Next Article in Journal
Simultaneous Occurrence of Field Epidemics of Rabbit Hemorrhagic Disease (RHD) in Poland Due to the Co-Presence of Lagovirus europaeus GI.1 (RHDV)/GI.1a (RHDVa) and GI.2 (RHDV2) Genotypes
Previous Article in Journal
Differential Effects of Selenium Compounds on Mitochondrial Function in PRRSV-Infected Porcine Alveolar Macrophages
Previous Article in Special Issue
HPV as a Molecular Hacker: Computational Exploration of HPV-Driven Changes in Host Regulatory Networks
 
 
Font Type:
Arial Georgia Verdana
Font Size:
Aa Aa Aa
Line Spacing:
Column Width:
Background:
Article

Human Papillomavirus Prevalence in the Prostate and Seminal Vesicles: Does This Virus Have an Etiological Role in the Development of Prostate Cancer?

1
Integrative Cancer Therapy and Urology, Division of Cancer Medicine, Graduate School of Medical Science, Kanazawa University, Kanazawa 920-0934, Japan
2
Department of Urology, Kanazawa Medical Center, Kanazawa 920-8650, Japan
*
Author to whom correspondence should be addressed.
Viruses 2025, 17(10), 1304; https://doi.org/10.3390/v17101304
Submission received: 8 August 2025 / Revised: 24 September 2025 / Accepted: 25 September 2025 / Published: 26 September 2025
(This article belongs to the Special Issue Human and Animal Papillomavirus: Infections, Genetics, and Vaccines)

Abstract

Human papillomavirus (HPV) is common in both sexes and is also detected in male urine and semen. However, its exact origin and its etiological role in the male genital tract remain unclear. A total of 157 formalin-fixed paraffin-embedded tissues from 156 primary prostate cancer lesions and one metastatic lesion were analyzed. HPV-DNA was detected using a nested PCR, and HPV genotyping was performed using flow-through hybridization for positive cases. In situ hybridization (ISH) was used to localize HPV-DNA, whereas HPV-E6/E7 mRNA ISH and p16INK4a immunohistochemistry were conducted on high-risk (HR) HPV-positive samples. A nested PCR analysis demonstrated that HPV-DNA was detected in 9.6% of prostate cancers and 0% of seminal vesicles. HR-HPV was observed in 4.5% of the samples. Unknown type was the most common genotype. Of the genotypes which could be identified in the genotyping assay, HPV44 was the most prevalent. HPV prevalence was significantly higher in patients with high-grade groups. Among 15 HPV-positive cases, HPV-DNA was found in 9 cancerous and 10 non-cancerous lesions. E6/E7 mRNA was expressed in 6 of 7 HR-HPV-positive cases, while p16INK4a expression was weak or absent in all cases. HPV can infect prostate tissue and may contribute to carcinogenesis in some cases, but p16INK4a was not a consistent surrogate for E7 expression.

1. Introduction

Human papillomavirus (HPV) infection is a common sexually transmitted infection. It is equally prevalent in men and women [1]. In men, the most frequent infection sites are the external genitalia, such as the glans penis, penile shaft, coronal sulcus, and inner foreskin; however, it also occurs in the urinary tract, urine, and semen [2,3,4,5]. Recently, we demonstrated that HPV prevalence in semen among Japanese infertile men was 12.5% [5]; however, it remains unclear whether the origins of HPV detected in seminal samples, are the urethra or genital tracts, such as the prostate and seminal vesicle.
Although HPV is a known causative agent of uterine cervical cancer, several studies indicate that HPV infection has a potential role in the development of other cancers, including skin, oropharyngeal, and penile cancers [6,7,8]. It has been associated with approximately 10% of all cancer cases [9]. Although the association between HPV infection and prostate cancer remains inconclusive, a meta-analysis involving 3122 cases reported an HPV detection rate of 25.8% in prostate cancer patients, 17.4% in those with benign prostatic hyperplasia (BPH), and 9.2% in healthy controls [10]. Thus, HPV is detectable in prostate tissue, and HPV prevalence is likely significantly higher in prostate cancer patients compared with BPH and controls. Nonetheless, the etiological role of HPV infection in the development of prostate cancer remains unclear.
In this study, we examined the HPV-DNA prevalence and genotypes in prostate cancer and seminal vesicle samples among 157 Japanese patients with prostate cancer. The relationship between HPV infection and the clinical characteristics of prostate cancer was assessed. Moreover, for HPV-positive samples, we performed HPV-DNA in situ hybridization (ISH) to observe the localization of HPV-DNA.
HPV is a nonenveloped icosahedral virus containing a double-stranded circular DNA genome. When a part of the HPV-DNA is integrated into the host genome, HPV-E6 and E7 proteins are expressed, which is determined to be central to the carcinogenic process. The E6 protein inhibits the tumor suppressor p53, thereby suppressing apoptosis. The E7 protein binds to and activates calpain, which cleaves retinoblastoma (Rb) protein and promotes its proteasomal degradation [11,12]. As an additional analysis, we performed HPV-E6/E7 mRNA ISH analysis in all high-risk (HR) HPV-positive samples to assess an etiological role in the development of prostate cancer, as transcription of E6 and E7 generally occurs together.
Under normal conditions, the cyclin-dependent kinase inhibitor p16INK4a activates Rb and halts cell proliferation. In HPV-associated tumors, Rb protein is inactivated through degradation by calpain. Calpain is activated by the E7 protein, which is expressed after HPV-DNA is integrated into the host genome. This results in a loss of negative feedback and overexpression of p16INK4a, which persists even during cell proliferation. Based on this mechanism, p16INK4a has been widely recognized as a surrogate marker for HPV-related malignancies [13]. We also evaluated p16INK4a expression in all HR-HPV-positive samples by immunohistochemistry (IHC) to determine whether it is a surrogate marker for E7 expression in prostate cancer with HR-HPV infection.

