Preparation and In Vitro-In Vivo Evaluation of Luteolin Loaded Gastroretentive Microsponge for the Eradication of Helicobacter pylori Infections
Abstract
:1. Introduction
2. Material and Methods
2.1. Material
2.2. Preparation of Luteolin Gastric Floating Microsponge
2.3. Physicochemical Evaluation of LUT Gastric Floating Microsponge
2.3.1. Production Yield
2.3.2. Drug Content and Entrapment Efficiency
2.3.3. In Vitro Floating Study
2.3.4. Size Determination
2.4. In Vitro Drug Release Study
2.5. Scanning Electron Microscopy (SEM)
2.6. Differential Scanning Calorimetry (DSC)
2.7. X-ray Diffractometry (XRD)
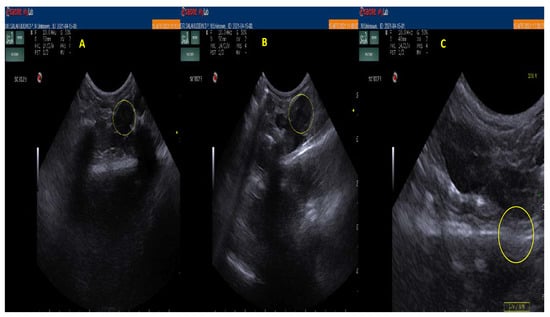
2.8. In Vivo Floating Study in Albino Rats
2.9. In Vitro Anti H. pylori Activity
2.9.1. Determination of Minimum Inhibitory Concentration (MIC)
2.9.2. Determination of Duration of Growth Inhibition
2.10. Statistical Analysis
3. Results and Discussion
3.1. Physicochemical Evaluation of LUT Gastric Floating Microsponge
3.2. In Vitro Drug Release Study
3.3. Scanning Electron Microscopy (SEM)
3.4. Differential Scanning Calorimetry (DSC)
3.5. X-ray Diffractometry (XRD)
3.6. In Vivo Floating Study
3.7. In Vitro H. pylori Activity
Determination of MIC and Duration of Action
4. Conclusions
Author Contributions
Funding
Institutional Review Board Statement
Informed Consent Statement
Data Availability Statement
Acknowledgments
Conflicts of Interest
References
- Vítor, J.M.; Vale, F.F. Alternative therapies for Helicobacter pylori: Probiotics and phytomedicine. FEMS Immunol. Med. Microbiol. 2011, 63, 153–164. [Google Scholar] [CrossRef] [Green Version]
- Suzuki, H.; Mori, H. World trends for H. pylori eradication therapy and gastric cancer prevention strategy by H. pylori test-and-treat. J. Gastroenterol. 2018, 53, 354–361. [Google Scholar] [CrossRef] [PubMed] [Green Version]
- Hatakeyama, M. Helicobacter pylori CagA and gastric cancer: A paradigm for hit-and-run carcinogenesis. Cell Host Microbe 2014, 15, 306–316. [Google Scholar] [CrossRef] [PubMed] [Green Version]
- Trung, H.T.; Huynh, H.T.T.; Thuy, L.N.T.; Van Minh, H.N.; Nguyen, M.N.T.; Thi, M.N.L. Growth-Inhibiting, Bactericidal, Antibiofilm, and Urease Inhibitory Activities of Hibiscus rosa sinensis. ACS Omega 2020, 5, 20080–20089. [Google Scholar] [CrossRef]
- Salehi, B.; Sharopov, F.; Martorell, M.; Rajkovic, J.; Ademiluyi, A.O.; Sharifi-Rad, M.; Fokou, P.; Martins, N.; Iriti, M.; Sharifi-Rad, J. Phytochemicals in Helicobacter pylori Infections: What Are We Doing Now? Int. J. Mol. Sci. 2018, 19, 2361. [Google Scholar] [CrossRef] [PubMed] [Green Version]
- López-Lázaro, M. Distribution and biological activities of the flavonoid luteolin. Mini Rev. Med. Chem. 2009, 9, 31–59. [Google Scholar] [CrossRef]
- Tripathi, J.; Thapa, P.; Maharjan, R.; Jeong, S.H. Current state and future perspectives on gastroretentive drug delivery systems. Pharmaceutics 2019, 11, 193. [Google Scholar] [CrossRef] [PubMed] [Green Version]
- Srivastava, R.; Pathak, K. Microsponges: A futuristic approach for oral drug delivery. Expert. Opin. Drug Deliv. 2012, 9, 863–878. [Google Scholar] [CrossRef]
- Junqueira, M.V.; Bruschi, M.L. A review about the drug delivery from microsponges. AAPS PharmSciTech 2018, 19, 1501–1511. [Google Scholar] [CrossRef]
- Chandra, U.; Dhyani, A.; Juyal, D. Review on floating microsponges: An updated. Pharma Innov. 2017, 6, 239. [Google Scholar]
