.; Valent, P.; et al. The Btk Tyrosine Kinase Is a Major Target of the Bcr-Abl Inhibitor Dasatinib. Proc. Natl. Acad. Sci. USA 2007, 104, 13283. [Google Scholar] [CrossRef]
- Fox, L.C.; Cummins, K.D.; Costello, B.; Yeung, D.; Cleary, R.; Forsyth, C.; Tatarczuch, M.; Burbury, K.; Motorna, O.; Shortt, J.; et al. The Incidence and Natural History of Dasatinib Complications in the Treatment of Chronic Myeloid Leukemia. Blood Adv. 2017, 1, 802. [Google Scholar] [CrossRef]
- Rapalli, V.K.; Mahmood, A.; Waghule, T.; Gorantla, S.; Kumar Dubey, S.; Alexander, A.; Singhvi, G. Revisiting Techniques to Evaluate Drug Permeation through Skin. Expert Opin. Drug Deliv. 2021, 18, 1829–1842. [Google Scholar] [CrossRef]
- Gorantla, S.; Singhvi, G.; Rapalli, V.K.; Waghule, T.; Dubey, S.K.; Saha, R.N. Targeted Drug-Delivery Systems in the Treatment of Rheumatoid Arthritis: Recent Advancement and Clinical Status. Ther. Deliv. 2020, 11, 269–284. [Google Scholar] [CrossRef]
- Khullar, R.; Kumar, D.; Seth, N.; Saini, S. Formulation and Evaluation of Mefenamic Acid Emulgel for Topical Delivery. Saudi Pharm. J. 2012, 20, 63–67. [Google Scholar] [CrossRef]
- Mwangi, A.N.; Njogu, P.M.; Maru, S.M.; Njuguna, N.M.; Njaria, P.M.; Kiriiri, G.K.; Mathenge, A.W. Meloxicam Emulgels for Topical Management of Rheumatism: Formulation Development, in Vitro and in Vivo Characterization. Saudi Pharm. J. 2021, 29, 351–360. [Google Scholar] [CrossRef]
- Panwar, A.; Upadhyay, N.; Bairagi, M.; Gujar, S.; Darwhekar, G.; Jain, D. Emulgel: A Review. Asian J. Pharm. Life Sci. 2011, 2231, 4423. [Google Scholar]
- Donthi, M.R.; Munnangi, S.R.; Krishna, K.V.; Saha, R.N.; Singhvi, G.; Dubey, S.K. Nanoemulgel: A Novel Nano Carrier as a Tool for Topical Drug Delivery. Pharmaceutics 2023, 15, 164. [Google Scholar] [CrossRef]
- Ojha, A.; Ojha, M.; Madhav, N.V.S. Recent Advancement in Emulgel: A Novel Approach for Topical Drug Delivery. Int. J. Adv. Pharm 2017, 6, 17–23. [Google Scholar]
- Nikumbh, K.V.; Sevankar, S.G.; Patil, M.P. Formulation Development, in Vitro and in Vivo Evaluation of Microemulsion-Based Gel Loaded with Ketoprofen. Drug Deliv. 2015, 22, 509–515. [Google Scholar] [CrossRef]
- Verma, A.; Jain, A.; Tiwari, A.; Jain, S.K. Emulgels: Application Potential in Drug Delivery; Springer: Berlin/Heidelberg, Germany, 2018; pp. 343–371. [Google Scholar] [CrossRef]
- Yu, L.X.; Amidon, G.; Khan, M.A.; Hoag, S.W.; Polli, J.; Raju, G.K.; Woodcock, J. Understanding Pharmaceutical Quality by Design. AAPS J. 2014, 16, 771–783. [Google Scholar] [CrossRef]
- Pradhan, R.; Krishna, K.V.; Wadhwa, G.; Taliyan, R.; Khadgawat, R.; Kachhawa, G.; Singhvi, G.; Dubey, S.K. QbD-Driven Development and Validation of HPLC Method for Determination of Bisphenol A and Bis-Sulphone in Environmental Samples. Int. J. Environ. Anal. Chem. 2020, 100, 42–54. [Google Scholar] [CrossRef]
- Madhav, K.V.; Kishan, V. Self Microemulsifying Particles of Loratadine for Improved Oral Bioavailability: Preparation, Characterization and in Vivo Evaluation. J. Pharm. Investig. 2018, 48, 497–508. [Google Scholar] [CrossRef]
