Due to scheduled maintenance work on our servers, there may be short service disruptions on this website between 11:00 and 12:00 CEST on March 28th.
Sign in to use this feature.

Years

Between: -

Subjects

remove_circle_outline
remove_circle_outline
remove_circle_outline
remove_circle_outline
remove_circle_outline
remove_circle_outline
remove_circle_outline
remove_circle_outline
remove_circle_outline

Journals

remove_circle_outline
remove_circle_outline
remove_circle_outline
remove_circle_outline
remove_circle_outline
remove_circle_outline
remove_circle_outline
remove_circle_outline

Article Types

Countries / Regions

remove_circle_outline
remove_circle_outline
remove_circle_outline
remove_circle_outline
remove_circle_outline
remove_circle_outline

Search Results (1,248)

Search Parameters:
Keywords = luteolin

Order results
Result details
Results per page
Select all
Export citation of selected articles as:
22 pages, 2547 KB  
Article
Temporal Phenolic Profile and Bioactivity of Endemic Salvia transsylvanica (Transylvanian Sage) During Flowering
by Maria-Doroteia Brudiu, Alexandru Nicolescu, Beatriz H. Paschoalinotto, Maria Inês Dias, Gianina Crișan and Andrei Mocan
Antioxidants 2026, 15(4), 417; https://doi.org/10.3390/antiox15040417 - 26 Mar 2026
Abstract
Salvia transsylvanica, an endemic Romanian sage, remains understudied despite co-occurrence with validated medicinal Salvia species. In this study, lfeaves and flowers were harvested weekly during flowering (May and June) and subjected to classical hydroethanolic extraction, HPLC–DAD–ESI/MSn profiling, in vitro antioxidant assays [...] Read more.
Salvia transsylvanica, an endemic Romanian sage, remains understudied despite co-occurrence with validated medicinal Salvia species. In this study, lfeaves and flowers were harvested weekly during flowering (May and June) and subjected to classical hydroethanolic extraction, HPLC–DAD–ESI/MSn profiling, in vitro antioxidant assays (ABTS, DPPH, FRAP), and enzyme-inhibitory screening, with multivariate analysis correlating compositional patterns with bioactivity. Rosmarinic acid dominated the phenolic profile (68.6 mg/g maximum in week 4), alongside salvianolic acids (salvianolic acid K isomers) and flavonoid glycosides (luteolin, apigenin, and hispidulin hexosides). Leaf extracts displayed higher ABTS/DPPH scavenging (higher phenolic acid content), while flowers showed superior FRAP and α-glucosidase inhibition (IC50 84–143 μg/mL, higher flavonoids), with maximal values being identified during week 4. S. transsylvanica offers complementary antioxidant profiles to commercial sages, warranting future in vivo validation for therapeutic applications. Full article
Show Figures

Graphical abstract

11 pages, 427 KB  
Article
Modulation of Plant-Derived Bioactive Phenolic Compounds by Cytokinins in Hypericum amblysepalum Shoot Cultures
by Hilal Surmuş Asan
Plants 2026, 15(7), 1017; https://doi.org/10.3390/plants15071017 - 26 Mar 2026
Abstract
Cytokinins are key plant growth regulators that play an important role not only in morphogenesis but also in the regulation of plant-derived bioactive compound production in plant tissue culture systems. In this study, the effects of two cytokinins, 6-benzylaminopurine (BAP) and zeatin (ZEA), [...] Read more.
Cytokinins are key plant growth regulators that play an important role not only in morphogenesis but also in the regulation of plant-derived bioactive compound production in plant tissue culture systems. In this study, the effects of two cytokinins, 6-benzylaminopurine (BAP) and zeatin (ZEA), applied at four concentrations (0.1, 0.25, 0.5, and 1.0 mg L−1), were compared in terms of biomass production and phenolic compound accumulation in shoot cultures of Hypericum amblysepalum Hochst. Both cytokinins significantly enhanced plant growth compared to the control, with the highest dry weight (26.5 ± 8.6 mg DW) and shoot number (11.2 ± 4.4 shoots per explant) recorded in cultures supplemented with 0.1 mg L−1 BAP. In contrast, ZEA was more effective in stimulating the accumulation of secondary metabolites. LC–MS/MS analysis revealed that 0.1 mg L−1 ZEA markedly increased the accumulation of major plant-derived bioactive phenolic compounds, including hypericin, pseudohypericin, chlorogenic acid, rutin, luteolin, hesperidin, luteolin-7-glucoside, and hyperoside, compared to the control. Consistent with these findings, total phenolic content (TPC) and total flavonoid content (TFC) were significantly higher in ZEA-treated cultures, which also exhibited stronger DPPH radical scavenging activity, indicating enhanced antioxidant potential. Overall, these results demonstrate that BAP is more suitable for biomass enhancement, whereas ZEA is more effective in improving the production of bioactive phenolic compounds and antioxidant capacity in H. amblysepalum shoot cultures, highlighting their potential as a sustainable source of valuable plant-derived bioactive metabolites for pharmaceutical applications. Full article
(This article belongs to the Special Issue Plant-Derived Bioactive Compound Research)
Show Figures

