The Agrobacterium tumefaciens Ti Plasmid Virulence Gene virE2 Reduces Sri Lankan Cassava Mosaic Virus Infection in Transgenic Nicotiana benthamiana Plants
Abstract
:1. Introduction
2. Materials and Methods
2.1. Plasmid Constructs
2.2. Viral Clones
2.3. Construction of Partial Dimers of SLCMV-[Attur2] DNA A and DNA B
2.4. N. benthamiana Transformation
2.5. Southern Blot Analysis
2.6. VirE2 Complementation Assay
2.7. Northern Blot Analysis
2.8. Agroinfection
2.9. Densitometry Analysis
3. Results
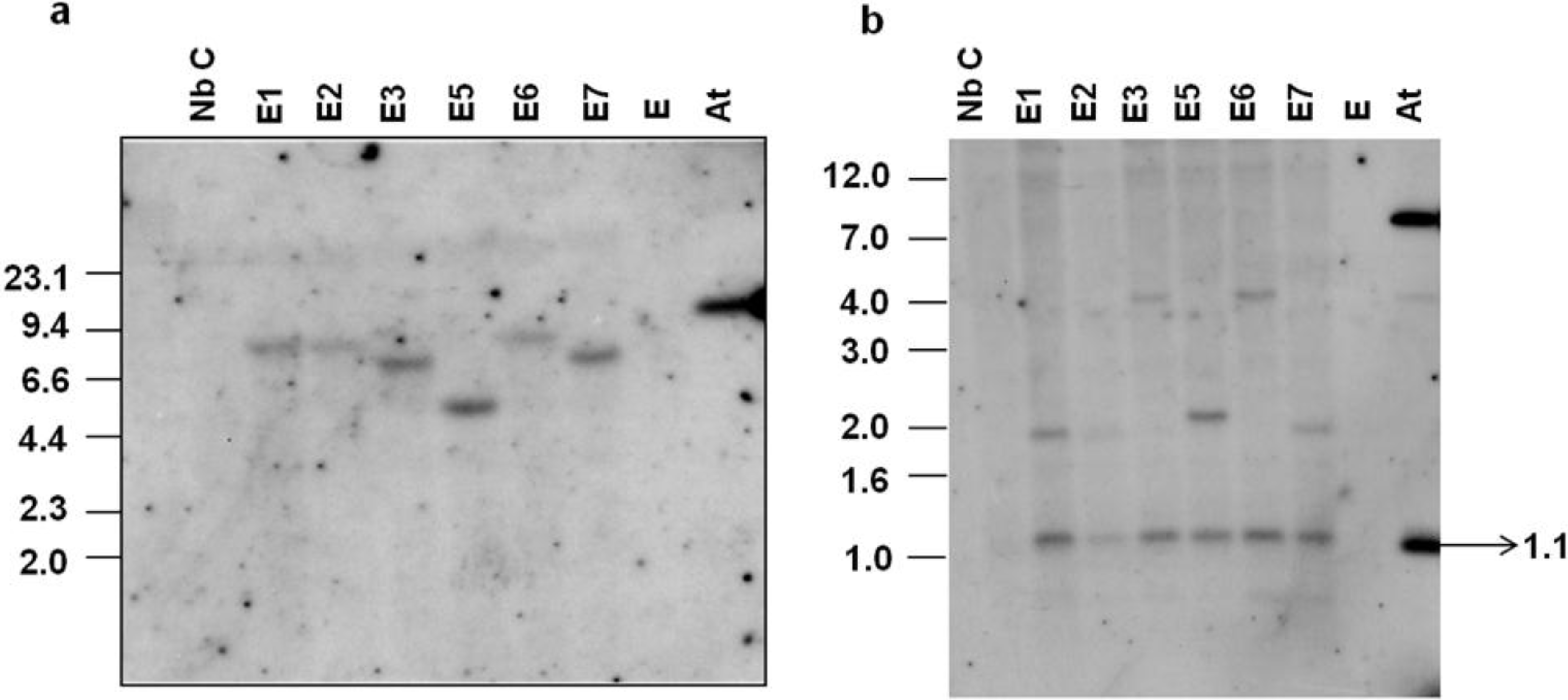
3.1. Characterization of N. benthamiana Plants Transformed with the A. tumefaciens virE2 Gene


3.2. Complementation of the A. tumefaciens virE2 Mutation by VirE2 Expressed in Transgenic N. benthamiana Plants


3.3. SLCMV-Infected N. benthamiana Plants Displayed a Reduction in Viral Disease Symptoms and Viral DNA Level


4. Discussion
Acknowledgments
Author Contributions
Conflicts of Interest
References
- Navas-Castillo, J.; Fiallo-Olive, E.; Sanchez-Campos, S. Emerging virus diseases transmitted by whiteflies. Annu. Rev. Phytopathol. 2011, 49, 219–248. [Google Scholar] [CrossRef] [PubMed]
- Saunders, K.; Lucy, A.; Stanley, J. DNA forms of the geminivirus African cassava mosaic virus consistent with a rolling circle mechanism of replication. Nucl. Acids Res. 1991, 19, 2325–2330. [Google Scholar] [CrossRef] [PubMed]
- Hanley-Bowdoin, L.; Bejarano, E.R.; Robertson, D.; Mansoor, S. Geminiviruses: Masters at redirecting and reprogramming plant processes. Nat. Rev. Microbiol. 2013, 11, 777–788. [Google Scholar] [CrossRef] [PubMed]
- Fauquet, C.M.; Stanley, J. Geminivirus classification and nomenclature: Progress and problems. Ann. Appl. Biol. 2003, 142, 165–189. [Google Scholar] [CrossRef]
- Legg, J.P.; Fauquet, C.M. Cassava mosaic geminiviruses in Africa. Plant Mol. Biol. 2004, 56, 585–599. [Google Scholar] [CrossRef] [PubMed]
- Hong, Y.G.; Robinson, D.J.; Harrison, B.D. Nucleotide sequence evidence for the occurrence of three distinct whitefly transmitted geminiviruses in cassava. J. Gen. Virol. 1993, 74, 2437–2443. [Google Scholar] [CrossRef] [PubMed]
- Saunders, K.; Salim, N.; Mali, V.R.; Malathi, V.G.; Briddon, R.; Markham, P.G.; Stanley, J. Characterisation of Sri Lankan cassava mosaic virus and Indian cassava mosaic virus: Evidence for acquisition of a DNA B component by a monopartite begomovirus. Virology 2002, 293, 63–74. [Google Scholar] [CrossRef] [PubMed]
