Transdermal Drug Delivery in the Pig Skin
Abstract
1. Introduction
2. Materials and Methods
2.1. Substances
2.2. Animal Model and Experimental Procedure
2.3. Microporation
2.4. Electroporation-Iontophoresis
2.5. Intradermal Injection
2.6. High-Pressure Liquid Chromatography (HPLC)
2.7. Histological Assesment
2.8. Indirect Immunohistochemistry
2.9. Quantitative Analysis of the Skin
3. Results
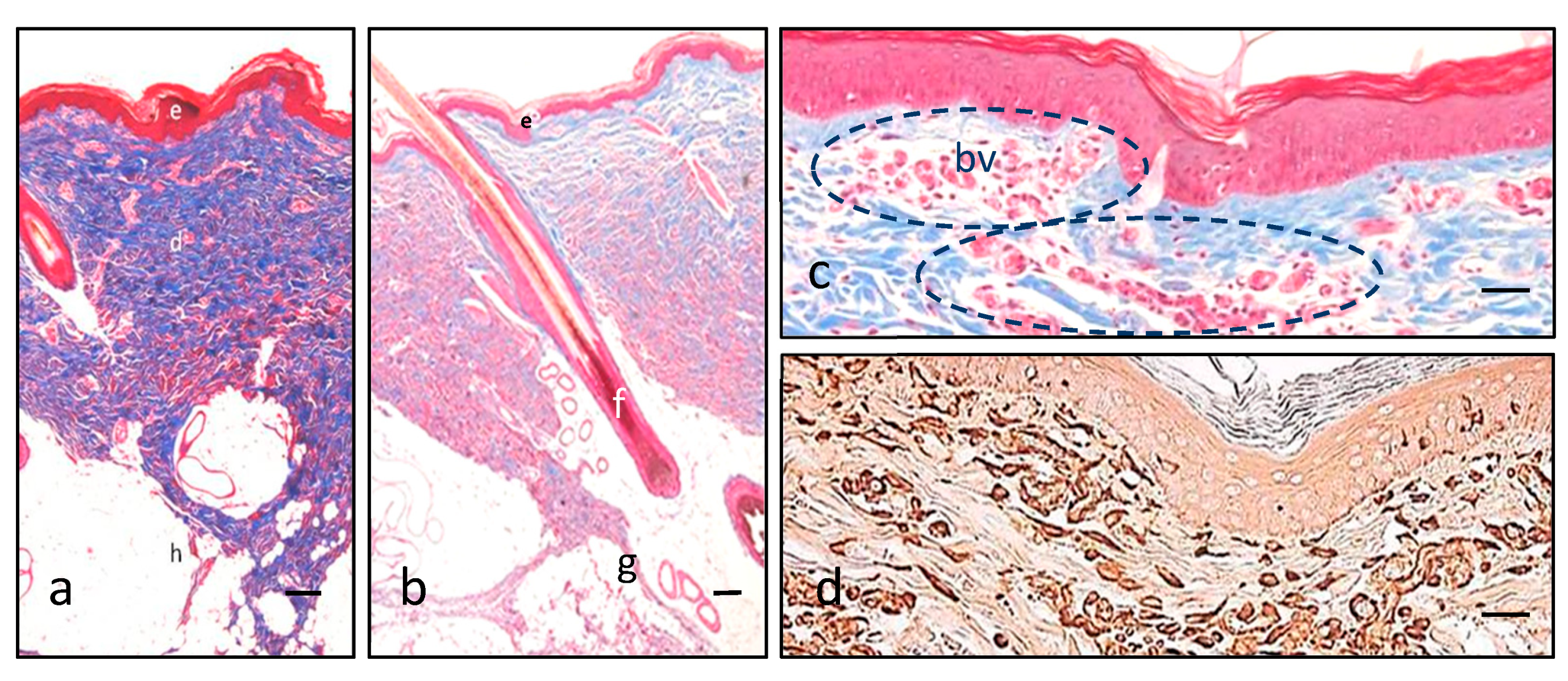
3.1. Histological Findings
3.2. Epidermal Dendritic Cells
3.3. Morphometrical Analysis
3.4. High-Pressure Liquid Chromatography (HPLC)
4. Discussion
5. Conclusions
Supplementary Materials
Author Contributions
Funding
Institutional Review Board Statement
Informed Consent Statement
Data Availability Statement
Acknowledgments
Conflicts of Interest
References
- Prausnitz, M.R.; Langer, R. Transdermal drug delivery. Nat. Biotechnol. 2008, 26, 1261–1268. [Google Scholar] [CrossRef]
- Naik, A.; Kalia, Y.N.; Guy, R.H. Transdermal drug delivery: Overcoming the skin’s barrier function. Pharm. Sci. Technol. Today 2000, 3, 318–326. [Google Scholar] [CrossRef]
- Gorzelanny, C.; Mess, C.; Schneider, S.W.; Huck, V.; Brandner, J.M. Skin barriers in dermal drug delivery: Which barriers have to be overcome and how can we measure them? Pharmaceutics 2020, 12, 684. [Google Scholar] [CrossRef] [PubMed]
- Prausnitz, M.R.; Mitragotri, S.; Langer, R. Current status and future potential of transdermal drug delivery. Nat. Rev. Drug Discov. 2004, 3, 115–124. [Google Scholar] [CrossRef] [PubMed]
- Weinstein, G.D. Autoradiographic studies on turnover time and protein synthesis in pig epidermis. J. Investig. Dermatol. 1965, 44, 413–419. [Google Scholar] [CrossRef] [PubMed][Green Version]
- Andrews, S.N.; Jeong, E.; Prausnitz, M.R. Transdermal delivery of molecules is limited by full epidermis, not just stratum corneum. Pharm. Res. 2013, 30, 1099–1109. [Google Scholar] [CrossRef]
- Boer, M.; Duchnik, E.; Maleszka, R.; Marchlewicz, M. Structural and biophysical characteristics of human skin in maintaining proper epidermal barrier function. Postepy Dermalol. Alergol. 2016, 33, 1–5. [Google Scholar] [CrossRef] [PubMed]
- Brandner, J.M.; Zorn-Kruppa, M.; Yoshida, T.; Moll, I.; Beck, L.A.; De Benedetto, A. Epidermal tight junctions in health and disease. Tissue Barriers 2015, 3, e974451. [Google Scholar] [CrossRef]
- Morita, K.; Miyachi, Y. Tight junctions in the skin. J. Dermatol. Sci. 2003, 31, 81–89. [Google Scholar] [CrossRef]
- Mortensen, J.H.; Karsdal, M.A. Chapter 7—Type VII Collagen in Biochemistry of Collagens, Laminins and Elastin; Academic Press: Cambridge, MA, USA, 2016; pp. 57–60. [Google Scholar]
- Goletz, S.; Zillikens, D.; Schmidt, E. Structural proteins of the dermal-epidermal junction targeted by autoantibodies in pemphigoid diseases. Exp. Dermatol. 2017, 26, 1154–1162. [Google Scholar] [CrossRef]
- Pasparakis, M.; Haase, I.; Nestle, F.O. Mechanisms regulating skin immunity and inflammation. Nat. Rev. Immunol. 2014, 14, 289–301. [Google Scholar] [CrossRef] [PubMed]
- Fisher, G.J.; Datta, S.C.; Talwar, H.S.; Wang, Z.Q.; Varani, J.; Kang, S.; Voorhees, J.J. Molecular basis of sun-induced premature skin ageing and retinoid antagonism. Nature 1996, 379, 335–339. [Google Scholar] [CrossRef] [PubMed]
- Takeshi, M.; Ebihara, T.; Maekawa, K.; Yamamoto, K.; Higo, N. Elimination of ketoprofen from the stratum corneum after topical administration with ketoprofen formulations in human subjects. Int. J. Pharm. 2014, 465, 197–201. [Google Scholar] [CrossRef] [PubMed]
- Neupane, R.; Boddu, S.H.S.; Abou-Dahech, M.S.; Bachu, R.D.; Terrero, D.; Babu, R.J.; Tiwari, A.K. Transdermal delivery of chemotherapeutics: Strategies, requirements, and opportunities. Pharmaceutics 2021, 13, 960. [Google Scholar] [CrossRef] [PubMed]
- Münch, S.; Wohlrab, J.; Neubert, R.H.H. Dermal and transdermal delivery of pharmaceutically relevant macromolecules. Eur. J. Pharm. Biopharm. 2017, 119, 235–242. [Google Scholar] [CrossRef]
