The Effect of Super-Repressor IkB-Loaded Exosomes (Exo-srIκBs) in Chronic Post-Ischemia Pain (CPIP) Models
Abstract
1. Introduction
2. Materials and Methods
2.1. Study Design
2.2. Animals
2.3. CPIP Model Making
2.4. Exosome: Exo-srIκB
2.5. Drugs
2.6. Mechanical Allodynia
2.7. Tissue Sampling and Preparation
2.8. Western Blot
2.9. Rotarod Test
2.10. Cytokine and Chemokine Array
2.11. Statistical Analyses
3. Results
3.1. Characterization of Exo- srIκB
3.2. CPIP Model and NFκB
3.3. Anti-Allodynic Efficacy of Exo-srIκB
3.4. P-IκB and IκB Levels after Exo-srIκB Injection in Western Blot
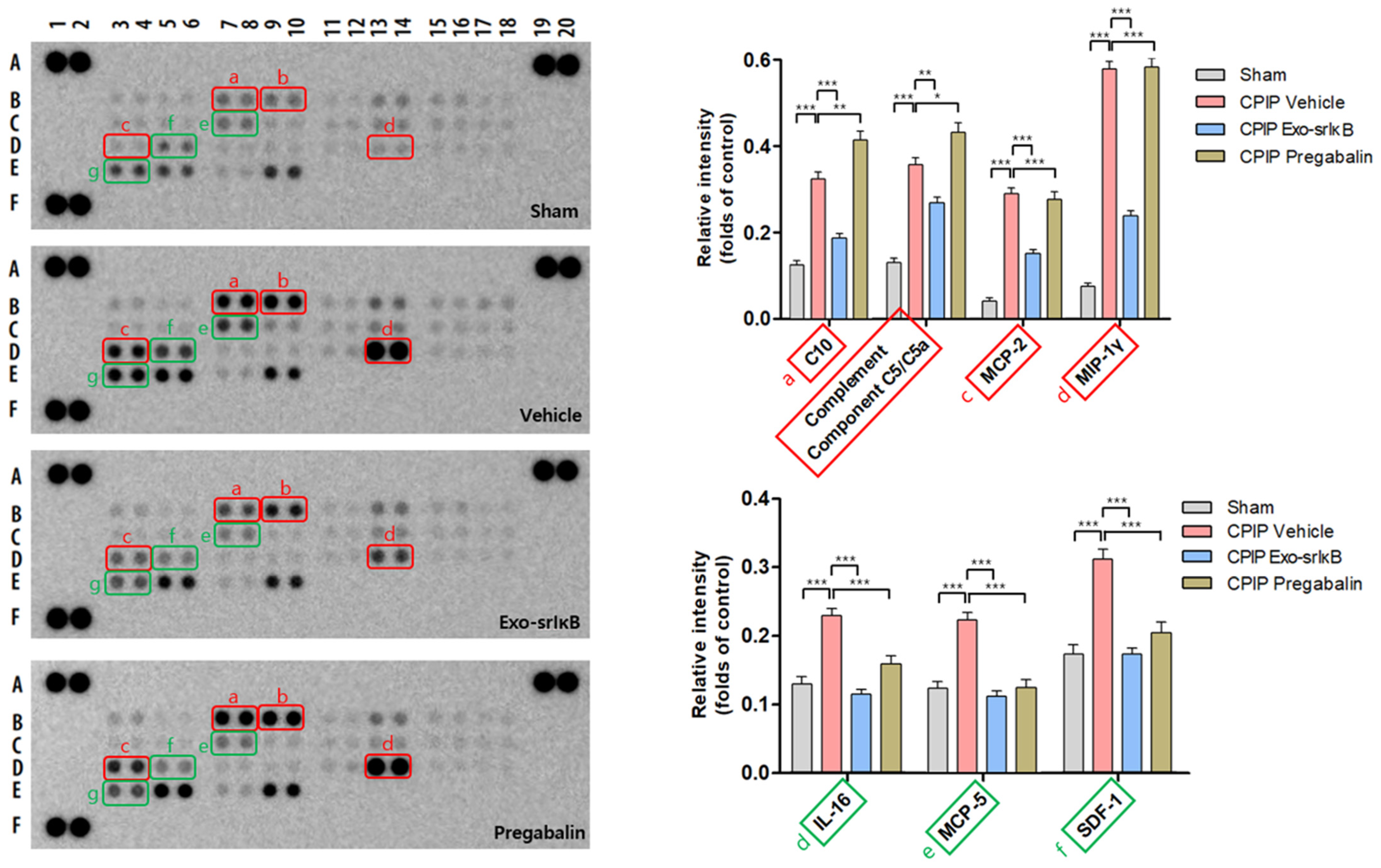
3.5. Reductions in the Levels of Cytokines and Chemokines after Injection of Exo-srIκB
4. Discussion
Supplementary Materials
Author Contributions
Funding
Institutional Review Board Statement
Informed Consent Statement
Data Availability Statement
Acknowledgments
Conflicts of Interest
References
- Hettne, K.M.; De Mos, M.; De Bruijn, A.G.; Weeber, M.; Boyer, S.; Van Mulligen, E.M.; Cases, M.; Mestres, J.; Van der Lei, J. Applied information retrieval and multidisciplinary research: New mechanistic hypotheses in complex regional pain syndrome. J. Biomed. Discov. Collab. 2007, 2, 1–16. [Google Scholar] [CrossRef]
- Stanton-Hicks, M. Complex regional pain syndrome. Clin. Pain Manag. A Pract. Guide 2022, 351, 381–395. [Google Scholar]
- de Mos, M.; Laferriere, A.; Millecamps, M.; Pilkington, M.; Sturkenboom, M.C.; Huygen, F.J.; Coderre, T.J. Role of NFκB in an animal model of Complex Regional Pain Syndrome–type I (CRPS-I). J. Pain 2009, 10, 1161–1169. [Google Scholar] [CrossRef]
- Cha, M.; Lee, K.H.; Kwon, M.; Lee, B.H. Possible Therapeutic Options for Complex Regional Pain Syndrome. Biomedicines 2021, 9, 596. [Google Scholar] [CrossRef]
- Barnes, P.J.; Karin, M. Nuclear factor-kappaB: A pivotal transcription factor in chronic inflammatory diseases. N. Engl. J. Med. 1997, 336, 1066–1071. [Google Scholar] [CrossRef]
- Uwe, S. Anti-inflammatory interventions of NF-kappaB signaling: Potential applications and risks. Biochem. Pharmacol. 2008, 75, 1567–1579. [Google Scholar] [CrossRef]
- Janssen-Heininger, Y.M.; Poynter, M.E.; Baeuerle, P.A. Recent advances torwards understanding redox mechanisms in the activation of nuclear factor κb. Free. Radic. Biol. Med. 2000, 28, 1317–1327. [Google Scholar] [CrossRef]
- Pinho-Ribeiro, F.A.; Fattori, V.; Zarpelon, A.C.; Borghi, S.M.; Staurengo-Ferrari, L.; Carvalho, T.T.; Alves-Filho, J.C.; Cunha, F.Q.; Cunha, T.M.; Casagrande, R. Pyrrolidine dithiocarbamate inhibits superoxide anion-induced pain and inflammation in the paw skin and spinal cord by targeting NF-κB and oxidative stress. Inflammopharmacology 2016, 24, 97–107. [Google Scholar] [CrossRef]