- Shepherd, D.N.; Martin, D.P.; Thomson, J.A. Transgenic strategies for developing crops resistant to geminiviruses. Plant Sci. 2009, 176, 1–11. [Google Scholar] [CrossRef]
- Hong, Y.; Stanley, J. Virus resistance in N. benthamiana conferred by African cassava mosaic virus replication associated protein (AC1) transgene. Mol. Plant-Microbe Interact. 1996, 9, 219–225. [Google Scholar] [CrossRef]
- Brunetti, A.; Tavazza, R.; Noris, E.; Lucioli, A.; Accotto, G.P.; Tavazza, M. Transgenically expressed T-Rep of Tomato yellow leaf curl Sardinia virus acts as a trans-dominant negative mutant, inhibiting viral transcription and replication. J. Virol. 2001, 75, 10573–10581. [Google Scholar] [CrossRef] [PubMed]
- Shivaprasad, P.V.; Thillaichidambaram, P.; Balaji, V.; Veluthambi, K. Expression of full length and truncated Rep genes from Mungbean yellow mosaic virus-Vigna inhibits viral replication in transgenic tobacco. Virus Genes 2006, 33, 365–374. [Google Scholar] [CrossRef] [PubMed]
- Beachy, R.N.; Loesch-Fries, S.; Tumer, N.E. Coat protein mediated resistance against virus infection. Ann. Rev. Phytopathol. 1990, 28, 451–474. [Google Scholar] [CrossRef]
- Von Arnim, A.; Stanley, J. Inhibition of African cassava mosaic virus systemic infection by a movement protein from the related geminivirus Tomato golden mosaic virus. Virology 1992, 187, 555–564. [Google Scholar] [CrossRef] [PubMed]
- Duan, Y.P.; Powell, C.A.; Webb, S.E.; Purcifull, D.E.; Hiebert, E. Geminivirus resistance in transgenic tobacco expressing mutated BC1 protein. Mol. Plant-Microbe Interact. 1997, 10, 617–623. [Google Scholar] [CrossRef]
- Chellappan, P.; Masona, M.V.; Vanitharani, R.; Taylor, N.J.; Fauquet, C.M. Broad spectrum resistance to ssDNA viruses associated with transgene-induced gene silencing in cassava. Plant Mol. Biol. 2004, 54, 601–611. [Google Scholar] [CrossRef]
- Zhang, P.; Vanderschuren, H.; Futterer, J.; Gruissem, W. Resistance to cassava mosaic disease in transgenic cassava expressing antisense RNA targeting virus replication genes. Plant Biotechnol. J. 2005, 3, 385–397. [Google Scholar] [CrossRef] [PubMed]
- Praveen, S.; Mishra, A.K.; Dasgupta, A. Antisense suppression of replicase gene expression recovers tomato plants from leaf curl virus infection. Plant Sci. 2005, 168, 1011–1014. [Google Scholar] [CrossRef]
- Vanderschuren, H.; Alder, A.; Zhang, P.; Gruissem, W. Dose-dependent RNAi-mediated geminivirus resistance in the tropical root crop cassava. Plant Biotechnol. J. 2009, 70, 265–272. [Google Scholar]