- Jakki, R.; Afzal Syed, M.; Kandadi, P.; Veerabrahma, K. Development of a Self-Microemulsifying Drug Delivery System of Domperidone: In Vitro and in Vivo Characterization. Acta Pharm. 2013, 63, 241–251. [Google Scholar] [CrossRef]
- Patel, A.R.; Vavia, P.R. Preparation and in Vivo Evaluation of SMEDDS (Self-Microemulsifying Drug Delivery System) Containing Fenofibrate. AAPS J. 2007, 9, E344–E352. [Google Scholar] [CrossRef]
- Donthi, M.R.; Dudhipala, N.R.; Komalla, D.R.; Suram, D.; Banala, N. Preparation and Evaluation of Fixed Combination of Ketoprofen Enteric Coated and Famotidine Floating Mini Tablets by Single Unit Encapsulation System. J. Bioequiv. Availab. 2015, 7, 6. [Google Scholar] [CrossRef]
- Namjoshi, S.; Dabbaghi, M.; Roberts, M.S.; Grice, J.E.; Mohammed, Y. Quality by Design: Development of the Quality Target Product Profile (QTPP) for Semisolid Topical Products. Pharmaceutics 2020, 12, 287. [Google Scholar] [CrossRef]
- Sivaraman, A.; Banga, A.K. Quality by Design Approaches for Topical Dermatological Dosage Forms. Res. Rep. Transdermal Drug Deliv. 2015, 4, 9–21. [Google Scholar] [CrossRef]
- Rapalli, V.K.; Banerjee, S.; Khan, S.; Jha, P.N.; Gupta, G.; Dua, K.; Hasnain, M.S.; Nayak, A.K.; Dubey, S.K.; Singhvi, G. QbD-Driven Formulation Development and Evaluation of Topical Hydrogel Containing Ketoconazole Loaded Cubosomes. Mater. Sci. Eng. C 2021, 119, 111548. [Google Scholar] [CrossRef]
- Sharma, V.; Nayak, S.K.; Paul, S.R.; Choudhary, B.; Ray, S.S.; Pal, K. Emulgels. In Polymeric Gels; Elsevier: Amsterdam, The Netherlands, 2018; pp. 251–264. [Google Scholar]
- Dong, L.; Liu, C.; Cun, D.; Fang, L. The Effect of Rheological Behavior and Microstructure of the Emulgels on the Release and Permeation Profiles of Terpinen-4-Ol. Eur. J. Pharm. Sci. 2015, 78, 140–150. [Google Scholar] [CrossRef]
- Dudhipala, N.; Veerabrahma, K. Candesartan Cilexetil Loaded Solid Lipid Nanoparticles for Oral Delivery: Characterization, Pharmacokinetic and Pharmacodynamic Evaluation. Drug Deliv. 2016, 23, 395–404. [Google Scholar] [CrossRef]
- Krishna, K.V.; Wadhwa, G.; Alexander, A.; Kanojia, N.; Saha, R.N.; Kukreti, R.; Singhvi, G.; Dubey, S.K. Design and Biological Evaluation of Lipoprotein-Based Donepezil Nanocarrier for Enhanced Brain Uptake through Oral Delivery. ACS Chem. Neurosci. 2019, 10, 4124–4135. [Google Scholar] [CrossRef]
- Rashid, S.A.; Bashir, S.; Naseem, F.; Farid, A.; Rather, I.A.; Hakeem, K.R. Olive Oil Based Methotrexate Loaded Topical Nanoemulsion Gel for the Treatment of Imiquimod Induced Psoriasis-like Skin Inflammation in an Animal Model. Biology 2021, 10, 1121. [Google Scholar] [CrossRef]
- Khosa, A.; Krishna, K.V.; Dubey, S.K.; Saha, R.N. Lipid Nanocarriers for Enhanced Delivery of Temozolomide to the Brain. Methods Mol. Biol. 2020, 2059, 285–298. [Google Scholar] [CrossRef]
- Thakur, V.; Prashar, B.; Arora, S. Formulation and in Vitro Evaluation of Gel for Topical Delivery of Antifungal Agent Fluconazole Using Different Penetration Enhancers. Available online: https://www.researchgate.net/publication/287908763_Formulation_and_in_vitro_evaluation_of_gel_for_topical_delivery_of_antifungal_agent_fluconazole_using_different_penetration_enhancers (accessed on 9 February 2022).