Figure 1

12 pages, 918 KB  
Proceeding Paper
Computational Evaluation of Philippine Vitex negundo Phytochemicals as Potential Inhibitors of Rhinovirus 3C Protease: Molecular Docking, Pharmacokinetic Analysis, and ADMET Studies
by Francis Ceniza, Harll Fawwenn Hayes Paderanga, Sheena Alexa Yacapin and Nesteve John Agosto
Eng. Proc. 2026, 124(1), 90; https://doi.org/10.3390/engproc2026124090 - 25 Mar 2026
Viewed by 88
Abstract
Human rhinoviruses (HRVs) are the primary cause of the common cold, a highly contagious upper respiratory tract infection characterized by nasal congestion, sneezing, and sore throat. HRV replication depends on its 3C protease (HRV-3Cpro), a key enzyme that cleaves the viral polyprotein into [...] Read more.
Human rhinoviruses (HRVs) are the primary cause of the common cold, a highly contagious upper respiratory tract infection characterized by nasal congestion, sneezing, and sore throat. HRV replication depends on its 3C protease (HRV-3Cpro), a key enzyme that cleaves the viral polyprotein into functional proteins essential for viral maturation. Currently, no FDA-approved inhibitors specifically target HRV-3Cpro. While rupintrivir, a synthetic inhibitor, advanced to clinical trials, it ultimately failed due to limited efficacy. This study investigated the potential of Vitex negundo (or lagundi)—a medicinal plant traditionally used in the Philippines for treating colds and respiratory ailments—as a source of natural HRV-3Cpro inhibitors through in silico molecular docking and pharmacokinetic (ADMET) evaluation. Fifteen phytochemicals were screened, with five compounds exhibiting strong binding affinities exceeding that of the reference inhibitor rupintrivir (−6.1 kcal/mol): agnuside (−6.9 kcal/mol), luteolin 7-O-glucoside (−6.7 kcal/mol), 2′-p-hydroxybenzoyl mussaenosidic acid (−6.5 kcal/mol), 6′-(p-hydroxybenzoyl) mussaenosidic acid (−6.5 kcal/mol), and luteolin (−6.2 kcal/mol). Among these, luteolin emerged as a particularly promising lead compound, forming stable hydrogen bonding and hydrophobic interactions with HRV-3Cpro. Luteolin also demonstrates a favorable ADMET and safety profile, predicted to be non-mutagenic and non-hepatotoxic. These findings position luteolin as a potential plant-based HRV-3Cpro inhibitor, warranting further in vitro and in vivo studies to validate its antiviral efficacy and pharmacokinetic properties. Full article
(This article belongs to the Proceedings of The 6th International Electronic Conference on Applied Sciences)
Show Figures

Figure 1

22 pages, 5409 KB  
Article
Tailored Phytochitosomes as Targeted Nanotherapy for Alveolar Bone Regeneration in Diabetic Obese Rats
by Yosra S. R. Elnaggar, Mariam Zewail, Eman M. Salem, Wafaa Y. Alghonemy, Nevien M. Ahmed, Rania A. Hanafy, Waiel Daghistan, Ali M. Alaseem, Dina Khodeer, Elsayed G. Zaki, Ahmad N. Almougy and Mona A. Moustafa
Pharmaceuticals 2026, 19(3), 506; https://doi.org/10.3390/ph19030506 - 19 Mar 2026
Viewed by 212
Abstract
Background/Objectives: Individuals with diabetes often experience difficulties in the healing of their alveolar sockets. Furthermore, obesity is strongly associated with the development and progression of type 2 diabetes through complex metabolic and inflammatory mechanisms. The current study provides new insights into the [...] Read more.
Background/Objectives: Individuals with diabetes often experience difficulties in the healing of their alveolar sockets. Furthermore, obesity is strongly associated with the development and progression of type 2 diabetes through complex metabolic and inflammatory mechanisms. The current study provides new insights into the use of Luteolin (LU) and/or chitosan vesicles (CHV) to accelerate bone regeneration, highlighting a biologically and clinically relevant approach that leverages implants as a clinical solution. Methods: Sixty rats were randomly categorized into five groups: Group I (negative control); Group II (positive control), diabetic and obese rats; Group III (LU-treated), diabetic and obese rats with an extraction socket loaded with LU; Group IV (CHV-treated), diabetic and obese rats with an extraction socket loaded with CHV; and Group V (LU-CHV), diabetic and obese rats with an extraction socket loaded with LU-CHV. After 2 and 6 weeks, rats’ mandibles underwent histological, histomorphometric, biochemical, and statistical analyses. Results: The results demonstrated significant differences among the experimental groups. The LU-CHV formulation showed superior therapeutic performance compared with free luteolin and the untreated control group. In vitro release studies revealed sustained, controlled release from LU-CHV, whereas free luteolin exhibited rapid drug release. Additionally, LU-CHV significantly enhanced biological activity, as evidenced by improved anti-inflammatory and/or therapeutic markers compared to the other groups. These findings indicate that encapsulation within chitosan vesicles improved drug stability, bioavailability, and overall therapeutic efficiency. Conclusions: LU-CHV demonstrated superior efficacy compared to free luteolin, highlighting the advantage of chitosan-based vesicular delivery systems. LU-CHV not only enhanced controlled drug release and therapeutic outcomes but also presents a promising platform that could significantly advance targeted drug delivery strategies in inflammatory and metabolic disorders. The findings suggest that LU-CHV represents a transformative approach in improving treatment effectiveness and patient outcomes. Full article
(This article belongs to the Special Issue Drugs and Implants in Orthopedic Surgery and Traumatology)
Show Figures