2. Materials and Methods

2.1. Subjects

Japanese prostate cancer patients who underwent robot-assisted radical prostatectomy or metastasectomy for prostate cancer at the Department of Urology, Kanazawa University Hospital, Kanazawa, Japan, between July 2017 and May 2019 were enrolled. The study was conducted following a protocol approved by the Ethics Committee of the Graduate School of Medical Sciences, Kanazawa University (Approval No. 2019-088). Information regarding the study was disclosed, and clinical data, such as patient background and tumor characteristics, were collected from the available medical records. Formalin-fixed paraffin-embedded (FFPE) prostate cancer samples were obtained for all cases; however, only one case had a metastatic lesion available, as the primary tumor could not be obtained. In addition, FFPE samples of the seminal vesicle were also collected. In total, 157 prostate cancer specimens (156 primary prostate cancer lesions and one metastatic lesion) and 156 seminal vesicle specimens were analyzed.

2.2. HPV-DNA Test and Genotyping

FFPE blocks prepared with the prostate cancer and seminal vesicle specimens were sectioned at a thickness of 5 μm. After deparaffinizing, DNA was extracted from each sample using the Pinpoint Slide DNA Isolation System (Zymo Research, Orange, CA, USA). The quality of the DNA was assessed by confirming the amplification of the β-globin gene by the polymerase chain reaction (PCR). HPV-DNA was detected using nested PCR targeting the L1 gene, with MY09/MY11 as the outer primers and GP5+/GP6+ as the inner primers [14]. For HPV-positive samples, HPV genotyping was performed using the 21-HPV GenoArray Diagnostic Kit (HybriBio, Hong Kong, China) [15], which uses the flow-through hybridization technique to identify a total of 21 HPV genotypes, including 15 high-risk HPV (HR-HPV) (16, 18, 31, 33, 35, 39, 45, 51, 52, 53, 56, 58, 59, 66, and 68) and 6 low-risk HPV (LR HPV) (6, 11, 42, 43, 44, and CP8304) types. Samples that tested positive by nested PCR, but yielded no detectable genotype using the GenoArray kit, were classified as having an unknown type.

2.3. HPV-DNA In Situ Hybridization

ISH analysis was used to confirm the localization of HPV-DNA in all of the HPV-positive samples. HPV-positive FFPE blocks were sectioned at 5-μm thickness, and hybridized with an HPV-DNA probe (Y1404; Dako, Carpinteria, CA, USA) based on the manufacturer’s protocol for the Dako GenPoint™ System [8]. This ISH analysis detects 13 HR-HPV genotypes (HPV types 16, 18, 31, 33, 35, 39, 45, 51, 52, 56, 58, 59, and 68). As a negative control, some of the HPV-negative samples were processed simultaneously. The staining distribution of the ISH signals was scored as negative (−; no staining), positive (+; visible only at high magnification), and strongly positive (2+; clearly visible at low magnification).

2.4. HPV-E6/E7 mRNA In Situ Hybridization

HPV-E6/E7 mRNA ISH analysis was conducted to assess an etiological role for the development of prostate cancer in all HR-HPV-positive samples. E6/E7 mRNA expression was investigated using RNAscope® technology (Advanced Cell Diagnostics, Newark, CA, USA). This procedure was conducted with a specific probe (Code: 312591; Advanced Cell Diagnostics), targeting 18 HR-HPV genotypes (HPV types 16, 18, 26, 31, 33, 35, 39, 45, 51, 52, 53, 56, 58, 59, 66, 68, 73, and 82). As a negative control, E6/E7 mRNA expression was investigated in some of the HPV-negative samples. The staining distribution of the ISH signals was evaluated as described above; negative (−; no staining), positive (+; visible only at high magnification), and strongly positive (2+; visible clearly at low magnification).

2.5. Immunohistochemistry of p16INK4a, a Surrogate Marker of the E7 Protein

HPV-positive FFPE blocks were sectioned at 5-μm thickness, and antigen retrieval was performed by incubating the samples in 20 mM Tris-HCl (pH 9.0) at 95 °C for 20 min, followed by cooling at room temperature for 20 min. The samples were incubated overnight with a mouse monoclonal p16INK4a antibody (ACR3231A; BIOCARE Medical, Pacheco, CA, USA) diluted 1:100. Next, the specimens were incubated with a peroxidase-labeled secondary antibody for 30 min. The expression of p16INK4a was observed following DAB staining (SK-4103; Vector LABORATORIES, Newark, CA, USA), and the slides were counterstained with hematoxylin. Some HPV-negative samples and HPV16-positive penile cancer samples [8] were available for IHC of p16INK4a as negative and positive controls, respectively. We assessed the IHC staining as follows: negative (−; no staining), positive (+; visible only at high magnification), and strongly positive (2+; clearly visible at low magnification).

2.6. Statistical Analysis

Patient background characteristics were compared using the Mann–Whitney U test or the Chi-squared test, as appropriate. Comparisons between the Grade Group (GG) and HPV-positive and -negative cases were performed using the Chi-squared test. All statistical analyses were performed using IBM SPSS Statistics version 29 (IBM Corp., Armonk, NY, USA), and a p-value of <0.05 was considered statistically significant.