- Coderre, T.J.; Xanthos, D.N.; Francis, L.; Bennett, G.J. Chronic post-ischemia pain (CPIP): A novel animal model of complex regional pain syndrome-type I (CRPS-I; reflex sympathetic dystrophy) produced by prolonged hindpaw ischemia and reperfusion in the rat. Pain 2004, 112, 94–105. [Google Scholar] [CrossRef]
- Kim, W.J.; Kang, H.; Choi, G.J.; Shin, H.Y.; Baek, C.W.; Jung, Y.H.; Woo, Y.C.; Kim, J.Y.; Yon, J.H. Antihyperalgesic effects of ginseng total saponins in a rat model of incisional pain. J. Surg. Res. 2014, 187, 169–175. [Google Scholar] [CrossRef]
- Yoo, S.H.; Lee, S.H.; Lee, S.; Park, J.H.; Lee, S.; Jin, H.; Park, H.J. The effect of human mesenchymal stem cell injection on pain behavior in chronic post-ischemia pain mice. Korean J. Pain 2020, 33, 23–29. [Google Scholar] [CrossRef]
- Shiue, S.-J.; Rau, R.-H.; Shiue, H.-S.; Hung, Y.-W.; Li, Z.-X.; Yang, K.D.; Cheng, J.-K. Mesenchymal stem cell exosomes as a cell-free therapy for nerve injury–induced pain in rats. Pain 2019, 160, 210–223. [Google Scholar] [CrossRef]
- Choi, H.; Kim, Y.; Mirzaaghasi, A.; Heo, J.; Kim, Y.N.; Shin, J.H.; Kim, S.; Kim, N.H.; Cho, E.S.; In Yook, J. Exosome-based delivery of super-repressor IκBα relieves sepsis-associated organ damage and mortality. Sci. Adv. 2020, 6, eaaz6980. [Google Scholar] [CrossRef]
- D’Agnelli, S.; Gerra, M.C.; Bignami, E.; Arendt-Nielsen, L. Exosomes as a new pain biomarker opportunity. Mol. Pain 2020, 16, 1744806920957800. [Google Scholar] [CrossRef]
- Song, Y.; Kim, Y.; Ha, S.; Sheller-Miller, S.; Yoo, J.; Choi, C.; Park, C.H. The emerging role of exosomes as novel therapeutics: Biology, technologies, clinical applications, and the next. Am. J. Reprod. Immunol. 2021, 85, e13329. [Google Scholar] [CrossRef]
- Yim, N.; Ryu, S.W.; Choi, K.; Lee, K.R.; Lee, S.; Choi, H.; Kim, J.; Shaker, M.R.; Sun, W.; Park, J.H.; et al. Exosome engineering for efficient intracellular delivery of soluble proteins using optically reversible protein-protein interaction module. Nat. Commun. 2016, 7, 12277. [Google Scholar] [CrossRef]
- Sheller-Miller, S.; Radnaa, E.; Yoo, J.-K.; Choi, K.; Kim, Y.; Kim, Y.N.; Kim, E.; Richardson, L.; Choi, C.; Menon, R. Exosomal delivery of NF-κB inhibitor delays LPS-induced preterm birth and modulates fetal immune cell profile in mouse models. Sci. Adv. 2021, 7, eabd3865. [Google Scholar] [CrossRef]
