Next Article in Journal
Cerium-Containing Mesoporous Bioactive Glasses (MBGs)-Derived Scaffolds with Drug Delivery Capability for Potential Tissue Engineering Applications
Next Article in Special Issue
Inhibition of Candida glabrata Biofilm by Combined Effect of Dendritic Compounds and Amphotericin
Previous Article in Journal
Dispersing and Sonoporating Biofilm-Associated Bacteria with Sonobactericide
Previous Article in Special Issue
In Vitro Activity of Ebselen and Diphenyl Diselenide Alone and in Combination with Drugs against Trichophyton mentagrophytes Strains
 
 
Font Type:
Arial Georgia Verdana
Font Size:
Aa Aa Aa
Line Spacing:
Column Width:
Background:
Article

Competitiveness during Dual-Species Biofilm Formation of Fusarium oxysporum and Candida albicans and a Novel Treatment Strategy

1
Department of Agricultural Science, University of Naples “Federico II”, Via Università 100, 80055 Portici, Italy
2
Department of Biology, University of Naples ‘Federico II’, Via Cinthia, 80126 Naples, Italy
3
Institute for Sustainable Plant Protection, National Research Council of Italy, 80055 Portici, Italy
4
Department of Pharmacy, School of Medicine, University of Naples “Federico II”, Via Domenico Montesano 49, 80131 Naples, Italy
5
Center for Studies on Bioinspired Agro-Enviromental Technology, Università di Napoli “Federico II”, 80055 Portici, Italy
*
Author to whom correspondence should be addressed.
Pharmaceutics 2022, 14(6), 1167; https://doi.org/10.3390/pharmaceutics14061167
Submission received: 14 April 2022 / Revised: 17 May 2022 / Accepted: 26 May 2022 / Published: 30 May 2022
(This article belongs to the Special Issue Recent Advances in Prevention and Treatment of Infectious Diseases)

Abstract

:
During an infection, a single or multispecies biofilm can develop. Infections caused by non-dermatophyte molds, such as Fusarium spp. and yeasts, such as Candida spp., are particularly difficult to treat due to the formation of a mixed biofilm of the two species. Fusarium oxysporum is responsible for approximately 20% of human fusariosis, while Candida albicans is responsible for superficial mucosal and dermal infections and for disseminated bloodstream infections with a mortality rate above 40%. This study aims to investigate the interactions between C. albicans and F. oxysporum dual-species biofilm, considering variable formation conditions. Further, the ability of the WMR peptide, a modified version of myxinidin, to eradicate the mixed biofilm when used alone or in combination with fluconazole (FLC) was tested, and the efficacy of the combination of WMR and FLC at low doses was assessed, as well as its effect on the expression of some biofilm-related adhesin and hyphal regulatory genes. Finally, in order to confirm our findings in vivo and explore the synergistic effect of the two drugs, we utilized the Galleria mellonella infection model. We concluded that C. albicans negatively affects F. oxysporum growth in mixed biofilms. Combinatorial treatment by WMR and FLC significantly reduced the biomass and viability of both species in mature mixed biofilms, and these effects coincided with the reduced expression of biofilm-related genes in both fungi. Our results were confirmed in vivo since the synergistic antifungal activity of WMR and FLC increased the survival of infected larvae and reduced tissue invasion. These findings highlight the importance of drug combinations as an alternative treatment for C. albicans and F. oxysporum mixed biofilms.

Graphical Abstract

1. Introduction

Filamentous fungi belonging to Fusarium spp. are ubiquitously present in nature, and their spores are usually dispersed into the environment through water, wind, and additional abiotic or biotic vectors. The genus Fusarium comprises a large set of soil-dwelling and plant interacting species that include parasites, endophytes, and biocontrol agents. Aside from this, Fusarium spp. are increasingly being reported as opportunistic pathogens of invertebrates and mammals, with several isolates able to efficiently cause disease on both plants and animals [1,2].
Because of this unusual ability of Fusarium to undergo host jumps that cross kingdom of life barriers, Fusarium oxysporum has been previously suggested as a model organism to study the molecular basis of disease in cross-kingdom pathogens [3]. Human infections caused by Fusarium spp. are increasingly being reported by the scientific community as a consequence of more reliable techniques to identify fungal isolates in clinical samples and of the growing number of immunocompromised patients. In human patients, Fusarium spp. are the cause of a wide spectrum of infections that include mycetoma, keratitis, and onychomycosis in immunocompetent individuals and locally invasive or systemic infections in immunocompromised ones, often leading to lethal outcomes. Fusariosis, the invasive fungal infection caused by Fusarium spp., is currently listed as the second most common opportunistic human infection in the world after aspergillosis. Fusarium dissemination and infection mainly occur through airborne transmission, trauma-driven skin breakdown due to trauma, burns, or insertion of vascular catheters [4,5].
Importantly, Fusarium species are intrinsically resistant to most common commercial antifungals such as triazoles and echinocandins and able to produce 3D biofilm structures, which are several folds more resistant than planktonic cells to stressing agents and targeting compounds [6,7].
Given that 60–80% of human infections are estimated to be biofilm-related and that Fusarium spp. are highly resistant to antifungal treatments, new therapies for the treatment of fusariosis are urgently needed [8].
C. albicans is the pathogen most commonly isolated from superficial mycoses or causing systemic and invasive infections. Predisposing circumstances such as extreme age, reduced immune system, diabetes mellitus, HIV/AIDS, and uncontrolled use of broad-spectrum antibiotics favor the establishment of candidiasis. One of the major virulence factors of Candida is its ability to form biofilms, which has also been widely reported in host tissues, catheters, and indwelling medical devices [9].
Biofilms consist of communities of cells embedded in a polymeric extracellular matrix and can be composed of microorganisms of different species. This condition allows sessile microbial cells to perform various functions, including nutrition, excretion, growth, communication, and protection, with high efficiency. Communities formed by fungi are made up of a dense network of interconnected hyphae covered and embedded by an extracellular matrix that can be dense or thin, and changes in morphology are often regulated by molecules used for communication between cells through a mechanism known as quorum-sensing [10].
The study of polymicrobial biofilms has been increasing, and, in the medical area, the role played by biofilms in co-infections has been considered a determinant virulence factor for pathogenesis in the host [11].
Clinical practice cases and unpublished studies have demonstrated that it is possible to isolate one or more microorganisms from several infection sites in mycoses. Although the formation of mixed biofilms between molds such as Fusarium spp. and yeasts of the genus Candida has not been demonstrated so far, its occurrence is likely, especially in immunocompromised patients, since both species are able to form biofilms on biotic and abiotic surfaces [12].
Furthermore, in clinical practice, the unsatisfactory use of monotherapy in the treatment of fusariosis, the lack of efficacy of antifungals available for candidemia due to the development of biofilms, and their toxicity have led to the study of alternative treatment strategies. Particularly, the association of pre-existing antifungal drugs and new antimicrobial peptides has become a promising alternative for combating fungal biofilms [13,14]. The therapeutic strategy of combining the use of antimicrobial peptides (AMPs) and conventional therapeutic agents allows dose reduction, leading to minor toxicity, the attenuation of side effects, and increasing selectivity [15].
Therefore, AMPs have been considered a promising treatment option to combat the increasing number of drug-resistant pathogens. The WMR peptide, a modified version of the myxinidin sequence developed in our laboratory, has shown a high antimicrobial activity not only against Gram-positive and Gram-negative bacteria [16] but also antifungal activity against several Candida species [17]. WMR displays a versatile mechanism of action that varies from cell membrane damage to interactions with intracellular targets, and it is also effective towards biofilms.
Here, we report the ability of Fusarium oxysporum human isolate, NRRL 32931, and Candida albicans ATCC 90028 to form a dual-species biofilm, investigating the variable conditions of formation and evaluating the effects of the antimicrobial peptide WMR alone and in combination with fluconazole (FLC) in removing the mature biofilms of the two fungal species. Furthermore, to validate our findings in vivo, we used the non-vertebrate model host Galleria mellonella larvae infected with microconidia of F. oxysporum and C. albicans cells and tested the effectiveness of WMR and FLC alone or in combination on survival and tissue invasion.