3. Results

3.1. Patient Characteristics and HPV Prevalence

The median age and serum prostate-specific antigen (PSA) levels of the 157 patients with prostate cancer were 68 years (range, 48–76 years) and 7.05 ng/mL (range, 2.42–74.2 ng/mL), respectively (Table 1). Nineteen (12.1%) cases were histologically GG1, 118 (75.2%) were GG2–3, and 20 (12.7%) were GG4–5 cancer. Many of the patients (87.9%) had localized prostate cancer (<Tumor category 2). None of the patients had urethritis, syphilis, or human immunodeficiency virus infection at the time of specimen collection.
HPV-DNA was detected in 15 cases (9.6%) of prostate cancer and 0 (0%) of the seminal vesicle samples (Table 2). HR-HPV was prevalent in 7 prostate cancer cases (4.5%). An unknown type, which was not determined by the flow-through hybridization of 21 types, was the most common genotype (6 cases). Of the genotypes which could be identified in the genotyping assay, HPV44 was the most frequent, followed by HPV31, 52, and 58. HPV52 was detected in one metastatic lesion.
When patient backgrounds were stratified by HPV-DNA status, HPV prevalence in the patients with high GG (4–5) was significantly higher compared with those exhibiting low to intermediate GG (1–3) (p = 0.0214) (Table 1).

3.2. HPV-DNA In Situ Hybridization

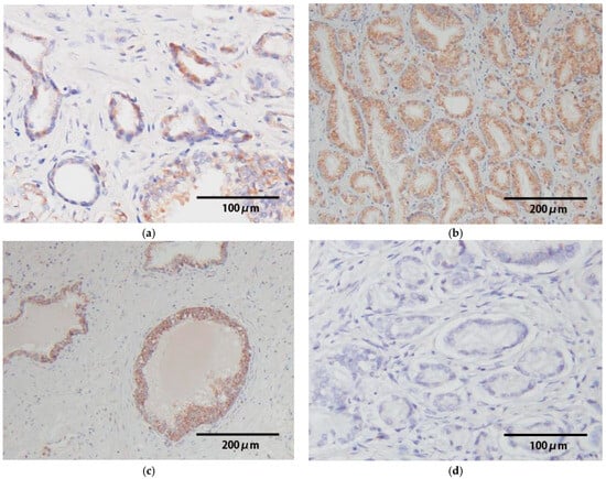
In the 15 HPV-positive samples, HPV-DNA signals were observed in cancerous lesions in 9 (60%) cases. Positive signals were obtained in 2 cases, and 7 cases were strongly positive (Figure 1, Table 3). Strong ISH signals (strongly positive) were observed in 4 HR-HPV-positive cases, whereas weak signals (positive) were evident in one case. Moreover, ISH signals were also present in the cells of normal glandular tissue in non-cancerous lesions in 10 cases (Figure 1). HPV-DNA signals were even observed in samples that were positive for HPV genotypes (type 44, 66, and UK) not covered by the ISH probe. As a negative control, HPV-DNA signals were undetectable in the HPV-negative samples.

3.3. HPV-E6/E7 mRNA Expression

We performed HPV-E6/E7 mRNA ISH analysis to determine the etiological role for the development of prostate cancer in HR-HPV-positive samples. Strong signals were present in the nuclei of tumor cells among 6 of 7 HR-HPV-positive samples (Table 4, Figure 2). Among HR-HPV-positive samples with HPV-DNA ISH signals in cancerous lesions, 4 exhibited strong expression of E6/E7 mRNA. Furthermore, ISH signals of E6/E7 mRNA were also detected in two cases without HPV-DNA ISH signals. On the other hand, E6/E7 mRNA was not observed in one HR-HPV-positive sample and the HPV-negative samples.

3.4. p16INK4a Protein Expression

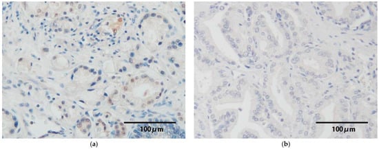
p16INK4A expression was detected in 4 HR-HPV-positive samples (Table 4); however, p16INK4a overexpression was not observed, and it was weak in all cases (Figure 3). The remaining 3 cases showed no p16INK4a expression. On the other hand, p16INK4a was not expressed in the HPV-negative samples.