- Pal, R.R.; Parashar, P.; Singh, I.; Saraf, S.A. Tamanu Oil Potentiated Novel Sericin Emulgel of Levocetirizine: Repurposing for Topical Delivery against DNCB-Induced Atopic Dermatitis, QbD Based Development and in Vivo Evaluation. J. Microencapsul. 2019, 36, 432–446. [Google Scholar] [CrossRef]
- Stojkov, G.; Niyazov, Z.; Picchioni, F.; Bose, R.K. Relationship between Structure and Rheology of Hydrogels for Various Applications. Gels 2021, 7, 255. [Google Scholar] [CrossRef]
- Guichard, A.; Humbert, P.; Tissot, M.; Muret, P.; Courderot-Masuyer, C.; Viennet, C. Effects of Topical Corticosteroids on Cell Proliferation, Cell Cycle Progression and Apoptosis: In Vitro Comparison on HaCaT. Int. J. Pharm. 2015, 479, 422–429. [Google Scholar] [CrossRef]
- Schreier, H.; Bouwstra, J. Liposomes and Niosomes as Topical Drug Carriers: Dermal and Transdermal Drug Delivery. J. Control Release 1994, 30, 1–15. [Google Scholar] [CrossRef]
- Wavikar, P.; Vavia, P. Nanolipidgel for Enhanced Skin Deposition and Improved Antifungal Activity. AAPS PharmSciTech 2013, 14, 222–233. [Google Scholar] [CrossRef]
- ElMeshad, A.N.; Tadros, M.I. Transdermal Delivery of an Anti-Cancer Drug via w/o Emulsions Based on Alkyl Polyglycosides and Lecithin: Design, Characterization, and in Vivo Evaluation of the Possible Irritation Potential in Rats. AAPS PharmSciTech 2011, 12, 1–9. [Google Scholar] [CrossRef]
- Siddalingam, R.; Chidambaram, K. Topical Nano-Delivery of 5-Fluorouracil: Preparation and Characterization of Water-in-Oil Nanoemulsion. Trop. J. Pharm. Res. 2016, 15, 2311–2319. [Google Scholar] [CrossRef]
- Jibry, N.; Murdan, S. In Vivo Investigation, in Mice and in Man, into the Irritation Potential of Novel Amphiphilogels Being Studied as Transdermal Drug Carriers. Eur. J. Pharm. Biopharm. 2004, 58, 107–119. [Google Scholar] [CrossRef]
- Bancroft, J.; Gamble, M. Theory and Practice of Histological Techniques; Elsevier Health Sciences: Amsterdam, The Netherlands, 2008. [Google Scholar]
- Jeengar, M.K.; Rompicharla, S.V.K.; Shrivastava, S.; Chella, N.; Shastri, N.R.; Naidu, V.G.M.; Sistla, R. Emu Oil Based Nano-Emulgel for Topical Delivery of Curcumin. Int. J. Pharm. 2016, 506, 222–236. [Google Scholar] [CrossRef]
- Patil, M.V.K.; Kandhare, A.D.; Bhise, S.D. Anti-Arthritic and Anti-Inflammatory Activity of Xanthium Srtumarium L. Ethanolic Extract in Freund’s Complete Adjuvant Induced Arthritis. Biomed. Aging Pathol. 2012, 2, 6–15. [Google Scholar] [CrossRef]
- Jones, B.J.; Roberts, D.J. The Quantitative Measurement of Motor Inco-Ordination in Naive Mice Using an Accelerating Rotarod. J. Pharm. Pharmacol. 1968, 20, 302–304. [Google Scholar] [CrossRef]
- Waghule, T.; Rapalli, V.K.; Singhvi, G.; Manchanda, P.; Hans, N.; Dubey, S.K.; Hasnain, M.S.; Nayak, A.K. Voriconazole Loaded Nanostructured Lipid Carriers Based Topical Delivery System: QbD Based Designing, Characterization, in-Vitro and Ex-Vivo Evaluation. J. Drug Deliv. Sci. Technol. 2019, 52, 303–315. [Google Scholar] [CrossRef]
