Safety in Rats of a Novel Nasal Spray Formulation for the Prevention of Airborne Viral Infections
Abstract
:1. Introduction
2. Materials and Methods
2.1. Animals
2.2. Study Procedures
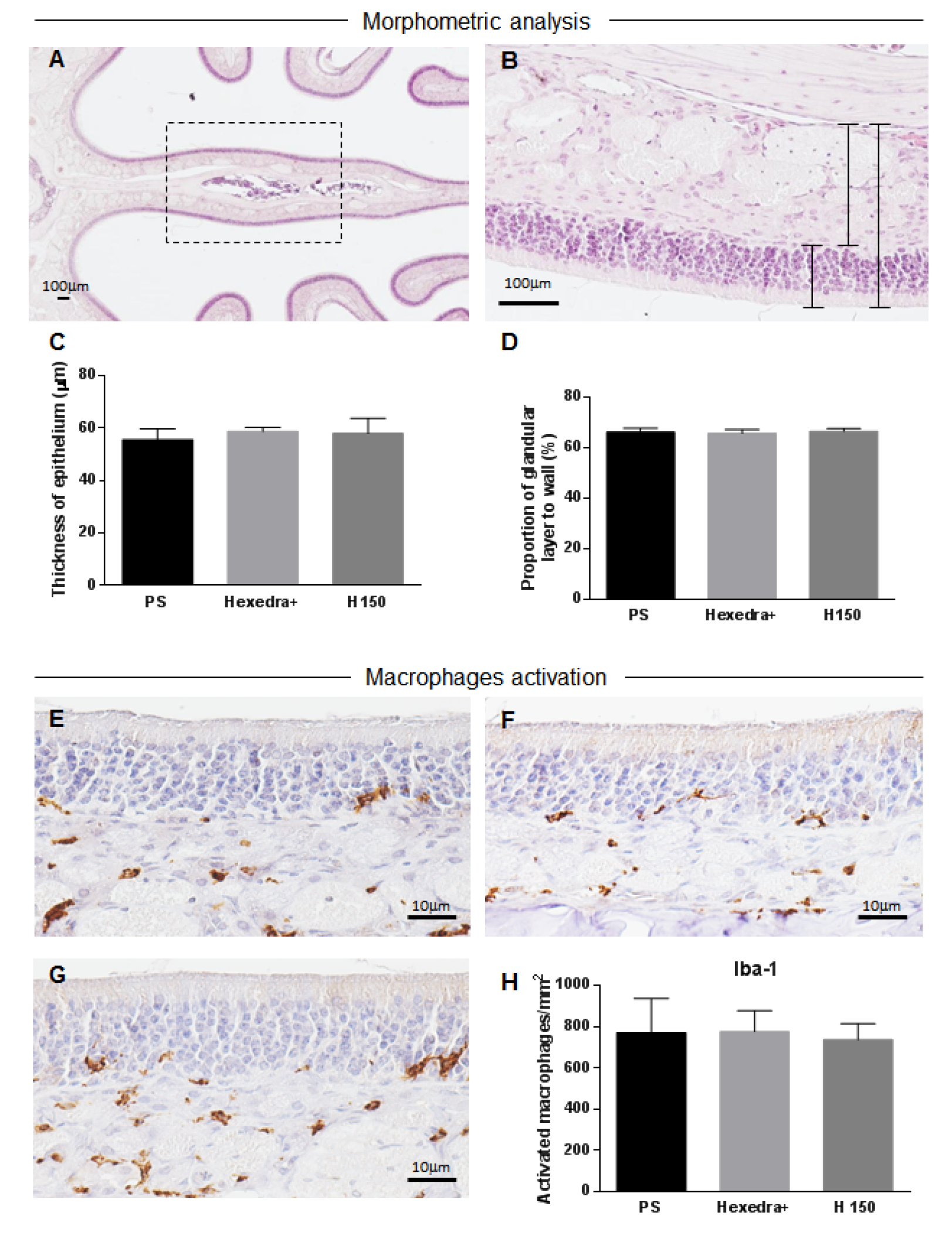
2.3. Histology, Morphometric Analysis and Immunohistochemistry
2.4. Enzyme-Linked Immunosorbent Assay (ELISA)
2.5. Liquid Chromatography-Mass Spectrometry
2.6. Statistical Analysis
3. Results
3.1. Body Weight
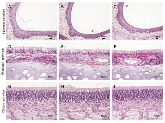
3.2. Histological Analysis
3.3. Morphometric Changes and Inflammation Assessment in the Olfactory Mucosa
3.4. Serum ALT
3.5. Serum UA
4. Discussion
5. Conclusions
Author Contributions
Funding
Institutional Review Board Statement
Informed Consent Statement
Data Availability Statement
Conflicts of Interest
References
- Delivorias, A.; Scholz, N.; EPRS (European Parliamentary Research Service). Economic Impact of Epidemics and Pandemics. Available online: https://www.europarl.europa.eu/thinktank/en/document/EPRS_BRI(2020)646195 (accessed on 27 February 2020).