2. Materials and Methods

2.1. Strains, Media, and Growth Conditions

The strains used in this study were Candida albicans ATCC 90028 and Fusarium oxysporum NRRL 32931 [18] isolated from the blood of a leukemia patient with invasive fusariosis, provided by the Department of Agricultural Science, University of Naples “Federico II”. Candida albicans ATCC 90028 was maintained on Sabouraud dextrose agar (OXOID, Basingstoke, UK) and grown in Tryptic Soy Broth (TSB) (OXOID, Basingstoke, UK) with 1% glucose for 18 h under shaking conditions (170 rpm) at 37 °C. Then, cells were centrifuged at 3000× g for 5 min at 4 °C, washed twice with phosphate-buffered saline (PBS) (OXOID, Basingstoke, UK), and standardized to 106 cells mL−1 for next use. Fusarium oxysporum was grown on Potato Dextrose Agar (OXOID, Basingstoke, UK) and incubated at 28 °C for 5 d. Conidia were obtained by inoculating small pieces of a fungal colony in Potato Dextrose Broth for 72 h at 28 °C. Then, the culture medium was filtered through sterile gauze to remove hyphae, centrifuged (10 min at 2700× g), and the pellet containing conidia was resuspended in PBS. Conidia were counted in a Bürker chamber. The suspension of conidia was diluted in PBS to obtain a conidial suspension of 2.5 × 106 conidia mL−1 to be used for further experiments.

2.2. Peptide Synthesis

WMR (NH2-WGIRRILKYGKRSK-CONH2) was synthesized based on ultrasonic-assisted solid-phase peptide synthesis (US–SPPS) methodology) as previously reported [17]. Briefly, Fmoc deprotection (20% piperidine in dimethylformamide (DMF, Merk Life Science S.r.l., Milano, Italy), 0.5 + 1 min) and the coupling (HOBt/HBTU, purchased by Merk Life Science S.r.l., Milano, Italy as additive reagents (3 equiv), and DIPEA (purchased by Merk Life Science S.r.l., Milano, Italy 6 equiv) as basis, 2 × 10 min) reactions, were cyclically performed until the obtainment of peptide sequence. Rink amide MBHA resin (0.58 mmol/g) was used. The crude peptide was cleaved from the resin with an acid solution, TFA:TIS:H2O (95:2.5:2.5, v/v/v purchased by Merk Life Science S.r.l., Milano, Italy), precipitated with cold ethyl ether, and analyzed by ESI LC–MS and RP-HPLC using a gradient of acetonitrile (0.1% TFA) in water (0.1% TFA) from 10% to 70% in 15 min. The crude peptide was purified by preparative RP-HPLC and obtained with a good yield (70%).

2.3. Determination of Minimum Inhibitory Concentrations (MICs)

The two fungal species were evaluated for susceptibility to both the WMR peptide ranging from 12.5 to 150 μM and FLC ranging from 30 to 150 μM (corresponding to 9.2 to 46 μg mL−1). MICs were determined according to the Clinical and Laboratory Standards Institute (CLSI) broth microdilution method for filamentous fungi M38-A2 and yeast M27-A3 [19,20], respectively, and defined as the lowest concentration that showed 100% inhibition of visible growth compared to the drug-free control.

2.4. Biofilm Formation and Detection

Single biofilms of C. albicans and F. oxysporum and mixed C. albicans/F. oxysporum biofilms were formed on 96-well flat-bottom polystyrene plates. The mono-species biofilm of C. albicans was performed as reported in our previous study [21]. Briefly, C. albicans biofilm was allowed to form inoculating, at a final concentration of 106 cells mL−1, 100 μL of RPMI per well in a microtiter plate, and incubating at a temperature of 37 °C for 48 h. Similarly, for the F. oxysporum biofilm [7], wells of a microtiter plate were inoculated with 100 μL each of RPMI containing 106 conidia mL−1 and incubated for 48 h at 37 °C to allow the conidia to settle and adhere to the bottom of the plate.
For the dual-species biofilm, the suspensions of the two microorganisms were prepared at a final total concentration of 106 cells mL−1 in RPMI (ratio 1:1), dispensed (100 µL per well), and incubated for 48 h at 37 °C, renewing the culture medium after 24 h.
Additional assays for mixed biofilm in order to analyze the behavior in vitro of C. albicans and F. oxysporum were developed at the following conditions: Mix A, F. oxysporum was seeded first for 4 h until adherence and was followed by the addition of C. albicans; Mix B, F. oxysporum was seeded first for 24 h followed by addition of C. albicans, and Mix C, F. oxysporum was seeded for 48 h followed by addition of C. albicans. For all three mixtures, polystyrene plates were incubated for 72 h at 37 °C, renewing the culture medium every 24 h.
The ability of the two strains to form mono- and dual-species biofilms was detected using the crystal violet staining method for total biofilm biomass determination, according to Stepanović et al. [22] and modified by Ramírez-Granillo et al. [23], which used crystal violet at 0.005% p/v (final concentration). Microplates were rinsed three times with PBS, fixed with 99% methanol for 15 min, and air-dried before adding 200 μL of 0.005% p/v crystal violet (Sigma-Aldrich, St. Louis, MO, USA) to each well. After incubation for 15 min at room temperature, wells were washed three times with PBS, and 300 μL of acetic acid (30% v/v) was added to each well. Plates were read at 570 nm using a plate reader (SYNERGY H4 BioTek, BioTek Instruments, Agilent Technologies, Winooski, VT 05404 USA).
Quantitative analysis of biofilm vital biomass was detected by XTT reduction assay by using the tetrazolium2,3-bis (2-methoxy-4-nitro-5 sulfophenyl)-5-[(phenylamine) carbonyl]-2H-hydroxide re-duction assay (XTT) (Sigma-Aldrich, St. Louis, MO, USA) according to the manufacturer’s instructions.
For enumerating colony-forming units (CFU) in biofilms, the plates were emptied and washed with PBS to remove non-adherent cells, and 100 μL of PBS was added to each well. Then, adherent cells were accurately scraped from wells, vigorously vortexed, and suspended in 1 mL of PBS. Decimal dilutions were prepared in PBS up to 10−5, and 100 μL suspension was plated on selective media: CHROM agar TM Candida (Difco, BD Biosciences) and modified Sabouraud with chloramphenicol and cycloheximide (VWR Chemicals) incubated at 37 °C for 48 h for C. albicans, and at 28 °C for 72 h for F. oxysporum detection, respectively.

