Novel Gammaherpesvirus Infections in Narrow-Ridged Finless Porpoise (Neophocaena asiaeorientalis) and False Killer Whales (Pseudorca crassidens) in the Republic of Korea
Abstract
1. Introduction
2. Material and Methods
2.1. Necropsy and Sample Collection
2.2. Histopathology
2.3. Transmission Electron Microscopy (TEM)
2.4. DNA Preparation and Sequencing
2.5. Phylogenetic Analysis
3. Results and Discussion
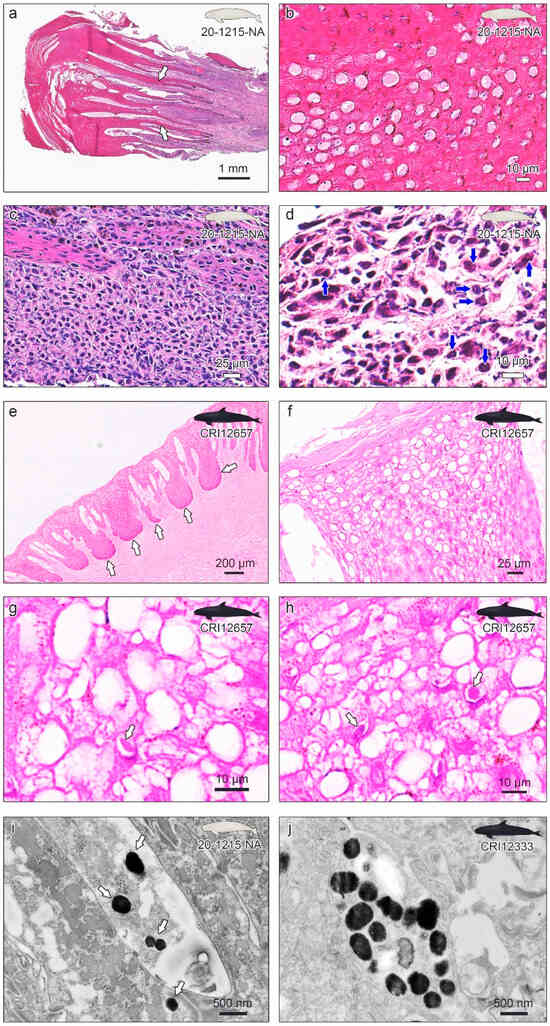
3.1. Skin Lesions of Narrow-Ridged Finless Porpoise: 20-1215-NA
3.2. Genital Lesions of Two False Killer Whales: CRI12333 and CRI12657
3.3. Histopathological Examinations
3.4. Transmission Electron Microscopy (TEM)
3.5. PCR, Sequencing, and Phylogenetic Analysis
4. Conclusions
Author Contributions
Funding
Institutional Review Board Statement
Informed Consent Statement
Data Availability Statement
Conflicts of Interest
References
- McGeoch, D.J.; Rixon, F.J.; Davison, A.J. Topics in herpesvirus genomics and evolution. Virus Res. 2006, 117, 90–104. [Google Scholar] [CrossRef] [PubMed]
- Knickmann, J.; Staliunaite, L.; Puhach, O.; Ostermann, E.; Günther, T.; Nichols, J.; Jarvis, M.A.; Voigt, S.; Grundhoff, A.; Davison, A.J.; et al. A simple method for rapid cloning of complete herpesvirus genomes. Cell Rep. Methods 2024, 4, 100696. [Google Scholar] [CrossRef]
- Kinoshita, H.; Yamada, S.; Ogawa, T.; Nguyen, P.H.A.; Harada, S.; Kawahara, M.; Ishijima, K.; Maeda, K.; Ebihara, H.; Fukushi, S. Development of a vesicular stomatitis virus pseudotyped with herpes B virus glycoproteins and its application in a neutralizing antibody detection assay. Mbio 2024, 15, e0109224. [Google Scholar] [CrossRef] [PubMed]
- Ortigas-Vasquez, A.; Szpara, M. Embracing Complexity: What Novel Sequencing Methods Are Teaching Us About Herpesvirus Genomic Diversity. Annu. Rev. Virol. 2024, 11. [Google Scholar] [CrossRef] [PubMed]
- Brown, J.C.; Newcomb, W.W. Herpesvirus Capsid Assembly: Insights from Structural Analysis. Curr. Opin. Virol. 2011, 1, 142–149. [Google Scholar] [CrossRef] [PubMed]
- Stanfield, B.A.; Ruiz, E.; Chouljenko, V.N.; Kousoulas, K.G. Guinea pig herpes like virus is a gamma herpesvirus. Virus Genes 2024, 60, 148–158. [Google Scholar] [CrossRef] [PubMed]
- Bergmann, S.M.; Wang, Y.; Li, Y.; Wang, Q.; Klafack, S.; Jin, Y.; Hofmann, A.C.; Kielpinska, J.; Becker, A.M.; Zeng, W. Occurrence of herpesvirus in fish. J. Vet. Res. 2024, 68, 73–78. [Google Scholar] [CrossRef] [PubMed]
- Hidalgo-Hermoso, E.; Cabello, J.; Lopez, R.; Vergara-Wilson, V.; Vera, F.; Valencia, C.; Sanchez, C.; Celis, S.; Silva, A.; Cariñanos, A.; et al. Molecular and phylogenetic analysis of herpesviruses in endangered free-ranging cervids of Chile: Ovine gammaherpesvirus-2—A novel threat to wild and domestic animal health in Chilean Patagonia. Front. Vet. Sci. 2024, 10, 1321172. [Google Scholar] [CrossRef] [PubMed]
- Kampouri, E.; Handley, G.; Hill, J.A. Human herpes virus-6 (HHV-6) reactivation after hematopoietic cell transplant and chimeric antigen receptor (CAR)-T cell therapy: A shifting landscape. Viruses 2024, 16, 498. [Google Scholar] [CrossRef]