- Tuan-Mahmood, T.M.; McCrudden, M.T.C.; Torrisi, B.M.; McAlister, E.; Garland, M.J.; Singh, T.R.R.; Donnelly, R.F. Microneedles for intradermal and transdermal drug delivery. Eur. J. Pharm. Sci. 2013, 50, 623–637. [Google Scholar] [CrossRef]
- Schoellhammer, C.M.; Blankschtein, D.; Langer, R. Skin permeabilization for transdermal drug delivery: Recent advances and future prospects. Expert Opin. Drug Deliv. 2014, 11, 393–407. [Google Scholar] [CrossRef]
- Mammucari, M.; Maggiori, E.; Russo, D.; Giorgio, C.; Ronconi, G.; Ferrara, P.E.; Canzona, F.; Antonaci, L.; Violo, B.; Vellucci, R.; et al. Mesotherapy: From historical notes to scientific evidence and future prospects. Sci. World J. 2020, 2020, 3542848. [Google Scholar] [CrossRef]
- Mammucari, M.; Paolucci, T.; Russo, D.; Maggiori, E.; Di Marzo, R.; Migliore, A.; Massafra, U.; Ronconi, G.; Ferrara, P.E.; Gori, F.; et al. A call to action by the italian mesothrapyn society on scientific research. Drug Des. Devel. Ther. 2021, 15, 3041–3147. [Google Scholar] [CrossRef]
- Wonglertnirant, N.; Todo, H.; Opanasopit, P.; Ngawhirunpat, T.; Sugibayashi, K. Macromolecular delivery into skin using a hollow microneedle. Biol. Pharm. Bull. 2010, 33, 1988–1993. [Google Scholar] [CrossRef] [PubMed]
- McVey, E.; Hirsch, L.; Sutter, D.E.; Kapitza, C.; Dellweg, S.; Clair, J.; Rebrin, K.; Judge, K.; Pettis, R.J. Pharmacokinetics and postprandial glycemic excursions following insulin lispro delivered by intradermal microneedle or subcutaneous infusion. J. Diabetes Sci. Technol. 2012, 6, 743–754. [Google Scholar] [CrossRef] [PubMed]
- Norman, J.J.; Brown, M.R.; Raviele, N.A.; Prausnitz, M.R.; Felner, E.I. Faster pharmacokinetics and increased patient acceptance of intradermal insulin delivery using a single hollow microneedle in children and adolescents with type 1 diabetes. Pediatr. Diabetes 2013, 14, 459–465. [Google Scholar] [CrossRef] [PubMed]
- Kulkarni, V.; Rosati, M.; Bear, J.; Pilkington, G.R.; Jalah, R.; Bergamaschi, C.; Singh, A.K.; Alicea, C.; Chowdhury, B.; Zhang, G.M.; et al. Comparison of intradermal and intramuscular delivery followed by in vivo electroporation of SIV Env DNA in macaques. Hum. Vaccin. Immunother. 2013, 9, 2081–2094. [Google Scholar] [CrossRef] [PubMed]
- Lee, A.C.; Zhang, A.J.; Li, C.; Chen, Y.; Liu, F.; Zhao, Y.; Chu, H.; Fong, C.H.; Wang, P.; Lau, S.Y.; et al. Intradermal vaccination of live attenuated influenza vaccine protects mice against homologous and heterologous influenza challenges. NPJ Vaccines 2021, 4, 95. [Google Scholar] [CrossRef]
- Tammisto, T.; Tammisto, C. Injection of morphine loco dolenti recommended as early as 1876. Acta Anaesthesiol. Scand. 2000, 44, 520–523. [Google Scholar] [CrossRef] [PubMed]
- Shipton, E. New delivery systems for local anaesthetic. Anesthesionl. Res. Pract. 2012, 2012, 289373. [Google Scholar] [CrossRef]
- Lee, N.; Kildea, S.; Stapleton, H. “No pain, no gain”: The experience of women using sterile water injections. Women Birth. 2017, 30, 153–158. [Google Scholar] [CrossRef] [PubMed]
- Almassinokiani, F.; Ahani, N.; Akbari, P.; Rahimzadeh, P.; Akbari, H.; Sharifzadeh, F. Comparative analgesic effects of intradermal and subdermal injection of sterile water on active labor pain. Anesth. Pain Med. 2020, 10, e99867. [Google Scholar] [CrossRef] [PubMed]
- Tekin, E.; Gur, A.; Bayraktar, M.; Ozlu, I.; Celik, B.K. The effectiveness of intradermal sterile water injection for low back pain in the emergency department: A prospective, randomized controlled study. Am. J. Emerg. Med. 2021, 42, 103–109. [Google Scholar] [CrossRef]
- Mokhtari, F.; Bahrami, B.; Faghihi, G.; Asilian, A.; Iraji, F. Fractional Erbium:YAG Laser (2940 nm) plus Topical Hydroquinone Compared to Intradermal Tranexamic Acid plus Topical Hydroquinone for the Treatment of Refractory Melasma: A Randomized Controlled Trial. J. Dermatol. Treat. 2021. [Google Scholar] [CrossRef]