2.5. Scanning Electron Microscopy (SEM) of Biofilms

To perform SEM observation of mixed biofilms, the biofilm-containing wells were washed with PBS, fixed overnight with 3% v/v glutaraldehyde at 4 °C, then washed with PBS and post-fixed in 1% p/v aqueous solution of osmium for 90 min at room temperature. Then, samples were dehydrated in a series of graded alcohols, dried to the critical drying point, and finally coated with gold, as reported previously [24]. Specimens were evaluated with a scanning electron microscope (QUANTA 200 ESEM FEI Europe Company, Eindhoven, The Netherlands).

2.6. Activity of WMR against Mono- and Dual-Species Biofilms

The activity of the peptide WMR was verified against mono- and dual-species biofilms formed using the previously described conditions. Mature biofilms, after 72 h, were treated with 50, 100, and 150 µM of WMR for another 24 h at 37 °C. The residual biomass after the eradication activity of WMR was quantified by crystal violet assay. The percentage of eradication was calculated as biofilm reduction% = (OD570 control − OD570 sample/OD570 control) × 100, where OD570 control and OD570 sample corresponded to OD570 of the untreated and treated biofilm, respectively [25].

2.7. Checkerboard Assays: Assessment of the In Vitro Synergy Activity of WMR in Combination with FLC

In order to verify whether the antifungal agents in combination had the effect of removing the formed biofilm, combinations between the antifungal agents were established. The synergistic activity was evaluated by calculation of the sessile fractional inhibitory concentration index (sFICI). Briefly, biofilm cells were treated with various combinations of test agents (30, 60, 120, and 240 µM FLC and 12.5, 25, 50, and 100 µM WMR) by adding 50 μL of each prepared dilution in the vertical and horizontal direction of the plate, respectively. Further, the plate was incubated at 37 °C for 24 h, and then the remaining contents were removed, washed, and assessed with detection of total biomass and CFU. sFICI for all the combinations was determined as [(minimum concentration of drug A in combination)/(minimum concentration of drug alone)]/[(minimum concentration of drug B in combination)/(minimum concentration of drug B alone)]. The sFICI result was interpreted as: synergistic: FICI ≤ 0.5, no interaction or indifferent > 0.5–4.0, antagonistic > 4.0 [26].

2.8. qRT-PCR

Expression of ALS3 and ERG11 genes for C. albicans and VeA and VelB for F. oxysporum was analyzed using qRT-PCR, as previously reported in mixed biofilms treated with WMR and FLC at the synergic concentration [27]. Biofilms washed with PBS were then scraped and collected in 1.5 mL centrifuge tubes. The samples were centrifuged, and the supernatant was discarded. The pellet was used to extract total RNA. For RNA extraction, Direct-zolTM RNA Miniprep Plus Kit (ZYMO RESEARCH, Irvine, CA, USA) was used, and the purity and concentration of the extracted RNA were verified using Nanodrop spectrophotometer 2000 (Thermo Scientific Inc., Waltham, MA, USA). For each sample, 1000 ng of total RNA was retrotranscribed with an iScript™ cDNA Synthesis kit (Bio-Rad, Milan, Italy), following the manufacturer’s instructions. Primers used for analysis were reported in Table S1. Quantitative PCR was performed in an AriaMx Real-Time PCR instrument (Agilent Technologies, Inc., Santa Clara, CA, USA), according to the manufacturer’s instructions of the System thermal cycler. SYBR Green qPCR SuperMix (TransGen Biotech, Beijing, China) was used, and fluorescence was measured using Agilent Aria 1.7 software (Agilent Technologies, Inc.). Thermal cycler protocol consisted of 95 °C for 10 min, one cycle for cDNA denaturation; 95 °C for 15 s and 60 °C for 1 min, 40 cycles for amplification; 95 °C for 15 s, one cycle for final elongation; and one cycle for melting curve analysis (from 60 °C to 95 °C) to verify the presence of a single product. The expression of each gene was analyzed and normalized against the ACT1 gene and FOYG gene using REST software (Relative Expression Software Tool, Weihenstephan, Germany, version 1.9.12) based on the Pfaffl method [28,29].

2.9. In Vivo Effect of WMR Alone and in Combination with FLC Using the G. mellonella Infection Model

Efficacy of WMR and FLC, alone or in combination, in G. mellonella larvae infected with C. albicans, F. oxysporum, or the mixture of the two species, was evaluated by survival assays, as described previously [17].
Groups of 20 larvae were maintained in wood shavings in the dark at room temperature before use. In all the experiments, untouched larvae and larvae injected with 10 μL sterile PBS were included as control. To evaluate in vivo toxicity of the two different drugs, we first carried out survival assays on G. mellonella larvae injected with WMR, FLC, and the two compounds at the synergistic concentration established in the checkboard assay (12.5 μM WMR and 30 μM FLC).
To test the efficacy of WMR and FLC or their combination, larvae were injected with each of the two pathogens: F. oxysporum conidia (106 conidia per larva), C. albicans cells (106 yeast cells per larva), or the mixture of conidia and Candida cells (106 in total per larva) via the last right proleg using a Hamilton syringe. Then, an aliquot of 10 μL of 12.5 μM WMR or 1.63 μM FLC or mixed drugs was delivered behind the last proleg on the opposite side of the pathogen injection site 2 h post-infection for treatment experiments. All groups of larvae were incubated at 35 °C in the dark. Survival was recorded every 24 h for a duration of 4 days, and larvae were considered dead if they gave no response to slight touch. G. mellonella survival curves were analyzed by the Kaplan–Meier method. Differences between groups were considered significant at p < 0.05.

2.10. Histological Analyses

Candida and Fusarium presence alone or together within G. mellonella tissues was assessed via collecting larvae, injected with the pathogens, as described above, from each group on day 3 post-infection and treatment. For histology, the infected and control larvae were processed with histological protocols for optical microscopy. Briefly, the samples were fixed with 10% neutral formalin; then, they were dehydrated with an ethanol gradient (70, 80, 90, 96, and 100% ethanol) and embedded in paraffin. Hematoxylin–eosin staining was performed on sections of 10 µm [30]. The images were acquired with a Zeiss Axiocam Microscope Camera Applied to a Zeiss Axioscope microscope (Zeiss, Jena, Germany).

2.11. Statistical Analysis

The results were obtained from three independent experiments, and data were shown as mean values ± standard deviation (SD). Data were analyzed by GraphPad Prism Software (version 8.02 for Windows, GraphPad Software, La Jolla, CA, USA, www.graphpad.com accessed on 10 March 2022), using Tukey’s multiple comparison test following one-way ANOVA. Survival curves were plotted using the Kaplan–Meier method. Asterisks indicate significant differences (* = p < 0.05, ** = p < 0.01, *** = p < 0.001, **** = p < 0.0001).