- Pellet, E.; Roizman, B. The Family Herpesviridae: A Brief Introduction. In Fields Virology; Knipe, D.M., Ed.; Lippincott-Williams & Wilkins: PA, USA, 2007; pp. 2480–2498. [Google Scholar]
- Ewbank, A.C.; Catão-Dias, J.L.; Navas-Suarez, P.E.; Duarte-Benvenuto, A.; Zamana-Ramblas, R.; Ferreira-Machado, E.; Lial, H.C.; Ibáñez-Porras, P.; Sacristán, I.; Sacristán, C. Novel Alpha-, Beta-, and Gammaherpesviruses in Neotropical Carnivores of Brazil. Transbound. Emerg. Dis. 2024, 2024, 1347516. [Google Scholar] [CrossRef]
- Afify, A.F.; Hassanien, R.T.; El Naggar, R.F.; Rohaim, M.A.; Munir, M. Unmasking the Ongoing Challenge of Equid Herpesvirus-1 (EHV-1): A Comprehensive Review. Microb. Pathog. 2024, 193, 106755. [Google Scholar] [CrossRef] [PubMed]
- Xu, J.; Song, S.; Nie, C.; Chen, H.; Hao, K.; Yu, F.; Zhao, Z. Characterization of the Ictalurid herpesvirus 1 immediate-early gene ORF24 and its potential role in transcriptional regulation in yeast. Arch. Virol. 2024, 169, 127. [Google Scholar] [CrossRef] [PubMed]
- Blanchard, T.W.; Santiago, N.T.; Lipscomb, T.P.; Garber, R.L.; McFee, W.E.; Knowles, S. Two novel alphaherpesvirus associated with fatal disseminated infections in Atlantic bottlenose dolphins. J. Wildl. Dis. 2001, 37, 297–305. [Google Scholar] [CrossRef] [PubMed]
- Sacristán, C.; Ewbank, A.C.; Duarte-Benvenuto, A.; Sacristán, I.; Zamana-Ramblas, R.; Costa-Silva, S.; Lanes Ribeiro, V.; Bertozzi, C.P.; del Rio do Valle, R.; Castilho, P.V.; et al. Survey of selected viral agents (herpesvirus, adenovirus and hepatitis E virus) in liver and lung samples of cetaceans, Brazil. Sci. Rep. 2024, 14, 2689. [Google Scholar] [CrossRef] [PubMed]
- Vargas-Castro, I.; Crespo-Picazo, J.L.; Jiménez Martínez, M.Á.; Muñoz-Baquero, M.; Marco-Cabedo, V.; García-Párraga, D.; Sánchez-Vizcaíno, J.M. Molecular detection of herpesvirus in a skin lesion of a humpback whale (Megaptera novaeangliae) from the Western Mediterranean Sea. Eur. J. Wildl. Res. 2024, 70, 31. [Google Scholar] [CrossRef]
- Benson, K.A.S.; Manire, C.A.; Ewing, R.Y.; Saliki, J.T.; Townsend, F.I.; Ehlers, B.; Romero, C.H. Identification of novel alpha- and gammaherpesviruses from cutaneous and mucosal lesions of dolphins and whales. J. Virol. Methods 2006, 136, 261–266. [Google Scholar] [CrossRef] [PubMed]
- Maness, T.D.; Nollens, H.H.; Jensen, E.D.; Goldstein, T.; LaMere, S.; Childress, A.; Sykes, J.; Leger, J.S.; Lacave, G.; Latson, F.E.; et al. Phylogenetic analysis of marine mammal herpesviruses. Vet. Microbiol. 2011, 149, 23–29. [Google Scholar] [CrossRef] [PubMed]
- Sierra, E.; Díaz-Delgado, J.; Arbelo, M.; Andrada, M.; Sacchini, S.; Fernandez, A. Herpesvirus-associated genital lesions in a stranded striped dolphin (Stenella Coeruleoalba) in the Canary Islands, Spain. J. Wildl. Dis. 2015, 51, 696–702. [Google Scholar] [CrossRef] [PubMed]
- Bento, M.C.; Canha, R.; Eira, C.; Vingada, J.; Nicolau, L.; Ferreira, M.; Domingo, M.; Tavares, L.; Duarte, A. Herpesvirus infection in marine mammals: A retrospective molecular survey of stranded cetaceans in the Portuguese coastline. Infect. Genet. Evol. 2019, 67, 222–233. [Google Scholar] [CrossRef] [PubMed]