- Singhvi, G.; Manchanda, P.; Hans, N.; Dubey, S.K.; Gupta, G. Microsponge: An emerging drug delivery strategy. Drug Dev. Res. 2019, 80, 200–208. [Google Scholar] [CrossRef]
- Tort, S.; Han, D.; Steckl, A. Self-inflating floating nanofiber membranes for controlled drug delivery. Int. J. Pharm. 2020, 579, 119164. [Google Scholar] [CrossRef] [PubMed]
- Thakral, S.; Thakral, N.K.; Majumdar, D.K. Eudragit: A technology evaluation. Expert. Opin. Drug Deliv. 2013, 10, 131–149. [Google Scholar] [CrossRef] [PubMed]
- Wasilewska, K.; Winnicka, K. Ethylcellulose—A Pharmaceutical Excipient with Multidirectional Application in Drug Dosage Forms Development. Materials 2019, 12, 3386. [Google Scholar] [CrossRef] [PubMed] [Green Version]
- Kotagale, N.R.; Parkhe, A.P.; Jumde, A.B.; Khandelwal, H.M.; Umekar, M.J. Ranitidine Hydrochloride-loaded Ethyl Cellulose and Eudragit RS 100 Buoyant Microspheres: Effect of pH Modifiers. Indian J. Pharm. Sci. 2011, 73, 626–633. [Google Scholar] [CrossRef] [Green Version]
- Peng, B.; Yan, W. Solubility of luteolin in ethanol + water mixed solvents at different temperatures. J. Chem. Eng. Data 2010, 55, 583–585. [Google Scholar] [CrossRef]
- Dong, H.; Yang, X.C.; He, J.P.; Cai, S.; Xiao, K.J.; Zhu, L. Enhanced antioxidant activity, antibacterial activity and hypoglycemic effect of luteolin by complexation with manganese(ii) and its inhibition kinetics on xanthine oxidase. RSC Adv. 2017, 7, 53385–53395. [Google Scholar] [CrossRef] [Green Version]
- He, Y.; Majid, K.; Maqbool, M.; Hussain, T.; Yousaf, A.M.; Khan, I.U.; Mehmood, Y.; Aleem, A.; Arshad, M.S.; Younus, A.; et al. Formulation and characterization of lornoxicam-loaded cellulosic-microsponge gel for possible applications in arthritis. Saudi Pharm. J. 2020, 28, 994–1003. [Google Scholar] [CrossRef]
- Moran, C.M.; Thomson, A.J.W. Preclinical Ultrasound Imaging—A Review of Techniques and Imaging Applications. Front. Phys. 2020, 8, 124. [Google Scholar] [CrossRef]
- Jagtap, Y.M.; Bhujbal, R.K.; Ranade, A.N.; Ranpise, N.S. Effect of various polymers concentrations on physicochemical properties of floating microspheres. Indian J. Pharm. Sci. 2012, 74, 512–520. [Google Scholar] [CrossRef] [Green Version]
- Obeidat, W.M.; Price, J.C. Preparation and in vitro evaluation of propylthiouracil microspheres made of Eudragit RL 100 and cellulose acetate butyrate polymers using the emulsion-solvent evaporation method. J. Microencapsul. 2005, 22, 281–289. [Google Scholar] [CrossRef]
- Nandy, B.C.; Mazumder, B. Preparation and evaluations of multi-particulates system of celecoxib: Optimization by response surface methodology. ASIO J. Drug Deliv. 2015, 1, 11–25. [Google Scholar]
- Pandav, S.; Naik, J. Preparation and In Vitro Evaluation of Ethylcellulose and Polymethacrylate Resins Loaded Microparticles Containing Hydrophilic Drug. J. Pharm. 2014, 2014, 904036. [Google Scholar] [CrossRef] [PubMed] [Green Version]
- Zaman, M.; Qureshi, S.; Sultana, K.; Hanif, M.; Mahmood, A.; Shaheryar, Z.A.; Gulzar, F.; Barkat, K.; Abdel-Daim, M.M. Application of quasi-emulsification and modified double emulsification techniques for formulation of tacrolimus microsponges. Int. J. Nanomed. 2018, 10, 4537–4548. [Google Scholar] [CrossRef] [PubMed] [Green Version]
- Das, S.K.; Das, N.G. Preparation and in vitro dissolution profile of dual polymer (Eudragit RS100 and RL100) microparticles of diltiazem hydrochloride. J. Microencapsul. 1998, 15, 445–452. [Google Scholar] [CrossRef] [PubMed]