Graphical abstract

20 pages, 1929 KB  
Article
Upcycling of Date Fruit By-Products from Bioethanol Production: Structural Characterization of Polysaccharides and Phenolic Compounds
by Mohamad Khatib, Lorenzo Cecchi, Margherita Campo, Pamela Vignolini, Chiara Cassiani, Paolo Fiume and Nadia Mulinacci
Processes 2026, 14(6), 948; https://doi.org/10.3390/pr14060948 - 16 Mar 2026
Viewed by 253
Abstract
Date palm (Phoenix dactylifera L.) by-products from bioethanol production represent an underutilized resource rich in bioactive molecules. This study aims to their valorization through characterization of polysaccharides and phenolic compounds from the Medjool variety, both before and after yeast fermentation for bioethanol [...] Read more.
Date palm (Phoenix dactylifera L.) by-products from bioethanol production represent an underutilized resource rich in bioactive molecules. This study aims to their valorization through characterization of polysaccharides and phenolic compounds from the Medjool variety, both before and after yeast fermentation for bioethanol production. Three sequential types of by-products were analyzed—Ext1 (post hot-extraction), Ext2 (post fermentation), and Ext3 (post distillation)—and compared with Dat-Me. High Performance Liquid Chromatograp-Diode Array Detector-Mass Spectrometry (HPLC-DAD-MS) analysis allowed identifying 22 phenolic compounds, primarily cinnamic acid derivatives and glycosylated flavones such as luteolin and chrysoeriol. Fermentation increased total phenolic content from dry weight, while leading to an improved polysaccharide recovery (i.e., from 14.2% to 42.1% dry weight). Two polysaccharide fractions (F1 and F2) were isolated and characterized by 1H-NMR and Dynamic Light Scattering (DLS). F1 is a pectic polysaccharide, with a galacturonic acid content ranging from 24.2% (Ext3) to 52.2% (Dat-Me), a degree of methylation (DM) between 34.4 and 50.6%, and a degree of acetylation (DA) of 23.6–42.2%. F2 consists of a non-pectic polysaccharide, characterized by a low galacturonic acid content (5.6–6.8%) and a DM of 12.6–47.1%, but it is highly acetylated, with a DA ranging from 90.1 to 93.3%. DLS analysis confirmed fermentation-induced depolymerization, with molecular weights ranging from 6.6 × 104 to 8.5 × 105 KDa for both the fractions. Overall, Medjool date by-products obtained after bioethanol production represent a sustainable source of high-value phenolic antioxidants and polysaccharides with different structures suitable for future applications in food, pharmaceutical, and cosmetic formulations. Full article
(This article belongs to the Special Issue Biofuels Production Processes)
Show Figures

Graphical abstract

21 pages, 8616 KB  
Article
Shenqi Granules Enhance Recovery from Myocardial Ischemia–Reperfusion Injury by Downregulating MMP9 and ADH1C
by Hai-Xin Liu, Xin-Lei Shi, Shu-Yuan Zhou, Yu-Chang Li, Dong-Yan Lin, Pei-You Tan, Zi-Ce Zhou, Ying-Wei Li, Hui-Fang Li and Shi-Yuan Wen
Pharmaceuticals 2026, 19(3), 475; https://doi.org/10.3390/ph19030475 - 13 Mar 2026
Viewed by 260
Abstract
Background: Shenqi granule (SQG) was used clinically to strengthen the spleen and boost energy, alleviating physical weakness and limb fatigue caused by energy deficiency. However, the specific effects and potential molecular mechanisms of SQG in myocardial infarction (MI) treatment remain to be clarified. [...] Read more.
Background: Shenqi granule (SQG) was used clinically to strengthen the spleen and boost energy, alleviating physical weakness and limb fatigue caused by energy deficiency. However, the specific effects and potential molecular mechanisms of SQG in myocardial infarction (MI) treatment remain to be clarified. Methods: This study thoroughly evaluates SQG’s role in improving MIRI in rats using a biological approach. Network pharmacology, weighted gene co-expression network analysis (WGCNA), receiver operating characteristic (ROC), and immune landscape analysis were used to analyze components and key molecular targets. The therapeutic targets of SQG were then validated through molecular docking, molecular dynamics simulation, and experiments. Results: SQG reduced myocardial infarct size and improved myocardial function in rats. Network pharmacology analysis found that six bioactive compounds in SQG could target four proteins. Using WGCNA and ROC, two key targets of SQG were identified, MMP9 and ADH1C. Importantly, integrating PPI network prediction, molecular docking, and expression correlation analyses, MMP9 and ADH1C demonstrate strong physical binding potential and expression association, suggesting their possible involvement in MIRI-related pathways through the immune microenvironment. Molecular experiments and other methods confirmed that the five active ingredients in SQG (luteolin, quercetin, hederagenin, 7-O-methylisomucronulatol, and stigmasterol) can exert cardioprotective effects by stably binding to MMP9/ADH1C. Conclusions: SQG reduces myocardial infarct volume and enhances myocardial function in MIRI rats, likely via inhibiting MMP9 and ADH1C expression. This suggests SQG’s potential as a therapeutic agent for MI, with findings offering strong scientific support for SQG’s use in cardiovascular disease research. Full article
(This article belongs to the Section Natural Products)
Show Figures