- Pooggin, M.M.; Shivaprasad, P.V.; Veluthambi, K.; Hohn, T. RNAi targeting of DNA virus in plants. Nat. Biotechnol. 2003, 21, 131–132. [Google Scholar] [CrossRef] [PubMed]
- Padidam, M.; Beachy, R.N.; Fauquet, C.M. A phage single-stranded DNA (ssDNA) binding protein complements ssDNA accumulation of a geminivirus and interferes with viral movement. J. Virol. 1999, 73, 1609–1616. [Google Scholar] [PubMed]
- Sera, T. Inhibition of virus DNA replication by artificial zinc-finger proteins. J. Virol. 2005, 79, 2614–2619. [Google Scholar] [CrossRef] [PubMed]
- Sunitha, S.; Marian, D.; Hohn, B.; Veluthambi, K. Antibegomoviral activity of the agrobacterial virulence protein VirE2. Virus Genes 2011, 43, 445–453. [Google Scholar] [CrossRef] [PubMed]
- Hajdukiewicz, P.; Svab, Z.; Maliga, P. The small versatile pPZP family of Agrobacterium binary vectors for plant transformation. Plant Mol. Biol. 1994, 25, 989–994. [Google Scholar] [CrossRef] [PubMed]
- Ditta, G.; Stanfield, S.; Corbin, D.; Helinski, D.R. Broad host range DNA cloning system for Gram-negative bacteria: Construction of a gene bank of Rhizobium meliloti. Proc. Natl. Acad. Sci. USA 1980, 77, 7347–7351. [Google Scholar] [CrossRef] [PubMed]
- Horsch, R.B.; Fry, J.E.; Hoffmann, N.L.; Eichholtz, D.; Rogers, S.G.; Fraley, R.T. A simple and general method for transferring genes into plants. Science 1985, 227, 1229–1231. [Google Scholar] [CrossRef] [PubMed]
- Murashige, T.; Skoog, F. A revised medium for rapid growth and bioassays with tobacco tissue cultures. Physiol. Plant. 1962, 15, 473–497. [Google Scholar] [CrossRef]
- Rogers, S.O.; Bendich, A.J. Extraction of total cellular DNA from plants, algae and fungi. In Plant Molecular Biology Manual, 2nd ed.; Gelvin, S.B., Schilperoort, R.A., Eds.; Kluwer Academic Publishers: Dordrecht, The Netherlands, 1994; D1; pp. 1–8. [Google Scholar]
- Southern, E.M. Detection of specific sequences among DNA fragments separated by gel electrophoresis. J. Mol. Biol. 1975, 98, 503–517. [Google Scholar] [CrossRef] [PubMed]
- Balaji, V.; Vanitharani, R.; Karthikeyan, A.S.; Anbalagan, S.; Veluthambi, K. Infectivity analysis of two variable DNA B components of Mungbean yellow mosaic virus-Vigna in Vigna mungo and Vigna radiata. J. Biosci. 2004, 29, 297–308. [Google Scholar] [CrossRef] [PubMed]
- Stachel, S.E.; An, G.; Flores, C.; Nester, E.W. A Tn3 lacZ transposon for the random generation of β-galactosidase gene fusions: Application to the analysis of gene expression in Agrobacterium. EMBO J. 1985, 4, 891–898. [Google Scholar] [PubMed]