- Waghule, T.; Rapalli, V.K.; Gorantla, S.; Saha, R.N.; Dubey, S.K.; Puri, A.; Singhvi, G. Nanostructured Lipid Carriers as Potential Drug Delivery Systems for Skin Disorders. Curr. Pharm. Des. 2020, 26, 4569–4579. [Google Scholar] [CrossRef]
- Damodharan, N. Mathematical Modelling of Dissolution Kinetics in Dosage Forms. Res. J. Pharm. Technol. 2020, 13, 1339–1345. [Google Scholar]
- Carlfors, J.; Edsman, K.; Petersson, R.; Jörnving, K. Rheological Evaluation of Gelrite® in Situ Gels for Ophthalmic Use. Eur. J. Pharm. Sci. 1998, 6, 113–119. [Google Scholar] [CrossRef]
- Dantas, M.G.B.; Reis, S.A.G.B.; Damasceno, C.M.D.; Rolim, L.A.; Rolim-Neto, P.J.; Carvalho, F.O.; Quintans-Junior, L.J.; Da Silva Almeida, J.R.G. Development and Evaluation of Stability of a Gel Formulation Containing the Monoterpene Borneol. Sci. World J. 2016, 2016, 7394685. [Google Scholar] [CrossRef]
- Rapalli, V.K.; Kaul, V.; Waghule, T.; Gorantla, S.; Sharma, S.; Roy, A.; Dubey, S.K.; Singhvi, G. Curcumin Loaded Nanostructured Lipid Carriers for Enhanced Skin Retained Topical Delivery: Optimization, Scale-up, in-Vitro Characterization and Assessment of Ex-Vivo Skin Deposition. Eur. J. Pharm. Sci. 2020, 152, 105438. [Google Scholar] [CrossRef]
- Larson, A.A.; Brown, D.R.; El-Atrash, S.; Walser, M.M. Pain Threshold Changes in Adjuvant-Induced Inflammation: A Possible Model of Chronic Pain in the Mouse. Pharmacol. Biochem. Behav. 1986, 24, 49–53. [Google Scholar] [CrossRef]
- Schaible, H.G.; Del Rosso, A.; Matucci-Cerinic, M. Neurogenic Aspects of Inflammation. Rheum. Dis. Clin. N. Am. 2005, 31, 77–101. [Google Scholar] [CrossRef]
- Levine, J.D.; Khasar, S.G.; Green, P.G. Neurogenic Inflammation and Arthritis. Ann. N. Y. Acad. Sci. 2006, 1069, 155–167. [Google Scholar] [CrossRef]














| CMAs and CPPs | CQAs | FMEA | |||||
|---|---|---|---|---|---|---|---|
| PS | EE | Drug Release | Severity | Detectability | Occurrence | RPN Score | |
| Amount of Lipid | HIGH | HIGH | HIGH | 8 | 6 | 6 | 288 |
| Smix concentration | HIGH | HIGH | HIGH | 8 | 5 | 6 | 240 |
| Co-solvent | MEDIUM | MEDIUM | MEDIUM | 5 | 3 | 4 | 60 |
| Permeation enhancer | MEDIUM | MEDIUM | MEDIUM | 5 | 3 | 4 | 60 |
| Homogenization Time | HIGH | HIGH | LOW | 6 | 5 | 5 | 150 |
| Homogenization speed | HIGH | HIGH | LOW | 7 | 5 | 5 | 175 |
| Process temperature | LOW | MEDIUM | LOW | 4 | 3 | 2 | 24 |
| Formulation Code | Factor1 A: Lipid Base (%) | Factor 2 B: Smix (%) | Factor 3 C: Homogenization Speed (RPM) | Factor 4 D: Homogenization Time (min) | Response 1 Size (nm) | Response 2 EE (%) | PDI |
|---|---|---|---|---|---|---|---|
| CF1 | 5 | 3 | 10,000 | 15 | 186.03 ± 1.70 | 87.87 ± 0.16 | 0.157 ± 0.009 |
| CF2 | 6 | 4 | 15,000 | 5 | 310.70 ± 3.63 | 84.31 ± 0.25 | 0.358 ± 0.033 |
| CF3 | 5 | 4 | 10,000 | 10 | 312.27 ± 2.84 | 86.30 ± 0.13 | 0.304 ± 0.010 |
| CF4 | 4 | 4 | 5000 | 15 | 222.47 ± 5.48 | 86.95 ± 0.10 | 0.294 ± 0.021 |
| CF5 | 6 | 2 | 5000 | 15 | 181.30 ± 10.54 | 84.53 ± 0.13 | 0.292 ± 0.050 |
| CF6 | 6 | 2 | 15,000 | 15 | 193.53 ± 8.0 | 84.92 ± 0.63 | 0.343 ± 0.023 |
| CF7 | 4 | 4 | 15,000 | 15 | 163.77 ± 3.93 | 91.21 ± 0.10 | 0.231 ± 0.012 |