3. Results

The susceptibility of F. oxysporum and C. albicans planktonic cells to antifungal agents is shown in Table 1. While WMR exhibited good antifungal activity against C. albicans, as also reported in our previous study [17], the complete growth inhibition of F. oxysporum was not found since MIC values were higher than 150 µM. All the two species indiscriminately showed high MIC values for fluconazole > 150 μM (corresponding to 46 μg mL−1).
The two strains tested displayed the capacity to form mono- and polymicrobial mature biofilms. Biofilm formation was measured at 48 h for single and mixed biofilms. As shown in Figure 1 (panel a), F. oxysporum was a strong biofilm producer, while C. albicans was an average producer of biofilm in vitro. The total biomass of the dual-species biofilm C. albicans/F. oxysporum, formed when the two species were dispended in the microplate at a ratio of 1:1, was significantly lower when compared to the single biofilm of F. oxysporum but superior to that of the single C. albicans biofilm (p < 0.0001, p < 0.01). Instead, the metabolic activities of the biofilms, determined by XTT reduction assay in Figure 1 (panel b), were similar.
The competitive behavior of C. albicans and F. oxysporum during in vitro mixed biofilm formation is clear and shown in Figure 2. When C. albicans was added after 4 or 24 h from Fusarium in the procedure of dual-species biofilm formation (Mix A and Mix B, respectively), the resulting vital biomass was lower than that observed in Mix C when Candida inoculum was added after 48 h from Fusarium, allowing the establishment and maturation of the biofilm of the filamentous fungus (Figure 2, panel a).
Figure 2, panel b shows the significant predominance of C. albicans compared to F. oxysporum: indeed, the CFU count depicted a remarkable reduction of the mold in all the three conditions tested. The predominance of C. albicans in comparison to F. oxysporum revealed the antagonistic interaction between the two species.
The co-existence of C. albicans and F. oxysporum is clearly visible in the SEM image of the dual-species biofilm (Figure 3). Indeed, it is characterized by a dense network of C. albicans yeast-like cells and elongated fungal hyphae, with a predominance of yeast-like cells.
Only one condition (Mix C) for the formation of dual-species biofilms was chosen as a model to determine the ability of WMR and FLC alone or in combination to eradicate mature mixed biofilm.
The minimal concentrations of WMR and FLC that eradicate mono- and dual-species pre-formed biofilms were monitored. As shown in Figure 4, the application of either WMR or FLC alone was not sufficient to completely eradicate mono- and dual-species biofilms of F. oxysporum within the concentration ranges tested, reaching 40% eradication at 150 μM concentration. On the contrary, we confirmed the good performance of WMR (Figure 4a) on C. albicans biofilm eradication.
The eradication of mixed biofilms of 50% was only observed at the highest WMR concentration tested.
A scarce activity of FLC against mono and dual-species of biofilm was observed in the case of FLC (Figure 4b): FLC was able to reduce Candida biofilm, but not above 55%.
The interaction between WMR and FLC in exerting antibiofilm activity against pre-formed dual-species biofilms formed by C. albicans and F. oxysporum was analyzed through the checkerboard assay. The synergistic effects of the two antifungal agents, when combined, as well as the ability of the association to eradicate mature biofilm, are shown in Figure 5. The heatmap (Figure 5a) displayed the synergistic antibiofilm efficacy of the interaction at the following combination of 12.5 µM and 30 µM for WMR and FLC, respectively, and the sFICI was found to be higher than 0.5. However, the application of WMR and FLC together caused a clear reduction in biofilm biomass in comparison to mono-treatment by each compound. The biomass of the dual-species biofilms was reduced by over 60% with combinatorial concentrations of the two compounds (Figure 5b). Additionally, viable biofilm cells in the presence of the synergistic combinations showed a drastic reduction in number (Figure 5c).
Transcriptional analysis of one of the ergosterol synthesis genes, ERG11, and one of the adhesin genes, ALS3, for C. albicans were investigated by qRT-PCR, as summarized in Figure 6. The expression levels of the two genes showed a differential behavior upon treatment of WMR/FLC. ERG11 was moderately upregulated, whereas ALS3 was significantly downregulated. VeA and VelB belong to the genes of the velvet regulation system, influencing the growth and development of the hypha, and conidiation as well as relations with the secondary metabolism for F. oxysporum, respectively. As expected, both VeA and VelB genes in the presence of WMR/FLC in synergistic combination were downregulated (1.59-fold, and 1.65-fold, respectively) (Figure 6).
The survival rate is the most important index to evaluate the effect of drugs in vivo with the G. mellonella infection model. To evaluate the toxicity of the different drugs, we first carried out survival assays on G. mellonella larvae injected with WMR, FLC, and the two compounds at the synergistic concentration of 12.5 μm and 30 μm, respectively. As shown in Figure 7, survival of 80% was found in larvae injected with WMR, FLC, and WMR plus FLC after 4 days of incubation. As depicted in Figure 8, after 4 days of incubation, groups of larvae infected with F. oxysporum and C. albicans alone or together had a survival between 20 and 30%, whereas survival increased to 60–70% with WMR or FLC and up to 80% when the two compounds were used at synergistic concentrations. This finding demonstrated that FLC plus WMR could significantly (p < 0.05, Tukey’s test) improve the survival rate of G. mellonella larvae when compared with FLC or WMR monotherapy.
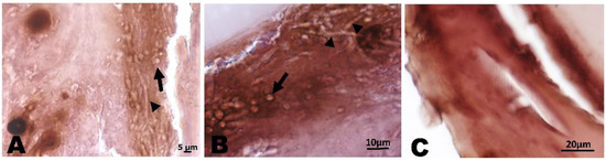
In Figure 9, the results of the histological analysis performed on G. mellonella larvae infected with the two pathogens and treated with the combination WMR/FLC are reported. It is evident that in the tissues of treated animals, the presence of C. albicans cells and F. oxysporum hyphae was not detectable.