- Segura-Göthlin, S.; Fernández, A.; Arbelo, M.; Andrada Borzollino, M.A.; Felipe-Jiménez, I.; Colom-Rivero, A.; Fiorito, C.; Sierra, E. Viral skin diseases in odontocete cetaceans: Gross, histopathological, and molecular characterization of selected pathogens. Front. Vet. Sci. 2023, 10, 1188105. [Google Scholar] [CrossRef] [PubMed]
- Lee, S.M.; Park, K.J.; Kim, B.Y.; Min, M.S.; Lee, H.; Lee, M.Y. Genetic diversity and population demography of narrow-ridged finless porpoises from South Korea on the basis of mitochondrial DNA variation: Implications for its conservation in East Asia. Mar. Mammal Sci. 2019, 35, 574–594. [Google Scholar] [CrossRef]
- Yoon, Y.G.; Han, D.G.; Choi, J.W.; Choi, S.; Sohn, H. Properties of echolocation click sound of narrow-ridged finless porpoise (Neophocaena asiaeorientalis) inhabiting the west coast of Korea. In Inter-Noise and Noise-Con Congress and Conference Proceedings; Institute of Noise Control Engineering: Seoul, Republic of Korea, 2020; Volume 261, pp. 4435–4438. [Google Scholar]
- Sohn, H.; Park, K.J.; An, Y.R.; Choi, S.G.; Kim, Z.G.; Kim, H.W.; An, D.H.; Lee, Y.R.; Park, T.G. Distribution of whales and dolphins in Korean waters based on a sighting survey from 2000 to 2010. Korean J. Fish. Aquat. Sci. 2012, 45, 486–492. [Google Scholar] [CrossRef]
- Lee, K.; Kim, H.K.; Park, S.K.; Sohn, H.; Cho, Y.; Choi, Y.M.; Jeong, D.G.; Kim, J.H. First report of the occurrence and whole-genome characterization of Edwardsiella tarda in the false killer whale (Pseudorca crassidens). J. Vet. Med. Sci. 2018, 80, 1041–1046. [Google Scholar] [CrossRef] [PubMed]
- Abraham, A.J.; Roman, J.; Doughty, C.E. The sixth R: Revitalizing the natural phosphorus pump. Sci. Total Environ. 2022, 832, 155023. [Google Scholar] [CrossRef] [PubMed]
- Meynecke, J.O.; Samanta, S.; de Bie, J.; Seyboth, E.; Prakash Dey, S.; Fearon, G.; Vichi, M.; Findlay, K.; Roychoudhury, A.; Mackey, B. Do whales really increase the oceanic removal of atmospheric carbon? Front. Mar. Sci. 2023, 10. [Google Scholar] [CrossRef]
- Freitas, C.; Gundersen, K.; Lindblom, L.; Biuw, M.; Haug, T. Nutrient concentrations in minke whale faeces and the potential impact on dissolved nutrient pools off Svalbard, Norway. Prog. Oceanogr. 2023, 210, 102927. [Google Scholar] [CrossRef]
- Park, K.J.; Kim, Z.G.; Zhang, C.I. Abundance estimation of the finless porpoise, Neophocaena phocaenoides, using models of the detection function in a line transect. Korean J. Fish. Aquat. Sci. 2007, 40, 201–209. [Google Scholar]
- Park, K.J.; Sohn, H.; An, Y.R.; Kim, H.W.; An, D.H. A new abundance estimate for the finless porpoise Neophocaena asiaeorientalis on the west coast of Korea: An indication of population decline. Fish. Aquat. Sci. 2015, 18, 411–416. [Google Scholar] [CrossRef]
- Miyoshi, K.; Nishida, S.; Sone, E.; Tajima, Y.; Makara, M.; Yoshioka, M.; Nakamura, M.; Yamada, T.K.; Koike, H. Molecular identification of novel alpha-and gammaherpesviruses from cetaceans stranded on Japanese coasts. Zool. Sci. 2011, 28, 126–133. [Google Scholar] [CrossRef] [PubMed]
- Hohn, A.A. Age Estimation. In Encyclopedia of Marine Mammals, 2nd ed.; Elsevier: Amsterdam, Netherlands, 2009; pp. 11–17. [Google Scholar]