| CF8 | 4 | 2 | 5000 | 5 | 271.23 ± 47.89 | 88.64 ± 0.44 | 0.416 ± 0.114 |
| CF9 | 6 | 4 | 5000 | 5 | 1782.53 ± 770.61 | 95.23 ± 0.24 | 0.952 ± 0.083 |
| CF10 | 6 | 3 | 10,000 | 10 | 445.13 ± 147.90 | 90.09 ± 0.05 | 0.549 ± 0.135 |
| CF11 | 5 | 3 | 5000 | 10 | 374.37 ± 2.87 | 91.02 ± 0.06 | 0.348 ± 0.032 |
| CF12 | 5 | 3 | 10,000 | 10 | 308.77 ± 2.15 | 89.81 ± 0.18 | 0.284 ± 0.033 |
| CF13 | 5 | 3 | 15,000 | 10 | 275.77 ± 4.44 | 89.71 ± 0.31 | 0.282 ± 0.027 |
| CF14 | 5 | 3 | 10,000 | 5 | 322.90 ± 1.35 | 91.85 ± 0.42 | 0.273 ± 0.029 |
| CF15 | 4 | 2 | 15,000 | 5 | 300.37 ± 1.50 | 86.53 ± 0.21 | 0.244 ± 0.011 |
| CF16 | 5 | 2 | 10,000 | 10 | 314.67 ± 2.24 | 84.38 ± 0.61 | 0.317 ± 0.023 |
| CF17 | 4 | 3 | 10,000 | 10 | 297.40 ± 3.48 | 93.30 ± 0.40 | 0.313 ± 0.045 |
| Batch Size (Ml) | Zero Order | First Order | Higuchi | Korsmeyer Peppas | Hixson Crowell | |
|---|---|---|---|---|---|---|
| 20 | R2 | 0.6900 | 0.9790 | 0.9430 | 0.9454 | 0.9912 |
| 20 | AIC | 75.6555 | 51.4332 | 60.4207 | 62.0220 | 43.5941 |
| 50 | R2 | 0.7266 | 0.9595 | 0.9064 | 0.9163 | 0.9710 |
| 50 | AIC | 73.6516 | 56.4597 | 64.0006 | 64.9945 | 53.4487 |
| 100 | R2 | 0.6329 | 0.9733 | 0.9239 | 0.9243 | 0.9809 |
| 100 | AIC | 76.2149 | 52.6162 | 62.0542 | 64.0076 | 49.5992 |
Disclaimer/Publisher’s Note: The statements, opinions and data contained in all publications are solely those of the individual author(s) and contributor(s) and not of MDPI and/or the editor(s). MDPI and/or the editor(s) disclaim responsibility for any injury to people or property resulting from any ideas, methods, instructions or products referred to in the content. |
© 2023 by the authors. Licensee MDPI, Basel, Switzerland. This article is an open access article distributed under the terms and conditions of the Creative Commons Attribution (CC BY) license (https://creativecommons.org/licenses/by/4.0/).
Share and Cite
Donthi, M.R.; Saha, R.N.; Singhvi, G.; Dubey, S.K. Dasatinib-Loaded Topical Nano-Emulgel for Rheumatoid Arthritis: Formulation Design and Optimization by QbD, In Vitro, Ex Vivo, and In Vivo Evaluation. Pharmaceutics 2023, 15, 736. https://doi.org/10.3390/pharmaceutics15030736
Donthi MR, Saha RN, Singhvi G, Dubey SK. Dasatinib-Loaded Topical Nano-Emulgel for Rheumatoid Arthritis: Formulation Design and Optimization by QbD, In Vitro, Ex Vivo, and In Vivo Evaluation. Pharmaceutics. 2023; 15(3):736. https://doi.org/10.3390/pharmaceutics15030736
Chicago/Turabian StyleDonthi, Mahipal Reddy, Ranendra Narayan Saha, Gautam Singhvi, and Sunil Kumar Dubey. 2023. "Dasatinib-Loaded Topical Nano-Emulgel for Rheumatoid Arthritis: Formulation Design and Optimization by QbD, In Vitro, Ex Vivo, and In Vivo Evaluation" Pharmaceutics 15, no. 3: 736. https://doi.org/10.3390/pharmaceutics15030736
APA StyleDonthi, M. R., Saha, R. N., Singhvi, G., & Dubey, S. K. (2023). Dasatinib-Loaded Topical Nano-Emulgel for Rheumatoid Arthritis: Formulation Design and Optimization by QbD, In Vitro, Ex Vivo, and In Vivo Evaluation. Pharmaceutics, 15(3), 736. https://doi.org/10.3390/pharmaceutics15030736