4. Discussion

Human-infecting pathogenic fungi are evolving resistance to all licensed systemic antifungal drugs. This increased incidence of drug resistance due to the implementation of antifungal drugs is an emerging problem that could be solved by alternative synergistic drug combinations among antifungals and new molecules in order to perfect innovative antifungal therapy against systemic and invasive mycoses [31,32,33].
More recently, some AMPs with known action against different microorganisms have been associated with conventional antimicrobial drugs to improve the action of these drugs and decrease microbial resistance [34,35].
The combinations evaluated here are unprecedented and are favorable for the eradication of F. oxysporum/C. albicans mixed biofilm.
Cells included in a biofilm form a heterogeneous and drug-tolerant natural environment that exhibits increased resistance to antifungal agents, mostly in mixed biofilm where heterogeneous species are embedded within a self-produced matrix consisting of extra polymeric substances. Thus, mixed fungal biofilms represent one of the main virulence factors contributing to the pathogenesis of fungal diseases
Fusarium spp. now represent the second most frequent mold causing invasive fungal infections after Aspergillus spp. and in particular, F. oxysporum causes infections in humans ranging from superficial dermato- or keratomycosis to fatal disseminated fusariosis with a clinical impact increased over the last decades [36].
Candida spp. [37] are the fungi that most frequently intervene in hospital infections, and C. albicans is an important opportunistic pathogen that is prevalent in clinical contexts, ranging from superficial mucosal and dermal infections to disseminated bloodstream infections with mortality rates above 40%.
Previously, WMR was found to be active against both C. albicans and non-albicans planktonic cells, and was also effective in both preventing the formation and eradicating Candida mature biofilms [17]. The present work confirms the good anti-Candida activity of WMR. Instead, F. oxysporum was found to be refractory to the peptide. Indeed, F. oxysporum is known to be very resistant to common antifungals [36].
In this study, we report the formation of a dual-species biofilm of F.oxysporum and C. albicans in vitro. The total biomass of the F. oxysporum/C. albicans mixed biofilm was lower compared to that of the single biofilms; instead, the metabolic activity of the biofilms was almost the same
The competition between the two species was highlighted in the formation of mixed biofilm. Our results showed the predominance of C. albicans in all the conditions tested, as shown by CFU count, likely due to the fact that C. albicans metabolism was faster, generating competition for adhesion sites.
Furthermore, the highest viable biomass detected where C. albicans was added after 48 h from F. oxysporum could be due to the development of Candida biofilm once Fusarium was allowed to adhere, develop, and mature as biofilm, forming a substrate for Candida cells.
Indeed, in mixed biofilms, interactions between species during their development are influenced by the sharing of nutrients available, so interaction is modulated by the environment and the coordination of intercellular communications.
Due to the increase in drug resistance among the most common pathogenic fungi against the conventional antifungal drugs, the combined treatment strategy is becoming widespread and may result in more effective treatment. Here, we demonstrated that the combination of WMR and FLC had a strong synergistic effect on the eradication of mature mixed biofilms that had been formed with C. albicans added after 48 h from F. oxysporum. The concentrations of 12.5 µM WMR and 30 µM FLC resulted in 60% biofilm eradication, indicating that the two drugs’ combination exerts broad prospects for the treatment of this biofilm-related infection.
These results have been confirmed by qRT-PCR, where four of the major transcriptional genes that govern biofilm formation, such as ALS3 and ERG11 genes for C. albicans and VeA and VeLB for F. oxysporum, showed significant downregulation of the related expression. The downregulation of ALS3, which is associated with adhesion in C. albicans, supported our results of in vitro biofilm eradication. On the contrary, WMR/FLC treatment increased expression levels of ERG11, indicating a possible negative interaction of the combination targeting enzyme CYP51 encoded by ERG11 and leading to azole resistance, but it needs to be pointed out that ERG11 is only one of the genes of the ergosterol biosynthesis pathway (ERG1, ERG2, ERG3, and ERG11) [38]. F. oxysporum VeA and VelB genes, encoding for key regulators of the velvet complex, influence the growth and development of fungal hyphae, conidiation, secondary metabolism, and pathogenicity in both plants and mammals [39]. Importantly, the expression of both VeA and VelB genes was downregulated, showing that the synergistic combination that counteracted F. oxysporum in dual-species biofilms exerts effects on these specific virulent factors.
As in other relevant studies [40], we opted to use the G. mellonella model to validate the in vivo performance of the combination treatment since it is a model that provides a rapid, inexpensive, and reliable way to evaluate the effects and toxicity in vivo of drugs. Our data indicated that treatment with WMR/FLC prolonged and increased the survival of G. mellonella larvae infected with the two microorganisms up to 80%. This finding was corroborated by the histological analyses of infected larvae treated with the synergistic combination of WMR/FLC, which showed a reduction in tissue damage and suggested the excellent synergy of the compounds in vivo.
In conclusion, the present work confirms that the combination treatment of WMR/FLC is able to eradicate the mixed biofilm in vitro and attenuates infection in the G. mellonella model. This work reveals the in vivo therapeutic potential of antimicrobial peptides combined with conventional drugs for controlling fungal infections and lays the foundations for future studies based on new formulations to fight against drug resistance.

Supplementary Materials

The following supporting information can be downloaded at: https://www.mdpi.com/article/10.3390/pharmaceutics14061167/s1, Table S1: Name, acronym, and sequences of used primer for RT-qPCR.

Author Contributions

Conceptualization, E.G.; data curation, E.d.A.; formal analysis, A.F., A.M. and A.L.P.; funding acquisition, M.G.; investigation, A.F., S.V. and R.B.; project administration, M.G. and D.T.; resources, M.G. and D.T.; software, A.M.; supervision, S.G., E.d.A. and A.M.; validation, E.G.; visualization, R.C.; writing—original draft, E.G. and E.d.A.; writing—review and editing, S.G. All authors have read and agreed to the published version of the manuscript.

Funding

This research was partially supported by the project TOPOPATH (2021–2023) financed by the University of Naples Federico II to D.T.

Institutional Review Board Statement

Not applicable.

Informed Consent Statement

Not applicable.

Data Availability Statement

All data is contained within the article. For any additional information, please contact the corresponding author.

Conflicts of Interest

The authors declare no conflict of interest.