- Nassar, A.; Zapata, M.; Little, J.V.; Siddiqui, M.T. Utility of reflex Gomori methenamine silver staining for Pneumocystis jirovecii on bronchoalveolar lavage cytologic specimens: A review. Diagn. Cytopathol. 2006, 34, 719–723. [Google Scholar] [CrossRef] [PubMed]
- Fu, D.A.; Campbell-Thompson, M. Periodic acid-Schiff staining with diastase. Methods Mol. Biol. 2017, 1639, 145–149. [Google Scholar] [PubMed]
- Reynolds, J.; Moyes, R.B.; Breakwell, D.P. Differential staining of bacteria: Acid fast stain. Curr. Protoc. Microbiol. 2009, 15, A-3H. [Google Scholar] [CrossRef] [PubMed]
- Beveridge, T.J. Use of the Gram stain in microbiology. Biotech. Histochem. 2001, 76, 111–118. [Google Scholar] [CrossRef] [PubMed]
- Hayat, M.E. Basic Techniques for Transmission Electron Microscopy; Elsevier: Amsterdam, The Netherlands, 2012. [Google Scholar]
- Zuo, J.M.; Spence, J.C. Advanced Transmission Electron Microscopy; Springer Science+ Business Media: New York, NY, USA, 2017. [Google Scholar]
- Ehlers, B.; Borchers, K.; Grund, C.; Frölich, K.; Ludwig, H.; Buhk, H.J.R. Detection of new DNA polymerase genes of known and potentially novel herpesviruses by PCR with degenerate and deoxyinosine-substituted primers. Virus Genes 1999, 18, 211–220. [Google Scholar] [CrossRef] [PubMed]
- VanDevanter, D.R.; Warrener, P.; Bennett, L.; Schultz, E.R.; Coulter, S.; Garber, R.L.; Rose, T.M. Detection and analysis of diverse herpesviral species by consensus primer PCR. J. Clin. Microbiol. 1996, 34, 1666–1671. [Google Scholar] [CrossRef] [PubMed]
- Tatusova, T.A.; Madden, T.L. BLAST 2 Sequences, a new tool for comparing protein and nucleotide sequences. FEMS Microbiol. Lett. 1999, 174, 247–250. [Google Scholar] [CrossRef] [PubMed]
- Meier-Kolthoff, J.P.; Göker, M. VICTOR: Genome-based phylogeny and classification of prokaryotic viruses. Bioinformatics 2017, 33, 3396–3404. [Google Scholar] [CrossRef] [PubMed]
- Sohpal, V.K.; Dey, A.; Singh, A. MEGA biocentric software for sequence and phylogenetic analysis: A review. Int. J. Bioinform. Res. Appl. 2010, 6, 230–240. [Google Scholar] [CrossRef]
- Manire, C.A.; Smolarek, K.A.; Romero, C.H.; Kinsel, M.J.; Clauss, T.M.; Byrd, L. Proliferative dermatitis associated with a novel alphaherpesvirus in an Atlantic bottlenose dolphin (Tursiops truncatus). J. Zoo Wildl. Med. 2006, 37, 174–181. [Google Scholar] [CrossRef] [PubMed]
- van Beurden, S.J.; IJsseldijk, L.L.; Ordonez, S.R.; Förster, C.; de Vrieze, G.; Gröne, A.; Verheije, M.H.; Kik, M. Identification of a novel gammaherpesvirus associated with (muco) cutaneous lesions in harbour porpoises (Phocoena phocoena). Arch. Virol. 2015, 160, 3115–3120. [Google Scholar] [CrossRef] [PubMed]
- Van Bressem, M.F.; Van Waerebeek, K.; Garcia-Godos, A.; Dekegel, D.; Pastoret, P.P. Herpes-like virus in dusky dolphins, Lagenorhynchus obscurus, from coastal Peru. Mar. Mammal Sci. 1994, 10, 354–359. [Google Scholar] [CrossRef]
- van Elk, C.E.; Van De Bildt, M.W.; De Jong, A.A.; Osterhaus, A.D.; Kuiken, T. Genital herpesvirus in bottlenose dolphins (Tursiops truncatus): Cultivation, epidemiology, and associated pathology. J. Wildl. Dis. 2009, 45, 895–906. [Google Scholar] [CrossRef] [PubMed]
