Characterization of Endogenous Retroviral-like Particles Expressed from the Spodoptera frugiperda Sf9 Cell Line
Abstract
1. Introduction
2. Materials and Methods
3. Results
3.1. Characterization of Extracellular Sf-RT Activity
3.2. Characterization of Inducible, Endogenous RT from Sf9 Cells
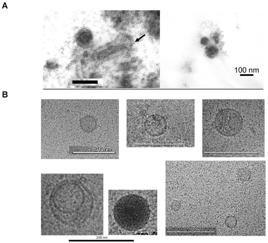
3.3. Infectivity Analysis of Sf-RT Particles
4. Discussion
Author Contributions
Funding
Institutional Review Board Statement
Informed Consent Statement
Data Availability Statement
Conflicts of Interest
References
- Paavonen, J.; Jenkins, D.; Bosch, F.X.; Naud, P.; Salmerón, J.; Wtheeler, C.M. Efficacy of a prophylactic adjuvanted bivalent L1 virus-like-particle vaccine against infection with human papillomavirus types 16 and 18 in young women: An interim analysis of a phase III double-blind, randomised controlled trial. Lancet 2007, 369, 2161–2170. [Google Scholar] [CrossRef] [PubMed]
- Cox, M.M.; Patriarca, P.A.; Treanor, J. FluBlok, a recombinant hemagglutinin influenza vaccine. Viruses 2008, 2, 211–219. [Google Scholar] [CrossRef] [PubMed]
- Dunkle, L.M.; Izikson, R.; Patriarca, P.A.; Goldenthal, K.L.; Muse, D.; Cox, M.M. Randomized comparison of immunogenicity and safety of quadrivalent recombinant versus inactivated influenza vaccine in healthy adults 18–49 Years of age. J. Infect. Dis. 2017, 216, 1219–1226. [Google Scholar] [CrossRef]
- Cheever, M.A.; Higano, C.S. PROVENGE (Sipuleucel-T) in prostate cancer: The first FDA-approved therapeutic cancer vaccine. Clin. Cancer Res. 2011, 17, 3520–3526. [Google Scholar] [CrossRef]
- McPherson, C.E. Development of a novel recombinant influenza vaccine in insect cells. Biologicals 2008, 36, 350–353. [Google Scholar] [CrossRef] [PubMed]
- Cox, M.M.; Hollister, J.R. FluBlok, a next generation influenza vaccine manufacture in the insect cells. Biologicals 2009, 37, 182–189. [Google Scholar] [CrossRef] [PubMed]
- Menzel, T.; Rohrmann, G.F. Diversity of errantivirus (retrovirus) sequences in two cell lines used for baculovirus expression, Spodoptera frugiperda and Trichoplusia ni. Virus Genes 2008, 36, 583–586. [Google Scholar] [CrossRef]
- Geisler, C. A new approach for detecting adventitious viruses shows Sf-rhabdovirus-negative Sf-RVN cells are suitable for safe biologicals production. BMC Biotechnol. 2018, 18, 8. [Google Scholar] [CrossRef]
- Terzian, C.; Pélisson, A.; Bucheton, A. Evolution and phylogeny of insect endogenous retroviruses. BMC Evol. Biol. 2001, 1, 3. [Google Scholar] [CrossRef]
- Rohrmann, G.F. Baculoviruses, retroviruses, DNA transposons (piggyBac), and insect cells. In Baculovirus Molecular Biology, 4th ed.; National Center for Biotechnology Information: Bethesda, MD, USA, 2019; Chapter 11. [Google Scholar]
- Yoth, M.; Maupetit-Méhouas, S.; Akkouche, A.; Gueguen, N.; Bertin, B.; Jensen, S.; Brasset, E. Reactivation of a somatic errantivirus and germline invasion in Drosophila ovaries. Nat. Commun. 2023, 14, 6096. [Google Scholar] [CrossRef]
- Fablet, M. Host control of insect endogenous retroviruses: Small RNA silencing and immune response. Viruses 2014, 6, 4447–4464. [Google Scholar] [CrossRef] [PubMed]
- Heine, C.W.; Kelly, D.C.; Avery, R.J. The detection of intracellular retrovirus-like entities in Drosophila melanogaster cell cultures. J. Gen. Virol. 1980, 49, 385–395. [Google Scholar] [CrossRef] [PubMed]
- Syomin, B.V.; Kandror, K.V.; Semakin, A.B.; Tsuprun, V.L.; Stepanov, A.S. Presence of the gypsy (MDG4) retrotransposon in extracellular virus-like particles. FEBS Lett. 1993, 323, 285–288. [Google Scholar] [CrossRef] [PubMed]