- Chilton, M.; Currier, T.C.; Farrand, S.K.; Bendich, A.J.; Gordon, M.P.; Nester, E.W. Agrobacterium tumefaciens DNA and PS8 bacteriophage DNA not detected in crown gall tumours. Proc. Natl. Acad. Sci. USA 1974, 71, 3672–3676. [Google Scholar] [CrossRef] [PubMed]
- Pawlowski, K.; Kunze, R.; DeVries, S.; Bisseling, T. Isolation of total, poly(A) and polysomal RNA from plant tissues. In Plant Molecular Biology Manual, 2nd ed.; Gelvin, S.B., Schilperoort, R.A., Eds.; Kluwer Academic Publishers: Dordrecht, The Netherlands, 1994; D5; pp. 1–13. [Google Scholar]
- Grimsley, N.; Hohn, B.; Hohn, T.; Walden, R. “Agroinfection”, an alternative route for viral infection of plants by using the Ti plasmid. Proc. Natl. Acad. Sci. USA 1986, 83, 3282–3286. [Google Scholar] [CrossRef] [PubMed]
- Mahajan, N.; Parameswari, C.; Veluthambi, K. Severe stunting in blackgram caused by the Mungbean yellow mosaic virus (MYMV) KA27 DNA B component is ameliorated by co-infection or post-infection with the KA22 DNA B: MYMV nuclear shuttle protein is the symptom determinant. Virus Res. 2011, 157, 25–34. [Google Scholar] [CrossRef] [PubMed]
- Citovsky, V.; Zupan, J.; Warnick, D.; Zambryski, P. Nuclear localization of Agrobacterium VirE2 protein in plant cells. Science 1992, 256, 1802–1805. [Google Scholar] [CrossRef] [PubMed]
- Gietl, C.; Koukolikova-Nicola, Z.; Hohn, B. Mobilization of T-DNA from Agrobacterium to plant cells involves a protein that binds single-stranded DNA. Proc. Natl. Acad. Sci. USA 1987, 84, 9006–9010. [Google Scholar] [CrossRef] [PubMed]
- Das, A. Agrobacterium tumefaciens virE operon encodes a single-stranded DNA binding protein. Proc. Natl. Acad. Sci. USA 1988, 85, 2909–2913. [Google Scholar] [CrossRef] [PubMed]
- Ward, D.V.; Zambryski, P.C. The six functions of Agrobacterium VirE2. Proc. Natl. Acad. Sci. USA 2001, 98, 385–386. [Google Scholar] [CrossRef] [PubMed]
- Sen, P.; Pazour, G.J.; Anderson, D.; Das, A. Cooperative binding of Agrobacterium tumefaciens VirE2 protein to single-stranded DNA. J. Bacteriol. 1989, 171, 2573–2580. [Google Scholar] [PubMed]
- Rossi, L.; Hohn, B.; Tinland, B. Integration of complete transferred DNA unit is dependent on the activity of virulence E2 protein of Agrobacterium tumefaciens. Proc. Natl. Acad. Sci. USA 1996, 93, 126–130. [Google Scholar] [CrossRef] [PubMed]
- Etessami, P.; Calli, R.; Ellwood, S.; Stanley, J. Delimitation of essential genes of cassava latent virus DNA 2. Nucl. Acids Res. 1988, 16, 4811–4829. [Google Scholar] [CrossRef] [PubMed]