References

  1. Dean, R.; Van Kan, J.A.L.; Pretorius, Z.A.; Hammond-Kosack, K.E.; Di Pietro, A.; Spanu, P.D.; Rudd, J.J.; Dickman, M.; Kahmann, R.; Ellis, J.; et al. The Top 10 fungal pathogens in molecular plant pathology. Mol. Plant Pathol. 2012, 13, 414–430. [Google Scholar] [CrossRef] [PubMed] [Green Version]
  2. Segorbe, D.; Di Pietro, A.; Pérez-Nadales, E.; Turrà, D. Three Fusarium oxysporum mitogen-activated protein kinases (MAPKs) have distinct and complementary roles in stress adaptation and cross-kingdom pathogenicity. Mol. Plant Pathol. 2017, 18, 912–924. [Google Scholar] [CrossRef] [PubMed]
  3. Ortoneda, M.; Guarro, J.; Madrid, M.P.; Caracuel, Z.; Roncero, M.I.G.; Mayayo, E.; Di Pietro, A. Fusarium oxysporum as a multihost model for the genetic dissection of fungal virulence in plants and mammals. Infect. Immun. 2004, 72, 1760–1766. [Google Scholar] [CrossRef] [PubMed] [Green Version]
  4. Nucci, M.; Anaissie, E.J.; Queiroz-Telles, F.; Martins, C.A.; Trabasso, P.; Solza, C.; Mangini, C.; Simões, B.P.; Colombo, A.L.; Vaz, J.; et al. Outcome predictors of 84 patients with hematologic malignancies and Fusarium infection. Cancer 2003, 98, 315–319. [Google Scholar] [CrossRef] [PubMed]
  5. Raad, I.; Tarrand, J.; Hanna, H.; Albitar, M.; Janssen, E.; Boktour, M.; Bodey, G.; Mardani, M.; Hachem, R.; Kontoyiannis, D.; et al. Epidemiology, molecular mycology, and environmental sources of Fusarium infection in patients with cancer. Infect. Control Hosp. Epidemiol. 2002, 23, 532–537. [Google Scholar] [CrossRef]
  6. Peiqian, L.; Xiaoming, P.; Huifang, S.; Jingxin, Z.; Ning, H.; Birun, L. Biofilm formation by Fusarium oxysporum f. sp. cucumerinum and susceptibility to environmental stress. FEMS Microbiol. Lett. 2014, 350, 138–145. [Google Scholar] [CrossRef] [Green Version]
  7. Sav, H.; Rafati, H.; Öz, Y.; Dalyan-Cilo, B.; Ener, B.; Mohammadi, F.; Ilkit, M.; van Diepeningen, A.D.; Seyedmousavi, S. Biofilm Formation and Resistance to Fungicides in Clinically Relevant Members of the Fungal Genus Fusarium. J. Fungi 2018, 4, 16. [Google Scholar] [CrossRef] [Green Version]
  8. Al-Hatmi, A.M.S.; Curfs-Breuker, I.; de Hoog, G.S.; Meis, J.F.; Verweij, P.E. Antifungal Susceptibility Testing of Fusarium: A Practical Approach. J. Fungi 2017, 3, 19. [Google Scholar] [CrossRef] [Green Version]
  9. Lohse, M.B.; Gulati, M.; Johnson, A.D.; Nobile, C.J. Development and regulation of single- and multi-species Candida albicans biofilms. Nat. Rev. Microbiol. 2018, 16, 19–31. [Google Scholar] [CrossRef] [Green Version]
  10. Butassi, E.; Svetaz, L.; Carpinella, M.C.; Efferth, T.; Zacchino, S. Fungal Biofilms as a Valuable Target for the Discovery of Natural Products That Cope with the Resistance of Medically Important Fungi—Latest Findings. Antibiotics 2021, 10, 1053. [Google Scholar] [CrossRef]
  11. Bautista-Hernández, L.A.; Gómez-Olivares, J.L.; Buentello-Volante, B.; Dominguez-Lopez, A.; Garfias, Y.; Acosta-García, M.C.; Calvillo-Medina, R.P.; Bautista-de Lucio, V.M. Negative interaction of Staphylococcus aureus on Fusarium falciforme growth ocular isolates in an in vitro mixed biofilm. Microb. Pathog. 2019, 135, 103644. [Google Scholar] [CrossRef] [PubMed]
  12. Oliveira, L.T.; Medina-Alarcón, K.P.; Singulani, J.d.L.; Fregonezi, N.F.; Pires, R.H.; Arthur, R.A.; Fusco-Almeida, A.M.; Mendes Giannini, M.J.S. Dynamics of Mono- and Dual-Species Biofilm Formation and Interactions Between Paracoccidioides brasiliensis and Candida albicans. Front. Microbiol. 2020, 11, 551256. [Google Scholar] [CrossRef] [PubMed]
  13. Jenks, J.D.; Reed, S.L.; Seidel, D.; Koehler, P.; Cornely, O.A.; Mehta, S.R.; Hoenigl, M. Rare mould infections caused by Mucorales, Lomentospora prolificans and Fusarium, in San Diego, CA: The role of antifungal combination therapy. Int. J. Antimicrob. Agents 2018, 52, 706–712. [Google Scholar] [CrossRef] [PubMed]
  14. Kontoyiannis, D.P.; Marr, K.A.; Park, B.J.; Alexander, B.D.; Anaissie, E.J.; Walsh, T.J.; Ito, J.; Andes, D.R.; Baddley, J.W.; Brown, J.M.; et al. Prospective Surveillance for Invasive Fungal Infections in Hematopoietic Stem Cell Transplant Recipients, 2001–2006: Overview of the Transplant-Associated Infection Surveillance Network (TRANSNET) Database. Clin. Infect. Dis. 2010, 50, 1091–1100. [Google Scholar] [CrossRef]
  15. Campitelli, M.; Zeineddine, N.; Samaha, G.; Maslak, S. Combination Antifungal Therapy: A Review of Current Data. J. Clin. Med. Res. 2017, 9, 451–456. [Google Scholar] [CrossRef] [Green Version]
  16. Lombardi, L.; Shi, Y.; Falanga, A.; Galdiero, E.; de Alteriis, E.; Franci, G.; Chourpa, I.; Azevedo, H.S.; Galdiero, S. Enhancing the Potency of Antimicrobial Peptides through Molecular Engineering and Self-Assembly. Biomacromolecules 2019, 20, 1362–1374. [Google Scholar] [CrossRef]
  17. Maione, A.; Bellavita, R.; de Alteriis, E.; Galdiero, S.; Albarano, L.; La Pietra, A.; Guida, M.; Parrilli, E.; D’Angelo, C.; Galdiero, E.; et al. WMR Peptide as Antifungal and Antibiofilm against Albicans and Non-Albicans Candida Species: Shreds of Evidence on the Mechanism of Action. Int. J. Mol. Sci. 2022, 23, 2151. [Google Scholar] [CrossRef]
  18. Zhang, Y.; Yang, H.; Turra, D.; Zhou, S.; Ayhan, D.H.; DeIulio, G.A.; Guo, L.; Broz, K.; Wiederhold, N.; Coleman, J.J.; et al. The genome of opportunistic fungal pathogen Fusarium oxysporum carries a unique set of lineage-specific chromosomes. Commun. Biol. 2020, 3, 50. [Google Scholar] [CrossRef] [Green Version]
  19. M38-A2; Reference Method for Broth Dilution Antifungal Susceptibility Testing of Filamentous Fungi. Clinical and Laboratory Standards Institute: Wayne, PA, USA, 2008.
  20. CLSI Document M27-A2; Reference Method for Broth Dilution Antifungal Susceptibility Testing of Yeasts. Clinical and Laboratory Standards Institute: Wayne, PA, USA, 2002.
  21. De Alteriis, E.; Lombardi, L.; Falanga, A.; Napolano, M.; Galdiero, S.; Siciliano, A.; Carotenuto, R.; Guida, M.; Galdiero, E. Polymicrobial antibiofilm activity of the membranotropic peptide gH625 and its analogue. Microbial. Pathog. 2018, 125, 189–195. [Google Scholar] [CrossRef]
  22. Stepanović, S.; Vuković, D.; Hola, V.; Di Bonaventura, G.; Djukić, S.; Cirković, I.; Ruzicka, F. Quantification of biofilm in microtiter plates: Overview of testing conditions and practical recommendations for assessment of biofilm production by staphylococci. Apmis 2007, 115, 891–899. [Google Scholar] [CrossRef]
  23. Ramírez Granillo, A.; Canales, M.G.M.; Espíndola, M.E.S.; Martínez Rivera, M.A.; de Lucio, V.M.B.; Tovar, A.V.R. Antibiosis interaction of Staphylococccus aureus on Aspergillus fumigatus assessed in vitro by mixed biofilm formation. BMC Microbiol. 2015, 15, 33. [Google Scholar] [CrossRef] [PubMed] [Green Version]
  24. de Alteriis, E.; Maselli, V.; Falanga, A.; Galdiero, S.; Di Lella, F.M.; Gesuele, R.; Guida, M.; Galdiero, E. Efficiency of gold nanoparticles coated with the antimicrobial peptide indolicidin against biofilm formation and development of Candida spp. clinical isolates. Infect. Drug Resist. 2018, 11, 915–925. [Google Scholar] [CrossRef] [PubMed] [Green Version]
  25. de Alteriis, E.; Maione, A.; Falanga, A.; Bellavita, R.; Galdiero, S.; Albarano, L.; Salvatore, M.M.; Galdiero, E.; Guida, M. Activity of Free and Liposome-Encapsulated Essential Oil from Lavandula angustifolia against Persister-Derived Biofilm of Candida auris. Antibiotics 2022, 11, 26. [Google Scholar] [CrossRef] [PubMed]
  26. Hao, W.; Qiao, D.; Han, Y.; Du, N.; Li, X.; Fan, Y.; Ge, X.; Zhang, H. Identification of disulfiram as a potential antifungal drug by screening small molecular libraries. J. Infect. Chemother. 2021, 27, 696–701. [Google Scholar] [CrossRef]
  27. Sacks, D.; Baxter, B.; Campbell, B.C.V.; Carpenter, J.S.; Cognard, C.; Dippel, D.; Eesa, M.; Fischer, U.; Hausegger, K.; Hirsch, J.A.; et al. Multisociety Consensus Quality Improvement Revised Consensus Statement for Endovascular Therapy of Acute Ischemic Stroke. Int. J. Stroke 2018, 13, 612–632. [Google Scholar] [CrossRef] [Green Version]
  28. Pfaffl, M.W. A new mathematical model for relative quantification in real-time RT–PCR. Nucleic Acids Res. 2001, 29, e45. [Google Scholar] [CrossRef]
  29. Pfaffl, M.W.; Horgan, G.W.; Dempfle, L. Relative expression software tool (REST©) for group-wise comparison and statistical analysis of relative expression results in real-time PCR. Nucleic Acids Res. 2002, 30, e36. [Google Scholar] [CrossRef]
  30. Carotenuto, R.; Fogliano, C.; Rienzi, M.; Siciliano, A.; Salvatore, M.M.; De Tommaso, G.; Benvenuto, G.; Galdiero, E.; Guida, M. Comparative Toxicological Evaluation of Tattoo Inks on Two Model Organisms. Biology 2021, 10, 1308. [Google Scholar] [CrossRef]
  31. Bondaryk, M.; Staniszewska, M.; Zielińska, P.; Urbańczyk-Lipkowska, Z. Natural Antimicrobial Peptides as Inspiration for Design of a New Generation Antifungal Compounds. J. Fungi 2017, 3, 46. [Google Scholar] [CrossRef]