4. Discussion

We found that the prevalence of HPV-DNA was 9.6% (15/157 cases) among prostate cancer patients based on a nested PCR analysis. Numerous studies have demonstrated a wide range of HPV prevalence in prostate cancer patients, from 0% to 75% worldwide [10,16,17,18,19,20], and from 0% to 16% in Japan [18,19]. This variability may be the result of small cohorts, differences in HPV detection methods, and differences in the surveyed regions. The prevalence of HPV varies by region, particularly with East Asian populations, which generally show lower rates compared with the global average [20]. Although HPV prevalence in the present study was not considered high, it was consistent with the previous findings in Japan [18,19]. Moreover, the prostate was one of the HPV infectious sites in men; however, HPV-DNA was not detected in the seminal vesicle. To our knowledge, there are no previous reports examining HPV infection in the seminal vesicles. Currently, there is no evidence indicating that HPV can infect the seminal vesicles.
In the present study, the most frequent HPV genotype was the UK type, followed by type 44 (5 cases), and types 31, 52, and 58 (2 cases, respectively) (Table 2). A meta-analysis in 2019 involving 5546 prostate cancer patients indicated that HPV16 was the most prevalent, followed by types 31 and 58 [21]. Therefore, the HPV type distribution was different from our results. Many studies included in this meta-analysis only evaluated HR-HPV types; thus, LR genotypes, such as HPV 44, may have been categorized as “unknown types.” Indeed, a previous large population study including 803 Japanese patients evaluating HPV prevalence in urine samples demonstrated that HPV types 70, 71, 84, and 90, which are not covered by the HPV genotyping method used in the present study, were frequently detected [22]. Although the HPV type distribution between the urine and prostate specimens is not always consistent, the HPV genotypes detected in the prostate samples may also vary by region or country. Our results suggest that LR-HPV infection, including UK types, may also be relatively common in the prostate. On the other hand, HPV16, which is the most common oncogenic type observed in many HPV-associated cancers, was not detected in the present study. This discrepancy may also be due to differences in target subjects. However, the number of patients was small for an epidemiological study; thus, further studies including a large number of subjects are needed to clarify HPV prevalence in the prostate.
Prostate cancer is histologically classified into GG1–5. According to the National Comprehensive Cancer Network guidelines, GG1 corresponds to a low or very low risk, GG2–3 is at intermediate risk, and GG4–5 represents high or very high risk. In our study, patients were grouped into GG1, GG2–3, and GG4–5 categories. The HPV detection rate was higher in cases with high GG (Table 1). A previous study including 95 prostate cancer cases revealed that a higher HPV prevalence was associated with cases exhibiting a high Gleason score [23]. Other studies have also demonstrated an association between HPV infection and high Gleason score in prostate cancer [24,25]. HPV infection may also be correlated with tumor aggressiveness.
In the present study, we performed ISH analysis to confirm the localization of HPV-DNA in prostate tissue. Among the 15 HPV-positive samples, HPV-DNA signals were detected in the cancerous lesions of 9 cases, and in non-cancerous lesions of 10 cases (Table 3). Unexpectedly, HPV infection was also found in non-cancerous lesions in the prostate cancer samples. Two HR-HPV-positive cases showed no signals in cancerous lesions, but in non-cancerous lesions. Overall, ISH signals were observed in 12 (80%) of 15 HPV-positive cases based on PCR analysis, and the signals were observed in all HR-HPV-positive specimens. These results confirm the presence of HPV-DNA in prostate tissue. On the other hand, HPV-DNA signals were detected even in some samples that were positive for HPV genotypes which were not covered by the ISH probe. This may be due to cross-hybridization with the 44, 66, and unknown types, since HPV-DNA signals were not observed in HPV-negative samples. The similar cross-reactions of HPV-DNA in the ISH procedure used in this study have been described previously [26].
In HPV-associated malignancies, such as penile cancer, oropharyngeal cancer, and anal cancer, persistent infection with HR-HPV results in the integration of HPV-DNA into the host genome, the expression of the E6 and E7 oncogenes, and an increased risk of carcinogenesis [27,28,29]. The association between HPV and cancer and the expression of the E6 and E7 genes has been evaluated to determine their etiological role in carcinogenesis [26,27,28]. In the present study, we found strong E6/E7 mRNA expression in 6 of 7 HR-HPV-positive samples, supporting a carcinogenic role for HR-HPV infection (Table 4). In the remaining case (case 7, HPV58), HPV-DNA was detected in the cancerous lesions; however, E6/E7 mRNA was not expressed. This suggests that HPV58 may have been an episomal infection in this case. Only one study demonstrated that the E7 protein was expressed in all HR-HPV-positive samples by IHC [17]. Moreover, a recent review proposed the potential involvement of the E6 and E7 proteins in the oncogenic mechanism of HPV infection [30]; however, studies examining E6/E7 expression in prostate cancer are currently limited. Therefore, further studies are needed to establish the oncogenic role of the E6/E7 protein in prostate cancer.
p16INK4a has been widely accepted as a surrogate marker of E7 expression, and this protein is markedly expressed in many HPV-associated cancers; however, our results indicate that p16INK4a overexpression is not observed in all cases (Table 4). A noteworthy observation was the discordance between E6/E7 mRNA expression and p16INK4A expression. It has been well documented that some oropharyngeal cancers lack p16INK4A expression despite the functional inactivation of Rb by the E7 protein [31,32]. This may result from the difference in viral load and mutations or deletions in the p16INK4A gene (CDKN2A). In particular, CDKN2A is more frequently methylated in prostate cancer tissue compared with normal tissue [33], suggesting that p16INK4A expression may be epigenetically suppressed in malignant lesions. On the other hand, one study reported an HR-HPV prevalence of 19.6% in prostate cancer and observed p16INK4A overexpression in many HPV-positive samples [34], which differs from our results. Few studies have examined the relationship between HPV infection and p16 INK4a expression in prostate cancer. Although further studies are needed, our results suggest that p16 INK4a may not always be a surrogate marker for HPV-DNA integration in prostate cancer.
There are some limitations in the present study. Initially, the number of HR-HPV-positive samples was extremely limited, and E6/E7 mRNA and p16 INK4a expression were only evaluated in 7 cases. In addition, we collected all of samples from the patients with prostate cancer in the present study, and a normal control group was not included. This limitation makes it difficult to establish a baseline prevalence in healthy prostate tissue, and leads to difficulty in distinguishing between the mere presence of the virus and its oncogenic etiological role. Therefore, further studies including non-cancerous tissues are required to solve this limitation. Alternatively, uses of cultured normal human prostate infected with HPV cells as a control may be considered. Furthermore, in addition to E6 and E7 oncoproteins, chronic inflammation is considered to be an important factor in oncogenic mechanisms of prostate cancer [30]. However, there were no data of inflammation and sexually transmitted infections. Therefore, further studies with a large number of subjects are needed to establish an etiological role of HPV infection in prostate cancer. On the other hand, we examined the carcinogenic role of HPV infection in prostate cancer using various molecular analyses, such as PCR, HPV-DNA ISH, E6/E7 mRNA ISH, and IHC, which is a strength.

5. Conclusions

HPV-DNA was detected in 9.6% of prostate cancer cases and 0% of the seminal vesicle specimens. ISH analysis revealed that HPV-DNA was present in the cancerous and/or non-cancerous lesions, suggesting that HPV may infect the prostate. In some cases of HR-HPV infection, HPV-E6/E7 mRNA was expressed in the cancer tissue. On the other hand, p16INK4a expression was weak or absent in all cases, and p16INK4a was not a consistent surrogate for E7 expression in prostate cancer. HPV infection occurs in the prostate, and it may play an etiological role in the development of prostate cancer, although this has only been tested in a limited number of cases to date.