- Putri, W.C.W.S.; Muscatello, D.J.; Stockwell, M.S.; Newall, A.T. Economic burden of seasonal influenza in the United States. Vaccine 2018, 27, 3960–3966. [Google Scholar] [CrossRef] [PubMed]
- Wang, J.T.; Chang, S.C. Severe acute respiratory syndrome. Curr. Opin. Infect. Dis. 2004, 2, 143–148. [Google Scholar] [CrossRef] [PubMed]
- Keogh-Brown, M.R.; Smith, R.D. The economic impact of SARS: How does the reality match the predictions? Health Policy. Health Policy 2008, 88, 110–120. [Google Scholar] [CrossRef] [PubMed]
- Neumann, G.; Kawaoka, Y. The first influenza pandemic of the new millennium. Influenza Other Respir. Viruses 2011, 3, 157–166. [Google Scholar] [CrossRef]
- World Health Organization; Regional Office for the Eastern Mediterranean. MERS Situation Update, January 2020. Available online: http://www.emro.who.int/pandemic-epidemic-diseases/mers-cov/mers-situation-update-january-2020.html (accessed on 15 January 2023).
- Joo, H.; Maskery, B.A.; Berro, A.D.; Rotz, L.D.; Lee, Y.K.; Brown, C.M. Economic Impact of the 2015 MERS Outbreak on the Republic of Korea’s Tourism-Related Industries. Health Secur. 2019, 2, 100–108. [Google Scholar] [CrossRef]
- Patel, A.; Jernigan, D.B. 2019-nCoV CDC Response Team. Initial Public Health Response and Interim Clinical Guidance for the 2019 Novel Coronavirus Outbreak—United States, 31 December 2019–4 February 2020. MMWR Morb. Mortal. Wkly. Rep. 2020, 5, 140–146. [Google Scholar] [CrossRef]
- World Health Organization. WHO Coronavirus (COVID-19) Dashboard. Available online: https://covid19.who.int/ (accessed on 15 January 2023).
- Clark, D. GDP Growth Rate Forecasts in Europe 2020–2021. Available online: https://www.statista.com/statistics/686147/gdp-growth-europe/ (accessed on 16 May 2022).
- Neiderud, C.J. How urbanization affects the epidemiology of emerging infectious diseases. Infect. Ecol. Epidemiol. 2015, 5, 27060. [Google Scholar] [CrossRef]
- Aguilar, J.; Bassolas, A.; Ghoshal, G.; Hazarie, S.; Kirkley, A.; Mazzoli, M.; Meloni, S.; Mimar, S.; Nicosia, V.; Ramasco, J.J.; et al. Impact of urban structure on infectious disease spreading. Sci. Rep. 2022, 1, 3816. [Google Scholar] [CrossRef]
- Grobusch, M.P.; Weld, L.; Goorhuis, A.; Hamer, D.H.; Schunk, M.; Jordan, S.; Mockenhaupt, F.P.; Chappuis, F.; Asgeirsson, H.; Caumes, E.; et al. Travel-related infections presenting in Europe: A 20-year analysis of EuroTravNet surveillance data. Lancet Reg. Health Eur. 2020, 1, 100001. [Google Scholar] [CrossRef]
- Mahmud, A.S.; Martinez, P.P.; He, J.; Baker, R.E. The Impact of Climate Change on Vaccine-Preventable Diseases: Insights from Current Research and New Directions. Curr. Environ. Health Rep. 2020, 4, 384–391. [Google Scholar] [CrossRef]
- Moriyama, M.; Hugentobler, W.J.; Iwasaki, A. Seasonality of respiratory viral infections. Annu. Rev. Virol. 2020, 7, 83–101. [Google Scholar] [CrossRef]
- Marr, L.C.; Tang, J.W.; Van Mullekom, J.; Lakdawala, S.S. Mechanistic insights into the effect of humidity on airborne influenza virus survival, transmission and incidence. J. R. Soc. Interface 2019, 16, 20180298. [Google Scholar] [CrossRef]