- Lerch, R.A.; Friesen, P.D. The baculovirus-integrated retrotransposon TED encodes gaga and pol proteins that assemble into virus like particles with reverse transcriptase. J. Virol. 1992, 66, 1590–1601. [Google Scholar] [CrossRef]
- Leblanc, P.; Desset, S.; Giorgi, F.; Taddei, A.R.; Fausto, A.M.; Mazzini, M.; Dastugue, B.; Vaury, C. Life cycle of an endogenous retrovirus, ZAM, in Drosophila melanogaster. J. Virol. 2000, 74, 10658–10669. [Google Scholar] [CrossRef]
- Khan, A.S.; Ma, W.; Ma, Y.; Kumar, A.; Williams, D.K.; Muller, J.; Ma, H.; Galvin, T.A. Proposed algorithm to investigate latent and occult viruses in vaccine cell substrates by chemical induction. Biologicals 2009, 37, 196–201. [Google Scholar] [CrossRef]
- Ma, W.; Galvin, T.A.; Ma, H.; Ma, Y.; Muller, J.; Khan, A.S. Optimization of chemical induction conditions for human herpesvirus 8 (HHV-8) reactivation with 12-O-tetradecanoyl-phorbol-13-acetate (TPA) from latently-infected BC-3 cells. Biologicals 2011, 39, 158–166. [Google Scholar] [CrossRef]
- Ma, H.; Ma, Y.; Ma, W.; Williams, D.K.; Galvin, T.A.; Khan, A.S. Chemical induction of endogenous retrovirus particles from the VERO cell line of African green monkeys. J. Virol. 2011, 85, 6579–6588. [Google Scholar] [CrossRef]
- Khan, A.S.; Maudru, T.; Thompson, A.; Muller, J.; Sears, J.F.; Peden, K.W. The reverse transcriptase activity in cell-free medium of chicken embryo fibroblast cultures is not associated with a replication-competent retrovirus. J. Clin. Virol. 1998, 11, 7–18. [Google Scholar] [CrossRef]
- Fuentes, S.M.; Bae, E.H.; Nandakumar, S.; Williams, D.K.; Khan, A.S. Genome analysis and replication studies of the African green monkey simian foamy virus serotype 3 strain FV2014. Viruses 2020, 12, 403. [Google Scholar] [CrossRef]
- Emeny, J.M.; Morgan, M.J. Regulation of the interferon system: Evidence that Vero cells have a genetic defect in interferon production. J. Gen. Virol. 1979, 43, 247–252. [Google Scholar] [CrossRef] [PubMed]
- Zhang, K.; Na, T.; Wang, L.; Gao, Q.; Yin, W.; Wang, J.; Yuan, B. Human diploid MRC-5 cells exhibit several critical properties of human umbilical cord-derived mesenchymal stem cells. Vaccine 2014, 32, 6820–6827. [Google Scholar] [CrossRef] [PubMed]
- Ma, H.; Galvin, T.A.; Glasner, D.R.; Shaheduzzaman, S.; Khan, A.S. Identification of a Novel Rhabdovirus in Spodoptera frugiperda Cell Lines. J. Virol. 2014, 88, 6576–6585. [Google Scholar] [CrossRef] [PubMed]
- Ma, H.; Nandakumar, S.; Bae, E.H.; Chin, P.J.; Khan, A.S. The Spodoptera frugiperda Sf9 cell line is a heterogeneous population of rhabdovirus-infected and virus-negative cells: Isolation and characterization of cell clones containing rhabdovirus X-gene variants and virus-negative cell clones. Virology 2019, 536, 125–133. [Google Scholar] [CrossRef] [PubMed]
- Sears, J.F.; Khan, A.S. Single-tube fluorescent product-enhanced reverse transcriptase assay with AmpliWax (STF-PERT) for retrovirus quantitation. J. Virol. Methods 2003, 108, 139–142. [Google Scholar] [CrossRef]
- Ma, Y.; Khan, A.S. Evaluation of different RT enzyme standards for quantitation of retroviruses using the single-tube fluorescent product-enhanced reverse transcriptase assay. J. Virol. Methods 2009, 157, 133–140. [Google Scholar] [CrossRef]
- Ma, H.; Bosma, T.J.; Khan, A.S. Long-read high-throughput sequencing (HTS) revealed that the Sf-rhabdovirus X+ genome contains a 3.7 kb internal duplication. Viruses 2023, 15, 1998. [Google Scholar] [CrossRef]
- Konig, H.; Behr, E.; Lower, J.; Kurth, R. Azidothymidine triphosphate is an inhibitor of both human immunodeficiency virus type 1 reverse transcriptase and DNA polymerase gamma. Antimicrob. Agents Chemother. 1989, 33, 2109–2114. [Google Scholar] [CrossRef]