Author Contributions

Conceptualization, R.S., K.S. and S.K.; methodology, R.S., K.S., S.K. and H.N.; validation, R.S. and K.S.; formal analysis, R.S.; investigation, R.S., S.K., Y.K., T.N., K.F. and S.T.; resources, K.S., K.I. and A.M.; data curation, R.S. and Y.K.; writing—original draft preparation, R.S.; writing—review and editing, K.S.; visualization, R.S. and K.S.; supervision, K.S., K.I. and A.M.; project administration, R.S., K.S. and S.K. All authors have read and agreed to the published version of the manuscript.

Funding

This research received no external funding.

Institutional Review Board Statement

The study was conducted in accordance with the Declaration of Helsinki, and approved by the Ethics Committee of the Kanazawa University Graduate School of Medical Science (No. 2019-088; approval date: 19 June 2020).

Informed Consent Statement

Informed consent was obtained from all subjects involved in the study.

Data Availability Statement

The data that support the findings of this study are available on request from the corresponding author. The data are not publicly available due to privacy or ethical restrictions.

Acknowledgments

The authors used ChatGPT (GPT-4o mini, OpenAI) for preliminary English editing, followed by professional language editing services. All revisions were reviewed and approved by the authors.

Conflicts of Interest

The authors declare no conflicts of interest.