- Dujardin, N.; Staes, E.; Kalia, Y.; Clarys, P.; Guy, R.; Préat, V. In vivo assessment of skin electroporation using square wave pulses. J. Control. Release 2002, 79, 219–227. [Google Scholar] [CrossRef]
- Zorec, B.; Becker, S.; Rebersek, M.; Miklavcic, D.; Pavselj, N. Skin electroporation for transdermal drug delivery: The influence of the order of different square wave electric pulses. Int. J. Pharm. 2013, 457, 214–223. [Google Scholar] [CrossRef] [PubMed]
- Becker, S.; Zorec, B.; Miklavcic, D.; Pavselj, N. Transdermal transport pathway creation: Electroporation pulse order. Math. Biosci. 2014, 257, 60–68. [Google Scholar] [CrossRef] [PubMed]
- Wani, T.U.; Mohi-Ud-Din, R.; Majeed, A.; Kawoosa, S.; Potoo, F.H. Skin permeation of nanoparticles: Mechanisms involved and critical factors governing topical drug delivery. Curr. Pharm. Des. 2020, 26, 4601–4614. [Google Scholar] [CrossRef]
- Fusco, R.; Di Bernardo, E.; D’Alessio, V.; Salati, S.; Cadossi, M. Reduction of muscle contraction and pain in electroporation-based treatments: An overview. World J. Clin. Oncol. 2021, 12, 367–381. [Google Scholar] [CrossRef] [PubMed]
- Liu, Z.; Liang, X.; Liu, H.; Wang, Z.; Jiang, T.; Cheng, Y.; Wu, M.; Xiang, D.; Li, Z.; Wang, Z.L.; et al. High-througput and self-powered electroporation system for drug delivery assisted by microfoam electrode. ACS Nano 2020, 14, 15458–15467. [Google Scholar] [CrossRef] [PubMed]
- Malinovskaja-Gomez, K.; Espuelas, S.; Garrido, M.J.; Hirvonen, J.; Laaksonen, T. Comparison of liposomal drug formulations for transdermal iontophoretic drug delivery. Eur. J. Pharm. Sci. 2017, 106, 294–301. [Google Scholar] [CrossRef] [PubMed]
- Zhao, R.; Wang, C.; Lu, F.; Du, L.; Fang, Z.; Guo, X.; Liu, J.T.; Chen, C.J.; Zhao, Z. A flexible interdigital electrode used in skin penetration promotion and evaluation with electroporation and reverse iontophoresis synergistically. Sensors 2018, 18, 1431. [Google Scholar] [CrossRef]
- Bakshi, P.; Vora, D.; Hemmady, K.; Banga, A.K. Iontophoretic skin delivery systems: Success and failures. Int. J. Pharm. 2020, 586, 119584. [Google Scholar] [CrossRef] [PubMed]
- Marra, F.; Levy, J.L.; Santi, P.; Kalia, Y.N. In vitro evaluation of the effect of electrotreatment on skin permeability. J. Cosmet. Dermatol. 2008, 7, 105–111. [Google Scholar] [CrossRef]
- Dos Santos da Luz, J.C.; Antunes, F.; Clavijo-Salomon, M.A.; Signori, E.; Tessarollo, N.G.; Strauss, B.E. Clinical applications and immunological aspects of electroporation-based therapies. Vaccines 2021, 9, 727. [Google Scholar] [CrossRef]
- Wu, X.E.; Todo, H.; Sugibayashi, K. Effects of pretreatment of needle puncture and sandpaper abrasion on the in vitro skin permeation of fluorescein isothiocyanate (FITC)-dextran. Int. J. Pharm. 2006, 316, 102–108. [Google Scholar] [CrossRef]
- Badran, M.M.; Kuntsche, J.; Fahr, A. Skin penetration enhancement by a microneedle device (Dermaroller) in vitro: Dependency on needle size and applied formulation. Eur. J. Pharm. Sci. 2009, 36, 511–523. [Google Scholar] [CrossRef]
- McCrudden, M.T.C.; Alkilani, A.Z.; McCrudden, C.M.; McAlister, E.; McCarthy, H.O.; Woolfson, A.D.; Donnelly, R.F. Design and physicochemical characterization of novel dissolving polymeric microneedle arrays for transdermal delivery of high dose, low molecular weight drugs. J. Control. Release 2014, 180, 71–80. [Google Scholar] [CrossRef] [PubMed]
- Ita, K. Transdermal delivery of drugs with microneedles-Potential and challenges. Pharmaceutics 2015, 7, 90–105. [Google Scholar] [CrossRef]
- Mizuno, Y.; Takasawa, K.; Hanada, T.; Nakamura, K.; Yamada, K.; Tsubaki, H.; Hara, M.; Tashiro, Y.; Matsuo, M.; Ito, T.; et al. Fabrication of novel-shaped microneedles to overcome the disadvantages of solid microneedles for the transdermal delivery of insulin. Biomed. Microdevices 2021, 23, 38. [Google Scholar] [CrossRef]