- Akhgari, A.; Tavakol, A. Prediction of Optimum Combination of Eudragit RS/Eudragit RL/Ethyl Cellulose Polymeric Free Films Based on Experimental Design for Using as a Coating System for Sustained Release Theophylline Pellets. Adv. Pharm. Bull. 2016, 6, 219–225. [Google Scholar] [CrossRef] [Green Version]
- AlShehri, S.; Imam, S.S.; Altamimi, M.A.; Jafar, M.; Hassan, M.Z.; Hussain, A.; Ahad, A.; Mahdi, W. Host-guest complex of β-cyclodextrin and pluronic F127 with Luteolin: Physicochemical characterization, anti-oxidant activity and molecular modeling studies. J. Drug Deliv. Sci. Technol. 2020, 55, 101356. [Google Scholar] [CrossRef]
- Jafar, M.; Mohsin, A.A.; Khalid, M.S.; Alshahrani, A.M.; Alkhateeb, F.S.; Alqarni, A.S. Ranitidine hydrochloride stomach specific buoyant microsponge: Preparation, in-vitro characterization, and in-vivo anti-ulcer activity. J. Drug Deliv. Sci. Technol. 2020, 55, 101453. [Google Scholar] [CrossRef]
- Patitapabana, P.; Subash, C.M.; Subhashree, S.; Ajit, B.; Bibhukalyan, P.N. Development and characterization of ethylcellulose based microsphere for sustained release of nifedipine. J. Pharm. Anal. 2016, 6, 341–344. [Google Scholar]
- Schneider, F.; Koziolek, M.; Weitschies, W. In Vitro and In Vivo Test Methods for the Evaluation of Gastroretentive Dosage Forms. Pharmaceutics 2019, 11, 416. [Google Scholar] [CrossRef] [PubMed] [Green Version]
- Younis, M.A.; El-Zahry, M.R.; Tallat, M.A.; Tawfeek, H.M. Sulpiride gastro-retentive floating microsponges; analytical study, in vitro optimization and in vivo characterization. J. Drug Target. 2020, 28, 386–397. [Google Scholar] [CrossRef]
- Tursi, A.; Elisei, W.; Giorgetti, G.; Picchio, M.; Brandimarte, G. Decreasing efficacy of the standard seven-day triple therapy containing amoxycillin and clarithromycin in curing Helicobacter pylori infection in clinical setting in Italy: A 10-year follow-up study. Panminerva Med. 2014, 56, 57–61. [Google Scholar] [PubMed]
- Erah, P.O.; Goddard, A.F.; Barrett, D.A.; Shaw, P.N.; Spiller, R.C. The stability of amoxycillin, clarithromycin and metronidazole in gastric juice: Relevance to the treatment of Helicobacter pylori infection. J. Antimicrob. Chemother. 1997, 39, 5–12. [Google Scholar] [CrossRef] [PubMed] [Green Version]
- Ribaldone, D.G.; Astegiano, M.; Saracco, G.; Pellicano, R. Amoxycillin and Metronidazole Therapy for Helicobacter pylori Eradication: A 10-Year Trend in Turin, Italy. Balk. Med. J. 2017, 34, 290–291. [Google Scholar] [CrossRef] [PubMed]
- Shetty, V.; Lamichhane, B.; Tay, C.Y.; Pai, G.C.; Lingadakai, R.; Balaraju, G.; Shetty, S.; Ballal, M.; Chua, E.G. High primary resistance to metronidazole and levofloxacin, and a moderate resistance to clarithromycin in Helicobacter pylori isolated from Karnataka patients. Gut Pathog. 2019, 11, 21. [Google Scholar] [CrossRef]
- An, B.; Moon, B.S.; Kim, H.; Lim, H.C.; Lee, Y.C.; Lee, G.; Kim, S.H.; Park, M.; Kim, J.B. Antibiotic resistance in Helicobacter pylori strains and its effect on H. pylori eradication rates in a single center in Korea. Ann. Lab. Med. 2013, 33, 415–419. [Google Scholar] [CrossRef] [Green Version]
- González, A.; Salillas, S.; Velázquez-Campoy, A.; Angarica, V.E.; Fillat, M.F.; Sancho, J.; Lanas, Á. Identifying potential novel drugs against Helicobacter pylori by targeting the essential response regulator HsrA. Sci. Rep. 2019, 9, 11294. [Google Scholar] [CrossRef] [Green Version]