- Sanderfoot, A.A.; Lazarowitz, S.G. Cooperation in viral movement: The geminivirus BL1 movement protein interacts with BR1 and redirects it from the nucleus to the cell periphery. Plant Cell 1995, 7, 1185–1194. [Google Scholar] [CrossRef] [PubMed]
- Pascal, E.; Sanderfoot, A.A.; Ward, B.M.; Medville, R.; Turgeon, R.; Lazarowitz, S.G. The geminivirus BR1 movement protein binds single-stranded DNA and localizes to the cell nucleus. Plant Cell 1994, 6, 995–1006. [Google Scholar] [CrossRef] [PubMed]
- Noueiry, A.O.; Lucas, W.J.; Gilbertson, R.L. Two proteins of a plant DNA virus coordinate nuclear and plasmodesmatal transport. Cell 1994, 76, 925–932. [Google Scholar] [CrossRef] [PubMed]
- Rojas, M.R.; Noueiry, A.O.; Lucas, W.J.; Gilbertson, R.L. Bean dwarf mosaic virus geminivirus movement proteins recognize DNA in a form- and size-specific manner. Cell 1998, 95, 105–113. [Google Scholar] [CrossRef] [PubMed]
- Hehnle, S.; Wege, C.; Jeske, H. Interaction of DNA with the movement proteins of geminivirus revisited. J. Virol. 2004, 78, 7698–7706. [Google Scholar] [CrossRef] [PubMed]
© 2015 by the authors; licensee MDPI, Basel, Switzerland. This article is an open access article distributed under the terms and conditions of the Creative Commons Attribution license (http://creativecommons.org/licenses/by/4.0/).
Share and Cite
Resmi, T.R.; Hohn, T.; Hohn, B.; Veluthambi, K. The Agrobacterium tumefaciens Ti Plasmid Virulence Gene virE2 Reduces Sri Lankan Cassava Mosaic Virus Infection in Transgenic Nicotiana benthamiana Plants. Viruses 2015, 7, 2641-2653. https://doi.org/10.3390/v7052641
Resmi TR, Hohn T, Hohn B, Veluthambi K. The Agrobacterium tumefaciens Ti Plasmid Virulence Gene virE2 Reduces Sri Lankan Cassava Mosaic Virus Infection in Transgenic Nicotiana benthamiana Plants. Viruses. 2015; 7(5):2641-2653. https://doi.org/10.3390/v7052641
Chicago/Turabian StyleResmi, Thulasi Raveendrannair, Thomas Hohn, Barbara Hohn, and Karuppannan Veluthambi. 2015. "The Agrobacterium tumefaciens Ti Plasmid Virulence Gene virE2 Reduces Sri Lankan Cassava Mosaic Virus Infection in Transgenic Nicotiana benthamiana Plants" Viruses 7, no. 5: 2641-2653. https://doi.org/10.3390/v7052641
APA StyleResmi, T. R., Hohn, T., Hohn, B., & Veluthambi, K. (2015). The Agrobacterium tumefaciens Ti Plasmid Virulence Gene virE2 Reduces Sri Lankan Cassava Mosaic Virus Infection in Transgenic Nicotiana benthamiana Plants. Viruses, 7(5), 2641-2653. https://doi.org/10.3390/v7052641