Figure 1

21 pages, 7226 KB  
Article
Antitumor Study of the Miao Medicine Indigofera stachyodes by Integrating Multiple Chemometrics Network Pharmacology and Experimental Validation
by Junhang Zhang, Dan Wang, Qin Nie, Huayong Lou, Yongping Zhang, Jian Xu and Jian Fu
Curr. Issues Mol. Biol. 2026, 48(3), 302; https://doi.org/10.3390/cimb48030302 - 12 Mar 2026
Viewed by 201
Abstract
Indigofera stachyodes Lindl. (I. stachyodes), a fundamental herb in Miao ethnomedicine, possesses a broad pharmacological profile including antitumor potential. However, its antitumor bioactive compounds and their underlying mechanisms remain poorly characterized. Here, we developed a spectrum-effect relationship analysis integrated with UPLC-Q-TOF-MS/MS, [...] Read more.
Indigofera stachyodes Lindl. (I. stachyodes), a fundamental herb in Miao ethnomedicine, possesses a broad pharmacological profile including antitumor potential. However, its antitumor bioactive compounds and their underlying mechanisms remain poorly characterized. Here, we developed a spectrum-effect relationship analysis integrated with UPLC-Q-TOF-MS/MS, which enabled the identification of 7 compounds with potential antitumor activity from I. stachyodes. A secondary screening of candidate compounds was performed using network pharmacology, which led to the identification of fisetin, luteolin, wogonin, and liquiritigenin as potential antitumor compounds. Enrichment analysis and molecular docking studies predicted the key involvement of the PI3K-AKT signaling pathway in mediating the antitumor activities of these compounds. Subsequently, in vitro cell experiments confirmed that the fisetin, wogonin, luteolin and liquiritigenin inhibited the proliferation of HepG2 cells, with IC50 values of 82.13 ± 6.74, 123.38 ± 5.71, 141.76 ± 6.37, and 151.04 ± 3.08 µM, respectively, while exhibiting moderate antitumor activity compared to chemotherapeutic agents. This antiproliferative effect was further corroborated by confocal laser scanning microscopy (CLSM). These results not only validate the potential of I. stachyodes as a source for antitumor agents but also provide a foundation for its further development. Full article
(This article belongs to the Section Biochemistry, Molecular and Cellular Biology)
Show Figures

Graphical abstract

18 pages, 1838 KB  
Review
Carob Tree: A Review of Traditional Uses, Medicinal Properties, and Future Perspectives in Sustainable Forestry
by Abdelkader Gadoum, Abdelkader Difallah, Ahmed Adda and Othmane Merah
Life 2026, 16(3), 448; https://doi.org/10.3390/life16030448 - 10 Mar 2026
Viewed by 447
Abstract
The carob tree (Ceratonia siliqua L.) is indigenous to the Mediterranean basin, noted for its adaptability to biotic and abiotic stresses and its long history of use in traditional agroforestry systems. This review critically analyzes the phytochemical composition of carob, its traditional [...] Read more.
The carob tree (Ceratonia siliqua L.) is indigenous to the Mediterranean basin, noted for its adaptability to biotic and abiotic stresses and its long history of use in traditional agroforestry systems. This review critically analyzes the phytochemical composition of carob, its traditional medicinal uses, and its contemporary applications in the cosmetic, pharmaceutical, and agri-food sectors. Particular attention is placed on the valorization of carob pods, seeds, and leaves, which are transformed into high-value products, including locust bean gum and polyphenol-rich extracts. Recent studies indicate that carob is a rich source of bioactive compounds, particularly phenolic acids and flavonoids such as gallic acid, chlorogenic acid, ellagic acid, catechins, quercetin, and luteolin. These compounds have primarily been investigated in vitro and in vivo, where they exhibited antioxidant, antimicrobial, and potential cardioprotective and gastrointestinal-related effects. This chemical diversity underscores their potential as a prime substitute for future nutraceutical and pharmaceutical applications. The review further addresses the ecological and socio-economic relevance of carob cultivation, particularly in countries such as Algeria, where reforestation and agro-industrial valorization remain underexploited despite their significant economic potential. Overall, this work highlights the need for a comprehensive and critical evaluation of carob-derived bioactive compounds and encourages further well-designed studies, especially clinical investigations, to better substantiate their health-related benefits while supporting sustainable use of this multipurpose species. Full article
(This article belongs to the Section Plant Science)
Show Figures