References

  1. Dunne, E.F.; Nielson, C.M.; Stone, K.M.; Markowitz, L.E.; Giuliano, A.R. Prevalence of HPV infection among men: A systematic review of the literature. J. Infect. Dis. 2006, 194, 1044–1057. [Google Scholar] [CrossRef]
  2. Giuliano, A.R.; Nielson, C.M.; Flores, R.; Dunne, E.F.; Abrahamsen, M.; Papenfuss, M.R.; Markowitz, L.E.; Smith, D.; Harris, R.B. The optimal anatomic sites for sampling heterosexual men for human papillomavirus (HPV) detection: The HPV detection in men study. J. Infect. Dis. 2007, 196, 1146–1152. [Google Scholar] [CrossRef]
  3. Shigehara, K.; Sasagawa, T.; Namiki, M. Human papillomavirus infection and pathogenesis in urothelial cells: A mini-review. J. Infect. Chemother. 2014, 20, 741–747. [Google Scholar] [CrossRef]
  4. Laprise, C.; Trottier, H.; Monnier, P.; Coutlée, F.; Mayrand, M.H. Prevalence of human papillomaviruses in semen: A systematic review and meta-analysis. Hum. Reprod. 2014, 29, 640–651. [Google Scholar] [CrossRef] [PubMed]
  5. Kato, Y.; Shigehara, K.; Nakagawa, T.; Nakata, H.; Iijima, M.; Nakashima, K.; Kawaguchi, S.; Izumi, K.; Kadono, Y.; Mizokami, A. Human papillomavirus detected in sperm of Japanese infertile males affects reproductive parameters. Int. J. Infect. Dis. 2021, 112, 294–299. [Google Scholar] [CrossRef]
  6. Jenson, A.B.; Geyer, S.; Sundberg, J.P.; Ghim, S. Human papillomavirus and skin cancer. J. Investig. Dermatol. Symp. Proc. 2001, 6, 203–206. [Google Scholar] [CrossRef] [PubMed]
  7. Fonsêca, T.C.; Jural, L.A.; Marañón-Vásquez, G.A.; Magno, M.B.; Roza, A.L.O.C.; Ferreira, D.M.T.P.; Maia, L.C.; Romañach, M.J.; Agostini, M.; Abrahão, A.C. Global prevalence of human papillomavirus-related oral and oropharyngeal squamous cell carcinomas: A systematic review and meta-analysis. Clin. Oral Investig. 2023, 28, 62. [Google Scholar] [CrossRef]
  8. Sakamoto, J.; Shigehara, K.; Nakashima, K.; Kawaguchi, S.; Nakashima, T.; Shimamura, M.; Yasuda, M.; Kato, T.; Hasegawa, T.; Kobori, Y.; et al. Etiological role of human papillomavirus infection in the development of penile cancer. Int. J. Infect. Dis. 2019, 78, 148–154. [Google Scholar] [CrossRef] [PubMed]
  9. zur Hausen, H. Papillomaviruses and cancer: From basic studies to clinical application. Nat. Rev. Cancer 2002, 2, 342–350. [Google Scholar] [CrossRef]
  10. Tsydenova, I.A.; Ibragimova, M.K.; Tsyganov, M.M.; Litviakov, N.V. Human papillomavirus and prostate cancer: Systematic review and meta-analysis. Sci. Rep. 2023, 13, 16597. [Google Scholar] [CrossRef]
  11. Dornell, G.A.; Schroder, W.A.; Antalis, T.M.; Lambley, E.; Major, L.; Gardner, J.; Birrell, G.; Cid-Arregui, A.; Suhrbier, A. Human papillomavirus E7 requires the protease calpain to degrade the retinoblastoma protein. J. Biol. Chem. 2007, 282, 37492–37500. [Google Scholar] [CrossRef]
  12. De Falco, F.; Cutarelli, A.; Fedele, F.L.; Catoi, C.; Roperto, S. Molecular findings and virological assessment of bladder papillomavirus infection in cattle. Vet. Q. 2024, 44, 1–7. [Google Scholar] [CrossRef]
  13. Darragh, T.M.; Colgan, T.J.; Cox, J.T.; Heller, D.S.; Henry, M.R.; Luff, R.D.; McCalmont, T.; Nayar, R.; Palefsky, J.M.; Stoler, M.H.; et al. The Lower Anogenital Squamous Terminology Standardization project for HPV-associated lesions: Background and consensus recommendations. Int. J. Gynecol. Pathol. 2013, 32, 76–115. [Google Scholar] [CrossRef] [PubMed]
  14. de Roda Husman, A.M.; Walboomers, J.M.; van den Brule, A.J.; Meijer, C.J.; Snijders, P.J. The use of general primers GP5 and GP6 elongated at their 3′ ends with adjacent highly conserved sequences improves human papillomavirus detection by PCR. J. Gen. Virol. 1995, 76, 1057–1062. [Google Scholar] [CrossRef] [PubMed]
  15. Shigehara, K.; Sasagawa, T.; Kawaguchi, S.; Kobori, Y.; Nakashima, T.; Shimamura, M.; Taya, T.; Furubayashi, K.; Namiki, M. Prevalence of human papillomavirus infection in the urinary tract of men with urethritis. Int. J. Urol. 2010, 17, 563–568. [Google Scholar] [CrossRef]
  16. Rotola, A.; Monini, P.; Di Luca, D.; Savioli, A.; Simone, R.; Secchiero, P.; Reggiani, A.; Cassai, E. Presence and physical state of HPV DNA in prostate and urinary-tract tissues. Int. J. Cancer 1992, 52, 359–365. [Google Scholar] [CrossRef]
  17. Ahmed, M.Y.; Salman, N.A.; Sandhu, S.; Cakir, M.O.; Seddon, A.M.; Kuehne, C.; Ashrafi, G.H. Detection of high-risk Human Papillomavirus in prostate cancer from a UK based population. Sci. Rep. 2023, 13, 7633. [Google Scholar] [CrossRef]
  18. Noda, T.; Sasagawa, T.; Dong, Y.; Fuse, H.; Namiki, M.; Inoue, M. Detection of human papillomavirus (HPV) DNA in archival specimens of benign prostatic hyperplasia and prostatic cancer using a highly sensitive nested PCR method. Urol. Res. 1998, 26, 165–169. [Google Scholar] [CrossRef]
  19. Suzuki, H.; Komiya, A.; Aida, S.; Ito, H.; Yatani, R.; Shimazaki, J. Detection of human papillomavirus DNA and p53 gene mutations in human prostate cancer. Prostate 1996, 28, 318–324. [Google Scholar] [CrossRef]
  20. Bruni, L.; Albero, G.; Rowley, J.; Alemany, L.; Arbyn, M.; Giuliano, A.R.; Markowitz, L.E.; Broutet, N.; Taylor, M. Global and regional estimates of genital human papillomavirus prevalence among men: A systematic review and meta-analysis. Lancet Glob. Health 2023, 11, e1345–e1362. [Google Scholar] [CrossRef]
  21. Moghoofei, M.; Keshavarz, M.; Ghorbani, S.; Babaei, F.; Nahand, J.S.; Tavakoli, A.; Mortazavi, H.S.; Marjani, A.; Mostafaei, S.; Monavari, S.H. Association between human papillomavirus infection and prostate cancer: A global systematic review and meta-analysis. Asia-Pac. J. Clin. Oncol. 2019, 15, e59–e67. [Google Scholar] [CrossRef]
  22. Nakashima, K.; Shigehara, K.; Kitamura, T.; Yaegashi, H.; Shimamura, M.; Kawaguchi, S.; Izumi, K.; Kadono, Y.; Mizokami, A. Risk factors for human papillomavirus detection in urine samples of heterosexual men visiting urological clinics in Japan. J. Infect. Chemother. 2018, 24, 713–717. [Google Scholar] [CrossRef]
  23. Singh, N.; Hussain, S.; Kakkar, N.; Singh, S.K.; Sobti, R.C.; Bharadwaj, M. Implication of high risk human papillomavirus (HR-HPV) infection in prostate cancer in Indian population: A pioneering case-control analysis. Sci. Rep. 2015, 5, 7822. [Google Scholar] [CrossRef] [PubMed]
  24. Pascale, M.; Pracella, D.; Barbazza, R.; Marongiu, B.; Roggero, E.; Bonin, S.; Stanta, G. Is human papillomavirus associated with prostate cancer survival? Dis. Markers 2013, 35, 607–613. [Google Scholar] [CrossRef] [PubMed]
  25. Shigehara, K.; Sasagawa, T.; Kawaguchi, S.; Nakashima, T.; Shimamura, M.; Maeda, Y.; Konaka, H.; Mizokami, A.; Koh, E.; Namiki, M. Etiologic role of human papillomavirus infection in bladder carcinoma. Cancer 2011, 117, 2067–2076. [Google Scholar] [CrossRef]
  26. Abumsimir, B.; Mrabti, M.; Laraqui, A.; Ameur, A.; Koraishi, S.I.; Mzibri, M.; Lamsisi, M.; Ennaji, Y.; Almahasneh, I.; Ennaji, M.M. Molecular characterization of human papillomavirus and mouse mammary tumor virus-like infections in prostate cancer tissue and relevance with tumor characteristics. Mol. Clin. Oncol. 2022, 16, 97. [Google Scholar] [CrossRef] [PubMed]
  27. Sharma, P.K.; Panaiyadiyan, S.; Kurra, S.; Kumar, R.; Nayak, B.; Kaushal, S.; Sharma, A.; Kumar, R.; Seth, A.; Singh, P. Association of human papillomavirus in penile cancer: A single-center analysis. Indian J. Urol. 2022, 38, 210–215. [Google Scholar] [CrossRef]