- Ono, A.; Azukizawa, H.; Ito, S.; Nakamura, Y.; Asada, H.; Quan, Y.S.; Kamiyama, F.; Katayama, I.; Hirobe, S.; Okada, N. Development of novel double-decker microneedle patches for transcutaneous vaccine delivery. Int. J. Pharm. 2017, 532, 374–383. [Google Scholar] [CrossRef] [PubMed]
- Moreno, E.; Schwartz, J.; Calvo, A.; Blanco, L.; Larrea, E.; Irache, J.M.; Sanmartín, C.; Coulman, S.A.; Soto, M.; Birchall, J.C.; et al. Skin vaccination using microneedles coated with a plasmid DNA cocktail encoding nucleosomal histones of Leishmania spp. Int. J. Pharm. 2017, 533, 236–244. [Google Scholar] [CrossRef]
- Chen, F.; Yan, Q.; Yu, Y.; Wu, M.X. BCG vaccine powder-laden and dissolvable microneedle arrays for lesion-free vaccination. J. Control Release 2017, 255, 36–44. [Google Scholar] [CrossRef] [PubMed]
- Pastore, M.N.; Kalia, Y.N.; Horstmann, M.; Roberts, M.S. Transdermal patches: History, development and pharmacology. Br. J. Pharmacol. 2015, 172, 2179–2209. [Google Scholar] [CrossRef] [PubMed]
- Peña-Juárez, M.; Guadarrama-Escobar, O.R.; Escobar-Chávez, J.J. Transdermal delivery systems for biomolecules. J. Pharm. Innov. 2021, in press. [Google Scholar] [CrossRef] [PubMed]
- Sully, R.E.; Moore, C.J.; Garelick, H.; Loizidou, E.; Podoleanu, A.G.; Gubala, V. Nanomedicines and microneedles: A guide to their analysis and application. Anal. Methods 2021, 13, 3326–3347. [Google Scholar] [CrossRef] [PubMed]
- Bellefroid, C.; Lechanteur, A.; Evrard, B.; Mottet, D.; Debacq-Chainiaux, F.; Piel, G. In vitro skin penetration enhancement techniques: A combined approach of ethosomes and microneedles. Int. J. Pharm. 2019, 572, 118793. [Google Scholar] [CrossRef]
- Gadag, S.; Narayan, R.; Nayak, A.S.; Ardila, D.C.; Sant, S.; Nayak, Y.; Garg, S.; Nayak, U.Y. Development and preclinical evaluation of microneedle-assisted resveratrol loaded nanostructured lipid carriers for localized delivery to breast cancer therapy. Int. J. Pharm. 2021, 606, 120877. [Google Scholar] [CrossRef] [PubMed]
- Gujjar, M.; Banga, A.K. Iontophoretic and microneedle mediated transdermal delivery of glycopyrrolate. Pharmaceutics 2014, 6, 663–671. [Google Scholar] [CrossRef]
- Petchsangsai, M.; Rojanarata, T.; Opanasopit, P.; Ngawhirunpat, T. The combination of microneedles with electroporation and sonophoresis to enhance hydrophilic macromolecule skin penetration. Biol. Pham. Bull. 2014, 37, 1373–1382. [Google Scholar] [CrossRef]
- Chen, S.; Qin, M.; Han, Y.; Zhao, L.; Fu, Y.; Shang, Y.; Liu, Z.; Huang, H. Asessment of the efficacy of drug transdermal delivery by electro-phonophoresis in treating tuberculous lymphadenitis. Drug Deliv. 2016, 23, 1588–1593. [Google Scholar] [CrossRef]
- Turner, P.V.; Brabb, T.; Pekow, C.; Vasbinder, M.A. Adminstration of substances to laboratory animals: Routes of administration and factors to consider. J. Am. Assoc. Lab. Anim. Sci. 2011, 50, 600–613. [Google Scholar] [PubMed]
- Turner, P.V.; Pekow, C.; Vasbinder, M.A.; Brabb, T. Administration of substances to laboratory animals: Equipment considerations, vehicle selection, and solute preparation. J. Am. Assoc. Lab. Anim. Sci. 2011, 50, 614–627. [Google Scholar] [PubMed]
- Morton, D.B.; Jennings, M.; Buckwell, A.; Ewbank, R.; Godfrey, C.; Holgate, B.; Inglis, I.; James, R.; Page, C.; Verschoyle, R.; et al. Refining proceures for the administration of substances. Report of the BVAAWF/FRAME/RSPCA/UFAW Joint Working Group on refinement. Lab. Anim. 2001, 35, 1–41. [Google Scholar] [CrossRef] [PubMed]
- Chos, D. Injections en mésothérapie: Profondeur, quantité et pli cutané. Les Bull. Société Fr. Mésotherapie 1993, 85, 11–14. [Google Scholar]
- Hildebrand, T.; Rüegsegger, P. A new method for the model-independent assessment of thickness in three-dimensional images. J. Microsc. 1997, 185, 67–75. [Google Scholar] [CrossRef]
- Saito, T.; Toriwaji, J.I. New algorithms for euclidean distance transformation of an n-dimensional digitized picture with applications. Pattern Recognit. 1994, 27, 1551–1565. [Google Scholar] [CrossRef]