- Kim, S.; Lee, S.A.; Yoon, H.; Kim, M.Y.; Yoo, J.K.; Ahn, S.H.; Park, C.H.; Park, J.; Nam, B.Y.; Park, J.T.; et al. Exosome-based delivery of super-repressor IkappaBalpha ameliorates kidney ischemia-reperfusion injury. Kidney Int. 2021, 100, 570–584. [Google Scholar] [CrossRef]
- Verma, V.; Singh, N.; Singh Jaggi, A. Pregabalin in neuropathic pain: Evidences and possible mechanisms. Curr. Neuropharmacol. 2014, 12, 44–56. [Google Scholar] [CrossRef]
- Sałat, K.; Witalis, J.; Zadrożna, M.; Sołtys, Z.; Nowak, B.; Filipek, B.; Więckowski, K.; Malawska, B. 3-[4-(3-Trifluoromethyl-phenyl)-piperazin-1-yl]-dihydrofuran-2-one and pregabalin attenuate tactile allodynia in the mouse model of chronic constriction injury. Toxicol. Mech. Methods 2015, 25, 514–523. [Google Scholar] [CrossRef]
- Bonin, R.P.; Bories, C.; De Koninck, Y. A simplified up-down method (SUDO) for measuring mechanical nociception in rodents using von Frey filaments. Mol. Pain 2014, 10, 1–11. [Google Scholar] [CrossRef]
- Kim, E.; Hwang, S.-H.; Kim, H.-K.; Abdi, S.; Kim, H.K. Losartan, an angiotensin II type 1 receptor antagonist, alleviates mechanical hyperalgesia in a rat model of chemotherapy-induced neuropathic pain by inhibiting inflammatory cytokines in the dorsal root ganglia. Mol. Neurobiol. 2019, 56, 7408–7419. [Google Scholar] [CrossRef]
- Oono, Y.; Baad-Hansen, L.; Wang, K.; Arendt-Nielsen, L.; Svensson, P. Effect of conditioned pain modulation on trigeminal somatosensory function evaluated by quantitative sensory testing. PAIN® 2013, 154, 2684–2690. [Google Scholar] [CrossRef]
- Ross-Huot, M.C.; Laferriere, A.; Khorashadi, M.; Coderre, T.J. Glycemia-dependent nuclear factor kappaB activation contributes to mechanical allodynia in rats with chronic postischemia pain. Anesthesiology 2013, 119, 687–697. [Google Scholar] [CrossRef]
- Lin, Y.Z.; Yao, S.Y.; Veach, R.A.; Torgerson, T.R.; Hawiger, J. Inhibition of nuclear translocation of transcription factor NF-kappa B by a synthetic peptide containing a cell membrane-permeable motif and nuclear localization sequence. J. Biol. Chem. 1995, 270, 14255–14258. [Google Scholar] [CrossRef]
- Qin, Z.H.; Wang, Y.; Nakai, M.; Chase, T.N. Nuclear factor-kappa B contributes to excitotoxin-induced apoptosis in rat striatum. Mol. Pharmacol. 1998, 53, 33–42. [Google Scholar] [CrossRef]
- Torgerson, T.R.; Colosia, A.D.; Donahue, J.P.; Lin, Y.Z.; Hawiger, J. Regulation of NF-kappa B, AP-1, NFAT, and STAT1 nuclear import in T lymphocytes by noninvasive delivery of peptide carrying the nuclear localization sequence of NF-kappa B p50. J. Immunol. 1998, 161, 6084–6092. [Google Scholar] [CrossRef]