  28. Yin, J.; Li, Y.; Song, C.; Liu, Y.; Zhao, J.; Zhao, D.; Zhang, S.; Zhang, X.; Zhao, F.; Qiao, Y. Evaluation of an E6/E7 PCR-capillary electrophoresis fragment analysis in the genotyping of human papillomavirus in archival FFPE samples of oropharyngeal cancer. J. Med. Virol. 2024, 96, e29716. [Google Scholar] [CrossRef]
  29. Phanuphak, N.; Teeratakulpisarn, N.; Keelawat, S.; Pankam, T.; Barisri, J.; Triratanachat, S.; Deesua, A.; Rodbamrung, P.; Wongsabut, J.; Tantbirojn, P.; et al. Use of human papillomavirus DNA, E6/E7 mRNA, and p16 immunocytochemistry to detect and predict anal high-grade squamous intraepithelial lesions in HIV-positive and HIV-negative men who have sex with men. PLoS ONE 2013, 8, e78291. [Google Scholar] [CrossRef]
  30. Bello, R.O.; Willis-Powell, L.; James, O.; Sharma, A.; Marsh, E.; Ellis, L.; Gaston, K.; Siddiqui, Y. Does human papillomavirus play a causative role in prostate cancer? A systematic review using Bradford Hill’s criteria. Cancers 2023, 15, 3897. [Google Scholar] [CrossRef]
  31. Mehanna, H.; Taberna, M.; von Buchwald, C.; Tous, S.; Brooks, J.; Mena, M.; Morey, F.; Grønhøj, C.; Rasmussen, J.H.; Garset-Zamani, M.; et al. Prognostic implications of p16 and HPV discordance in oropharyngeal cancer (HNCIG-EPIC-OPC): A multicentre, multinational, individual patient data analysis. Lancet Oncol. 2023, 24, 239–251. [Google Scholar] [CrossRef] [PubMed]
  32. Zupancic, M.; Kostopoulou, O.N.; Holzhauser, S.; Lukoseviciute, M.; Jylhä, C.; Marklund, L.; Näsman, A.; Sivars, L.; Dalianis, T. Human papillomavirus (HPV) load is higher in HPV-DNA/p16 positive than in HPV-DNA positive/p16 negative oropharyngeal squamous cell carcinoma but does not differ significantly between various subsites or correlate to survival. Oral Oncol. 2024, 151, 106749. [Google Scholar] [CrossRef]
  33. Murphy, T.M.; Sullivan, L.; Lane, C.; O’COnnor, L.; Barrett, C.; Hollywood, D.; Lynch, T.; Lawler, M.; Perry, A.S. In silico analysis and DHPLC screening strategy identifies novel apoptotic gene targets of aberrant promoter hypermethylation in prostate cancer. Prostate 2011, 71, 1–17. [Google Scholar] [CrossRef] [PubMed]
  34. Medel-Flores, O.; Valenzuela-Rodríguez, V.A.; Ocadiz-Delgado, R.; Castro-Muñoz, L.J.; Hernández-Leyva, S.; Lara-Hernández, G.; Silva-Escobedo, J.-G.; Vidal, P.G.; Sánchez-Monroy, V. Association between HPV infection and prostate cancer in a Mexican population. Genet. Mol. Biol. 2018, 41, 781–789. [Google Scholar] [CrossRef] [PubMed]
Figure 1. Results of HPV-DNA in situ hybridization (ISH) are indicated. HPV-DNA signals were observed in cancerous lesions in 9 cases. Positive signals ((a), ×200; case 14) and strong positive signals ((b), ×100; case 8) were shown. ISH signals were also present in the cells of normal glandular tissue in non-cancerous lesions. ((c), ×100; case 9). HPV-DNA signals were undetectable in the HPV-negative samples. ((d), ×200).
Figure 1. Results of HPV-DNA in situ hybridization (ISH) are indicated. HPV-DNA signals were observed in cancerous lesions in 9 cases. Positive signals ((a), ×200; case 14) and strong positive signals ((b), ×100; case 8) were shown. ISH signals were also present in the cells of normal glandular tissue in non-cancerous lesions. ((c), ×100; case 9). HPV-DNA signals were undetectable in the HPV-negative samples. ((d), ×200).
Viruses 17 01304 g001
Figure 2. Results of E6/E7 mRNA in situ hybridization are indicated. Strong signals were present in the nuclei of tumor cells among 6 of 7 HR-HPV-positive samples. ((a), ×100; case 8) On the other hand, E6/E7 mRNA was not observed in the HPV-negative samples. ((b), ×200).
Figure 2. Results of E6/E7 mRNA in situ hybridization are indicated. Strong signals were present in the nuclei of tumor cells among 6 of 7 HR-HPV-positive samples. ((a), ×100; case 8) On the other hand, E6/E7 mRNA was not observed in the HPV-negative samples. ((b), ×200).
Viruses 17 01304 g002
Figure 3. Results of p16INK4a immunohistochemistry are indicated. p16INK4A expression was detected in HR-HPV-positive samples; however, p16INK4a overexpression was not observed, and it was weak ((a), ×200; case 8). On the other hand, p16INK4a was not expressed in the HPV-negative samples ((b), ×200).
Figure 3. Results of p16INK4a immunohistochemistry are indicated. p16INK4A expression was detected in HR-HPV-positive samples; however, p16INK4a overexpression was not observed, and it was weak ((a), ×200; case 8). On the other hand, p16INK4a was not expressed in the HPV-negative samples ((b), ×200).
Viruses 17 01304 g003
Table 1. Patient backgrounds and tumor characteristics.
Table 1. Patient backgrounds and tumor characteristics.
Characteristicsn = 157HPV(+) (n = 15)HPV(−) (n = 142)p
Age (median, range)68 (48–76)70 (48–76)65 (56–76)0.981
PSA, ng/mL (median, range)7.05 (2.42–74.2)6.24 (3.00–16.54)7.06 (2.42–74.2)0.375
Grade Group (n, %)
119 (12.1%)0 (0%)19 (13.4%)
2–3118 (75.2%)10 (66.7%)108 (76.1%)
4–520 (12.7%)5 (33.3%)15 (10.6%)0.0214
T category (n, %)
pT02 (1.3%)02 (1.4%)
pT2136 (86.6%)12 (80%)124 (87.3%)0.455
pT315 (9.6%)3 (20%)12 (8.5%)
pT44 (2.5%)04 (2.8%)
HPV, human papillomavirus; PSA, prostate-specific antigen; T, tumor.
Table 2. HPV-DNA prevalence and genotyping in prostate cancer specimens and seminal vesicle samples.
Table 2. HPV-DNA prevalence and genotyping in prostate cancer specimens and seminal vesicle samples.
PCR ResultsProstate CancerSeminal Vesicle
Any HPV15 (9.6%)0 (0%)
HR-HPV7 (4.5%)0 (0%)
The HPV genotypen
312
445
522
582
661
Unknown 16
PCR, polymerase chain reaction; HPV, human papillomavirus; HR, high-risk. 1 Specimens that tested positive by nested PCR, but yielded no detectable genotype by the GenoArray kit, were classified as having an unknown type.
Table 3. Summary of the HPV genotypes and HPV-DNA in situ hybridization in HPV-positive specimens.
Table 3. Summary of the HPV genotypes and HPV-DNA in situ hybridization in HPV-positive specimens.
NoAgeGGTGenotypeHPV RiskHPV-DNA ISH
Normal LesionCancerous Lesion
14832c31HR2+
26323a31HR2+2+
37453b44LR+2+
45922c44LR2+2+
5 *5953b52HR+
67122cUKUnknown+
77242a58HR2+2+
87622c66HR2+
97232b52/44HR/LR2+2+
106342a58/44HR/LR+
116442c44LR
127032cUKUnknown2+2+
137222cUKUnknown
147222bUKUnknown++
156522cUKUnknown
HPV, human papillomavirus; GG, Grade Group; T, tumor; HR, high-risk; LR, low-risk; UK, unknown. ISH, in situ hybridization. Staining score; negative (−; no staining), positive (+; visible only at high magnification), and strongly positive. (2+; visible clearly at low magnification). * A case in which HPV-DNA was detected in metastatic prostate cancer lesion.
Table 4. Summary of HPV genotypes and HPV-E6/E7 expression in HR-HPV-positive specimens.
Table 4. Summary of HPV genotypes and HPV-E6/E7 expression in HR-HPV-positive specimens.
NoGenotypeHPV RiskE6/E7 Oncogenic Protein
E6/E7 mRNA ISHp16INK4a Protein
131HR2++
231HR2+
5 *52HR2+
758HR+
866HR2++
952/44HR/LR2++
1058/44HR/LR2+
HPV, human papillomavirus; HR, high-risk; LR, low-risk; RNA, ribo nucleic acid. ISH, in situ hybridization. Staining score; negative (−; no staining), positive (+; visible only at high magnification), and strongly positive (2+; visible clearly at low magnification). * A case in which HPV-DNA was detected in metastatic prostate cancer lesion.
Disclaimer/Publisher’s Note: The statements, opinions and data contained in all publications are solely those of the individual author(s) and contributor(s) and not of MDPI and/or the editor(s). MDPI and/or the editor(s) disclaim responsibility for any injury to people or property resulting from any ideas, methods, instructions or products referred to in the content.