- DeBeer, S.; Le Luduec, J.B.; Kaiserlian, D.; Paurent, P.; Nicolas, J.F.; Dubois, B.; Kanitakis, J. Comparative histology and immunohistochemistry of porcine versus human skin. Eur. J. Dermatol. 2013, 23, 456–466. [Google Scholar] [CrossRef] [PubMed]
- Bartek, M.J.; LaBudde, J.A.; Maibach, H.I. Skin permeability in vivo: Comparison in rat, rabbit, pig and man. J. Investig. Dermatol. 1972, 58, 114–123. [Google Scholar] [CrossRef]
- Godin, B.; Touitou, E. Transdermal skin delivery: Predictions for humans from in vivo, ex vivo and animal models. Adv. Drug Deliv. Rev. 2007, 59, 1152–1161. [Google Scholar] [CrossRef]
- Jung, E.C.; Maibach, H.I. Animal models for percutaneous absorption. J. Appl. Toxicol. 2015, 35, 1–10. [Google Scholar] [CrossRef] [PubMed]
- Summerfield, A.; Meurens, F.; Rickling, M.E. The immunology of the porcine skin and its value as a model for human skin. Mol. Immunol. 2015, 66, 14–21. [Google Scholar] [CrossRef] [PubMed]
- Sullivan, T.P.; Eaglstein, W.H.; Davis, S.C.; Mertz, P. The pig as a model for human wound healing. Wound Repair Regen. 2001, 9, 66–76. [Google Scholar] [CrossRef] [PubMed]
- Conti, A.; Schiavi, M.E.; Seidenari, S. Capacitance, transepidermal water loss and causal level of sebum in healthy subjects in relation to site, sex and age. Int. J. Cosmet. Sci. 1995, 17, 77–85. [Google Scholar] [CrossRef] [PubMed]
- Kanitakis, J. Anatomy, histology and immunohistochemistry of normal human skin. Eur. J. Dermatol. 2002, 12, 390–399. [Google Scholar]
- Wesley, N.O.; Maibach, H.I. Racial (ethnic) differences in skin properties: The objective data. Am. J. Clin. Dermatol. 2003, 4, 843–860. [Google Scholar] [CrossRef]
- Mills, S.E. (Ed.) Histology for Pathologists, 3rd ed.; Lippincott Williams & Wilkins: Philadelphia, PA, USA, 2007. [Google Scholar] [CrossRef]
- Firooz, A.; Sadr, B.; Babakoohi, S.; Sarraf-Yazdy, M.; Fanian, F.; Kazerouni-Timsar, A.; Nassiri-Kashani, M.; Naghizadeh, M.M.; Dowlati, Y. Variation of biophysical parameters of the skin with age, gender, and body region. Sci. World J. 2012, 2012, 386936. [Google Scholar] [CrossRef] [PubMed]
- Horie, M.; Sekiya, I.; Nakamura, T.; Tanaka, H.; Maekawa, K.; Nakanishi, M.; Muneta, T.; Kobayashi, E. In vivo pharmacokinetics of ketoprofen after patch application in the mexican hairless pig. Biopharm. Drug Dispos. 2009, 30, 204–208. [Google Scholar] [CrossRef] [PubMed]
- Aust, M.C.; Reimers, K.; Kaplan, H.M.; Stahl, F.; Repenning, C.; Scheper, T.; Jahn, S.; Schwaiger, N.; Ipaktchi, R.; Redeker, J.; et al. Percutaneous collagen idnduction-regeneration in place of cicatrisation? J. Plast. Reconstr. Aesthet. Surg. 2011, 64, 97–107. [Google Scholar] [CrossRef]
- Zeitter, S.; Sikora, Z.; Jahn, S.; Stahl, F.; Strauss, S.; Lazaridis, A.; Reimers, K.; Vogt, P.M.; Aust, M.C. Microneedling: Matching the results of medical needling and repetitive treatments to maximize potential for skin regeneration. Burns 2014, 40, 966–973. [Google Scholar] [CrossRef] [PubMed]
- Markelc, B.; Bellard, E.; Sersa, G.; Pelofy, S.; Teissie, J.; Coer, A.; Golzio, M.; Cemazar, M. In vivo molecular imaging and histological analysis of changes induced by electric pulses used for plasmid DNA electrotransfer to the skin: A study in a dorsal window chamer in mice. J. Membr. Biol. 2012, 245, 545–554. [Google Scholar] [CrossRef]
- Markelc, B.; Bellard, E.; Sersa, G.; Jesenko, T.; Pelofy, S.; Teissié, J.; Frangez, R.; Rols, M.P.; Cemazar, M.; Golzio, M. Increased permeability of blood vessels after reversible electroporation is facilitated by alterations in endothelial cell-to-cell junctions. J. Control. Release 2018, 276, 30–41. [Google Scholar] [CrossRef]
- Liebl, H.; Kloth, L.C. Skin cell proliferation stimulated by microneedles. J. Am. Coll. Clin. Wound Spec. 2012, 4, 2–6. [Google Scholar] [CrossRef]