- Randall, K.; Ewing, E.T.; Marr, L.C.; Jimenez, J.L.; Bourouiba, L. How did we get here: What are droplets and aerosols and how far do they go? A historical perspective on the transmission of respiratory infectious diseases. Interface Focus 2021, 11, 20210049. [Google Scholar] [CrossRef]
- Wang, C.C.; Prather, K.A.; Sznitman, J.; Jimenez, J.L.; Lakdawala, S.S.; Tufekci, Z.; Marr, L.C. Airborne transmission of respiratory viruses. Science 2021, 373, 981. [Google Scholar] [CrossRef]
- Santarpia, J.L.; Herrera, V.L.; Rivera, D.N.; Ratnesar-Shumate, S.; Reid, S.P.; Ackerman, D.N.; Denton, P.W.; Martens, J.W.S.; Fang, Y.; Conoan, N.; et al. The size and culturability of patient-generated SARS-CoV-2 aerosol. J. Expo. Sci. Environ. Epidemiol. 2021, 32, 706–711. [Google Scholar] [CrossRef]
- Bloch, A.B.; Orenstein, W.A.; Ewing, W.M.; Spain, W.H.; Mallison, G.F.; Herrmann, K.L.; Hinman, A.R. Measles outbreak in a pediatric practice: Airborne transmission in an office setting. Pediatrics 1985, 75, 676–683. [Google Scholar] [CrossRef]
- Yan, J.; Grantham, M.; Pantelic, J.; Bueno de Mesquita, P.J.; Albert, B.; Liu, F.; Ehrman, S.; Milton, D.K.; EMIT Consortium. Infectious virus in exhaled breath of symptomatic seasonal influenza cases from a college community. Proc. Natl. Acad. Sci. USA 2018, 5, 1081–1086. [Google Scholar] [CrossRef]
- Yu, I.T.S.; Li, Y.; Wong, T.W.; Tam, W.; Chan, A.T.; Lee, J.H.W.; Leung, D.Y.C.; Ho, T. Evidence of airborne transmission of the severe acute respiratory syndrome virus. N. Engl. J. Med. 2004, 17, 1731–1739. [Google Scholar] [CrossRef]
- Kim, S.H.; Chang, S.Y.; Sung, M.; Park, J.H.; Kim, H.B.; Lee, H.; Choi, J.P.; Choi, W.S.; Min, J.Y. Extensive Viable Middle East Respiratory Syndrome (MERS) Coronavirus Contamination in Air and Surrounding Environment in MERS Isolation Wards. Clin. Infect. Dis. 2016, 3, 363–369. [Google Scholar] [CrossRef]
- Chen, W.; Zhang, N.; Wei, J.; Yen, H.L.; Li, Y. Short-range airborne route dominates exposure of respiratory infection during close contact. Build. Environ. 2020, 176, 106859. [Google Scholar] [CrossRef]
- Bichiri, D.; Rente, A.R.; Jesus, Â. Safety and efficacy of iota-carrageenan nasal spray in treatment and prevention of the common cold. Med. Pharm. Rep. 2021, 1, 28–34. [Google Scholar] [CrossRef] [PubMed]
- Qaisrani, M.N.; Belousov, R.; Rehman, J.U.; Goliaei, E.M.; Girotto, I.; Franklin-Mergarejo, R.; Güell, O.; Hassanali, A.; Roldán, E. Phospholipids dock SARS-CoV-2 spike protein via hydrophobic interactions: A minimal in-silico study of lecithin nasal spray therapy. Eur. Phys. J. E Soft Matter 2021, 11, 132. [Google Scholar] [CrossRef] [PubMed]
- Moakes, R.J.A.; Davies, S.P.; Stamataki, Z.; Grover, L.M. Formulation of a Composite Nasal Spray Enabling Enhanced Surface Coverage and Prophylaxis of SARS-CoV-2. Adv. Mater. 2021, 26, e2008304. [Google Scholar] [CrossRef] [PubMed]
- Fais, F.; Juskeviciene, R.; Francardo, V.; Mateos, S.; Guyard, M.; Viollet, C.; Constant, S.; Borelli, M.; Hohenfeld, I.P. Drug-Free Nasal Spray as a Barrier against SARS-CoV-2 and Its Delta Variant: In Vitro Study of Safety and Efficacy in Human Nasal Airway Epithelia. Int. J. Mol. Sci. 2022, 7, 4062. [Google Scholar] [CrossRef] [PubMed]