- D’Acquisto, F.; May, M.J.; Ghosh, S. Inhibition of nuclear factor kappa B (NF-B). Mol. Interv. 2002, 2, 22. [Google Scholar] [CrossRef]
- Eaton, M.J.; Martinez, M.A.; Karmally, S. A single intrathecal injection of GABA permanently reverses neuropathic pain after nerve injury. Brain Res. 1999, 835, 334–339. [Google Scholar] [CrossRef]
- Chagas, P.M.; Fulco, B.C.; Sari, M.H.; Roehrs, J.A.; Nogueira, C.W. Bis (phenylimidazoselenazolyl) diselenide elicits antinociceptive effect by modulating myeloperoxidase activity, NOx and NFkB levels in the collagen-induced arthritis mouse model. J. Pharm. Pharmacol. 2017, 69, 1022–1032. [Google Scholar] [CrossRef]
- Shin, K.-M.; Shen, L.; Park, S.J.; Jeong, J.-H.; Lee, K.-T. Bis-(3-hydroxyphenyl) diselenide inhibits LPS-stimulated iNOS and COX-2 expression in RAW 264.7 macrophage cells through the NF-k B inactivation. J. Pharm. Pharmacol. 2009, 61, 479–486. [Google Scholar] [CrossRef]
- McDougall, J.J. Arthritis and pain. Neurogenic origin of joint pain. Arthritis Res. Ther. 2006, 8, 1–10. [Google Scholar] [CrossRef]
- Chagas, P.M.; Fulco, B.d.C.W.; Pesarico, A.P.; Roehrs, J.A.; Nogueira, C.W. Bis (phenylimidazoselenazolyl) diselenide as an antioxidant compound: An in vitro and in vivo study. Chem.-Biol. Interact. 2015, 233, 14–24. [Google Scholar] [CrossRef]
- Qi, S.; Zhao, F.; Li, Z.; Liang, F.; Yu, S. Silencing of PTX3 alleviates LPS-induced inflammatory pain by regulating TLR4/NF-κB signaling pathway in mice. Biosci. Rep. 2020, 40, BSR20194208. [Google Scholar] [CrossRef]
- Giorgio, C.; Zippoli, M.; Cocchiaro, P.; Castelli, V.; Varrassi, G.; Aramini, A.; Allegretti, M.; Brandolini, L.; Cesta, M.C. Emerging role of C5 complement pathway in peripheral neuropathies: Current treatments and future perspectives. Biomedicines 2021, 9, 399. [Google Scholar] [CrossRef]
- Mika, J. Modulation of microglia can attenuate neuropathic pain symptoms and enhance morphine effectiveness. Pharmacol. Rep. 2008, 60, 297. [Google Scholar]
- Lindborg, J.A.; Niemi, J.P.; Howarth, M.A.; Liu, K.W.; Moore, C.Z.; Mahajan, D.; Zigmond, R.E. Molecular and cellular identification of the immune response in peripheral ganglia following nerve injury. J. Neuroinflammation 2018, 15, 1–17. [Google Scholar] [CrossRef]
- Jung, Y.; Ahn, S.-H.; Park, H.; Park, S.H.; Choi, K.; Choi, C.; Kang, J.L.; Choi, Y.-H. MCP-1 and MIP-3α secreted from necrotic cell-treated glioblastoma cells promote migration/infiltration of microglia. Cell. Physiol. Biochem. 2018, 48, 1332–1346. [Google Scholar] [CrossRef]