- Zdunska, K.; Kolodziejczak, A.; Rotsztejn, H. Is skin microneedling a godd alternative method of various skin defects removal. Dermatol. Ther. 2018, 31, e12714. [Google Scholar] [CrossRef] [PubMed]
- Leaker, B.D.; Fuchs, C.; Tam, J. When wounds are good for you: The regenerative capacity of fractional resurfacing and potential utility in chronic wound prevention. Adv. Wound Care 2019, 8, 679–691. [Google Scholar] [CrossRef] [PubMed]
- Patel, V.I.; Metcalf, J.P. Identification and characterization of human dendritic cell subsets in the steady state: A review of our current knowledge. J. Investig. Med. 2016, 64, 833–847. [Google Scholar] [CrossRef] [PubMed]
- Edupuganti, S.; De Rosa, S.C.; Elizaga, M.; Lu, Y.; Han, X.; Huang, Y.; Swann, E.; Polakowski, L.; Kalams, S.A.; Keefer, M.; et al. Intramuscular and intradermal electroporation of HIV-1 PENNVAX-GP DNA vaccine and IL12 is safe, tolerable, acceptable in healthy adults. Vaccines 2020, 8, 741. [Google Scholar] [CrossRef]
- Zhao, Y.L.; Murthy, S.N.; Manjili, M.H.; Guan, L.J.; Sen, A.; Hui, S.W. Induction of cytotoxic T-lymphocytes by electroporation-enhanced needle-free skin immunization. Vaccine 2006, 24, 1282–1290. [Google Scholar] [CrossRef] [PubMed]
- Smith, T.R.F.; Schultheis, K.; Biosses, W.B.; Amante, D.H.; Mendoza, J.M.; Stone, J.C.; McCoy, J.R.; Sardesai, N.Y.; Broderick, K.E. DNA vaccination strategy targets epidermal dendritic cells, initiating their migration and induction of a host immune response. Mol. Ther. Methods Clin. Dev. 2014, 1, 14054. [Google Scholar] [CrossRef]
- Heyneman, C.A.; Lawless-Liday, C.; Wall, G.C. Oral versus topical NSAIDs in rheumatic diseases: A comparison. Drugs 2000, 60, 555–574. [Google Scholar] [CrossRef] [PubMed]
- Adachi, H.; Ioppolo, F.; Paolini, M.; Santilli, V. Physical characteristics, pharmacological properties and clinical efficacy of the ketoprofen patch: A new patch formulation. Eur. Rev. Med. Pharmacol. Sci. 2011, 15, 823–830. [Google Scholar]
- Milewski, M.; Manser, K.; Nissley, B.P.; Mitra, A. Analysis of the aborption kinetics of macromolecules following intradermal and subcutaneous administration. Eur. J. Pharm. Biopharm. 2015, 89, 134–144. [Google Scholar] [CrossRef] [PubMed]
- Harvey, A.J.; Kaestner, S.A.; Sutter, D.E.; Harvey, N.G.; Mikszta, J.A.; Pettis, R.J. Microneedle-based intradermal delivery enables rapid lymphatic uptake and distribution of protein drugs. Pharm. Res. 2011, 28, 107–116. [Google Scholar] [CrossRef] [PubMed]
- Vicente Ortega, V.; Fructuoso Martínez, A.; Yáñez Gascón, J.; Alvarez Sánchez, N.; Alcaraz Baños, M.; Calderón Rubiales, F. Transdermal transport of India ink by electromagnetic eletroporation in Guinea pigs: An ultrastructural study. Ultrastruct. Pathol. 2006, 30, 65–74. [Google Scholar] [CrossRef] [PubMed]
- Liu, S.; Jin, M.N.; Quan, Y.S.; Kamiyama, F.; Kusamori, K.; Katsumi, H.; Sakane, T.; Yamamoto, A. Transdermal delivery of relatively high molecular weight drugs using novel self-dissolving microneedle arrays fabricated from hyaluronic acid and their characteristics and safety after application to the skin. Eur. J. Pharm. Biopharm. 2014, 86, 267–276. [Google Scholar] [CrossRef] [PubMed]
- Binaglia, L.; Marconi, P.; Pitzurra, M. Diffusione della procaina inoculata per via intradermica. G. Mesoterapia 1981, 1, 15–28. [Google Scholar]
- Binaglia, L.; Marconi, P.; Pitzurra, M. Assorbimento del Na-ketoprofene somministrato per via intradermica. G. Mesoterapia 1981, 1, 85–91. [Google Scholar]
- Conforti, G.; Capone, L.; Corra, S. Intradermal delivery (mesotherapy) for the treatment of acute pain in carpal tunnel syndrome: A preliminary study. Korean J. Pain. 2014, 27, 49–53. [Google Scholar] [CrossRef] [PubMed]
- Vucen, S.R.; Vuleta, G.; Crean, A.M.; Moore, A.C.; Ignjatovic, N.; Uskokovic, D. Improved percutaneous delivery of ketoprofen using combined application of nanocarriers and silicon microneedles. J. Pharm. Pharmacol. 2013, 65, 1451–1462. [Google Scholar] [CrossRef] [PubMed]