- Balmforth, D.; Swales, J.A.; Silpa, L.; Dunton, A.; Davies, K.E.; Davies, S.G.; Kamath, A.; Gupta, J.; Gupta, S.; Masood, M.A.; et al. Evaluating the efficacy and safety of a novel prophylactic nasal spray in the prevention of SARS-CoV-2 infection: A multi-centre, double blind, placebo-controlled, randomised trial. J. Clin. Virol. 2022, 155, 105248. [Google Scholar] [CrossRef]
- Bentley, K.; Stanton, R.J. Hydroxypropyl Methylcellulose-Based Nasal Sprays Effectively Inhibit In Vitro SARS-CoV-2 Infection and Spread. Viruses 2021, 12, 2345. [Google Scholar] [CrossRef]
- Popov, T.A.; Åberg, N.; Emberlin, J.; Josling, P.; Ilyina, N.I.; Nikitin, N.P.; Church, M. Methyl-cellulose powder for prevention and management of nasal symptoms. Expert Rev. Respir. Med. 2017, 11, 885–892. [Google Scholar] [CrossRef]
- Jin, J.Q.; Rao, Y.; Bian, X.l. Solubility of (+)-Usnic Acid in Water, Ethanol, Acetone, Ethyl Acetate and n-Hexane. J. Solution Chem. 2013, 42, 1018–1027. [Google Scholar] [CrossRef]
- Dos Santos, P.H.; Mesquita, T.; Miguel-Dos-Santos, R.; Melo de Almeida, G.K.; Andrade de Sá, L.; Dos Passos Menezes, P.; Antunes de Souza Araujo, A.; Lauton-Santos, S. Inclusion complex with β-cyclodextrin is a key determining factor for the cardioprotection induced by usnic acid. Chem. Biol. Interact. 2020, 332, 109297. [Google Scholar] [CrossRef]
- Garrido, P.F.; Calvelo, M.; Blanco-González, A.; Veleiro, U.; Suárez, F.; Conde, D.; Cabezón, A.; Piñeiro, A.; Garcia-Fandino, R. The Lord of the NanoRings: Cyclodextrins and the battle against SARS-CoV-2. Int. J. Pharm. 2020, 588, 119689. [Google Scholar] [CrossRef]
- Gupta, V.K.; Verma, S.; Gupta, S.; Singh, A.; Pal, A.; Srivastava, S.K.; Singh, S.C.; Darokar, M.P. Membrane-damaging potential of natural L-(-)-usnic acid in Staphylococcus aureus. Eur. J. Clin. Microbiol. Infect. Dis. 2012, 31, 3375–3383. [Google Scholar] [CrossRef]
- Francolini, L.; Taresco, V.; Crisante, F.; Martinelli, A.; D’Ilario, L.; Piozzi, A. Water soluble usnic acid-polyacrylamide complexes with enhanced antimicrobial activity against Staphylococcus epidermidis. Int. J. Mol. Sci. 2013, 14, 7356–7369. [Google Scholar] [CrossRef]
- Elo, H.; Matikainen, J.; Pelttari, E. Potent activity of the lichen antibiotic (+)-usnic acid against clinical isolates of vancomycin-resistant enterococci and methicillin-resistant Staphylococcus aureus. Naturwissenschaften 2007, 94, 465–468. [Google Scholar] [CrossRef]
- Pompilio, A.; Riviello, A.; Crocetta, V.; Di Giuseppe, F.; Pomponio, S.; Sulpizio, M.; Di Ilio, C.; Angelucci, S.; Barone, L.; Di Giulio, A.; et al. Evaluation of antibacterial and antibiofilm mechanisms by usnic acid against methicillin-resistant Staphylococcus aureus. Future Microbiol. 2016, 11, 1315–1338. [Google Scholar] [CrossRef]
- Tozatti, M.G.; Ferreira, D.S.; Flauzino, L.G.B.; Moraes, T.D.S.; Martins, C.H.G.; Groppo, M.; Silva, M.L.A.E.; Januário, A.H.; Pauletti, P.M.; Cunhaa, W.R. Activity of the lichen Usnea steineri and its major metabolites against Gram-positive, multidrug-resistant bacteria. Nat. Prod. Commun. 2016, 11, 493–496. [Google Scholar] [CrossRef]