  32. Baddley, J.W.; Pappas, P.G. Combination antifungal therapy for the treatment of invasive yeast and mold infections. Curr. Infect. Dis. Rep. 2007, 9, 448–456. [Google Scholar] [CrossRef]
  33. Li, Y.; Jiao, P.; Li, Y.; Gong, Y.; Chen, X.; Sun, S. The Synergistic Antifungal Effect and Potential Mechanism of D-Penicillamine Combined With Fluconazole Against Candida albicans. Front. Microbiol. 2019, 10, 2853. [Google Scholar] [CrossRef] [PubMed] [Green Version]
  34. de Chaves, M.A.; Ferreira do Amaral, T.; Monteiro da Silva Rodrigues Coutinho, N.; Fernanda Andrzejewski Kaminski, T.; Teixeira, M.L.; Flavio Souza de Oliveira, L.; de Andrade, S.F.; Fuentefria, A.M. Synergistic association of clioquinol with antifungal drugs against biofilm forms of clinical Fusarium isolates. Mycoses 2020, 63, 1069–1082. [Google Scholar] [CrossRef] [PubMed]
  35. Mahlapuu, M.; Håkansson, J.; Ringstad, L.; Björn, C. Antimicrobial Peptides: An Emerging Category of Therapeutic Agents. Front. Cell. Infect. Microbiol. 2016, 6, 194. [Google Scholar] [CrossRef] [PubMed] [Green Version]
  36. Nucci, M.; Anaissie, E. Fusarium infections in immunocompromised patients. Clin. Microbiol. Rev. 2007, 20, 695–704. [Google Scholar] [CrossRef] [Green Version]
  37. Bajpai, V.K.; Khan, I.; Shukla, S.; Kumar, P.; Rather, I.A.; Park, Y.-H.; Huh, Y.S.; Han, Y.-K. Invasive fungal infections and their epistemology: Measures in the clinical scenario. Biotechnol. Bioprocess Eng. 2019, 24, 436–444. [Google Scholar] [CrossRef]
  38. Paul, S.; Singh, S.; Sharma, D.; Chakrabarti, A.; Rudramurthy, S.M.; Ghosh, A.K. Dynamics of in vitro development of azole resistance in Candida tropicalis. J. Glob. Antimicrob. Resist. 2020, 22, 553–561. [Google Scholar] [CrossRef]
  39. López-Berges, M.S.; Hera, C.; Sulyok, M.; Schäfer, K.; Capilla, J.; Guarro, J.; Di Pietro, A. The velvet complex governs mycotoxin production and virulence of Fusarium oxysporum on plant and mammalian hosts. Mol. Microbiol. 2013, 87, 49–65. [Google Scholar] [CrossRef]
  40. Jemel, S.; Guillot, J.; Kallel, K.; Botterel, F.; Dannaoui, E. Galleria mellonella for the Evaluation of Antifungal Efficacy against Medically Important Fungi, a Narrative Review. Microorganisms 2020, 8, 390. [Google Scholar] [CrossRef] [Green Version]
Figure 1. Panel (a): Comparison between the total biomass of monospecies biofilms of C. albicans and F. oxysporum with the dual-species biofilms formed by C. albicans/F. oxysporum starting from a ratio of 1:1. Panel (b): Comparison between the metabolic activities of monospecies biofilms of C. albicans and F. oxysporum and the dual-species C. albicans/F. oxysporum biofilm formed starting from a ratio of 1:1. Statistical significance: ** p < 0.01; **** p < 0.0001 (Tukey’s test).
Figure 1. Panel (a): Comparison between the total biomass of monospecies biofilms of C. albicans and F. oxysporum with the dual-species biofilms formed by C. albicans/F. oxysporum starting from a ratio of 1:1. Panel (b): Comparison between the metabolic activities of monospecies biofilms of C. albicans and F. oxysporum and the dual-species C. albicans/F. oxysporum biofilm formed starting from a ratio of 1:1. Statistical significance: ** p < 0.01; **** p < 0.0001 (Tukey’s test).
Pharmaceutics 14 01167 g001
Figure 2. Panel (a). Metabolic activity of mixed biofilm. F. oxysporum inocula were dispensed, as first colonizer, allowing adherence (4 h, Mix A), formation (24 h, Mix B), and maturation (48 h, Mix C) before C. albicans addition h. Panel (b). Competitive behavior during formation of mixed biofilm. Log of colony-forming units (CFU) per well isolated from dual-species biofilms formed in the three different conditions of Mix A, Mix B, and MixC. Significant differences were determined by Tukey’s test, ** p < 0.01; *** p < 0.001, **** p < 0.0001.
Figure 2. Panel (a). Metabolic activity of mixed biofilm. F. oxysporum inocula were dispensed, as first colonizer, allowing adherence (4 h, Mix A), formation (24 h, Mix B), and maturation (48 h, Mix C) before C. albicans addition h. Panel (b). Competitive behavior during formation of mixed biofilm. Log of colony-forming units (CFU) per well isolated from dual-species biofilms formed in the three different conditions of Mix A, Mix B, and MixC. Significant differences were determined by Tukey’s test, ** p < 0.01; *** p < 0.001, **** p < 0.0001.
Pharmaceutics 14 01167 g002
Figure 3. SEM image of the dual-species biofilm of F. oxysporum and C. albicans. Bar corresponds to 10 μm.
Figure 3. SEM image of the dual-species biofilm of F. oxysporum and C. albicans. Bar corresponds to 10 μm.
Pharmaceutics 14 01167 g003
Figure 4. Eradication of WMR (panel a) and FLC (panel b) on mono- and dual-species biofilms formed on microplate surfaces quantified using the CV method. Statistical significance: * p < 0.05; ** p < 0.01; **** p < 0.0001; ns = not significant (Tukey’s test).
Figure 4. Eradication of WMR (panel a) and FLC (panel b) on mono- and dual-species biofilms formed on microplate surfaces quantified using the CV method. Statistical significance: * p < 0.05; ** p < 0.01; **** p < 0.0001; ns = not significant (Tukey’s test).
Pharmaceutics 14 01167 g004
Figure 5. Assessment of antibiofilm activity of WMR and FLC against pre-formed dual-species biofilms formed by C. albicans and F. oxysporum after 24 h treatment. (a) Quantification of biofilm biomass by crystal violet staining after treatment of combinatorial agents. White star indicates the selected combinatorial concentrations. (b) Comparative analysis of individual and combinatorial efficacy of WMR and FLC at synergistic combination concentrations against dual-biofilm of C. albicans/F. oxysporum. (c) Bar graph representing the number of CFU by C. albicans and F. oxysporum grown in the absence and presence of identified synergistic combination. Statistical significance: * p < 0.05; ** p < 0.01; *** p < 0.001; ns = not significant (Tukey’s test).
Figure 5. Assessment of antibiofilm activity of WMR and FLC against pre-formed dual-species biofilms formed by C. albicans and F. oxysporum after 24 h treatment. (a) Quantification of biofilm biomass by crystal violet staining after treatment of combinatorial agents. White star indicates the selected combinatorial concentrations. (b) Comparative analysis of individual and combinatorial efficacy of WMR and FLC at synergistic combination concentrations against dual-biofilm of C. albicans/F. oxysporum. (c) Bar graph representing the number of CFU by C. albicans and F. oxysporum grown in the absence and presence of identified synergistic combination. Statistical significance: * p < 0.05; ** p < 0.01; *** p < 0.001; ns = not significant (Tukey’s test).
Pharmaceutics 14 01167 g005
Figure 6. Real-time qPCR after treatment with compounds at synergistic concentrations. Histograms show the differences in the expression levels of four genes; fold differences greater than ±1.5 (see dotted red horizontal guidelines at values of +1.5 and −1.5) were considered significant.
Figure 6. Real-time qPCR after treatment with compounds at synergistic concentrations. Histograms show the differences in the expression levels of four genes; fold differences greater than ±1.5 (see dotted red horizontal guidelines at values of +1.5 and −1.5) were considered significant.
Pharmaceutics 14 01167 g006
Figure 7. Toxicity of WMR and FLC and their combination on G. mellonella larvae.
Figure 7. Toxicity of WMR and FLC and their combination on G. mellonella larvae.
Pharmaceutics 14 01167 g007
Figure 8. Survival curve of G. mellonella infected with C. albicans, F. oxysporum, and the mix of the two pathogens, treated with WMR and FLC and their combination. * indicates significant difference (p < 0.05, Tukey’s test).
Figure 8. Survival curve of G. mellonella infected with C. albicans, F. oxysporum, and the mix of the two pathogens, treated with WMR and FLC and their combination. * indicates significant difference (p < 0.05, Tukey’s test).
Pharmaceutics 14 01167 g008
Figure 9. G. mellonella histopathology stained with hematoxylin and eosin. (A,B): C. albicans cells (arrow) and fungal hyphae (arrowhead) in infected G. mellonella larvae. (C): G. mellonella larvae treated with WMR peptide in combination with FLC.
Figure 9. G. mellonella histopathology stained with hematoxylin and eosin. (A,B): C. albicans cells (arrow) and fungal hyphae (arrowhead) in infected G. mellonella larvae. (C): G. mellonella larvae treated with WMR peptide in combination with FLC.
Pharmaceutics 14 01167 g009
Table 1. Susceptibility of the two fungal species to WMR and FLC.
Table 1. Susceptibility of the two fungal species to WMR and FLC.
WMR (µM)FLC (µM)
C. albicans ATCC 90028150>150
F. oxysporum NRRL 32931>150>150
Publisher’s Note: MDPI stays neutral with regard to jurisdictional claims in published maps and institutional affiliations.