- Bellehumeur, C.; Lair, S.; Romero, C.H.; Provost, C.; Nielsen, O.; Gagnon, C.A. Identification of a novel herpesvirus associated with a penile proliferative lesion in a beluga (Delphinapterus leucas). J. Wildl. Dis. 2015, 51, 244–249. [Google Scholar] [CrossRef] [PubMed]
- Stephens, N.; Duignan, P.; Symons, J.; Holyoake, C.; Bejder, L.; Warren, K. Death by octopus (Macroctopus maorum): Laryngeal luxation and asphyxiation in an Indo-Pacific bottlenose dolphin (Tursiops aduncus). Mar. Mammal Sci. 2017, 33, 1204–1213. [Google Scholar] [CrossRef]
- Lee, S.; Choi, S.; Kim, J.H.; Kim, H.W.; Sohn, H. Characteristics of the cetacean bycatch in Korean coastal waters from 2011 to 2017. Korean J. Fish. Aquat. Sci. 2018, 51, 704–713. [Google Scholar]
- Kempf, W.; Hantschke, M.; Kutzner, H.; Burgdorf, W.H. Dermatopathologic glossary. In Dermatopathology; Springer Science & Business Media: Berlin, Germany, 2008; pp. 15–16. [Google Scholar]
- Vasudevan, B.; Das, P.; Bhatt, S. Pustular psoriasis: A distinct aetiopathogenic and clinical entity. Indian J. Dermatol. Venereol. Leprol. 2024, 90, 19–29. [Google Scholar] [CrossRef] [PubMed]
- Anupama, Y.G.; Patil, S.B. A retrospective clinicohistopathological study of psoriasis. Indian J. Clin. Exp. Dermatol. 2020, 6, 222–226. [Google Scholar]
- Silverberg, J.I. Adult-onset atopic dermatitis. J. Allergy Clin. Immunol. Pract. 2019, 7, 28–33. [Google Scholar] [CrossRef] [PubMed]
- Bovenschen, H.J.; Seyger, M.M.B.; Van De Kerkhof, P.C.M. Plaque psoriasis vs. atopic dermatitis and lichen planus: A comparison for lesional T-cell subsets, epidermal proliferation and differentiation. Br. J. Dermatol. 2005, 153, 72–78. [Google Scholar] [CrossRef] [PubMed]
- Shavalier, M.; Faisal, M.; Loch, T.P.; Fitzgerald, S.D.; Thaiwong, T.; Kiupel, M. Disease progression in Lake Trout (Salvelinus Namaycush) experimentally infected with epizootic epitheliotropic disease virus (Salmonid Herpesvirus-3). Vet. Pathol. 2020, 57, 687–699. [Google Scholar] [CrossRef] [PubMed]
- Papa, V.; Salfi, N.C.M.; Costa, R.; Bettocchi, I.; Ricci, E.; Cordelli, D.M.; Locatelli, F.; Caramelli, F.; Cenacchi, G. Ultrastructural and Immunohistochemical Diagnosis of a Neonatal Herpes Simplex Virus Infection Presenting as Fulminant Hepatitis: A Case Report. In Advances in Microbiology, Infectious Diseases and Public Health; Springer International Publishing: Cham, Switzerland, 2021; Volume 16, pp. 93–100. [Google Scholar]
- Vargas-Castro, I.; Melero, M.; Crespo-Picazo, J.L.; Jiménez, M.D.L.Á.; Sierra, E.; Rubio-Guerri, C.; Arbelo, M.; Fernández, A.; García-Párraga, D.; Sánchez-Vizcaíno, J.M. Systematic determination of herpesvirus in free-ranging cetaceans stranded in the western mediterranean: Tissue tropism and associated lesions. Viruses 2021, 13, 2180. [Google Scholar] [CrossRef] [PubMed]
- Origgi, F.C.; Schmidt, B.R.; Lohmann, P.; Otten, P.; Akdesir, E.; Gaschen, V.; Aguilar-Bultet, L.; Wahli, T.; Sattler, U.; Stoffel, M.H. Ranid herpesvirus 3 and proliferative dermatitis in free-ranging wild common frogs (Rana temporaria). Vet. Pathol. 2017, 54, 686–694. [Google Scholar] [CrossRef] [PubMed]