- Mulder, J.; Resnick, R.; Saget, B.; Scheibel, S.; Herman, S.; Payne, H.; Harrigan, R.; Kwok, S. A rapid and simple method for extracting human immunodeficiency virus type 1 RNA from plasma: Enhanced sensitivity. J. Clin. Microbiol. 1997, 35, 1278–1280. [Google Scholar] [CrossRef]
- Zabeo, D.; Cvjetkovicb, A.; Lässerb, C.; Schorbc, M.; Lötvall, J.; Höög, J.L. Exosomes purified from a single cell type have diverse morphology. J. Extracell. Vesicles 2017, 6, 1329476. [Google Scholar] [CrossRef]
- Purification, composition, and morphology of virions. In Retroviruses; Coffin, J.M., Hughes, S.H., Varmus, H.E., Eds.; Cold Spring Harbor Laboratory Press: Cold Spring Harbor, NY, USA, 1997. [Google Scholar]
- U.S. Food and Drug Administration. Guidance for Industry: Characterization and Qualification of Cell Substrates and Other Biological Materials Used in the Production of Viral Vaccines for Infectious Disease Indications. 2010. Available online: http://www.fda.gov/downloads/biologicsbloodvaccines/guidancecomplianceregulatoryinformation/guidances/vaccines/ucm202439.pdf (accessed on 10 February 2010).
- Gombold, J.; Karakasidis, S.; Niksa, P.; Podczasy, J.; Neumann, K.; Richardson, J.; Sane, N.; Johnson-Leva, R.; Randolph, V.; Sadoff, J.; et al. Systematic evaluation of in vitro and in vivo adventitious virus assays for the detection of viral contamination of cell banks and biological products. Vaccine 2014, 32, 2916–2926. [Google Scholar] [CrossRef] [PubMed]
- International Council for Hamonisation of Technical Requirements for Pharmaceuticals for Human Use (ICH). Q5A(R2): Viral Safety Evaluation of Biotechnology Products Derived From Cell Lines of Human or Animal Origin. 2023. Available online: https://database.ich.org/sites/default/files/ICH_Q5A%28R2%29_Guideline_2023_1101.pdf (accessed on 24 December 2023).
- Weissmahr, R.N.; Schüpbach, J.; Böni, J. Reverse transcriptase activity in chicken embryo fibroblast culture supernatants is associated with particles containing endogenous avian retrovirus EAV-0 RNA. J. Virol. 1997, 71, 3005–3012. [Google Scholar] [CrossRef] [PubMed]
- Tsang, S.X.; Switzer, W.M.; Shanmugam, V.; Johnson, J.A.; Goldsmith, C.; Wright, A.; Fadly, A.; Donald Thea, D.; Jaffe, H.; Folks, T.M.; et al. Evidence of avian leukosis virus subgroup E and endogenous avian virus in measles and mumps vaccines derived from chicken cells: Investigation of transmission to vaccine recipients. J. Virol. 1999, 73, 5843–5851. [Google Scholar] [CrossRef]
- Shahabuddin, M.; Sears, J.F.; Khan, A.S. No evidence of infectious retroviruses in measles virus vaccines produced in chicken embryo cell cultures. J. Clin. Microbiol. 2001, 39, 675–684. [Google Scholar] [CrossRef] [PubMed][Green Version]
- Felberbaum, R.S. The baculovirus expression vector system: A commercial manufacturing platform for viral vaccines and gene therapy vectors. Biotechnol. J. 2015, 10, 702–714. [Google Scholar] [CrossRef]
- Kim, A.; Terzian, C.; Santamaria, P.; Pélisson, A.; Purd’homme, N.; Bucheton, A. Retroviruses in invertebrates: The gypsy retrotransposon is apparently an infectious retrovirus of Drosophila melanogaster. Proc. Natl. Acad. Sci. USA 1994, 91, 1285–1289. [Google Scholar] [CrossRef]
- Morozov, V.A.; Morozov, A.V. A comprehensive analysis of human endogenous retroviruses HERV-K (HML.2) from teratocarcinoma cell lines and detection of viral cargo in microvesicles. Int. J. Mol. Sci. 2021, 22, 12398. [Google Scholar] [CrossRef]
- Miyamoto, H.; Okamoto, H.; Sato, K.; Tanaka, T.; Mishiro, S. Extraordinarily low density of hepatitis C virus estimated by sucrose density gradient centrifugation and the polymerase chain reaction. J. Gen. Virol. 1992, 73, 715–718. [Google Scholar] [CrossRef]