Figure 1

19 pages, 3479 KB  
Article
Flavonoids as a Potential Antifungal Alternative Against Candida auris (Candidozyma auris) from Clades III and IV
by Jonathan García-Hernández, Omar Gómez-García, Lourdes Villa-Tanaca and Dulce Andrade-Pavón
J. Fungi 2026, 12(3), 179; https://doi.org/10.3390/jof12030179 - 2 Mar 2026
Viewed by 549
Abstract
Candida auris is a critical emerging pathogen of high priority due to its ability to develop multidrug resistance to various antifungals. Given the increase in cases associated with C. auris, it is essential to evaluate new candidates with antifungal potential. In this [...] Read more.
Candida auris is a critical emerging pathogen of high priority due to its ability to develop multidrug resistance to various antifungals. Given the increase in cases associated with C. auris, it is essential to evaluate new candidates with antifungal potential. In this context, flavonoids represent a promising source for the development of new therapeutic alternatives. In this study eleven flavonoids were evaluated for their antifungal activity against C. auris strains from clades III and IV. The flavonoids showed dose-dependent inhibition of C. auris growth. Toxicity tests were conducted using the in vivo Tenebrio molitor model. The flavonoids exhibited toxicity levels either comparable to or lower than reference antifungals. Also, the study examined the ability of the flavonoids to inhibit efflux pumps. Some of the flavonoids (quercetin, fisetin, hesperetin, luteolin and apigenin) reduced efflux pump activity, which is an important feature since these pumps actively expel antifungal drugs from the cell, reducing the drug’s effectiveness. This suggests that the flavonoids might inhibit efflux pump activity, potentially enhancing the efficacy of antifungal treatments. The study supports the potential of flavonoids as new therapeutic agents for C. auris. Since they target efflux pumps, which are a significant mechanism of resistance in C. auris, flavonoids could be used either alone or in combination with existing antifungals to improve treatment outcomes. Full article
Show Figures

Figure 1

22 pages, 836 KB  
Article
Topical Polyherbal Phytopreparation Reduces Gingival Inflammation: Evidence from a Randomized Controlled Clinical Study Supported by In Silico Analysis
by Milica Petrović, Ljiljana Kesić, Jovana Veselinović, Jelena Popović, Nikola Živković, Bojana Miladinović, Miloš S. Jovanović, Branislava Stojković, Simona Stojanović and Dušanka Kitić
Pharmaceuticals 2026, 19(3), 398; https://doi.org/10.3390/ph19030398 - 28 Feb 2026
Viewed by 299
Abstract
Background: Numerous plant-derived products have shown notable potential in preclinical studies and traditional use for the management of periodontitis, although clinical studies validating their efficacy remain scarce. The present study investigated the efficacy of a polyherbal phytopreparation as an adjunctive therapy to [...] Read more.
Background: Numerous plant-derived products have shown notable potential in preclinical studies and traditional use for the management of periodontitis, although clinical studies validating their efficacy remain scarce. The present study investigated the efficacy of a polyherbal phytopreparation as an adjunctive therapy to scaling and root planing (SRP) in patients with periodontitis, and further examined its underlying mechanisms of action, pharmacokinetic behavior, and toxicological profile using in silico approaches. Methods: Eighty patients with moderate periodontitis (stage II, grade A) were randomly assigned to two groups: a control group (n = 40) treated with SRP alone, and an experimental group (n = 40) receiving SRP followed by topical phytotherapeutic treatment with the polyherbal Tinctura paradentoica®. Efficacy was evaluated using the gingival index, periodontal pocket depth, and cytomorphometric analysis of gingival cells before treatment and one month after. The in silico analysis, guided by HPLC profiling, included MolDock-based docking to assess interactions of bioactive compounds with cyclooxygenase isoforms COX-1 and COX-2 as anti-inflammatory targets, and evaluation of their pharmacokinetic and toxicity properties (ADME/Tox) using SwissADME, ProTox-3.0, and pkCSM. Results: Compared with SRP treatment, the experimental treatment significantly reduced the gingival index and periodontal pocket depth (p < 0.05), as well as the assessed cytomorphometric parameters (nuclear area, perimeter, and Feret’s diameter values) (p < 0.001). Rerank analysis revealed van der Waals-driven isoform selectivity: compact phenolic acids and aglycones favored COX-1, whereas bulky glycosides (e.g., rutin, narcissoside) were optimized for COX-2, with luteolin-7-O-glucoside showing near-balanced engagement. The ADME/Tox analysis indicated generally favorable pharmacokinetic and safety characteristics of phenolic compounds from the phytopreparation, including low systemic absorption and no predicted mutagenicity or skin sensitization potential. Conclusions: The topical application of the polyherbal phytopreparation demonstrated significant potential to enhance the efficacy of conventional SRP therapy by promoting the regression of gingival inflammation in patients with moderate periodontitis, further supported by in silico findings. Full article
Show Figures