- Shilton, C.M.; Jerrett, I.V.; Davis, S.; Walsh, S.; Benedict, S.; Isberg, S.R.; Webb, G.J.; Manolis, C.; Hyndman, T.H.; Phalen, D.; et al. Diagnostic investigation of new disease syndromes in farmed Australian saltwater crocodiles (Crocodylus porosus) reveals associations with herpesviral infection. J. Vet. Diagn. Investig. 2016, 28, 279–290. [Google Scholar] [CrossRef] [PubMed]
- Nielsen, O.; Burek-Huntington, K.A.; Loseto, L.L.; Morell, M.; Romero, C.H. Alphaherpesvirus: Isolation, identification, partial characterisation, associated pathologic findings, and epidemiology in beluga whales (Delphinapterus leucas) in Alaska and Arctic Canada. Arct. Sci. 2017, 4, 338–357. [Google Scholar] [CrossRef]
- Sacristán, C.; Esperón, F.; Ewbank, A.C.; Díaz-Delgado, J.; Ferreira-Machado, E.; Costa-Silva, S.; Sanchez-Sarmiento, A.M.; Groch, K.R.; Neves, E.; Dutra, G.H.P.; et al. Novel herpesviruses in riverine and marine cetaceans from South America. Acta Trop. 2019, 190, 220–227. [Google Scholar] [CrossRef] [PubMed]
- Arbelo, M.; Bellière, E.N.; Sierra, E.; Sacchinni, S.; Esperón, F.; Andrada, M.; Rivero, M.; Diaz-Delgado, J.; Fernández, A. Herpes virus infection associated with interstitial nephritis in a beaked whale (Mesoplodon densirostris). BMC Vet. Res. 2012, 8, 243. [Google Scholar] [CrossRef] [PubMed]
- Valdivia-Lara, E.G.; Delgado-Estrella, A.; Ángeles-Solís, J.I.; de la Ortuño, O.E.N.; González-Gallardo, S.; Lara-Reyes, G.E.; Cuenca-Verde, C.; Valdivia-Anda, G. Isolation and Identification of Herpesvirus in the Bottlenose Dolphins (Tursiops truncatus) of Terminos Lagoon, Campeche, Mexico. Therya 2015, 6, 495–504. [Google Scholar] [CrossRef][Green Version]
- Leung, D.Y.; Bhan, A.K.; Schneeberger, E.E.; Geha, R.S. Characterization of the mononuclear cell infiltrate in atopic dermatitis using monoclonal antibodies. J. Allergy Clin. Immunol. 1983, 71, 47–56. [Google Scholar] [CrossRef]
- Leyva-Castillo, J.M.; Sun, L.; Wu, S.Y.; Rockowitz, S.; Sliz, P.; Geha, R.S. Single-cell transcriptome profile of mouse skin undergoing antigen-driven allergic inflammation recapitulates findings in atopic dermatitis skin lesions. J. Allergy Clin. Immunol. 2022, 150, 373–384. [Google Scholar] [CrossRef] [PubMed]
- Hirota, J.; Ueta, E.; Osaki, T.; Ogawa, Y. Immunohistologic study of mononuclear cell infiltrates in oral squamous cell carcinomas. Head Neck 1990, 12, 118–125. [Google Scholar] [CrossRef]
- Webster, W.S.; Lohse, C.M.; Thompson, R.H.; Dong, H.; Frigola, X.; Dicks, D.L.; Sengupta, S.; Frank, I.; Leibovich, B.C.; Blute, M.L.; et al. Mononuclear cell infiltration in clear-cell renal cell carcinoma independently predicts patient survival. Cancer Interdiscip. Int. J. Am. Cancer Soc. 2006, 107, 46–53. [Google Scholar]
- Kamel, M.; Pavulraj, S.; Fauler, B.; Mielke, T.; Azab, W. Equid herpesvirus-1 exploits the extracellular matrix of mononuclear cells to ensure transport to target cells. Iscience 2020, 23, 101615. [Google Scholar] [CrossRef] [PubMed]
- Rehtanz, M.; Bossart, G.D.; Fair, P.A.; Reif, J.S.; Ghim, S.J.; Jenson, A.B. Papillomaviruses and herpesviruses: Who is who in genital tumor development of free-ranging Atlantic bottlenose dolphins (Tursiops truncatus)? Vet. Microbiol. 2012, 160, 297–304. [Google Scholar] [CrossRef] [PubMed]