- Hijikata, M.; Shimizu, Y.K.; Kato, H.; Iwamoto, A.; Shih, J.W.; Alter, H.J.; Purcell, R.H.; Yoshikura, H. Equilibrium centrifugation studies of hepatitis C virus: Evidence for circulating immune complexes. J. Virol. 1993, 67, 1953–1958. [Google Scholar] [CrossRef]
- Kanto, T.; Hayashi, N.; Takehara, T.; Hagiwara, H.; Mita, E.; Naito, M.; Kasahara, A.; Fusamoto, H.; Kamada, T. Buoyant density of hepatitis C virus recovered from infected hosts: Two different features in sucrose equilibrium density-gradient centrifugation related to the degree of liver inflammation. Hepatology 1994, 19, 296–302. [Google Scholar] [CrossRef]
- Nandakumar, S.; Ma, H.; Khan, A.S. Whole-genome sequence of the Spodoptera frugiperda Sf9 insect cell line. Genome Announc. 2017, 34, e00829-17. [Google Scholar] [CrossRef] [PubMed]
- Yu, Y.; Black, J.B.; Goldsmith, C.S.; Browning, P.J.; Bhalla, K.; Offermann, M.K. Induction of human herpesvirus-8 DNA replication and transcription by butyrate and TPA in BCBL-1 cells. J. Gen. Virol. 1999, 80, 83–90. [Google Scholar] [CrossRef] [PubMed]
- Khan, A.S.; Muller, J.; Sears, J.F. Early detection of endogenous retroviruses in chemically-induced mouse cells. Virus Res. 2001, 79, 39–45. [Google Scholar] [PubMed]
- Lesser, J.; Lasneret, J.; Canivet, M.; Emanoil-Ravier, R.; Périès, J. Simultaneous activation by 5-azacytidine of intracisternal R particles and murine intracisternal-A particle related sequences in Syrian hamster cells. Virology 1986, 155, 249–256. [Google Scholar]
- Lasneret, J.; Canivet, M.; Hojman-Montes de Oca, F.; Tobaly, J.; Emanoil-Ravicovitch, R.; Peries, J. Activation of intracistemal A particles by 5-azacytidine in mouse Ki-BALB cell line. Virology 1983, 128, 485–489. [Google Scholar]
- Song, S.U.; Gerasimova, T.; Kurkulos, M.; Boeke, J.D.; Corces, V.G. An env-like protein encoded by a Drosophila retroelement: Evidence that gypsy is an infectious retrovirus. Genes Dev. 1994, 8, 2046–2057. [Google Scholar]
- Syomin, B.V.; Fedorova, L.I.; Surkov, S.A.; Ilyin, Y.V. The endogenous Drosophila melanogaster retrovirus gypsy can propagate in Drosophila hydei cells. Mol. Gen. Genet. 2001, 264, 588–594. [Google Scholar]








Disclaimer/Publisher’s Note: The statements, opinions and data contained in all publications are solely those of the individual author(s) and contributor(s) and not of MDPI and/or the editor(s). MDPI and/or the editor(s) disclaim responsibility for any injury to people or property resulting from any ideas, methods, instructions or products referred to in the content. |
© 2025 by the authors. Licensee MDPI, Basel, Switzerland. This article is an open access article distributed under the terms and conditions of the Creative Commons Attribution (CC BY) license (https://creativecommons.org/licenses/by/4.0/).
Share and Cite
Ma, H.; Bae, E.H.; Chin, P.-J.; Khan, A.S. Characterization of Endogenous Retroviral-like Particles Expressed from the Spodoptera frugiperda Sf9 Cell Line. Viruses 2025, 17, 136. https://doi.org/10.3390/v17020136
Ma H, Bae EH, Chin P-J, Khan AS. Characterization of Endogenous Retroviral-like Particles Expressed from the Spodoptera frugiperda Sf9 Cell Line. Viruses. 2025; 17(2):136. https://doi.org/10.3390/v17020136
Chicago/Turabian StyleMa, Hailun, Eunhae H. Bae, Pei-Ju Chin, and Arifa S. Khan. 2025. "Characterization of Endogenous Retroviral-like Particles Expressed from the Spodoptera frugiperda Sf9 Cell Line" Viruses 17, no. 2: 136. https://doi.org/10.3390/v17020136
APA StyleMa, H., Bae, E. H., Chin, P.-J., & Khan, A. S. (2025). Characterization of Endogenous Retroviral-like Particles Expressed from the Spodoptera frugiperda Sf9 Cell Line. Viruses, 17(2), 136. https://doi.org/10.3390/v17020136