Graphical abstract

21 pages, 11597 KB  
Article
Blumea balsamifera Alleviates Rheumatoid Arthritis by Suppressing Synovial Inflammation via the PI3K/AKT Signaling Pathway: From Chemical Profiling to Molecular Mechanism
by Tianyu Tang, Ke Zhong, Kailang Mu, Yuan Wang, Mengyue Wang, Shan Sha, Xuehua Wu, Zhiwei Wu, Jingli Li, Yanfei Li, Zhanchi Xu and Yuxin Pang
Pharmaceuticals 2026, 19(3), 359; https://doi.org/10.3390/ph19030359 - 25 Feb 2026
Viewed by 370
Abstract
Background/Objectives: Blumea balsamifera (L.) DC. (Miao Medicine: Diangd vob bvid), a medicinal plant with a long ethnopharmacological history in Southwest China, is widely used by the Miao, Li, and Zhuang ethnic groups to treat rheumatic diseases. While previous studies indicated that the [...] Read more.
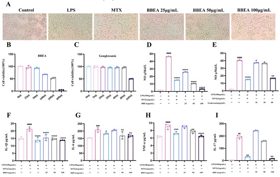
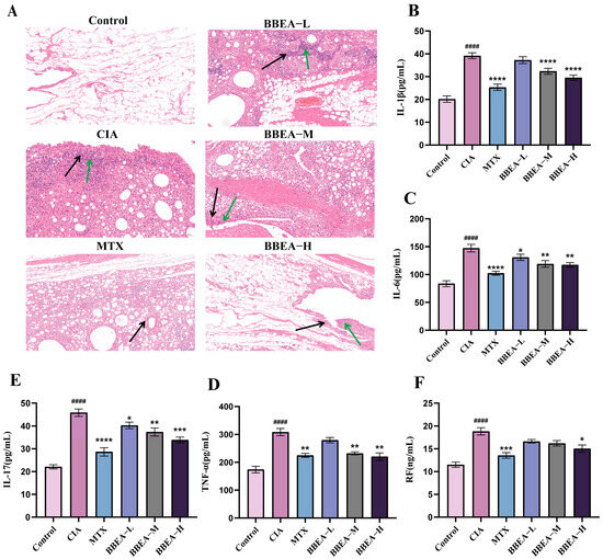
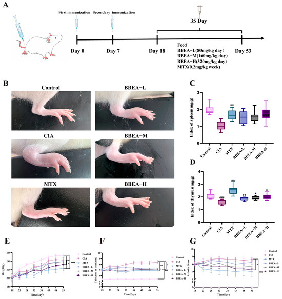
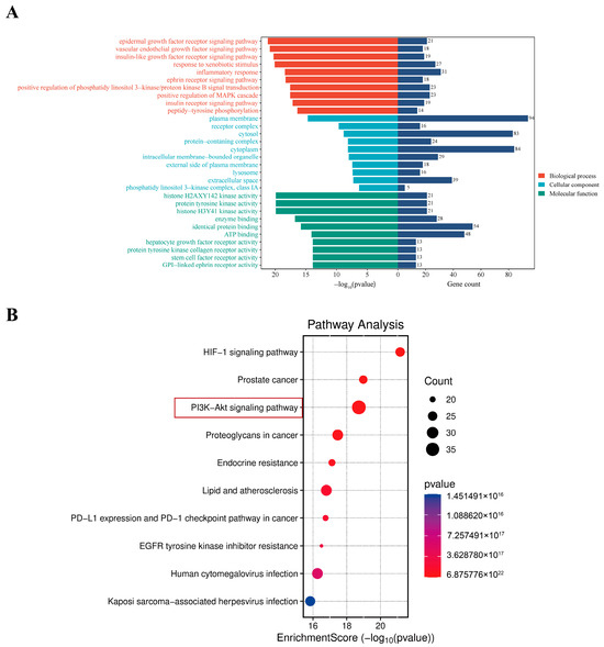
Background/Objectives: Blumea balsamifera (L.) DC. (Miao Medicine: Diangd vob bvid), a medicinal plant with a long ethnopharmacological history in Southwest China, is widely used by the Miao, Li, and Zhuang ethnic groups to treat rheumatic diseases. While previous studies indicated that the ethyl acetate fraction of B. balsamifera (BBEA) possesses potent anti-inflammatory properties, its specific bioactive material basis and the underlying molecular mechanisms against rheumatoid arthritis (RA) remain elusive. Methods: In this study, an integrated strategy combining chemical profiling, network pharmacology, and experimental validation was employed. First, UPLC-Q-Exactive-MS/MS analysis was conducted to characterize the chemical constituents of BBEA. Subsequently, network pharmacology and molecular docking were utilized to predict potential active compounds and core signaling pathways. Finally, the therapeutic effects and mechanisms were validated in vivo using a collagen-induced arthritis (CIA) rat model and in vitro using lipopolysaccharide (LPS)-induced RAW264.7 macrophages. Results: A total of 25 active constituents, including Genkwanin and Luteolin, were identified in BBEA via UPLC-Q-Exactive-MS/MS. Network pharmacology analysis predicted that the PI3K/AKT signaling pathway is critical for BBEA’s anti-RA activity, and molecular docking confirmed strong binding affinities between key components (e.g., Genkwanin) and core targets (SRC, AKT1). In vivo experiments demonstrated that BBEA significantly reduced the Arthritis Index (AI) and paw swelling, reversed weight loss, and ameliorated synovial hyperplasia in CIA rats (p < 0.05). Furthermore, BBEA markedly downregulated the levels of pro-inflammatory cytokines (TNF-α, IL-1β, IL-6, and IL-17) both in serum and synovial tissues. Mechanistically, Western blot analysis verified that BBEA inhibited the phosphorylation of PI3K and AKT in a dose-dependent manner. Conclusions: This study systematically reveals that BBEA alleviates RA symptoms and synovial inflammation primarily by inhibiting the PI3K/AKT signaling pathway. These findings provide a scientific basis for the traditional application of B. balsamifera and suggest BBEA as a promising candidate for RA therapy. Full article
(This article belongs to the Section Natural Products)
Show Figures