- Okuno, M.; Takahashi, Y.; Isowa, K.; Machida, Y. Effect of iontophoresis and swithing iontophoresis on skin accumulation of ketoprofen. Biol. Pharm. Bull. 2008, 31, 487–492. [Google Scholar] [CrossRef] [PubMed][Green Version]
- Sañudo, A.; Vallejo, F.; Sierra, M.; Hoyos, J.G.; Yepes, S.; Wolff, J.C.; Correa, L.A.; Montealegre, C.; Navarro, P.; Bedoya, E.; et al. Nontuberculous mycobacteria infection after mesotherapy: Preliminary report of 15 cases. Int. J. Dermatol. 2007, 46, 649–653. [Google Scholar] [CrossRef]
- Orjuela, D.; Puerto, G.; Mejía, G.; Castro, C.; Garzón, M.C.; García, L.M.; Hernández, E.; Ribón, W.; Rodríguez, G. Cutaneous tuberculosis after mesotherapy: Report of six cases. Biomedica 2010, 30, 321–326. [Google Scholar] [CrossRef]
- Stahl, J.; Wohlert, M.; Kietzmann, M. Microneedle pretreatment enhances the percutaneous permeation of hydrophilic compounds with high melting points. BMC Pharmacol. Toxicol. 2012, 13, 5. [Google Scholar] [CrossRef]
- Bal, S.; Kruithof, A.C.; Liebl, H.; Tomerius, M.; Bouwstra, J.A.; Lademann, J.; Meinke, M. In vivo visualization of MN conduits in human skin using laser scanning microscopy. Laser Phys. Lett. 2010, 7, 242–246. [Google Scholar] [CrossRef]
- Kelchen, M.N.; Siefers, K.J.; Converse, C.C.; Farley, M.J.; Holdren, G.O.; Brogden, N.K. Micropore closure kinetics are delayed following microneedle insertion in elderly subjects. J. Control. Release 2016, 225, 294–300. [Google Scholar] [CrossRef] [PubMed]
- Kalluri, H.; Kolli, C.S.; Banga, A.K. Characterization of microchannels created by metal microneedles: Formation and closure. AAPS J. 2011, 13, 473–481. [Google Scholar] [CrossRef] [PubMed]
- Burton, S.A.; Ng, C.Y.; Simmers, R.; Moeckly, C.; Brandwein, D.; Gilbert, T.; Johnson, N.; Brown, K.; Alston, T.; Prochnow, G.; et al. Rapid intradermal delivery of liquid formulations using a hollow microstructurated array. Pharm. Res. 2011, 28, 31–40. [Google Scholar] [CrossRef] [PubMed]








| Active Ingredient | Methocel E4M | Kathon CG | Water P.CSP 100 | Sodium Benzoate | pH |
|---|---|---|---|---|---|
| Clorhydrate procaine 2% | 1.60% | 0.10% | 96.30% | 5.4 (5.1–5.8) | |
| Ketoprofen 5% | 1.60% | 0.10% | 93.30% | 6.6 (6.2–7.0) | |
| Biotin 0.5% | 1.60% | 0.10% | 97.80% | 6.7 (6.3–7.1) | |
| Anhydrous caffeine 3% | 1.60% | 0.10% | 92.30% | 3% | 7.4 (7.1–7.7) |
| Procaine | Ketoprofen | Biotin | Caffeine | |
|---|---|---|---|---|
| Active ingredient | 50 µL | 50 µL | 50 µL | 50 µL |
| Water | 950 µL | 950 µL | 425 µL | |
| 2.5 pH CH2O2 water | 950 µL | |||
| 33% Ammonia | 20 µL | 20 µL | ||
| Methanol | 425 µL | |||
| Dichloromethane | 300 µL | 300 µL | 300 µL | |
| Posterior dilution | 1:1 | 1:10 | 1:10 | 1:20 |
| Calibration parameters | 5–1000 ng/mL | 5–5000 ng/mL | 5–2000 ng/mL | 1–1000 ng/mL |
| Melanocyte Density | Langerhans Cell Density | |||||||
|---|---|---|---|---|---|---|---|---|
| MN | MN + EP | EP | ID | MN | MN + EP | EP | ID | |
| 3.3 (2.52–4.08) | 5.1 (4.56–5.64) | 4.2 (3.33–5.07) | 4 (3.23–4.77) | T60 | 1.2 (0.33–2.07) | 2.1 (1.16–0.94) | 1.3 (0.66–1.94) | 1.1 (0.4–1.8) |
| 4.3 (3.84–4.76) | 8.4 (7.48–9.32) | 11.3 (9.88–12.72) | 3.1 (2.4–3.8) | D7 | 2.2 (1.8–2.6) | 5.3 (4.11–6.49) | 6.8 (5.93–7.67) | 1.7 (0.92–2.48) |
| 4.6 (4.11–5.09) | 8.1 (6.48–9.72) | 9.4 (8.38–10.42) | 5.2 (4.6–5.8) | D14 | 1.4 (0.74–2.06) | 6.4 (5.29–7.51) | 4.1 (3.27–4.93) | 2.2 (1.45–2.95) |
| Variation in Melanocyte Density (T0–D7) | Variation in Langerhans Cell Density (T0–D7) | ||||||
|---|---|---|---|---|---|---|---|
| MN | MN + EP | EP | ID | MN | MN + EP | EP | ID |
| +30.30% | +64.71% | +169.05% | −22.5% | +83.33% | +152.38% | +423.08% | +54.54%% |
| Variation in Epidermal Thickness (T0–D14) | Variation in Dermal Thickness (T0–D14) | ||||
|---|---|---|---|---|---|
| Substance | MN | MN + EP | Substance | MN | MN + EP |
| Procaine | −14.72% | −5.96% | Procaine | −7.33% | −5.96% |
| Biotin | −20.87% | +18.77% | Biotin | +31.93% | +0.92% |