- Haubold, E.M.; Cooper, C.R.; Wen, J.W.; McGinnis, M.R.; Cowan, D.F. Comparative morphology of Lacazia loboi (syn. Loboa loboi) in dolphins and humans. Med. Mycol. 2000, 38, 9–14. [Google Scholar] [CrossRef] [PubMed][Green Version]
- Luciani, L.; Piorkowski, G.; De Lamballerie, X.; Van Waerebeek, K.; Van Bressem, M.F. Detection of Cetacean Poxvirus in Peruvian common bottlenose dolphins (Tursiops truncatus) using a Pan-Poxvirus PCR. Viruses 2022, 14, 1850. [Google Scholar] [CrossRef] [PubMed]
- Elsanhoury, A.; Kühl, U.; Stautner, B.; Klein, O.; Krannich, A.; Morris, D.; Willner, M.; Jankowska, E.; Klingel, K.; Van Linthout, S.; et al. The spontaneous course of human herpesvirus 6 DNA-associated myocarditis and the effect of immunosuppressive intervention. Viruses 2022, 14, 299. [Google Scholar] [CrossRef] [PubMed]
- Wei, C.; Kakazu, T.; Chuah, Q.Y.; Tanaka, M.; Kato, G.; Sano, M. Reactivation of cyprinid herpesvirus 2 (CyHV-2) in asymptomatic surviving goldfish Carassius auratus (L.) under immunosuppression. Fish Shellfish Immunol. 2020, 103, 302–309. [Google Scholar] [CrossRef] [PubMed]
- Wan, J.; Shin, D.B.; Syed, M.N.; Abuabara, K.; Lemeshow, A.R.; Gelfand, J.M. Risk of herpesvirus, serious and opportunistic infections in atopic dermatitis: A population-based cohort study. Br. J. Dermatol. 2022, 186, 664–672. [Google Scholar] [CrossRef] [PubMed]
- Melero, M.; Crespo-Picazo, J.L.; Rubio-Guerri, C.; García-Párraga, D.; Sánchez-Vizcaíno, J.M. First molecular determination of herpesvirus from two mysticete species stranded in the Mediterranean Sea. BMC Vet. Res. 2015, 11, 283. [Google Scholar] [CrossRef] [PubMed]
- Rothenburg, S.; Brennan, G. Species-specific host–virus interactions: Implications for viral host range and virulence. Trends Microbiol. 2020, 28, 46–56. [Google Scholar] [CrossRef] [PubMed]
- Šedý, J.R.; Spear, P.G.; Ware, C.F. Cross-regulation between herpesviruses and the TNF superfamily members. Nat. Rev. Immunol. 2008, 8, 861–873. [Google Scholar] [CrossRef] [PubMed]
- Ackermann, M. Herpesviruses: A brief overview. Bact. Artif. Chromosomes 2004, 256, 199–219. [Google Scholar]
- Barnes, L.G. Evolution, taxonomy and antitropical distributions of the porpoises (Phocoenidae, Mammalia). Mar. Mammal Sci. 1985, 1, 149–165. [Google Scholar] [CrossRef]
- Jefferson, T.A.; Wang, J.Y. Revision of the taxonomy of finless porpoises (genus Neophocaena): The existence of two species. J. Mar. Anim. Their Ecol. 2011, 4, 3–16. [Google Scholar]
- Sacristán, C.; Esperón, F.; Ewbank, A.C.; Costa-Silva, S.; Marigo, J.; Matushima, E.R.; Kolesnikovas, C.K.M.; Catão-Dias, J.L. Identification of novel gammaherpesviruses in a South American fur seal (Arctocephalus australis) with ulcerative skin lesions. J. Wildl. Dis. 2018, 54, 592–596. [Google Scholar] [CrossRef] [PubMed]
- Gagnon, C.A.; Tremblay, J.; Larochelle, D.; Music, N.; Tremblay, D. Identification of a novel herpesvirus associated with cutaneous ulcers in a fisher (Martes pennanti). J. Vet. Diagn. Investig. 2011, 23, 986–990. [Google Scholar] [CrossRef] [PubMed]
- Ackermann, M. Virus im Schafspelz. Schweiz. Arch. Tierheilkd. 2005, 147, 4. [Google Scholar] [CrossRef] [PubMed]