- Shtro, A.A.; Zarubaev, V.V.; Luzina, O.A.; Sokolov, D.N.; Salakhutdinov, N.F. Derivatives of usnic acid inhibit broad range of influenza viruses and protect mice from lethal influenza infection. Antivir. Chem. Chemother. 2015, 24, 92–98. [Google Scholar] [CrossRef]
- Sokolov, D.N.; Zarubaev, V.V.; Shtro, A.A.; Polovinka, M.P.; Luzina, O.A.; Komarova, N.I.; Salakhutdinov, N.F.; Kiselev, O.I. Anti-viral activity of (-)- and (+)-usnic acids and their derivatives against influenza virus A(H1N1). Bioorg. Med. Chem. Lett. 2012, 22, 7060–7064. [Google Scholar] [CrossRef]
- Guthappa, R. Docking Studies of Usnic Acid and Sodium Usnate on SARS-CoV-2 Main Protease and Spike Protein RBD. Chemrxiv 2020, 12638906. [Google Scholar] [CrossRef]
- Prateeksha, G.; Rana, T.S.; Ashthana, A.K.; Barik, S.K.; Singh, B.N. Screening of cryptogamic secondary metabolites as putative inhibitors of SARS-CoV-2 main protease and ribosomal binding domain of spike glycoprotein by molecular docking and molecular dynamics approaches. J. Mol. Struct. 2021, 1240, 130506. [Google Scholar] [CrossRef]
- Oh, E.; Wang, W.; Park, K.H.; Park, C.; Cho, Y.; Lee, J.; Kang, E.; Kang, H. (+)-Usnic acid and its salts, inhibitors of SARS-CoV-2, identified by using in silico methods and in vitro assay. Sci. Rep. 2022, 12, 13118. [Google Scholar] [CrossRef]
- Filimonov, A.S.; Yarovaya, O.I.; Zaykovskaya, A.V.; Rudometova, N.B.; Shcherbakov, D.N.; Chirkova, V.Y.; Baev, D.S.; Borisevich, S.S.; Luzina, O.A.; Pyankov, O.V.; et al. (+)-Usnic Acid and Its Derivatives as Inhibitors of a Wide Spectrum of SARS-CoV-2 Viruses. Viruses 2022, 14, 2154. [Google Scholar] [CrossRef] [PubMed]
- Croce, N.; Pitaro, M.; Gallo, V.; Antonini, A. Toxicity of Usnic Acid: A Narrative Review. J. Toxicol. 2022, 2022, 8244340. [Google Scholar] [CrossRef] [PubMed]
- FDA Warns Against Use of the Dietary Supplement LipoKinetix. Available online: https://www.medscape.com/viewarticle/411150 (accessed on 21 November 2001).
- Macedo, D.C.S.; Almeida, F.J.F.; Wanderley, M.S.O.; Ferraz, M.S.; Santos, N.P.S.; López, A.M.Q.; Santos-Magalhães, N.S.; Lira-Nogueira, M.C.B. Usnic acid: From an ancient lichen derivative to promising biological and nanotechnology applications. Phytochem. Rev. 2021, 20, 609–630. [Google Scholar] [CrossRef]
- Gizurarson, S. The relevance of nasal physiology to the design of drug absorption studies. Adv. Drug Deliv. Rev. 1993, 11, 329–347. [Google Scholar] [CrossRef]
- Young, J.T. Histopathologic examination of the rat nasal cavity. Fundam. Appl. Toxicol. 1981, 4, 309–312. [Google Scholar] [CrossRef]
- Ozer, J.; Ratner, M.; Shaw, M.; Bailey, W.; Schomaker, S. The current state of serum biomarkers of hepatotoxicity. Toxicology 2008, 3, 194–205. [Google Scholar] [CrossRef]
- Burdock, G.A. Safety assessment of hydroxypropyl methylcellulose as a food ingredient. Food Chem. Tox. 2007, 45, 2341–2351. [Google Scholar] [CrossRef]
- Crini, G. Review: A history of cyclodextrins. Chem. Rev. 2014, 114, 10940–10975. [Google Scholar] [CrossRef]
- Guo, L.; Shi, Q.; Fang, J.L.; Mei, N.; Ali, A.A.; Lewis, S.M.; Leakey, J.E.A.; Frankos, V.H. Review of Usnic Acid and Usnea Barbata Toxicity. J. Environ. Sci. Health C Environ. Carcinog. Ecotoxicol. Rev. 2008, 26, 317–338. [Google Scholar] [CrossRef]