| Caffeine | −30.24% | +39.09% | Caffeine | +12.58% | +4.27% |
| Superficial Blood Vessel Density | Fibroblast Density | ||||||||
|---|---|---|---|---|---|---|---|---|---|
| MN | MN + EP | EP | ID | MN | MN + EP | EP | ID | ||
| 22.2 (1.42) | 25.3 (3.07) | 21.0 (1.48) | 21.6 (2.8) | Procaine | T60 | 17.3 (1.42) | 14.7 (2) | 17.1 (2.02) | 17.2 (2.18) |
| 21.1 (2.34) | 41.2 (4.69) | 22.4 (2.5) | 24.0 (1.95) | Procaine | D7 | 16.6 (1.43) | 16.1 (1.42) | 14.3 (1.9) | 16.2 (2.23) |
| 18.9 (2.21) | 24.3 (2.87) | 24.1 (1.45) | 23.2 (1.4) | Procaine | D14 | 17.3 (1.85) | 18.0 (1.9) | 14.9 (1.81) | 15.3 (1.55) |
| 22.1 (20.53–23.57) | 26.2 (23.9–28.5) | 19.3 (17.45–21.15) | 21.1 (19.52–22.68) | Ketoprofen | T60 | 15.5 (14.0–17.0) | 17.4 (15.6–19.2) | 13.7 (12.02–15.38) | 17.2 (14.38–20.02) |
| 19.6 (18.1–21.1) | 36.3 (32.81–39.79) | 18.3 (17.19–19.41) | 20.6 (19.98–22.22) | Ketoprofen | D7 | 18.4 (17.29–19.51) | 14.9 (13.2–16.6) | 16.8 (15.33–18.27) | 20.1 (17.63–22.57) |
| 18.4 (16.66–20.14) | 25.2 (23.16–27.24) | 4.1 (-3.61–11.81) | 2.2 (-1.48–5.88) | Ketoprofen | D14 | 14.6 (12.75–16.45) | 17.3 (15.06–19.54) | 18.2 (17.03–19.37) | 14.7 (12.6–16.8) |
| 20.3 (18.51–22.09) | 22.7 (20.91–24.49) | 22.8 (20.57–25.03) | 18.2 (16.95–19.45) | Biotin | T60 | 18.6 (17.04–20.16) | 16.5 (15.14–17.86) | 14.8 (13.2–16.4) | 16.2 (14.48–17.92) |
| 24.5 (23.14–25.86) | 41.2 (37.44–44.96) | 17.3 (15.87–18.73) | 22.9 (21.53–24.27) | Biotin | D7 | 14.3 (12.62–15.98) | 16.2 (14.2–18.2) | 18.1 (16.8–19.4) | 16.6 (14.91–18.29) |
| 18.4 (16.95–19.85) | 26.4 (23.98–28.82) | 24.1 (22.29–25.91) | 23.2 (21.42–24.98) | Biotin | D14 | 16.1 (14.31–17.89) | 16.2 (14.3–18.1) | 14.9 (13.45–16.35) | 15.2 (13.48–16.92) |
| 21.7 (3.32) | 24.6 (3.35) | 20.9 (1.81) | 17.9 (1.58) | Caffeine | T60 | 17.7 (1.95) | 20.1 (2.62) | 16.3 (1.94) | 15.8 (1.66) |
| 23.2 (2.3) | 39.8 (3.19) | 24.5 (3.04) | 23.2 (1.6) | Caffeine | D7 | 17.2 (1.66) | 15.4 (1.62) | 16.2 (1.47) | 15.9 (1.81) |
| 21.5 (3.23) | 26.1 (2.88) | 26.3 (1.6) | 27.1 (2.66) | Caffeine | D14 | 16.1 (1.73) | 18.3 (1.49) | 15.8 (1.14) | 18.4 (1.28) |
| Variation in Superficial Blood Vessel Density (T0–D7) | Variation in Fibroblast Density (T0–D7) | |||||||
|---|---|---|---|---|---|---|---|---|
| Substance | MN | MN + EP | EP | ID | MN | MN + EP | EP | ID |
| Procaine | −4.95% | +62.85% | +6.67% | +11.11% | −4.46% | +9.52% | −16.37% | −5.81% |
| Ketoprofen | −11.31 | +38.55% | −5.18% | −2.24% | +18.71% | −14.37% | +22.63% | +16.86% |
| Biotin | +20.69% | +81.50% | −22.30% | +25.82% | −23.18% | −1.81% | +22.23% | +2.47% |
| Caffeine | +6.91% | +61.79% | +17.22% | +29.61% | −2.82% | −23.38% | −0.61% | +0.63% |
Publisher’s Note: MDPI stays neutral with regard to jurisdictional claims in published maps and institutional affiliations. |
© 2021 by the authors. Licensee MDPI, Basel, Switzerland. This article is an open access article distributed under the terms and conditions of the Creative Commons Attribution (CC BY) license (https://creativecommons.org/licenses/by/4.0/).
Share and Cite
Ordiz, I.; Vega, J.A.; Martín-Sanz, R.; García-Suárez, O.; del Valle, M.E.; Feito, J. Transdermal Drug Delivery in the Pig Skin. Pharmaceutics 2021, 13, 2016. https://doi.org/10.3390/pharmaceutics13122016
Ordiz I, Vega JA, Martín-Sanz R, García-Suárez O, del Valle ME, Feito J. Transdermal Drug Delivery in the Pig Skin. Pharmaceutics. 2021; 13(12):2016. https://doi.org/10.3390/pharmaceutics13122016
Chicago/Turabian StyleOrdiz, Ignacio, José A. Vega, Raquel Martín-Sanz, Olivia García-Suárez, Miguel E. del Valle, and Jorge Feito. 2021. "Transdermal Drug Delivery in the Pig Skin" Pharmaceutics 13, no. 12: 2016. https://doi.org/10.3390/pharmaceutics13122016
APA StyleOrdiz, I., Vega, J. A., Martín-Sanz, R., García-Suárez, O., del Valle, M. E., & Feito, J. (2021). Transdermal Drug Delivery in the Pig Skin. Pharmaceutics, 13(12), 2016. https://doi.org/10.3390/pharmaceutics13122016