Graphical abstract

24 pages, 7789 KB  
Article
Luteolin-Loaded TGN/RAP12 Dual-Peptide Functionalized Nanoparticles: Synergistic Enhancement of BBB Penetration and Microglia Targeting in Alzheimer’s Disease
by Shumeng Liu, Yue Xing, Yue Na, Hao Wu, Chi Liu, Zhigang Wang, Ning Zhang, Xiuhong Wu and Fang Geng
Molecules 2026, 31(4), 671; https://doi.org/10.3390/molecules31040671 - 15 Feb 2026
Viewed by 504
Abstract
Luteolin (Ltn), a natural flavonoid, effectively inhibits microglial activation in Alzheimer’s disease (AD) with promising therapeutic potential, but its efficacy is severely limited by the blood–brain barrier (BBB). To overcome this obstacle, this study prepared poly (lactic-co-glycolic acid) (PLGA) nanoparticles (NPs)—designated as TGN/RAP12-RBC-NPs@Ltn—which [...] Read more.
Luteolin (Ltn), a natural flavonoid, effectively inhibits microglial activation in Alzheimer’s disease (AD) with promising therapeutic potential, but its efficacy is severely limited by the blood–brain barrier (BBB). To overcome this obstacle, this study prepared poly (lactic-co-glycolic acid) (PLGA) nanoparticles (NPs)—designated as TGN/RAP12-RBC-NPs@Ltn—which were coated with red blood cell membranes (RBCm) functionalized with two peptides, TGN (TGNYKALHPHN) and RAP12 (EAKIEKHNHYQK). The results demonstrated that TGN significantly enhanced BBB permeability, while RAP12 enabled effective targeting and delivery of TGN/RAP12-RBC-NPs@Ltn to microglial mitochondria in the brain. In addition, the presence of RBCm significantly inhibited the phagocytosis of NPs by macrophages, exerting a notable role in immune evasion. Meanwhile, the study confirmed that encapsulating Ltn within NPs significantly enhanced cognitive function in APP/PS1 mice, modulated the expression of key mitochondrial metabolic enzymes—pyruvate dehydrogenase (PDH) and its phosphorylated forms (pS232PDH, pS293PDH, pS300PDH)—in microglia, thereby ameliorating mitochondrial dysfunction and effectively regulating the neuroinflammatory environment in the mouse brain, and ultimately contributed to therapeutic efficacy. From this, it could be seen that TGN/RAP12-RBC-NPs@Ltn could significantly enhance the therapeutic effect of Ltn on AD, providing an effective treatment strategy for delaying the progression of AD. Full article
(This article belongs to the Section Natural Products Chemistry)
Show Figures

Graphical abstract

16 pages, 953 KB  
Article
Phytohemical Profiling, Bioactivity and Toxicity Evaluation of Elsholtzia cypriani, a Potential Multifunctional Natural Feed Additive
by Hongxia Zhang, Xinye Tian, Huiwei Zhou, Ziyi Chen, Mingxiang Li, Yongpeng Ma and Zhizhi Du
Molecules 2026, 31(4), 662; https://doi.org/10.3390/molecules31040662 - 14 Feb 2026
Viewed by 345
Abstract
The overuse of antibiotics in animal husbandry is a primary driver of antimicrobial resistance, creating a pressing need for safe and effective natural alternatives. This study systematically evaluated the potential of the edible aromatic plant Elsholtzia cypriani as a comprehensive alternative by investigating [...] Read more.
The overuse of antibiotics in animal husbandry is a primary driver of antimicrobial resistance, creating a pressing need for safe and effective natural alternatives. This study systematically evaluated the potential of the edible aromatic plant Elsholtzia cypriani as a comprehensive alternative by investigating its chemical composition, bioactivities, and preliminary safety. Methods included solvent extraction and systematic chromatographic fractionation from the plant aerial parts, complemented by a series of in vitro assays assessing anti-inflammatory, antioxidant, and antibacterial properties, along with an acute toxicity study. A total of thirty compounds were isolated and their structures were elucidated, including two new and twenty-eight known compounds reported for the first time in this species. Key isolates, such as ethyl caffeate and luteolin, demonstrated significant anti-inflammatory activity, antioxidant capacity, and antibacterial action against pathogens like Escherichia coli. Acute toxicity assessment revealed no adverse effects at the tested dosage. In conclusion, E. cypriani is rich in diverse bioactive compounds which exhibit direct antimicrobial, anti-inflammatory, and antioxidant activities in vitro, and shows a favorable preliminary safety profile. This work systematically establishes the chemical and pharmacological basis for this plant, highlighting its potential for further development and evaluation as a multifunctional natural feed additive. Full article
Show Figures