Share and Cite

MDPI and ACS Style

Falanga, A.; Maione, A.; La Pietra, A.; de Alteriis, E.; Vitale, S.; Bellavita, R.; Carotenuto, R.; Turrà, D.; Galdiero, S.; Galdiero, E.; et al. Competitiveness during Dual-Species Biofilm Formation of Fusarium oxysporum and Candida albicans and a Novel Treatment Strategy. Pharmaceutics 2022, 14, 1167. https://doi.org/10.3390/pharmaceutics14061167

AMA Style

Falanga A, Maione A, La Pietra A, de Alteriis E, Vitale S, Bellavita R, Carotenuto R, Turrà D, Galdiero S, Galdiero E, et al. Competitiveness during Dual-Species Biofilm Formation of Fusarium oxysporum and Candida albicans and a Novel Treatment Strategy. Pharmaceutics. 2022; 14(6):1167. https://doi.org/10.3390/pharmaceutics14061167

Chicago/Turabian Style

Falanga, Annarita, Angela Maione, Alessandra La Pietra, Elisabetta de Alteriis, Stefania Vitale, Rosa Bellavita, Rosa Carotenuto, David Turrà, Stefania Galdiero, Emilia Galdiero, and et al. 2022. "Competitiveness during Dual-Species Biofilm Formation of Fusarium oxysporum and Candida albicans and a Novel Treatment Strategy" Pharmaceutics 14, no. 6: 1167. https://doi.org/10.3390/pharmaceutics14061167

APA Style

Falanga, A., Maione, A., La Pietra, A., de Alteriis, E., Vitale, S., Bellavita, R., Carotenuto, R., Turrà, D., Galdiero, S., Galdiero, E., & Guida, M. (2022). Competitiveness during Dual-Species Biofilm Formation of Fusarium oxysporum and Candida albicans and a Novel Treatment Strategy. Pharmaceutics, 14(6), 1167. https://doi.org/10.3390/pharmaceutics14061167

Note that from the first issue of 2016, this journal uses article numbers instead of page numbers. See further details here.

Article Metrics

Back to TopTop