- Lu, Y.; Jiang, B.-C.; Cao, D.-L.; Zhao, L.-X.; Zhang, Y.-L. Chemokine CCL8 and its receptor CCR5 in the spinal cord are involved in visceral pain induced by experimental colitis in mice. Brain Res. Bull. 2017, 135, 170–178. [Google Scholar] [CrossRef]
- Zhang, Z.Y.; Zhang, Z.; Fauser, U.; Schluesener, H.J. Expression of Interleukin-16 in Sciatic Nerves, Spinal Roots and Spinal Cords of Experimental Autoimmune Neuritis Rats. Brain Pathol. 2009, 19, 205–213. [Google Scholar] [CrossRef]
- González-Rodríguez, S.; Lorenzo-Herrero, S.; Sordo-Bahamonde, C.; Hidalgo, A.; González, S.; Menéndez, L.; Baamonde, A. Involvement of CD4+ and CD8+ T-lymphocytes in the modulation of nociceptive processing evoked by CCL4 in mice. Life Sci. 2022, 291, 120302. [Google Scholar] [CrossRef] [PubMed]








Disclaimer/Publisher’s Note: The statements, opinions and data contained in all publications are solely those of the individual author(s) and contributor(s) and not of MDPI and/or the editor(s). MDPI and/or the editor(s) disclaim responsibility for any injury to people or property resulting from any ideas, methods, instructions or products referred to in the content. |
© 2023 by the authors. Licensee MDPI, Basel, Switzerland. This article is an open access article distributed under the terms and conditions of the Creative Commons Attribution (CC BY) license (https://creativecommons.org/licenses/by/4.0/).
Share and Cite
Chae, J.S.; Park, H.; Ahn, S.-H.; Han, E.-C.; Lee, Y.; Kim, Y.J.; Ahn, E.-J.; Oh, H.-W.; Lee, H.J.; Choi, C.; et al. The Effect of Super-Repressor IkB-Loaded Exosomes (Exo-srIκBs) in Chronic Post-Ischemia Pain (CPIP) Models. Pharmaceutics 2023, 15, 553. https://doi.org/10.3390/pharmaceutics15020553
Chae JS, Park H, Ahn S-H, Han E-C, Lee Y, Kim YJ, Ahn E-J, Oh H-W, Lee HJ, Choi C, et al. The Effect of Super-Repressor IkB-Loaded Exosomes (Exo-srIκBs) in Chronic Post-Ischemia Pain (CPIP) Models. Pharmaceutics. 2023; 15(2):553. https://doi.org/10.3390/pharmaceutics15020553
Chicago/Turabian StyleChae, Ji Seon, Hyunju Park, So-Hee Ahn, Eun-Chong Han, Yoonjin Lee, Youn Jin Kim, Eun-Jin Ahn, Hye-Won Oh, Hyun Jung Lee, Chulhee Choi, and et al. 2023. "The Effect of Super-Repressor IkB-Loaded Exosomes (Exo-srIκBs) in Chronic Post-Ischemia Pain (CPIP) Models" Pharmaceutics 15, no. 2: 553. https://doi.org/10.3390/pharmaceutics15020553
APA StyleChae, J. S., Park, H., Ahn, S.-H., Han, E.-C., Lee, Y., Kim, Y. J., Ahn, E.-J., Oh, H.-W., Lee, H. J., Choi, C., Choi, Y.-H., & Kim, W.-j. (2023). The Effect of Super-Repressor IkB-Loaded Exosomes (Exo-srIκBs) in Chronic Post-Ischemia Pain (CPIP) Models. Pharmaceutics, 15(2), 553. https://doi.org/10.3390/pharmaceutics15020553