| Species | Surface of Nasal Mucosa | Volume of Nasal Cavity | Volume to Be Administered |
|---|---|---|---|
| Man | 160 cm2 | 20 mL | 300 μL |
| Rat | 14 cm2 | 0.4 mL | 26 μL |
| Mouse | 2.8 cm2 | 0.03 mL | 6 μL |
| PS | Hexedra+ | H150 | |||||||||
|---|---|---|---|---|---|---|---|---|---|---|---|
| No. | S1 | S2 | Av. | No. | S1 | S2 | Av. | No. | S1 | S2 | Av. |
| 1 | <1 | <1 | <1 | 1 | 0.032 | 0.034 | 0.033 | 1 | 0.115 | 0.111 | 0.113 |
| 2 | <1 | <1 | <1 | 2 | 0.044 | 0.036 | 0.040 | 2 | 0.121 | 0.116 | 0.119 |
| 3 | <1 | <1 | <1 | 3 | 0.039 | 0.040 | 0.039 | 3 | 0.112 | 0.107 | 0.109 |
| 4 | <1 | <1 | <1 | 4 | 0.031 | 0.036 | 0.034 | 4 | 0.126 | 0.117 | 0.121 |
| 5 | <1 | <1 | <1 | 5 | 0.030 | 0.028 | 0.029 | 5 | 0.116 | 0.119 | 0.117 |
| 6 | <1 | <1 | <1 | 6 | 0.030 | 0.040 | 0.035 | 6 | 0.126 | 0.119 | 0.123 |
| 7 | <1 | <1 | <1 | 7 | 0.033 | 0.036 | 0.034 | 7 | 0.114 | 0.107 | 0.111 |
| 8 | <1 | <1 | <1 | 8 | 0.033 | 0.034 | 0.034 | 8 | 0.135 | 0.109 | 0.122 |
| 9 | <1 | <1 | <1 | 9 | 0.033 | 0.028 | 0.031 | 9 | 0.112 | 0.102 | 0.107 |
| 10 | <1 | <1 | <1 | 10 | 0.032 | 0.042 | 0.037 | 10 | 0.120 | 0.111 | 0.116 |
| Av. | <1 | Av. | 0.035 | Av. | 0.116 | ||||||
| SD | n.a. | SD | 0.004 | SD | 0.006 | ||||||
Disclaimer/Publisher’s Note: The statements, opinions and data contained in all publications are solely those of the individual author(s) and contributor(s) and not of MDPI and/or the editor(s). MDPI and/or the editor(s) disclaim responsibility for any injury to people or property resulting from any ideas, methods, instructions or products referred to in the content. |
© 2023 by the authors. Licensee MDPI, Basel, Switzerland. This article is an open access article distributed under the terms and conditions of the Creative Commons Attribution (CC BY) license (https://creativecommons.org/licenses/by/4.0/).
Share and Cite
Tanori, M.; Pitaro, M.; Fratini, E.; Colantoni, E.; Amoresano, A.; Celentano, S.; Chiaramonte, B.; Mancuso, M. Safety in Rats of a Novel Nasal Spray Formulation for the Prevention of Airborne Viral Infections. Pharmaceutics 2023, 15, 591. https://doi.org/10.3390/pharmaceutics15020591
Tanori M, Pitaro M, Fratini E, Colantoni E, Amoresano A, Celentano S, Chiaramonte B, Mancuso M. Safety in Rats of a Novel Nasal Spray Formulation for the Prevention of Airborne Viral Infections. Pharmaceutics. 2023; 15(2):591. https://doi.org/10.3390/pharmaceutics15020591
Chicago/Turabian StyleTanori, Mirella, Michele Pitaro, Emiliano Fratini, Eleonora Colantoni, Angela Amoresano, Simona Celentano, Barbara Chiaramonte, and Mariateresa Mancuso. 2023. "Safety in Rats of a Novel Nasal Spray Formulation for the Prevention of Airborne Viral Infections" Pharmaceutics 15, no. 2: 591. https://doi.org/10.3390/pharmaceutics15020591
APA StyleTanori, M., Pitaro, M., Fratini, E., Colantoni, E., Amoresano, A., Celentano, S., Chiaramonte, B., & Mancuso, M. (2023). Safety in Rats of a Novel Nasal Spray Formulation for the Prevention of Airborne Viral Infections. Pharmaceutics, 15(2), 591. https://doi.org/10.3390/pharmaceutics15020591