- Belliere, E.N.; Esperón, F.; Arbelo, M.; Muñoz, M.J.; Fernández, A.; Sánchez-Vizcaíno, J.M. Presence of herpesvirus in striped dolphins stranded during the cetacean morbillivirus epizootic along the Mediterranean Spanish coast in 2007. Arch. Virol. 2010, 155, 1307–1311. [Google Scholar] [CrossRef] [PubMed]
- Tang, Y.W.; Mitchell, P.S.; Espy, M.J.; Smith, T.F.; Persing, D.H. Molecular diagnosis of herpes simplex virus infections in the central nervous system. J. Clin. Microbiol. 1999, 37, 2127–2136. [Google Scholar] [CrossRef] [PubMed]
- White, D.W.; Suzanne Beard, R.; Barton, E.S. Immune modulation during latent herpesvirus infection. Immunol. Rev. 2012, 245, 189–208. [Google Scholar] [CrossRef] [PubMed]
- Theil, D.; Derfuss, T.; Paripovic, I.; Herberger, S.; Meinl, E.; Schueler, O.; Strupp, M.; Arbusow, V.; Brandt, T. Latent herpesvirus infection in human trigeminal ganglia causes chronic immune response. Am. J. Pathol. 2003, 163, 2179–2184. [Google Scholar] [CrossRef] [PubMed]
- Speck, S.H.; Ganem, D. Viral latency and its regulation: Lessons from the γ-herpesviruses. Cell Host Microbe 2010, 8, 100–115. [Google Scholar] [CrossRef] [PubMed]




Disclaimer/Publisher’s Note: The statements, opinions and data contained in all publications are solely those of the individual author(s) and contributor(s) and not of MDPI and/or the editor(s). MDPI and/or the editor(s) disclaim responsibility for any injury to people or property resulting from any ideas, methods, instructions or products referred to in the content. |
© 2024 by the authors. Licensee MDPI, Basel, Switzerland. This article is an open access article distributed under the terms and conditions of the Creative Commons Attribution (CC BY) license (https://creativecommons.org/licenses/by/4.0/).
Share and Cite
Lee, S.B.; Lee, K.L.; Kim, S.W.; Jung, W.J.; Park, D.S.; Lee, S.; Giri, S.S.; Kim, S.G.; Jo, S.J.; Park, J.H.; et al. Novel Gammaherpesvirus Infections in Narrow-Ridged Finless Porpoise (Neophocaena asiaeorientalis) and False Killer Whales (Pseudorca crassidens) in the Republic of Korea. Viruses 2024, 16, 1234. https://doi.org/10.3390/v16081234
Lee SB, Lee KL, Kim SW, Jung WJ, Park DS, Lee S, Giri SS, Kim SG, Jo SJ, Park JH, et al. Novel Gammaherpesvirus Infections in Narrow-Ridged Finless Porpoise (Neophocaena asiaeorientalis) and False Killer Whales (Pseudorca crassidens) in the Republic of Korea. Viruses. 2024; 16(8):1234. https://doi.org/10.3390/v16081234
Chicago/Turabian StyleLee, Sung Bin, Kyung Lee Lee, Sang Wha Kim, Won Joon Jung, Da Sol Park, Seyoung Lee, Sib Sankar Giri, Sang Guen Kim, Su Jin Jo, Jae Hong Park, and et al. 2024. "Novel Gammaherpesvirus Infections in Narrow-Ridged Finless Porpoise (Neophocaena asiaeorientalis) and False Killer Whales (Pseudorca crassidens) in the Republic of Korea" Viruses 16, no. 8: 1234. https://doi.org/10.3390/v16081234
APA StyleLee, S. B., Lee, K. L., Kim, S. W., Jung, W. J., Park, D. S., Lee, S., Giri, S. S., Kim, S. G., Jo, S. J., Park, J. H., Hwang, M. H., Park, E. J., Seo, J.-p., Kim, B. Y., & Park, S. C. (2024). Novel Gammaherpesvirus Infections in Narrow-Ridged Finless Porpoise (Neophocaena asiaeorientalis) and False Killer Whales (Pseudorca crassidens) in the Republic of Korea. Viruses, 16(8), 1234. https://doi.org/10.3390/v16081234