Graphical abstract

19 pages, 1265 KB  
Article
White Teff Flour Ethanolic Extract: Phytochemical Profile, Antioxidant and Anti-Inflammatory Activity
by Ioana Ferențiu, Tiberia Ioana Pop, Alina Elena Pârvu, Iulia Ioana Morar, Dinu Bolunduț, Marcel Pârvu, Florica Ranga, Ciprian Ovidiu Dalai, Mădălina Țicolea and Raluca Maria Pop
Molecules 2026, 31(4), 644; https://doi.org/10.3390/molecules31040644 - 13 Feb 2026
Viewed by 394
Abstract
Teff (Eragrostis tef) is a gluten-free cereal increasingly promoted as a functional food, yet the bioactive profile and mechanistic evidence of some varieties remain limited. This study characterized an ethanolic extract of white teff flour and evaluated its antioxidant and anti-inflammatory [...] Read more.
Teff (Eragrostis tef) is a gluten-free cereal increasingly promoted as a functional food, yet the bioactive profile and mechanistic evidence of some varieties remain limited. This study characterized an ethanolic extract of white teff flour and evaluated its antioxidant and anti-inflammatory potential in vitro and in a rat model of acute inflammation. White teff flour was extracted by cold repercolation (1 g/mL; 70% ethanol). Total polyphenols and flavonoids were quantified spectrophotometrically, and phenolics were profiled by HPLC-DAD-ESI-MS. Antioxidant activity was assessed using DPPH, FRAP, H2O2 scavenging, and NO scavenging assays. In vivo, acute inflammation was induced with intramuscular turpentine in Wistar rats, testing teff extract therapeutically (post-induction) and prophylactically (10-day pretreatment), with diclofenac and Trolox as comparators. Serum oxidative stress biomarkers (TOS, TAC, OSI, AOPP, MDA, NOx, 3-NT, thiols) and inflammatory mediators (NFκB-p65, IL-1β, IL-18, caspase-1, IL-10) were measured. The extract showed low total polyphenols (0.044 ± 0.002 mg GAE/g d.w.) and higher flavonoids (11.83 ± 1.10 mg QE/100 g d.w.). Eighteen phenolics were identified (total 398.30 ± 1.48 μg/mL), dominated by flavone derivatives (notably apigenin- and luteolin-glycosides), while phenolic acids accounted for ~33.21%. In vitro antioxidant capacity was robust (DPPH 286.17 ± 11.52 μg TE/g d.w.; FRAP 263.17 ± 20.09 μg TE/g d.w.; H2O2 214.12 ± 18.22 mg TE/g d.w.; NO 300.77 ± 28.71 mg QE/g d.w.). In vivo, turpentine provoked marked oxidative stress and inflammatory activation; teff, particularly at the highest concentration and in prophylaxis, reduced nitro-oxidative damage markers (AOPP, MDA, NOx, 3-NT) and lowered NFκB-p65, IL-1β, IL-18, and caspase-1, while IL-10 was not significantly altered. White teff flour ethanolic extract contains a flavone-rich phenolic profile and exerts measurable antioxidant and anti-inflammatory effects in an acute inflammation model, supporting its potential development as a nutraceutical candidate. Full article
(This article belongs to the Special Issue Chemical Constituents and Biological Activities of Natural Sources)
Show Figures

Graphical abstract

39 pages, 1654 KB  
Review
Gut–Brain Inflammation and Disrupted Homeostasis Due to Activation of Mast Cells and Microglia
by Pejman Katiraei, Richard E. Frye and Theoharis C. Theoharides
Int. J. Mol. Sci. 2026, 27(4), 1768; https://doi.org/10.3390/ijms27041768 - 12 Feb 2026
Viewed by 1652
Abstract
Recent data from the Centers for Disease Control (CDC) indicate that the incidence of Autism Spectrum Disorder (ASD), a neurodevelopmental disorder characterized by deficits in social communication and the presence of restricted interests and repetitive behaviors, has increased to 1 in 31 children. [...] Read more.
Recent data from the Centers for Disease Control (CDC) indicate that the incidence of Autism Spectrum Disorder (ASD), a neurodevelopmental disorder characterized by deficits in social communication and the presence of restricted interests and repetitive behaviors, has increased to 1 in 31 children. Individuals with ASD have a constellation of neurological, behavioral, sensory, feeding, gastrointestinal, and immunological issues. Even though there is some genetic component to the pathogenesis of ASD, accumulation of environmental and pathogenic toxins could contribute to disruption of the gut–blood-barrier (GBB) and blood–brain barrier (BBB) via activation of mast cells (MCs) and microglia, resulting in a chronic cycle of gut–brain inflammation. Here we discuss how various environmental, pathogenic, and stress factors can disrupt gut–brain homeostasis to create susceptibility and epigenetic effects that contribute to the development of ASD. We also suggest simple ways to address some of the key pathogenetic processes involved in ASD. Full article
(This article belongs to the Section Molecular Immunology)
Show Figures

Figure 1

Back to TopTop