- González, A.; Casado, J.; Lanas, Á. Fighting the Antibiotic Crisis: Flavonoids as Promising Antibacterial Drugs against Helicobacter pylori Infection. Front. Cell. Infect. Microbiol. 2021, 11, 709749. [Google Scholar] [CrossRef]
- Chung, J.G.; Hsia, T.C.; Kuo, H.M.; Li, Y.C.; Lee, Y.M.; Lin, S.S.; Hung, C.F. Inhibitory actions of luteolin on the growth and arylamine N-acetyltransferase activity in strains of Helicobacter pylori from ulcer patients. Toxicol. In Vitro 2001, 15, 191–198. [Google Scholar] [CrossRef]







| Ingredients * | Formulations | ||||
|---|---|---|---|---|---|
| F-1 | F-2 | F-3 | F-4 | F-5 | |
| LUT | 0.5 | 0.5 | 0.5 | 0.5 | 0.5 |
| EGT | 0.5 | 0.34 | 0.25 | 0.16 | - |
| EC | - | 0.16 | 0.25 | 0.34 | 0.5 |
| Acetone | 10 | 10 | 10 | 10 | 10 |
| Tween 80 | 0.6 | 0.6 | 0.6 | 0.6 | 0.6 |
| Distilled Water (Up to) | 100 | 100 | 100 | 100 | 100 |
| Parameters (%) | Formulations | ||||
|---|---|---|---|---|---|
| F-1 | F-2 | F-3 | F-4 | F-5 | |
| Product Yield | 97.59 ± 0.54 | 78.01 ± 0.78 | 64.45 ± 0.83 | 40.43 ± 0.63 | 30.94 ± 0.33 |
| Drug content | 24.67 ± 1.76 | 29.5 ± 1.80 | 33.67 ± 1.89 | 28.33 ± 1.04 | 26 ± 0.87 |
| Entrapment efficiency | 49.33 ± 3.51 | 59 ± 3.6 | 67.33 ± 3.79 | 56.67 ± 2.08 | 52 ± 1.73 |
| In-Vitro floating (h) | >8 | >8 | >8 | >8 | >8 |
| Particle size (µm) | 3.36 | 3.40 | 3.42 | 3.57 | 3.61 |
| Test Compounds | MIC (µg/mL) | Duration of Action (at 2× MIC) Hours |
|---|---|---|
| Luteolin | 2 | 24 |
| Luteolin gastric floating microsponge (F-3) | 4 | 48 |
Publisher’s Note: MDPI stays neutral with regard to jurisdictional claims in published maps and institutional affiliations. |
© 2021 by the authors. Licensee MDPI, Basel, Switzerland. This article is an open access article distributed under the terms and conditions of the Creative Commons Attribution (CC BY) license (https://creativecommons.org/licenses/by/4.0/).
Share and Cite
Jafar, M.; Salahuddin, M.; Khan, M.S.A.; Alshehry, Y.; Alrwaili, N.R.; Alzahrani, Y.A.; Imam, S.S.; Alshehri, S. Preparation and In Vitro-In Vivo Evaluation of Luteolin Loaded Gastroretentive Microsponge for the Eradication of Helicobacter pylori Infections. Pharmaceutics 2021, 13, 2094. https://doi.org/10.3390/pharmaceutics13122094
Jafar M, Salahuddin M, Khan MSA, Alshehry Y, Alrwaili NR, Alzahrani YA, Imam SS, Alshehri S. Preparation and In Vitro-In Vivo Evaluation of Luteolin Loaded Gastroretentive Microsponge for the Eradication of Helicobacter pylori Infections. Pharmaceutics. 2021; 13(12):2094. https://doi.org/10.3390/pharmaceutics13122094
Chicago/Turabian StyleJafar, Mohammed, Mohammed Salahuddin, Mohd Sajjad Ahmad Khan, Yasir Alshehry, Nazar Radwan Alrwaili, Yazeed Ali Alzahrani, Syed Sarim Imam, and Sultan Alshehri. 2021. "Preparation and In Vitro-In Vivo Evaluation of Luteolin Loaded Gastroretentive Microsponge for the Eradication of Helicobacter pylori Infections" Pharmaceutics 13, no. 12: 2094. https://doi.org/10.3390/pharmaceutics13122094
APA StyleJafar, M., Salahuddin, M., Khan, M. S. A., Alshehry, Y., Alrwaili, N. R., Alzahrani, Y. A., Imam, S. S., & Alshehri, S. (2021). Preparation and In Vitro-In Vivo Evaluation of Luteolin Loaded Gastroretentive Microsponge for the Eradication of Helicobacter pylori Infections. Pharmaceutics, 13(12), 2094. https://doi.org/10.3390/pharmaceutics13122094