Share and Cite

MDPI and ACS Style

Shinzawa, R.; Shigehara, K.; Nakata, H.; Takada, S.; Fukukawa, K.; Kato, Y.; Nakagawa, T.; Kawaguchi, S.; Izumi, K.; Mizokami, A. Human Papillomavirus Prevalence in the Prostate and Seminal Vesicles: Does This Virus Have an Etiological Role in the Development of Prostate Cancer? Viruses 2025, 17, 1304. https://doi.org/10.3390/v17101304

AMA Style

Shinzawa R, Shigehara K, Nakata H, Takada S, Fukukawa K, Kato Y, Nakagawa T, Kawaguchi S, Izumi K, Mizokami A. Human Papillomavirus Prevalence in the Prostate and Seminal Vesicles: Does This Virus Have an Etiological Role in the Development of Prostate Cancer? Viruses. 2025; 17(10):1304. https://doi.org/10.3390/v17101304

Chicago/Turabian Style

Shinzawa, Rei, Kazuyoshi Shigehara, Hiroki Nakata, Shingo Takada, Kotaro Fukukawa, Yuki Kato, Tomomi Nakagawa, Shohei Kawaguchi, Kouji Izumi, and Atsushi Mizokami. 2025. "Human Papillomavirus Prevalence in the Prostate and Seminal Vesicles: Does This Virus Have an Etiological Role in the Development of Prostate Cancer?" Viruses 17, no. 10: 1304. https://doi.org/10.3390/v17101304

APA Style

Shinzawa, R., Shigehara, K., Nakata, H., Takada, S., Fukukawa, K., Kato, Y., Nakagawa, T., Kawaguchi, S., Izumi, K., & Mizokami, A. (2025). Human Papillomavirus Prevalence in the Prostate and Seminal Vesicles: Does This Virus Have an Etiological Role in the Development of Prostate Cancer? Viruses, 17(10), 1304. https://doi.org/10.3390/v17101304

Note that from the first issue of 2016, this journal uses article numbers instead of page numbers. See further details here.

Article Metrics

Back to TopTop